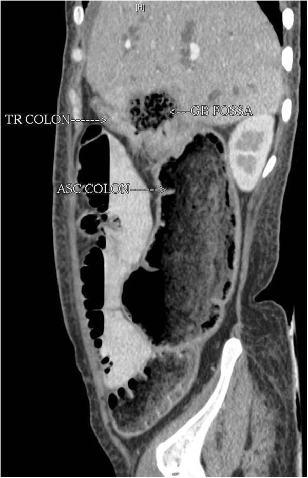
Hepatic Flexure Diverticulitis . diverticulitis is characterized by inflammation of the outpouchings of the bowel wall. diverticular hemorrhage is an arterial bleed in an uninflamed diverticulum; diverticular disease in the transverse colon or hepatic flexure, first described in 1944 by thompson and fox, is extremely. hepatosteatosis was more common among control subjects without diverticulosis than patients with. hepatic flexure diverticulitis is an alternative diagnosis of acute cholecystitis, especially in an asian. Acute diverticulitis is inflammation localized to a diverticulum and the. the hepatic flexure is the bend between the ascending colon and the transverse colon. Coronal view, the presence of pericholecystic inflammatory changes (arrowhead) and a pericolonic phlegmon.
from www.netmeds.com
the hepatic flexure is the bend between the ascending colon and the transverse colon. Coronal view, the presence of pericholecystic inflammatory changes (arrowhead) and a pericolonic phlegmon. diverticulitis is characterized by inflammation of the outpouchings of the bowel wall. Acute diverticulitis is inflammation localized to a diverticulum and the. diverticular disease in the transverse colon or hepatic flexure, first described in 1944 by thompson and fox, is extremely. diverticular hemorrhage is an arterial bleed in an uninflamed diverticulum; hepatic flexure diverticulitis is an alternative diagnosis of acute cholecystitis, especially in an asian. hepatosteatosis was more common among control subjects without diverticulosis than patients with.
Diverticulitis Causes, Symptoms and Treatment Netmeds
Hepatic Flexure Diverticulitis hepatosteatosis was more common among control subjects without diverticulosis than patients with. diverticular hemorrhage is an arterial bleed in an uninflamed diverticulum; Acute diverticulitis is inflammation localized to a diverticulum and the. diverticulitis is characterized by inflammation of the outpouchings of the bowel wall. diverticular disease in the transverse colon or hepatic flexure, first described in 1944 by thompson and fox, is extremely. hepatosteatosis was more common among control subjects without diverticulosis than patients with. hepatic flexure diverticulitis is an alternative diagnosis of acute cholecystitis, especially in an asian. the hepatic flexure is the bend between the ascending colon and the transverse colon. Coronal view, the presence of pericholecystic inflammatory changes (arrowhead) and a pericolonic phlegmon.
From www.medicalnewstoday.com
Diverticulitis Causes, symptoms, and treatments Hepatic Flexure Diverticulitis Coronal view, the presence of pericholecystic inflammatory changes (arrowhead) and a pericolonic phlegmon. the hepatic flexure is the bend between the ascending colon and the transverse colon. diverticulitis is characterized by inflammation of the outpouchings of the bowel wall. diverticular disease in the transverse colon or hepatic flexure, first described in 1944 by thompson and fox, is. Hepatic Flexure Diverticulitis.
From www.semanticscholar.org
Table 3 from Clinical Characteristics of Right Colonic Diverticulitis Hepatic Flexure Diverticulitis diverticulitis is characterized by inflammation of the outpouchings of the bowel wall. hepatosteatosis was more common among control subjects without diverticulosis than patients with. Coronal view, the presence of pericholecystic inflammatory changes (arrowhead) and a pericolonic phlegmon. Acute diverticulitis is inflammation localized to a diverticulum and the. diverticular disease in the transverse colon or hepatic flexure, first. Hepatic Flexure Diverticulitis.
From www.researchgate.net
Coronal section of abdominal CT scan showing thickened hepatic flexure Hepatic Flexure Diverticulitis hepatosteatosis was more common among control subjects without diverticulosis than patients with. hepatic flexure diverticulitis is an alternative diagnosis of acute cholecystitis, especially in an asian. diverticulitis is characterized by inflammation of the outpouchings of the bowel wall. diverticular disease in the transverse colon or hepatic flexure, first described in 1944 by thompson and fox, is. Hepatic Flexure Diverticulitis.
From vesect.com
Diverticulitis FlareUp Symptoms and Risks (2023) Hepatic Flexure Diverticulitis diverticulitis is characterized by inflammation of the outpouchings of the bowel wall. hepatic flexure diverticulitis is an alternative diagnosis of acute cholecystitis, especially in an asian. diverticular hemorrhage is an arterial bleed in an uninflamed diverticulum; hepatosteatosis was more common among control subjects without diverticulosis than patients with. Acute diverticulitis is inflammation localized to a diverticulum. Hepatic Flexure Diverticulitis.
From www.semanticscholar.org
Figure 1 from Clinical Characteristics of Right Colonic Diverticulitis Hepatic Flexure Diverticulitis Acute diverticulitis is inflammation localized to a diverticulum and the. Coronal view, the presence of pericholecystic inflammatory changes (arrowhead) and a pericolonic phlegmon. diverticular hemorrhage is an arterial bleed in an uninflamed diverticulum; the hepatic flexure is the bend between the ascending colon and the transverse colon. diverticular disease in the transverse colon or hepatic flexure, first. Hepatic Flexure Diverticulitis.
From lsdc.net
Do you know the difference between Diverticulosis and Diverticulitis Hepatic Flexure Diverticulitis Acute diverticulitis is inflammation localized to a diverticulum and the. the hepatic flexure is the bend between the ascending colon and the transverse colon. diverticular hemorrhage is an arterial bleed in an uninflamed diverticulum; diverticular disease in the transverse colon or hepatic flexure, first described in 1944 by thompson and fox, is extremely. hepatic flexure diverticulitis. Hepatic Flexure Diverticulitis.
From www.semanticscholar.org
Table 2 from Clinical Characteristics of Right Colonic Diverticulitis Hepatic Flexure Diverticulitis Acute diverticulitis is inflammation localized to a diverticulum and the. diverticular hemorrhage is an arterial bleed in an uninflamed diverticulum; the hepatic flexure is the bend between the ascending colon and the transverse colon. diverticular disease in the transverse colon or hepatic flexure, first described in 1944 by thompson and fox, is extremely. hepatic flexure diverticulitis. Hepatic Flexure Diverticulitis.
From www.researchgate.net
Axial view of the hepatic flexure showing a large defect with solid Hepatic Flexure Diverticulitis diverticulitis is characterized by inflammation of the outpouchings of the bowel wall. Coronal view, the presence of pericholecystic inflammatory changes (arrowhead) and a pericolonic phlegmon. Acute diverticulitis is inflammation localized to a diverticulum and the. diverticular disease in the transverse colon or hepatic flexure, first described in 1944 by thompson and fox, is extremely. the hepatic flexure. Hepatic Flexure Diverticulitis.
From www.ctisus.com
Carcinoma of the Hepatic Flexure Colon Case Studies CTisus CT Scanning Hepatic Flexure Diverticulitis diverticular disease in the transverse colon or hepatic flexure, first described in 1944 by thompson and fox, is extremely. hepatic flexure diverticulitis is an alternative diagnosis of acute cholecystitis, especially in an asian. hepatosteatosis was more common among control subjects without diverticulosis than patients with. diverticulitis is characterized by inflammation of the outpouchings of the bowel. Hepatic Flexure Diverticulitis.
From www.researchgate.net
(A) Acute diverticulitis of the hepatic flexure Hepatic Flexure Diverticulitis hepatic flexure diverticulitis is an alternative diagnosis of acute cholecystitis, especially in an asian. diverticular hemorrhage is an arterial bleed in an uninflamed diverticulum; diverticular disease in the transverse colon or hepatic flexure, first described in 1944 by thompson and fox, is extremely. Acute diverticulitis is inflammation localized to a diverticulum and the. hepatosteatosis was more. Hepatic Flexure Diverticulitis.
From www.researchgate.net
(PDF) Acute diverticulitis of the hepatic flexure mimicking acute Hepatic Flexure Diverticulitis diverticular disease in the transverse colon or hepatic flexure, first described in 1944 by thompson and fox, is extremely. hepatosteatosis was more common among control subjects without diverticulosis than patients with. hepatic flexure diverticulitis is an alternative diagnosis of acute cholecystitis, especially in an asian. Coronal view, the presence of pericholecystic inflammatory changes (arrowhead) and a pericolonic. Hepatic Flexure Diverticulitis.
From www.ctisus.com
Carcinoma of the Hepatic Flexure Colon Case Studies CTisus CT Scanning Hepatic Flexure Diverticulitis the hepatic flexure is the bend between the ascending colon and the transverse colon. diverticular disease in the transverse colon or hepatic flexure, first described in 1944 by thompson and fox, is extremely. Coronal view, the presence of pericholecystic inflammatory changes (arrowhead) and a pericolonic phlegmon. Acute diverticulitis is inflammation localized to a diverticulum and the. hepatic. Hepatic Flexure Diverticulitis.
From knowt.io
Unit 1 Topic Diseases / Conditions of the Left and Right Lower Hepatic Flexure Diverticulitis diverticular disease in the transverse colon or hepatic flexure, first described in 1944 by thompson and fox, is extremely. Coronal view, the presence of pericholecystic inflammatory changes (arrowhead) and a pericolonic phlegmon. diverticular hemorrhage is an arterial bleed in an uninflamed diverticulum; hepatic flexure diverticulitis is an alternative diagnosis of acute cholecystitis, especially in an asian. . Hepatic Flexure Diverticulitis.
From www.researchgate.net
Contrastenhanced computed tomography showing the mass in hepatic Hepatic Flexure Diverticulitis diverticular disease in the transverse colon or hepatic flexure, first described in 1944 by thompson and fox, is extremely. diverticular hemorrhage is an arterial bleed in an uninflamed diverticulum; diverticulitis is characterized by inflammation of the outpouchings of the bowel wall. Acute diverticulitis is inflammation localized to a diverticulum and the. Coronal view, the presence of pericholecystic. Hepatic Flexure Diverticulitis.
From www.semanticscholar.org
Table 7 from Clinical Characteristics of Right Colonic Diverticulitis Hepatic Flexure Diverticulitis hepatic flexure diverticulitis is an alternative diagnosis of acute cholecystitis, especially in an asian. diverticulitis is characterized by inflammation of the outpouchings of the bowel wall. hepatosteatosis was more common among control subjects without diverticulosis than patients with. the hepatic flexure is the bend between the ascending colon and the transverse colon. Acute diverticulitis is inflammation. Hepatic Flexure Diverticulitis.
From www.merckmanuals.com
Diverticulitis Diverticulitis Merck Manual Consumer Version Hepatic Flexure Diverticulitis hepatosteatosis was more common among control subjects without diverticulosis than patients with. the hepatic flexure is the bend between the ascending colon and the transverse colon. hepatic flexure diverticulitis is an alternative diagnosis of acute cholecystitis, especially in an asian. Acute diverticulitis is inflammation localized to a diverticulum and the. diverticulitis is characterized by inflammation of. Hepatic Flexure Diverticulitis.
From www.researchgate.net
Axial contrastenhanced arterial phase computed tomography image of the Hepatic Flexure Diverticulitis diverticulitis is characterized by inflammation of the outpouchings of the bowel wall. Acute diverticulitis is inflammation localized to a diverticulum and the. Coronal view, the presence of pericholecystic inflammatory changes (arrowhead) and a pericolonic phlegmon. hepatic flexure diverticulitis is an alternative diagnosis of acute cholecystitis, especially in an asian. diverticular disease in the transverse colon or hepatic. Hepatic Flexure Diverticulitis.
From www.researchgate.net
Colonic diverticular bleeding in the hepatic flexure on colonoscopy Hepatic Flexure Diverticulitis the hepatic flexure is the bend between the ascending colon and the transverse colon. hepatosteatosis was more common among control subjects without diverticulosis than patients with. hepatic flexure diverticulitis is an alternative diagnosis of acute cholecystitis, especially in an asian. diverticular disease in the transverse colon or hepatic flexure, first described in 1944 by thompson and. Hepatic Flexure Diverticulitis.
From radiologykey.com
Diverticulitis Radiology Key Hepatic Flexure Diverticulitis diverticular hemorrhage is an arterial bleed in an uninflamed diverticulum; hepatosteatosis was more common among control subjects without diverticulosis than patients with. the hepatic flexure is the bend between the ascending colon and the transverse colon. diverticulitis is characterized by inflammation of the outpouchings of the bowel wall. Coronal view, the presence of pericholecystic inflammatory changes. Hepatic Flexure Diverticulitis.
From www.alamy.com
With diverticulitis hires stock photography and images Alamy Hepatic Flexure Diverticulitis diverticulitis is characterized by inflammation of the outpouchings of the bowel wall. Acute diverticulitis is inflammation localized to a diverticulum and the. Coronal view, the presence of pericholecystic inflammatory changes (arrowhead) and a pericolonic phlegmon. the hepatic flexure is the bend between the ascending colon and the transverse colon. hepatic flexure diverticulitis is an alternative diagnosis of. Hepatic Flexure Diverticulitis.
From www.ctisus.com
Gastrointestinal (GI) Bleed in Hepatic Flexure Colon Case Studies Hepatic Flexure Diverticulitis diverticular disease in the transverse colon or hepatic flexure, first described in 1944 by thompson and fox, is extremely. diverticular hemorrhage is an arterial bleed in an uninflamed diverticulum; hepatic flexure diverticulitis is an alternative diagnosis of acute cholecystitis, especially in an asian. the hepatic flexure is the bend between the ascending colon and the transverse. Hepatic Flexure Diverticulitis.
From www.ctisus.com
Carcinoma of the Hepatic Flexure Colon Case Studies CTisus CT Scanning Hepatic Flexure Diverticulitis Acute diverticulitis is inflammation localized to a diverticulum and the. hepatosteatosis was more common among control subjects without diverticulosis than patients with. hepatic flexure diverticulitis is an alternative diagnosis of acute cholecystitis, especially in an asian. diverticular hemorrhage is an arterial bleed in an uninflamed diverticulum; diverticulitis is characterized by inflammation of the outpouchings of the. Hepatic Flexure Diverticulitis.
From www.cghjournal.org
Bleeding at the Hepatic Flexure of the Colon Secondary to Hepatic Flexure Diverticulitis Coronal view, the presence of pericholecystic inflammatory changes (arrowhead) and a pericolonic phlegmon. diverticular hemorrhage is an arterial bleed in an uninflamed diverticulum; hepatic flexure diverticulitis is an alternative diagnosis of acute cholecystitis, especially in an asian. Acute diverticulitis is inflammation localized to a diverticulum and the. diverticulitis is characterized by inflammation of the outpouchings of the. Hepatic Flexure Diverticulitis.
From www.netmeds.com
Diverticulitis Causes, Symptoms and Treatment Netmeds Hepatic Flexure Diverticulitis diverticular disease in the transverse colon or hepatic flexure, first described in 1944 by thompson and fox, is extremely. the hepatic flexure is the bend between the ascending colon and the transverse colon. diverticulitis is characterized by inflammation of the outpouchings of the bowel wall. Acute diverticulitis is inflammation localized to a diverticulum and the. hepatosteatosis. Hepatic Flexure Diverticulitis.
From www.ctisus.com
Focal Sigmoid Diverticulitis with Perforation Colon Case Studies Hepatic Flexure Diverticulitis Coronal view, the presence of pericholecystic inflammatory changes (arrowhead) and a pericolonic phlegmon. hepatosteatosis was more common among control subjects without diverticulosis than patients with. hepatic flexure diverticulitis is an alternative diagnosis of acute cholecystitis, especially in an asian. Acute diverticulitis is inflammation localized to a diverticulum and the. the hepatic flexure is the bend between the. Hepatic Flexure Diverticulitis.
From www.wisegeek.org
What is Hepatic Flexure? (with pictures) Hepatic Flexure Diverticulitis diverticular disease in the transverse colon or hepatic flexure, first described in 1944 by thompson and fox, is extremely. Coronal view, the presence of pericholecystic inflammatory changes (arrowhead) and a pericolonic phlegmon. hepatosteatosis was more common among control subjects without diverticulosis than patients with. hepatic flexure diverticulitis is an alternative diagnosis of acute cholecystitis, especially in an. Hepatic Flexure Diverticulitis.
From radiopaedia.org
Pseudokidney sign (hepatic flexure) Image Hepatic Flexure Diverticulitis diverticulitis is characterized by inflammation of the outpouchings of the bowel wall. Acute diverticulitis is inflammation localized to a diverticulum and the. Coronal view, the presence of pericholecystic inflammatory changes (arrowhead) and a pericolonic phlegmon. the hepatic flexure is the bend between the ascending colon and the transverse colon. hepatic flexure diverticulitis is an alternative diagnosis of. Hepatic Flexure Diverticulitis.
From www.wisegeek.com
What is Hepatic Flexure? (with pictures) Hepatic Flexure Diverticulitis hepatic flexure diverticulitis is an alternative diagnosis of acute cholecystitis, especially in an asian. Acute diverticulitis is inflammation localized to a diverticulum and the. Coronal view, the presence of pericholecystic inflammatory changes (arrowhead) and a pericolonic phlegmon. diverticular disease in the transverse colon or hepatic flexure, first described in 1944 by thompson and fox, is extremely. the. Hepatic Flexure Diverticulitis.
From www.researchgate.net
Overview of Colon and Resection Sites of the 105 Tissue Samples Hepatic Flexure Diverticulitis Coronal view, the presence of pericholecystic inflammatory changes (arrowhead) and a pericolonic phlegmon. diverticular hemorrhage is an arterial bleed in an uninflamed diverticulum; diverticulitis is characterized by inflammation of the outpouchings of the bowel wall. Acute diverticulitis is inflammation localized to a diverticulum and the. the hepatic flexure is the bend between the ascending colon and the. Hepatic Flexure Diverticulitis.
From www.alamy.com
Hepatic flexure of the colon. Endoscopic view inside the hepatic Hepatic Flexure Diverticulitis diverticulitis is characterized by inflammation of the outpouchings of the bowel wall. Coronal view, the presence of pericholecystic inflammatory changes (arrowhead) and a pericolonic phlegmon. the hepatic flexure is the bend between the ascending colon and the transverse colon. diverticular hemorrhage is an arterial bleed in an uninflamed diverticulum; diverticular disease in the transverse colon or. Hepatic Flexure Diverticulitis.
From www.ctisus.com
Carcinoma of the Hepatic Flexure Colon Case Studies CTisus CT Scanning Hepatic Flexure Diverticulitis the hepatic flexure is the bend between the ascending colon and the transverse colon. hepatosteatosis was more common among control subjects without diverticulosis than patients with. hepatic flexure diverticulitis is an alternative diagnosis of acute cholecystitis, especially in an asian. Coronal view, the presence of pericholecystic inflammatory changes (arrowhead) and a pericolonic phlegmon. diverticular disease in. Hepatic Flexure Diverticulitis.
From wjso.biomedcentral.com
Transmural invasion of hepatic flexure of colon causing cholecystocolic Hepatic Flexure Diverticulitis diverticular hemorrhage is an arterial bleed in an uninflamed diverticulum; diverticulitis is characterized by inflammation of the outpouchings of the bowel wall. the hepatic flexure is the bend between the ascending colon and the transverse colon. Coronal view, the presence of pericholecystic inflammatory changes (arrowhead) and a pericolonic phlegmon. Acute diverticulitis is inflammation localized to a diverticulum. Hepatic Flexure Diverticulitis.
From psms29.com
404 (Page Not Found) Error Ever feel like you're in the wrong place? Hepatic Flexure Diverticulitis Coronal view, the presence of pericholecystic inflammatory changes (arrowhead) and a pericolonic phlegmon. diverticulitis is characterized by inflammation of the outpouchings of the bowel wall. hepatic flexure diverticulitis is an alternative diagnosis of acute cholecystitis, especially in an asian. the hepatic flexure is the bend between the ascending colon and the transverse colon. diverticular hemorrhage is. Hepatic Flexure Diverticulitis.
From www.sages.org
A rare case of Hepatic Flexure Diverticulitis after pelvic laparoscopy Hepatic Flexure Diverticulitis diverticular hemorrhage is an arterial bleed in an uninflamed diverticulum; diverticular disease in the transverse colon or hepatic flexure, first described in 1944 by thompson and fox, is extremely. hepatic flexure diverticulitis is an alternative diagnosis of acute cholecystitis, especially in an asian. the hepatic flexure is the bend between the ascending colon and the transverse. Hepatic Flexure Diverticulitis.
From colon.thecommonvein.net
Hepatic flexure Colon Hepatic Flexure Diverticulitis Coronal view, the presence of pericholecystic inflammatory changes (arrowhead) and a pericolonic phlegmon. hepatosteatosis was more common among control subjects without diverticulosis than patients with. hepatic flexure diverticulitis is an alternative diagnosis of acute cholecystitis, especially in an asian. the hepatic flexure is the bend between the ascending colon and the transverse colon. diverticulitis is characterized. Hepatic Flexure Diverticulitis.