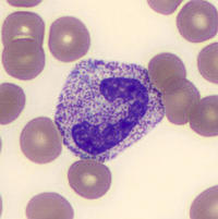
Cbc Differential Toxic Granulation . Examination of the blood smear. Also note that the toxic granules are. They are azurophilic and appear most prominent in. Thus, it is more robust and superior for. Note that one neutrophil contains toxic granulation and the other does not. In conclusion, leukocytosis in a patient should prompt confirmation of the cbc and wbc differential.
from www.researchgate.net
Note that one neutrophil contains toxic granulation and the other does not. They are azurophilic and appear most prominent in. Thus, it is more robust and superior for. Also note that the toxic granules are. Examination of the blood smear. In conclusion, leukocytosis in a patient should prompt confirmation of the cbc and wbc differential.
Toxic granulation of neutrophils in the peripheral blood. Download
Cbc Differential Toxic Granulation Thus, it is more robust and superior for. Thus, it is more robust and superior for. Also note that the toxic granules are. Examination of the blood smear. They are azurophilic and appear most prominent in. Note that one neutrophil contains toxic granulation and the other does not. In conclusion, leukocytosis in a patient should prompt confirmation of the cbc and wbc differential.
From casereports.bmj.com
Morphology of COVID19affected cells in peripheral blood film BMJ Cbc Differential Toxic Granulation Note that one neutrophil contains toxic granulation and the other does not. Thus, it is more robust and superior for. Examination of the blood smear. In conclusion, leukocytosis in a patient should prompt confirmation of the cbc and wbc differential. Also note that the toxic granules are. They are azurophilic and appear most prominent in. Cbc Differential Toxic Granulation.
From www.youtube.com
What is Toxic Granules in Neutrophils means in CBC Blood Report (in Cbc Differential Toxic Granulation Thus, it is more robust and superior for. Also note that the toxic granules are. Note that one neutrophil contains toxic granulation and the other does not. Examination of the blood smear. In conclusion, leukocytosis in a patient should prompt confirmation of the cbc and wbc differential. They are azurophilic and appear most prominent in. Cbc Differential Toxic Granulation.
From www.researchgate.net
Toxic granulation of neutrophils in the peripheral blood. Download Cbc Differential Toxic Granulation Thus, it is more robust and superior for. Also note that the toxic granules are. Note that one neutrophil contains toxic granulation and the other does not. Examination of the blood smear. They are azurophilic and appear most prominent in. In conclusion, leukocytosis in a patient should prompt confirmation of the cbc and wbc differential. Cbc Differential Toxic Granulation.
From medschool.co
Toxic Granulation of Neutrophils Test Findings MedSchool Cbc Differential Toxic Granulation They are azurophilic and appear most prominent in. In conclusion, leukocytosis in a patient should prompt confirmation of the cbc and wbc differential. Thus, it is more robust and superior for. Examination of the blood smear. Also note that the toxic granules are. Note that one neutrophil contains toxic granulation and the other does not. Cbc Differential Toxic Granulation.
From www.hematomorphology.info
Toxic granulation & Döhle inclusion bodies Hematomorphology, a Cbc Differential Toxic Granulation Thus, it is more robust and superior for. They are azurophilic and appear most prominent in. In conclusion, leukocytosis in a patient should prompt confirmation of the cbc and wbc differential. Examination of the blood smear. Also note that the toxic granules are. Note that one neutrophil contains toxic granulation and the other does not. Cbc Differential Toxic Granulation.
From www.dreamstime.com
Neutrophil with Toxic Granulation and Vacuole Stock Image Image of Cbc Differential Toxic Granulation Also note that the toxic granules are. Note that one neutrophil contains toxic granulation and the other does not. In conclusion, leukocytosis in a patient should prompt confirmation of the cbc and wbc differential. Thus, it is more robust and superior for. They are azurophilic and appear most prominent in. Examination of the blood smear. Cbc Differential Toxic Granulation.
From textbookhaematology4medical-scientist.blogspot.com
Haematology in a NutShell Toxic Granulated Neutrophils Cbc Differential Toxic Granulation They are azurophilic and appear most prominent in. In conclusion, leukocytosis in a patient should prompt confirmation of the cbc and wbc differential. Examination of the blood smear. Also note that the toxic granules are. Note that one neutrophil contains toxic granulation and the other does not. Thus, it is more robust and superior for. Cbc Differential Toxic Granulation.
From www.sciencephoto.com
Toxic granulation, LM Stock Image C043/5174 Science Photo Library Cbc Differential Toxic Granulation They are azurophilic and appear most prominent in. Examination of the blood smear. In conclusion, leukocytosis in a patient should prompt confirmation of the cbc and wbc differential. Note that one neutrophil contains toxic granulation and the other does not. Thus, it is more robust and superior for. Also note that the toxic granules are. Cbc Differential Toxic Granulation.
From www.slideshare.net
Hematology review '04 Cbc Differential Toxic Granulation Also note that the toxic granules are. They are azurophilic and appear most prominent in. Note that one neutrophil contains toxic granulation and the other does not. Thus, it is more robust and superior for. Examination of the blood smear. In conclusion, leukocytosis in a patient should prompt confirmation of the cbc and wbc differential. Cbc Differential Toxic Granulation.
From www.slideserve.com
PPT White Blood Cell Differential Count PowerPoint Presentation ID Cbc Differential Toxic Granulation They are azurophilic and appear most prominent in. In conclusion, leukocytosis in a patient should prompt confirmation of the cbc and wbc differential. Also note that the toxic granules are. Note that one neutrophil contains toxic granulation and the other does not. Examination of the blood smear. Thus, it is more robust and superior for. Cbc Differential Toxic Granulation.
From ar.inspiredpencil.com
Toxic Granulation Cbc Differential Toxic Granulation In conclusion, leukocytosis in a patient should prompt confirmation of the cbc and wbc differential. Thus, it is more robust and superior for. They are azurophilic and appear most prominent in. Examination of the blood smear. Also note that the toxic granules are. Note that one neutrophil contains toxic granulation and the other does not. Cbc Differential Toxic Granulation.
From nghenhansu.edu.vn
All 100+ Images What Is Toxic Granulation In Blood Work Sharp Cbc Differential Toxic Granulation Note that one neutrophil contains toxic granulation and the other does not. In conclusion, leukocytosis in a patient should prompt confirmation of the cbc and wbc differential. Examination of the blood smear. Also note that the toxic granules are. Thus, it is more robust and superior for. They are azurophilic and appear most prominent in. Cbc Differential Toxic Granulation.
From www.hematomorphology.info
Toxic granulation Hematomorphology, a databank / imagebank for Cbc Differential Toxic Granulation Thus, it is more robust and superior for. Note that one neutrophil contains toxic granulation and the other does not. In conclusion, leukocytosis in a patient should prompt confirmation of the cbc and wbc differential. They are azurophilic and appear most prominent in. Also note that the toxic granules are. Examination of the blood smear. Cbc Differential Toxic Granulation.
From twitter.com
Sthanu on Twitter "Also, request can be made to lab to look for the Cbc Differential Toxic Granulation In conclusion, leukocytosis in a patient should prompt confirmation of the cbc and wbc differential. Examination of the blood smear. Also note that the toxic granules are. Note that one neutrophil contains toxic granulation and the other does not. They are azurophilic and appear most prominent in. Thus, it is more robust and superior for. Cbc Differential Toxic Granulation.
From www.researchgate.net
A‐F images from peripheral blood (A) neutrophil showing granules Cbc Differential Toxic Granulation Examination of the blood smear. In conclusion, leukocytosis in a patient should prompt confirmation of the cbc and wbc differential. Also note that the toxic granules are. They are azurophilic and appear most prominent in. Note that one neutrophil contains toxic granulation and the other does not. Thus, it is more robust and superior for. Cbc Differential Toxic Granulation.
From loeyetqaw.blob.core.windows.net
What Is Cbc Differential Blood Test at Richard Snell blog Cbc Differential Toxic Granulation Also note that the toxic granules are. They are azurophilic and appear most prominent in. Note that one neutrophil contains toxic granulation and the other does not. Examination of the blood smear. In conclusion, leukocytosis in a patient should prompt confirmation of the cbc and wbc differential. Thus, it is more robust and superior for. Cbc Differential Toxic Granulation.
From www.youtube.com
What is "Toxic Granulation" of Neutrophils? Why does it happen Cbc Differential Toxic Granulation Thus, it is more robust and superior for. They are azurophilic and appear most prominent in. In conclusion, leukocytosis in a patient should prompt confirmation of the cbc and wbc differential. Also note that the toxic granules are. Examination of the blood smear. Note that one neutrophil contains toxic granulation and the other does not. Cbc Differential Toxic Granulation.
From imagebank.hematology.org
Toxic granulation Cbc Differential Toxic Granulation Also note that the toxic granules are. Thus, it is more robust and superior for. They are azurophilic and appear most prominent in. Note that one neutrophil contains toxic granulation and the other does not. Examination of the blood smear. In conclusion, leukocytosis in a patient should prompt confirmation of the cbc and wbc differential. Cbc Differential Toxic Granulation.
From www.slideserve.com
PPT Pathology of WBC Disorders PowerPoint Presentation ID8201916 Cbc Differential Toxic Granulation Examination of the blood smear. They are azurophilic and appear most prominent in. Also note that the toxic granules are. In conclusion, leukocytosis in a patient should prompt confirmation of the cbc and wbc differential. Note that one neutrophil contains toxic granulation and the other does not. Thus, it is more robust and superior for. Cbc Differential Toxic Granulation.
From www.pathologyoutlines.com
Pathology Outlines Chronic neutrophilic leukemia Cbc Differential Toxic Granulation They are azurophilic and appear most prominent in. In conclusion, leukocytosis in a patient should prompt confirmation of the cbc and wbc differential. Examination of the blood smear. Thus, it is more robust and superior for. Also note that the toxic granules are. Note that one neutrophil contains toxic granulation and the other does not. Cbc Differential Toxic Granulation.
From www.dreamstime.com
Neutrophil with Toxic Granulation and Vacuole Stock Image Image of Cbc Differential Toxic Granulation Examination of the blood smear. Thus, it is more robust and superior for. Also note that the toxic granules are. In conclusion, leukocytosis in a patient should prompt confirmation of the cbc and wbc differential. Note that one neutrophil contains toxic granulation and the other does not. They are azurophilic and appear most prominent in. Cbc Differential Toxic Granulation.
From healthjade.net
Toxic granulation definition & toxic granulation causes Cbc Differential Toxic Granulation Also note that the toxic granules are. They are azurophilic and appear most prominent in. Note that one neutrophil contains toxic granulation and the other does not. Thus, it is more robust and superior for. In conclusion, leukocytosis in a patient should prompt confirmation of the cbc and wbc differential. Examination of the blood smear. Cbc Differential Toxic Granulation.
From onlinelibrary.wiley.com
American Journal of Hematology Blood Research Journal Wiley Online Cbc Differential Toxic Granulation In conclusion, leukocytosis in a patient should prompt confirmation of the cbc and wbc differential. Thus, it is more robust and superior for. Also note that the toxic granules are. Examination of the blood smear. Note that one neutrophil contains toxic granulation and the other does not. They are azurophilic and appear most prominent in. Cbc Differential Toxic Granulation.
From imagebank.hematology.org
Toxic Granulation Cbc Differential Toxic Granulation Also note that the toxic granules are. They are azurophilic and appear most prominent in. In conclusion, leukocytosis in a patient should prompt confirmation of the cbc and wbc differential. Note that one neutrophil contains toxic granulation and the other does not. Thus, it is more robust and superior for. Examination of the blood smear. Cbc Differential Toxic Granulation.
From www.slideserve.com
PPT Morphologic and Distributive Leukocyte Disorders PowerPoint Cbc Differential Toxic Granulation Examination of the blood smear. In conclusion, leukocytosis in a patient should prompt confirmation of the cbc and wbc differential. Thus, it is more robust and superior for. They are azurophilic and appear most prominent in. Note that one neutrophil contains toxic granulation and the other does not. Also note that the toxic granules are. Cbc Differential Toxic Granulation.
From www.pinterest.com
Toxic granulation seen in segmented neutrophil. Also noted on Cbc Differential Toxic Granulation In conclusion, leukocytosis in a patient should prompt confirmation of the cbc and wbc differential. Thus, it is more robust and superior for. Note that one neutrophil contains toxic granulation and the other does not. Also note that the toxic granules are. They are azurophilic and appear most prominent in. Examination of the blood smear. Cbc Differential Toxic Granulation.
From www.pathologyoutlines.com
Pathology Outlines Reactive neutrophilia Cbc Differential Toxic Granulation Thus, it is more robust and superior for. In conclusion, leukocytosis in a patient should prompt confirmation of the cbc and wbc differential. They are azurophilic and appear most prominent in. Examination of the blood smear. Note that one neutrophil contains toxic granulation and the other does not. Also note that the toxic granules are. Cbc Differential Toxic Granulation.
From www.cureus.com
Cureus Morphologic Changes in Circulating Blood Cells of COVID19 Cbc Differential Toxic Granulation They are azurophilic and appear most prominent in. Examination of the blood smear. Also note that the toxic granules are. In conclusion, leukocytosis in a patient should prompt confirmation of the cbc and wbc differential. Note that one neutrophil contains toxic granulation and the other does not. Thus, it is more robust and superior for. Cbc Differential Toxic Granulation.
From www.brooksidepress.org
Sickcall Screeners Handbook Student Handout, Laboratory Cbc Differential Toxic Granulation Also note that the toxic granules are. In conclusion, leukocytosis in a patient should prompt confirmation of the cbc and wbc differential. Note that one neutrophil contains toxic granulation and the other does not. Examination of the blood smear. They are azurophilic and appear most prominent in. Thus, it is more robust and superior for. Cbc Differential Toxic Granulation.
From www.thebloodproject.com
Toxic Granulation • The Blood Project Cbc Differential Toxic Granulation Thus, it is more robust and superior for. Also note that the toxic granules are. Note that one neutrophil contains toxic granulation and the other does not. In conclusion, leukocytosis in a patient should prompt confirmation of the cbc and wbc differential. They are azurophilic and appear most prominent in. Examination of the blood smear. Cbc Differential Toxic Granulation.
From www.bigstockphoto.com
Toxic Granulation Image & Photo (Free Trial) Bigstock Cbc Differential Toxic Granulation Examination of the blood smear. They are azurophilic and appear most prominent in. Also note that the toxic granules are. Note that one neutrophil contains toxic granulation and the other does not. Thus, it is more robust and superior for. In conclusion, leukocytosis in a patient should prompt confirmation of the cbc and wbc differential. Cbc Differential Toxic Granulation.
From ar.inspiredpencil.com
Toxic Granulation Cbc Differential Toxic Granulation Thus, it is more robust and superior for. They are azurophilic and appear most prominent in. In conclusion, leukocytosis in a patient should prompt confirmation of the cbc and wbc differential. Also note that the toxic granules are. Note that one neutrophil contains toxic granulation and the other does not. Examination of the blood smear. Cbc Differential Toxic Granulation.
From ar.inspiredpencil.com
Cytoplasmic Granulation Toxic Cbc Differential Toxic Granulation In conclusion, leukocytosis in a patient should prompt confirmation of the cbc and wbc differential. Note that one neutrophil contains toxic granulation and the other does not. They are azurophilic and appear most prominent in. Also note that the toxic granules are. Examination of the blood smear. Thus, it is more robust and superior for. Cbc Differential Toxic Granulation.
From www.pathologystudent.com
toxic granulation Pathology Student Cbc Differential Toxic Granulation Examination of the blood smear. Note that one neutrophil contains toxic granulation and the other does not. In conclusion, leukocytosis in a patient should prompt confirmation of the cbc and wbc differential. Thus, it is more robust and superior for. They are azurophilic and appear most prominent in. Also note that the toxic granules are. Cbc Differential Toxic Granulation.
From www.youtube.com
How to Interpret a CBC blood count) (Hematopathology Cbc Differential Toxic Granulation In conclusion, leukocytosis in a patient should prompt confirmation of the cbc and wbc differential. Examination of the blood smear. Thus, it is more robust and superior for. They are azurophilic and appear most prominent in. Note that one neutrophil contains toxic granulation and the other does not. Also note that the toxic granules are. Cbc Differential Toxic Granulation.