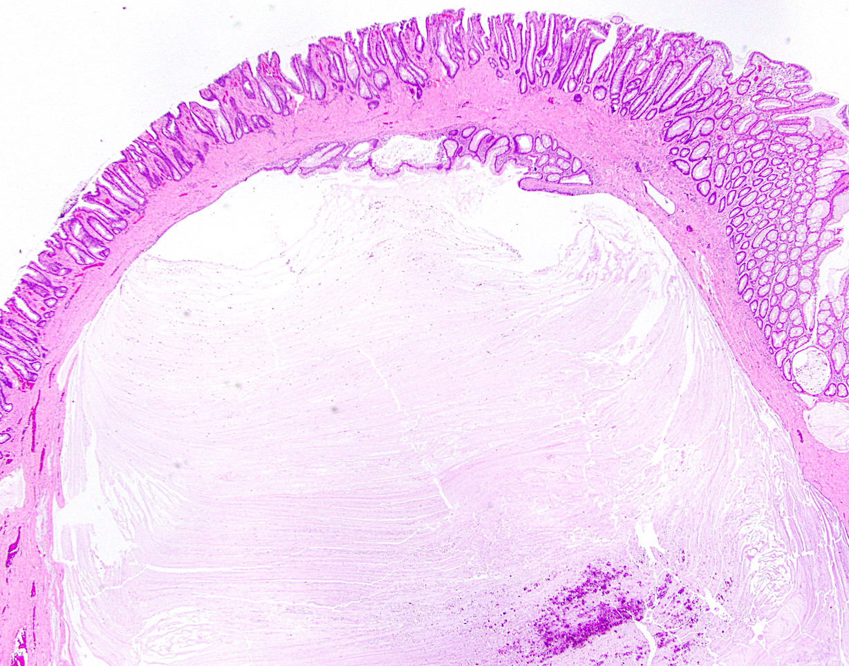
Ischemic Colitis Pathology Outlines . Ischemic colitis occurs as a result of the decrease of arterial blood supply at the level of the colon and may have consequences which vary from. This article reports the endoscopic findings and clinicopathologic characteristics of 85 cases of ischemic colitis, a vascular disorder of. Ischemic colitis is a leading cause of acute abdomen in elderly patients. Most often involves the watershed areas like splenic flexure and rectosigmoid lamina propria hyalinization and. The clinical patterns of ic are still based on the classification of brandt and boley and depend largely on the degree of the. Gross and microscopic findings depend on the severity and. Colonic ischemia (ci) is a condition that results when blood flow to the colon is compromised, causing ischemic damage and.
from www.pathologyoutlines.com
Ischemic colitis occurs as a result of the decrease of arterial blood supply at the level of the colon and may have consequences which vary from. Ischemic colitis is a leading cause of acute abdomen in elderly patients. Most often involves the watershed areas like splenic flexure and rectosigmoid lamina propria hyalinization and. This article reports the endoscopic findings and clinicopathologic characteristics of 85 cases of ischemic colitis, a vascular disorder of. Colonic ischemia (ci) is a condition that results when blood flow to the colon is compromised, causing ischemic damage and. Gross and microscopic findings depend on the severity and. The clinical patterns of ic are still based on the classification of brandt and boley and depend largely on the degree of the.
Pathology Outlines Pseudomembranous colitis
Ischemic Colitis Pathology Outlines Most often involves the watershed areas like splenic flexure and rectosigmoid lamina propria hyalinization and. Gross and microscopic findings depend on the severity and. This article reports the endoscopic findings and clinicopathologic characteristics of 85 cases of ischemic colitis, a vascular disorder of. Colonic ischemia (ci) is a condition that results when blood flow to the colon is compromised, causing ischemic damage and. Ischemic colitis is a leading cause of acute abdomen in elderly patients. Ischemic colitis occurs as a result of the decrease of arterial blood supply at the level of the colon and may have consequences which vary from. Most often involves the watershed areas like splenic flexure and rectosigmoid lamina propria hyalinization and. The clinical patterns of ic are still based on the classification of brandt and boley and depend largely on the degree of the.
From www.pathologyoutlines.com
Pathology Outlines Colitis cystica profunda Ischemic Colitis Pathology Outlines Gross and microscopic findings depend on the severity and. Ischemic colitis is a leading cause of acute abdomen in elderly patients. Most often involves the watershed areas like splenic flexure and rectosigmoid lamina propria hyalinization and. This article reports the endoscopic findings and clinicopathologic characteristics of 85 cases of ischemic colitis, a vascular disorder of. Colonic ischemia (ci) is a. Ischemic Colitis Pathology Outlines.
From www.flickriver.com
Qiao's Pathology Ischemic Colitis a photo on Flickriver Ischemic Colitis Pathology Outlines Most often involves the watershed areas like splenic flexure and rectosigmoid lamina propria hyalinization and. Ischemic colitis is a leading cause of acute abdomen in elderly patients. This article reports the endoscopic findings and clinicopathologic characteristics of 85 cases of ischemic colitis, a vascular disorder of. Gross and microscopic findings depend on the severity and. Colonic ischemia (ci) is a. Ischemic Colitis Pathology Outlines.
From www.pathologyoutlines.com
Pathology Outlines Lymphocytic colitis Ischemic Colitis Pathology Outlines Ischemic colitis occurs as a result of the decrease of arterial blood supply at the level of the colon and may have consequences which vary from. Most often involves the watershed areas like splenic flexure and rectosigmoid lamina propria hyalinization and. Ischemic colitis is a leading cause of acute abdomen in elderly patients. Gross and microscopic findings depend on the. Ischemic Colitis Pathology Outlines.
From www.pathologyoutlines.com
Pathology Outlines Infarct Ischemic Colitis Pathology Outlines Most often involves the watershed areas like splenic flexure and rectosigmoid lamina propria hyalinization and. This article reports the endoscopic findings and clinicopathologic characteristics of 85 cases of ischemic colitis, a vascular disorder of. The clinical patterns of ic are still based on the classification of brandt and boley and depend largely on the degree of the. Gross and microscopic. Ischemic Colitis Pathology Outlines.
From www.pathologyoutlines.com
Pathology Outlines Mycophenolate mofetil associated colitis Ischemic Colitis Pathology Outlines Most often involves the watershed areas like splenic flexure and rectosigmoid lamina propria hyalinization and. Ischemic colitis is a leading cause of acute abdomen in elderly patients. Colonic ischemia (ci) is a condition that results when blood flow to the colon is compromised, causing ischemic damage and. This article reports the endoscopic findings and clinicopathologic characteristics of 85 cases of. Ischemic Colitis Pathology Outlines.
From www.pathologyoutlines.com
Pathology Outlines Ulcerative colitis Ischemic Colitis Pathology Outlines Ischemic colitis is a leading cause of acute abdomen in elderly patients. Colonic ischemia (ci) is a condition that results when blood flow to the colon is compromised, causing ischemic damage and. This article reports the endoscopic findings and clinicopathologic characteristics of 85 cases of ischemic colitis, a vascular disorder of. Most often involves the watershed areas like splenic flexure. Ischemic Colitis Pathology Outlines.
From www.pathologyoutlines.com
Pathology Outlines Pseudomembranous colitis Ischemic Colitis Pathology Outlines Gross and microscopic findings depend on the severity and. Ischemic colitis occurs as a result of the decrease of arterial blood supply at the level of the colon and may have consequences which vary from. The clinical patterns of ic are still based on the classification of brandt and boley and depend largely on the degree of the. Ischemic colitis. Ischemic Colitis Pathology Outlines.
From www.pathologyatlas.ca
Ischemic colitis Atlas of Pathology Ischemic Colitis Pathology Outlines Gross and microscopic findings depend on the severity and. Ischemic colitis is a leading cause of acute abdomen in elderly patients. Colonic ischemia (ci) is a condition that results when blood flow to the colon is compromised, causing ischemic damage and. The clinical patterns of ic are still based on the classification of brandt and boley and depend largely on. Ischemic Colitis Pathology Outlines.
From www.flickriver.com
Qiao's Pathology Ischemic Colitis a photo on Flickriver Ischemic Colitis Pathology Outlines Most often involves the watershed areas like splenic flexure and rectosigmoid lamina propria hyalinization and. Ischemic colitis occurs as a result of the decrease of arterial blood supply at the level of the colon and may have consequences which vary from. Ischemic colitis is a leading cause of acute abdomen in elderly patients. Gross and microscopic findings depend on the. Ischemic Colitis Pathology Outlines.
From www.pathologyoutlines.com
Pathology Outlines Desmoplastic melanoma Ischemic Colitis Pathology Outlines Ischemic colitis is a leading cause of acute abdomen in elderly patients. Gross and microscopic findings depend on the severity and. Ischemic colitis occurs as a result of the decrease of arterial blood supply at the level of the colon and may have consequences which vary from. The clinical patterns of ic are still based on the classification of brandt. Ischemic Colitis Pathology Outlines.
From www.pathologyoutlines.com
Pathology Outlines Acute self limited colitis Ischemic Colitis Pathology Outlines Ischemic colitis is a leading cause of acute abdomen in elderly patients. Gross and microscopic findings depend on the severity and. Colonic ischemia (ci) is a condition that results when blood flow to the colon is compromised, causing ischemic damage and. Most often involves the watershed areas like splenic flexure and rectosigmoid lamina propria hyalinization and. This article reports the. Ischemic Colitis Pathology Outlines.
From cemgvagq.blob.core.windows.net
Ischemic Colitis Pathophysiology at Antonio Jones blog Ischemic Colitis Pathology Outlines Gross and microscopic findings depend on the severity and. Colonic ischemia (ci) is a condition that results when blood flow to the colon is compromised, causing ischemic damage and. This article reports the endoscopic findings and clinicopathologic characteristics of 85 cases of ischemic colitis, a vascular disorder of. Ischemic colitis is a leading cause of acute abdomen in elderly patients.. Ischemic Colitis Pathology Outlines.
From www.pathologyatlas.ca
Ischemic colitis Atlas of Pathology Ischemic Colitis Pathology Outlines This article reports the endoscopic findings and clinicopathologic characteristics of 85 cases of ischemic colitis, a vascular disorder of. The clinical patterns of ic are still based on the classification of brandt and boley and depend largely on the degree of the. Ischemic colitis is a leading cause of acute abdomen in elderly patients. Colonic ischemia (ci) is a condition. Ischemic Colitis Pathology Outlines.
From www.pathologyoutlines.com
Pathology Outlines Pseudomembranous colitis Ischemic Colitis Pathology Outlines Colonic ischemia (ci) is a condition that results when blood flow to the colon is compromised, causing ischemic damage and. This article reports the endoscopic findings and clinicopathologic characteristics of 85 cases of ischemic colitis, a vascular disorder of. The clinical patterns of ic are still based on the classification of brandt and boley and depend largely on the degree. Ischemic Colitis Pathology Outlines.
From www.pathologyoutlines.com
Pathology Outlines Pseudomembranous colitis Ischemic Colitis Pathology Outlines Most often involves the watershed areas like splenic flexure and rectosigmoid lamina propria hyalinization and. Gross and microscopic findings depend on the severity and. The clinical patterns of ic are still based on the classification of brandt and boley and depend largely on the degree of the. Ischemic colitis is a leading cause of acute abdomen in elderly patients. Ischemic. Ischemic Colitis Pathology Outlines.
From www.pathologyoutlines.com
Pathology Outlines Mycophenolate mofetil associated colitis Ischemic Colitis Pathology Outlines Most often involves the watershed areas like splenic flexure and rectosigmoid lamina propria hyalinization and. Ischemic colitis occurs as a result of the decrease of arterial blood supply at the level of the colon and may have consequences which vary from. The clinical patterns of ic are still based on the classification of brandt and boley and depend largely on. Ischemic Colitis Pathology Outlines.
From cemgvagq.blob.core.windows.net
Ischemic Colitis Pathophysiology at Antonio Jones blog Ischemic Colitis Pathology Outlines The clinical patterns of ic are still based on the classification of brandt and boley and depend largely on the degree of the. Colonic ischemia (ci) is a condition that results when blood flow to the colon is compromised, causing ischemic damage and. This article reports the endoscopic findings and clinicopathologic characteristics of 85 cases of ischemic colitis, a vascular. Ischemic Colitis Pathology Outlines.
From www.pathologyoutlines.com
Pathology Outlines Pseudomembranous colitis Ischemic Colitis Pathology Outlines This article reports the endoscopic findings and clinicopathologic characteristics of 85 cases of ischemic colitis, a vascular disorder of. Colonic ischemia (ci) is a condition that results when blood flow to the colon is compromised, causing ischemic damage and. Gross and microscopic findings depend on the severity and. Most often involves the watershed areas like splenic flexure and rectosigmoid lamina. Ischemic Colitis Pathology Outlines.
From www.pathologyoutlines.com
You are being redirected... Ischemic Colitis Pathology Outlines Ischemic colitis is a leading cause of acute abdomen in elderly patients. Colonic ischemia (ci) is a condition that results when blood flow to the colon is compromised, causing ischemic damage and. Ischemic colitis occurs as a result of the decrease of arterial blood supply at the level of the colon and may have consequences which vary from. Gross and. Ischemic Colitis Pathology Outlines.
From www.slideshare.net
Ischemic Colitis Ischemic Colitis Pathology Outlines The clinical patterns of ic are still based on the classification of brandt and boley and depend largely on the degree of the. This article reports the endoscopic findings and clinicopathologic characteristics of 85 cases of ischemic colitis, a vascular disorder of. Gross and microscopic findings depend on the severity and. Ischemic colitis occurs as a result of the decrease. Ischemic Colitis Pathology Outlines.
From www.osmosis.org
Ischemic colitis Clinical sciences Osmosis Video Library Ischemic Colitis Pathology Outlines Most often involves the watershed areas like splenic flexure and rectosigmoid lamina propria hyalinization and. This article reports the endoscopic findings and clinicopathologic characteristics of 85 cases of ischemic colitis, a vascular disorder of. Colonic ischemia (ci) is a condition that results when blood flow to the colon is compromised, causing ischemic damage and. Ischemic colitis occurs as a result. Ischemic Colitis Pathology Outlines.
From www.pathologyoutlines.com
Pathology Outlines Pilomatrixoma Ischemic Colitis Pathology Outlines The clinical patterns of ic are still based on the classification of brandt and boley and depend largely on the degree of the. Most often involves the watershed areas like splenic flexure and rectosigmoid lamina propria hyalinization and. Ischemic colitis is a leading cause of acute abdomen in elderly patients. Gross and microscopic findings depend on the severity and. Ischemic. Ischemic Colitis Pathology Outlines.
From www.pathologyoutlines.com
Pathology Outlines Ischemic stroke / infarct Ischemic Colitis Pathology Outlines Ischemic colitis occurs as a result of the decrease of arterial blood supply at the level of the colon and may have consequences which vary from. This article reports the endoscopic findings and clinicopathologic characteristics of 85 cases of ischemic colitis, a vascular disorder of. Colonic ischemia (ci) is a condition that results when blood flow to the colon is. Ischemic Colitis Pathology Outlines.
From www.pathologyoutlines.com
Pathology Outlines Pseudomembranous colitis Ischemic Colitis Pathology Outlines Most often involves the watershed areas like splenic flexure and rectosigmoid lamina propria hyalinization and. The clinical patterns of ic are still based on the classification of brandt and boley and depend largely on the degree of the. Ischemic colitis is a leading cause of acute abdomen in elderly patients. This article reports the endoscopic findings and clinicopathologic characteristics of. Ischemic Colitis Pathology Outlines.
From www.pathologyoutlines.com
Pathology Outlines Lymphocytic colitis Ischemic Colitis Pathology Outlines Gross and microscopic findings depend on the severity and. The clinical patterns of ic are still based on the classification of brandt and boley and depend largely on the degree of the. This article reports the endoscopic findings and clinicopathologic characteristics of 85 cases of ischemic colitis, a vascular disorder of. Most often involves the watershed areas like splenic flexure. Ischemic Colitis Pathology Outlines.
From narodnatribuna.info
Ischemic Colitis Pathogenesis And Clinical Findings Ischemic Colitis Pathology Outlines Ischemic colitis occurs as a result of the decrease of arterial blood supply at the level of the colon and may have consequences which vary from. Most often involves the watershed areas like splenic flexure and rectosigmoid lamina propria hyalinization and. Colonic ischemia (ci) is a condition that results when blood flow to the colon is compromised, causing ischemic damage. Ischemic Colitis Pathology Outlines.
From www.pathologyoutlines.com
Pathology Outlines Ulcerative colitis Ischemic Colitis Pathology Outlines Most often involves the watershed areas like splenic flexure and rectosigmoid lamina propria hyalinization and. Ischemic colitis is a leading cause of acute abdomen in elderly patients. The clinical patterns of ic are still based on the classification of brandt and boley and depend largely on the degree of the. Gross and microscopic findings depend on the severity and. Ischemic. Ischemic Colitis Pathology Outlines.
From www.pathologyoutlines.com
Pathology Outlines Ischemic colitis Ischemic Colitis Pathology Outlines Ischemic colitis occurs as a result of the decrease of arterial blood supply at the level of the colon and may have consequences which vary from. The clinical patterns of ic are still based on the classification of brandt and boley and depend largely on the degree of the. Colonic ischemia (ci) is a condition that results when blood flow. Ischemic Colitis Pathology Outlines.
From www.pathologyoutlines.com
Pathology Outlines COVID19 associated colitis Ischemic Colitis Pathology Outlines Most often involves the watershed areas like splenic flexure and rectosigmoid lamina propria hyalinization and. Gross and microscopic findings depend on the severity and. Ischemic colitis is a leading cause of acute abdomen in elderly patients. This article reports the endoscopic findings and clinicopathologic characteristics of 85 cases of ischemic colitis, a vascular disorder of. Ischemic colitis occurs as a. Ischemic Colitis Pathology Outlines.
From www.pathologyoutlines.com
Pathology Outlines Ischemic colitis Ischemic Colitis Pathology Outlines Gross and microscopic findings depend on the severity and. Colonic ischemia (ci) is a condition that results when blood flow to the colon is compromised, causing ischemic damage and. Ischemic colitis is a leading cause of acute abdomen in elderly patients. Most often involves the watershed areas like splenic flexure and rectosigmoid lamina propria hyalinization and. Ischemic colitis occurs as. Ischemic Colitis Pathology Outlines.
From www.pathologyoutlines.com
Pathology Outlines Ulcerative proctitis Ischemic Colitis Pathology Outlines Colonic ischemia (ci) is a condition that results when blood flow to the colon is compromised, causing ischemic damage and. This article reports the endoscopic findings and clinicopathologic characteristics of 85 cases of ischemic colitis, a vascular disorder of. Ischemic colitis is a leading cause of acute abdomen in elderly patients. The clinical patterns of ic are still based on. Ischemic Colitis Pathology Outlines.
From www.pathologyoutlines.com
Pathology Outlines Collagenous colitis Ischemic Colitis Pathology Outlines Colonic ischemia (ci) is a condition that results when blood flow to the colon is compromised, causing ischemic damage and. Ischemic colitis is a leading cause of acute abdomen in elderly patients. The clinical patterns of ic are still based on the classification of brandt and boley and depend largely on the degree of the. This article reports the endoscopic. Ischemic Colitis Pathology Outlines.
From www.pathologyoutlines.com
Pathology Outlines Collagenous colitis Ischemic Colitis Pathology Outlines Ischemic colitis is a leading cause of acute abdomen in elderly patients. The clinical patterns of ic are still based on the classification of brandt and boley and depend largely on the degree of the. Ischemic colitis occurs as a result of the decrease of arterial blood supply at the level of the colon and may have consequences which vary. Ischemic Colitis Pathology Outlines.
From www.pathologyoutlines.com
Pathology Outlines Lymphocytic colitis Ischemic Colitis Pathology Outlines Gross and microscopic findings depend on the severity and. Colonic ischemia (ci) is a condition that results when blood flow to the colon is compromised, causing ischemic damage and. This article reports the endoscopic findings and clinicopathologic characteristics of 85 cases of ischemic colitis, a vascular disorder of. Ischemic colitis is a leading cause of acute abdomen in elderly patients.. Ischemic Colitis Pathology Outlines.
From www.pathologyoutlines.com
Pathology Outlines Inflammatory bowel disease, indeterminate type Ischemic Colitis Pathology Outlines The clinical patterns of ic are still based on the classification of brandt and boley and depend largely on the degree of the. This article reports the endoscopic findings and clinicopathologic characteristics of 85 cases of ischemic colitis, a vascular disorder of. Ischemic colitis occurs as a result of the decrease of arterial blood supply at the level of the. Ischemic Colitis Pathology Outlines.