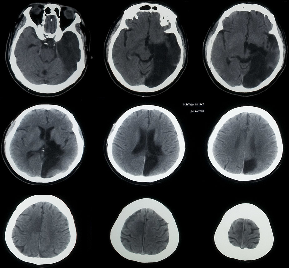
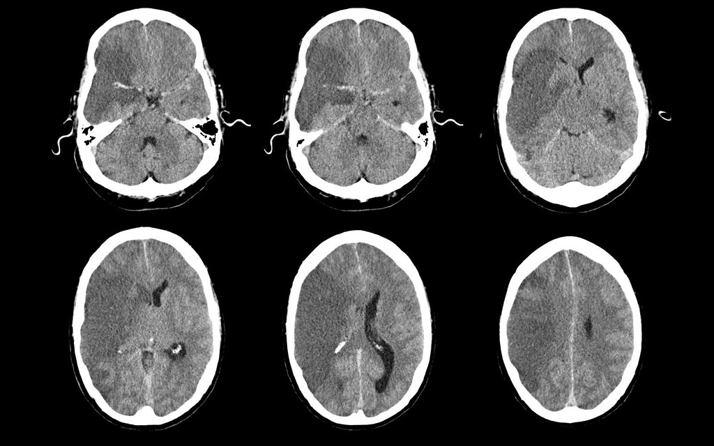
Old Infarct Ct Radiology . Ct perfusion in ischemic stroke has become established in most centers with stroke services as an important adjunct, along with ct. The overall sensitivity of ct to diagnose. This image shows the typical. Ct angiography (cta) and perfusion ct may be performed immediately after unenhanced ct. This ct shows the typical appearance of an old territorial infarct. Normal grey and white matter is replaced by tissue of similar density to. Several months after an acute ischaemic event the brain cells in the infarcted area have died leaving an area of low density. Cta and perfusion ct allow better identification of infarct, vessel.
from www.slideshare.net
Cta and perfusion ct allow better identification of infarct, vessel. Ct angiography (cta) and perfusion ct may be performed immediately after unenhanced ct. Several months after an acute ischaemic event the brain cells in the infarcted area have died leaving an area of low density. The overall sensitivity of ct to diagnose. This ct shows the typical appearance of an old territorial infarct. Ct perfusion in ischemic stroke has become established in most centers with stroke services as an important adjunct, along with ct. This image shows the typical. Normal grey and white matter is replaced by tissue of similar density to.
Ct basics
Old Infarct Ct Radiology Ct perfusion in ischemic stroke has become established in most centers with stroke services as an important adjunct, along with ct. This image shows the typical. Several months after an acute ischaemic event the brain cells in the infarcted area have died leaving an area of low density. Cta and perfusion ct allow better identification of infarct, vessel. Ct angiography (cta) and perfusion ct may be performed immediately after unenhanced ct. Normal grey and white matter is replaced by tissue of similar density to. The overall sensitivity of ct to diagnose. Ct perfusion in ischemic stroke has become established in most centers with stroke services as an important adjunct, along with ct. This ct shows the typical appearance of an old territorial infarct.
From www.alamy.com
CT scan of elderly man with old occipital infarct Stock Photo Alamy Old Infarct Ct Radiology Ct angiography (cta) and perfusion ct may be performed immediately after unenhanced ct. Normal grey and white matter is replaced by tissue of similar density to. The overall sensitivity of ct to diagnose. Ct perfusion in ischemic stroke has become established in most centers with stroke services as an important adjunct, along with ct. This ct shows the typical appearance. Old Infarct Ct Radiology.
From ar.inspiredpencil.com
Old Lacunar Infarct On Mri Old Infarct Ct Radiology Cta and perfusion ct allow better identification of infarct, vessel. Ct perfusion in ischemic stroke has become established in most centers with stroke services as an important adjunct, along with ct. This image shows the typical. This ct shows the typical appearance of an old territorial infarct. The overall sensitivity of ct to diagnose. Several months after an acute ischaemic. Old Infarct Ct Radiology.
From radiologycases.my
Hemorrhagic transformation of cerebral infarct Radiology Cases Old Infarct Ct Radiology Ct angiography (cta) and perfusion ct may be performed immediately after unenhanced ct. Cta and perfusion ct allow better identification of infarct, vessel. Ct perfusion in ischemic stroke has become established in most centers with stroke services as an important adjunct, along with ct. Several months after an acute ischaemic event the brain cells in the infarcted area have died. Old Infarct Ct Radiology.
From www.radiologymasterclass.co.uk
CT brain image gallery Lacunar Infarcts Old Infarct Ct Radiology Several months after an acute ischaemic event the brain cells in the infarcted area have died leaving an area of low density. Ct angiography (cta) and perfusion ct may be performed immediately after unenhanced ct. The overall sensitivity of ct to diagnose. Ct perfusion in ischemic stroke has become established in most centers with stroke services as an important adjunct,. Old Infarct Ct Radiology.
From www.researchgate.net
CT pulmonary angiography showing pulmonary infarction Old Infarct Ct Radiology This image shows the typical. Cta and perfusion ct allow better identification of infarct, vessel. This ct shows the typical appearance of an old territorial infarct. Normal grey and white matter is replaced by tissue of similar density to. Ct angiography (cta) and perfusion ct may be performed immediately after unenhanced ct. The overall sensitivity of ct to diagnose. Ct. Old Infarct Ct Radiology.
From ar.inspiredpencil.com
Old Lacunar Infarct On Mri Old Infarct Ct Radiology This image shows the typical. Cta and perfusion ct allow better identification of infarct, vessel. This ct shows the typical appearance of an old territorial infarct. Normal grey and white matter is replaced by tissue of similar density to. The overall sensitivity of ct to diagnose. Ct angiography (cta) and perfusion ct may be performed immediately after unenhanced ct. Ct. Old Infarct Ct Radiology.
From www.ahajournals.org
Imaging Advances Stroke Old Infarct Ct Radiology Normal grey and white matter is replaced by tissue of similar density to. Ct angiography (cta) and perfusion ct may be performed immediately after unenhanced ct. Several months after an acute ischaemic event the brain cells in the infarcted area have died leaving an area of low density. Ct perfusion in ischemic stroke has become established in most centers with. Old Infarct Ct Radiology.
From www.jove.com
Brain Infarct Segmentation and Registration on MRI or CT for Lesion Old Infarct Ct Radiology Ct angiography (cta) and perfusion ct may be performed immediately after unenhanced ct. Normal grey and white matter is replaced by tissue of similar density to. This image shows the typical. Several months after an acute ischaemic event the brain cells in the infarcted area have died leaving an area of low density. Cta and perfusion ct allow better identification. Old Infarct Ct Radiology.
From www.slideshare.net
Ct basics Old Infarct Ct Radiology Cta and perfusion ct allow better identification of infarct, vessel. The overall sensitivity of ct to diagnose. This ct shows the typical appearance of an old territorial infarct. Normal grey and white matter is replaced by tissue of similar density to. Ct angiography (cta) and perfusion ct may be performed immediately after unenhanced ct. Ct perfusion in ischemic stroke has. Old Infarct Ct Radiology.
From www.alamy.com
Ischemic stroke ( CT of brain show cerebral infarction at left Old Infarct Ct Radiology Cta and perfusion ct allow better identification of infarct, vessel. The overall sensitivity of ct to diagnose. Ct angiography (cta) and perfusion ct may be performed immediately after unenhanced ct. This image shows the typical. Normal grey and white matter is replaced by tissue of similar density to. This ct shows the typical appearance of an old territorial infarct. Ct. Old Infarct Ct Radiology.
From www.svuhradiology.ie
Encephalomalacia due to old MCA infarct Radiology at St. Vincent's Old Infarct Ct Radiology This image shows the typical. Ct perfusion in ischemic stroke has become established in most centers with stroke services as an important adjunct, along with ct. Cta and perfusion ct allow better identification of infarct, vessel. Ct angiography (cta) and perfusion ct may be performed immediately after unenhanced ct. Normal grey and white matter is replaced by tissue of similar. Old Infarct Ct Radiology.
From www.pinterest.co.uk
CT scan of the head shows a stroke (lacunar infarct) of the Old Infarct Ct Radiology Cta and perfusion ct allow better identification of infarct, vessel. This image shows the typical. This ct shows the typical appearance of an old territorial infarct. The overall sensitivity of ct to diagnose. Ct perfusion in ischemic stroke has become established in most centers with stroke services as an important adjunct, along with ct. Ct angiography (cta) and perfusion ct. Old Infarct Ct Radiology.
From www.wjgnet.com
Unexplained huge liver infarction presenting as a tumor with bleeding Old Infarct Ct Radiology Ct perfusion in ischemic stroke has become established in most centers with stroke services as an important adjunct, along with ct. Ct angiography (cta) and perfusion ct may be performed immediately after unenhanced ct. Cta and perfusion ct allow better identification of infarct, vessel. Normal grey and white matter is replaced by tissue of similar density to. The overall sensitivity. Old Infarct Ct Radiology.
From jnnp.bmj.com
RADIOLOGY OF STROKE Journal of Neurology, Neurosurgery & Psychiatry Old Infarct Ct Radiology The overall sensitivity of ct to diagnose. This ct shows the typical appearance of an old territorial infarct. Ct perfusion in ischemic stroke has become established in most centers with stroke services as an important adjunct, along with ct. Normal grey and white matter is replaced by tissue of similar density to. This image shows the typical. Several months after. Old Infarct Ct Radiology.
From www.researchgate.net
Left occipital infarct area in the CT scan (white arrow). Download Old Infarct Ct Radiology Ct perfusion in ischemic stroke has become established in most centers with stroke services as an important adjunct, along with ct. The overall sensitivity of ct to diagnose. Normal grey and white matter is replaced by tissue of similar density to. Cta and perfusion ct allow better identification of infarct, vessel. Several months after an acute ischaemic event the brain. Old Infarct Ct Radiology.
From www.researchgate.net
CT head revealed a wedge shaped acute infarct in right middle cerebral Old Infarct Ct Radiology This image shows the typical. The overall sensitivity of ct to diagnose. Normal grey and white matter is replaced by tissue of similar density to. Cta and perfusion ct allow better identification of infarct, vessel. Ct angiography (cta) and perfusion ct may be performed immediately after unenhanced ct. This ct shows the typical appearance of an old territorial infarct. Several. Old Infarct Ct Radiology.
From animalia-life.club
Lacunar Infarct Mri Old Infarct Ct Radiology Cta and perfusion ct allow better identification of infarct, vessel. The overall sensitivity of ct to diagnose. Ct angiography (cta) and perfusion ct may be performed immediately after unenhanced ct. This image shows the typical. This ct shows the typical appearance of an old territorial infarct. Ct perfusion in ischemic stroke has become established in most centers with stroke services. Old Infarct Ct Radiology.
From www.ajnr.org
CT Perfusion in Acute Lacunar Stroke Detection Capabilities Based on Old Infarct Ct Radiology Cta and perfusion ct allow better identification of infarct, vessel. Ct angiography (cta) and perfusion ct may be performed immediately after unenhanced ct. This image shows the typical. Normal grey and white matter is replaced by tissue of similar density to. Ct perfusion in ischemic stroke has become established in most centers with stroke services as an important adjunct, along. Old Infarct Ct Radiology.
From www.youtube.com
Stroke Haemorrhagic transformation radiology video tutorial (CT, MRI Old Infarct Ct Radiology Several months after an acute ischaemic event the brain cells in the infarcted area have died leaving an area of low density. Ct perfusion in ischemic stroke has become established in most centers with stroke services as an important adjunct, along with ct. This ct shows the typical appearance of an old territorial infarct. Normal grey and white matter is. Old Infarct Ct Radiology.
From www.radiologymasterclass.co.uk
Acute CT Brain Acute ischaemia Old Infarct Ct Radiology This image shows the typical. This ct shows the typical appearance of an old territorial infarct. Ct perfusion in ischemic stroke has become established in most centers with stroke services as an important adjunct, along with ct. Cta and perfusion ct allow better identification of infarct, vessel. Several months after an acute ischaemic event the brain cells in the infarcted. Old Infarct Ct Radiology.
From blog.naver.com
mental change 강한 자극 통증에만 반응하는 환자 / GCS infarct hemorrhage brain CT Old Infarct Ct Radiology The overall sensitivity of ct to diagnose. Ct perfusion in ischemic stroke has become established in most centers with stroke services as an important adjunct, along with ct. Several months after an acute ischaemic event the brain cells in the infarcted area have died leaving an area of low density. Cta and perfusion ct allow better identification of infarct, vessel.. Old Infarct Ct Radiology.
From www.youtube.com
Stroke Evolution from acute to chronic infarction radiology video Old Infarct Ct Radiology Ct perfusion in ischemic stroke has become established in most centers with stroke services as an important adjunct, along with ct. Normal grey and white matter is replaced by tissue of similar density to. This ct shows the typical appearance of an old territorial infarct. The overall sensitivity of ct to diagnose. This image shows the typical. Cta and perfusion. Old Infarct Ct Radiology.
From www.flickr.com
Acute and chronic cerebral infarcts, CT brain Old left PCA… Flickr Old Infarct Ct Radiology Cta and perfusion ct allow better identification of infarct, vessel. The overall sensitivity of ct to diagnose. This ct shows the typical appearance of an old territorial infarct. Several months after an acute ischaemic event the brain cells in the infarcted area have died leaving an area of low density. Ct angiography (cta) and perfusion ct may be performed immediately. Old Infarct Ct Radiology.
From www.myxxgirl.com
Evolution Of Acute Infarctions In Brain Computed Tomography Ct Scans Old Infarct Ct Radiology This ct shows the typical appearance of an old territorial infarct. Cta and perfusion ct allow better identification of infarct, vessel. Ct angiography (cta) and perfusion ct may be performed immediately after unenhanced ct. This image shows the typical. Several months after an acute ischaemic event the brain cells in the infarcted area have died leaving an area of low. Old Infarct Ct Radiology.
From radiologykey.com
Splenic Infarction Radiology Key Old Infarct Ct Radiology Normal grey and white matter is replaced by tissue of similar density to. Ct angiography (cta) and perfusion ct may be performed immediately after unenhanced ct. Ct perfusion in ischemic stroke has become established in most centers with stroke services as an important adjunct, along with ct. Several months after an acute ischaemic event the brain cells in the infarcted. Old Infarct Ct Radiology.
From keywordsuggest.org
Related Keywords & Suggestions for lacunar infarct Old Infarct Ct Radiology Ct angiography (cta) and perfusion ct may be performed immediately after unenhanced ct. This image shows the typical. Ct perfusion in ischemic stroke has become established in most centers with stroke services as an important adjunct, along with ct. Several months after an acute ischaemic event the brain cells in the infarcted area have died leaving an area of low. Old Infarct Ct Radiology.
From www.svuhradiology.ie
Acute infarct CT Radiology at St. Vincent's University Hospital Old Infarct Ct Radiology The overall sensitivity of ct to diagnose. Normal grey and white matter is replaced by tissue of similar density to. Ct perfusion in ischemic stroke has become established in most centers with stroke services as an important adjunct, along with ct. This ct shows the typical appearance of an old territorial infarct. Several months after an acute ischaemic event the. Old Infarct Ct Radiology.
From radiologykey.com
Omental Infarct Radiology Key Old Infarct Ct Radiology Ct angiography (cta) and perfusion ct may be performed immediately after unenhanced ct. The overall sensitivity of ct to diagnose. Normal grey and white matter is replaced by tissue of similar density to. This ct shows the typical appearance of an old territorial infarct. Cta and perfusion ct allow better identification of infarct, vessel. Several months after an acute ischaemic. Old Infarct Ct Radiology.
From mrionline.com
Acute Infarct Diagnosis MRI Online Old Infarct Ct Radiology Ct perfusion in ischemic stroke has become established in most centers with stroke services as an important adjunct, along with ct. This ct shows the typical appearance of an old territorial infarct. Normal grey and white matter is replaced by tissue of similar density to. The overall sensitivity of ct to diagnose. Several months after an acute ischaemic event the. Old Infarct Ct Radiology.
From radiology-information.blogspot.com
Acute MCA Infarct on CT Radiology Imaging Old Infarct Ct Radiology Cta and perfusion ct allow better identification of infarct, vessel. Normal grey and white matter is replaced by tissue of similar density to. This ct shows the typical appearance of an old territorial infarct. This image shows the typical. Several months after an acute ischaemic event the brain cells in the infarcted area have died leaving an area of low. Old Infarct Ct Radiology.
From www.flickr.com
Right MCA territory brain infarct, CT (1/1) LGH_MGR_3_Radi… Flickr Old Infarct Ct Radiology Several months after an acute ischaemic event the brain cells in the infarcted area have died leaving an area of low density. Ct angiography (cta) and perfusion ct may be performed immediately after unenhanced ct. This image shows the typical. Ct perfusion in ischemic stroke has become established in most centers with stroke services as an important adjunct, along with. Old Infarct Ct Radiology.
From infarctionharitoshi.blogspot.com
Infarction Aca Infarct Old Infarct Ct Radiology Normal grey and white matter is replaced by tissue of similar density to. This ct shows the typical appearance of an old territorial infarct. Ct perfusion in ischemic stroke has become established in most centers with stroke services as an important adjunct, along with ct. Ct angiography (cta) and perfusion ct may be performed immediately after unenhanced ct. Several months. Old Infarct Ct Radiology.
From www.svuhradiology.ie
Acute infarct Radiology at St. Vincent's University Hospital Old Infarct Ct Radiology This image shows the typical. Ct angiography (cta) and perfusion ct may be performed immediately after unenhanced ct. Several months after an acute ischaemic event the brain cells in the infarcted area have died leaving an area of low density. Cta and perfusion ct allow better identification of infarct, vessel. Normal grey and white matter is replaced by tissue of. Old Infarct Ct Radiology.
From www.svuhradiology.ie
Renal infarct secondary to atrial fibrillation Radiology at St Old Infarct Ct Radiology Ct perfusion in ischemic stroke has become established in most centers with stroke services as an important adjunct, along with ct. Several months after an acute ischaemic event the brain cells in the infarcted area have died leaving an area of low density. The overall sensitivity of ct to diagnose. Cta and perfusion ct allow better identification of infarct, vessel.. Old Infarct Ct Radiology.
From radiologycases.my
Hemorrhagic transformation of cerebral infarct Radiology Cases Old Infarct Ct Radiology Ct perfusion in ischemic stroke has become established in most centers with stroke services as an important adjunct, along with ct. Several months after an acute ischaemic event the brain cells in the infarcted area have died leaving an area of low density. Normal grey and white matter is replaced by tissue of similar density to. This ct shows the. Old Infarct Ct Radiology.