Tmj Joints Xray . if your doctor or dentist suspects a problem, you may need: A panoramic radiograph is considered a “screening” projection and is often used in. the axiolateral oblique temporomandibular joint (tmj) view allows for visualization of the articular tubercle, mandibular condyle and. the temporomandibular joint (tmj) is a bilateral synovial articulation between the mandible and skull base. computed tomography and ultrasound imaging have specific indication in imaging of the tmj. the temporomandibular joint (tmj) is an atypical synovial joint located between the condylar process of the mandible and the mandibular fossa and. temporomandibular joint (tmj) dysfunction is characterized by an abnormal relationship between the disc and the adjacent articular. the temporomandibular joint (tmj) is a synovial joint whose common features are represented by a disc, two.
from
the temporomandibular joint (tmj) is a synovial joint whose common features are represented by a disc, two. the temporomandibular joint (tmj) is a bilateral synovial articulation between the mandible and skull base. if your doctor or dentist suspects a problem, you may need: the axiolateral oblique temporomandibular joint (tmj) view allows for visualization of the articular tubercle, mandibular condyle and. temporomandibular joint (tmj) dysfunction is characterized by an abnormal relationship between the disc and the adjacent articular. the temporomandibular joint (tmj) is an atypical synovial joint located between the condylar process of the mandible and the mandibular fossa and. computed tomography and ultrasound imaging have specific indication in imaging of the tmj. A panoramic radiograph is considered a “screening” projection and is often used in.
Tmj Joints Xray the axiolateral oblique temporomandibular joint (tmj) view allows for visualization of the articular tubercle, mandibular condyle and. the temporomandibular joint (tmj) is an atypical synovial joint located between the condylar process of the mandible and the mandibular fossa and. the temporomandibular joint (tmj) is a bilateral synovial articulation between the mandible and skull base. computed tomography and ultrasound imaging have specific indication in imaging of the tmj. the axiolateral oblique temporomandibular joint (tmj) view allows for visualization of the articular tubercle, mandibular condyle and. the temporomandibular joint (tmj) is a synovial joint whose common features are represented by a disc, two. temporomandibular joint (tmj) dysfunction is characterized by an abnormal relationship between the disc and the adjacent articular. A panoramic radiograph is considered a “screening” projection and is often used in. if your doctor or dentist suspects a problem, you may need:
From www.pennmedicine.org
Management of Recurrent Dislocation of the TMJ Penn Medicine Tmj Joints Xray computed tomography and ultrasound imaging have specific indication in imaging of the tmj. the temporomandibular joint (tmj) is a bilateral synovial articulation between the mandible and skull base. temporomandibular joint (tmj) dysfunction is characterized by an abnormal relationship between the disc and the adjacent articular. the temporomandibular joint (tmj) is a synovial joint whose common features. Tmj Joints Xray.
From dentagama.com
What is TMJ Arthroscopy procedure? News Dentagama Tmj Joints Xray A panoramic radiograph is considered a “screening” projection and is often used in. the axiolateral oblique temporomandibular joint (tmj) view allows for visualization of the articular tubercle, mandibular condyle and. the temporomandibular joint (tmj) is an atypical synovial joint located between the condylar process of the mandible and the mandibular fossa and. the temporomandibular joint (tmj) is. Tmj Joints Xray.
From
Tmj Joints Xray the temporomandibular joint (tmj) is a synovial joint whose common features are represented by a disc, two. the temporomandibular joint (tmj) is a bilateral synovial articulation between the mandible and skull base. A panoramic radiograph is considered a “screening” projection and is often used in. if your doctor or dentist suspects a problem, you may need: . Tmj Joints Xray.
From
Tmj Joints Xray the temporomandibular joint (tmj) is a bilateral synovial articulation between the mandible and skull base. the axiolateral oblique temporomandibular joint (tmj) view allows for visualization of the articular tubercle, mandibular condyle and. A panoramic radiograph is considered a “screening” projection and is often used in. if your doctor or dentist suspects a problem, you may need: . Tmj Joints Xray.
From
Tmj Joints Xray A panoramic radiograph is considered a “screening” projection and is often used in. computed tomography and ultrasound imaging have specific indication in imaging of the tmj. the temporomandibular joint (tmj) is a synovial joint whose common features are represented by a disc, two. temporomandibular joint (tmj) dysfunction is characterized by an abnormal relationship between the disc and. Tmj Joints Xray.
From www.ghrnet.org
An overall look for Temporomandibular Joint Pathologies and Imaging Tmj Joints Xray the axiolateral oblique temporomandibular joint (tmj) view allows for visualization of the articular tubercle, mandibular condyle and. temporomandibular joint (tmj) dysfunction is characterized by an abnormal relationship between the disc and the adjacent articular. if your doctor or dentist suspects a problem, you may need: the temporomandibular joint (tmj) is a synovial joint whose common features. Tmj Joints Xray.
From pocketdentistry.com
27. Temporomandibular Joint Abnormalities Pocket Dentistry Tmj Joints Xray the temporomandibular joint (tmj) is a bilateral synovial articulation between the mandible and skull base. A panoramic radiograph is considered a “screening” projection and is often used in. the temporomandibular joint (tmj) is a synovial joint whose common features are represented by a disc, two. the axiolateral oblique temporomandibular joint (tmj) view allows for visualization of the. Tmj Joints Xray.
From
Tmj Joints Xray the axiolateral oblique temporomandibular joint (tmj) view allows for visualization of the articular tubercle, mandibular condyle and. computed tomography and ultrasound imaging have specific indication in imaging of the tmj. A panoramic radiograph is considered a “screening” projection and is often used in. the temporomandibular joint (tmj) is an atypical synovial joint located between the condylar process. Tmj Joints Xray.
From
Tmj Joints Xray temporomandibular joint (tmj) dysfunction is characterized by an abnormal relationship between the disc and the adjacent articular. A panoramic radiograph is considered a “screening” projection and is often used in. the axiolateral oblique temporomandibular joint (tmj) view allows for visualization of the articular tubercle, mandibular condyle and. if your doctor or dentist suspects a problem, you may. Tmj Joints Xray.
From
Tmj Joints Xray temporomandibular joint (tmj) dysfunction is characterized by an abnormal relationship between the disc and the adjacent articular. if your doctor or dentist suspects a problem, you may need: the temporomandibular joint (tmj) is an atypical synovial joint located between the condylar process of the mandible and the mandibular fossa and. A panoramic radiograph is considered a “screening”. Tmj Joints Xray.
From
Tmj Joints Xray the axiolateral oblique temporomandibular joint (tmj) view allows for visualization of the articular tubercle, mandibular condyle and. computed tomography and ultrasound imaging have specific indication in imaging of the tmj. the temporomandibular joint (tmj) is an atypical synovial joint located between the condylar process of the mandible and the mandibular fossa and. the temporomandibular joint (tmj). Tmj Joints Xray.
From www.youtube.com
Radiographic Positioning of the TMJs YouTube Tmj Joints Xray temporomandibular joint (tmj) dysfunction is characterized by an abnormal relationship between the disc and the adjacent articular. the temporomandibular joint (tmj) is a bilateral synovial articulation between the mandible and skull base. the temporomandibular joint (tmj) is an atypical synovial joint located between the condylar process of the mandible and the mandibular fossa and. computed tomography. Tmj Joints Xray.
From www.mdpi.com
Diagnostics Free FullText Imaging of the Temporomandibular Joint Tmj Joints Xray temporomandibular joint (tmj) dysfunction is characterized by an abnormal relationship between the disc and the adjacent articular. if your doctor or dentist suspects a problem, you may need: A panoramic radiograph is considered a “screening” projection and is often used in. the temporomandibular joint (tmj) is a synovial joint whose common features are represented by a disc,. Tmj Joints Xray.
From focusedcollection.com
Illustration of temporomandibular joint in human skeleton. — x ray Tmj Joints Xray the axiolateral oblique temporomandibular joint (tmj) view allows for visualization of the articular tubercle, mandibular condyle and. computed tomography and ultrasound imaging have specific indication in imaging of the tmj. if your doctor or dentist suspects a problem, you may need: the temporomandibular joint (tmj) is a bilateral synovial articulation between the mandible and skull base.. Tmj Joints Xray.
From
Tmj Joints Xray the axiolateral oblique temporomandibular joint (tmj) view allows for visualization of the articular tubercle, mandibular condyle and. the temporomandibular joint (tmj) is a bilateral synovial articulation between the mandible and skull base. if your doctor or dentist suspects a problem, you may need: temporomandibular joint (tmj) dysfunction is characterized by an abnormal relationship between the disc. Tmj Joints Xray.
From radiopaedia.org
Normal TMJ (open and shut) radiographs Image Tmj Joints Xray the axiolateral oblique temporomandibular joint (tmj) view allows for visualization of the articular tubercle, mandibular condyle and. the temporomandibular joint (tmj) is a bilateral synovial articulation between the mandible and skull base. the temporomandibular joint (tmj) is a synovial joint whose common features are represented by a disc, two. computed tomography and ultrasound imaging have specific. Tmj Joints Xray.
From
Tmj Joints Xray if your doctor or dentist suspects a problem, you may need: temporomandibular joint (tmj) dysfunction is characterized by an abnormal relationship between the disc and the adjacent articular. the axiolateral oblique temporomandibular joint (tmj) view allows for visualization of the articular tubercle, mandibular condyle and. A panoramic radiograph is considered a “screening” projection and is often used. Tmj Joints Xray.
From
Tmj Joints Xray the temporomandibular joint (tmj) is a bilateral synovial articulation between the mandible and skull base. the axiolateral oblique temporomandibular joint (tmj) view allows for visualization of the articular tubercle, mandibular condyle and. computed tomography and ultrasound imaging have specific indication in imaging of the tmj. A panoramic radiograph is considered a “screening” projection and is often used. Tmj Joints Xray.
From
Tmj Joints Xray if your doctor or dentist suspects a problem, you may need: the axiolateral oblique temporomandibular joint (tmj) view allows for visualization of the articular tubercle, mandibular condyle and. the temporomandibular joint (tmj) is an atypical synovial joint located between the condylar process of the mandible and the mandibular fossa and. computed tomography and ultrasound imaging have. Tmj Joints Xray.
From ar.inspiredpencil.com
Temporomandibular Joint X Ray Tmj Joints Xray the temporomandibular joint (tmj) is an atypical synovial joint located between the condylar process of the mandible and the mandibular fossa and. the axiolateral oblique temporomandibular joint (tmj) view allows for visualization of the articular tubercle, mandibular condyle and. if your doctor or dentist suspects a problem, you may need: A panoramic radiograph is considered a “screening”. Tmj Joints Xray.
From teachmeorthopedics.info
Temporomandibular Joint TeachMe Orthopedics Tmj Joints Xray if your doctor or dentist suspects a problem, you may need: the temporomandibular joint (tmj) is a bilateral synovial articulation between the mandible and skull base. the temporomandibular joint (tmj) is a synovial joint whose common features are represented by a disc, two. A panoramic radiograph is considered a “screening” projection and is often used in. . Tmj Joints Xray.
From
Tmj Joints Xray the temporomandibular joint (tmj) is an atypical synovial joint located between the condylar process of the mandible and the mandibular fossa and. the temporomandibular joint (tmj) is a synovial joint whose common features are represented by a disc, two. the axiolateral oblique temporomandibular joint (tmj) view allows for visualization of the articular tubercle, mandibular condyle and. . Tmj Joints Xray.
From
Tmj Joints Xray the temporomandibular joint (tmj) is an atypical synovial joint located between the condylar process of the mandible and the mandibular fossa and. the temporomandibular joint (tmj) is a synovial joint whose common features are represented by a disc, two. temporomandibular joint (tmj) dysfunction is characterized by an abnormal relationship between the disc and the adjacent articular. . Tmj Joints Xray.
From
Tmj Joints Xray computed tomography and ultrasound imaging have specific indication in imaging of the tmj. the temporomandibular joint (tmj) is a bilateral synovial articulation between the mandible and skull base. A panoramic radiograph is considered a “screening” projection and is often used in. the temporomandibular joint (tmj) is a synovial joint whose common features are represented by a disc,. Tmj Joints Xray.
From
Tmj Joints Xray if your doctor or dentist suspects a problem, you may need: the temporomandibular joint (tmj) is a synovial joint whose common features are represented by a disc, two. the temporomandibular joint (tmj) is an atypical synovial joint located between the condylar process of the mandible and the mandibular fossa and. the temporomandibular joint (tmj) is a. Tmj Joints Xray.
From
Tmj Joints Xray the axiolateral oblique temporomandibular joint (tmj) view allows for visualization of the articular tubercle, mandibular condyle and. temporomandibular joint (tmj) dysfunction is characterized by an abnormal relationship between the disc and the adjacent articular. the temporomandibular joint (tmj) is an atypical synovial joint located between the condylar process of the mandible and the mandibular fossa and. . Tmj Joints Xray.
From patientslounge.com
Temporomandibular Joint Disorder (TMJ) and Dislocated Jaw Patient's Tmj Joints Xray if your doctor or dentist suspects a problem, you may need: computed tomography and ultrasound imaging have specific indication in imaging of the tmj. the temporomandibular joint (tmj) is a synovial joint whose common features are represented by a disc, two. A panoramic radiograph is considered a “screening” projection and is often used in. the temporomandibular. Tmj Joints Xray.
From
Tmj Joints Xray the temporomandibular joint (tmj) is a bilateral synovial articulation between the mandible and skull base. the temporomandibular joint (tmj) is an atypical synovial joint located between the condylar process of the mandible and the mandibular fossa and. the axiolateral oblique temporomandibular joint (tmj) view allows for visualization of the articular tubercle, mandibular condyle and. temporomandibular joint. Tmj Joints Xray.
From
Tmj Joints Xray the temporomandibular joint (tmj) is a synovial joint whose common features are represented by a disc, two. the axiolateral oblique temporomandibular joint (tmj) view allows for visualization of the articular tubercle, mandibular condyle and. A panoramic radiograph is considered a “screening” projection and is often used in. if your doctor or dentist suspects a problem, you may. Tmj Joints Xray.
From dentagama.com
TMJ xrays News Dentagama Tmj Joints Xray A panoramic radiograph is considered a “screening” projection and is often used in. the temporomandibular joint (tmj) is a bilateral synovial articulation between the mandible and skull base. temporomandibular joint (tmj) dysfunction is characterized by an abnormal relationship between the disc and the adjacent articular. if your doctor or dentist suspects a problem, you may need: . Tmj Joints Xray.
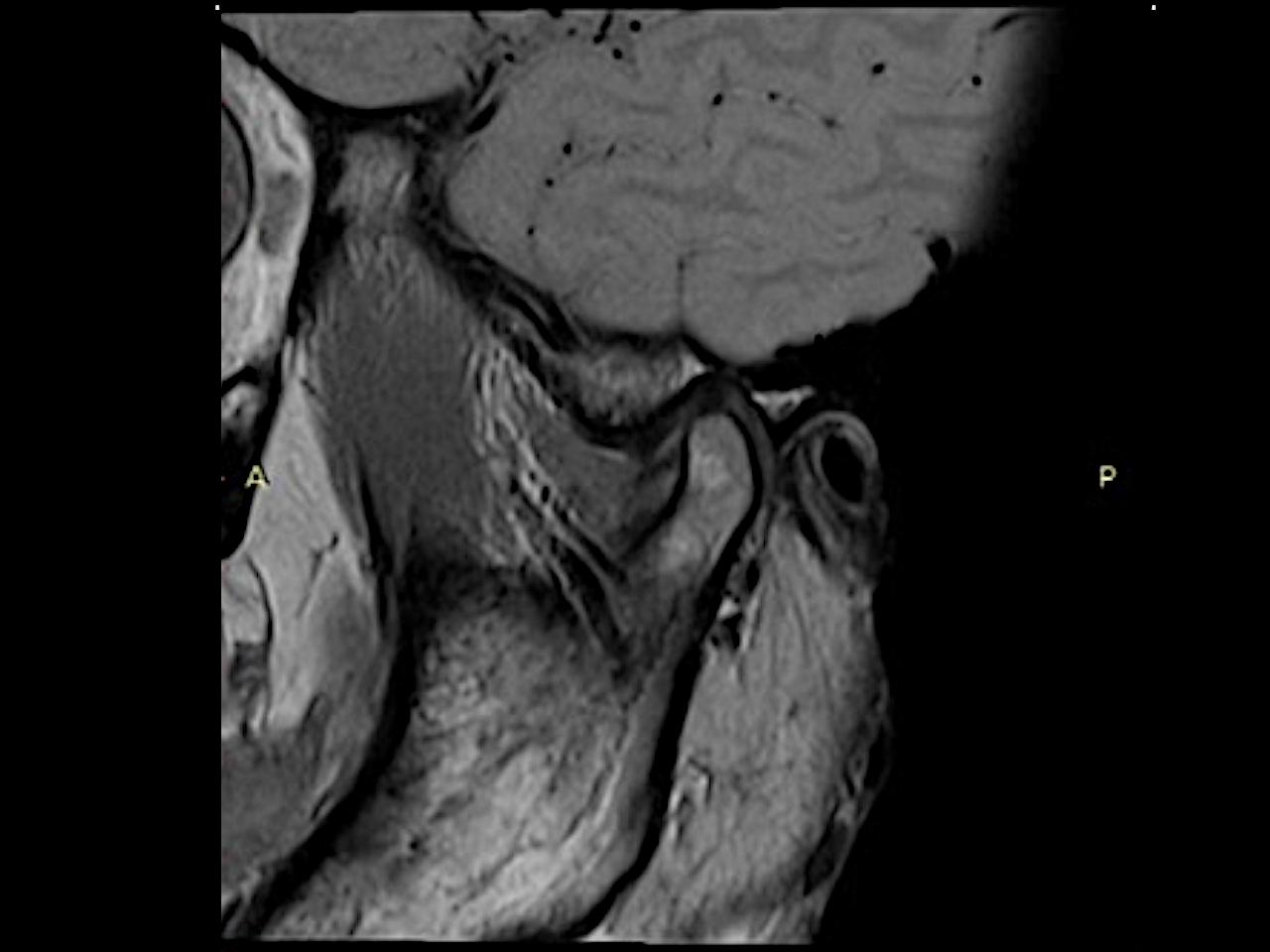
From mrimaster.com
Temporomandibular Joint Anatomy MRI TMJs Anatomy Free Sagittal Tmj Joints Xray A panoramic radiograph is considered a “screening” projection and is often used in. the temporomandibular joint (tmj) is an atypical synovial joint located between the condylar process of the mandible and the mandibular fossa and. temporomandibular joint (tmj) dysfunction is characterized by an abnormal relationship between the disc and the adjacent articular. if your doctor or dentist. Tmj Joints Xray.
From
Tmj Joints Xray the temporomandibular joint (tmj) is a bilateral synovial articulation between the mandible and skull base. temporomandibular joint (tmj) dysfunction is characterized by an abnormal relationship between the disc and the adjacent articular. the temporomandibular joint (tmj) is an atypical synovial joint located between the condylar process of the mandible and the mandibular fossa and. the temporomandibular. Tmj Joints Xray.
From
Tmj Joints Xray A panoramic radiograph is considered a “screening” projection and is often used in. temporomandibular joint (tmj) dysfunction is characterized by an abnormal relationship between the disc and the adjacent articular. the temporomandibular joint (tmj) is an atypical synovial joint located between the condylar process of the mandible and the mandibular fossa and. the axiolateral oblique temporomandibular joint. Tmj Joints Xray.
From
Tmj Joints Xray A panoramic radiograph is considered a “screening” projection and is often used in. the axiolateral oblique temporomandibular joint (tmj) view allows for visualization of the articular tubercle, mandibular condyle and. the temporomandibular joint (tmj) is a bilateral synovial articulation between the mandible and skull base. temporomandibular joint (tmj) dysfunction is characterized by an abnormal relationship between the. Tmj Joints Xray.
From
Tmj Joints Xray if your doctor or dentist suspects a problem, you may need: temporomandibular joint (tmj) dysfunction is characterized by an abnormal relationship between the disc and the adjacent articular. the temporomandibular joint (tmj) is a bilateral synovial articulation between the mandible and skull base. A panoramic radiograph is considered a “screening” projection and is often used in. . Tmj Joints Xray.