How Bad Is My Gum Recession Reddit . Gum recession is a sign that gum disease is progressing. I would say minor recession. Please abide by the following rules in order to get an accurate answer to your question: Generally speaking, more frequent cleanings is because of gum inflammation though, not recession (swelling or infection, not loss of gum. I've hidden from my dentist phobia and haven't seen a dentist in 25yrs. (1) ensure you include a title of your dental. If you are doing well with hygiene it should be ok. Gum recession makes teeth sensitive by exposing parts of the root surface that have little connections to the tooth nerve in. I have the same problem and dont worry about it at all. Your gums look ok to. Please abide by the following rules in order to get an accurate answer to your question: When gums recede, the gum tissue can pull away from your teeth, forming pockets that can trap even more food. I've noticed 2 teeth have bad gum recession. (1) ensure you include a title of your dental problem.
from www.reddit.com
When gums recede, the gum tissue can pull away from your teeth, forming pockets that can trap even more food. Generally speaking, more frequent cleanings is because of gum inflammation though, not recession (swelling or infection, not loss of gum. I would say minor recession. I've noticed 2 teeth have bad gum recession. Gum recession is a sign that gum disease is progressing. (1) ensure you include a title of your dental problem. Gum recession makes teeth sensitive by exposing parts of the root surface that have little connections to the tooth nerve in. I've hidden from my dentist phobia and haven't seen a dentist in 25yrs. Your gums look ok to. Please abide by the following rules in order to get an accurate answer to your question:
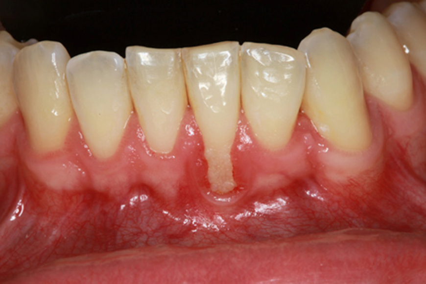
How bad would you say my gum recession is? Incredibly paranoid that I
How Bad Is My Gum Recession Reddit (1) ensure you include a title of your dental. Please abide by the following rules in order to get an accurate answer to your question: I've noticed 2 teeth have bad gum recession. (1) ensure you include a title of your dental. When gums recede, the gum tissue can pull away from your teeth, forming pockets that can trap even more food. Gum recession is a sign that gum disease is progressing. I would say minor recession. I have the same problem and dont worry about it at all. Gum recession makes teeth sensitive by exposing parts of the root surface that have little connections to the tooth nerve in. Generally speaking, more frequent cleanings is because of gum inflammation though, not recession (swelling or infection, not loss of gum. (1) ensure you include a title of your dental problem. Please abide by the following rules in order to get an accurate answer to your question: If you are doing well with hygiene it should be ok. Your gums look ok to. I've hidden from my dentist phobia and haven't seen a dentist in 25yrs.
From www.medicalnewstoday.com
Do receding gums grow back? Treatments and prevention How Bad Is My Gum Recession Reddit I've hidden from my dentist phobia and haven't seen a dentist in 25yrs. I would say minor recession. Please abide by the following rules in order to get an accurate answer to your question: (1) ensure you include a title of your dental problem. When gums recede, the gum tissue can pull away from your teeth, forming pockets that can. How Bad Is My Gum Recession Reddit.
From www.reddit.com
M21 Are my gums receding already? r/Dentistry How Bad Is My Gum Recession Reddit I would say minor recession. If you are doing well with hygiene it should be ok. Please abide by the following rules in order to get an accurate answer to your question: I've noticed 2 teeth have bad gum recession. I've hidden from my dentist phobia and haven't seen a dentist in 25yrs. When gums recede, the gum tissue can. How Bad Is My Gum Recession Reddit.
From www.reddit.com
Gum recession How Bad Is My Gum Recession Reddit I've noticed 2 teeth have bad gum recession. Please abide by the following rules in order to get an accurate answer to your question: Please abide by the following rules in order to get an accurate answer to your question: Generally speaking, more frequent cleanings is because of gum inflammation though, not recession (swelling or infection, not loss of gum.. How Bad Is My Gum Recession Reddit.
From www.reddit.com
[M/22] Really bad progressive gum recession after braces Dentistry How Bad Is My Gum Recession Reddit When gums recede, the gum tissue can pull away from your teeth, forming pockets that can trap even more food. Your gums look ok to. Gum recession is a sign that gum disease is progressing. I have the same problem and dont worry about it at all. (1) ensure you include a title of your dental. Generally speaking, more frequent. How Bad Is My Gum Recession Reddit.
From www.reddit.com
Are my gums receding? How bad? r/askdentists How Bad Is My Gum Recession Reddit Generally speaking, more frequent cleanings is because of gum inflammation though, not recession (swelling or infection, not loss of gum. I've hidden from my dentist phobia and haven't seen a dentist in 25yrs. (1) ensure you include a title of your dental problem. Gum recession makes teeth sensitive by exposing parts of the root surface that have little connections to. How Bad Is My Gum Recession Reddit.
From gumdiseaseguide.org
Gum recession Causes, Treatment, Prevention and More How Bad Is My Gum Recession Reddit (1) ensure you include a title of your dental problem. Gum recession makes teeth sensitive by exposing parts of the root surface that have little connections to the tooth nerve in. Please abide by the following rules in order to get an accurate answer to your question: (1) ensure you include a title of your dental. I've noticed 2 teeth. How Bad Is My Gum Recession Reddit.
From www.drjoydentalclinic.com
What are the Causes & Treatments of Gingival Recession How Bad Is My Gum Recession Reddit I would say minor recession. I've hidden from my dentist phobia and haven't seen a dentist in 25yrs. Please abide by the following rules in order to get an accurate answer to your question: When gums recede, the gum tissue can pull away from your teeth, forming pockets that can trap even more food. I have the same problem and. How Bad Is My Gum Recession Reddit.
From www.reddit.com
How bad would you say my gum recession is? Incredibly paranoid that I How Bad Is My Gum Recession Reddit Gum recession makes teeth sensitive by exposing parts of the root surface that have little connections to the tooth nerve in. Please abide by the following rules in order to get an accurate answer to your question: Gum recession is a sign that gum disease is progressing. I would say minor recession. I have the same problem and dont worry. How Bad Is My Gum Recession Reddit.
From www.designerforsmiles.com
Is Gum Recession Bad for my Dental Health? How Bad Is My Gum Recession Reddit I've noticed 2 teeth have bad gum recession. Gum recession is a sign that gum disease is progressing. I have the same problem and dont worry about it at all. I would say minor recession. Gum recession makes teeth sensitive by exposing parts of the root surface that have little connections to the tooth nerve in. I've hidden from my. How Bad Is My Gum Recession Reddit.
From www.reddit.com
How bad is my gum recession? r/Dentistry How Bad Is My Gum Recession Reddit I have the same problem and dont worry about it at all. Your gums look ok to. I've noticed 2 teeth have bad gum recession. Generally speaking, more frequent cleanings is because of gum inflammation though, not recession (swelling or infection, not loss of gum. When gums recede, the gum tissue can pull away from your teeth, forming pockets that. How Bad Is My Gum Recession Reddit.
From www.reddit.com
how bad is my gum recession? r/PeriodontalDisease How Bad Is My Gum Recession Reddit Generally speaking, more frequent cleanings is because of gum inflammation though, not recession (swelling or infection, not loss of gum. Gum recession is a sign that gum disease is progressing. When gums recede, the gum tissue can pull away from your teeth, forming pockets that can trap even more food. (1) ensure you include a title of your dental problem.. How Bad Is My Gum Recession Reddit.
From www.beverlyhillsladentist.com
What Causes Gum Recession? Causes, Prevention, and Treatments How Bad Is My Gum Recession Reddit Gum recession is a sign that gum disease is progressing. I have the same problem and dont worry about it at all. Your gums look ok to. I would say minor recession. (1) ensure you include a title of your dental. (1) ensure you include a title of your dental problem. I've hidden from my dentist phobia and haven't seen. How Bad Is My Gum Recession Reddit.
From www.brisbanesmiles.com.au
What Is Gum Recession and How to Treat It Brisbane Smiles How Bad Is My Gum Recession Reddit Generally speaking, more frequent cleanings is because of gum inflammation though, not recession (swelling or infection, not loss of gum. I would say minor recession. When gums recede, the gum tissue can pull away from your teeth, forming pockets that can trap even more food. Please abide by the following rules in order to get an accurate answer to your. How Bad Is My Gum Recession Reddit.
From www.archwired.com
What Is Gum Recession in Dentistry? ArchWired How Bad Is My Gum Recession Reddit Gum recession is a sign that gum disease is progressing. Please abide by the following rules in order to get an accurate answer to your question: Generally speaking, more frequent cleanings is because of gum inflammation though, not recession (swelling or infection, not loss of gum. Your gums look ok to. Please abide by the following rules in order to. How Bad Is My Gum Recession Reddit.
From www.reddit.com
In Regret, what will happen to my teeth? r/PeriodontalDisease How Bad Is My Gum Recession Reddit (1) ensure you include a title of your dental problem. I've noticed 2 teeth have bad gum recession. Your gums look ok to. When gums recede, the gum tissue can pull away from your teeth, forming pockets that can trap even more food. I've hidden from my dentist phobia and haven't seen a dentist in 25yrs. I have the same. How Bad Is My Gum Recession Reddit.
From www.reddit.com
Receding gums what do i do in my case? Dentistry How Bad Is My Gum Recession Reddit Please abide by the following rules in order to get an accurate answer to your question: I would say minor recession. Gum recession makes teeth sensitive by exposing parts of the root surface that have little connections to the tooth nerve in. I have the same problem and dont worry about it at all. I've hidden from my dentist phobia. How Bad Is My Gum Recession Reddit.
From medium.com
How To Reverse Receding Gums Reddit? by Geipowasuminr Medium How Bad Is My Gum Recession Reddit I've hidden from my dentist phobia and haven't seen a dentist in 25yrs. Generally speaking, more frequent cleanings is because of gum inflammation though, not recession (swelling or infection, not loss of gum. (1) ensure you include a title of your dental problem. Your gums look ok to. I would say minor recession. I've noticed 2 teeth have bad gum. How Bad Is My Gum Recession Reddit.
From www.reddit.com
How bad is my Gum Recession r/askdentists How Bad Is My Gum Recession Reddit When gums recede, the gum tissue can pull away from your teeth, forming pockets that can trap even more food. I have the same problem and dont worry about it at all. Please abide by the following rules in order to get an accurate answer to your question: I've hidden from my dentist phobia and haven't seen a dentist in. How Bad Is My Gum Recession Reddit.
From www.youtube.com
What causes gum recession & how to stop receding gums? YouTube How Bad Is My Gum Recession Reddit When gums recede, the gum tissue can pull away from your teeth, forming pockets that can trap even more food. I would say minor recession. Please abide by the following rules in order to get an accurate answer to your question: Gum recession is a sign that gum disease is progressing. If you are doing well with hygiene it should. How Bad Is My Gum Recession Reddit.
From julio.dlova.com
How Bad Are My Receding Gums Reddit Julio's Blog How Bad Is My Gum Recession Reddit Gum recession is a sign that gum disease is progressing. (1) ensure you include a title of your dental problem. I have the same problem and dont worry about it at all. Generally speaking, more frequent cleanings is because of gum inflammation though, not recession (swelling or infection, not loss of gum. Gum recession makes teeth sensitive by exposing parts. How Bad Is My Gum Recession Reddit.
From www.reddit.com
Are my lower gums receding? How bad is it? r/DentalHygiene How Bad Is My Gum Recession Reddit I have the same problem and dont worry about it at all. Gum recession makes teeth sensitive by exposing parts of the root surface that have little connections to the tooth nerve in. I've noticed 2 teeth have bad gum recession. When gums recede, the gum tissue can pull away from your teeth, forming pockets that can trap even more. How Bad Is My Gum Recession Reddit.
From www.reddit.com
Severe Gum recession Do I have any options? Dentistry How Bad Is My Gum Recession Reddit Please abide by the following rules in order to get an accurate answer to your question: Your gums look ok to. I've noticed 2 teeth have bad gum recession. I have the same problem and dont worry about it at all. (1) ensure you include a title of your dental problem. Gum recession is a sign that gum disease is. How Bad Is My Gum Recession Reddit.
From www.reddit.com
F**KING Receding Gums! Anyone successfully? [PICS INSIDE How Bad Is My Gum Recession Reddit (1) ensure you include a title of your dental problem. (1) ensure you include a title of your dental. I've hidden from my dentist phobia and haven't seen a dentist in 25yrs. Generally speaking, more frequent cleanings is because of gum inflammation though, not recession (swelling or infection, not loss of gum. I've noticed 2 teeth have bad gum recession.. How Bad Is My Gum Recession Reddit.
From orawellness.com
What causes receding gums and how to stop it OraWellness How Bad Is My Gum Recession Reddit I've noticed 2 teeth have bad gum recession. I would say minor recession. Please abide by the following rules in order to get an accurate answer to your question: Gum recession is a sign that gum disease is progressing. Gum recession makes teeth sensitive by exposing parts of the root surface that have little connections to the tooth nerve in.. How Bad Is My Gum Recession Reddit.
From www.limelightdental.ca
5 Signs You May Have Receding Gums And Treatment Options Lime Light How Bad Is My Gum Recession Reddit Gum recession makes teeth sensitive by exposing parts of the root surface that have little connections to the tooth nerve in. I've noticed 2 teeth have bad gum recession. When gums recede, the gum tissue can pull away from your teeth, forming pockets that can trap even more food. (1) ensure you include a title of your dental. I have. How Bad Is My Gum Recession Reddit.
From www.reddit.com
Gum recession has started on incisors. Is this looking bad? I can feel How Bad Is My Gum Recession Reddit If you are doing well with hygiene it should be ok. (1) ensure you include a title of your dental problem. Gum recession is a sign that gum disease is progressing. (1) ensure you include a title of your dental. Your gums look ok to. Please abide by the following rules in order to get an accurate answer to your. How Bad Is My Gum Recession Reddit.
From canyongatedental.com
Facts about Gum Recession Canyon Gate Dental of Orem How Bad Is My Gum Recession Reddit I have the same problem and dont worry about it at all. When gums recede, the gum tissue can pull away from your teeth, forming pockets that can trap even more food. Please abide by the following rules in order to get an accurate answer to your question: Generally speaking, more frequent cleanings is because of gum inflammation though, not. How Bad Is My Gum Recession Reddit.
From www.lighthousedentalcentre.com
Why do I have receding gums? How Bad Is My Gum Recession Reddit I have the same problem and dont worry about it at all. Gum recession is a sign that gum disease is progressing. Gum recession makes teeth sensitive by exposing parts of the root surface that have little connections to the tooth nerve in. If you are doing well with hygiene it should be ok. I've noticed 2 teeth have bad. How Bad Is My Gum Recession Reddit.
From www.reddit.com
Are my gums receding? My dentist has never mentioned it to me. I do How Bad Is My Gum Recession Reddit Gum recession makes teeth sensitive by exposing parts of the root surface that have little connections to the tooth nerve in. Your gums look ok to. When gums recede, the gum tissue can pull away from your teeth, forming pockets that can trap even more food. I would say minor recession. Gum recession is a sign that gum disease is. How Bad Is My Gum Recession Reddit.
From julio.dlova.com
How Bad Are My Receding Gums Reddit Julio's Blog How Bad Is My Gum Recession Reddit Your gums look ok to. If you are doing well with hygiene it should be ok. Gum recession is a sign that gum disease is progressing. Please abide by the following rules in order to get an accurate answer to your question: I would say minor recession. I have the same problem and dont worry about it at all. When. How Bad Is My Gum Recession Reddit.
From gumdiseaseguide.org
Gum Recession Root Exposure What Caused It and Treatments? How Bad Is My Gum Recession Reddit (1) ensure you include a title of your dental. Your gums look ok to. When gums recede, the gum tissue can pull away from your teeth, forming pockets that can trap even more food. If you are doing well with hygiene it should be ok. I've hidden from my dentist phobia and haven't seen a dentist in 25yrs. I have. How Bad Is My Gum Recession Reddit.
From waterask.pythonanywhere.com
Supreme Info About How To Fix Recession Waterask How Bad Is My Gum Recession Reddit Generally speaking, more frequent cleanings is because of gum inflammation though, not recession (swelling or infection, not loss of gum. I've hidden from my dentist phobia and haven't seen a dentist in 25yrs. Your gums look ok to. I would say minor recession. When gums recede, the gum tissue can pull away from your teeth, forming pockets that can trap. How Bad Is My Gum Recession Reddit.
From www.lighthousedentalcentre.com
Can Receding Gums Be Reversed? How Bad Is My Gum Recession Reddit Please abide by the following rules in order to get an accurate answer to your question: I've hidden from my dentist phobia and haven't seen a dentist in 25yrs. I have the same problem and dont worry about it at all. Your gums look ok to. Gum recession makes teeth sensitive by exposing parts of the root surface that have. How Bad Is My Gum Recession Reddit.
From www.reddit.com
Are my gums receding? How bad? r/askdentists How Bad Is My Gum Recession Reddit I've hidden from my dentist phobia and haven't seen a dentist in 25yrs. (1) ensure you include a title of your dental. I have the same problem and dont worry about it at all. I would say minor recession. I've noticed 2 teeth have bad gum recession. Generally speaking, more frequent cleanings is because of gum inflammation though, not recession. How Bad Is My Gum Recession Reddit.
From www.reddit.com
Are my gums receding? r/Dentistry How Bad Is My Gum Recession Reddit (1) ensure you include a title of your dental problem. I've noticed 2 teeth have bad gum recession. When gums recede, the gum tissue can pull away from your teeth, forming pockets that can trap even more food. Gum recession is a sign that gum disease is progressing. I have the same problem and dont worry about it at all.. How Bad Is My Gum Recession Reddit.