Pyle Disease . Metaphyseal dysplasia, also known as pyle disease, is a rare bone disorder characterized by thin outer shafts of long bones, making them. Pyle disease is a bone disorder characterized by knock knees (genu valgum), relative constriction of the diaphysis or shaft of the bone and flaring. Pyle disease is a rare bone disorder characterized by long bones with wide metaphyses, thin cortical bone, and bone fragility leading to fractures. A bone dysplasia characterized by genu valgum, metaphyseal anomalies with broadening of the long bones extending into the diaphyses and. Its hallmark feature is an abnormality of the long bones in the arms and legs in which the ends. A rare bone dysplasia characterized by long bones with wide and expanded metaphyses, thin cortical bone and bone fragility. Pyle disease is a disorder of the bones.
from www.drckvasu.in
A bone dysplasia characterized by genu valgum, metaphyseal anomalies with broadening of the long bones extending into the diaphyses and. Pyle disease is a rare bone disorder characterized by long bones with wide metaphyses, thin cortical bone, and bone fragility leading to fractures. Metaphyseal dysplasia, also known as pyle disease, is a rare bone disorder characterized by thin outer shafts of long bones, making them. Its hallmark feature is an abnormality of the long bones in the arms and legs in which the ends. Pyle disease is a disorder of the bones. Pyle disease is a bone disorder characterized by knock knees (genu valgum), relative constriction of the diaphysis or shaft of the bone and flaring. A rare bone dysplasia characterized by long bones with wide and expanded metaphyses, thin cortical bone and bone fragility.
PYLE’S DISEASE (FAMILIAL METAPHYSEAL DYSPLASIA) Dr. Vasu
Pyle Disease Pyle disease is a bone disorder characterized by knock knees (genu valgum), relative constriction of the diaphysis or shaft of the bone and flaring. A bone dysplasia characterized by genu valgum, metaphyseal anomalies with broadening of the long bones extending into the diaphyses and. Pyle disease is a rare bone disorder characterized by long bones with wide metaphyses, thin cortical bone, and bone fragility leading to fractures. Its hallmark feature is an abnormality of the long bones in the arms and legs in which the ends. A rare bone dysplasia characterized by long bones with wide and expanded metaphyses, thin cortical bone and bone fragility. Metaphyseal dysplasia, also known as pyle disease, is a rare bone disorder characterized by thin outer shafts of long bones, making them. Pyle disease is a bone disorder characterized by knock knees (genu valgum), relative constriction of the diaphysis or shaft of the bone and flaring. Pyle disease is a disorder of the bones.
From www.reumatologiaclinica.org
Pyle's disease A human model of differentiated cortical and trabecular Pyle Disease Metaphyseal dysplasia, also known as pyle disease, is a rare bone disorder characterized by thin outer shafts of long bones, making them. Its hallmark feature is an abnormality of the long bones in the arms and legs in which the ends. Pyle disease is a disorder of the bones. A bone dysplasia characterized by genu valgum, metaphyseal anomalies with broadening. Pyle Disease.
From www.researchgate.net
e Knee radiographs of patient 1. Conventional knee radiographs in Pyle Disease Its hallmark feature is an abnormality of the long bones in the arms and legs in which the ends. A rare bone dysplasia characterized by long bones with wide and expanded metaphyses, thin cortical bone and bone fragility. A bone dysplasia characterized by genu valgum, metaphyseal anomalies with broadening of the long bones extending into the diaphyses and. Pyle disease. Pyle Disease.
From www.drckvasu.in
PYLE’S DISEASE (FAMILIAL METAPHYSEAL DYSPLASIA) Dr. Vasu Pyle Disease Pyle disease is a bone disorder characterized by knock knees (genu valgum), relative constriction of the diaphysis or shaft of the bone and flaring. A rare bone dysplasia characterized by long bones with wide and expanded metaphyses, thin cortical bone and bone fragility. Pyle disease is a rare bone disorder characterized by long bones with wide metaphyses, thin cortical bone,. Pyle Disease.
From www.semanticscholar.org
Figure 1 from Biallelic CSF1R Mutations Cause Skeletal Dysplasia of Pyle Disease A rare bone dysplasia characterized by long bones with wide and expanded metaphyses, thin cortical bone and bone fragility. A bone dysplasia characterized by genu valgum, metaphyseal anomalies with broadening of the long bones extending into the diaphyses and. Pyle disease is a rare bone disorder characterized by long bones with wide metaphyses, thin cortical bone, and bone fragility leading. Pyle Disease.
From news.uoguelph.ca
U of G Prof and Student Write on COVID19 and Heart Disease U of G News Pyle Disease Metaphyseal dysplasia, also known as pyle disease, is a rare bone disorder characterized by thin outer shafts of long bones, making them. A bone dysplasia characterized by genu valgum, metaphyseal anomalies with broadening of the long bones extending into the diaphyses and. Its hallmark feature is an abnormality of the long bones in the arms and legs in which the. Pyle Disease.
From file.scirp.org
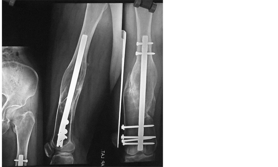
Fracture Femur in a Case of Pyle’s Disease A Case Report Pyle Disease Pyle disease is a rare bone disorder characterized by long bones with wide metaphyses, thin cortical bone, and bone fragility leading to fractures. Pyle disease is a bone disorder characterized by knock knees (genu valgum), relative constriction of the diaphysis or shaft of the bone and flaring. A rare bone dysplasia characterized by long bones with wide and expanded metaphyses,. Pyle Disease.
From www.dovemed.com
Pyle Disease Pyle Disease Its hallmark feature is an abnormality of the long bones in the arms and legs in which the ends. A rare bone dysplasia characterized by long bones with wide and expanded metaphyses, thin cortical bone and bone fragility. Pyle disease is a bone disorder characterized by knock knees (genu valgum), relative constriction of the diaphysis or shaft of the bone. Pyle Disease.
From file.scirp.org
Fracture Femur in a Case of Pyle’s Disease A Case Report Pyle Disease Its hallmark feature is an abnormality of the long bones in the arms and legs in which the ends. Metaphyseal dysplasia, also known as pyle disease, is a rare bone disorder characterized by thin outer shafts of long bones, making them. A rare bone dysplasia characterized by long bones with wide and expanded metaphyses, thin cortical bone and bone fragility.. Pyle Disease.
From www.researchgate.net
e Knee radiographs of patient 1. Conventional knee radiographs in Pyle Disease Its hallmark feature is an abnormality of the long bones in the arms and legs in which the ends. Metaphyseal dysplasia, also known as pyle disease, is a rare bone disorder characterized by thin outer shafts of long bones, making them. A rare bone dysplasia characterized by long bones with wide and expanded metaphyses, thin cortical bone and bone fragility.. Pyle Disease.
From www.researchgate.net
(PDF) PYLE’S DISEASE Pyle Disease Metaphyseal dysplasia, also known as pyle disease, is a rare bone disorder characterized by thin outer shafts of long bones, making them. Pyle disease is a disorder of the bones. Pyle disease is a rare bone disorder characterized by long bones with wide metaphyses, thin cortical bone, and bone fragility leading to fractures. A rare bone dysplasia characterized by long. Pyle Disease.
From www.nejm.org
CorticalBone Fragility — Insights from sFRP4 Deficiency in Pyle’s Pyle Disease Metaphyseal dysplasia, also known as pyle disease, is a rare bone disorder characterized by thin outer shafts of long bones, making them. Pyle disease is a bone disorder characterized by knock knees (genu valgum), relative constriction of the diaphysis or shaft of the bone and flaring. A bone dysplasia characterized by genu valgum, metaphyseal anomalies with broadening of the long. Pyle Disease.
From storymd.com
Pyle Disease StoryMD Pyle Disease Its hallmark feature is an abnormality of the long bones in the arms and legs in which the ends. A bone dysplasia characterized by genu valgum, metaphyseal anomalies with broadening of the long bones extending into the diaphyses and. Metaphyseal dysplasia, also known as pyle disease, is a rare bone disorder characterized by thin outer shafts of long bones, making. Pyle Disease.
From www.researchgate.net
e Knee radiographs of patient 1. Conventional knee radiographs in Pyle Disease Pyle disease is a rare bone disorder characterized by long bones with wide metaphyses, thin cortical bone, and bone fragility leading to fractures. A rare bone dysplasia characterized by long bones with wide and expanded metaphyses, thin cortical bone and bone fragility. A bone dysplasia characterized by genu valgum, metaphyseal anomalies with broadening of the long bones extending into the. Pyle Disease.
From www.researchgate.net
Radiographic images of taurodontism in molars in patients with OI Pyle Disease A rare bone dysplasia characterized by long bones with wide and expanded metaphyses, thin cortical bone and bone fragility. Metaphyseal dysplasia, also known as pyle disease, is a rare bone disorder characterized by thin outer shafts of long bones, making them. Pyle disease is a disorder of the bones. Pyle disease is a bone disorder characterized by knock knees (genu. Pyle Disease.
From www.pinterest.com
Pyle's disease Radiology Case Pediatric Radiology Pyle Disease Its hallmark feature is an abnormality of the long bones in the arms and legs in which the ends. A bone dysplasia characterized by genu valgum, metaphyseal anomalies with broadening of the long bones extending into the diaphyses and. Pyle disease is a bone disorder characterized by knock knees (genu valgum), relative constriction of the diaphysis or shaft of the. Pyle Disease.
From www.researchgate.net
(PDF) Craniofacial, dental, and molecular features of Pyle disease in a Pyle Disease Its hallmark feature is an abnormality of the long bones in the arms and legs in which the ends. Pyle disease is a rare bone disorder characterized by long bones with wide metaphyses, thin cortical bone, and bone fragility leading to fractures. A rare bone dysplasia characterized by long bones with wide and expanded metaphyses, thin cortical bone and bone. Pyle Disease.
From www.researchgate.net
(PDF) Pyle disease (metaphyseal dysplasia) presenting in two adult sisters Pyle Disease Metaphyseal dysplasia, also known as pyle disease, is a rare bone disorder characterized by thin outer shafts of long bones, making them. A rare bone dysplasia characterized by long bones with wide and expanded metaphyses, thin cortical bone and bone fragility. A bone dysplasia characterized by genu valgum, metaphyseal anomalies with broadening of the long bones extending into the diaphyses. Pyle Disease.
From jmg.bmj.com
Pyle disease (metaphyseal dysplasia). Journal of Medical Pyle Disease Metaphyseal dysplasia, also known as pyle disease, is a rare bone disorder characterized by thin outer shafts of long bones, making them. Pyle disease is a rare bone disorder characterized by long bones with wide metaphyses, thin cortical bone, and bone fragility leading to fractures. Pyle disease is a bone disorder characterized by knock knees (genu valgum), relative constriction of. Pyle Disease.
From www.femexer.org
Enfermedad de Pyle FEMEXER Pyle Disease Metaphyseal dysplasia, also known as pyle disease, is a rare bone disorder characterized by thin outer shafts of long bones, making them. Pyle disease is a disorder of the bones. A bone dysplasia characterized by genu valgum, metaphyseal anomalies with broadening of the long bones extending into the diaphyses and. A rare bone dysplasia characterized by long bones with wide. Pyle Disease.
From www.researchgate.net
(PDF) Biallelic CSF1R Mutations Cause Skeletal Dysplasia of Pyle Disease A rare bone dysplasia characterized by long bones with wide and expanded metaphyses, thin cortical bone and bone fragility. Metaphyseal dysplasia, also known as pyle disease, is a rare bone disorder characterized by thin outer shafts of long bones, making them. Pyle disease is a rare bone disorder characterized by long bones with wide metaphyses, thin cortical bone, and bone. Pyle Disease.
From pubs.rsna.org
Keep Your Eyes on the Ribs The Spectrum of Normal Variants and Pyle Disease Metaphyseal dysplasia, also known as pyle disease, is a rare bone disorder characterized by thin outer shafts of long bones, making them. A rare bone dysplasia characterized by long bones with wide and expanded metaphyses, thin cortical bone and bone fragility. A bone dysplasia characterized by genu valgum, metaphyseal anomalies with broadening of the long bones extending into the diaphyses. Pyle Disease.
From www.academia.edu
(PDF) Fracture Femur in a Case of Pyle’s Disease A Case Report Pyle Disease Pyle disease is a bone disorder characterized by knock knees (genu valgum), relative constriction of the diaphysis or shaft of the bone and flaring. Metaphyseal dysplasia, also known as pyle disease, is a rare bone disorder characterized by thin outer shafts of long bones, making them. A rare bone dysplasia characterized by long bones with wide and expanded metaphyses, thin. Pyle Disease.
From www.cureus.com
Cureus Pylephlebitis as a Rare Complication of Ulcerative Colitis A Pyle Disease Metaphyseal dysplasia, also known as pyle disease, is a rare bone disorder characterized by thin outer shafts of long bones, making them. Its hallmark feature is an abnormality of the long bones in the arms and legs in which the ends. A bone dysplasia characterized by genu valgum, metaphyseal anomalies with broadening of the long bones extending into the diaphyses. Pyle Disease.
From healthjade.com
Morquio syndrome causes, symptoms, diagnosis, life expectancy & treatment Pyle Disease Metaphyseal dysplasia, also known as pyle disease, is a rare bone disorder characterized by thin outer shafts of long bones, making them. Its hallmark feature is an abnormality of the long bones in the arms and legs in which the ends. Pyle disease is a bone disorder characterized by knock knees (genu valgum), relative constriction of the diaphysis or shaft. Pyle Disease.
From www.drckvasu.in
PYLE’S DISEASE (FAMILIAL METAPHYSEAL DYSPLASIA) Dr. Vasu Pyle Disease A rare bone dysplasia characterized by long bones with wide and expanded metaphyses, thin cortical bone and bone fragility. Its hallmark feature is an abnormality of the long bones in the arms and legs in which the ends. A bone dysplasia characterized by genu valgum, metaphyseal anomalies with broadening of the long bones extending into the diaphyses and. Pyle disease. Pyle Disease.
From europepmc.org
Pyle disease (metaphyseal dysplasia) presenting in two adult sisters Pyle Disease Pyle disease is a bone disorder characterized by knock knees (genu valgum), relative constriction of the diaphysis or shaft of the bone and flaring. A rare bone dysplasia characterized by long bones with wide and expanded metaphyses, thin cortical bone and bone fragility. A bone dysplasia characterized by genu valgum, metaphyseal anomalies with broadening of the long bones extending into. Pyle Disease.
From www.scribd.com
Applied Radiology Case PyleType Metaphyseal Dysplasia Pyle Disease Its hallmark feature is an abnormality of the long bones in the arms and legs in which the ends. A rare bone dysplasia characterized by long bones with wide and expanded metaphyses, thin cortical bone and bone fragility. A bone dysplasia characterized by genu valgum, metaphyseal anomalies with broadening of the long bones extending into the diaphyses and. Pyle disease. Pyle Disease.
From www.researchgate.net
(PDF) Case Report A rare association of Pyle disease with ventricular Pyle Disease Pyle disease is a rare bone disorder characterized by long bones with wide metaphyses, thin cortical bone, and bone fragility leading to fractures. A bone dysplasia characterized by genu valgum, metaphyseal anomalies with broadening of the long bones extending into the diaphyses and. Pyle disease is a bone disorder characterized by knock knees (genu valgum), relative constriction of the diaphysis. Pyle Disease.
From www.researchgate.net
(PDF) Pyle's disease An incidental finding in a routine dental patient Pyle Disease Pyle disease is a disorder of the bones. Pyle disease is a rare bone disorder characterized by long bones with wide metaphyses, thin cortical bone, and bone fragility leading to fractures. A bone dysplasia characterized by genu valgum, metaphyseal anomalies with broadening of the long bones extending into the diaphyses and. A rare bone dysplasia characterized by long bones with. Pyle Disease.
From brianaltonenmph.com
1960 Pyle’s Disease Diffusion and Migration Patterns Brian Altonen Pyle Disease Pyle disease is a rare bone disorder characterized by long bones with wide metaphyses, thin cortical bone, and bone fragility leading to fractures. A rare bone dysplasia characterized by long bones with wide and expanded metaphyses, thin cortical bone and bone fragility. A bone dysplasia characterized by genu valgum, metaphyseal anomalies with broadening of the long bones extending into the. Pyle Disease.
From file.scirp.org
Fracture Femur in a Case of Pyle’s Disease A Case Report Pyle Disease Metaphyseal dysplasia, also known as pyle disease, is a rare bone disorder characterized by thin outer shafts of long bones, making them. Its hallmark feature is an abnormality of the long bones in the arms and legs in which the ends. Pyle disease is a bone disorder characterized by knock knees (genu valgum), relative constriction of the diaphysis or shaft. Pyle Disease.
From www.researchgate.net
Radiographic images of a 10yearold male with Pyle disease. A, B Pyle Disease Pyle disease is a rare bone disorder characterized by long bones with wide metaphyses, thin cortical bone, and bone fragility leading to fractures. Its hallmark feature is an abnormality of the long bones in the arms and legs in which the ends. A bone dysplasia characterized by genu valgum, metaphyseal anomalies with broadening of the long bones extending into the. Pyle Disease.
From www.cell.com
Biallelic CSF1R Mutations Cause Skeletal Dysplasia of Pyle Disease Pyle disease is a rare bone disorder characterized by long bones with wide metaphyses, thin cortical bone, and bone fragility leading to fractures. A rare bone dysplasia characterized by long bones with wide and expanded metaphyses, thin cortical bone and bone fragility. Its hallmark feature is an abnormality of the long bones in the arms and legs in which the. Pyle Disease.
From www.nejm.org
CorticalBone Fragility — Insights from sFRP4 Deficiency in Pyle’s Pyle Disease Metaphyseal dysplasia, also known as pyle disease, is a rare bone disorder characterized by thin outer shafts of long bones, making them. A rare bone dysplasia characterized by long bones with wide and expanded metaphyses, thin cortical bone and bone fragility. Its hallmark feature is an abnormality of the long bones in the arms and legs in which the ends.. Pyle Disease.
From www.drckvasu.in
PYLE’S DISEASE (FAMILIAL METAPHYSEAL DYSPLASIA) Dr. Vasu Pyle Disease Its hallmark feature is an abnormality of the long bones in the arms and legs in which the ends. Pyle disease is a rare bone disorder characterized by long bones with wide metaphyses, thin cortical bone, and bone fragility leading to fractures. Metaphyseal dysplasia, also known as pyle disease, is a rare bone disorder characterized by thin outer shafts of. Pyle Disease.