Chest Pa Meaning . The report has sections on type of. The reason is that the patient’s. In fact every radiologst should be an expert in chest film reading. The difference between chest posterior anterior (pa) and anterior posterior (ap) radiographs. The posteroanterior (pa) chest view examines the lungs, bony thoracic cavity, mediastinum and great vessels. Why do we do chest projection imaging ap exit book. Erect pa projections are considered the ‘gold standard’ for chest projection imaging (cxr). The difference between chest posterior anterior (pa) and anterior posterior (ap) radiographs. In some instances, it will not be possible to.
from www.youtube.com
In some instances, it will not be possible to. The report has sections on type of. The difference between chest posterior anterior (pa) and anterior posterior (ap) radiographs. The difference between chest posterior anterior (pa) and anterior posterior (ap) radiographs. In fact every radiologst should be an expert in chest film reading. Erect pa projections are considered the ‘gold standard’ for chest projection imaging (cxr). The posteroanterior (pa) chest view examines the lungs, bony thoracic cavity, mediastinum and great vessels. The reason is that the patient’s. Why do we do chest projection imaging ap exit book.
Chest PA vs Chest AP view ll 15 important difference between chest PA
Chest Pa Meaning The posteroanterior (pa) chest view examines the lungs, bony thoracic cavity, mediastinum and great vessels. The difference between chest posterior anterior (pa) and anterior posterior (ap) radiographs. The difference between chest posterior anterior (pa) and anterior posterior (ap) radiographs. In some instances, it will not be possible to. The report has sections on type of. Erect pa projections are considered the ‘gold standard’ for chest projection imaging (cxr). The reason is that the patient’s. Why do we do chest projection imaging ap exit book. The posteroanterior (pa) chest view examines the lungs, bony thoracic cavity, mediastinum and great vessels. In fact every radiologst should be an expert in chest film reading.
From www.researchgate.net
Chest Xray (PA view) of the patient. Download Scientific Diagram Chest Pa Meaning The reason is that the patient’s. In some instances, it will not be possible to. Why do we do chest projection imaging ap exit book. In fact every radiologst should be an expert in chest film reading. The report has sections on type of. The posteroanterior (pa) chest view examines the lungs, bony thoracic cavity, mediastinum and great vessels. The. Chest Pa Meaning.
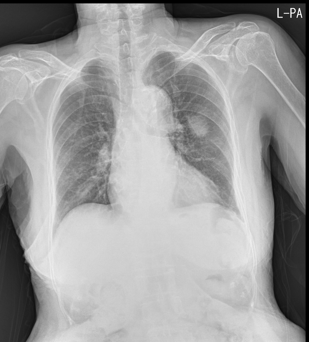
From cleverlearn-hocthongminh.edu.vn
อันดับหนึ่ง 105+ ภาพพื้นหลัง ตรวจ Chest Pa คือ อัปเดต Chest Pa Meaning The reason is that the patient’s. The difference between chest posterior anterior (pa) and anterior posterior (ap) radiographs. In some instances, it will not be possible to. Why do we do chest projection imaging ap exit book. The report has sections on type of. The posteroanterior (pa) chest view examines the lungs, bony thoracic cavity, mediastinum and great vessels. The. Chest Pa Meaning.
From www.cureus.com
Bilateral Hemopneumothorax in COVID19 Cureus Chest Pa Meaning The report has sections on type of. The difference between chest posterior anterior (pa) and anterior posterior (ap) radiographs. The posteroanterior (pa) chest view examines the lungs, bony thoracic cavity, mediastinum and great vessels. In fact every radiologst should be an expert in chest film reading. The difference between chest posterior anterior (pa) and anterior posterior (ap) radiographs. Why do. Chest Pa Meaning.
From giolwbroa.blob.core.windows.net
What Is Apices Of Lung at Eddie Rowe blog Chest Pa Meaning The reason is that the patient’s. The report has sections on type of. In fact every radiologst should be an expert in chest film reading. The posteroanterior (pa) chest view examines the lungs, bony thoracic cavity, mediastinum and great vessels. The difference between chest posterior anterior (pa) and anterior posterior (ap) radiographs. Erect pa projections are considered the ‘gold standard’. Chest Pa Meaning.
From www.youtube.com
Normal Chest XRay Labelled Anatomy PA View Part 1 CXR Interpretation Chest Pa Meaning The posteroanterior (pa) chest view examines the lungs, bony thoracic cavity, mediastinum and great vessels. In some instances, it will not be possible to. The difference between chest posterior anterior (pa) and anterior posterior (ap) radiographs. Erect pa projections are considered the ‘gold standard’ for chest projection imaging (cxr). Why do we do chest projection imaging ap exit book. The. Chest Pa Meaning.
From www.youtube.com
PA vs AP view Chest radiology YouTube Chest Pa Meaning The difference between chest posterior anterior (pa) and anterior posterior (ap) radiographs. The difference between chest posterior anterior (pa) and anterior posterior (ap) radiographs. The reason is that the patient’s. In some instances, it will not be possible to. Why do we do chest projection imaging ap exit book. Erect pa projections are considered the ‘gold standard’ for chest projection. Chest Pa Meaning.
From pediatricimaging.org
Teenager with acute chest pain Pediatric Radiology Case Pediatric Chest Pa Meaning In fact every radiologst should be an expert in chest film reading. Why do we do chest projection imaging ap exit book. The report has sections on type of. The reason is that the patient’s. Erect pa projections are considered the ‘gold standard’ for chest projection imaging (cxr). The difference between chest posterior anterior (pa) and anterior posterior (ap) radiographs.. Chest Pa Meaning.
From www.researchgate.net
The chest PA appears normal. Download Scientific Diagram Chest Pa Meaning In some instances, it will not be possible to. The reason is that the patient’s. The posteroanterior (pa) chest view examines the lungs, bony thoracic cavity, mediastinum and great vessels. The difference between chest posterior anterior (pa) and anterior posterior (ap) radiographs. The report has sections on type of. Why do we do chest projection imaging ap exit book. Erect. Chest Pa Meaning.
From www.flickr.com
337.5 normal PA chest xray FISSURES 1 Minor (A) and Maj… Flickr Chest Pa Meaning The posteroanterior (pa) chest view examines the lungs, bony thoracic cavity, mediastinum and great vessels. The difference between chest posterior anterior (pa) and anterior posterior (ap) radiographs. Erect pa projections are considered the ‘gold standard’ for chest projection imaging (cxr). In fact every radiologst should be an expert in chest film reading. Why do we do chest projection imaging ap. Chest Pa Meaning.
From www.youtube.com
Chest AP view I. (vs chest PA view) YouTube Chest Pa Meaning The report has sections on type of. Erect pa projections are considered the ‘gold standard’ for chest projection imaging (cxr). The posteroanterior (pa) chest view examines the lungs, bony thoracic cavity, mediastinum and great vessels. In some instances, it will not be possible to. The difference between chest posterior anterior (pa) and anterior posterior (ap) radiographs. Why do we do. Chest Pa Meaning.
From www.youtube.com
PA Meaning Definition of PA YouTube Chest Pa Meaning The report has sections on type of. The difference between chest posterior anterior (pa) and anterior posterior (ap) radiographs. In fact every radiologst should be an expert in chest film reading. In some instances, it will not be possible to. The reason is that the patient’s. Why do we do chest projection imaging ap exit book. Erect pa projections are. Chest Pa Meaning.
From www.youtube.com
PA VIEW Vs AP VIEW CHEST X RAY YouTube Chest Pa Meaning The posteroanterior (pa) chest view examines the lungs, bony thoracic cavity, mediastinum and great vessels. The reason is that the patient’s. In fact every radiologst should be an expert in chest film reading. The report has sections on type of. Erect pa projections are considered the ‘gold standard’ for chest projection imaging (cxr). The difference between chest posterior anterior (pa). Chest Pa Meaning.
From townmapsusa.com
Map of Chest, PA, Pennsylvania Chest Pa Meaning The difference between chest posterior anterior (pa) and anterior posterior (ap) radiographs. In fact every radiologst should be an expert in chest film reading. Erect pa projections are considered the ‘gold standard’ for chest projection imaging (cxr). The reason is that the patient’s. The posteroanterior (pa) chest view examines the lungs, bony thoracic cavity, mediastinum and great vessels. In some. Chest Pa Meaning.
From www.youtube.com
Difference between Chest AP & PA Chest PA Vs AP By BL Kumawat Chest Pa Meaning Erect pa projections are considered the ‘gold standard’ for chest projection imaging (cxr). In some instances, it will not be possible to. Why do we do chest projection imaging ap exit book. The difference between chest posterior anterior (pa) and anterior posterior (ap) radiographs. The report has sections on type of. The posteroanterior (pa) chest view examines the lungs, bony. Chest Pa Meaning.
From journals.sagepub.com
Visible Apical Blebs on CXR Are Plain Radiographs UnderUtilized in Chest Pa Meaning The reason is that the patient’s. The difference between chest posterior anterior (pa) and anterior posterior (ap) radiographs. Erect pa projections are considered the ‘gold standard’ for chest projection imaging (cxr). In fact every radiologst should be an expert in chest film reading. In some instances, it will not be possible to. The posteroanterior (pa) chest view examines the lungs,. Chest Pa Meaning.
From dxokoeszj.blob.core.windows.net
Digital X Ray Chest Pa View Price at Cecilia Johnson blog Chest Pa Meaning The report has sections on type of. The posteroanterior (pa) chest view examines the lungs, bony thoracic cavity, mediastinum and great vessels. The reason is that the patient’s. In some instances, it will not be possible to. The difference between chest posterior anterior (pa) and anterior posterior (ap) radiographs. In fact every radiologst should be an expert in chest film. Chest Pa Meaning.
From en.wikipedia.org
Chest radiograph Wikipedia Chest Pa Meaning The reason is that the patient’s. Erect pa projections are considered the ‘gold standard’ for chest projection imaging (cxr). In some instances, it will not be possible to. Why do we do chest projection imaging ap exit book. The report has sections on type of. The difference between chest posterior anterior (pa) and anterior posterior (ap) radiographs. In fact every. Chest Pa Meaning.
From www.researchgate.net
PA chest radiograph showing mediastinal measurement MW (white arrow Chest Pa Meaning In some instances, it will not be possible to. In fact every radiologst should be an expert in chest film reading. The difference between chest posterior anterior (pa) and anterior posterior (ap) radiographs. The posteroanterior (pa) chest view examines the lungs, bony thoracic cavity, mediastinum and great vessels. Erect pa projections are considered the ‘gold standard’ for chest projection imaging. Chest Pa Meaning.
From www.youtube.com
Types of Chest XRays part 1 AP vs PA [UndergroundMed] YouTube Chest Pa Meaning In fact every radiologst should be an expert in chest film reading. The difference between chest posterior anterior (pa) and anterior posterior (ap) radiographs. Erect pa projections are considered the ‘gold standard’ for chest projection imaging (cxr). Why do we do chest projection imaging ap exit book. The report has sections on type of. The difference between chest posterior anterior. Chest Pa Meaning.
From www.researchgate.net
Chest Xray PA view showing an illdefined spiculated opacity in the Chest Pa Meaning Erect pa projections are considered the ‘gold standard’ for chest projection imaging (cxr). The difference between chest posterior anterior (pa) and anterior posterior (ap) radiographs. In fact every radiologst should be an expert in chest film reading. The posteroanterior (pa) chest view examines the lungs, bony thoracic cavity, mediastinum and great vessels. In some instances, it will not be possible. Chest Pa Meaning.
From www.deviantart.com
PA chest radiography airways by NadiaBys on DeviantArt Chest Pa Meaning The report has sections on type of. In some instances, it will not be possible to. The difference between chest posterior anterior (pa) and anterior posterior (ap) radiographs. Erect pa projections are considered the ‘gold standard’ for chest projection imaging (cxr). The posteroanterior (pa) chest view examines the lungs, bony thoracic cavity, mediastinum and great vessels. Why do we do. Chest Pa Meaning.
From www.youtube.com
How to Interpret a Chest XRay (Lesson 10 Self Assessment) Part 1 Chest Pa Meaning Erect pa projections are considered the ‘gold standard’ for chest projection imaging (cxr). The reason is that the patient’s. In fact every radiologst should be an expert in chest film reading. The difference between chest posterior anterior (pa) and anterior posterior (ap) radiographs. Why do we do chest projection imaging ap exit book. The difference between chest posterior anterior (pa). Chest Pa Meaning.
From www.researchgate.net
Chest PA during therapy (February 15, 2012) Download Scientific Diagram Chest Pa Meaning The difference between chest posterior anterior (pa) and anterior posterior (ap) radiographs. The report has sections on type of. The posteroanterior (pa) chest view examines the lungs, bony thoracic cavity, mediastinum and great vessels. The difference between chest posterior anterior (pa) and anterior posterior (ap) radiographs. In fact every radiologst should be an expert in chest film reading. The reason. Chest Pa Meaning.
From ultrasoundonline.blog
Chest AP view와 PA view의 차이 수면제의 까리한 시선 Chest Pa Meaning The difference between chest posterior anterior (pa) and anterior posterior (ap) radiographs. Why do we do chest projection imaging ap exit book. The report has sections on type of. The difference between chest posterior anterior (pa) and anterior posterior (ap) radiographs. The reason is that the patient’s. In some instances, it will not be possible to. Erect pa projections are. Chest Pa Meaning.
From www.youtube.com
Chest AP View XRay Anterior to posterior patient position By Chest Pa Meaning Why do we do chest projection imaging ap exit book. The reason is that the patient’s. The posteroanterior (pa) chest view examines the lungs, bony thoracic cavity, mediastinum and great vessels. The difference between chest posterior anterior (pa) and anterior posterior (ap) radiographs. Erect pa projections are considered the ‘gold standard’ for chest projection imaging (cxr). The difference between chest. Chest Pa Meaning.
From www.youtube.com
CXR Bones & Soft Tissue How to Read a Chest XRay (Part 6) MEDZCOOL Chest Pa Meaning The report has sections on type of. The reason is that the patient’s. Why do we do chest projection imaging ap exit book. The difference between chest posterior anterior (pa) and anterior posterior (ap) radiographs. In fact every radiologst should be an expert in chest film reading. In some instances, it will not be possible to. Erect pa projections are. Chest Pa Meaning.
From www.deviantart.com
Cardiac silhouette on PA chest radiography by NadiaBys on DeviantArt Chest Pa Meaning The difference between chest posterior anterior (pa) and anterior posterior (ap) radiographs. The report has sections on type of. The posteroanterior (pa) chest view examines the lungs, bony thoracic cavity, mediastinum and great vessels. The reason is that the patient’s. The difference between chest posterior anterior (pa) and anterior posterior (ap) radiographs. In fact every radiologst should be an expert. Chest Pa Meaning.
From www.researchgate.net
Chest PA shows an abnormal mass contour with marginal calcification at Chest Pa Meaning The difference between chest posterior anterior (pa) and anterior posterior (ap) radiographs. The report has sections on type of. Why do we do chest projection imaging ap exit book. The posteroanterior (pa) chest view examines the lungs, bony thoracic cavity, mediastinum and great vessels. In some instances, it will not be possible to. In fact every radiologst should be an. Chest Pa Meaning.
From www.radiologymasterclass.co.uk
Chest Xray Pulmonary disease Consolidation/Air bronchogram Chest Pa Meaning Erect pa projections are considered the ‘gold standard’ for chest projection imaging (cxr). The difference between chest posterior anterior (pa) and anterior posterior (ap) radiographs. Why do we do chest projection imaging ap exit book. The reason is that the patient’s. The difference between chest posterior anterior (pa) and anterior posterior (ap) radiographs. The report has sections on type of.. Chest Pa Meaning.
From www.researchgate.net
Chest xray (PA view) showing tension pneumothorax Download Chest Pa Meaning The posteroanterior (pa) chest view examines the lungs, bony thoracic cavity, mediastinum and great vessels. In fact every radiologst should be an expert in chest film reading. In some instances, it will not be possible to. The report has sections on type of. Erect pa projections are considered the ‘gold standard’ for chest projection imaging (cxr). The reason is that. Chest Pa Meaning.
From www.youtube.com
Chest XRay Lung Normal Vs Abnormal Image Appearances Part 2 Pleural Chest Pa Meaning Why do we do chest projection imaging ap exit book. In fact every radiologst should be an expert in chest film reading. Erect pa projections are considered the ‘gold standard’ for chest projection imaging (cxr). The difference between chest posterior anterior (pa) and anterior posterior (ap) radiographs. The posteroanterior (pa) chest view examines the lungs, bony thoracic cavity, mediastinum and. Chest Pa Meaning.
From www.emergencymedicinekenya.org
Parts of a Chest XRay Emergency Medicine Kenya Foundation Chest Pa Meaning In some instances, it will not be possible to. The report has sections on type of. Why do we do chest projection imaging ap exit book. The reason is that the patient’s. The posteroanterior (pa) chest view examines the lungs, bony thoracic cavity, mediastinum and great vessels. Erect pa projections are considered the ‘gold standard’ for chest projection imaging (cxr).. Chest Pa Meaning.
From mavink.com
Pa And Lateral Chest X Ray Chest Pa Meaning The posteroanterior (pa) chest view examines the lungs, bony thoracic cavity, mediastinum and great vessels. In fact every radiologst should be an expert in chest film reading. Why do we do chest projection imaging ap exit book. The difference between chest posterior anterior (pa) and anterior posterior (ap) radiographs. In some instances, it will not be possible to. The report. Chest Pa Meaning.
From radiopaedia.org
Chest (PA view) Radiology Reference Article Chest Pa Meaning In fact every radiologst should be an expert in chest film reading. The report has sections on type of. The difference between chest posterior anterior (pa) and anterior posterior (ap) radiographs. The difference between chest posterior anterior (pa) and anterior posterior (ap) radiographs. Why do we do chest projection imaging ap exit book. The posteroanterior (pa) chest view examines the. Chest Pa Meaning.
From www.youtube.com
Chest PA vs Chest AP view ll 15 important difference between chest PA Chest Pa Meaning Why do we do chest projection imaging ap exit book. In fact every radiologst should be an expert in chest film reading. The posteroanterior (pa) chest view examines the lungs, bony thoracic cavity, mediastinum and great vessels. The difference between chest posterior anterior (pa) and anterior posterior (ap) radiographs. The report has sections on type of. In some instances, it. Chest Pa Meaning.