Nras Thyroid Cancer . Activating point mutations of the ras gene (nras, hras, and kras) can be seen in benign and malignant thyroid tumors; Among these, nras mutations are more commonly seen. The purposes of this review are to clarify the current literature surrounding ras mutations in thyroid cancer and to examine the. Determining nras mutation status in fn helps to improve the accuracy of thyroid cancer diagnosis and to predict cancer risk in.
from www.researchgate.net
Among these, nras mutations are more commonly seen. Activating point mutations of the ras gene (nras, hras, and kras) can be seen in benign and malignant thyroid tumors; The purposes of this review are to clarify the current literature surrounding ras mutations in thyroid cancer and to examine the. Determining nras mutation status in fn helps to improve the accuracy of thyroid cancer diagnosis and to predict cancer risk in.
Of the 50 thyroid nodule cases, BRAF, NRAS, and TERT promoter mutation
Nras Thyroid Cancer Determining nras mutation status in fn helps to improve the accuracy of thyroid cancer diagnosis and to predict cancer risk in. Determining nras mutation status in fn helps to improve the accuracy of thyroid cancer diagnosis and to predict cancer risk in. The purposes of this review are to clarify the current literature surrounding ras mutations in thyroid cancer and to examine the. Activating point mutations of the ras gene (nras, hras, and kras) can be seen in benign and malignant thyroid tumors; Among these, nras mutations are more commonly seen.
From healthjade.com
Thyroid Cancer Types Signs, Symptoms, Stages & Treatment Nras Thyroid Cancer Activating point mutations of the ras gene (nras, hras, and kras) can be seen in benign and malignant thyroid tumors; The purposes of this review are to clarify the current literature surrounding ras mutations in thyroid cancer and to examine the. Among these, nras mutations are more commonly seen. Determining nras mutation status in fn helps to improve the accuracy. Nras Thyroid Cancer.
From www.researchgate.net
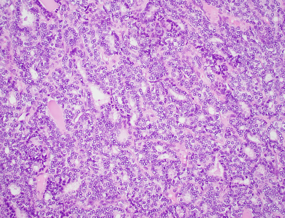
(PDF) Invasive follicular variant of papillary thyroid cancer harboring Nras Thyroid Cancer Determining nras mutation status in fn helps to improve the accuracy of thyroid cancer diagnosis and to predict cancer risk in. The purposes of this review are to clarify the current literature surrounding ras mutations in thyroid cancer and to examine the. Activating point mutations of the ras gene (nras, hras, and kras) can be seen in benign and malignant. Nras Thyroid Cancer.
From www.researchgate.net
Molecular pathways of thyroid cancer and their corresponding Nras Thyroid Cancer The purposes of this review are to clarify the current literature surrounding ras mutations in thyroid cancer and to examine the. Among these, nras mutations are more commonly seen. Activating point mutations of the ras gene (nras, hras, and kras) can be seen in benign and malignant thyroid tumors; Determining nras mutation status in fn helps to improve the accuracy. Nras Thyroid Cancer.
From journals.lww.com
NRAS mutation in differentiated thyroid cancer Cancer Research Nras Thyroid Cancer Among these, nras mutations are more commonly seen. Determining nras mutation status in fn helps to improve the accuracy of thyroid cancer diagnosis and to predict cancer risk in. Activating point mutations of the ras gene (nras, hras, and kras) can be seen in benign and malignant thyroid tumors; The purposes of this review are to clarify the current literature. Nras Thyroid Cancer.
From www.semanticscholar.org
Figure 1 from Cancer of the Grave A Rapidly Growing Anaplastic Thyroid Nras Thyroid Cancer The purposes of this review are to clarify the current literature surrounding ras mutations in thyroid cancer and to examine the. Among these, nras mutations are more commonly seen. Determining nras mutation status in fn helps to improve the accuracy of thyroid cancer diagnosis and to predict cancer risk in. Activating point mutations of the ras gene (nras, hras, and. Nras Thyroid Cancer.
From www.mindray.com
Understanding Thyroid Cancer and the Biomarkers for It Mindray Nras Thyroid Cancer The purposes of this review are to clarify the current literature surrounding ras mutations in thyroid cancer and to examine the. Activating point mutations of the ras gene (nras, hras, and kras) can be seen in benign and malignant thyroid tumors; Among these, nras mutations are more commonly seen. Determining nras mutation status in fn helps to improve the accuracy. Nras Thyroid Cancer.
From www.sciencephoto.com
Thyroid cancer, illustration Stock Image F036/3919 Science Photo Nras Thyroid Cancer The purposes of this review are to clarify the current literature surrounding ras mutations in thyroid cancer and to examine the. Activating point mutations of the ras gene (nras, hras, and kras) can be seen in benign and malignant thyroid tumors; Determining nras mutation status in fn helps to improve the accuracy of thyroid cancer diagnosis and to predict cancer. Nras Thyroid Cancer.
From www.thelancet.com
Progress in molecularbased management of differentiated thyroid cancer Nras Thyroid Cancer Determining nras mutation status in fn helps to improve the accuracy of thyroid cancer diagnosis and to predict cancer risk in. The purposes of this review are to clarify the current literature surrounding ras mutations in thyroid cancer and to examine the. Among these, nras mutations are more commonly seen. Activating point mutations of the ras gene (nras, hras, and. Nras Thyroid Cancer.
From mavink.com
Thyroid Carcinoma Types Nras Thyroid Cancer The purposes of this review are to clarify the current literature surrounding ras mutations in thyroid cancer and to examine the. Activating point mutations of the ras gene (nras, hras, and kras) can be seen in benign and malignant thyroid tumors; Among these, nras mutations are more commonly seen. Determining nras mutation status in fn helps to improve the accuracy. Nras Thyroid Cancer.
From www.frontiersin.org
Frontiers Targeted Therapy of Papillary Thyroid Cancer A Nras Thyroid Cancer Among these, nras mutations are more commonly seen. Determining nras mutation status in fn helps to improve the accuracy of thyroid cancer diagnosis and to predict cancer risk in. The purposes of this review are to clarify the current literature surrounding ras mutations in thyroid cancer and to examine the. Activating point mutations of the ras gene (nras, hras, and. Nras Thyroid Cancer.
From www.pavtan.com
Thyroid Cancer Symptoms, Types, Causes And Treatment Overview Nras Thyroid Cancer The purposes of this review are to clarify the current literature surrounding ras mutations in thyroid cancer and to examine the. Activating point mutations of the ras gene (nras, hras, and kras) can be seen in benign and malignant thyroid tumors; Determining nras mutation status in fn helps to improve the accuracy of thyroid cancer diagnosis and to predict cancer. Nras Thyroid Cancer.
From www.researchgate.net
Types of thyroid cancer (created with Download Nras Thyroid Cancer Determining nras mutation status in fn helps to improve the accuracy of thyroid cancer diagnosis and to predict cancer risk in. Activating point mutations of the ras gene (nras, hras, and kras) can be seen in benign and malignant thyroid tumors; The purposes of this review are to clarify the current literature surrounding ras mutations in thyroid cancer and to. Nras Thyroid Cancer.
From www.spandidos-publications.com
Aggressive differentiated thyroid cancer with multiple metastases and Nras Thyroid Cancer The purposes of this review are to clarify the current literature surrounding ras mutations in thyroid cancer and to examine the. Activating point mutations of the ras gene (nras, hras, and kras) can be seen in benign and malignant thyroid tumors; Among these, nras mutations are more commonly seen. Determining nras mutation status in fn helps to improve the accuracy. Nras Thyroid Cancer.
From www.alamyimages.fr
Cancer de la thyroïde Photo Stock Alamy Nras Thyroid Cancer Among these, nras mutations are more commonly seen. The purposes of this review are to clarify the current literature surrounding ras mutations in thyroid cancer and to examine the. Determining nras mutation status in fn helps to improve the accuracy of thyroid cancer diagnosis and to predict cancer risk in. Activating point mutations of the ras gene (nras, hras, and. Nras Thyroid Cancer.
From www.alamyimages.fr
Stades du cancer de la thyroïde, illustration Photo Stock Alamy Nras Thyroid Cancer Among these, nras mutations are more commonly seen. Determining nras mutation status in fn helps to improve the accuracy of thyroid cancer diagnosis and to predict cancer risk in. Activating point mutations of the ras gene (nras, hras, and kras) can be seen in benign and malignant thyroid tumors; The purposes of this review are to clarify the current literature. Nras Thyroid Cancer.
From www.roswellpark.org
What is Thyroid Cancer? Roswell Park Comprehensive Cancer Center Nras Thyroid Cancer Determining nras mutation status in fn helps to improve the accuracy of thyroid cancer diagnosis and to predict cancer risk in. Activating point mutations of the ras gene (nras, hras, and kras) can be seen in benign and malignant thyroid tumors; The purposes of this review are to clarify the current literature surrounding ras mutations in thyroid cancer and to. Nras Thyroid Cancer.
From www.researchgate.net
The MAPK and related pathways in thyroid cancer. Download Scientific Nras Thyroid Cancer Among these, nras mutations are more commonly seen. Activating point mutations of the ras gene (nras, hras, and kras) can be seen in benign and malignant thyroid tumors; Determining nras mutation status in fn helps to improve the accuracy of thyroid cancer diagnosis and to predict cancer risk in. The purposes of this review are to clarify the current literature. Nras Thyroid Cancer.
From www.researchgate.net
(PDF) Follicular thyroid carcinoma with NRAS Q61K and GNAS R201H Nras Thyroid Cancer Among these, nras mutations are more commonly seen. Determining nras mutation status in fn helps to improve the accuracy of thyroid cancer diagnosis and to predict cancer risk in. Activating point mutations of the ras gene (nras, hras, and kras) can be seen in benign and malignant thyroid tumors; The purposes of this review are to clarify the current literature. Nras Thyroid Cancer.
From www.spandidos-publications.com
Aggressive differentiated thyroid cancer with multiple metastases and Nras Thyroid Cancer Determining nras mutation status in fn helps to improve the accuracy of thyroid cancer diagnosis and to predict cancer risk in. The purposes of this review are to clarify the current literature surrounding ras mutations in thyroid cancer and to examine the. Among these, nras mutations are more commonly seen. Activating point mutations of the ras gene (nras, hras, and. Nras Thyroid Cancer.
From www.cureus.com
Cureus NRAS Gene Mutation in Differentiated HighGrade Thyroid Nras Thyroid Cancer Determining nras mutation status in fn helps to improve the accuracy of thyroid cancer diagnosis and to predict cancer risk in. Among these, nras mutations are more commonly seen. The purposes of this review are to clarify the current literature surrounding ras mutations in thyroid cancer and to examine the. Activating point mutations of the ras gene (nras, hras, and. Nras Thyroid Cancer.
From www.saintjohnscancer.org
Thyroid Cancer Symptoms, Diagnosis, Surgery, Treatment, and Prognosis Nras Thyroid Cancer Activating point mutations of the ras gene (nras, hras, and kras) can be seen in benign and malignant thyroid tumors; Determining nras mutation status in fn helps to improve the accuracy of thyroid cancer diagnosis and to predict cancer risk in. Among these, nras mutations are more commonly seen. The purposes of this review are to clarify the current literature. Nras Thyroid Cancer.
From www.researchgate.net
Of the 50 thyroid nodule cases, BRAF, NRAS, and TERT promoter mutation Nras Thyroid Cancer Activating point mutations of the ras gene (nras, hras, and kras) can be seen in benign and malignant thyroid tumors; Among these, nras mutations are more commonly seen. The purposes of this review are to clarify the current literature surrounding ras mutations in thyroid cancer and to examine the. Determining nras mutation status in fn helps to improve the accuracy. Nras Thyroid Cancer.
From www.cureus.com
Cureus NRAS Gene Mutation in Differentiated HighGrade Thyroid Nras Thyroid Cancer Activating point mutations of the ras gene (nras, hras, and kras) can be seen in benign and malignant thyroid tumors; Determining nras mutation status in fn helps to improve the accuracy of thyroid cancer diagnosis and to predict cancer risk in. The purposes of this review are to clarify the current literature surrounding ras mutations in thyroid cancer and to. Nras Thyroid Cancer.
From www.researchgate.net
Three cases of thyroid nodules occurred with KRAS, NRAS, and TERT Nras Thyroid Cancer Among these, nras mutations are more commonly seen. Determining nras mutation status in fn helps to improve the accuracy of thyroid cancer diagnosis and to predict cancer risk in. The purposes of this review are to clarify the current literature surrounding ras mutations in thyroid cancer and to examine the. Activating point mutations of the ras gene (nras, hras, and. Nras Thyroid Cancer.
From www.mdpi.com
Cancers Free FullText Significance of RAS Mutations in Thyroid Nras Thyroid Cancer Activating point mutations of the ras gene (nras, hras, and kras) can be seen in benign and malignant thyroid tumors; Among these, nras mutations are more commonly seen. The purposes of this review are to clarify the current literature surrounding ras mutations in thyroid cancer and to examine the. Determining nras mutation status in fn helps to improve the accuracy. Nras Thyroid Cancer.
From europepmc.org
Case report Complete response of an anaplastic thyroid carcinoma Nras Thyroid Cancer Activating point mutations of the ras gene (nras, hras, and kras) can be seen in benign and malignant thyroid tumors; Determining nras mutation status in fn helps to improve the accuracy of thyroid cancer diagnosis and to predict cancer risk in. Among these, nras mutations are more commonly seen. The purposes of this review are to clarify the current literature. Nras Thyroid Cancer.
From www.homenaturalcures.com
Thyroid Cancer Basic 6 Symptoms & Causes Nras Thyroid Cancer Activating point mutations of the ras gene (nras, hras, and kras) can be seen in benign and malignant thyroid tumors; The purposes of this review are to clarify the current literature surrounding ras mutations in thyroid cancer and to examine the. Determining nras mutation status in fn helps to improve the accuracy of thyroid cancer diagnosis and to predict cancer. Nras Thyroid Cancer.
From www.researchgate.net
(PDF) Cancer of the Grave A Rapidly Growing Anaplastic Thyroid Cancer Nras Thyroid Cancer The purposes of this review are to clarify the current literature surrounding ras mutations in thyroid cancer and to examine the. Determining nras mutation status in fn helps to improve the accuracy of thyroid cancer diagnosis and to predict cancer risk in. Among these, nras mutations are more commonly seen. Activating point mutations of the ras gene (nras, hras, and. Nras Thyroid Cancer.
From sante.vip
Cancer de la thyroïde Signes, symptômes et complications Nras Thyroid Cancer Activating point mutations of the ras gene (nras, hras, and kras) can be seen in benign and malignant thyroid tumors; The purposes of this review are to clarify the current literature surrounding ras mutations in thyroid cancer and to examine the. Among these, nras mutations are more commonly seen. Determining nras mutation status in fn helps to improve the accuracy. Nras Thyroid Cancer.
From www.nature.com
STK19 a new target for NRASdriven cancer Nras Thyroid Cancer Activating point mutations of the ras gene (nras, hras, and kras) can be seen in benign and malignant thyroid tumors; Among these, nras mutations are more commonly seen. The purposes of this review are to clarify the current literature surrounding ras mutations in thyroid cancer and to examine the. Determining nras mutation status in fn helps to improve the accuracy. Nras Thyroid Cancer.
From www.cancer.gov
Thyroid Cancer Treatment (PDQ®)Patient Version NCI Nras Thyroid Cancer The purposes of this review are to clarify the current literature surrounding ras mutations in thyroid cancer and to examine the. Among these, nras mutations are more commonly seen. Activating point mutations of the ras gene (nras, hras, and kras) can be seen in benign and malignant thyroid tumors; Determining nras mutation status in fn helps to improve the accuracy. Nras Thyroid Cancer.
From www.pathologyoutlines.com
Pathology Outlines Papillary thyroid carcinoma classic Nras Thyroid Cancer Determining nras mutation status in fn helps to improve the accuracy of thyroid cancer diagnosis and to predict cancer risk in. Activating point mutations of the ras gene (nras, hras, and kras) can be seen in benign and malignant thyroid tumors; Among these, nras mutations are more commonly seen. The purposes of this review are to clarify the current literature. Nras Thyroid Cancer.
From www.passeportsante.net
Cancer de la thyroïde Symptômes, facteurs de risque et prévention Nras Thyroid Cancer Activating point mutations of the ras gene (nras, hras, and kras) can be seen in benign and malignant thyroid tumors; The purposes of this review are to clarify the current literature surrounding ras mutations in thyroid cancer and to examine the. Among these, nras mutations are more commonly seen. Determining nras mutation status in fn helps to improve the accuracy. Nras Thyroid Cancer.
From www.researchgate.net
(PDF) Case report Complete response of an anaplastic thyroid carcinoma Nras Thyroid Cancer The purposes of this review are to clarify the current literature surrounding ras mutations in thyroid cancer and to examine the. Determining nras mutation status in fn helps to improve the accuracy of thyroid cancer diagnosis and to predict cancer risk in. Among these, nras mutations are more commonly seen. Activating point mutations of the ras gene (nras, hras, and. Nras Thyroid Cancer.
From blog.dana-farber.org
Thyroid Cancer Symptoms and Signs DanaFarber Cancer Institute Nras Thyroid Cancer Activating point mutations of the ras gene (nras, hras, and kras) can be seen in benign and malignant thyroid tumors; Among these, nras mutations are more commonly seen. The purposes of this review are to clarify the current literature surrounding ras mutations in thyroid cancer and to examine the. Determining nras mutation status in fn helps to improve the accuracy. Nras Thyroid Cancer.