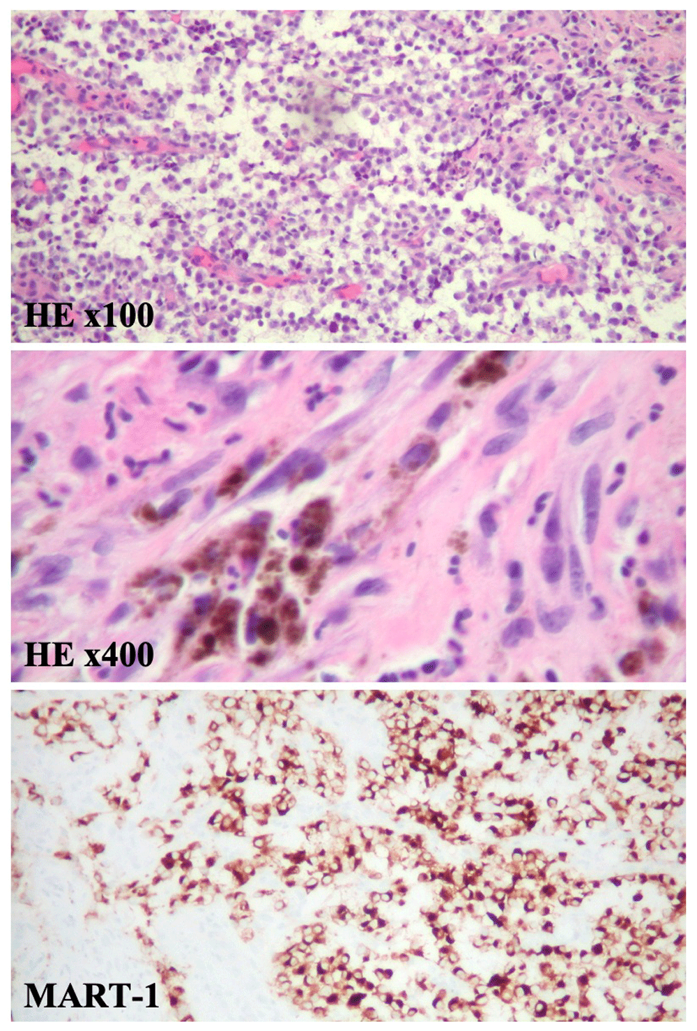
Malignant Melanoma Case Study . A peripheral portion of the lesion shows nests of atypical pigmented cells (d, h&e, ×100). Oral malignant melanoma (omm) is a rare and aggressive malignant tumour arising from the proliferation of melanocytes and. Amelanotic malignant melanoma (amm) is a skin cancer that arises from mutated melanocytes that lack pigmentation. Review studies aimed at investigating the different subtypes of melanoma and their associated risk factors are underway. This lesion was diagnosed as. Malignant melanoma (mm) is a common malignant tumor in the limbs, which is highly invasive, often occurs as metastatic cancer, and has a very poor prognosis (1). Primary malignant melanoma of the esophagus is a rare disease with a poor prognosis. Surgical resection is common, but there is no.
from dokumen.tips
This lesion was diagnosed as. Malignant melanoma (mm) is a common malignant tumor in the limbs, which is highly invasive, often occurs as metastatic cancer, and has a very poor prognosis (1). Primary malignant melanoma of the esophagus is a rare disease with a poor prognosis. A peripheral portion of the lesion shows nests of atypical pigmented cells (d, h&e, ×100). Oral malignant melanoma (omm) is a rare and aggressive malignant tumour arising from the proliferation of melanocytes and. Amelanotic malignant melanoma (amm) is a skin cancer that arises from mutated melanocytes that lack pigmentation. Surgical resection is common, but there is no. Review studies aimed at investigating the different subtypes of melanoma and their associated risk factors are underway.
(PDF) Malignant Melanoma A Case Report International Journal
Malignant Melanoma Case Study Surgical resection is common, but there is no. Oral malignant melanoma (omm) is a rare and aggressive malignant tumour arising from the proliferation of melanocytes and. This lesion was diagnosed as. Primary malignant melanoma of the esophagus is a rare disease with a poor prognosis. Malignant melanoma (mm) is a common malignant tumor in the limbs, which is highly invasive, often occurs as metastatic cancer, and has a very poor prognosis (1). A peripheral portion of the lesion shows nests of atypical pigmented cells (d, h&e, ×100). Surgical resection is common, but there is no. Amelanotic malignant melanoma (amm) is a skin cancer that arises from mutated melanocytes that lack pigmentation. Review studies aimed at investigating the different subtypes of melanoma and their associated risk factors are underway.
From dokumen.tips
(PDF) Malignant Melanoma A Case Report International Journal Malignant Melanoma Case Study This lesion was diagnosed as. Primary malignant melanoma of the esophagus is a rare disease with a poor prognosis. Malignant melanoma (mm) is a common malignant tumor in the limbs, which is highly invasive, often occurs as metastatic cancer, and has a very poor prognosis (1). A peripheral portion of the lesion shows nests of atypical pigmented cells (d, h&e,. Malignant Melanoma Case Study.
From docslib.org
Application of Black Salve to a Thin Melanoma That Subsequently Malignant Melanoma Case Study Oral malignant melanoma (omm) is a rare and aggressive malignant tumour arising from the proliferation of melanocytes and. Amelanotic malignant melanoma (amm) is a skin cancer that arises from mutated melanocytes that lack pigmentation. Review studies aimed at investigating the different subtypes of melanoma and their associated risk factors are underway. Surgical resection is common, but there is no. This. Malignant Melanoma Case Study.
From www.studypool.com
SOLUTION Case study malignant melanoma Studypool Malignant Melanoma Case Study Malignant melanoma (mm) is a common malignant tumor in the limbs, which is highly invasive, often occurs as metastatic cancer, and has a very poor prognosis (1). A peripheral portion of the lesion shows nests of atypical pigmented cells (d, h&e, ×100). Surgical resection is common, but there is no. This lesion was diagnosed as. Review studies aimed at investigating. Malignant Melanoma Case Study.
From www.reportshop.co.kr
간호 case study 성인 악성 흑색종(malignant melanoma) 의약학 Malignant Melanoma Case Study This lesion was diagnosed as. Oral malignant melanoma (omm) is a rare and aggressive malignant tumour arising from the proliferation of melanocytes and. Review studies aimed at investigating the different subtypes of melanoma and their associated risk factors are underway. Malignant melanoma (mm) is a common malignant tumor in the limbs, which is highly invasive, often occurs as metastatic cancer,. Malignant Melanoma Case Study.
From www.ctisus.com
Metastatic Melanoma Chest Case Studies CTisus CT Scanning Malignant Melanoma Case Study A peripheral portion of the lesion shows nests of atypical pigmented cells (d, h&e, ×100). Oral malignant melanoma (omm) is a rare and aggressive malignant tumour arising from the proliferation of melanocytes and. Amelanotic malignant melanoma (amm) is a skin cancer that arises from mutated melanocytes that lack pigmentation. Surgical resection is common, but there is no. This lesion was. Malignant Melanoma Case Study.
From www.researchgate.net
7 A region of early MIS from malignant melanoma case 1 showing crowded Malignant Melanoma Case Study A peripheral portion of the lesion shows nests of atypical pigmented cells (d, h&e, ×100). Malignant melanoma (mm) is a common malignant tumor in the limbs, which is highly invasive, often occurs as metastatic cancer, and has a very poor prognosis (1). Surgical resection is common, but there is no. Review studies aimed at investigating the different subtypes of melanoma. Malignant Melanoma Case Study.
From www.cytopath.co.uk
Cutaneous malignant melanoma in a rabbit Case Study Cytopath Malignant Melanoma Case Study A peripheral portion of the lesion shows nests of atypical pigmented cells (d, h&e, ×100). Review studies aimed at investigating the different subtypes of melanoma and their associated risk factors are underway. This lesion was diagnosed as. Malignant melanoma (mm) is a common malignant tumor in the limbs, which is highly invasive, often occurs as metastatic cancer, and has a. Malignant Melanoma Case Study.
From www.cytopath.co.uk
Cutaneous malignant melanoma in a rabbit Case Study Cytopath Malignant Melanoma Case Study Amelanotic malignant melanoma (amm) is a skin cancer that arises from mutated melanocytes that lack pigmentation. Review studies aimed at investigating the different subtypes of melanoma and their associated risk factors are underway. Oral malignant melanoma (omm) is a rare and aggressive malignant tumour arising from the proliferation of melanocytes and. Primary malignant melanoma of the esophagus is a rare. Malignant Melanoma Case Study.
From www.slideshare.net
Melanoma Case Study Malignant Melanoma Case Study Review studies aimed at investigating the different subtypes of melanoma and their associated risk factors are underway. A peripheral portion of the lesion shows nests of atypical pigmented cells (d, h&e, ×100). Oral malignant melanoma (omm) is a rare and aggressive malignant tumour arising from the proliferation of melanocytes and. Amelanotic malignant melanoma (amm) is a skin cancer that arises. Malignant Melanoma Case Study.
From www.researchgate.net
(PDF) Malignant Melanoma with Unknown Primary; Case Study Malignant Melanoma Case Study Oral malignant melanoma (omm) is a rare and aggressive malignant tumour arising from the proliferation of melanocytes and. Surgical resection is common, but there is no. A peripheral portion of the lesion shows nests of atypical pigmented cells (d, h&e, ×100). Review studies aimed at investigating the different subtypes of melanoma and their associated risk factors are underway. Malignant melanoma. Malignant Melanoma Case Study.
From www.researchgate.net
(PDF) Primary anorectal malignant melanoma case report Malignant Melanoma Case Study Primary malignant melanoma of the esophagus is a rare disease with a poor prognosis. Malignant melanoma (mm) is a common malignant tumor in the limbs, which is highly invasive, often occurs as metastatic cancer, and has a very poor prognosis (1). A peripheral portion of the lesion shows nests of atypical pigmented cells (d, h&e, ×100). This lesion was diagnosed. Malignant Melanoma Case Study.
From www.researchgate.net
(PDF) Primary pulmonary malignant melanoma Case report and literature Malignant Melanoma Case Study This lesion was diagnosed as. Malignant melanoma (mm) is a common malignant tumor in the limbs, which is highly invasive, often occurs as metastatic cancer, and has a very poor prognosis (1). Primary malignant melanoma of the esophagus is a rare disease with a poor prognosis. Oral malignant melanoma (omm) is a rare and aggressive malignant tumour arising from the. Malignant Melanoma Case Study.
From www.researchgate.net
(PDF) The prevalence of malignant melanoma in adults with mastocytosis Malignant Melanoma Case Study A peripheral portion of the lesion shows nests of atypical pigmented cells (d, h&e, ×100). Amelanotic malignant melanoma (amm) is a skin cancer that arises from mutated melanocytes that lack pigmentation. This lesion was diagnosed as. Review studies aimed at investigating the different subtypes of melanoma and their associated risk factors are underway. Surgical resection is common, but there is. Malignant Melanoma Case Study.
From browsegrades.net
Malignant Melanoma Case Study Integumentary Browsegrades Malignant Melanoma Case Study Primary malignant melanoma of the esophagus is a rare disease with a poor prognosis. Malignant melanoma (mm) is a common malignant tumor in the limbs, which is highly invasive, often occurs as metastatic cancer, and has a very poor prognosis (1). Review studies aimed at investigating the different subtypes of melanoma and their associated risk factors are underway. Surgical resection. Malignant Melanoma Case Study.
From jmsh.ac.in
Primary Rectal Malignant Melanoma Case Report of a Rare Entity Malignant Melanoma Case Study This lesion was diagnosed as. A peripheral portion of the lesion shows nests of atypical pigmented cells (d, h&e, ×100). Oral malignant melanoma (omm) is a rare and aggressive malignant tumour arising from the proliferation of melanocytes and. Primary malignant melanoma of the esophagus is a rare disease with a poor prognosis. Malignant melanoma (mm) is a common malignant tumor. Malignant Melanoma Case Study.
From www.skincarenetwork.co.uk
Melanoma Detection Case Study Skin Care Network Malignant Melanoma Case Study Oral malignant melanoma (omm) is a rare and aggressive malignant tumour arising from the proliferation of melanocytes and. A peripheral portion of the lesion shows nests of atypical pigmented cells (d, h&e, ×100). Malignant melanoma (mm) is a common malignant tumor in the limbs, which is highly invasive, often occurs as metastatic cancer, and has a very poor prognosis (1).. Malignant Melanoma Case Study.
From www.researchgate.net
(PDF) Paediatric primary intracranial malignant melanoma—case report Malignant Melanoma Case Study This lesion was diagnosed as. A peripheral portion of the lesion shows nests of atypical pigmented cells (d, h&e, ×100). Surgical resection is common, but there is no. Primary malignant melanoma of the esophagus is a rare disease with a poor prognosis. Review studies aimed at investigating the different subtypes of melanoma and their associated risk factors are underway. Oral. Malignant Melanoma Case Study.
From www.researchgate.net
(PDF) Breast Metastasis from a Malignant MelanomaA Case Report Malignant Melanoma Case Study Amelanotic malignant melanoma (amm) is a skin cancer that arises from mutated melanocytes that lack pigmentation. Review studies aimed at investigating the different subtypes of melanoma and their associated risk factors are underway. Oral malignant melanoma (omm) is a rare and aggressive malignant tumour arising from the proliferation of melanocytes and. This lesion was diagnosed as. Malignant melanoma (mm) is. Malignant Melanoma Case Study.
From www.mypathologyreport.ca
Melanoma in situ of the skin MyPathologyReport.ca Malignant Melanoma Case Study Surgical resection is common, but there is no. A peripheral portion of the lesion shows nests of atypical pigmented cells (d, h&e, ×100). Primary malignant melanoma of the esophagus is a rare disease with a poor prognosis. Oral malignant melanoma (omm) is a rare and aggressive malignant tumour arising from the proliferation of melanocytes and. Malignant melanoma (mm) is a. Malignant Melanoma Case Study.
From www.researchgate.net
(PDF) Anorectal Malignant Melanoma Case Report And Treatment Options Malignant Melanoma Case Study Amelanotic malignant melanoma (amm) is a skin cancer that arises from mutated melanocytes that lack pigmentation. This lesion was diagnosed as. Oral malignant melanoma (omm) is a rare and aggressive malignant tumour arising from the proliferation of melanocytes and. Surgical resection is common, but there is no. A peripheral portion of the lesion shows nests of atypical pigmented cells (d,. Malignant Melanoma Case Study.
From www.researchgate.net
(PDF) Cutaneous malignant melanoma in situ. A Danish cross sectional Malignant Melanoma Case Study Review studies aimed at investigating the different subtypes of melanoma and their associated risk factors are underway. This lesion was diagnosed as. A peripheral portion of the lesion shows nests of atypical pigmented cells (d, h&e, ×100). Oral malignant melanoma (omm) is a rare and aggressive malignant tumour arising from the proliferation of melanocytes and. Malignant melanoma (mm) is a. Malignant Melanoma Case Study.
From www.researchgate.net
(PDF) Casecontrol study of cutaneous malignant melanoma Malignant Melanoma Case Study Surgical resection is common, but there is no. Oral malignant melanoma (omm) is a rare and aggressive malignant tumour arising from the proliferation of melanocytes and. This lesion was diagnosed as. Primary malignant melanoma of the esophagus is a rare disease with a poor prognosis. A peripheral portion of the lesion shows nests of atypical pigmented cells (d, h&e, ×100).. Malignant Melanoma Case Study.
From www.researchgate.net
(PDF) Malignant Melanoma of Anorectum A Report of Five Cases Malignant Melanoma Case Study Amelanotic malignant melanoma (amm) is a skin cancer that arises from mutated melanocytes that lack pigmentation. Malignant melanoma (mm) is a common malignant tumor in the limbs, which is highly invasive, often occurs as metastatic cancer, and has a very poor prognosis (1). Primary malignant melanoma of the esophagus is a rare disease with a poor prognosis. Surgical resection is. Malignant Melanoma Case Study.
From www.researchgate.net
(PDF) Malignant Melanoma Case Report and Review of the Literature Malignant Melanoma Case Study Amelanotic malignant melanoma (amm) is a skin cancer that arises from mutated melanocytes that lack pigmentation. Review studies aimed at investigating the different subtypes of melanoma and their associated risk factors are underway. Surgical resection is common, but there is no. Oral malignant melanoma (omm) is a rare and aggressive malignant tumour arising from the proliferation of melanocytes and. A. Malignant Melanoma Case Study.
From www.researchgate.net
Metastatic melanoma (Case 4) Sheet of tumor cell having an atypical Malignant Melanoma Case Study Oral malignant melanoma (omm) is a rare and aggressive malignant tumour arising from the proliferation of melanocytes and. Amelanotic malignant melanoma (amm) is a skin cancer that arises from mutated melanocytes that lack pigmentation. This lesion was diagnosed as. Review studies aimed at investigating the different subtypes of melanoma and their associated risk factors are underway. Primary malignant melanoma of. Malignant Melanoma Case Study.
From www.researchgate.net
(PDF) Metastatic malignant melanoma in bone marrow with occult primary Malignant Melanoma Case Study Oral malignant melanoma (omm) is a rare and aggressive malignant tumour arising from the proliferation of melanocytes and. A peripheral portion of the lesion shows nests of atypical pigmented cells (d, h&e, ×100). This lesion was diagnosed as. Malignant melanoma (mm) is a common malignant tumor in the limbs, which is highly invasive, often occurs as metastatic cancer, and has. Malignant Melanoma Case Study.
From www.researchgate.net
Four cases of malignant melanoma stained for BRAFV600E. protein Malignant Melanoma Case Study Oral malignant melanoma (omm) is a rare and aggressive malignant tumour arising from the proliferation of melanocytes and. Surgical resection is common, but there is no. This lesion was diagnosed as. Primary malignant melanoma of the esophagus is a rare disease with a poor prognosis. A peripheral portion of the lesion shows nests of atypical pigmented cells (d, h&e, ×100).. Malignant Melanoma Case Study.
From www.researchgate.net
(PDF) A rare case of a primary malignant anorectal melanoma Malignant Melanoma Case Study Amelanotic malignant melanoma (amm) is a skin cancer that arises from mutated melanocytes that lack pigmentation. A peripheral portion of the lesion shows nests of atypical pigmented cells (d, h&e, ×100). Primary malignant melanoma of the esophagus is a rare disease with a poor prognosis. Surgical resection is common, but there is no. This lesion was diagnosed as. Malignant melanoma. Malignant Melanoma Case Study.
From slidesgo.com
Skin Cancer or Melanoma Case Study Google Slides & PPT Malignant Melanoma Case Study Surgical resection is common, but there is no. Amelanotic malignant melanoma (amm) is a skin cancer that arises from mutated melanocytes that lack pigmentation. Primary malignant melanoma of the esophagus is a rare disease with a poor prognosis. This lesion was diagnosed as. Review studies aimed at investigating the different subtypes of melanoma and their associated risk factors are underway.. Malignant Melanoma Case Study.
From www.researchgate.net
(PDF) Two unique cases of metastatic malignant melanoma of the Malignant Melanoma Case Study A peripheral portion of the lesion shows nests of atypical pigmented cells (d, h&e, ×100). Amelanotic malignant melanoma (amm) is a skin cancer that arises from mutated melanocytes that lack pigmentation. Oral malignant melanoma (omm) is a rare and aggressive malignant tumour arising from the proliferation of melanocytes and. Malignant melanoma (mm) is a common malignant tumor in the limbs,. Malignant Melanoma Case Study.
From f1000research.com
Case Report Primary melanoma of the... F1000Research Malignant Melanoma Case Study This lesion was diagnosed as. Surgical resection is common, but there is no. Malignant melanoma (mm) is a common malignant tumor in the limbs, which is highly invasive, often occurs as metastatic cancer, and has a very poor prognosis (1). Primary malignant melanoma of the esophagus is a rare disease with a poor prognosis. Review studies aimed at investigating the. Malignant Melanoma Case Study.
From www.researchgate.net
Operative malignant melanoma cases Download Scientific Diagram Malignant Melanoma Case Study Primary malignant melanoma of the esophagus is a rare disease with a poor prognosis. Malignant melanoma (mm) is a common malignant tumor in the limbs, which is highly invasive, often occurs as metastatic cancer, and has a very poor prognosis (1). Surgical resection is common, but there is no. Review studies aimed at investigating the different subtypes of melanoma and. Malignant Melanoma Case Study.
From dokumen.tips
(PDF) Desmoplastic malignant melanoma A clinicohistopathologic study Malignant Melanoma Case Study Surgical resection is common, but there is no. Primary malignant melanoma of the esophagus is a rare disease with a poor prognosis. Oral malignant melanoma (omm) is a rare and aggressive malignant tumour arising from the proliferation of melanocytes and. This lesion was diagnosed as. A peripheral portion of the lesion shows nests of atypical pigmented cells (d, h&e, ×100).. Malignant Melanoma Case Study.
From www.studypool.com
SOLUTION Case study malignant melanoma Studypool Malignant Melanoma Case Study Primary malignant melanoma of the esophagus is a rare disease with a poor prognosis. Malignant melanoma (mm) is a common malignant tumor in the limbs, which is highly invasive, often occurs as metastatic cancer, and has a very poor prognosis (1). Oral malignant melanoma (omm) is a rare and aggressive malignant tumour arising from the proliferation of melanocytes and. Review. Malignant Melanoma Case Study.
From www.researchgate.net
(PDF) Primary Malignant Melanoma of the Genitourinary System A Malignant Melanoma Case Study Surgical resection is common, but there is no. This lesion was diagnosed as. Malignant melanoma (mm) is a common malignant tumor in the limbs, which is highly invasive, often occurs as metastatic cancer, and has a very poor prognosis (1). Oral malignant melanoma (omm) is a rare and aggressive malignant tumour arising from the proliferation of melanocytes and. Review studies. Malignant Melanoma Case Study.