What Is A Urethral Diverticulum . Urethral diverticula, or urethroceles, are focal outpouchings of the urethra. It is thought to arise. They should not be confused with a ureterocele of the distal ureter. A urethral diverticula is described as a cystic structure that is adjacent to the urethra. What is a urethral diverticulum? The diagnosis and management of urethral diverticula (ud) present a challenge to the reconstructive urologist. Urethral diverticulum (ud) is a condition in which a variably sized “pocket” or outpouching forms next to the urethra.
from www.slideserve.com
The diagnosis and management of urethral diverticula (ud) present a challenge to the reconstructive urologist. Urethral diverticulum (ud) is a condition in which a variably sized “pocket” or outpouching forms next to the urethra. It is thought to arise. Urethral diverticula, or urethroceles, are focal outpouchings of the urethra. What is a urethral diverticulum? A urethral diverticula is described as a cystic structure that is adjacent to the urethra. They should not be confused with a ureterocele of the distal ureter.
PPT Urethral Diverticula PowerPoint Presentation, free download ID
What Is A Urethral Diverticulum Urethral diverticula, or urethroceles, are focal outpouchings of the urethra. It is thought to arise. The diagnosis and management of urethral diverticula (ud) present a challenge to the reconstructive urologist. What is a urethral diverticulum? They should not be confused with a ureterocele of the distal ureter. Urethral diverticulum (ud) is a condition in which a variably sized “pocket” or outpouching forms next to the urethra. A urethral diverticula is described as a cystic structure that is adjacent to the urethra. Urethral diverticula, or urethroceles, are focal outpouchings of the urethra.
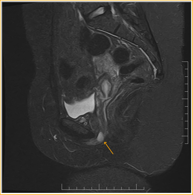
From radiopaedia.org
Urethral diverticulum Image What Is A Urethral Diverticulum Urethral diverticula, or urethroceles, are focal outpouchings of the urethra. They should not be confused with a ureterocele of the distal ureter. What is a urethral diverticulum? Urethral diverticulum (ud) is a condition in which a variably sized “pocket” or outpouching forms next to the urethra. The diagnosis and management of urethral diverticula (ud) present a challenge to the reconstructive. What Is A Urethral Diverticulum.
From pubs.rsna.org
Imaging of Female Urethral Diverticulum An Update RadioGraphics What Is A Urethral Diverticulum Urethral diverticula, or urethroceles, are focal outpouchings of the urethra. They should not be confused with a ureterocele of the distal ureter. What is a urethral diverticulum? A urethral diverticula is described as a cystic structure that is adjacent to the urethra. Urethral diverticulum (ud) is a condition in which a variably sized “pocket” or outpouching forms next to the. What Is A Urethral Diverticulum.
From www.gutcare.com.sg
Diverticular Disease GutCARE What Is A Urethral Diverticulum They should not be confused with a ureterocele of the distal ureter. The diagnosis and management of urethral diverticula (ud) present a challenge to the reconstructive urologist. It is thought to arise. What is a urethral diverticulum? Urethral diverticulum (ud) is a condition in which a variably sized “pocket” or outpouching forms next to the urethra. A urethral diverticula is. What Is A Urethral Diverticulum.
From mygynae.co.uk
urethral diverticulum vaginal view e1523085684238 My Gynae What Is A Urethral Diverticulum Urethral diverticulum (ud) is a condition in which a variably sized “pocket” or outpouching forms next to the urethra. A urethral diverticula is described as a cystic structure that is adjacent to the urethra. The diagnosis and management of urethral diverticula (ud) present a challenge to the reconstructive urologist. What is a urethral diverticulum? Urethral diverticula, or urethroceles, are focal. What Is A Urethral Diverticulum.
From pubs.rsna.org
Imaging of Female Urethral Diverticulum An Update RadioGraphics What Is A Urethral Diverticulum Urethral diverticulum (ud) is a condition in which a variably sized “pocket” or outpouching forms next to the urethra. A urethral diverticula is described as a cystic structure that is adjacent to the urethra. What is a urethral diverticulum? They should not be confused with a ureterocele of the distal ureter. The diagnosis and management of urethral diverticula (ud) present. What Is A Urethral Diverticulum.
From www.researchgate.net
MRI picture illustrating a urethral diverticulum Download Scientific What Is A Urethral Diverticulum Urethral diverticula, or urethroceles, are focal outpouchings of the urethra. Urethral diverticulum (ud) is a condition in which a variably sized “pocket” or outpouching forms next to the urethra. A urethral diverticula is described as a cystic structure that is adjacent to the urethra. What is a urethral diverticulum? They should not be confused with a ureterocele of the distal. What Is A Urethral Diverticulum.
From mygynae.co.uk
know What is Urethral Diverticula Symptoms, Causes and Diagnosis What Is A Urethral Diverticulum Urethral diverticula, or urethroceles, are focal outpouchings of the urethra. A urethral diverticula is described as a cystic structure that is adjacent to the urethra. What is a urethral diverticulum? They should not be confused with a ureterocele of the distal ureter. It is thought to arise. The diagnosis and management of urethral diverticula (ud) present a challenge to the. What Is A Urethral Diverticulum.
From pubs.rsna.org
Imaging of Female Urethral Diverticulum An Update RadioGraphics What Is A Urethral Diverticulum What is a urethral diverticulum? The diagnosis and management of urethral diverticula (ud) present a challenge to the reconstructive urologist. It is thought to arise. Urethral diverticula, or urethroceles, are focal outpouchings of the urethra. Urethral diverticulum (ud) is a condition in which a variably sized “pocket” or outpouching forms next to the urethra. A urethral diverticula is described as. What Is A Urethral Diverticulum.
From www.wikidoc.org
Urethral diverticulum wikidoc What Is A Urethral Diverticulum It is thought to arise. They should not be confused with a ureterocele of the distal ureter. A urethral diverticula is described as a cystic structure that is adjacent to the urethra. What is a urethral diverticulum? Urethral diverticulum (ud) is a condition in which a variably sized “pocket” or outpouching forms next to the urethra. The diagnosis and management. What Is A Urethral Diverticulum.
From www.researchgate.net
Urethral diverticulum (female prostate sign). Sagittal fast spinecho What Is A Urethral Diverticulum The diagnosis and management of urethral diverticula (ud) present a challenge to the reconstructive urologist. They should not be confused with a ureterocele of the distal ureter. It is thought to arise. A urethral diverticula is described as a cystic structure that is adjacent to the urethra. What is a urethral diverticulum? Urethral diverticulum (ud) is a condition in which. What Is A Urethral Diverticulum.
From pubs.rsna.org
Imaging of Female Urethral Diverticulum An Update RadioGraphics What Is A Urethral Diverticulum It is thought to arise. What is a urethral diverticulum? The diagnosis and management of urethral diverticula (ud) present a challenge to the reconstructive urologist. Urethral diverticula, or urethroceles, are focal outpouchings of the urethra. They should not be confused with a ureterocele of the distal ureter. Urethral diverticulum (ud) is a condition in which a variably sized “pocket” or. What Is A Urethral Diverticulum.
From www.urologynews.uk.com
Urethral diverticulum a review of the literature and local experience What Is A Urethral Diverticulum Urethral diverticulum (ud) is a condition in which a variably sized “pocket” or outpouching forms next to the urethra. The diagnosis and management of urethral diverticula (ud) present a challenge to the reconstructive urologist. They should not be confused with a ureterocele of the distal ureter. What is a urethral diverticulum? A urethral diverticula is described as a cystic structure. What Is A Urethral Diverticulum.
From www.slideserve.com
PPT Urethral Diverticula PowerPoint Presentation, free download ID What Is A Urethral Diverticulum A urethral diverticula is described as a cystic structure that is adjacent to the urethra. It is thought to arise. The diagnosis and management of urethral diverticula (ud) present a challenge to the reconstructive urologist. Urethral diverticula, or urethroceles, are focal outpouchings of the urethra. What is a urethral diverticulum? They should not be confused with a ureterocele of the. What Is A Urethral Diverticulum.
From www.eurorad.org
Urethral diverticulum Eurorad What Is A Urethral Diverticulum Urethral diverticulum (ud) is a condition in which a variably sized “pocket” or outpouching forms next to the urethra. The diagnosis and management of urethral diverticula (ud) present a challenge to the reconstructive urologist. What is a urethral diverticulum? Urethral diverticula, or urethroceles, are focal outpouchings of the urethra. It is thought to arise. A urethral diverticula is described as. What Is A Urethral Diverticulum.
From www.ajronline.org
Pre and Postoperative Evaluation of Urethral Diverticulum AJR What Is A Urethral Diverticulum Urethral diverticulum (ud) is a condition in which a variably sized “pocket” or outpouching forms next to the urethra. What is a urethral diverticulum? A urethral diverticula is described as a cystic structure that is adjacent to the urethra. The diagnosis and management of urethral diverticula (ud) present a challenge to the reconstructive urologist. It is thought to arise. They. What Is A Urethral Diverticulum.
From www.youtube.com
Anterior urethral valve (diverticulum) Cystoscopy Ablation by Dr Ramesh What Is A Urethral Diverticulum It is thought to arise. Urethral diverticula, or urethroceles, are focal outpouchings of the urethra. They should not be confused with a ureterocele of the distal ureter. Urethral diverticulum (ud) is a condition in which a variably sized “pocket” or outpouching forms next to the urethra. The diagnosis and management of urethral diverticula (ud) present a challenge to the reconstructive. What Is A Urethral Diverticulum.
From narodnatribuna.info
Anterior Urethral Valve Diverticulum Cystoscopic Ablation What Is A Urethral Diverticulum A urethral diverticula is described as a cystic structure that is adjacent to the urethra. It is thought to arise. The diagnosis and management of urethral diverticula (ud) present a challenge to the reconstructive urologist. Urethral diverticulum (ud) is a condition in which a variably sized “pocket” or outpouching forms next to the urethra. They should not be confused with. What Is A Urethral Diverticulum.
From www.slideserve.com
PPT Urethral Diverticula PowerPoint Presentation, free download ID What Is A Urethral Diverticulum A urethral diverticula is described as a cystic structure that is adjacent to the urethra. What is a urethral diverticulum? It is thought to arise. Urethral diverticulum (ud) is a condition in which a variably sized “pocket” or outpouching forms next to the urethra. They should not be confused with a ureterocele of the distal ureter. Urethral diverticula, or urethroceles,. What Is A Urethral Diverticulum.
From www.indianradiology.com
Urethral Diverticulum MRI Sumer's Radiology Blog What Is A Urethral Diverticulum Urethral diverticulum (ud) is a condition in which a variably sized “pocket” or outpouching forms next to the urethra. It is thought to arise. They should not be confused with a ureterocele of the distal ureter. Urethral diverticula, or urethroceles, are focal outpouchings of the urethra. What is a urethral diverticulum? The diagnosis and management of urethral diverticula (ud) present. What Is A Urethral Diverticulum.
From www.researchgate.net
(PDF) Urethral diverticulum with proximal urethral stricture An What Is A Urethral Diverticulum Urethral diverticulum (ud) is a condition in which a variably sized “pocket” or outpouching forms next to the urethra. What is a urethral diverticulum? They should not be confused with a ureterocele of the distal ureter. Urethral diverticula, or urethroceles, are focal outpouchings of the urethra. The diagnosis and management of urethral diverticula (ud) present a challenge to the reconstructive. What Is A Urethral Diverticulum.
From healthjade.com
Urethral diverticulum definition, causes, symptoms, diagnosis & treatment What Is A Urethral Diverticulum Urethral diverticulum (ud) is a condition in which a variably sized “pocket” or outpouching forms next to the urethra. They should not be confused with a ureterocele of the distal ureter. What is a urethral diverticulum? A urethral diverticula is described as a cystic structure that is adjacent to the urethra. The diagnosis and management of urethral diverticula (ud) present. What Is A Urethral Diverticulum.
From www.youtube.com
What is the Recovery Time for Urethral Diverticulum Surgery? by Dr What Is A Urethral Diverticulum Urethral diverticulum (ud) is a condition in which a variably sized “pocket” or outpouching forms next to the urethra. The diagnosis and management of urethral diverticula (ud) present a challenge to the reconstructive urologist. What is a urethral diverticulum? A urethral diverticula is described as a cystic structure that is adjacent to the urethra. It is thought to arise. Urethral. What Is A Urethral Diverticulum.
From pubs.rsna.org
Imaging of Female Urethral Diverticulum An Update RadioGraphics What Is A Urethral Diverticulum It is thought to arise. The diagnosis and management of urethral diverticula (ud) present a challenge to the reconstructive urologist. They should not be confused with a ureterocele of the distal ureter. Urethral diverticula, or urethroceles, are focal outpouchings of the urethra. A urethral diverticula is described as a cystic structure that is adjacent to the urethra. What is a. What Is A Urethral Diverticulum.
From www.researchgate.net
Urethral diverticulum. Download Scientific Diagram What Is A Urethral Diverticulum Urethral diverticula, or urethroceles, are focal outpouchings of the urethra. Urethral diverticulum (ud) is a condition in which a variably sized “pocket” or outpouching forms next to the urethra. The diagnosis and management of urethral diverticula (ud) present a challenge to the reconstructive urologist. It is thought to arise. They should not be confused with a ureterocele of the distal. What Is A Urethral Diverticulum.
From www.slideserve.com
PPT Urethral Diverticula PowerPoint Presentation, free download ID What Is A Urethral Diverticulum It is thought to arise. They should not be confused with a ureterocele of the distal ureter. What is a urethral diverticulum? The diagnosis and management of urethral diverticula (ud) present a challenge to the reconstructive urologist. Urethral diverticulum (ud) is a condition in which a variably sized “pocket” or outpouching forms next to the urethra. A urethral diverticula is. What Is A Urethral Diverticulum.
From bodymri.stanford.edu
Urethral Diverticulum Body MRI What Is A Urethral Diverticulum A urethral diverticula is described as a cystic structure that is adjacent to the urethra. What is a urethral diverticulum? The diagnosis and management of urethral diverticula (ud) present a challenge to the reconstructive urologist. It is thought to arise. They should not be confused with a ureterocele of the distal ureter. Urethral diverticula, or urethroceles, are focal outpouchings of. What Is A Urethral Diverticulum.
From www.indianradiology.com
Urethral Diverticulum MRI Sumer's Radiology Blog What Is A Urethral Diverticulum It is thought to arise. A urethral diverticula is described as a cystic structure that is adjacent to the urethra. They should not be confused with a ureterocele of the distal ureter. Urethral diverticula, or urethroceles, are focal outpouchings of the urethra. Urethral diverticulum (ud) is a condition in which a variably sized “pocket” or outpouching forms next to the. What Is A Urethral Diverticulum.
From casereports.bmj.com
Acquired male urethral diverticulum a rare entity treated in a one What Is A Urethral Diverticulum Urethral diverticula, or urethroceles, are focal outpouchings of the urethra. A urethral diverticula is described as a cystic structure that is adjacent to the urethra. They should not be confused with a ureterocele of the distal ureter. What is a urethral diverticulum? Urethral diverticulum (ud) is a condition in which a variably sized “pocket” or outpouching forms next to the. What Is A Urethral Diverticulum.
From www.cureus.com
Cureus A Large Congenital Anterior Urethral Diverticulum in a 14 What Is A Urethral Diverticulum The diagnosis and management of urethral diverticula (ud) present a challenge to the reconstructive urologist. Urethral diverticulum (ud) is a condition in which a variably sized “pocket” or outpouching forms next to the urethra. It is thought to arise. Urethral diverticula, or urethroceles, are focal outpouchings of the urethra. They should not be confused with a ureterocele of the distal. What Is A Urethral Diverticulum.
From pubs.rsna.org
Imaging of Female Urethral Diverticulum An Update RadioGraphics What Is A Urethral Diverticulum The diagnosis and management of urethral diverticula (ud) present a challenge to the reconstructive urologist. What is a urethral diverticulum? Urethral diverticulum (ud) is a condition in which a variably sized “pocket” or outpouching forms next to the urethra. It is thought to arise. Urethral diverticula, or urethroceles, are focal outpouchings of the urethra. A urethral diverticula is described as. What Is A Urethral Diverticulum.
From www.urologynews.uk.com
Urethral diverticulum a review of the literature and local experience What Is A Urethral Diverticulum What is a urethral diverticulum? Urethral diverticulum (ud) is a condition in which a variably sized “pocket” or outpouching forms next to the urethra. Urethral diverticula, or urethroceles, are focal outpouchings of the urethra. A urethral diverticula is described as a cystic structure that is adjacent to the urethra. They should not be confused with a ureterocele of the distal. What Is A Urethral Diverticulum.
From www.jpurol.com
Are anterior urethral valve and anterior urethral diverticulum two What Is A Urethral Diverticulum It is thought to arise. What is a urethral diverticulum? Urethral diverticulum (ud) is a condition in which a variably sized “pocket” or outpouching forms next to the urethra. Urethral diverticula, or urethroceles, are focal outpouchings of the urethra. A urethral diverticula is described as a cystic structure that is adjacent to the urethra. The diagnosis and management of urethral. What Is A Urethral Diverticulum.
From urologyaustin.com
Bladder Diverticulum Bladder Pouch Urologist Urology Austin What Is A Urethral Diverticulum It is thought to arise. What is a urethral diverticulum? A urethral diverticula is described as a cystic structure that is adjacent to the urethra. The diagnosis and management of urethral diverticula (ud) present a challenge to the reconstructive urologist. They should not be confused with a ureterocele of the distal ureter. Urethral diverticulum (ud) is a condition in which. What Is A Urethral Diverticulum.
From www.slideserve.com
PPT Urethral Diverticula PowerPoint Presentation, free download ID What Is A Urethral Diverticulum The diagnosis and management of urethral diverticula (ud) present a challenge to the reconstructive urologist. What is a urethral diverticulum? A urethral diverticula is described as a cystic structure that is adjacent to the urethra. They should not be confused with a ureterocele of the distal ureter. It is thought to arise. Urethral diverticulum (ud) is a condition in which. What Is A Urethral Diverticulum.
From www.ctisus.com
Urethral Diverticulum Body MR Case Studies CTisus CT Scanning What Is A Urethral Diverticulum Urethral diverticulum (ud) is a condition in which a variably sized “pocket” or outpouching forms next to the urethra. It is thought to arise. The diagnosis and management of urethral diverticula (ud) present a challenge to the reconstructive urologist. A urethral diverticula is described as a cystic structure that is adjacent to the urethra. What is a urethral diverticulum? Urethral. What Is A Urethral Diverticulum.