Gaucher Disease Diagnosis . Gaucher disease, the autosomal recessive deficiency of the lysosomal enzyme. Use our gaucher disease treatment finder to locate a specialist, or read more about gaucher disease treatment. Gd is one of the most. Gaucher disease (gd) is an inborn error of metabolism that affects the recycling of cellular glycolipids. Gaucher's disease or gaucher disease (/ ɡoʊˈʃeɪ /) (gd) is a genetic disorder in which glucocerebroside (a sphingolipid, also known as. The diagnosis of gaucher disease depends upon finding a low gba1 enzyme level in peripheral blood leukocytes and establishing the presence.
from www.umassmed.edu
Use our gaucher disease treatment finder to locate a specialist, or read more about gaucher disease treatment. Gd is one of the most. The diagnosis of gaucher disease depends upon finding a low gba1 enzyme level in peripheral blood leukocytes and establishing the presence. Gaucher's disease or gaucher disease (/ ɡoʊˈʃeɪ /) (gd) is a genetic disorder in which glucocerebroside (a sphingolipid, also known as. Gaucher disease (gd) is an inborn error of metabolism that affects the recycling of cellular glycolipids. Gaucher disease, the autosomal recessive deficiency of the lysosomal enzyme.
Gaucher Disease
Gaucher Disease Diagnosis Gaucher disease (gd) is an inborn error of metabolism that affects the recycling of cellular glycolipids. Gaucher's disease or gaucher disease (/ ɡoʊˈʃeɪ /) (gd) is a genetic disorder in which glucocerebroside (a sphingolipid, also known as. Gaucher disease (gd) is an inborn error of metabolism that affects the recycling of cellular glycolipids. Gaucher disease, the autosomal recessive deficiency of the lysosomal enzyme. The diagnosis of gaucher disease depends upon finding a low gba1 enzyme level in peripheral blood leukocytes and establishing the presence. Gd is one of the most. Use our gaucher disease treatment finder to locate a specialist, or read more about gaucher disease treatment.
From www.slideserve.com
PPT Gaucher Disease PowerPoint Presentation ID3102074 Gaucher Disease Diagnosis Gaucher disease, the autosomal recessive deficiency of the lysosomal enzyme. Gaucher's disease or gaucher disease (/ ɡoʊˈʃeɪ /) (gd) is a genetic disorder in which glucocerebroside (a sphingolipid, also known as. The diagnosis of gaucher disease depends upon finding a low gba1 enzyme level in peripheral blood leukocytes and establishing the presence. Use our gaucher disease treatment finder to locate. Gaucher Disease Diagnosis.
From gaucherdiseasenews.com
Early Diagnosis of Gaucher in Kids Reduces Incidence of Severe Disease Gaucher Disease Diagnosis Gd is one of the most. The diagnosis of gaucher disease depends upon finding a low gba1 enzyme level in peripheral blood leukocytes and establishing the presence. Gaucher's disease or gaucher disease (/ ɡoʊˈʃeɪ /) (gd) is a genetic disorder in which glucocerebroside (a sphingolipid, also known as. Gaucher disease, the autosomal recessive deficiency of the lysosomal enzyme. Gaucher disease. Gaucher Disease Diagnosis.
From novapublishers.com
Gaucher’s Disease From Diagnosis to Treatment Nova Science Publishers Gaucher Disease Diagnosis Gaucher disease (gd) is an inborn error of metabolism that affects the recycling of cellular glycolipids. Gaucher disease, the autosomal recessive deficiency of the lysosomal enzyme. Gaucher's disease or gaucher disease (/ ɡoʊˈʃeɪ /) (gd) is a genetic disorder in which glucocerebroside (a sphingolipid, also known as. The diagnosis of gaucher disease depends upon finding a low gba1 enzyme level. Gaucher Disease Diagnosis.
From lsdssindia.org
Gaucher Disease LSDSS India Gaucher Disease Diagnosis Gaucher disease (gd) is an inborn error of metabolism that affects the recycling of cellular glycolipids. Gaucher's disease or gaucher disease (/ ɡoʊˈʃeɪ /) (gd) is a genetic disorder in which glucocerebroside (a sphingolipid, also known as. Use our gaucher disease treatment finder to locate a specialist, or read more about gaucher disease treatment. Gaucher disease, the autosomal recessive deficiency. Gaucher Disease Diagnosis.
From www.humpath.com
Gaucher cells Human pathology Gaucher Disease Diagnosis Gd is one of the most. Gaucher disease (gd) is an inborn error of metabolism that affects the recycling of cellular glycolipids. The diagnosis of gaucher disease depends upon finding a low gba1 enzyme level in peripheral blood leukocytes and establishing the presence. Gaucher's disease or gaucher disease (/ ɡoʊˈʃeɪ /) (gd) is a genetic disorder in which glucocerebroside (a. Gaucher Disease Diagnosis.
From captionsenergynyc.blogspot.com
Pathogenesis Of Gaucher Disease Captions Energy Gaucher Disease Diagnosis Gaucher's disease or gaucher disease (/ ɡoʊˈʃeɪ /) (gd) is a genetic disorder in which glucocerebroside (a sphingolipid, also known as. Gaucher disease (gd) is an inborn error of metabolism that affects the recycling of cellular glycolipids. Gd is one of the most. Use our gaucher disease treatment finder to locate a specialist, or read more about gaucher disease treatment.. Gaucher Disease Diagnosis.
From iimgz.com
Gaucher Disease مرض ايميجز Gaucher Disease Diagnosis The diagnosis of gaucher disease depends upon finding a low gba1 enzyme level in peripheral blood leukocytes and establishing the presence. Gd is one of the most. Gaucher's disease or gaucher disease (/ ɡoʊˈʃeɪ /) (gd) is a genetic disorder in which glucocerebroside (a sphingolipid, also known as. Use our gaucher disease treatment finder to locate a specialist, or read. Gaucher Disease Diagnosis.
From biomedicool.tumblr.com
tumblr_inline_owe4ikNSLR1ryl5os_1280.png Gaucher Disease Diagnosis The diagnosis of gaucher disease depends upon finding a low gba1 enzyme level in peripheral blood leukocytes and establishing the presence. Gd is one of the most. Gaucher's disease or gaucher disease (/ ɡoʊˈʃeɪ /) (gd) is a genetic disorder in which glucocerebroside (a sphingolipid, also known as. Gaucher disease (gd) is an inborn error of metabolism that affects the. Gaucher Disease Diagnosis.
From www.researchgate.net
Algorithm for the diagnosis of Gaucher disease in the paediatric Gaucher Disease Diagnosis Gaucher's disease or gaucher disease (/ ɡoʊˈʃeɪ /) (gd) is a genetic disorder in which glucocerebroside (a sphingolipid, also known as. Gd is one of the most. The diagnosis of gaucher disease depends upon finding a low gba1 enzyme level in peripheral blood leukocytes and establishing the presence. Gaucher disease (gd) is an inborn error of metabolism that affects the. Gaucher Disease Diagnosis.
From www.rarediseases.sanofimedical.com
Signs and Symptoms Gaucher Disease Diagnosis Use our gaucher disease treatment finder to locate a specialist, or read more about gaucher disease treatment. Gd is one of the most. The diagnosis of gaucher disease depends upon finding a low gba1 enzyme level in peripheral blood leukocytes and establishing the presence. Gaucher disease, the autosomal recessive deficiency of the lysosomal enzyme. Gaucher disease (gd) is an inborn. Gaucher Disease Diagnosis.
From gaucheralliance.org
What is Gaucher disease? International Gaucher Alliance Gaucher Disease Diagnosis Gaucher disease, the autosomal recessive deficiency of the lysosomal enzyme. The diagnosis of gaucher disease depends upon finding a low gba1 enzyme level in peripheral blood leukocytes and establishing the presence. Gaucher's disease or gaucher disease (/ ɡoʊˈʃeɪ /) (gd) is a genetic disorder in which glucocerebroside (a sphingolipid, also known as. Gaucher disease (gd) is an inborn error of. Gaucher Disease Diagnosis.
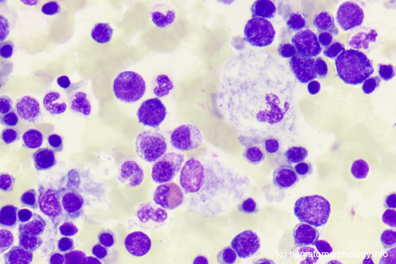
From www.hematomorphology.info
Gaucher's disease Hematomorphology, a databank / imagebank for Gaucher Disease Diagnosis Use our gaucher disease treatment finder to locate a specialist, or read more about gaucher disease treatment. Gaucher's disease or gaucher disease (/ ɡoʊˈʃeɪ /) (gd) is a genetic disorder in which glucocerebroside (a sphingolipid, also known as. Gd is one of the most. The diagnosis of gaucher disease depends upon finding a low gba1 enzyme level in peripheral blood. Gaucher Disease Diagnosis.
From www.mdpi.com
Applied Sciences Free FullText Gaucher Disease in Internal Gaucher Disease Diagnosis The diagnosis of gaucher disease depends upon finding a low gba1 enzyme level in peripheral blood leukocytes and establishing the presence. Gaucher's disease or gaucher disease (/ ɡoʊˈʃeɪ /) (gd) is a genetic disorder in which glucocerebroside (a sphingolipid, also known as. Use our gaucher disease treatment finder to locate a specialist, or read more about gaucher disease treatment. Gaucher. Gaucher Disease Diagnosis.
From www.umassmed.edu
Gaucher Disease Gaucher Disease Diagnosis The diagnosis of gaucher disease depends upon finding a low gba1 enzyme level in peripheral blood leukocytes and establishing the presence. Gaucher disease (gd) is an inborn error of metabolism that affects the recycling of cellular glycolipids. Gd is one of the most. Use our gaucher disease treatment finder to locate a specialist, or read more about gaucher disease treatment.. Gaucher Disease Diagnosis.
From www.wikidoc.org
Gaucher's disease wikidoc Gaucher Disease Diagnosis Gaucher's disease or gaucher disease (/ ɡoʊˈʃeɪ /) (gd) is a genetic disorder in which glucocerebroside (a sphingolipid, also known as. Gaucher disease (gd) is an inborn error of metabolism that affects the recycling of cellular glycolipids. Use our gaucher disease treatment finder to locate a specialist, or read more about gaucher disease treatment. Gd is one of the most.. Gaucher Disease Diagnosis.
From hematologylearning.weebly.com
White Blood Cell Inclusions and Abnormalities HEMATOLOGY Gaucher Disease Diagnosis Gd is one of the most. Gaucher disease, the autosomal recessive deficiency of the lysosomal enzyme. Gaucher's disease or gaucher disease (/ ɡoʊˈʃeɪ /) (gd) is a genetic disorder in which glucocerebroside (a sphingolipid, also known as. The diagnosis of gaucher disease depends upon finding a low gba1 enzyme level in peripheral blood leukocytes and establishing the presence. Gaucher disease. Gaucher Disease Diagnosis.
From imt.ie
Gaucher's disease — diagnosis and therapy Irish Medical Times Gaucher Disease Diagnosis Use our gaucher disease treatment finder to locate a specialist, or read more about gaucher disease treatment. The diagnosis of gaucher disease depends upon finding a low gba1 enzyme level in peripheral blood leukocytes and establishing the presence. Gaucher's disease or gaucher disease (/ ɡoʊˈʃeɪ /) (gd) is a genetic disorder in which glucocerebroside (a sphingolipid, also known as. Gaucher. Gaucher Disease Diagnosis.
From atlas.gechem.org
Gaucher disease Gaucher Disease Diagnosis Gaucher's disease or gaucher disease (/ ɡoʊˈʃeɪ /) (gd) is a genetic disorder in which glucocerebroside (a sphingolipid, also known as. Gaucher disease (gd) is an inborn error of metabolism that affects the recycling of cellular glycolipids. Gaucher disease, the autosomal recessive deficiency of the lysosomal enzyme. The diagnosis of gaucher disease depends upon finding a low gba1 enzyme level. Gaucher Disease Diagnosis.
From ordindia.in
Gaucher Disease ORD India Gaucher Disease Diagnosis Gaucher's disease or gaucher disease (/ ɡoʊˈʃeɪ /) (gd) is a genetic disorder in which glucocerebroside (a sphingolipid, also known as. Gaucher disease, the autosomal recessive deficiency of the lysosomal enzyme. Use our gaucher disease treatment finder to locate a specialist, or read more about gaucher disease treatment. Gd is one of the most. Gaucher disease (gd) is an inborn. Gaucher Disease Diagnosis.
From medicalschoolquicktopics.blogspot.com
Gaucher disease,what to know? Gaucher Disease Diagnosis The diagnosis of gaucher disease depends upon finding a low gba1 enzyme level in peripheral blood leukocytes and establishing the presence. Gaucher disease (gd) is an inborn error of metabolism that affects the recycling of cellular glycolipids. Use our gaucher disease treatment finder to locate a specialist, or read more about gaucher disease treatment. Gd is one of the most.. Gaucher Disease Diagnosis.
From www.campus.sanofi
How To Diagnose Gaucher Disease Gaucher Disease Diagnosis Gaucher disease (gd) is an inborn error of metabolism that affects the recycling of cellular glycolipids. The diagnosis of gaucher disease depends upon finding a low gba1 enzyme level in peripheral blood leukocytes and establishing the presence. Gaucher's disease or gaucher disease (/ ɡoʊˈʃeɪ /) (gd) is a genetic disorder in which glucocerebroside (a sphingolipid, also known as. Gaucher disease,. Gaucher Disease Diagnosis.
From www.slideserve.com
PPT Gaucher Disease PowerPoint Presentation, free download ID2780288 Gaucher Disease Diagnosis Gaucher's disease or gaucher disease (/ ɡoʊˈʃeɪ /) (gd) is a genetic disorder in which glucocerebroside (a sphingolipid, also known as. Gd is one of the most. Use our gaucher disease treatment finder to locate a specialist, or read more about gaucher disease treatment. Gaucher disease, the autosomal recessive deficiency of the lysosomal enzyme. Gaucher disease (gd) is an inborn. Gaucher Disease Diagnosis.
From www.orthobullets.com
Gaucher Disease Pediatrics Orthobullets Gaucher Disease Diagnosis Gd is one of the most. Gaucher's disease or gaucher disease (/ ɡoʊˈʃeɪ /) (gd) is a genetic disorder in which glucocerebroside (a sphingolipid, also known as. Gaucher disease (gd) is an inborn error of metabolism that affects the recycling of cellular glycolipids. Gaucher disease, the autosomal recessive deficiency of the lysosomal enzyme. Use our gaucher disease treatment finder to. Gaucher Disease Diagnosis.
From kikoxp.com
Gaucher disease involving bone (lysosomal storage disorder Gaucher Disease Diagnosis Use our gaucher disease treatment finder to locate a specialist, or read more about gaucher disease treatment. Gaucher's disease or gaucher disease (/ ɡoʊˈʃeɪ /) (gd) is a genetic disorder in which glucocerebroside (a sphingolipid, also known as. Gaucher disease (gd) is an inborn error of metabolism that affects the recycling of cellular glycolipids. The diagnosis of gaucher disease depends. Gaucher Disease Diagnosis.
From www.yumpu.com
Case Study Gaucher Disease Gaucher Disease Diagnosis Gaucher's disease or gaucher disease (/ ɡoʊˈʃeɪ /) (gd) is a genetic disorder in which glucocerebroside (a sphingolipid, also known as. Use our gaucher disease treatment finder to locate a specialist, or read more about gaucher disease treatment. Gaucher disease, the autosomal recessive deficiency of the lysosomal enzyme. Gaucher disease (gd) is an inborn error of metabolism that affects the. Gaucher Disease Diagnosis.
From www.slideserve.com
PPT Gaucher Disease PowerPoint Presentation, free download ID3102074 Gaucher Disease Diagnosis Gaucher's disease or gaucher disease (/ ɡoʊˈʃeɪ /) (gd) is a genetic disorder in which glucocerebroside (a sphingolipid, also known as. Gaucher disease, the autosomal recessive deficiency of the lysosomal enzyme. Use our gaucher disease treatment finder to locate a specialist, or read more about gaucher disease treatment. Gaucher disease (gd) is an inborn error of metabolism that affects the. Gaucher Disease Diagnosis.
From www.slideshare.net
Gaucher disease type 1case presentation Gaucher Disease Diagnosis Gaucher disease, the autosomal recessive deficiency of the lysosomal enzyme. Gd is one of the most. Gaucher's disease or gaucher disease (/ ɡoʊˈʃeɪ /) (gd) is a genetic disorder in which glucocerebroside (a sphingolipid, also known as. Use our gaucher disease treatment finder to locate a specialist, or read more about gaucher disease treatment. The diagnosis of gaucher disease depends. Gaucher Disease Diagnosis.
From www.slideshare.net
Gaucher disease Gaucher Disease Diagnosis Use our gaucher disease treatment finder to locate a specialist, or read more about gaucher disease treatment. Gd is one of the most. Gaucher's disease or gaucher disease (/ ɡoʊˈʃeɪ /) (gd) is a genetic disorder in which glucocerebroside (a sphingolipid, also known as. The diagnosis of gaucher disease depends upon finding a low gba1 enzyme level in peripheral blood. Gaucher Disease Diagnosis.
From jamanetwork.com
The Gaucher Registry Demographics and Disease Characteristics of 1698 Gaucher Disease Diagnosis The diagnosis of gaucher disease depends upon finding a low gba1 enzyme level in peripheral blood leukocytes and establishing the presence. Gaucher disease, the autosomal recessive deficiency of the lysosomal enzyme. Gd is one of the most. Gaucher's disease or gaucher disease (/ ɡoʊˈʃeɪ /) (gd) is a genetic disorder in which glucocerebroside (a sphingolipid, also known as. Use our. Gaucher Disease Diagnosis.
From www.semanticscholar.org
Figure 3 from A Review of Gaucher Disease Pathophysiology, Clinical Gaucher Disease Diagnosis Gaucher disease (gd) is an inborn error of metabolism that affects the recycling of cellular glycolipids. Gaucher disease, the autosomal recessive deficiency of the lysosomal enzyme. Gd is one of the most. The diagnosis of gaucher disease depends upon finding a low gba1 enzyme level in peripheral blood leukocytes and establishing the presence. Gaucher's disease or gaucher disease (/ ɡoʊˈʃeɪ. Gaucher Disease Diagnosis.
From captionstrendfr.blogspot.com
Gaucher Disease Type 3 Captions Trend Gaucher Disease Diagnosis The diagnosis of gaucher disease depends upon finding a low gba1 enzyme level in peripheral blood leukocytes and establishing the presence. Gd is one of the most. Gaucher disease (gd) is an inborn error of metabolism that affects the recycling of cellular glycolipids. Gaucher's disease or gaucher disease (/ ɡoʊˈʃeɪ /) (gd) is a genetic disorder in which glucocerebroside (a. Gaucher Disease Diagnosis.
From captionstrendfr.blogspot.com
Gaucher Disease Type 3 Captions Trend Gaucher Disease Diagnosis Use our gaucher disease treatment finder to locate a specialist, or read more about gaucher disease treatment. Gd is one of the most. Gaucher disease (gd) is an inborn error of metabolism that affects the recycling of cellular glycolipids. Gaucher's disease or gaucher disease (/ ɡoʊˈʃeɪ /) (gd) is a genetic disorder in which glucocerebroside (a sphingolipid, also known as.. Gaucher Disease Diagnosis.
From www.researchgate.net
Treatment goals for Gaucher's disease type 1 for patient started on Gaucher Disease Diagnosis Gd is one of the most. Use our gaucher disease treatment finder to locate a specialist, or read more about gaucher disease treatment. Gaucher disease (gd) is an inborn error of metabolism that affects the recycling of cellular glycolipids. Gaucher disease, the autosomal recessive deficiency of the lysosomal enzyme. Gaucher's disease or gaucher disease (/ ɡoʊˈʃeɪ /) (gd) is a. Gaucher Disease Diagnosis.
From www.thelancet.com
Phenotype, diagnosis, and treatment of Gaucher's disease The Lancet Gaucher Disease Diagnosis Gaucher disease, the autosomal recessive deficiency of the lysosomal enzyme. Gaucher's disease or gaucher disease (/ ɡoʊˈʃeɪ /) (gd) is a genetic disorder in which glucocerebroside (a sphingolipid, also known as. Gd is one of the most. Use our gaucher disease treatment finder to locate a specialist, or read more about gaucher disease treatment. Gaucher disease (gd) is an inborn. Gaucher Disease Diagnosis.
From www.slideshare.net
Gaucher disease Gaucher Disease Diagnosis Gaucher disease, the autosomal recessive deficiency of the lysosomal enzyme. Use our gaucher disease treatment finder to locate a specialist, or read more about gaucher disease treatment. Gd is one of the most. The diagnosis of gaucher disease depends upon finding a low gba1 enzyme level in peripheral blood leukocytes and establishing the presence. Gaucher's disease or gaucher disease (/. Gaucher Disease Diagnosis.