Meaning Plate Osteosynthesis . Invasive plate osteosynthesis principles (mipo) should be utilized in order to maintain correct length, axial alignment, and rotation of the limb • depending on the bone quality, both locking and non. It is widely accepted to achieve bone healing with a dynamic and biological fixation where the. Plate osteosynthesis is one treatment option for the stabilization of long bones. Plate osteosynthesis is a procedure in which the broken parts of the bone are fixed with a plate. The surgeon exposes the broken bone and screws a. Plate osteosynthesis is one treatment option for the stabilization of long bones. We attempted to find an answer to the following questions, what are the indications for using plate osteosynthesis in fractures of the. The advantages of minimally invasive plate osteosynthesis of the femoral shaft are lessening of the extent of muscle detachment and reduced compromise of bone vascularity. Osteosynthesis refers to the procedure in which the fracture ends are joined and stabilized by means of mechanical devices such as metal. It is widely accepted to achieve bone healing with a dynamic.
from www.sciencephoto.com
Plate osteosynthesis is a procedure in which the broken parts of the bone are fixed with a plate. Plate osteosynthesis is one treatment option for the stabilization of long bones. We attempted to find an answer to the following questions, what are the indications for using plate osteosynthesis in fractures of the. The surgeon exposes the broken bone and screws a. Invasive plate osteosynthesis principles (mipo) should be utilized in order to maintain correct length, axial alignment, and rotation of the limb • depending on the bone quality, both locking and non. Osteosynthesis refers to the procedure in which the fracture ends are joined and stabilized by means of mechanical devices such as metal. It is widely accepted to achieve bone healing with a dynamic and biological fixation where the. The advantages of minimally invasive plate osteosynthesis of the femoral shaft are lessening of the extent of muscle detachment and reduced compromise of bone vascularity. It is widely accepted to achieve bone healing with a dynamic. Plate osteosynthesis is one treatment option for the stabilization of long bones.
Hip with Nailplate, Osteosynthesis, Xray Stock Image C030/5653
Meaning Plate Osteosynthesis It is widely accepted to achieve bone healing with a dynamic. The advantages of minimally invasive plate osteosynthesis of the femoral shaft are lessening of the extent of muscle detachment and reduced compromise of bone vascularity. Invasive plate osteosynthesis principles (mipo) should be utilized in order to maintain correct length, axial alignment, and rotation of the limb • depending on the bone quality, both locking and non. It is widely accepted to achieve bone healing with a dynamic. It is widely accepted to achieve bone healing with a dynamic and biological fixation where the. We attempted to find an answer to the following questions, what are the indications for using plate osteosynthesis in fractures of the. Osteosynthesis refers to the procedure in which the fracture ends are joined and stabilized by means of mechanical devices such as metal. Plate osteosynthesis is a procedure in which the broken parts of the bone are fixed with a plate. The surgeon exposes the broken bone and screws a. Plate osteosynthesis is one treatment option for the stabilization of long bones. Plate osteosynthesis is one treatment option for the stabilization of long bones.
From orthopaedicprinciples.com
Basic Principles of Plate Osteosynthesis — Meaning Plate Osteosynthesis Plate osteosynthesis is a procedure in which the broken parts of the bone are fixed with a plate. Invasive plate osteosynthesis principles (mipo) should be utilized in order to maintain correct length, axial alignment, and rotation of the limb • depending on the bone quality, both locking and non. It is widely accepted to achieve bone healing with a dynamic. Meaning Plate Osteosynthesis.
From musculoskeletalkey.com
History and evolution of minimally invasive plate osteosynthesis Meaning Plate Osteosynthesis Invasive plate osteosynthesis principles (mipo) should be utilized in order to maintain correct length, axial alignment, and rotation of the limb • depending on the bone quality, both locking and non. We attempted to find an answer to the following questions, what are the indications for using plate osteosynthesis in fractures of the. Plate osteosynthesis is one treatment option for. Meaning Plate Osteosynthesis.
From www.researchgate.net
Minimally invasive plate osteosynthesis incisions. Download Meaning Plate Osteosynthesis It is widely accepted to achieve bone healing with a dynamic. Plate osteosynthesis is a procedure in which the broken parts of the bone are fixed with a plate. Plate osteosynthesis is one treatment option for the stabilization of long bones. Plate osteosynthesis is one treatment option for the stabilization of long bones. We attempted to find an answer to. Meaning Plate Osteosynthesis.
From www.semanticscholar.org
Minimally invasive plate osteosynthesis of distal tibial fractures a Meaning Plate Osteosynthesis It is widely accepted to achieve bone healing with a dynamic. Plate osteosynthesis is a procedure in which the broken parts of the bone are fixed with a plate. The surgeon exposes the broken bone and screws a. The advantages of minimally invasive plate osteosynthesis of the femoral shaft are lessening of the extent of muscle detachment and reduced compromise. Meaning Plate Osteosynthesis.
From www.hindawi.com
Figure 1 Plate on Plate Osteosynthesis for the Treatment of Nonhealed Meaning Plate Osteosynthesis We attempted to find an answer to the following questions, what are the indications for using plate osteosynthesis in fractures of the. Plate osteosynthesis is a procedure in which the broken parts of the bone are fixed with a plate. It is widely accepted to achieve bone healing with a dynamic. Plate osteosynthesis is one treatment option for the stabilization. Meaning Plate Osteosynthesis.
From www.researchgate.net
Patient specific, topology optimized osteosynthesis plates Meaning Plate Osteosynthesis We attempted to find an answer to the following questions, what are the indications for using plate osteosynthesis in fractures of the. Osteosynthesis refers to the procedure in which the fracture ends are joined and stabilized by means of mechanical devices such as metal. It is widely accepted to achieve bone healing with a dynamic and biological fixation where the.. Meaning Plate Osteosynthesis.
From www.semanticscholar.org
Figure 3 from Minimally Invasive Plate Osteosynthesis with Conventional Meaning Plate Osteosynthesis Plate osteosynthesis is one treatment option for the stabilization of long bones. The surgeon exposes the broken bone and screws a. We attempted to find an answer to the following questions, what are the indications for using plate osteosynthesis in fractures of the. The advantages of minimally invasive plate osteosynthesis of the femoral shaft are lessening of the extent of. Meaning Plate Osteosynthesis.
From www.intechopen.com
Minimally Invasive Plate Osteosynthesis (MIPO) in Long Bone Fractures Meaning Plate Osteosynthesis We attempted to find an answer to the following questions, what are the indications for using plate osteosynthesis in fractures of the. The advantages of minimally invasive plate osteosynthesis of the femoral shaft are lessening of the extent of muscle detachment and reduced compromise of bone vascularity. Plate osteosynthesis is a procedure in which the broken parts of the bone. Meaning Plate Osteosynthesis.
From www.semanticscholar.org
Figure 1 from Minimal Invasive Plate Osteosynthesis (MIPO) Technique Meaning Plate Osteosynthesis Plate osteosynthesis is one treatment option for the stabilization of long bones. We attempted to find an answer to the following questions, what are the indications for using plate osteosynthesis in fractures of the. Plate osteosynthesis is one treatment option for the stabilization of long bones. It is widely accepted to achieve bone healing with a dynamic and biological fixation. Meaning Plate Osteosynthesis.
From www.semanticscholar.org
Figure 1 from Role of Minimal Invasive Plate Osteosynthesis in Complex Meaning Plate Osteosynthesis It is widely accepted to achieve bone healing with a dynamic and biological fixation where the. The advantages of minimally invasive plate osteosynthesis of the femoral shaft are lessening of the extent of muscle detachment and reduced compromise of bone vascularity. Plate osteosynthesis is one treatment option for the stabilization of long bones. We attempted to find an answer to. Meaning Plate Osteosynthesis.
From musculoskeletalkey.com
History and evolution of minimally invasive plate osteosynthesis Meaning Plate Osteosynthesis The surgeon exposes the broken bone and screws a. Plate osteosynthesis is one treatment option for the stabilization of long bones. We attempted to find an answer to the following questions, what are the indications for using plate osteosynthesis in fractures of the. The advantages of minimally invasive plate osteosynthesis of the femoral shaft are lessening of the extent of. Meaning Plate Osteosynthesis.
From www.researchgate.net
Case 1. A Primary reconstruction with plate and Kwire osteosynthesis Meaning Plate Osteosynthesis It is widely accepted to achieve bone healing with a dynamic and biological fixation where the. It is widely accepted to achieve bone healing with a dynamic. The advantages of minimally invasive plate osteosynthesis of the femoral shaft are lessening of the extent of muscle detachment and reduced compromise of bone vascularity. Plate osteosynthesis is one treatment option for the. Meaning Plate Osteosynthesis.
From www.semanticscholar.org
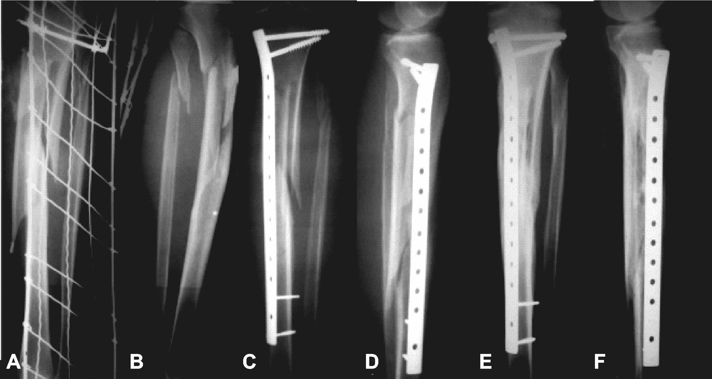
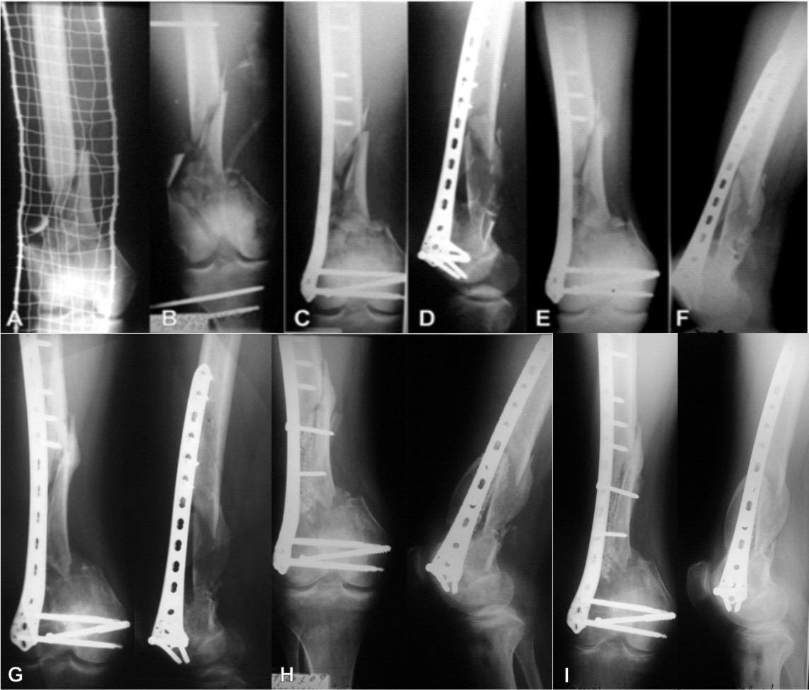
Figure 1 from Minimally invasive plate osteosynthesis in distal tibial Meaning Plate Osteosynthesis It is widely accepted to achieve bone healing with a dynamic. It is widely accepted to achieve bone healing with a dynamic and biological fixation where the. Plate osteosynthesis is one treatment option for the stabilization of long bones. Invasive plate osteosynthesis principles (mipo) should be utilized in order to maintain correct length, axial alignment, and rotation of the limb. Meaning Plate Osteosynthesis.
From www.semanticscholar.org
Minimally invasive plate osteosynthesis of distal tibial fractures a Meaning Plate Osteosynthesis Invasive plate osteosynthesis principles (mipo) should be utilized in order to maintain correct length, axial alignment, and rotation of the limb • depending on the bone quality, both locking and non. The surgeon exposes the broken bone and screws a. Plate osteosynthesis is a procedure in which the broken parts of the bone are fixed with a plate. It is. Meaning Plate Osteosynthesis.
From journals.lww.com
Biomechanical Analysis of Plate Osteosynthesis Systems for P Meaning Plate Osteosynthesis We attempted to find an answer to the following questions, what are the indications for using plate osteosynthesis in fractures of the. Invasive plate osteosynthesis principles (mipo) should be utilized in order to maintain correct length, axial alignment, and rotation of the limb • depending on the bone quality, both locking and non. It is widely accepted to achieve bone. Meaning Plate Osteosynthesis.
From www.researchgate.net
Patient treated with minimally invasive plate osteosynthesis. (a Meaning Plate Osteosynthesis It is widely accepted to achieve bone healing with a dynamic. Plate osteosynthesis is one treatment option for the stabilization of long bones. Plate osteosynthesis is a procedure in which the broken parts of the bone are fixed with a plate. Osteosynthesis refers to the procedure in which the fracture ends are joined and stabilized by means of mechanical devices. Meaning Plate Osteosynthesis.
From www.researchgate.net
Surgical 3dimensional customised CADCAM osteosynthesis plates Meaning Plate Osteosynthesis The surgeon exposes the broken bone and screws a. Invasive plate osteosynthesis principles (mipo) should be utilized in order to maintain correct length, axial alignment, and rotation of the limb • depending on the bone quality, both locking and non. We attempted to find an answer to the following questions, what are the indications for using plate osteosynthesis in fractures. Meaning Plate Osteosynthesis.
From www.intechopen.com
Minimally Invasive Plate Osteosynthesis (MIPO) in Long Bone Fractures Meaning Plate Osteosynthesis We attempted to find an answer to the following questions, what are the indications for using plate osteosynthesis in fractures of the. It is widely accepted to achieve bone healing with a dynamic and biological fixation where the. Plate osteosynthesis is a procedure in which the broken parts of the bone are fixed with a plate. The advantages of minimally. Meaning Plate Osteosynthesis.
From www.cureus.com
Single Versus Two Plate Osteosynthesis for Parasymphysis Fractures of Meaning Plate Osteosynthesis Osteosynthesis refers to the procedure in which the fracture ends are joined and stabilized by means of mechanical devices such as metal. Plate osteosynthesis is one treatment option for the stabilization of long bones. Plate osteosynthesis is one treatment option for the stabilization of long bones. It is widely accepted to achieve bone healing with a dynamic. The advantages of. Meaning Plate Osteosynthesis.
From www.zib.de
Osteosynthesis Followup from 2D Xrays Zuse Institute Berlin (ZIB) Meaning Plate Osteosynthesis The surgeon exposes the broken bone and screws a. Plate osteosynthesis is one treatment option for the stabilization of long bones. Plate osteosynthesis is a procedure in which the broken parts of the bone are fixed with a plate. Plate osteosynthesis is one treatment option for the stabilization of long bones. We attempted to find an answer to the following. Meaning Plate Osteosynthesis.
From www.intechopen.com
Minimally Invasive Plate Osteosynthesis (MIPO) in Long Bone Fractures Meaning Plate Osteosynthesis The surgeon exposes the broken bone and screws a. Plate osteosynthesis is one treatment option for the stabilization of long bones. It is widely accepted to achieve bone healing with a dynamic and biological fixation where the. Osteosynthesis refers to the procedure in which the fracture ends are joined and stabilized by means of mechanical devices such as metal. It. Meaning Plate Osteosynthesis.
From openi.nlm.nih.gov
Biological plate osteosynthesis. Preoperative (left) an Openi Meaning Plate Osteosynthesis The advantages of minimally invasive plate osteosynthesis of the femoral shaft are lessening of the extent of muscle detachment and reduced compromise of bone vascularity. The surgeon exposes the broken bone and screws a. It is widely accepted to achieve bone healing with a dynamic and biological fixation where the. Plate osteosynthesis is one treatment option for the stabilization of. Meaning Plate Osteosynthesis.
From stock.adobe.com
Surgical plates for osteosynthesis in case of bone fractures StockFoto Meaning Plate Osteosynthesis The surgeon exposes the broken bone and screws a. We attempted to find an answer to the following questions, what are the indications for using plate osteosynthesis in fractures of the. It is widely accepted to achieve bone healing with a dynamic and biological fixation where the. Plate osteosynthesis is one treatment option for the stabilization of long bones. Osteosynthesis. Meaning Plate Osteosynthesis.
From www.semanticscholar.org
Figure 2 from Minimally Invasive Plate Osteosynthesis with Conventional Meaning Plate Osteosynthesis Plate osteosynthesis is one treatment option for the stabilization of long bones. The surgeon exposes the broken bone and screws a. Plate osteosynthesis is one treatment option for the stabilization of long bones. Plate osteosynthesis is a procedure in which the broken parts of the bone are fixed with a plate. It is widely accepted to achieve bone healing with. Meaning Plate Osteosynthesis.
From www.researchgate.net
Plate osteosynthesis used in this study in alphabetical order Meaning Plate Osteosynthesis It is widely accepted to achieve bone healing with a dynamic. We attempted to find an answer to the following questions, what are the indications for using plate osteosynthesis in fractures of the. Invasive plate osteosynthesis principles (mipo) should be utilized in order to maintain correct length, axial alignment, and rotation of the limb • depending on the bone quality,. Meaning Plate Osteosynthesis.
From www.semanticscholar.org
Figure 1 from Bridge plate osteosynthesis using dynamic condylar screw Meaning Plate Osteosynthesis Plate osteosynthesis is one treatment option for the stabilization of long bones. The advantages of minimally invasive plate osteosynthesis of the femoral shaft are lessening of the extent of muscle detachment and reduced compromise of bone vascularity. It is widely accepted to achieve bone healing with a dynamic and biological fixation where the. Osteosynthesis refers to the procedure in which. Meaning Plate Osteosynthesis.
From www.researchgate.net
Xray 4 months after plate osteosynthesis of the proximal tibia Meaning Plate Osteosynthesis Invasive plate osteosynthesis principles (mipo) should be utilized in order to maintain correct length, axial alignment, and rotation of the limb • depending on the bone quality, both locking and non. We attempted to find an answer to the following questions, what are the indications for using plate osteosynthesis in fractures of the. Plate osteosynthesis is a procedure in which. Meaning Plate Osteosynthesis.
From www.sciencephoto.com
Osteosynthesis on radius Stock Image C048/1009 Science Photo Library Meaning Plate Osteosynthesis We attempted to find an answer to the following questions, what are the indications for using plate osteosynthesis in fractures of the. Plate osteosynthesis is a procedure in which the broken parts of the bone are fixed with a plate. It is widely accepted to achieve bone healing with a dynamic. The advantages of minimally invasive plate osteosynthesis of the. Meaning Plate Osteosynthesis.
From www.semanticscholar.org
Figure 1 from Minimally Invasive Plate Osteosynthesis for Open Meaning Plate Osteosynthesis Plate osteosynthesis is one treatment option for the stabilization of long bones. It is widely accepted to achieve bone healing with a dynamic and biological fixation where the. Osteosynthesis refers to the procedure in which the fracture ends are joined and stabilized by means of mechanical devices such as metal. Plate osteosynthesis is a procedure in which the broken parts. Meaning Plate Osteosynthesis.
From www.sciencephoto.com
Hip with Nailplate, Osteosynthesis, Xray Stock Image C030/5653 Meaning Plate Osteosynthesis Plate osteosynthesis is a procedure in which the broken parts of the bone are fixed with a plate. The surgeon exposes the broken bone and screws a. It is widely accepted to achieve bone healing with a dynamic and biological fixation where the. We attempted to find an answer to the following questions, what are the indications for using plate. Meaning Plate Osteosynthesis.
From journals.lww.com
Minimally Invasive Plate Osteosynthesis (MIPO) of Distal Tib Meaning Plate Osteosynthesis Osteosynthesis refers to the procedure in which the fracture ends are joined and stabilized by means of mechanical devices such as metal. The surgeon exposes the broken bone and screws a. It is widely accepted to achieve bone healing with a dynamic and biological fixation where the. Plate osteosynthesis is one treatment option for the stabilization of long bones. It. Meaning Plate Osteosynthesis.
From shop.thieme.de
Minimally Invasive Plate Osteosynthesis 9783132454262 Thieme Meaning Plate Osteosynthesis The surgeon exposes the broken bone and screws a. We attempted to find an answer to the following questions, what are the indications for using plate osteosynthesis in fractures of the. Plate osteosynthesis is one treatment option for the stabilization of long bones. The advantages of minimally invasive plate osteosynthesis of the femoral shaft are lessening of the extent of. Meaning Plate Osteosynthesis.
From www.intechopen.com
Minimally Invasive Plate Osteosynthesis (MIPO) in Long Bone Fractures Meaning Plate Osteosynthesis It is widely accepted to achieve bone healing with a dynamic. The advantages of minimally invasive plate osteosynthesis of the femoral shaft are lessening of the extent of muscle detachment and reduced compromise of bone vascularity. It is widely accepted to achieve bone healing with a dynamic and biological fixation where the. The surgeon exposes the broken bone and screws. Meaning Plate Osteosynthesis.
From www.semanticscholar.org
[PDF] Minimally invasive plate osteosynthesis using a helical plate for Meaning Plate Osteosynthesis It is widely accepted to achieve bone healing with a dynamic. Plate osteosynthesis is one treatment option for the stabilization of long bones. It is widely accepted to achieve bone healing with a dynamic and biological fixation where the. Plate osteosynthesis is one treatment option for the stabilization of long bones. We attempted to find an answer to the following. Meaning Plate Osteosynthesis.
From www.researchgate.net
Revision double plate osteosynthesis and autologous bone grafting in Meaning Plate Osteosynthesis Plate osteosynthesis is one treatment option for the stabilization of long bones. Plate osteosynthesis is a procedure in which the broken parts of the bone are fixed with a plate. We attempted to find an answer to the following questions, what are the indications for using plate osteosynthesis in fractures of the. It is widely accepted to achieve bone healing. Meaning Plate Osteosynthesis.