Arthritis In Hip Joint . Although osteoarthritis can damage any joint, the disorder most commonly affects joints in your hands, knees, hips and spine. The causes, risk factors, treatments and exercises. 10k+ visitors in the past month Treatment for hip osteoarthritis will depend on several factors,. Hip osteoarthritis is a degenerative condition that may cause stiffness, pain, and inflammation in your hips. Learn about osteoarthritis of the hip, a common type of joint inflammation that causes pain, swelling, and stiffness. What are the symptoms and treatments for hip arthritis? Find out how it is. Hip arthritis is usually osteoarthritis, a degenerative disease that affects the cartilage in your joint. Learn more about symptoms of hip arthritis, types of hip arthritis, and how to treat hip arthritis with medication, lifestyle changes, and surgery.
from www.londonbridgeorthopaedics.co.uk
What are the symptoms and treatments for hip arthritis? 10k+ visitors in the past month Hip arthritis is usually osteoarthritis, a degenerative disease that affects the cartilage in your joint. Learn more about symptoms of hip arthritis, types of hip arthritis, and how to treat hip arthritis with medication, lifestyle changes, and surgery. Treatment for hip osteoarthritis will depend on several factors,. The causes, risk factors, treatments and exercises. Learn about osteoarthritis of the hip, a common type of joint inflammation that causes pain, swelling, and stiffness. Find out how it is. Although osteoarthritis can damage any joint, the disorder most commonly affects joints in your hands, knees, hips and spine. Hip osteoarthritis is a degenerative condition that may cause stiffness, pain, and inflammation in your hips.
hiparthritis London Bridge Orthopaedics
Arthritis In Hip Joint The causes, risk factors, treatments and exercises. Treatment for hip osteoarthritis will depend on several factors,. Hip arthritis is usually osteoarthritis, a degenerative disease that affects the cartilage in your joint. The causes, risk factors, treatments and exercises. What are the symptoms and treatments for hip arthritis? Hip osteoarthritis is a degenerative condition that may cause stiffness, pain, and inflammation in your hips. Learn more about symptoms of hip arthritis, types of hip arthritis, and how to treat hip arthritis with medication, lifestyle changes, and surgery. 10k+ visitors in the past month Find out how it is. Although osteoarthritis can damage any joint, the disorder most commonly affects joints in your hands, knees, hips and spine. Learn about osteoarthritis of the hip, a common type of joint inflammation that causes pain, swelling, and stiffness.
From www.spine-health.com
Osteoarthritis Complete Treatment Guide Arthritis In Hip Joint The causes, risk factors, treatments and exercises. Although osteoarthritis can damage any joint, the disorder most commonly affects joints in your hands, knees, hips and spine. Learn about osteoarthritis of the hip, a common type of joint inflammation that causes pain, swelling, and stiffness. Find out how it is. What are the symptoms and treatments for hip arthritis? Learn more. Arthritis In Hip Joint.
From www.sciencephoto.com
Osteoarthritis of the hip, Xray Stock Image C001/5211 Science Arthritis In Hip Joint Learn about osteoarthritis of the hip, a common type of joint inflammation that causes pain, swelling, and stiffness. 10k+ visitors in the past month Although osteoarthritis can damage any joint, the disorder most commonly affects joints in your hands, knees, hips and spine. The causes, risk factors, treatments and exercises. Hip osteoarthritis is a degenerative condition that may cause stiffness,. Arthritis In Hip Joint.
From www.cuhipclinic.com
Hip Arthritis CU Sports Med Hip Clinic Arthritis In Hip Joint The causes, risk factors, treatments and exercises. Find out how it is. Although osteoarthritis can damage any joint, the disorder most commonly affects joints in your hands, knees, hips and spine. Learn about osteoarthritis of the hip, a common type of joint inflammation that causes pain, swelling, and stiffness. Learn more about symptoms of hip arthritis, types of hip arthritis,. Arthritis In Hip Joint.
From hipandkneehandbook.com
Arthritic Hips & Knees Images Hip and Knee Handbook of Joint Arthritis In Hip Joint Treatment for hip osteoarthritis will depend on several factors,. Learn about osteoarthritis of the hip, a common type of joint inflammation that causes pain, swelling, and stiffness. Find out how it is. What are the symptoms and treatments for hip arthritis? 10k+ visitors in the past month The causes, risk factors, treatments and exercises. Hip arthritis is usually osteoarthritis, a. Arthritis In Hip Joint.
From intermountainhealthcare.org
Hip Osteoarthritis Orthopedics Arthritis In Hip Joint Hip osteoarthritis is a degenerative condition that may cause stiffness, pain, and inflammation in your hips. 10k+ visitors in the past month Find out how it is. Learn about osteoarthritis of the hip, a common type of joint inflammation that causes pain, swelling, and stiffness. Learn more about symptoms of hip arthritis, types of hip arthritis, and how to treat. Arthritis In Hip Joint.
From centralorthopedicgroup.com
Hip Pain What Does It Mean and How Do I Treat It? Central Orthopedic Arthritis In Hip Joint Although osteoarthritis can damage any joint, the disorder most commonly affects joints in your hands, knees, hips and spine. 10k+ visitors in the past month The causes, risk factors, treatments and exercises. Find out how it is. Hip arthritis is usually osteoarthritis, a degenerative disease that affects the cartilage in your joint. What are the symptoms and treatments for hip. Arthritis In Hip Joint.
From www.painfreepainrelief.com
Hip Joint Pain Treatment & Therapy Pain Relief Institute Arthritis In Hip Joint Learn more about symptoms of hip arthritis, types of hip arthritis, and how to treat hip arthritis with medication, lifestyle changes, and surgery. Treatment for hip osteoarthritis will depend on several factors,. Hip arthritis is usually osteoarthritis, a degenerative disease that affects the cartilage in your joint. Although osteoarthritis can damage any joint, the disorder most commonly affects joints in. Arthritis In Hip Joint.
From www.floridaortho.com
Osteoarthritis of the Hip Florida Orthopaedic Institute Arthritis In Hip Joint Find out how it is. Hip osteoarthritis is a degenerative condition that may cause stiffness, pain, and inflammation in your hips. Although osteoarthritis can damage any joint, the disorder most commonly affects joints in your hands, knees, hips and spine. Learn about osteoarthritis of the hip, a common type of joint inflammation that causes pain, swelling, and stiffness. Learn more. Arthritis In Hip Joint.
From healthjade.net
Osteoarthritis Causes, Symptoms, Diagnosis, Prognosis & Treatment Arthritis In Hip Joint Find out how it is. 10k+ visitors in the past month Learn more about symptoms of hip arthritis, types of hip arthritis, and how to treat hip arthritis with medication, lifestyle changes, and surgery. Hip osteoarthritis is a degenerative condition that may cause stiffness, pain, and inflammation in your hips. Hip arthritis is usually osteoarthritis, a degenerative disease that affects. Arthritis In Hip Joint.
From www.kneeandhip.co.uk
Arthritis Knee and Hip site Arthritis In Hip Joint Hip osteoarthritis is a degenerative condition that may cause stiffness, pain, and inflammation in your hips. 10k+ visitors in the past month Hip arthritis is usually osteoarthritis, a degenerative disease that affects the cartilage in your joint. Learn more about symptoms of hip arthritis, types of hip arthritis, and how to treat hip arthritis with medication, lifestyle changes, and surgery.. Arthritis In Hip Joint.
From www.nw-hip-knee-clinic.com
Hip Arthritis Hip Osteoarthritis Hip Pain Arthritis In Hip Joint Learn about osteoarthritis of the hip, a common type of joint inflammation that causes pain, swelling, and stiffness. 10k+ visitors in the past month Learn more about symptoms of hip arthritis, types of hip arthritis, and how to treat hip arthritis with medication, lifestyle changes, and surgery. What are the symptoms and treatments for hip arthritis? Find out how it. Arthritis In Hip Joint.
From physio-logical.net
Hip Arthritis/Pain 5 exercises to help Physiological Arthritis In Hip Joint Although osteoarthritis can damage any joint, the disorder most commonly affects joints in your hands, knees, hips and spine. 10k+ visitors in the past month Find out how it is. Learn about osteoarthritis of the hip, a common type of joint inflammation that causes pain, swelling, and stiffness. Treatment for hip osteoarthritis will depend on several factors,. Hip arthritis is. Arthritis In Hip Joint.
From www.femalefirst.co.uk
7 ways to treat hip arthritis Arthritis In Hip Joint Learn more about symptoms of hip arthritis, types of hip arthritis, and how to treat hip arthritis with medication, lifestyle changes, and surgery. Treatment for hip osteoarthritis will depend on several factors,. Learn about osteoarthritis of the hip, a common type of joint inflammation that causes pain, swelling, and stiffness. Although osteoarthritis can damage any joint, the disorder most commonly. Arthritis In Hip Joint.
From www.vrogue.co
5 Treatment Options For Hip Osteoarthritis vrogue.co Arthritis In Hip Joint The causes, risk factors, treatments and exercises. Hip osteoarthritis is a degenerative condition that may cause stiffness, pain, and inflammation in your hips. Find out how it is. Learn about osteoarthritis of the hip, a common type of joint inflammation that causes pain, swelling, and stiffness. Learn more about symptoms of hip arthritis, types of hip arthritis, and how to. Arthritis In Hip Joint.
From www.alamy.com
X ray osteoarthritis of the hip joint Stock Photo 4055288 Alamy Arthritis In Hip Joint The causes, risk factors, treatments and exercises. Treatment for hip osteoarthritis will depend on several factors,. Find out how it is. Although osteoarthritis can damage any joint, the disorder most commonly affects joints in your hands, knees, hips and spine. Learn about osteoarthritis of the hip, a common type of joint inflammation that causes pain, swelling, and stiffness. 10k+ visitors. Arthritis In Hip Joint.
From www.arthritis-health.com
Total Hip Replacement for Hip Arthritis Arthritis In Hip Joint Find out how it is. 10k+ visitors in the past month The causes, risk factors, treatments and exercises. Hip arthritis is usually osteoarthritis, a degenerative disease that affects the cartilage in your joint. Learn about osteoarthritis of the hip, a common type of joint inflammation that causes pain, swelling, and stiffness. Learn more about symptoms of hip arthritis, types of. Arthritis In Hip Joint.
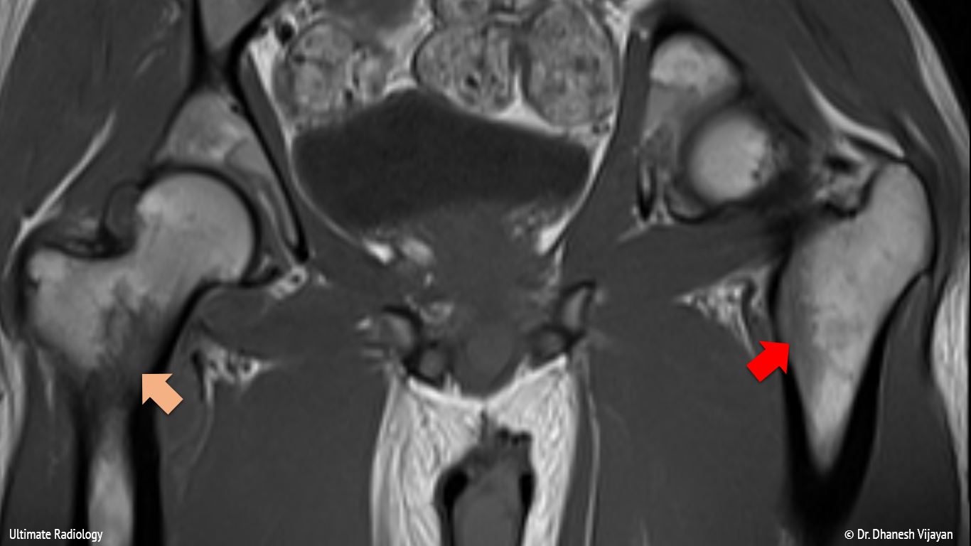
From ultimate-radiology.blogspot.com
Ultimate Radiology Septic arthritis of hip joint Arthritis In Hip Joint The causes, risk factors, treatments and exercises. Find out how it is. Although osteoarthritis can damage any joint, the disorder most commonly affects joints in your hands, knees, hips and spine. 10k+ visitors in the past month Learn about osteoarthritis of the hip, a common type of joint inflammation that causes pain, swelling, and stiffness. What are the symptoms and. Arthritis In Hip Joint.
From www.stemxgroup.com
Hip Osteoarthritis Treatment Without Steroids or Surgery Arthritis In Hip Joint Hip arthritis is usually osteoarthritis, a degenerative disease that affects the cartilage in your joint. Learn more about symptoms of hip arthritis, types of hip arthritis, and how to treat hip arthritis with medication, lifestyle changes, and surgery. What are the symptoms and treatments for hip arthritis? Although osteoarthritis can damage any joint, the disorder most commonly affects joints in. Arthritis In Hip Joint.
From www.hipandkneeconsultant.co.uk
Quick Guide to Hip Arthritis Arthritis In Hip Joint Learn more about symptoms of hip arthritis, types of hip arthritis, and how to treat hip arthritis with medication, lifestyle changes, and surgery. 10k+ visitors in the past month Although osteoarthritis can damage any joint, the disorder most commonly affects joints in your hands, knees, hips and spine. Find out how it is. Learn about osteoarthritis of the hip, a. Arthritis In Hip Joint.
From www.londonbridgeorthopaedics.co.uk
hiparthritis London Bridge Orthopaedics Arthritis In Hip Joint Treatment for hip osteoarthritis will depend on several factors,. Hip arthritis is usually osteoarthritis, a degenerative disease that affects the cartilage in your joint. Hip osteoarthritis is a degenerative condition that may cause stiffness, pain, and inflammation in your hips. Although osteoarthritis can damage any joint, the disorder most commonly affects joints in your hands, knees, hips and spine. Find. Arthritis In Hip Joint.
From www.usaspinecare.com
What is Rheumatoid Arthritis of the Hip? USA Spine Care & Orthopedics Arthritis In Hip Joint Learn about osteoarthritis of the hip, a common type of joint inflammation that causes pain, swelling, and stiffness. Although osteoarthritis can damage any joint, the disorder most commonly affects joints in your hands, knees, hips and spine. What are the symptoms and treatments for hip arthritis? Hip osteoarthritis is a degenerative condition that may cause stiffness, pain, and inflammation in. Arthritis In Hip Joint.
From www.youtube.com
3 Most Common Signs of Hip Arthritis YouTube Arthritis In Hip Joint Although osteoarthritis can damage any joint, the disorder most commonly affects joints in your hands, knees, hips and spine. What are the symptoms and treatments for hip arthritis? Hip arthritis is usually osteoarthritis, a degenerative disease that affects the cartilage in your joint. Learn more about symptoms of hip arthritis, types of hip arthritis, and how to treat hip arthritis. Arthritis In Hip Joint.
From www.robinortho.com.au
Hip Arthritis & Total Hip Replacement Robin Orthopaedics Melbourne Arthritis In Hip Joint The causes, risk factors, treatments and exercises. Learn more about symptoms of hip arthritis, types of hip arthritis, and how to treat hip arthritis with medication, lifestyle changes, and surgery. Learn about osteoarthritis of the hip, a common type of joint inflammation that causes pain, swelling, and stiffness. What are the symptoms and treatments for hip arthritis? Although osteoarthritis can. Arthritis In Hip Joint.
From www.dallaslimbrestoration.com
Inflammatory Arthritis of the Hip Orthopedic Surgery & Joint Arthritis In Hip Joint 10k+ visitors in the past month Find out how it is. Learn about osteoarthritis of the hip, a common type of joint inflammation that causes pain, swelling, and stiffness. Learn more about symptoms of hip arthritis, types of hip arthritis, and how to treat hip arthritis with medication, lifestyle changes, and surgery. Hip arthritis is usually osteoarthritis, a degenerative disease. Arthritis In Hip Joint.
From radiopaedia.org
Endstage degenerative arthritis of the hip Image Arthritis In Hip Joint Treatment for hip osteoarthritis will depend on several factors,. Although osteoarthritis can damage any joint, the disorder most commonly affects joints in your hands, knees, hips and spine. Find out how it is. Learn about osteoarthritis of the hip, a common type of joint inflammation that causes pain, swelling, and stiffness. Hip osteoarthritis is a degenerative condition that may cause. Arthritis In Hip Joint.
From www.bmj.com
Hip osteoarthritis The BMJ Arthritis In Hip Joint Hip arthritis is usually osteoarthritis, a degenerative disease that affects the cartilage in your joint. What are the symptoms and treatments for hip arthritis? Treatment for hip osteoarthritis will depend on several factors,. Find out how it is. Learn about osteoarthritis of the hip, a common type of joint inflammation that causes pain, swelling, and stiffness. Hip osteoarthritis is a. Arthritis In Hip Joint.
From orthoinfo.aaos.org
Arthritis An Overview OrthoInfo AAOS Arthritis In Hip Joint Treatment for hip osteoarthritis will depend on several factors,. Learn about osteoarthritis of the hip, a common type of joint inflammation that causes pain, swelling, and stiffness. Although osteoarthritis can damage any joint, the disorder most commonly affects joints in your hands, knees, hips and spine. Hip osteoarthritis is a degenerative condition that may cause stiffness, pain, and inflammation in. Arthritis In Hip Joint.
From samarpanphysioclinic.com
Kinesio taping for Hip pain How to Apply? Arthritis In Hip Joint Hip arthritis is usually osteoarthritis, a degenerative disease that affects the cartilage in your joint. Although osteoarthritis can damage any joint, the disorder most commonly affects joints in your hands, knees, hips and spine. Find out how it is. The causes, risk factors, treatments and exercises. Hip osteoarthritis is a degenerative condition that may cause stiffness, pain, and inflammation in. Arthritis In Hip Joint.
From www.verywellhealth.com
How Rheumatoid Arthritis Affects Each Part of the Body Arthritis In Hip Joint Hip osteoarthritis is a degenerative condition that may cause stiffness, pain, and inflammation in your hips. The causes, risk factors, treatments and exercises. Learn more about symptoms of hip arthritis, types of hip arthritis, and how to treat hip arthritis with medication, lifestyle changes, and surgery. Find out how it is. Learn about osteoarthritis of the hip, a common type. Arthritis In Hip Joint.
From www.youtube.com
Hip arthritis / osteoarthritis treatment and rehabilitation exercises Arthritis In Hip Joint Hip arthritis is usually osteoarthritis, a degenerative disease that affects the cartilage in your joint. Hip osteoarthritis is a degenerative condition that may cause stiffness, pain, and inflammation in your hips. Although osteoarthritis can damage any joint, the disorder most commonly affects joints in your hands, knees, hips and spine. What are the symptoms and treatments for hip arthritis? Find. Arthritis In Hip Joint.
From www.amershamchiropractic.co.uk
Hip Arthritis with or without back pain Amersham Chiropractic Clinic Arthritis In Hip Joint Learn more about symptoms of hip arthritis, types of hip arthritis, and how to treat hip arthritis with medication, lifestyle changes, and surgery. Although osteoarthritis can damage any joint, the disorder most commonly affects joints in your hands, knees, hips and spine. Treatment for hip osteoarthritis will depend on several factors,. Hip osteoarthritis is a degenerative condition that may cause. Arthritis In Hip Joint.
From physiopretoria.co.za
Hip Osteoarthritis Hip joint osteoarthritis pain form the hip experts Arthritis In Hip Joint Learn about osteoarthritis of the hip, a common type of joint inflammation that causes pain, swelling, and stiffness. Learn more about symptoms of hip arthritis, types of hip arthritis, and how to treat hip arthritis with medication, lifestyle changes, and surgery. Treatment for hip osteoarthritis will depend on several factors,. Although osteoarthritis can damage any joint, the disorder most commonly. Arthritis In Hip Joint.
From curearthritis.org
3d rendered medically accurate illustration of an arthritic hip joint Arthritis In Hip Joint Hip osteoarthritis is a degenerative condition that may cause stiffness, pain, and inflammation in your hips. Learn more about symptoms of hip arthritis, types of hip arthritis, and how to treat hip arthritis with medication, lifestyle changes, and surgery. The causes, risk factors, treatments and exercises. 10k+ visitors in the past month Treatment for hip osteoarthritis will depend on several. Arthritis In Hip Joint.
From www.alamy.com
Arthritis at hip joint . Film xray show inflamed of hip joint and Arthritis In Hip Joint Find out how it is. Although osteoarthritis can damage any joint, the disorder most commonly affects joints in your hands, knees, hips and spine. 10k+ visitors in the past month Treatment for hip osteoarthritis will depend on several factors,. Learn more about symptoms of hip arthritis, types of hip arthritis, and how to treat hip arthritis with medication, lifestyle changes,. Arthritis In Hip Joint.
From www.sciencephoto.com
'Osteoarthritis of the hip joint, Xray' Stock Image C002/6998 Arthritis In Hip Joint Find out how it is. Hip osteoarthritis is a degenerative condition that may cause stiffness, pain, and inflammation in your hips. What are the symptoms and treatments for hip arthritis? Hip arthritis is usually osteoarthritis, a degenerative disease that affects the cartilage in your joint. Treatment for hip osteoarthritis will depend on several factors,. Learn about osteoarthritis of the hip,. Arthritis In Hip Joint.