Hot Bath Broken Ankle . Find out how to tell if your ankle is broken (fractured) and when to get medical advice, plus how a broken ankle is treated and how long it. You have a break of one or more of. Here's how to treat an injured or sprained ankle with ice or heat + best practices for applying safe cold & hot therapy for swelling and pain relief. A fracture is the same as a break in the bone. Remember to place a damp tea towel between the ice and. If it feels hot or swollen, applying ice (or a bag of frozen peas) can help. The ankle joint is made up of the bones in your lower leg (tibia and fibula). Advice after breaking your ankle. If you suspect your ankle is broken, go to a doctor immediately to get a proper diagnosis because you'll likely need medical treatment.
from canvas-insight.blogspot.com
If it feels hot or swollen, applying ice (or a bag of frozen peas) can help. Remember to place a damp tea towel between the ice and. If you suspect your ankle is broken, go to a doctor immediately to get a proper diagnosis because you'll likely need medical treatment. Find out how to tell if your ankle is broken (fractured) and when to get medical advice, plus how a broken ankle is treated and how long it. Here's how to treat an injured or sprained ankle with ice or heat + best practices for applying safe cold & hot therapy for swelling and pain relief. The ankle joint is made up of the bones in your lower leg (tibia and fibula). You have a break of one or more of. A fracture is the same as a break in the bone. Advice after breaking your ankle.
Broken Ankle Vs Sprained Ankle Pictures canvasinsight
Hot Bath Broken Ankle Find out how to tell if your ankle is broken (fractured) and when to get medical advice, plus how a broken ankle is treated and how long it. If it feels hot or swollen, applying ice (or a bag of frozen peas) can help. Advice after breaking your ankle. Here's how to treat an injured or sprained ankle with ice or heat + best practices for applying safe cold & hot therapy for swelling and pain relief. A fracture is the same as a break in the bone. Find out how to tell if your ankle is broken (fractured) and when to get medical advice, plus how a broken ankle is treated and how long it. The ankle joint is made up of the bones in your lower leg (tibia and fibula). If you suspect your ankle is broken, go to a doctor immediately to get a proper diagnosis because you'll likely need medical treatment. You have a break of one or more of. Remember to place a damp tea towel between the ice and.
From spireortho.com.sg
Ankle Fracture (Broken Ankle) Treatment in Singapore Spire Hot Bath Broken Ankle Advice after breaking your ankle. If you suspect your ankle is broken, go to a doctor immediately to get a proper diagnosis because you'll likely need medical treatment. You have a break of one or more of. Remember to place a damp tea towel between the ice and. Find out how to tell if your ankle is broken (fractured) and. Hot Bath Broken Ankle.
From www.alamy.com
Lady with a broken ankle with her leg in an elevated position Stock Hot Bath Broken Ankle Remember to place a damp tea towel between the ice and. Here's how to treat an injured or sprained ankle with ice or heat + best practices for applying safe cold & hot therapy for swelling and pain relief. If it feels hot or swollen, applying ice (or a bag of frozen peas) can help. If you suspect your ankle. Hot Bath Broken Ankle.
From healthjade.net
Broken Ankle Fractured Ankle, Broken Foot, Stress Fracture Ankle Hot Bath Broken Ankle If it feels hot or swollen, applying ice (or a bag of frozen peas) can help. Here's how to treat an injured or sprained ankle with ice or heat + best practices for applying safe cold & hot therapy for swelling and pain relief. Advice after breaking your ankle. If you suspect your ankle is broken, go to a doctor. Hot Bath Broken Ankle.
From finwise.edu.vn
List 99+ Pictures Photos Of Broken Ankle Updated Hot Bath Broken Ankle Remember to place a damp tea towel between the ice and. Advice after breaking your ankle. Find out how to tell if your ankle is broken (fractured) and when to get medical advice, plus how a broken ankle is treated and how long it. If you suspect your ankle is broken, go to a doctor immediately to get a proper. Hot Bath Broken Ankle.
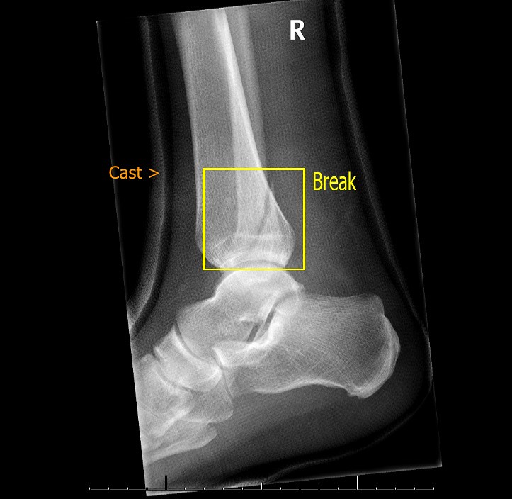
From www.gettyimages.ie
187 Broken Ankle Xray Stock Photos, HighRes Pictures, and Images Hot Bath Broken Ankle Remember to place a damp tea towel between the ice and. The ankle joint is made up of the bones in your lower leg (tibia and fibula). Here's how to treat an injured or sprained ankle with ice or heat + best practices for applying safe cold & hot therapy for swelling and pain relief. Advice after breaking your ankle.. Hot Bath Broken Ankle.
From www.animalia-life.club
Broken Ankle Hot Bath Broken Ankle Remember to place a damp tea towel between the ice and. Find out how to tell if your ankle is broken (fractured) and when to get medical advice, plus how a broken ankle is treated and how long it. You have a break of one or more of. If you suspect your ankle is broken, go to a doctor immediately. Hot Bath Broken Ankle.
From www.pinterest.com
What Are the Most Common Types of Ankle Fractures? Ankle fracture Hot Bath Broken Ankle A fracture is the same as a break in the bone. You have a break of one or more of. Find out how to tell if your ankle is broken (fractured) and when to get medical advice, plus how a broken ankle is treated and how long it. Advice after breaking your ankle. Remember to place a damp tea towel. Hot Bath Broken Ankle.
From www.pinterest.com.mx
Pin on Care of body Hot Bath Broken Ankle If it feels hot or swollen, applying ice (or a bag of frozen peas) can help. You have a break of one or more of. If you suspect your ankle is broken, go to a doctor immediately to get a proper diagnosis because you'll likely need medical treatment. A fracture is the same as a break in the bone. Here's. Hot Bath Broken Ankle.
From www.wikihow.com
How to Treat a Broken Ankle (with Pictures) wikiHow Hot Bath Broken Ankle A fracture is the same as a break in the bone. If it feels hot or swollen, applying ice (or a bag of frozen peas) can help. Remember to place a damp tea towel between the ice and. Here's how to treat an injured or sprained ankle with ice or heat + best practices for applying safe cold & hot. Hot Bath Broken Ankle.
From www.partnershipgroup.ca
» What I Learned from a Broken Ankle Hot Bath Broken Ankle You have a break of one or more of. Advice after breaking your ankle. A fracture is the same as a break in the bone. Here's how to treat an injured or sprained ankle with ice or heat + best practices for applying safe cold & hot therapy for swelling and pain relief. Find out how to tell if your. Hot Bath Broken Ankle.
From www.ehow.com
Broken Ankle Rehabilitation Exercises Healthy Living Hot Bath Broken Ankle If it feels hot or swollen, applying ice (or a bag of frozen peas) can help. If you suspect your ankle is broken, go to a doctor immediately to get a proper diagnosis because you'll likely need medical treatment. Remember to place a damp tea towel between the ice and. Advice after breaking your ankle. You have a break of. Hot Bath Broken Ankle.
From www.pinterest.com
Pin on Broken ankle Hot Bath Broken Ankle A fracture is the same as a break in the bone. Advice after breaking your ankle. You have a break of one or more of. Remember to place a damp tea towel between the ice and. The ankle joint is made up of the bones in your lower leg (tibia and fibula). If you suspect your ankle is broken, go. Hot Bath Broken Ankle.
From certifiedfoot.com
How to Heal a Ankle Injury using Sprain Ankle Treatment Hot Bath Broken Ankle A fracture is the same as a break in the bone. If you suspect your ankle is broken, go to a doctor immediately to get a proper diagnosis because you'll likely need medical treatment. If it feels hot or swollen, applying ice (or a bag of frozen peas) can help. Remember to place a damp tea towel between the ice. Hot Bath Broken Ankle.
From dainalightfoot.medium.com
Tips on how to survive a broken ankle by Daina Lightfoot Medium Hot Bath Broken Ankle Here's how to treat an injured or sprained ankle with ice or heat + best practices for applying safe cold & hot therapy for swelling and pain relief. You have a break of one or more of. A fracture is the same as a break in the bone. If it feels hot or swollen, applying ice (or a bag of. Hot Bath Broken Ankle.
From blog.peacockandpaisley.com
Healing From A Broken Ankle Peacock & Paisley Hot Bath Broken Ankle If you suspect your ankle is broken, go to a doctor immediately to get a proper diagnosis because you'll likely need medical treatment. Advice after breaking your ankle. You have a break of one or more of. The ankle joint is made up of the bones in your lower leg (tibia and fibula). If it feels hot or swollen, applying. Hot Bath Broken Ankle.
From momhomeguide.com
Off My Feet—Again (And Helpful Products When you Have a Broken Ankle Hot Bath Broken Ankle Here's how to treat an injured or sprained ankle with ice or heat + best practices for applying safe cold & hot therapy for swelling and pain relief. A fracture is the same as a break in the bone. Remember to place a damp tea towel between the ice and. If you suspect your ankle is broken, go to a. Hot Bath Broken Ankle.
From mynewfeet.com
Everything You Need to Know About Treating and Broken Ankle Frederick Hot Bath Broken Ankle Find out how to tell if your ankle is broken (fractured) and when to get medical advice, plus how a broken ankle is treated and how long it. If you suspect your ankle is broken, go to a doctor immediately to get a proper diagnosis because you'll likely need medical treatment. Advice after breaking your ankle. You have a break. Hot Bath Broken Ankle.
From www.flickr.com
Broken Ankle Xray Xray of my broken ankle. The break is … Flickr Hot Bath Broken Ankle Find out how to tell if your ankle is broken (fractured) and when to get medical advice, plus how a broken ankle is treated and how long it. The ankle joint is made up of the bones in your lower leg (tibia and fibula). Advice after breaking your ankle. Here's how to treat an injured or sprained ankle with ice. Hot Bath Broken Ankle.
From jovis.edu.vn
Top 91+ Wallpaper Images Of A Broken Ankle Superb Hot Bath Broken Ankle If it feels hot or swollen, applying ice (or a bag of frozen peas) can help. Here's how to treat an injured or sprained ankle with ice or heat + best practices for applying safe cold & hot therapy for swelling and pain relief. A fracture is the same as a break in the bone. You have a break of. Hot Bath Broken Ankle.
From www.pinterest.com
Pin by As As.as. on broken ankle Broken ankle, It cast, Leg warmers Hot Bath Broken Ankle If it feels hot or swollen, applying ice (or a bag of frozen peas) can help. You have a break of one or more of. Find out how to tell if your ankle is broken (fractured) and when to get medical advice, plus how a broken ankle is treated and how long it. Remember to place a damp tea towel. Hot Bath Broken Ankle.
From canvas-insight.blogspot.com
Broken Ankle Vs Sprained Ankle Pictures canvasinsight Hot Bath Broken Ankle You have a break of one or more of. A fracture is the same as a break in the bone. Remember to place a damp tea towel between the ice and. If it feels hot or swollen, applying ice (or a bag of frozen peas) can help. If you suspect your ankle is broken, go to a doctor immediately to. Hot Bath Broken Ankle.
From www.youtube.com
Broken Ankle Recovery Working Out In The Cast YouTube Hot Bath Broken Ankle Advice after breaking your ankle. You have a break of one or more of. Here's how to treat an injured or sprained ankle with ice or heat + best practices for applying safe cold & hot therapy for swelling and pain relief. Remember to place a damp tea towel between the ice and. If you suspect your ankle is broken,. Hot Bath Broken Ankle.
From www.flickr.com
Broken Ankle jrwi Flickr Hot Bath Broken Ankle If it feels hot or swollen, applying ice (or a bag of frozen peas) can help. Remember to place a damp tea towel between the ice and. Find out how to tell if your ankle is broken (fractured) and when to get medical advice, plus how a broken ankle is treated and how long it. You have a break of. Hot Bath Broken Ankle.
From www.youtube.com
How To Use AnkleAid Ice and Hot Water Ankle Therapy Bath YouTube Hot Bath Broken Ankle Remember to place a damp tea towel between the ice and. If it feels hot or swollen, applying ice (or a bag of frozen peas) can help. You have a break of one or more of. If you suspect your ankle is broken, go to a doctor immediately to get a proper diagnosis because you'll likely need medical treatment. The. Hot Bath Broken Ankle.
From ar.inspiredpencil.com
Broken Ankle Cast Hot Bath Broken Ankle Advice after breaking your ankle. Remember to place a damp tea towel between the ice and. You have a break of one or more of. Find out how to tell if your ankle is broken (fractured) and when to get medical advice, plus how a broken ankle is treated and how long it. If it feels hot or swollen, applying. Hot Bath Broken Ankle.
From integrativephysicaltherapyservices.com
Hot/cold contrast bath to help reduce ankle and hand swelling Hot Bath Broken Ankle The ankle joint is made up of the bones in your lower leg (tibia and fibula). A fracture is the same as a break in the bone. If you suspect your ankle is broken, go to a doctor immediately to get a proper diagnosis because you'll likely need medical treatment. If it feels hot or swollen, applying ice (or a. Hot Bath Broken Ankle.
From www.iconfinder.com
Ankle injury, ankle fracture, broken leg, broken ankle, foot plaster Hot Bath Broken Ankle Remember to place a damp tea towel between the ice and. If it feels hot or swollen, applying ice (or a bag of frozen peas) can help. Here's how to treat an injured or sprained ankle with ice or heat + best practices for applying safe cold & hot therapy for swelling and pain relief. Find out how to tell. Hot Bath Broken Ankle.
From www.youtube.com
How to Shower with a Broken Foot? Sprained Ankle, Broken Ankle, Foot Hot Bath Broken Ankle Remember to place a damp tea towel between the ice and. You have a break of one or more of. Advice after breaking your ankle. If you suspect your ankle is broken, go to a doctor immediately to get a proper diagnosis because you'll likely need medical treatment. A fracture is the same as a break in the bone. The. Hot Bath Broken Ankle.
From korunaturaltherapies.com.au
Our Best Advice For Broken And Sprained Ankles Koru Natural Therapies Hot Bath Broken Ankle If you suspect your ankle is broken, go to a doctor immediately to get a proper diagnosis because you'll likely need medical treatment. Remember to place a damp tea towel between the ice and. A fracture is the same as a break in the bone. If it feels hot or swollen, applying ice (or a bag of frozen peas) can. Hot Bath Broken Ankle.
From www.myxxgirl.com
Broken Ankle Recovery Ideas Broken Ankle Recovery Broken Ankle My XXX Hot Bath Broken Ankle Advice after breaking your ankle. You have a break of one or more of. Here's how to treat an injured or sprained ankle with ice or heat + best practices for applying safe cold & hot therapy for swelling and pain relief. Find out how to tell if your ankle is broken (fractured) and when to get medical advice, plus. Hot Bath Broken Ankle.
From mavink.com
Fracture Broken Ankle Sprain Hot Bath Broken Ankle You have a break of one or more of. The ankle joint is made up of the bones in your lower leg (tibia and fibula). Here's how to treat an injured or sprained ankle with ice or heat + best practices for applying safe cold & hot therapy for swelling and pain relief. Remember to place a damp tea towel. Hot Bath Broken Ankle.
From rehab49.com
Ice Bath for an Ankle Sprain Rehab 49 Hot Bath Broken Ankle Here's how to treat an injured or sprained ankle with ice or heat + best practices for applying safe cold & hot therapy for swelling and pain relief. Advice after breaking your ankle. If you suspect your ankle is broken, go to a doctor immediately to get a proper diagnosis because you'll likely need medical treatment. Find out how to. Hot Bath Broken Ankle.
From www.flickr.com
Broken Ankle After Surgery Laurel F Flickr Hot Bath Broken Ankle Advice after breaking your ankle. You have a break of one or more of. If it feels hot or swollen, applying ice (or a bag of frozen peas) can help. The ankle joint is made up of the bones in your lower leg (tibia and fibula). Find out how to tell if your ankle is broken (fractured) and when to. Hot Bath Broken Ankle.
From www.youtube.com
Broken Ankle AGAIN? Super Cold Ice Bath! YouTube Hot Bath Broken Ankle The ankle joint is made up of the bones in your lower leg (tibia and fibula). Advice after breaking your ankle. If you suspect your ankle is broken, go to a doctor immediately to get a proper diagnosis because you'll likely need medical treatment. Remember to place a damp tea towel between the ice and. A fracture is the same. Hot Bath Broken Ankle.
From www.youtube.com
Broken Ankle Recovery Problems with Casts YouTube Hot Bath Broken Ankle If you suspect your ankle is broken, go to a doctor immediately to get a proper diagnosis because you'll likely need medical treatment. Here's how to treat an injured or sprained ankle with ice or heat + best practices for applying safe cold & hot therapy for swelling and pain relief. You have a break of one or more of.. Hot Bath Broken Ankle.