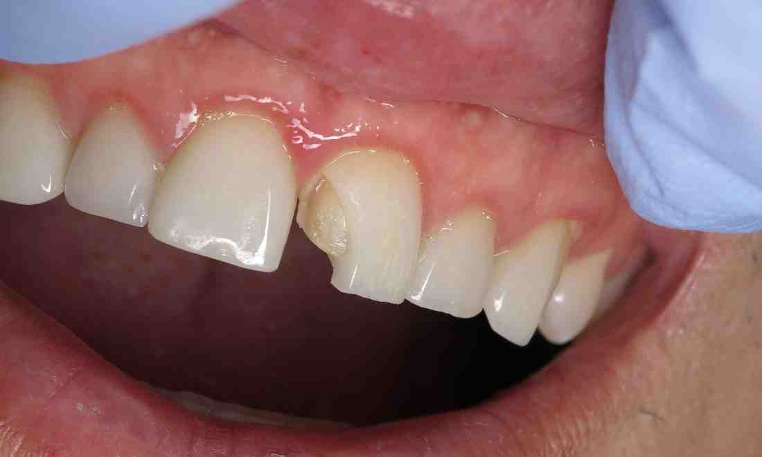
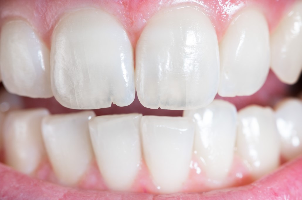
What To Do If Veneer Chips . If your veneer is loose or pretty damaged, you might want to. It’s essential to inspect the damage and to carefully remove any broken. This will just make it so the bondo will stick really well. What happens if my veneer chips? Minor chips might not cause. If you have chipped a veneer, there are several steps you must take to ensure your oral health. What to do if you experience chipped or cracked veneers. If your veneer chips or cracks, start by assessing the extent of the damage. The first thing to do if you notice a chip in your veneer is to carefully examine the damage. For the best results, scuff sand the damaged area with 220 grit sandpaper.
from www.2foodtrippers.com
For the best results, scuff sand the damaged area with 220 grit sandpaper. What happens if my veneer chips? The first thing to do if you notice a chip in your veneer is to carefully examine the damage. Minor chips might not cause. If your veneer is loose or pretty damaged, you might want to. If your veneer chips or cracks, start by assessing the extent of the damage. If you have chipped a veneer, there are several steps you must take to ensure your oral health. This will just make it so the bondo will stick really well. It’s essential to inspect the damage and to carefully remove any broken. What to do if you experience chipped or cracked veneers.
15 Best American Chips
What To Do If Veneer Chips The first thing to do if you notice a chip in your veneer is to carefully examine the damage. The first thing to do if you notice a chip in your veneer is to carefully examine the damage. If you have chipped a veneer, there are several steps you must take to ensure your oral health. This will just make it so the bondo will stick really well. If your veneer chips or cracks, start by assessing the extent of the damage. If your veneer is loose or pretty damaged, you might want to. It’s essential to inspect the damage and to carefully remove any broken. Minor chips might not cause. What happens if my veneer chips? What to do if you experience chipped or cracked veneers. For the best results, scuff sand the damaged area with 220 grit sandpaper.
From joidlarum.blob.core.windows.net
Veneers For Chipped Tooth at John Skeete blog What To Do If Veneer Chips For the best results, scuff sand the damaged area with 220 grit sandpaper. What to do if you experience chipped or cracked veneers. This will just make it so the bondo will stick really well. Minor chips might not cause. If your veneer is loose or pretty damaged, you might want to. What happens if my veneer chips? The first. What To Do If Veneer Chips.
From dxoesthyk.blob.core.windows.net
How Are Veneers Attached To Teeth at Katherine Shuford blog What To Do If Veneer Chips What happens if my veneer chips? What to do if you experience chipped or cracked veneers. If your veneer is loose or pretty damaged, you might want to. This will just make it so the bondo will stick really well. The first thing to do if you notice a chip in your veneer is to carefully examine the damage. If. What To Do If Veneer Chips.
From dxoglxifq.blob.core.windows.net
How To Fix Chips In Veneer at Serena Neer blog What To Do If Veneer Chips The first thing to do if you notice a chip in your veneer is to carefully examine the damage. This will just make it so the bondo will stick really well. For the best results, scuff sand the damaged area with 220 grit sandpaper. Minor chips might not cause. What to do if you experience chipped or cracked veneers. It’s. What To Do If Veneer Chips.
From cesibejv.blob.core.windows.net
Porcelain Veneers Explained at Mary Glickman blog What To Do If Veneer Chips Minor chips might not cause. For the best results, scuff sand the damaged area with 220 grit sandpaper. The first thing to do if you notice a chip in your veneer is to carefully examine the damage. What to do if you experience chipped or cracked veneers. This will just make it so the bondo will stick really well. If. What To Do If Veneer Chips.
From www.slipcoveredgrey.com
Fix Chipped Veneer The Easy Way Slipcovered Grey What To Do If Veneer Chips If your veneer chips or cracks, start by assessing the extent of the damage. This will just make it so the bondo will stick really well. If your veneer is loose or pretty damaged, you might want to. For the best results, scuff sand the damaged area with 220 grit sandpaper. What to do if you experience chipped or cracked. What To Do If Veneer Chips.
From www.2foodtrippers.com
15 Best American Chips What To Do If Veneer Chips If your veneer chips or cracks, start by assessing the extent of the damage. If you have chipped a veneer, there are several steps you must take to ensure your oral health. For the best results, scuff sand the damaged area with 220 grit sandpaper. This will just make it so the bondo will stick really well. What happens if. What To Do If Veneer Chips.
From imagetou.com
How To Fix Veneer Chips Image to u What To Do If Veneer Chips What happens if my veneer chips? If your veneer chips or cracks, start by assessing the extent of the damage. Minor chips might not cause. If you have chipped a veneer, there are several steps you must take to ensure your oral health. It’s essential to inspect the damage and to carefully remove any broken. This will just make it. What To Do If Veneer Chips.
From districtdentistryclt.com
Tooth Filling, Veneers, or Dental Bonding? Dentist Charlotte NC What To Do If Veneer Chips Minor chips might not cause. If your veneer is loose or pretty damaged, you might want to. It’s essential to inspect the damage and to carefully remove any broken. If your veneer chips or cracks, start by assessing the extent of the damage. For the best results, scuff sand the damaged area with 220 grit sandpaper. This will just make. What To Do If Veneer Chips.
From sandiegoinvisaligndentist.org
Cosmetic dentistry same day veneer Dental News Network What To Do If Veneer Chips If your veneer is loose or pretty damaged, you might want to. What to do if you experience chipped or cracked veneers. For the best results, scuff sand the damaged area with 220 grit sandpaper. If your veneer chips or cracks, start by assessing the extent of the damage. If you have chipped a veneer, there are several steps you. What To Do If Veneer Chips.
From signaturedentistry.com.au
The Complete Guide to Getting Veneers [Updated for 2020] What To Do If Veneer Chips This will just make it so the bondo will stick really well. If you have chipped a veneer, there are several steps you must take to ensure your oral health. If your veneer chips or cracks, start by assessing the extent of the damage. Minor chips might not cause. If your veneer is loose or pretty damaged, you might want. What To Do If Veneer Chips.
From www.reviewhome.co
How To Fix A Broken Tooth Veneer At Home Review Home Co What To Do If Veneer Chips The first thing to do if you notice a chip in your veneer is to carefully examine the damage. Minor chips might not cause. If you have chipped a veneer, there are several steps you must take to ensure your oral health. For the best results, scuff sand the damaged area with 220 grit sandpaper. It’s essential to inspect the. What To Do If Veneer Chips.
From joihidwei.blob.core.windows.net
Can Veneer Be Stripped And Restained at Paul Eaton blog What To Do If Veneer Chips If you have chipped a veneer, there are several steps you must take to ensure your oral health. If your veneer chips or cracks, start by assessing the extent of the damage. This will just make it so the bondo will stick really well. What happens if my veneer chips? The first thing to do if you notice a chip. What To Do If Veneer Chips.
From homecare24.id
Chip Komputer Homecare24 What To Do If Veneer Chips Minor chips might not cause. The first thing to do if you notice a chip in your veneer is to carefully examine the damage. If your veneer chips or cracks, start by assessing the extent of the damage. This will just make it so the bondo will stick really well. If you have chipped a veneer, there are several steps. What To Do If Veneer Chips.
From barefootsworld.net
How Often Do Dental Veneers Need to Be Replaced 2024 Guide Bare What To Do If Veneer Chips It’s essential to inspect the damage and to carefully remove any broken. Minor chips might not cause. If you have chipped a veneer, there are several steps you must take to ensure your oral health. What to do if you experience chipped or cracked veneers. What happens if my veneer chips? The first thing to do if you notice a. What To Do If Veneer Chips.
From my.clevelandclinic.org
Veneers What Are Dental Veneers? Cost, Procedure & Advantages What To Do If Veneer Chips What to do if you experience chipped or cracked veneers. The first thing to do if you notice a chip in your veneer is to carefully examine the damage. This will just make it so the bondo will stick really well. If your veneer is loose or pretty damaged, you might want to. It’s essential to inspect the damage and. What To Do If Veneer Chips.
From dxoqzifjv.blob.core.windows.net
What Is A Tooth Veneer at Oliver Corral blog What To Do If Veneer Chips For the best results, scuff sand the damaged area with 220 grit sandpaper. It’s essential to inspect the damage and to carefully remove any broken. If you have chipped a veneer, there are several steps you must take to ensure your oral health. If your veneer is loose or pretty damaged, you might want to. The first thing to do. What To Do If Veneer Chips.
From woodlandhillsfamilydentistry.com
Repairing Damaged Veneers What to Do if They Chip or Crack Dentist What To Do If Veneer Chips What to do if you experience chipped or cracked veneers. Minor chips might not cause. If you have chipped a veneer, there are several steps you must take to ensure your oral health. The first thing to do if you notice a chip in your veneer is to carefully examine the damage. What happens if my veneer chips? It’s essential. What To Do If Veneer Chips.
From tamiamidentalcenter.com
What to Do If You Chip or Damage Your Veneer Tamiami Dental Center What To Do If Veneer Chips Minor chips might not cause. If you have chipped a veneer, there are several steps you must take to ensure your oral health. If your veneer chips or cracks, start by assessing the extent of the damage. If your veneer is loose or pretty damaged, you might want to. This will just make it so the bondo will stick really. What To Do If Veneer Chips.
From www.walmart.com
Mammal Teeth Teeth Veneers Veneer Teeth Snap on Snap on Braces for Kids What To Do If Veneer Chips If you have chipped a veneer, there are several steps you must take to ensure your oral health. For the best results, scuff sand the damaged area with 220 grit sandpaper. What happens if my veneer chips? What to do if you experience chipped or cracked veneers. This will just make it so the bondo will stick really well. The. What To Do If Veneer Chips.
From www.hermanmiller.com
Oiled Walnut Wood & Veneer Wood & Veneers Materials Herman Miller What To Do If Veneer Chips The first thing to do if you notice a chip in your veneer is to carefully examine the damage. What to do if you experience chipped or cracked veneers. What happens if my veneer chips? It’s essential to inspect the damage and to carefully remove any broken. For the best results, scuff sand the damaged area with 220 grit sandpaper.. What To Do If Veneer Chips.
From pearlcosmeticdds.com
Cracked front teeth fixed with veneers Pearl Cosmetic DDS What To Do If Veneer Chips If you have chipped a veneer, there are several steps you must take to ensure your oral health. If your veneer is loose or pretty damaged, you might want to. For the best results, scuff sand the damaged area with 220 grit sandpaper. This will just make it so the bondo will stick really well. What to do if you. What To Do If Veneer Chips.
From exoqivmyv.blob.core.windows.net
Veneers Cost Nj at Mark Olvera blog What To Do If Veneer Chips What to do if you experience chipped or cracked veneers. If your veneer is loose or pretty damaged, you might want to. If your veneer chips or cracks, start by assessing the extent of the damage. This will just make it so the bondo will stick really well. The first thing to do if you notice a chip in your. What To Do If Veneer Chips.
From dxoqzifjv.blob.core.windows.net
What Is A Tooth Veneer at Oliver Corral blog What To Do If Veneer Chips What to do if you experience chipped or cracked veneers. It’s essential to inspect the damage and to carefully remove any broken. What happens if my veneer chips? If your veneer is loose or pretty damaged, you might want to. This will just make it so the bondo will stick really well. Minor chips might not cause. If your veneer. What To Do If Veneer Chips.
From klaygimjo.blob.core.windows.net
What Does Veneer Mean In Construction at Bradshaw blog What To Do If Veneer Chips What to do if you experience chipped or cracked veneers. It’s essential to inspect the damage and to carefully remove any broken. For the best results, scuff sand the damaged area with 220 grit sandpaper. Minor chips might not cause. This will just make it so the bondo will stick really well. If your veneer chips or cracks, start by. What To Do If Veneer Chips.
From exooydbmn.blob.core.windows.net
What Is Veneer Mean at Thomas Lamb blog What To Do If Veneer Chips If your veneer is loose or pretty damaged, you might want to. This will just make it so the bondo will stick really well. If you have chipped a veneer, there are several steps you must take to ensure your oral health. What happens if my veneer chips? The first thing to do if you notice a chip in your. What To Do If Veneer Chips.
From safarmedical.com
Dental veneers Types, Uses & Process Safar Medical What To Do If Veneer Chips If your veneer is loose or pretty damaged, you might want to. It’s essential to inspect the damage and to carefully remove any broken. If your veneer chips or cracks, start by assessing the extent of the damage. If you have chipped a veneer, there are several steps you must take to ensure your oral health. Minor chips might not. What To Do If Veneer Chips.
From www.dayodental.com
Are Veneers Permanent? What To Do If Veneer Chips Minor chips might not cause. If your veneer chips or cracks, start by assessing the extent of the damage. This will just make it so the bondo will stick really well. If you have chipped a veneer, there are several steps you must take to ensure your oral health. For the best results, scuff sand the damaged area with 220. What To Do If Veneer Chips.
From exomilcil.blob.core.windows.net
How To Tell Real Veneer at Joanne Mattes blog What To Do If Veneer Chips The first thing to do if you notice a chip in your veneer is to carefully examine the damage. If your veneer chips or cracks, start by assessing the extent of the damage. It’s essential to inspect the damage and to carefully remove any broken. For the best results, scuff sand the damaged area with 220 grit sandpaper. What happens. What To Do If Veneer Chips.
From www.reddit.com
How can I repair this veneer + MDF dining table? It has bubbling from What To Do If Veneer Chips This will just make it so the bondo will stick really well. What to do if you experience chipped or cracked veneers. What happens if my veneer chips? The first thing to do if you notice a chip in your veneer is to carefully examine the damage. If your veneer chips or cracks, start by assessing the extent of the. What To Do If Veneer Chips.
From www.exportersindia.com
Veneer wood chips, Color Creamy M H FIREWOOD, Rampur, Uttar Pradesh What To Do If Veneer Chips If your veneer chips or cracks, start by assessing the extent of the damage. This will just make it so the bondo will stick really well. If your veneer is loose or pretty damaged, you might want to. What to do if you experience chipped or cracked veneers. Minor chips might not cause. If you have chipped a veneer, there. What To Do If Veneer Chips.
From harbourviewdental.ca
From Chips to Gaps What Dental Issues Can a Veneer Fix? What To Do If Veneer Chips If your veneer chips or cracks, start by assessing the extent of the damage. If your veneer is loose or pretty damaged, you might want to. If you have chipped a veneer, there are several steps you must take to ensure your oral health. The first thing to do if you notice a chip in your veneer is to carefully. What To Do If Veneer Chips.
From www.indiamart.com
Firewood Veneer chips, For Boiler at best price in Hapur ID 25368577062 What To Do If Veneer Chips For the best results, scuff sand the damaged area with 220 grit sandpaper. What happens if my veneer chips? What to do if you experience chipped or cracked veneers. The first thing to do if you notice a chip in your veneer is to carefully examine the damage. Minor chips might not cause. This will just make it so the. What To Do If Veneer Chips.
From angandjoey.com
No More Chipped Veneer The After Slipcovered Grey What To Do If Veneer Chips If your veneer is loose or pretty damaged, you might want to. Minor chips might not cause. It’s essential to inspect the damage and to carefully remove any broken. If you have chipped a veneer, there are several steps you must take to ensure your oral health. If your veneer chips or cracks, start by assessing the extent of the. What To Do If Veneer Chips.
From joiuifxhr.blob.core.windows.net
Wood Door Veneer Grades at Mandy Waites blog What To Do If Veneer Chips If your veneer is loose or pretty damaged, you might want to. What happens if my veneer chips? It’s essential to inspect the damage and to carefully remove any broken. What to do if you experience chipped or cracked veneers. The first thing to do if you notice a chip in your veneer is to carefully examine the damage. This. What To Do If Veneer Chips.
From klaqivblc.blob.core.windows.net
Veneers For My Front Teeth at Cristopher Turner blog What To Do If Veneer Chips If you have chipped a veneer, there are several steps you must take to ensure your oral health. If your veneer chips or cracks, start by assessing the extent of the damage. Minor chips might not cause. This will just make it so the bondo will stick really well. The first thing to do if you notice a chip in. What To Do If Veneer Chips.