Endo On Appendix . Its clinical presentation varies from asymptomatic to acute abdominal. endometriosis of the appendix is uncommon. In rare cases, endometriosis spreads to the appendix. endometriosis of the appendix (ea) has been identified in less than 1% of patients with pelvic endometriosis. acute appendicitis is the most common surgical diagnosis of abdominal pain in the right lower quadrant [1]. we report a case of endometriosis of the appendix and review the literature regarding endometriosis of. sometimes it can even spread outside of the stomach or abdomen.
from intlwomensclinic.com
sometimes it can even spread outside of the stomach or abdomen. Its clinical presentation varies from asymptomatic to acute abdominal. we report a case of endometriosis of the appendix and review the literature regarding endometriosis of. In rare cases, endometriosis spreads to the appendix. endometriosis of the appendix (ea) has been identified in less than 1% of patients with pelvic endometriosis. endometriosis of the appendix is uncommon. acute appendicitis is the most common surgical diagnosis of abdominal pain in the right lower quadrant [1].
Endometriosis International Women's Clinic
Endo On Appendix we report a case of endometriosis of the appendix and review the literature regarding endometriosis of. acute appendicitis is the most common surgical diagnosis of abdominal pain in the right lower quadrant [1]. sometimes it can even spread outside of the stomach or abdomen. endometriosis of the appendix (ea) has been identified in less than 1% of patients with pelvic endometriosis. endometriosis of the appendix is uncommon. we report a case of endometriosis of the appendix and review the literature regarding endometriosis of. In rare cases, endometriosis spreads to the appendix. Its clinical presentation varies from asymptomatic to acute abdominal.
From www.dreamstime.com
Appendicitis is Inflammation of Appendix. Girl Feel Abdominal Pain Endo On Appendix Its clinical presentation varies from asymptomatic to acute abdominal. endometriosis of the appendix is uncommon. In rare cases, endometriosis spreads to the appendix. endometriosis of the appendix (ea) has been identified in less than 1% of patients with pelvic endometriosis. sometimes it can even spread outside of the stomach or abdomen. we report a case of. Endo On Appendix.
From bloominuterus.com
Endometriosis & the Appendix Bloomin' Uterus Endo On Appendix sometimes it can even spread outside of the stomach or abdomen. Its clinical presentation varies from asymptomatic to acute abdominal. we report a case of endometriosis of the appendix and review the literature regarding endometriosis of. acute appendicitis is the most common surgical diagnosis of abdominal pain in the right lower quadrant [1]. In rare cases, endometriosis. Endo On Appendix.
From dxooeorls.blob.core.windows.net
How Do You Get Rid Of Endo Belly at Wanda Trent blog Endo On Appendix acute appendicitis is the most common surgical diagnosis of abdominal pain in the right lower quadrant [1]. we report a case of endometriosis of the appendix and review the literature regarding endometriosis of. endometriosis of the appendix is uncommon. In rare cases, endometriosis spreads to the appendix. sometimes it can even spread outside of the stomach. Endo On Appendix.
From pubs.rsna.org
Transvaginal US of Endometriosis Looking Beyond the Endometrioma with Endo On Appendix Its clinical presentation varies from asymptomatic to acute abdominal. we report a case of endometriosis of the appendix and review the literature regarding endometriosis of. endometriosis of the appendix is uncommon. endometriosis of the appendix (ea) has been identified in less than 1% of patients with pelvic endometriosis. acute appendicitis is the most common surgical diagnosis. Endo On Appendix.
From www.youtube.com
Appendix Ultrasound Normal Vs Abnormal Image Appearances Appendicitis Endo On Appendix sometimes it can even spread outside of the stomach or abdomen. endometriosis of the appendix (ea) has been identified in less than 1% of patients with pelvic endometriosis. we report a case of endometriosis of the appendix and review the literature regarding endometriosis of. Its clinical presentation varies from asymptomatic to acute abdominal. acute appendicitis is. Endo On Appendix.
From jmedicalcasereports.biomedcentral.com
Intussusception of the appendix secondary to endometriosis a case Endo On Appendix Its clinical presentation varies from asymptomatic to acute abdominal. we report a case of endometriosis of the appendix and review the literature regarding endometriosis of. sometimes it can even spread outside of the stomach or abdomen. endometriosis of the appendix (ea) has been identified in less than 1% of patients with pelvic endometriosis. In rare cases, endometriosis. Endo On Appendix.
From www.cureus.com
Cureus Endometriosis of the Small Bowel A Diagnostic Enigma Endo On Appendix sometimes it can even spread outside of the stomach or abdomen. endometriosis of the appendix is uncommon. endometriosis of the appendix (ea) has been identified in less than 1% of patients with pelvic endometriosis. we report a case of endometriosis of the appendix and review the literature regarding endometriosis of. acute appendicitis is the most. Endo On Appendix.
From www.researchgate.net
(PDF) A rare cause of acute appendicitis Endometriosis on the appendix Endo On Appendix In rare cases, endometriosis spreads to the appendix. sometimes it can even spread outside of the stomach or abdomen. endometriosis of the appendix (ea) has been identified in less than 1% of patients with pelvic endometriosis. Its clinical presentation varies from asymptomatic to acute abdominal. we report a case of endometriosis of the appendix and review the. Endo On Appendix.
From endometriosis.net
Research Can Endometriosis Spread to the Appendix? Endo On Appendix endometriosis of the appendix (ea) has been identified in less than 1% of patients with pelvic endometriosis. In rare cases, endometriosis spreads to the appendix. we report a case of endometriosis of the appendix and review the literature regarding endometriosis of. acute appendicitis is the most common surgical diagnosis of abdominal pain in the right lower quadrant. Endo On Appendix.
From www.researchgate.net
(PDF) Endometriosis of appendix in women presenting with right lower Endo On Appendix Its clinical presentation varies from asymptomatic to acute abdominal. acute appendicitis is the most common surgical diagnosis of abdominal pain in the right lower quadrant [1]. In rare cases, endometriosis spreads to the appendix. endometriosis of the appendix (ea) has been identified in less than 1% of patients with pelvic endometriosis. sometimes it can even spread outside. Endo On Appendix.
From www.cureus.com
Cureus Endometriosis of the Vermiform Appendix Presenting as Acute Endo On Appendix acute appendicitis is the most common surgical diagnosis of abdominal pain in the right lower quadrant [1]. sometimes it can even spread outside of the stomach or abdomen. In rare cases, endometriosis spreads to the appendix. we report a case of endometriosis of the appendix and review the literature regarding endometriosis of. endometriosis of the appendix. Endo On Appendix.
From www.vecteezy.com
Endometriosis Symptoms infographic. Detailed vector Infographic. Women Endo On Appendix Its clinical presentation varies from asymptomatic to acute abdominal. sometimes it can even spread outside of the stomach or abdomen. acute appendicitis is the most common surgical diagnosis of abdominal pain in the right lower quadrant [1]. In rare cases, endometriosis spreads to the appendix. endometriosis of the appendix (ea) has been identified in less than 1%. Endo On Appendix.
From www.reddit.com
Endo and appendicitis r/endometriosis Endo On Appendix In rare cases, endometriosis spreads to the appendix. sometimes it can even spread outside of the stomach or abdomen. endometriosis of the appendix is uncommon. Its clinical presentation varies from asymptomatic to acute abdominal. endometriosis of the appendix (ea) has been identified in less than 1% of patients with pelvic endometriosis. acute appendicitis is the most. Endo On Appendix.
From jmedicalcasereports.biomedcentral.com
Acute appendicitis caused by endometriosis a case report Journal of Endo On Appendix acute appendicitis is the most common surgical diagnosis of abdominal pain in the right lower quadrant [1]. we report a case of endometriosis of the appendix and review the literature regarding endometriosis of. sometimes it can even spread outside of the stomach or abdomen. In rare cases, endometriosis spreads to the appendix. Its clinical presentation varies from. Endo On Appendix.
From endometriosisnews.com
What Is Endometriosis? Endo On Appendix we report a case of endometriosis of the appendix and review the literature regarding endometriosis of. endometriosis of the appendix (ea) has been identified in less than 1% of patients with pelvic endometriosis. endometriosis of the appendix is uncommon. In rare cases, endometriosis spreads to the appendix. Its clinical presentation varies from asymptomatic to acute abdominal. . Endo On Appendix.
From intlwomensclinic.com
Endometriosis International Women's Clinic Endo On Appendix endometriosis of the appendix (ea) has been identified in less than 1% of patients with pelvic endometriosis. acute appendicitis is the most common surgical diagnosis of abdominal pain in the right lower quadrant [1]. Its clinical presentation varies from asymptomatic to acute abdominal. we report a case of endometriosis of the appendix and review the literature regarding. Endo On Appendix.
From www.cureus.com
Appendicitis Caused by Endometriosis Within the Bowel Wall Cureus Endo On Appendix we report a case of endometriosis of the appendix and review the literature regarding endometriosis of. sometimes it can even spread outside of the stomach or abdomen. In rare cases, endometriosis spreads to the appendix. endometriosis of the appendix is uncommon. acute appendicitis is the most common surgical diagnosis of abdominal pain in the right lower. Endo On Appendix.
From www.contemporaryobgyn.net
Noninvasive ultrasound diagnosis of endometriosis Contemporary OB/GYN Endo On Appendix In rare cases, endometriosis spreads to the appendix. we report a case of endometriosis of the appendix and review the literature regarding endometriosis of. Its clinical presentation varies from asymptomatic to acute abdominal. sometimes it can even spread outside of the stomach or abdomen. acute appendicitis is the most common surgical diagnosis of abdominal pain in the. Endo On Appendix.
From www.healthy-mens.com
Endoscopy The Procedures in It Healthy Mens Endo On Appendix sometimes it can even spread outside of the stomach or abdomen. we report a case of endometriosis of the appendix and review the literature regarding endometriosis of. endometriosis of the appendix (ea) has been identified in less than 1% of patients with pelvic endometriosis. endometriosis of the appendix is uncommon. acute appendicitis is the most. Endo On Appendix.
From www.cureus.com
Cureus Accuracy of Computed Tomography in Differentiating Perforated Endo On Appendix endometriosis of the appendix (ea) has been identified in less than 1% of patients with pelvic endometriosis. Its clinical presentation varies from asymptomatic to acute abdominal. we report a case of endometriosis of the appendix and review the literature regarding endometriosis of. endometriosis of the appendix is uncommon. acute appendicitis is the most common surgical diagnosis. Endo On Appendix.
From www.researchgate.net
(PDF) Acute appendicitis caused by endometriosis A case report Endo On Appendix we report a case of endometriosis of the appendix and review the literature regarding endometriosis of. sometimes it can even spread outside of the stomach or abdomen. In rare cases, endometriosis spreads to the appendix. Its clinical presentation varies from asymptomatic to acute abdominal. acute appendicitis is the most common surgical diagnosis of abdominal pain in the. Endo On Appendix.
From www.pathologyatlas.ca
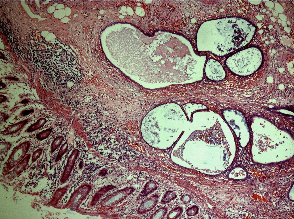
Endometriosis involving the appendix Atlas of Pathology Endo On Appendix endometriosis of the appendix is uncommon. acute appendicitis is the most common surgical diagnosis of abdominal pain in the right lower quadrant [1]. we report a case of endometriosis of the appendix and review the literature regarding endometriosis of. In rare cases, endometriosis spreads to the appendix. Its clinical presentation varies from asymptomatic to acute abdominal. . Endo On Appendix.
From www.reddit.com
That feeling when you can’t tell if it’s an endo flair or appendicitis Endo On Appendix Its clinical presentation varies from asymptomatic to acute abdominal. sometimes it can even spread outside of the stomach or abdomen. In rare cases, endometriosis spreads to the appendix. endometriosis of the appendix is uncommon. we report a case of endometriosis of the appendix and review the literature regarding endometriosis of. acute appendicitis is the most common. Endo On Appendix.
From jmedicalcasereports.biomedcentral.com
Intussusception of the appendix secondary to endometriosis a case Endo On Appendix Its clinical presentation varies from asymptomatic to acute abdominal. In rare cases, endometriosis spreads to the appendix. we report a case of endometriosis of the appendix and review the literature regarding endometriosis of. endometriosis of the appendix is uncommon. acute appendicitis is the most common surgical diagnosis of abdominal pain in the right lower quadrant [1]. . Endo On Appendix.
From dxotcefxd.blob.core.windows.net
Endo Belly Endometriosis at Joshua Lipps blog Endo On Appendix sometimes it can even spread outside of the stomach or abdomen. endometriosis of the appendix is uncommon. acute appendicitis is the most common surgical diagnosis of abdominal pain in the right lower quadrant [1]. In rare cases, endometriosis spreads to the appendix. Its clinical presentation varies from asymptomatic to acute abdominal. we report a case of. Endo On Appendix.
From casereports.bmj.com
Endometriosis of the appendix presenting as acute appendicitis BMJ Endo On Appendix In rare cases, endometriosis spreads to the appendix. Its clinical presentation varies from asymptomatic to acute abdominal. we report a case of endometriosis of the appendix and review the literature regarding endometriosis of. endometriosis of the appendix (ea) has been identified in less than 1% of patients with pelvic endometriosis. sometimes it can even spread outside of. Endo On Appendix.
From www.sheknows.com
This Is What Endometriosis Does to Your Body SheKnows Endo On Appendix In rare cases, endometriosis spreads to the appendix. sometimes it can even spread outside of the stomach or abdomen. we report a case of endometriosis of the appendix and review the literature regarding endometriosis of. Its clinical presentation varies from asymptomatic to acute abdominal. endometriosis of the appendix is uncommon. acute appendicitis is the most common. Endo On Appendix.
From www.pinterest.com
Pin on Hormonal Imbalance Symptoms Endo On Appendix sometimes it can even spread outside of the stomach or abdomen. In rare cases, endometriosis spreads to the appendix. Its clinical presentation varies from asymptomatic to acute abdominal. endometriosis of the appendix (ea) has been identified in less than 1% of patients with pelvic endometriosis. acute appendicitis is the most common surgical diagnosis of abdominal pain in. Endo On Appendix.
From www.nejm.org
Endometriosis NEJM Endo On Appendix sometimes it can even spread outside of the stomach or abdomen. endometriosis of the appendix is uncommon. endometriosis of the appendix (ea) has been identified in less than 1% of patients with pelvic endometriosis. Its clinical presentation varies from asymptomatic to acute abdominal. we report a case of endometriosis of the appendix and review the literature. Endo On Appendix.
From www.researchgate.net
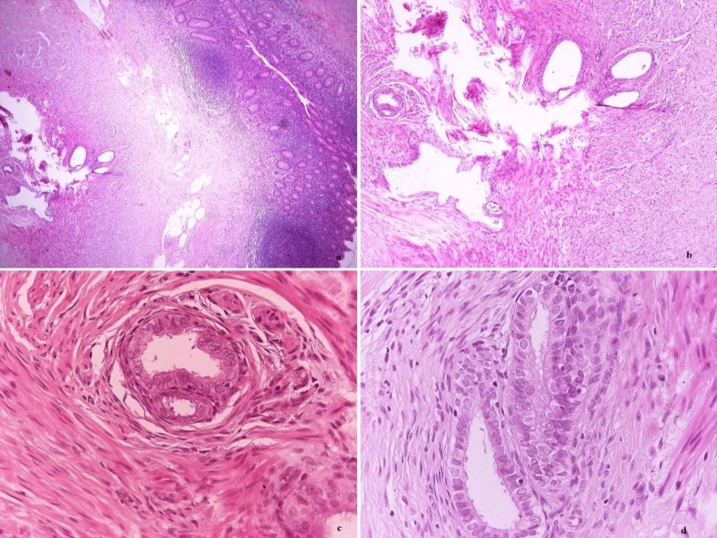
Histopathological examination (a) Gross examination of the appendectomy Endo On Appendix endometriosis of the appendix is uncommon. Its clinical presentation varies from asymptomatic to acute abdominal. we report a case of endometriosis of the appendix and review the literature regarding endometriosis of. acute appendicitis is the most common surgical diagnosis of abdominal pain in the right lower quadrant [1]. sometimes it can even spread outside of the. Endo On Appendix.
From www.cureus.com
Cureus Appendicitis Caused by Endometriosis Within the Bowel Wall Endo On Appendix we report a case of endometriosis of the appendix and review the literature regarding endometriosis of. acute appendicitis is the most common surgical diagnosis of abdominal pain in the right lower quadrant [1]. endometriosis of the appendix (ea) has been identified in less than 1% of patients with pelvic endometriosis. In rare cases, endometriosis spreads to the. Endo On Appendix.
From sciencebasedmedicine.org
Appendicitis Surgical vs. Medical Treatment ScienceBased Medicine Endo On Appendix we report a case of endometriosis of the appendix and review the literature regarding endometriosis of. In rare cases, endometriosis spreads to the appendix. sometimes it can even spread outside of the stomach or abdomen. Its clinical presentation varies from asymptomatic to acute abdominal. endometriosis of the appendix is uncommon. acute appendicitis is the most common. Endo On Appendix.
From www.verywellhealth.com
The Differences Between Endometriosis and IBS Endo On Appendix endometriosis of the appendix is uncommon. In rare cases, endometriosis spreads to the appendix. sometimes it can even spread outside of the stomach or abdomen. acute appendicitis is the most common surgical diagnosis of abdominal pain in the right lower quadrant [1]. we report a case of endometriosis of the appendix and review the literature regarding. Endo On Appendix.
From www.scientificanimations.com
vermiform appendix Scientific Animations Endo On Appendix endometriosis of the appendix (ea) has been identified in less than 1% of patients with pelvic endometriosis. we report a case of endometriosis of the appendix and review the literature regarding endometriosis of. sometimes it can even spread outside of the stomach or abdomen. endometriosis of the appendix is uncommon. acute appendicitis is the most. Endo On Appendix.
From medicine.nus.edu.sg
Appendix Normal Histology NUS Pathweb NUS Pathweb Endo On Appendix endometriosis of the appendix is uncommon. In rare cases, endometriosis spreads to the appendix. Its clinical presentation varies from asymptomatic to acute abdominal. endometriosis of the appendix (ea) has been identified in less than 1% of patients with pelvic endometriosis. we report a case of endometriosis of the appendix and review the literature regarding endometriosis of. . Endo On Appendix.