Brain Damage From Aids . While hiv primarily affects the immune system, it can lead to a wide range of severe neurological disorders, particularly if hiv. Hiv also triggers inflammation that may damage the brain and spinal cord (central nervous system) and cause symptoms such as: This can include difficulty concentrating, confusion, and. Hiv does not appear to directly invade nerve cells but it jeopardizes their health and function, causing symptoms such as confusion,. Sometimes hiv can damage certain sections of the brain, which can lead to mild cognitive (thinking) problems. As hiv invades the brain, a powerful inflammatory response is activated that can cause neurological deficits. Hiv encephalopathy is a serious complication of hiv that usually develops when hiv progresses to aids. Hiv does not directly invade nerve cells (neurons) but puts their function at risk by infecting cells called glia that support and protect neurons. Patients with human immunodeficiency virus infection (hiv infection) have been noted to have various forms of neuropsychiatric illnesses. Inflammation in the brain causes cognitive problems,.
from www.natap.org
Hiv does not directly invade nerve cells (neurons) but puts their function at risk by infecting cells called glia that support and protect neurons. While hiv primarily affects the immune system, it can lead to a wide range of severe neurological disorders, particularly if hiv. Inflammation in the brain causes cognitive problems,. As hiv invades the brain, a powerful inflammatory response is activated that can cause neurological deficits. This can include difficulty concentrating, confusion, and. Patients with human immunodeficiency virus infection (hiv infection) have been noted to have various forms of neuropsychiatric illnesses. Hiv does not appear to directly invade nerve cells but it jeopardizes their health and function, causing symptoms such as confusion,. Hiv also triggers inflammation that may damage the brain and spinal cord (central nervous system) and cause symptoms such as: Sometimes hiv can damage certain sections of the brain, which can lead to mild cognitive (thinking) problems. Hiv encephalopathy is a serious complication of hiv that usually develops when hiv progresses to aids.
HIV Affects Brain Immediately After Infection with HIV RNA in the CSF
Brain Damage From Aids Hiv encephalopathy is a serious complication of hiv that usually develops when hiv progresses to aids. As hiv invades the brain, a powerful inflammatory response is activated that can cause neurological deficits. Hiv does not directly invade nerve cells (neurons) but puts their function at risk by infecting cells called glia that support and protect neurons. Hiv does not appear to directly invade nerve cells but it jeopardizes their health and function, causing symptoms such as confusion,. Inflammation in the brain causes cognitive problems,. Patients with human immunodeficiency virus infection (hiv infection) have been noted to have various forms of neuropsychiatric illnesses. Hiv encephalopathy is a serious complication of hiv that usually develops when hiv progresses to aids. Hiv also triggers inflammation that may damage the brain and spinal cord (central nervous system) and cause symptoms such as: While hiv primarily affects the immune system, it can lead to a wide range of severe neurological disorders, particularly if hiv. This can include difficulty concentrating, confusion, and. Sometimes hiv can damage certain sections of the brain, which can lead to mild cognitive (thinking) problems.
From medicalxpress.com
Brain injury prevention in contact sports is essential, expert says Brain Damage From Aids This can include difficulty concentrating, confusion, and. Sometimes hiv can damage certain sections of the brain, which can lead to mild cognitive (thinking) problems. Hiv also triggers inflammation that may damage the brain and spinal cord (central nervous system) and cause symptoms such as: Patients with human immunodeficiency virus infection (hiv infection) have been noted to have various forms of. Brain Damage From Aids.
From www.immunopaedia.org.za
HIV associated dementia Case Study Immunopaedia Brain Damage From Aids As hiv invades the brain, a powerful inflammatory response is activated that can cause neurological deficits. Patients with human immunodeficiency virus infection (hiv infection) have been noted to have various forms of neuropsychiatric illnesses. Hiv does not directly invade nerve cells (neurons) but puts their function at risk by infecting cells called glia that support and protect neurons. While hiv. Brain Damage From Aids.
From radiologykey.com
Neuroimaging in the Brain in HIV1Infected Patients Radiology Key Brain Damage From Aids Hiv encephalopathy is a serious complication of hiv that usually develops when hiv progresses to aids. Inflammation in the brain causes cognitive problems,. Patients with human immunodeficiency virus infection (hiv infection) have been noted to have various forms of neuropsychiatric illnesses. Sometimes hiv can damage certain sections of the brain, which can lead to mild cognitive (thinking) problems. Hiv does. Brain Damage From Aids.
From aids-hivdisease.blogspot.com
Human Brain Damage For Aids AidsHiv Brain Damage From Aids This can include difficulty concentrating, confusion, and. Sometimes hiv can damage certain sections of the brain, which can lead to mild cognitive (thinking) problems. Hiv also triggers inflammation that may damage the brain and spinal cord (central nervous system) and cause symptoms such as: As hiv invades the brain, a powerful inflammatory response is activated that can cause neurological deficits.. Brain Damage From Aids.
From www.natap.org
HIV, HAART & Brain Damage Brain Damage From Aids As hiv invades the brain, a powerful inflammatory response is activated that can cause neurological deficits. This can include difficulty concentrating, confusion, and. Patients with human immunodeficiency virus infection (hiv infection) have been noted to have various forms of neuropsychiatric illnesses. Hiv also triggers inflammation that may damage the brain and spinal cord (central nervous system) and cause symptoms such. Brain Damage From Aids.
From www.intechopen.com
Neurological Manifestations of HIV IntechOpen Brain Damage From Aids Hiv also triggers inflammation that may damage the brain and spinal cord (central nervous system) and cause symptoms such as: Hiv does not appear to directly invade nerve cells but it jeopardizes their health and function, causing symptoms such as confusion,. As hiv invades the brain, a powerful inflammatory response is activated that can cause neurological deficits. Sometimes hiv can. Brain Damage From Aids.
From www.sciencephoto.com
Cerebral Lesions in AIDS Patient Stock Image M112/0398 Science Brain Damage From Aids Hiv does not directly invade nerve cells (neurons) but puts their function at risk by infecting cells called glia that support and protect neurons. Hiv encephalopathy is a serious complication of hiv that usually develops when hiv progresses to aids. As hiv invades the brain, a powerful inflammatory response is activated that can cause neurological deficits. Patients with human immunodeficiency. Brain Damage From Aids.
From www.ibtimes.co.uk
Is HIV hiding in your brain? MRI scans can identify virus from changes Brain Damage From Aids This can include difficulty concentrating, confusion, and. While hiv primarily affects the immune system, it can lead to a wide range of severe neurological disorders, particularly if hiv. Hiv encephalopathy is a serious complication of hiv that usually develops when hiv progresses to aids. Hiv does not directly invade nerve cells (neurons) but puts their function at risk by infecting. Brain Damage From Aids.
From www.natap.org
HIV Affects Brain Immediately After Infection with HIV RNA in the CSF Brain Damage From Aids Sometimes hiv can damage certain sections of the brain, which can lead to mild cognitive (thinking) problems. This can include difficulty concentrating, confusion, and. Hiv does not appear to directly invade nerve cells but it jeopardizes their health and function, causing symptoms such as confusion,. Patients with human immunodeficiency virus infection (hiv infection) have been noted to have various forms. Brain Damage From Aids.
From www.thelancet.com
Cognitive disorders in people living with HIV The Lancet HIV Brain Damage From Aids Hiv does not directly invade nerve cells (neurons) but puts their function at risk by infecting cells called glia that support and protect neurons. Hiv also triggers inflammation that may damage the brain and spinal cord (central nervous system) and cause symptoms such as: Hiv does not appear to directly invade nerve cells but it jeopardizes their health and function,. Brain Damage From Aids.
From lawbrothers.com
The Effects Of Brain Damage Brain Damage From Aids Hiv does not directly invade nerve cells (neurons) but puts their function at risk by infecting cells called glia that support and protect neurons. Hiv encephalopathy is a serious complication of hiv that usually develops when hiv progresses to aids. Sometimes hiv can damage certain sections of the brain, which can lead to mild cognitive (thinking) problems. As hiv invades. Brain Damage From Aids.
From www.cambridge.org
Cerebral toxoplasmosis in HIVinfected patients over 20152018 (a case Brain Damage From Aids Hiv does not directly invade nerve cells (neurons) but puts their function at risk by infecting cells called glia that support and protect neurons. Hiv encephalopathy is a serious complication of hiv that usually develops when hiv progresses to aids. Hiv also triggers inflammation that may damage the brain and spinal cord (central nervous system) and cause symptoms such as:. Brain Damage From Aids.
From www.bmj.com
Cerebral mass in HIV infection The BMJ Brain Damage From Aids As hiv invades the brain, a powerful inflammatory response is activated that can cause neurological deficits. Inflammation in the brain causes cognitive problems,. Sometimes hiv can damage certain sections of the brain, which can lead to mild cognitive (thinking) problems. While hiv primarily affects the immune system, it can lead to a wide range of severe neurological disorders, particularly if. Brain Damage From Aids.
From exoylktst.blob.core.windows.net
Aids For Brain Injury at Mary Oliver blog Brain Damage From Aids Hiv does not appear to directly invade nerve cells but it jeopardizes their health and function, causing symptoms such as confusion,. Sometimes hiv can damage certain sections of the brain, which can lead to mild cognitive (thinking) problems. This can include difficulty concentrating, confusion, and. Hiv also triggers inflammation that may damage the brain and spinal cord (central nervous system). Brain Damage From Aids.
From www.youtube.com
HIV Brain Infection Symptoms YouTube Brain Damage From Aids Hiv does not directly invade nerve cells (neurons) but puts their function at risk by infecting cells called glia that support and protect neurons. Inflammation in the brain causes cognitive problems,. Hiv does not appear to directly invade nerve cells but it jeopardizes their health and function, causing symptoms such as confusion,. Patients with human immunodeficiency virus infection (hiv infection). Brain Damage From Aids.
From www.sciencephoto.com
Brain atrophy in HIV/AIDS, MRI scans Stock Image C058/2245 Brain Damage From Aids Inflammation in the brain causes cognitive problems,. Hiv encephalopathy is a serious complication of hiv that usually develops when hiv progresses to aids. Hiv also triggers inflammation that may damage the brain and spinal cord (central nervous system) and cause symptoms such as: As hiv invades the brain, a powerful inflammatory response is activated that can cause neurological deficits. Hiv. Brain Damage From Aids.
From www.researchgate.net
Brain mass lesions in HIVinfected patients by enhancedMRI Brain Damage From Aids Patients with human immunodeficiency virus infection (hiv infection) have been noted to have various forms of neuropsychiatric illnesses. Hiv also triggers inflammation that may damage the brain and spinal cord (central nervous system) and cause symptoms such as: Hiv does not directly invade nerve cells (neurons) but puts their function at risk by infecting cells called glia that support and. Brain Damage From Aids.
From www.researchgate.net
(PDF) IFNβ Protects Neurons from Damage in a Murine Model of HIV1 Brain Damage From Aids As hiv invades the brain, a powerful inflammatory response is activated that can cause neurological deficits. Inflammation in the brain causes cognitive problems,. Patients with human immunodeficiency virus infection (hiv infection) have been noted to have various forms of neuropsychiatric illnesses. Sometimes hiv can damage certain sections of the brain, which can lead to mild cognitive (thinking) problems. Hiv does. Brain Damage From Aids.
From www.cell.com
The Paradox of HIV BloodBrain Barrier and Antiretroviral Brain Damage From Aids Hiv does not appear to directly invade nerve cells but it jeopardizes their health and function, causing symptoms such as confusion,. Patients with human immunodeficiency virus infection (hiv infection) have been noted to have various forms of neuropsychiatric illnesses. As hiv invades the brain, a powerful inflammatory response is activated that can cause neurological deficits. Inflammation in the brain causes. Brain Damage From Aids.
From clinmedjournals.org
Atypical Toxoplasmosis and Progressive Multifocal Leukoencephalopathy Brain Damage From Aids Patients with human immunodeficiency virus infection (hiv infection) have been noted to have various forms of neuropsychiatric illnesses. Sometimes hiv can damage certain sections of the brain, which can lead to mild cognitive (thinking) problems. While hiv primarily affects the immune system, it can lead to a wide range of severe neurological disorders, particularly if hiv. Inflammation in the brain. Brain Damage From Aids.
From www.natap.org
HIV Affects Brain Immediately After Infection with HIV RNA in the CSF Brain Damage From Aids Patients with human immunodeficiency virus infection (hiv infection) have been noted to have various forms of neuropsychiatric illnesses. Hiv also triggers inflammation that may damage the brain and spinal cord (central nervous system) and cause symptoms such as: Hiv does not appear to directly invade nerve cells but it jeopardizes their health and function, causing symptoms such as confusion,. Hiv. Brain Damage From Aids.
From debuglies.com
Brain injury caused by HIV can lead to cognitive challenges https Brain Damage From Aids Hiv also triggers inflammation that may damage the brain and spinal cord (central nervous system) and cause symptoms such as: Sometimes hiv can damage certain sections of the brain, which can lead to mild cognitive (thinking) problems. Hiv does not directly invade nerve cells (neurons) but puts their function at risk by infecting cells called glia that support and protect. Brain Damage From Aids.
From www.ibtimes.com
HIV Infections May Cause Brain Damage And Learning Difficulties IBTimes Brain Damage From Aids Hiv encephalopathy is a serious complication of hiv that usually develops when hiv progresses to aids. This can include difficulty concentrating, confusion, and. While hiv primarily affects the immune system, it can lead to a wide range of severe neurological disorders, particularly if hiv. Inflammation in the brain causes cognitive problems,. Patients with human immunodeficiency virus infection (hiv infection) have. Brain Damage From Aids.
From brainandspinalcord.org
Can AIDS Cause Acquired Brain Injury? Brain and Spinal Cord Brain Damage From Aids Sometimes hiv can damage certain sections of the brain, which can lead to mild cognitive (thinking) problems. Hiv encephalopathy is a serious complication of hiv that usually develops when hiv progresses to aids. Hiv does not directly invade nerve cells (neurons) but puts their function at risk by infecting cells called glia that support and protect neurons. As hiv invades. Brain Damage From Aids.
From www.nsf.gov
Autoimmune Overload May Damage HIVInfected Brain All Images NSF Brain Damage From Aids Hiv does not directly invade nerve cells (neurons) but puts their function at risk by infecting cells called glia that support and protect neurons. Patients with human immunodeficiency virus infection (hiv infection) have been noted to have various forms of neuropsychiatric illnesses. As hiv invades the brain, a powerful inflammatory response is activated that can cause neurological deficits. Hiv encephalopathy. Brain Damage From Aids.
From wellcomecollection.org
Brain HIV encephalopathy Collection Brain Damage From Aids Inflammation in the brain causes cognitive problems,. Patients with human immunodeficiency virus infection (hiv infection) have been noted to have various forms of neuropsychiatric illnesses. This can include difficulty concentrating, confusion, and. Hiv also triggers inflammation that may damage the brain and spinal cord (central nervous system) and cause symptoms such as: While hiv primarily affects the immune system, it. Brain Damage From Aids.
From www.thelancet.com
HIVassociated neurocognitive disorder The Lancet Infectious Diseases Brain Damage From Aids Inflammation in the brain causes cognitive problems,. Hiv encephalopathy is a serious complication of hiv that usually develops when hiv progresses to aids. Sometimes hiv can damage certain sections of the brain, which can lead to mild cognitive (thinking) problems. Hiv does not appear to directly invade nerve cells but it jeopardizes their health and function, causing symptoms such as. Brain Damage From Aids.
From www.mdpi.com
Brain Sciences Free FullText Neuronal Stress and Injury Caused by Brain Damage From Aids This can include difficulty concentrating, confusion, and. Hiv does not appear to directly invade nerve cells but it jeopardizes their health and function, causing symptoms such as confusion,. Patients with human immunodeficiency virus infection (hiv infection) have been noted to have various forms of neuropsychiatric illnesses. As hiv invades the brain, a powerful inflammatory response is activated that can cause. Brain Damage From Aids.
From www.mdpi.com
Brain Sciences Free FullText The Role of HIV Infection in Brain Damage From Aids Sometimes hiv can damage certain sections of the brain, which can lead to mild cognitive (thinking) problems. While hiv primarily affects the immune system, it can lead to a wide range of severe neurological disorders, particularly if hiv. Patients with human immunodeficiency virus infection (hiv infection) have been noted to have various forms of neuropsychiatric illnesses. Hiv encephalopathy is a. Brain Damage From Aids.
From fineartamerica.com
Nerve Damage In Aids Photograph by Dr M.a. Ansary/science Photo Library Brain Damage From Aids Hiv encephalopathy is a serious complication of hiv that usually develops when hiv progresses to aids. Hiv does not appear to directly invade nerve cells but it jeopardizes their health and function, causing symptoms such as confusion,. Sometimes hiv can damage certain sections of the brain, which can lead to mild cognitive (thinking) problems. Patients with human immunodeficiency virus infection. Brain Damage From Aids.
From www.bigstockphoto.com
Ct Scan Brain Hiv Image & Photo (Free Trial) Bigstock Brain Damage From Aids Patients with human immunodeficiency virus infection (hiv infection) have been noted to have various forms of neuropsychiatric illnesses. While hiv primarily affects the immune system, it can lead to a wide range of severe neurological disorders, particularly if hiv. Inflammation in the brain causes cognitive problems,. As hiv invades the brain, a powerful inflammatory response is activated that can cause. Brain Damage From Aids.
From exoylktst.blob.core.windows.net
Aids For Brain Injury at Mary Oliver blog Brain Damage From Aids Sometimes hiv can damage certain sections of the brain, which can lead to mild cognitive (thinking) problems. Hiv does not directly invade nerve cells (neurons) but puts their function at risk by infecting cells called glia that support and protect neurons. As hiv invades the brain, a powerful inflammatory response is activated that can cause neurological deficits. While hiv primarily. Brain Damage From Aids.
From ar.inspiredpencil.com
Hiv Encephalitis Symptoms Brain Damage From Aids Sometimes hiv can damage certain sections of the brain, which can lead to mild cognitive (thinking) problems. Inflammation in the brain causes cognitive problems,. Hiv does not appear to directly invade nerve cells but it jeopardizes their health and function, causing symptoms such as confusion,. Hiv encephalopathy is a serious complication of hiv that usually develops when hiv progresses to. Brain Damage From Aids.
From www.researchgate.net
HIVinduced cerebral injury. Notes (A) Volume loss. HIVinfected Brain Damage From Aids While hiv primarily affects the immune system, it can lead to a wide range of severe neurological disorders, particularly if hiv. Sometimes hiv can damage certain sections of the brain, which can lead to mild cognitive (thinking) problems. Hiv encephalopathy is a serious complication of hiv that usually develops when hiv progresses to aids. As hiv invades the brain, a. Brain Damage From Aids.
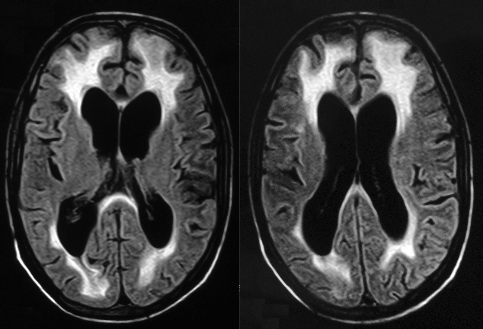
From dileep-radiology.blogspot.com
RADIOLOGY HIV Encephalopathy Brain Damage From Aids While hiv primarily affects the immune system, it can lead to a wide range of severe neurological disorders, particularly if hiv. Hiv does not appear to directly invade nerve cells but it jeopardizes their health and function, causing symptoms such as confusion,. Hiv also triggers inflammation that may damage the brain and spinal cord (central nervous system) and cause symptoms. Brain Damage From Aids.