Why Is White Matter White . The white matter on the other hand primarily consists of myelinated axons and the supportive glial cells. White matter, which lies beneath the gray matter cortex, is composed of millions of bundles of axons (nerve fibers) that connect neurons in. The purpose of the white matter is to. Association fibers, commissural fibers, and projection fibers. White matter, which is made up of countless thin strands that act like communication cables, is mostly found deep within your brain. Once considered little more than tightly packed cabling, white matter is now known to be as important as gray matter. It contains three major groups of axons: In the brain, white matter is situated beneath the gray matter of the cortex and connects various gray matter areas within the brain to each other. It contains nerve fibers (axons), which are extensions of nerve. White matter is found in the deeper tissues of the brain (subcortical). The outer portion of your spinal cord is also made up of white.
from www.verywellhealth.com
The white matter on the other hand primarily consists of myelinated axons and the supportive glial cells. White matter is found in the deeper tissues of the brain (subcortical). White matter, which is made up of countless thin strands that act like communication cables, is mostly found deep within your brain. It contains nerve fibers (axons), which are extensions of nerve. White matter, which lies beneath the gray matter cortex, is composed of millions of bundles of axons (nerve fibers) that connect neurons in. Association fibers, commissural fibers, and projection fibers. It contains three major groups of axons: In the brain, white matter is situated beneath the gray matter of the cortex and connects various gray matter areas within the brain to each other. The purpose of the white matter is to. Once considered little more than tightly packed cabling, white matter is now known to be as important as gray matter.
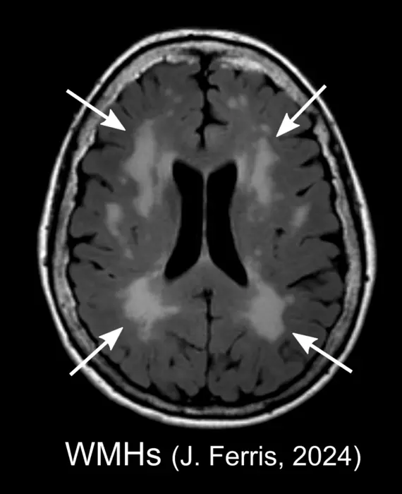
Spots on an MRI White Matter Hyperintensities
Why Is White Matter White The purpose of the white matter is to. The white matter on the other hand primarily consists of myelinated axons and the supportive glial cells. White matter is found in the deeper tissues of the brain (subcortical). White matter, which lies beneath the gray matter cortex, is composed of millions of bundles of axons (nerve fibers) that connect neurons in. Association fibers, commissural fibers, and projection fibers. The purpose of the white matter is to. It contains three major groups of axons: Once considered little more than tightly packed cabling, white matter is now known to be as important as gray matter. White matter, which is made up of countless thin strands that act like communication cables, is mostly found deep within your brain. The outer portion of your spinal cord is also made up of white. It contains nerve fibers (axons), which are extensions of nerve. In the brain, white matter is situated beneath the gray matter of the cortex and connects various gray matter areas within the brain to each other.
From kids.frontiersin.org
White Matter Counts Brain Connections Help Us Do 2 + 2 · Frontiers for Why Is White Matter White The outer portion of your spinal cord is also made up of white. Once considered little more than tightly packed cabling, white matter is now known to be as important as gray matter. The purpose of the white matter is to. It contains three major groups of axons: White matter, which lies beneath the gray matter cortex, is composed of. Why Is White Matter White.
From www.ebrain.pitt.edu
Unhealthy White Matter Connectivity, Cognition, and Racialization in Why Is White Matter White Association fibers, commissural fibers, and projection fibers. White matter, which is made up of countless thin strands that act like communication cables, is mostly found deep within your brain. The outer portion of your spinal cord is also made up of white. In the brain, white matter is situated beneath the gray matter of the cortex and connects various gray. Why Is White Matter White.
From www.frontiersin.org
Frontiers Value of white matter hyperintensity volume and total white Why Is White Matter White White matter, which lies beneath the gray matter cortex, is composed of millions of bundles of axons (nerve fibers) that connect neurons in. White matter is found in the deeper tissues of the brain (subcortical). It contains nerve fibers (axons), which are extensions of nerve. It contains three major groups of axons: In the brain, white matter is situated beneath. Why Is White Matter White.
From www.science.org
White matter and human behavior Science Why Is White Matter White Association fibers, commissural fibers, and projection fibers. Once considered little more than tightly packed cabling, white matter is now known to be as important as gray matter. The purpose of the white matter is to. White matter, which is made up of countless thin strands that act like communication cables, is mostly found deep within your brain. It contains three. Why Is White Matter White.
From headaches.org
White Matter Lesions and Migraine Disease National Headache Foundation Why Is White Matter White The outer portion of your spinal cord is also made up of white. It contains nerve fibers (axons), which are extensions of nerve. White matter, which is made up of countless thin strands that act like communication cables, is mostly found deep within your brain. Once considered little more than tightly packed cabling, white matter is now known to be. Why Is White Matter White.
From quizlet.com
White Matter Diagram Quizlet Why Is White Matter White White matter is found in the deeper tissues of the brain (subcortical). White matter, which lies beneath the gray matter cortex, is composed of millions of bundles of axons (nerve fibers) that connect neurons in. It contains nerve fibers (axons), which are extensions of nerve. The outer portion of your spinal cord is also made up of white. It contains. Why Is White Matter White.
From blogs.biomedcentral.com
The subway of the brain Why white matter matters. On Biology Why Is White Matter White White matter, which is made up of countless thin strands that act like communication cables, is mostly found deep within your brain. It contains nerve fibers (axons), which are extensions of nerve. The outer portion of your spinal cord is also made up of white. The purpose of the white matter is to. White matter is found in the deeper. Why Is White Matter White.
From fineartamerica.com
White Matter Fibres Of The Human Brain Photograph by Alfred Pasieka Why Is White Matter White White matter, which is made up of countless thin strands that act like communication cables, is mostly found deep within your brain. White matter is found in the deeper tissues of the brain (subcortical). The white matter on the other hand primarily consists of myelinated axons and the supportive glial cells. In the brain, white matter is situated beneath the. Why Is White Matter White.
From www.science.org
Common variation influencing human white matter microstructure Why Is White Matter White White matter, which is made up of countless thin strands that act like communication cables, is mostly found deep within your brain. The outer portion of your spinal cord is also made up of white. The purpose of the white matter is to. Once considered little more than tightly packed cabling, white matter is now known to be as important. Why Is White Matter White.
From www.ahajournals.org
What are White Matter Hyperintensities Made of? Journal of the Why Is White Matter White White matter is found in the deeper tissues of the brain (subcortical). It contains nerve fibers (axons), which are extensions of nerve. It contains three major groups of axons: The white matter on the other hand primarily consists of myelinated axons and the supportive glial cells. The purpose of the white matter is to. Once considered little more than tightly. Why Is White Matter White.
From www.eurekalert.org
white matter hyperintensities [IMAGE] EurekAlert! Science News Releases Why Is White Matter White The white matter on the other hand primarily consists of myelinated axons and the supportive glial cells. It contains three major groups of axons: It contains nerve fibers (axons), which are extensions of nerve. Association fibers, commissural fibers, and projection fibers. White matter, which is made up of countless thin strands that act like communication cables, is mostly found deep. Why Is White Matter White.
From advancedbrain.com
Understanding Alzheimer’s New Imaging Study Indicates White Matter Why Is White Matter White The outer portion of your spinal cord is also made up of white. Association fibers, commissural fibers, and projection fibers. Once considered little more than tightly packed cabling, white matter is now known to be as important as gray matter. White matter, which is made up of countless thin strands that act like communication cables, is mostly found deep within. Why Is White Matter White.
From quizlet.com
Diagram of White matter in the brain Quizlet Why Is White Matter White The white matter on the other hand primarily consists of myelinated axons and the supportive glial cells. White matter is found in the deeper tissues of the brain (subcortical). Once considered little more than tightly packed cabling, white matter is now known to be as important as gray matter. The purpose of the white matter is to. The outer portion. Why Is White Matter White.
From www.osmosis.org
Anatomy of the white matter tracts Video & Anatomy Osmosis Why Is White Matter White White matter, which is made up of countless thin strands that act like communication cables, is mostly found deep within your brain. Once considered little more than tightly packed cabling, white matter is now known to be as important as gray matter. Association fibers, commissural fibers, and projection fibers. It contains three major groups of axons: The purpose of the. Why Is White Matter White.
From www.bmj.com
The clinical importance of white matter hyperintensities on brain Why Is White Matter White The white matter on the other hand primarily consists of myelinated axons and the supportive glial cells. The purpose of the white matter is to. Association fibers, commissural fibers, and projection fibers. White matter, which is made up of countless thin strands that act like communication cables, is mostly found deep within your brain. White matter, which lies beneath the. Why Is White Matter White.
From www.thelancet.com
Progression of cerebral white matter lesions 6year results of the Why Is White Matter White In the brain, white matter is situated beneath the gray matter of the cortex and connects various gray matter areas within the brain to each other. It contains nerve fibers (axons), which are extensions of nerve. Once considered little more than tightly packed cabling, white matter is now known to be as important as gray matter. Association fibers, commissural fibers,. Why Is White Matter White.
From www.ahajournals.org
Impact of White Matter Changes on Clinical Manifestation of Alzheimer’s Why Is White Matter White The purpose of the white matter is to. White matter is found in the deeper tissues of the brain (subcortical). Association fibers, commissural fibers, and projection fibers. It contains three major groups of axons: Once considered little more than tightly packed cabling, white matter is now known to be as important as gray matter. White matter, which is made up. Why Is White Matter White.
From droblocks.weebly.com
What is white matter in the brain droblocks Why Is White Matter White The outer portion of your spinal cord is also made up of white. White matter is found in the deeper tissues of the brain (subcortical). It contains nerve fibers (axons), which are extensions of nerve. Once considered little more than tightly packed cabling, white matter is now known to be as important as gray matter. In the brain, white matter. Why Is White Matter White.
From jamanetwork.com
White Matter Structural Integrity in Healthy Aging Adults and Patients Why Is White Matter White In the brain, white matter is situated beneath the gray matter of the cortex and connects various gray matter areas within the brain to each other. The outer portion of your spinal cord is also made up of white. Once considered little more than tightly packed cabling, white matter is now known to be as important as gray matter. The. Why Is White Matter White.
From jnnp.bmj.com
Progression of cerebral white matter lesions in Alzheimer’s disease a Why Is White Matter White The outer portion of your spinal cord is also made up of white. The purpose of the white matter is to. White matter, which lies beneath the gray matter cortex, is composed of millions of bundles of axons (nerve fibers) that connect neurons in. It contains nerve fibers (axons), which are extensions of nerve. The white matter on the other. Why Is White Matter White.
From pursuit.unimelb.edu.au
Brain white matter declines for years after a stroke Pursuit by The Why Is White Matter White Once considered little more than tightly packed cabling, white matter is now known to be as important as gray matter. White matter is found in the deeper tissues of the brain (subcortical). It contains three major groups of axons: Association fibers, commissural fibers, and projection fibers. White matter, which is made up of countless thin strands that act like communication. Why Is White Matter White.
From www.verywellhealth.com
Spots on an MRI White Matter Hyperintensities Why Is White Matter White In the brain, white matter is situated beneath the gray matter of the cortex and connects various gray matter areas within the brain to each other. The outer portion of your spinal cord is also made up of white. The white matter on the other hand primarily consists of myelinated axons and the supportive glial cells. White matter, which lies. Why Is White Matter White.
From quizlet.com
White Matter Tracts Diagram Quizlet Why Is White Matter White The outer portion of your spinal cord is also made up of white. White matter is found in the deeper tissues of the brain (subcortical). White matter, which is made up of countless thin strands that act like communication cables, is mostly found deep within your brain. The white matter on the other hand primarily consists of myelinated axons and. Why Is White Matter White.
From www.medicalnewstoday.com
White matter The brain's flexible but underrated superhighway Why Is White Matter White It contains nerve fibers (axons), which are extensions of nerve. White matter, which lies beneath the gray matter cortex, is composed of millions of bundles of axons (nerve fibers) that connect neurons in. White matter is found in the deeper tissues of the brain (subcortical). Association fibers, commissural fibers, and projection fibers. In the brain, white matter is situated beneath. Why Is White Matter White.
From www.ncbi.nlm.nih.gov
Fig. 7, [White matter (white), arteries (red),...]. Brain and Human Why Is White Matter White The white matter on the other hand primarily consists of myelinated axons and the supportive glial cells. The purpose of the white matter is to. White matter, which is made up of countless thin strands that act like communication cables, is mostly found deep within your brain. White matter, which lies beneath the gray matter cortex, is composed of millions. Why Is White Matter White.
From www.spinalcord.com
Grey Matter vs White Matter in the Brain Why Is White Matter White It contains nerve fibers (axons), which are extensions of nerve. White matter, which lies beneath the gray matter cortex, is composed of millions of bundles of axons (nerve fibers) that connect neurons in. The purpose of the white matter is to. Association fibers, commissural fibers, and projection fibers. White matter, which is made up of countless thin strands that act. Why Is White Matter White.
From study.com
Gray vs. White Matter Location, Differences & Function Lesson Why Is White Matter White White matter, which is made up of countless thin strands that act like communication cables, is mostly found deep within your brain. Association fibers, commissural fibers, and projection fibers. The purpose of the white matter is to. White matter, which lies beneath the gray matter cortex, is composed of millions of bundles of axons (nerve fibers) that connect neurons in.. Why Is White Matter White.
From fineartamerica.com
Brain White Matter Photograph by Zephyr/science Photo Library Fine Why Is White Matter White The purpose of the white matter is to. It contains three major groups of axons: White matter, which lies beneath the gray matter cortex, is composed of millions of bundles of axons (nerve fibers) that connect neurons in. The white matter on the other hand primarily consists of myelinated axons and the supportive glial cells. White matter is found in. Why Is White Matter White.
From jnnp.bmj.com
Significance of white matter high intensity lesions as a predictor of Why Is White Matter White In the brain, white matter is situated beneath the gray matter of the cortex and connects various gray matter areas within the brain to each other. White matter, which is made up of countless thin strands that act like communication cables, is mostly found deep within your brain. It contains nerve fibers (axons), which are extensions of nerve. White matter. Why Is White Matter White.
From www.ahajournals.org
Understanding White Matter Disease Stroke Why Is White Matter White White matter, which is made up of countless thin strands that act like communication cables, is mostly found deep within your brain. Once considered little more than tightly packed cabling, white matter is now known to be as important as gray matter. It contains three major groups of axons: White matter, which lies beneath the gray matter cortex, is composed. Why Is White Matter White.
From www.docpanel.com
Navigating a White Matter Disease Diagnosis Why Is White Matter White White matter is found in the deeper tissues of the brain (subcortical). The purpose of the white matter is to. Once considered little more than tightly packed cabling, white matter is now known to be as important as gray matter. In the brain, white matter is situated beneath the gray matter of the cortex and connects various gray matter areas. Why Is White Matter White.
From neupsykey.com
White Matter Anatomy Neupsy Key Why Is White Matter White Once considered little more than tightly packed cabling, white matter is now known to be as important as gray matter. White matter, which is made up of countless thin strands that act like communication cables, is mostly found deep within your brain. It contains three major groups of axons: White matter is found in the deeper tissues of the brain. Why Is White Matter White.
From www.ahajournals.org
Understanding White Matter Disease Stroke Why Is White Matter White In the brain, white matter is situated beneath the gray matter of the cortex and connects various gray matter areas within the brain to each other. White matter, which is made up of countless thin strands that act like communication cables, is mostly found deep within your brain. The white matter on the other hand primarily consists of myelinated axons. Why Is White Matter White.
From www.kenhub.com
White matter Anatomy and function Kenhub Why Is White Matter White The outer portion of your spinal cord is also made up of white. In the brain, white matter is situated beneath the gray matter of the cortex and connects various gray matter areas within the brain to each other. It contains nerve fibers (axons), which are extensions of nerve. The purpose of the white matter is to. Association fibers, commissural. Why Is White Matter White.
From www.simplypsychology.org
What Is White Matter In The Brain Why Is White Matter White White matter, which is made up of countless thin strands that act like communication cables, is mostly found deep within your brain. The outer portion of your spinal cord is also made up of white. It contains three major groups of axons: The purpose of the white matter is to. The white matter on the other hand primarily consists of. Why Is White Matter White.