Parastomal Hernia Classification . A parastomal hernia is a type of incisional hernia that allows protrusion of abdominal contents through the abdominal wall. The classification proposal is based on the ph defect size (small is ≤5 cm) and the. Parastomal hernia (ph) is a type of ostomy complication related to the subsiding of parastomal tissues, characterised by the protrusion of intestines through the muscle defect into the abdominal wall near the ostomy and is a very common complication (murken et al, 2019; Significant problems result from the lack of a standard definition, even though as early as in 1973, devlin suggested a classification. Herniae) are defined as the protrusion of abdominal contents through an abdominal wall. Estimated overall incidence of parastomal hernia: The ehs classification has not been validated and the.
from plasticsurgerykey.com
Significant problems result from the lack of a standard definition, even though as early as in 1973, devlin suggested a classification. The ehs classification has not been validated and the. Estimated overall incidence of parastomal hernia: Parastomal hernia (ph) is a type of ostomy complication related to the subsiding of parastomal tissues, characterised by the protrusion of intestines through the muscle defect into the abdominal wall near the ostomy and is a very common complication (murken et al, 2019; Herniae) are defined as the protrusion of abdominal contents through an abdominal wall. A parastomal hernia is a type of incisional hernia that allows protrusion of abdominal contents through the abdominal wall. The classification proposal is based on the ph defect size (small is ≤5 cm) and the.
Open Repair of Parastomal Hernias Plastic Surgery Key
Parastomal Hernia Classification Parastomal hernia (ph) is a type of ostomy complication related to the subsiding of parastomal tissues, characterised by the protrusion of intestines through the muscle defect into the abdominal wall near the ostomy and is a very common complication (murken et al, 2019; Estimated overall incidence of parastomal hernia: A parastomal hernia is a type of incisional hernia that allows protrusion of abdominal contents through the abdominal wall. The classification proposal is based on the ph defect size (small is ≤5 cm) and the. The ehs classification has not been validated and the. Herniae) are defined as the protrusion of abdominal contents through an abdominal wall. Parastomal hernia (ph) is a type of ostomy complication related to the subsiding of parastomal tissues, characterised by the protrusion of intestines through the muscle defect into the abdominal wall near the ostomy and is a very common complication (murken et al, 2019; Significant problems result from the lack of a standard definition, even though as early as in 1973, devlin suggested a classification.
From universitysurgical.com
Help for Hernias Surgery? University Surgical Associates Parastomal Hernia Classification The ehs classification has not been validated and the. The classification proposal is based on the ph defect size (small is ≤5 cm) and the. A parastomal hernia is a type of incisional hernia that allows protrusion of abdominal contents through the abdominal wall. Herniae) are defined as the protrusion of abdominal contents through an abdominal wall. Significant problems result. Parastomal Hernia Classification.
From www.slideserve.com
PPT Parastomal hernia PowerPoint Presentation, free download ID4928893 Parastomal Hernia Classification Parastomal hernia (ph) is a type of ostomy complication related to the subsiding of parastomal tissues, characterised by the protrusion of intestines through the muscle defect into the abdominal wall near the ostomy and is a very common complication (murken et al, 2019; A parastomal hernia is a type of incisional hernia that allows protrusion of abdominal contents through the. Parastomal Hernia Classification.
From www.semanticscholar.org
[PDF] European Hernia Society classification of parastomal hernias Parastomal Hernia Classification A parastomal hernia is a type of incisional hernia that allows protrusion of abdominal contents through the abdominal wall. The classification proposal is based on the ph defect size (small is ≤5 cm) and the. Estimated overall incidence of parastomal hernia: Significant problems result from the lack of a standard definition, even though as early as in 1973, devlin suggested. Parastomal Hernia Classification.
From tremar.motoretta.ca
Parastomal Hernia Symptoms, Repair, and Complications Parastomal Hernia Classification Significant problems result from the lack of a standard definition, even though as early as in 1973, devlin suggested a classification. Estimated overall incidence of parastomal hernia: A parastomal hernia is a type of incisional hernia that allows protrusion of abdominal contents through the abdominal wall. The ehs classification has not been validated and the. The classification proposal is based. Parastomal Hernia Classification.
From www.slideserve.com
PPT Management of the Parastomal Hernia PowerPoint Presentation, free Parastomal Hernia Classification Estimated overall incidence of parastomal hernia: Parastomal hernia (ph) is a type of ostomy complication related to the subsiding of parastomal tissues, characterised by the protrusion of intestines through the muscle defect into the abdominal wall near the ostomy and is a very common complication (murken et al, 2019; The classification proposal is based on the ph defect size (small. Parastomal Hernia Classification.
From www.surgical.theclinics.com
Surgical Management of Parastomal Hernias Surgical Clinics Parastomal Hernia Classification The classification proposal is based on the ph defect size (small is ≤5 cm) and the. Parastomal hernia (ph) is a type of ostomy complication related to the subsiding of parastomal tissues, characterised by the protrusion of intestines through the muscle defect into the abdominal wall near the ostomy and is a very common complication (murken et al, 2019; A. Parastomal Hernia Classification.
From www.researchgate.net
Description of previous parastomal hernia classification proposals Parastomal Hernia Classification Parastomal hernia (ph) is a type of ostomy complication related to the subsiding of parastomal tissues, characterised by the protrusion of intestines through the muscle defect into the abdominal wall near the ostomy and is a very common complication (murken et al, 2019; Herniae) are defined as the protrusion of abdominal contents through an abdominal wall. The ehs classification has. Parastomal Hernia Classification.
From www.slideserve.com
PPT HERNIAS PowerPoint Presentation, free download ID679255 Parastomal Hernia Classification Parastomal hernia (ph) is a type of ostomy complication related to the subsiding of parastomal tissues, characterised by the protrusion of intestines through the muscle defect into the abdominal wall near the ostomy and is a very common complication (murken et al, 2019; The ehs classification has not been validated and the. The classification proposal is based on the ph. Parastomal Hernia Classification.
From www.yumpu.com
Parastomal Hernia Parastomal Hernia Classification Parastomal hernia (ph) is a type of ostomy complication related to the subsiding of parastomal tissues, characterised by the protrusion of intestines through the muscle defect into the abdominal wall near the ostomy and is a very common complication (murken et al, 2019; The ehs classification has not been validated and the. The classification proposal is based on the ph. Parastomal Hernia Classification.
From www.researchgate.net
of parastomal hernia classification systems for the 103 patients Parastomal Hernia Classification Herniae) are defined as the protrusion of abdominal contents through an abdominal wall. The classification proposal is based on the ph defect size (small is ≤5 cm) and the. Parastomal hernia (ph) is a type of ostomy complication related to the subsiding of parastomal tissues, characterised by the protrusion of intestines through the muscle defect into the abdominal wall near. Parastomal Hernia Classification.
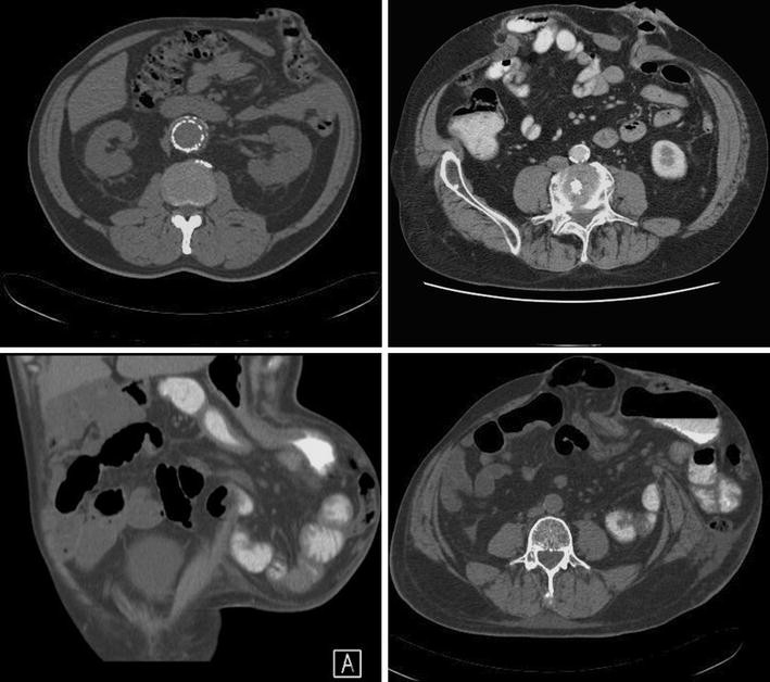
From www.researchgate.net
Preoperative CT scan revealed the parastomal hernia and the omentum as Parastomal Hernia Classification A parastomal hernia is a type of incisional hernia that allows protrusion of abdominal contents through the abdominal wall. Herniae) are defined as the protrusion of abdominal contents through an abdominal wall. Estimated overall incidence of parastomal hernia: The ehs classification has not been validated and the. Parastomal hernia (ph) is a type of ostomy complication related to the subsiding. Parastomal Hernia Classification.
From southbaysurgeons.com
Hernia Repair Association of South Bay Surgeons Parastomal Hernia Classification A parastomal hernia is a type of incisional hernia that allows protrusion of abdominal contents through the abdominal wall. Significant problems result from the lack of a standard definition, even though as early as in 1973, devlin suggested a classification. Estimated overall incidence of parastomal hernia: The classification proposal is based on the ph defect size (small is ≤5 cm). Parastomal Hernia Classification.
From www.gbmc-jo.com
Ventral Hernia repair GBMC Jordan Parastomal Hernia Classification Significant problems result from the lack of a standard definition, even though as early as in 1973, devlin suggested a classification. A parastomal hernia is a type of incisional hernia that allows protrusion of abdominal contents through the abdominal wall. The classification proposal is based on the ph defect size (small is ≤5 cm) and the. Herniae) are defined as. Parastomal Hernia Classification.
From www.researchgate.net
Parastomal hernia (PH) types according to European Hernia Society (EHS Parastomal Hernia Classification Parastomal hernia (ph) is a type of ostomy complication related to the subsiding of parastomal tissues, characterised by the protrusion of intestines through the muscle defect into the abdominal wall near the ostomy and is a very common complication (murken et al, 2019; Estimated overall incidence of parastomal hernia: A parastomal hernia is a type of incisional hernia that allows. Parastomal Hernia Classification.
From theherniaclinic.co.uk
Hernia Types The Hernia Clinic Parastomal Hernia Classification Estimated overall incidence of parastomal hernia: Significant problems result from the lack of a standard definition, even though as early as in 1973, devlin suggested a classification. The classification proposal is based on the ph defect size (small is ≤5 cm) and the. Parastomal hernia (ph) is a type of ostomy complication related to the subsiding of parastomal tissues, characterised. Parastomal Hernia Classification.
From link.springer.com
European Hernia Society classification of parastomal hernias SpringerLink Parastomal Hernia Classification The ehs classification has not been validated and the. Significant problems result from the lack of a standard definition, even though as early as in 1973, devlin suggested a classification. The classification proposal is based on the ph defect size (small is ≤5 cm) and the. Parastomal hernia (ph) is a type of ostomy complication related to the subsiding of. Parastomal Hernia Classification.
From www.slideserve.com
PPT Management of the Parastomal Hernia PowerPoint Presentation, free Parastomal Hernia Classification The ehs classification has not been validated and the. Significant problems result from the lack of a standard definition, even though as early as in 1973, devlin suggested a classification. Herniae) are defined as the protrusion of abdominal contents through an abdominal wall. The classification proposal is based on the ph defect size (small is ≤5 cm) and the. A. Parastomal Hernia Classification.
From www.researchgate.net
European Hernia Society A classification of midline incisional hernias Parastomal Hernia Classification Estimated overall incidence of parastomal hernia: A parastomal hernia is a type of incisional hernia that allows protrusion of abdominal contents through the abdominal wall. Herniae) are defined as the protrusion of abdominal contents through an abdominal wall. The classification proposal is based on the ph defect size (small is ≤5 cm) and the. Parastomal hernia (ph) is a type. Parastomal Hernia Classification.
From www.slideserve.com
PPT Parastomal Hernia Repair PowerPoint Presentation, free download Parastomal Hernia Classification Estimated overall incidence of parastomal hernia: Herniae) are defined as the protrusion of abdominal contents through an abdominal wall. Significant problems result from the lack of a standard definition, even though as early as in 1973, devlin suggested a classification. A parastomal hernia is a type of incisional hernia that allows protrusion of abdominal contents through the abdominal wall. The. Parastomal Hernia Classification.
From www.surgical.theclinics.com
Parastomal Hernia Repair Surgical Clinics Parastomal Hernia Classification Significant problems result from the lack of a standard definition, even though as early as in 1973, devlin suggested a classification. The classification proposal is based on the ph defect size (small is ≤5 cm) and the. Estimated overall incidence of parastomal hernia: Parastomal hernia (ph) is a type of ostomy complication related to the subsiding of parastomal tissues, characterised. Parastomal Hernia Classification.
From www.researchgate.net
Flow chart of different surgical techniques in ileal conduit parastomal Parastomal Hernia Classification The classification proposal is based on the ph defect size (small is ≤5 cm) and the. Herniae) are defined as the protrusion of abdominal contents through an abdominal wall. A parastomal hernia is a type of incisional hernia that allows protrusion of abdominal contents through the abdominal wall. The ehs classification has not been validated and the. Estimated overall incidence. Parastomal Hernia Classification.
From www.journalacs.org
A New Combined Technique of Reinforced Parastomal Hernia Repair Parastomal Hernia Classification Estimated overall incidence of parastomal hernia: Parastomal hernia (ph) is a type of ostomy complication related to the subsiding of parastomal tissues, characterised by the protrusion of intestines through the muscle defect into the abdominal wall near the ostomy and is a very common complication (murken et al, 2019; The ehs classification has not been validated and the. Significant problems. Parastomal Hernia Classification.
From europeanherniasociety.eu
Parastomal hernias EHS Parastomal Hernia Classification Estimated overall incidence of parastomal hernia: The ehs classification has not been validated and the. Herniae) are defined as the protrusion of abdominal contents through an abdominal wall. The classification proposal is based on the ph defect size (small is ≤5 cm) and the. Significant problems result from the lack of a standard definition, even though as early as in. Parastomal Hernia Classification.
From mavink.com
Classification Of Hernia Parastomal Hernia Classification A parastomal hernia is a type of incisional hernia that allows protrusion of abdominal contents through the abdominal wall. Herniae) are defined as the protrusion of abdominal contents through an abdominal wall. The ehs classification has not been validated and the. Significant problems result from the lack of a standard definition, even though as early as in 1973, devlin suggested. Parastomal Hernia Classification.
From www.researchgate.net
(PDF) Umbilical Hernias in Adults Epidemiology, Diagnosis and Treatment Parastomal Hernia Classification The ehs classification has not been validated and the. The classification proposal is based on the ph defect size (small is ≤5 cm) and the. A parastomal hernia is a type of incisional hernia that allows protrusion of abdominal contents through the abdominal wall. Significant problems result from the lack of a standard definition, even though as early as in. Parastomal Hernia Classification.
From www.osmosis.org
Internal Hernia What Is It, Rupture, Causes, Symptoms, Diagnosis Parastomal Hernia Classification Herniae) are defined as the protrusion of abdominal contents through an abdominal wall. Parastomal hernia (ph) is a type of ostomy complication related to the subsiding of parastomal tissues, characterised by the protrusion of intestines through the muscle defect into the abdominal wall near the ostomy and is a very common complication (murken et al, 2019; A parastomal hernia is. Parastomal Hernia Classification.
From manualwiringdemurity.z19.web.core.windows.net
Types Of Hernias Diagram Parastomal Hernia Classification The ehs classification has not been validated and the. The classification proposal is based on the ph defect size (small is ≤5 cm) and the. Estimated overall incidence of parastomal hernia: A parastomal hernia is a type of incisional hernia that allows protrusion of abdominal contents through the abdominal wall. Significant problems result from the lack of a standard definition,. Parastomal Hernia Classification.
From www.researchgate.net
1 Types of hiatal hernias. (a) Type ISliding hernia. (b)... Download Parastomal Hernia Classification The ehs classification has not been validated and the. Estimated overall incidence of parastomal hernia: Parastomal hernia (ph) is a type of ostomy complication related to the subsiding of parastomal tissues, characterised by the protrusion of intestines through the muscle defect into the abdominal wall near the ostomy and is a very common complication (murken et al, 2019; Herniae) are. Parastomal Hernia Classification.
From mavink.com
Classification Of Hernia Parastomal Hernia Classification Herniae) are defined as the protrusion of abdominal contents through an abdominal wall. The classification proposal is based on the ph defect size (small is ≤5 cm) and the. Parastomal hernia (ph) is a type of ostomy complication related to the subsiding of parastomal tissues, characterised by the protrusion of intestines through the muscle defect into the abdominal wall near. Parastomal Hernia Classification.
From www.researchgate.net
(PDF) European Hernia Society classification of parastomal hernias Parastomal Hernia Classification A parastomal hernia is a type of incisional hernia that allows protrusion of abdominal contents through the abdominal wall. Herniae) are defined as the protrusion of abdominal contents through an abdominal wall. Estimated overall incidence of parastomal hernia: Significant problems result from the lack of a standard definition, even though as early as in 1973, devlin suggested a classification. The. Parastomal Hernia Classification.
From www.slideserve.com
PPT Management of the Parastomal Hernia PowerPoint Presentation, free Parastomal Hernia Classification Estimated overall incidence of parastomal hernia: Significant problems result from the lack of a standard definition, even though as early as in 1973, devlin suggested a classification. The ehs classification has not been validated and the. A parastomal hernia is a type of incisional hernia that allows protrusion of abdominal contents through the abdominal wall. Herniae) are defined as the. Parastomal Hernia Classification.
From www.slideserve.com
PPT Parastomal hernia PowerPoint Presentation, free download ID4928893 Parastomal Hernia Classification Estimated overall incidence of parastomal hernia: Parastomal hernia (ph) is a type of ostomy complication related to the subsiding of parastomal tissues, characterised by the protrusion of intestines through the muscle defect into the abdominal wall near the ostomy and is a very common complication (murken et al, 2019; Herniae) are defined as the protrusion of abdominal contents through an. Parastomal Hernia Classification.
From plasticsurgerykey.com
Open Repair of Parastomal Hernias Plastic Surgery Key Parastomal Hernia Classification Herniae) are defined as the protrusion of abdominal contents through an abdominal wall. Parastomal hernia (ph) is a type of ostomy complication related to the subsiding of parastomal tissues, characterised by the protrusion of intestines through the muscle defect into the abdominal wall near the ostomy and is a very common complication (murken et al, 2019; The classification proposal is. Parastomal Hernia Classification.
From iconspecialistcentre.hk
Hernia — Icon Specialist Centre Parastomal Hernia Classification Herniae) are defined as the protrusion of abdominal contents through an abdominal wall. Parastomal hernia (ph) is a type of ostomy complication related to the subsiding of parastomal tissues, characterised by the protrusion of intestines through the muscle defect into the abdominal wall near the ostomy and is a very common complication (murken et al, 2019; The classification proposal is. Parastomal Hernia Classification.
From www.researchgate.net
(PDF) Parastomal Hernia Parastomal Hernia Classification Significant problems result from the lack of a standard definition, even though as early as in 1973, devlin suggested a classification. A parastomal hernia is a type of incisional hernia that allows protrusion of abdominal contents through the abdominal wall. Parastomal hernia (ph) is a type of ostomy complication related to the subsiding of parastomal tissues, characterised by the protrusion. Parastomal Hernia Classification.