Radiology Biloma . As clinical signs and symptoms of bilomas are often nonspecific and laboratory values may be unremarkable, imaging modalities including. Alternatively, a biloma may be. After pigtail drainage (under ct. Biloma a biloma is an intra‐ or extrahepatic bile collection secondary to a gb or biliary duct leak. Bilomas, or extrabiliary collections of bile, have been reported to occur as a result of biliary surgery, endoscopic retrograde cholangiopancreatography (ercp) procedures, laparoscopic cholecystectomy [1], and trauma [2] and to occur spontaneously [3]. The goals of imaging in the assessment of biloma are: Management varies depending on the clinical presentation, laboratory results, and radiological findings of the. Biloma is a condition characterized by the collection of bile outside the bile ducts, often resulting from trauma, surgery, or liver. Confirm the presence of a bile leak.
from liveratlas.org
Management varies depending on the clinical presentation, laboratory results, and radiological findings of the. The goals of imaging in the assessment of biloma are: Biloma is a condition characterized by the collection of bile outside the bile ducts, often resulting from trauma, surgery, or liver. Bilomas, or extrabiliary collections of bile, have been reported to occur as a result of biliary surgery, endoscopic retrograde cholangiopancreatography (ercp) procedures, laparoscopic cholecystectomy [1], and trauma [2] and to occur spontaneously [3]. Alternatively, a biloma may be. Confirm the presence of a bile leak. As clinical signs and symptoms of bilomas are often nonspecific and laboratory values may be unremarkable, imaging modalities including. After pigtail drainage (under ct. Biloma a biloma is an intra‐ or extrahepatic bile collection secondary to a gb or biliary duct leak.
Liver Atlas Diagnosis Biloma
Radiology Biloma Management varies depending on the clinical presentation, laboratory results, and radiological findings of the. Alternatively, a biloma may be. Bilomas, or extrabiliary collections of bile, have been reported to occur as a result of biliary surgery, endoscopic retrograde cholangiopancreatography (ercp) procedures, laparoscopic cholecystectomy [1], and trauma [2] and to occur spontaneously [3]. Confirm the presence of a bile leak. As clinical signs and symptoms of bilomas are often nonspecific and laboratory values may be unremarkable, imaging modalities including. Biloma is a condition characterized by the collection of bile outside the bile ducts, often resulting from trauma, surgery, or liver. After pigtail drainage (under ct. Biloma a biloma is an intra‐ or extrahepatic bile collection secondary to a gb or biliary duct leak. Management varies depending on the clinical presentation, laboratory results, and radiological findings of the. The goals of imaging in the assessment of biloma are:
From atlas.mudr.org
Radiology case Biloma, complication of biliary drainage, PTC Radiology Biloma Confirm the presence of a bile leak. The goals of imaging in the assessment of biloma are: Management varies depending on the clinical presentation, laboratory results, and radiological findings of the. Biloma a biloma is an intra‐ or extrahepatic bile collection secondary to a gb or biliary duct leak. Alternatively, a biloma may be. Biloma is a condition characterized by. Radiology Biloma.
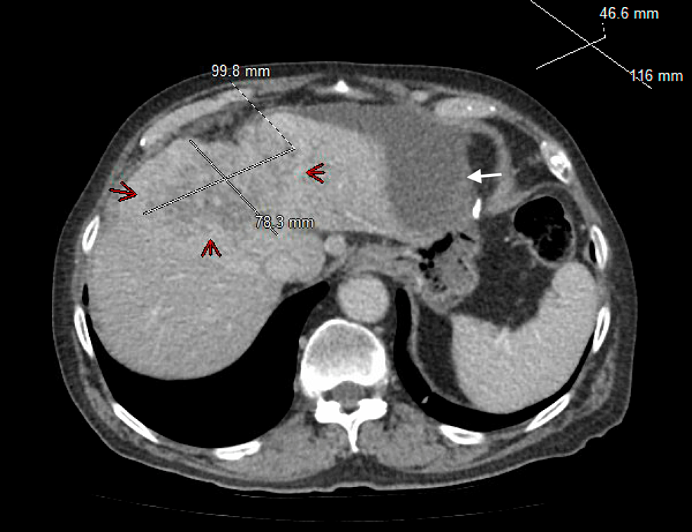
From www.cureus.com
Cureus A Rare Case Report of Biloma After Cholecystectomy Radiology Biloma As clinical signs and symptoms of bilomas are often nonspecific and laboratory values may be unremarkable, imaging modalities including. Confirm the presence of a bile leak. Management varies depending on the clinical presentation, laboratory results, and radiological findings of the. Bilomas, or extrabiliary collections of bile, have been reported to occur as a result of biliary surgery, endoscopic retrograde cholangiopancreatography. Radiology Biloma.
From www.ctisus.com
Large Biloma. Looks a bit Like a Choledochal Cyst Liver Case Studies Radiology Biloma Biloma a biloma is an intra‐ or extrahepatic bile collection secondary to a gb or biliary duct leak. Alternatively, a biloma may be. Bilomas, or extrabiliary collections of bile, have been reported to occur as a result of biliary surgery, endoscopic retrograde cholangiopancreatography (ercp) procedures, laparoscopic cholecystectomy [1], and trauma [2] and to occur spontaneously [3]. Management varies depending on. Radiology Biloma.
From www.mdpi.com
Diagnostics Free FullText Subcapsular Biloma following Endoscopic Radiology Biloma Biloma a biloma is an intra‐ or extrahepatic bile collection secondary to a gb or biliary duct leak. Bilomas, or extrabiliary collections of bile, have been reported to occur as a result of biliary surgery, endoscopic retrograde cholangiopancreatography (ercp) procedures, laparoscopic cholecystectomy [1], and trauma [2] and to occur spontaneously [3]. The goals of imaging in the assessment of biloma. Radiology Biloma.
From radiologykey.com
Biloma Radiology Key Radiology Biloma Biloma is a condition characterized by the collection of bile outside the bile ducts, often resulting from trauma, surgery, or liver. Biloma a biloma is an intra‐ or extrahepatic bile collection secondary to a gb or biliary duct leak. The goals of imaging in the assessment of biloma are: Management varies depending on the clinical presentation, laboratory results, and radiological. Radiology Biloma.
From www.ctisus.com
Biloma Liver Case Studies CTisus CT Scanning Radiology Biloma Alternatively, a biloma may be. Biloma a biloma is an intra‐ or extrahepatic bile collection secondary to a gb or biliary duct leak. Management varies depending on the clinical presentation, laboratory results, and radiological findings of the. Bilomas, or extrabiliary collections of bile, have been reported to occur as a result of biliary surgery, endoscopic retrograde cholangiopancreatography (ercp) procedures, laparoscopic. Radiology Biloma.
From www.ajronline.org
Biloma Formation After Radiofrequency Ablation of Hepatocellular Radiology Biloma Bilomas, or extrabiliary collections of bile, have been reported to occur as a result of biliary surgery, endoscopic retrograde cholangiopancreatography (ercp) procedures, laparoscopic cholecystectomy [1], and trauma [2] and to occur spontaneously [3]. Alternatively, a biloma may be. After pigtail drainage (under ct. Confirm the presence of a bile leak. Biloma a biloma is an intra‐ or extrahepatic bile collection. Radiology Biloma.
From radiologykey.com
Biloma Radiology Key Radiology Biloma Confirm the presence of a bile leak. As clinical signs and symptoms of bilomas are often nonspecific and laboratory values may be unremarkable, imaging modalities including. The goals of imaging in the assessment of biloma are: Biloma a biloma is an intra‐ or extrahepatic bile collection secondary to a gb or biliary duct leak. Bilomas, or extrabiliary collections of bile,. Radiology Biloma.
From link.springer.com
Spontaneous biloma managed with endoscopic retrograde Radiology Biloma Management varies depending on the clinical presentation, laboratory results, and radiological findings of the. The goals of imaging in the assessment of biloma are: Confirm the presence of a bile leak. Alternatively, a biloma may be. Biloma is a condition characterized by the collection of bile outside the bile ducts, often resulting from trauma, surgery, or liver. Bilomas, or extrabiliary. Radiology Biloma.
From www.researchgate.net
Biloma in a 66yearold male with living unrelated donor liver Radiology Biloma Alternatively, a biloma may be. Biloma is a condition characterized by the collection of bile outside the bile ducts, often resulting from trauma, surgery, or liver. Biloma a biloma is an intra‐ or extrahepatic bile collection secondary to a gb or biliary duct leak. Bilomas, or extrabiliary collections of bile, have been reported to occur as a result of biliary. Radiology Biloma.
From www.ajronline.org
Biloma Formation After Radiofrequency Ablation of Hepatocellular Radiology Biloma Biloma a biloma is an intra‐ or extrahepatic bile collection secondary to a gb or biliary duct leak. Alternatively, a biloma may be. As clinical signs and symptoms of bilomas are often nonspecific and laboratory values may be unremarkable, imaging modalities including. After pigtail drainage (under ct. Management varies depending on the clinical presentation, laboratory results, and radiological findings of. Radiology Biloma.
From journals.sagepub.com
Sonographic Detection of a Urinoma/Biloma Combination Alex Waskey Radiology Biloma Alternatively, a biloma may be. Bilomas, or extrabiliary collections of bile, have been reported to occur as a result of biliary surgery, endoscopic retrograde cholangiopancreatography (ercp) procedures, laparoscopic cholecystectomy [1], and trauma [2] and to occur spontaneously [3]. Management varies depending on the clinical presentation, laboratory results, and radiological findings of the. After pigtail drainage (under ct. The goals of. Radiology Biloma.
From www.wjgnet.com
Sonographic assessment of a suspected biloma A case report and review Radiology Biloma Management varies depending on the clinical presentation, laboratory results, and radiological findings of the. Bilomas, or extrabiliary collections of bile, have been reported to occur as a result of biliary surgery, endoscopic retrograde cholangiopancreatography (ercp) procedures, laparoscopic cholecystectomy [1], and trauma [2] and to occur spontaneously [3]. After pigtail drainage (under ct. Confirm the presence of a bile leak. Biloma. Radiology Biloma.
From liveratlas.org
Liver Atlas Diagnosis Biloma Radiology Biloma Management varies depending on the clinical presentation, laboratory results, and radiological findings of the. After pigtail drainage (under ct. As clinical signs and symptoms of bilomas are often nonspecific and laboratory values may be unremarkable, imaging modalities including. Biloma is a condition characterized by the collection of bile outside the bile ducts, often resulting from trauma, surgery, or liver. The. Radiology Biloma.
From radiologykey.com
Biloma Radiology Key Radiology Biloma Alternatively, a biloma may be. Confirm the presence of a bile leak. As clinical signs and symptoms of bilomas are often nonspecific and laboratory values may be unremarkable, imaging modalities including. Management varies depending on the clinical presentation, laboratory results, and radiological findings of the. The goals of imaging in the assessment of biloma are: After pigtail drainage (under ct.. Radiology Biloma.
From journals.sagepub.com
Treatment of a huge biloma complicating curative radiofrequency Radiology Biloma Bilomas, or extrabiliary collections of bile, have been reported to occur as a result of biliary surgery, endoscopic retrograde cholangiopancreatography (ercp) procedures, laparoscopic cholecystectomy [1], and trauma [2] and to occur spontaneously [3]. As clinical signs and symptoms of bilomas are often nonspecific and laboratory values may be unremarkable, imaging modalities including. Confirm the presence of a bile leak. Management. Radiology Biloma.
From www.ctisus.com
Biloma with Perfusion Changes Liver Liver Case Studies CTisus CT Radiology Biloma Biloma is a condition characterized by the collection of bile outside the bile ducts, often resulting from trauma, surgery, or liver. Confirm the presence of a bile leak. Bilomas, or extrabiliary collections of bile, have been reported to occur as a result of biliary surgery, endoscopic retrograde cholangiopancreatography (ercp) procedures, laparoscopic cholecystectomy [1], and trauma [2] and to occur spontaneously. Radiology Biloma.
From casereports.bmj.com
Iatrogenic biloma a rare and delayed complication of a lifesaving Radiology Biloma Bilomas, or extrabiliary collections of bile, have been reported to occur as a result of biliary surgery, endoscopic retrograde cholangiopancreatography (ercp) procedures, laparoscopic cholecystectomy [1], and trauma [2] and to occur spontaneously [3]. Confirm the presence of a bile leak. Alternatively, a biloma may be. Management varies depending on the clinical presentation, laboratory results, and radiological findings of the. As. Radiology Biloma.
From www.researchgate.net
Biloma in a 39yearold man who sustained an AAST grade 4 liver Radiology Biloma Alternatively, a biloma may be. Confirm the presence of a bile leak. After pigtail drainage (under ct. Biloma a biloma is an intra‐ or extrahepatic bile collection secondary to a gb or biliary duct leak. Bilomas, or extrabiliary collections of bile, have been reported to occur as a result of biliary surgery, endoscopic retrograde cholangiopancreatography (ercp) procedures, laparoscopic cholecystectomy [1],. Radiology Biloma.
From www.cureus.com
Spontaneous Biloma With a Hepatic Mass Cureus Radiology Biloma Confirm the presence of a bile leak. Alternatively, a biloma may be. Biloma is a condition characterized by the collection of bile outside the bile ducts, often resulting from trauma, surgery, or liver. Biloma a biloma is an intra‐ or extrahepatic bile collection secondary to a gb or biliary duct leak. Bilomas, or extrabiliary collections of bile, have been reported. Radiology Biloma.
From www.ajronline.org
Biloma Formation After Radiofrequency Ablation of Hepatocellular Radiology Biloma The goals of imaging in the assessment of biloma are: After pigtail drainage (under ct. Biloma a biloma is an intra‐ or extrahepatic bile collection secondary to a gb or biliary duct leak. As clinical signs and symptoms of bilomas are often nonspecific and laboratory values may be unremarkable, imaging modalities including. Alternatively, a biloma may be. Confirm the presence. Radiology Biloma.
From www.ctisus.com
Biloma Liver Case Studies CTisus CT Scanning Radiology Biloma Confirm the presence of a bile leak. The goals of imaging in the assessment of biloma are: After pigtail drainage (under ct. Bilomas, or extrabiliary collections of bile, have been reported to occur as a result of biliary surgery, endoscopic retrograde cholangiopancreatography (ercp) procedures, laparoscopic cholecystectomy [1], and trauma [2] and to occur spontaneously [3]. Management varies depending on the. Radiology Biloma.
From www.spandidos-publications.com
A giant and insidious subphrenic biloma formation due to gallbladder Radiology Biloma Biloma is a condition characterized by the collection of bile outside the bile ducts, often resulting from trauma, surgery, or liver. As clinical signs and symptoms of bilomas are often nonspecific and laboratory values may be unremarkable, imaging modalities including. Confirm the presence of a bile leak. Biloma a biloma is an intra‐ or extrahepatic bile collection secondary to a. Radiology Biloma.
From www.cureus.com
Cureus A Case of Candidal Infection of Large Biloma After CTGuided Radiology Biloma Alternatively, a biloma may be. As clinical signs and symptoms of bilomas are often nonspecific and laboratory values may be unremarkable, imaging modalities including. Bilomas, or extrabiliary collections of bile, have been reported to occur as a result of biliary surgery, endoscopic retrograde cholangiopancreatography (ercp) procedures, laparoscopic cholecystectomy [1], and trauma [2] and to occur spontaneously [3]. Management varies depending. Radiology Biloma.
From www.ctisus.com
Biloma Liver Case Studies CTisus CT Scanning Radiology Biloma Management varies depending on the clinical presentation, laboratory results, and radiological findings of the. Biloma a biloma is an intra‐ or extrahepatic bile collection secondary to a gb or biliary duct leak. Confirm the presence of a bile leak. Alternatively, a biloma may be. After pigtail drainage (under ct. Biloma is a condition characterized by the collection of bile outside. Radiology Biloma.
From www.spandidos-publications.com
Intrahepatic biloma following transcatheter arterial chemoembolization Radiology Biloma Management varies depending on the clinical presentation, laboratory results, and radiological findings of the. The goals of imaging in the assessment of biloma are: Bilomas, or extrabiliary collections of bile, have been reported to occur as a result of biliary surgery, endoscopic retrograde cholangiopancreatography (ercp) procedures, laparoscopic cholecystectomy [1], and trauma [2] and to occur spontaneously [3]. After pigtail drainage. Radiology Biloma.
From www.ctisus.com
Biloma with Perfusion Changes Liver Liver Case Studies CTisus CT Radiology Biloma The goals of imaging in the assessment of biloma are: Confirm the presence of a bile leak. Management varies depending on the clinical presentation, laboratory results, and radiological findings of the. Biloma a biloma is an intra‐ or extrahepatic bile collection secondary to a gb or biliary duct leak. Bilomas, or extrabiliary collections of bile, have been reported to occur. Radiology Biloma.
From www.mdpi.com
Diagnostics Free FullText Imaging Features of Post Main Radiology Biloma Biloma is a condition characterized by the collection of bile outside the bile ducts, often resulting from trauma, surgery, or liver. As clinical signs and symptoms of bilomas are often nonspecific and laboratory values may be unremarkable, imaging modalities including. Biloma a biloma is an intra‐ or extrahepatic bile collection secondary to a gb or biliary duct leak. Management varies. Radiology Biloma.
From www.researchgate.net
CT scan of abdomen showing the biloma. Download Scientific Diagram Radiology Biloma Bilomas, or extrabiliary collections of bile, have been reported to occur as a result of biliary surgery, endoscopic retrograde cholangiopancreatography (ercp) procedures, laparoscopic cholecystectomy [1], and trauma [2] and to occur spontaneously [3]. After pigtail drainage (under ct. Confirm the presence of a bile leak. Management varies depending on the clinical presentation, laboratory results, and radiological findings of the. Alternatively,. Radiology Biloma.
From www.researchgate.net
Abdominal CT (axial) demonstrated a large subcapsular biloma in the Radiology Biloma Bilomas, or extrabiliary collections of bile, have been reported to occur as a result of biliary surgery, endoscopic retrograde cholangiopancreatography (ercp) procedures, laparoscopic cholecystectomy [1], and trauma [2] and to occur spontaneously [3]. Biloma is a condition characterized by the collection of bile outside the bile ducts, often resulting from trauma, surgery, or liver. As clinical signs and symptoms of. Radiology Biloma.
From www.researchgate.net
Abdominal CT scan showing subhepatic biloma in the region of the Radiology Biloma Bilomas, or extrabiliary collections of bile, have been reported to occur as a result of biliary surgery, endoscopic retrograde cholangiopancreatography (ercp) procedures, laparoscopic cholecystectomy [1], and trauma [2] and to occur spontaneously [3]. After pigtail drainage (under ct. Alternatively, a biloma may be. Management varies depending on the clinical presentation, laboratory results, and radiological findings of the. Confirm the presence. Radiology Biloma.
From www.researchgate.net
(A) Contrastenhanced cholangioscopy image shows infected biloma; (B Radiology Biloma The goals of imaging in the assessment of biloma are: As clinical signs and symptoms of bilomas are often nonspecific and laboratory values may be unremarkable, imaging modalities including. Management varies depending on the clinical presentation, laboratory results, and radiological findings of the. Biloma is a condition characterized by the collection of bile outside the bile ducts, often resulting from. Radiology Biloma.
From www.mdpi.com
Diagnostics Free FullText Subcapsular Biloma following Endoscopic Radiology Biloma Bilomas, or extrabiliary collections of bile, have been reported to occur as a result of biliary surgery, endoscopic retrograde cholangiopancreatography (ercp) procedures, laparoscopic cholecystectomy [1], and trauma [2] and to occur spontaneously [3]. Biloma is a condition characterized by the collection of bile outside the bile ducts, often resulting from trauma, surgery, or liver. The goals of imaging in the. Radiology Biloma.
From liveratlas.org
Liver Atlas Diagnosis Biloma Radiology Biloma As clinical signs and symptoms of bilomas are often nonspecific and laboratory values may be unremarkable, imaging modalities including. Confirm the presence of a bile leak. Bilomas, or extrabiliary collections of bile, have been reported to occur as a result of biliary surgery, endoscopic retrograde cholangiopancreatography (ercp) procedures, laparoscopic cholecystectomy [1], and trauma [2] and to occur spontaneously [3]. Alternatively,. Radiology Biloma.
From liveratlas.org
Liver Atlas Diagnosis Biloma Radiology Biloma As clinical signs and symptoms of bilomas are often nonspecific and laboratory values may be unremarkable, imaging modalities including. Biloma is a condition characterized by the collection of bile outside the bile ducts, often resulting from trauma, surgery, or liver. Alternatively, a biloma may be. Confirm the presence of a bile leak. After pigtail drainage (under ct. Bilomas, or extrabiliary. Radiology Biloma.