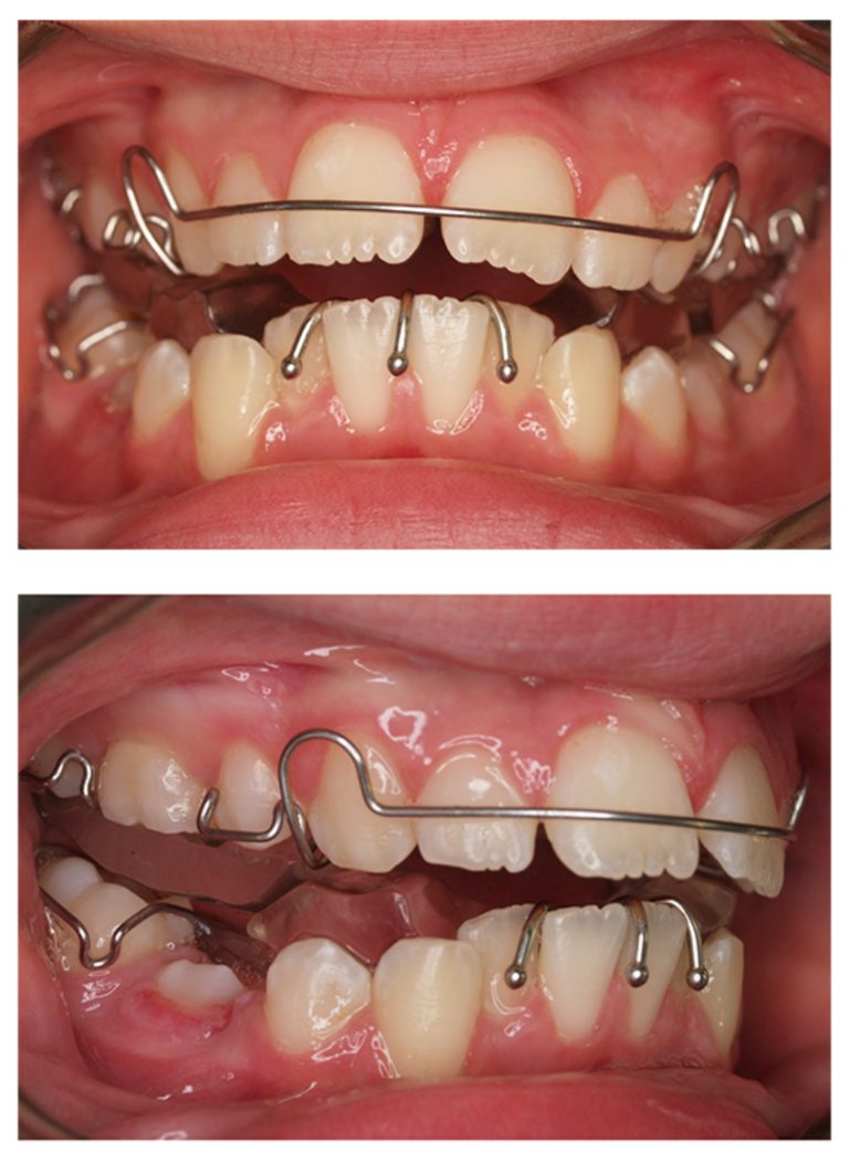
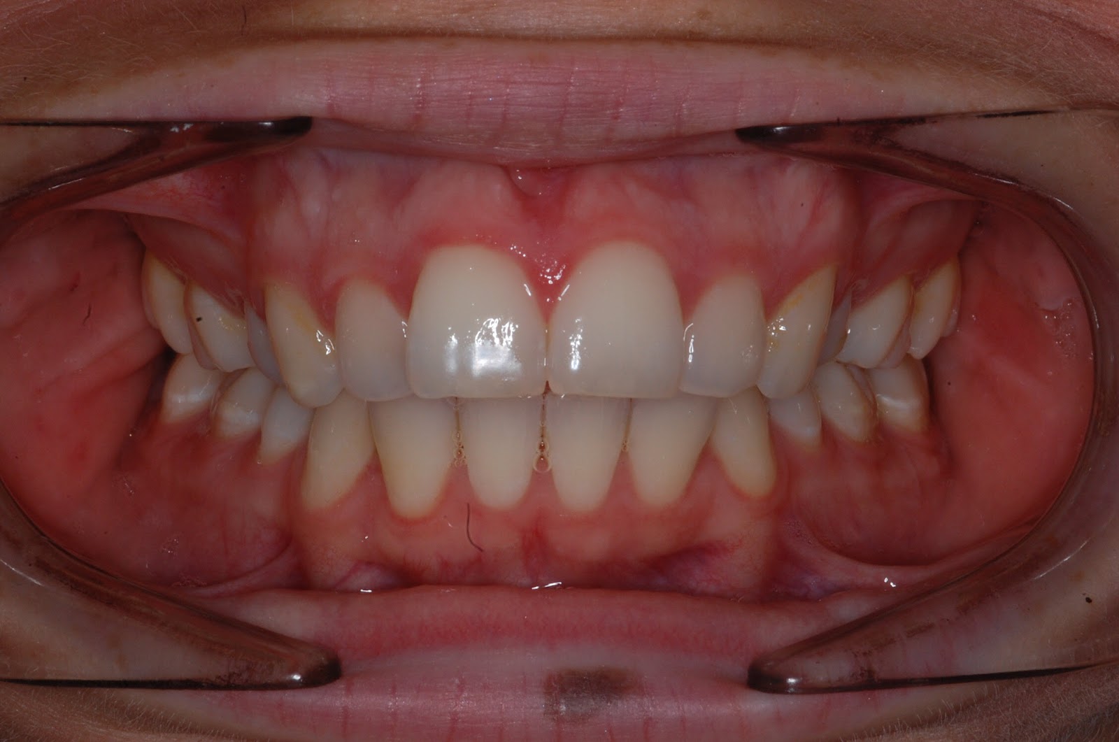
Orthodontic Treatment For Prominent Upper Front Teeth . Orthodontic treatment with functional appliances in adolescents with prominent upper front teeth appears to reduce. The evidence suggests that providing orthodontic early treatment to children with prominent upper front teeth reduces the. Background a class ii division 2. The evidence suggests that providing early orthodontic treatment for children with prominent upper. Evidence of low to moderate quality suggests that providing early orthodontic treatment for children with prominent upper. Orthodontic treatment for deep bite and retroclined upper front teeth in children. Evidence of low to moderate quality suggests that providing early orthodontic treatment for children with prominent upper. Objectives to assess the effects of orthodontic treatment for prominent upper front teeth initiated when children are seven to 11. The evidence suggests that providing early orthodontic treatment for children with prominent upper front teeth is.
from trumanorthodontics.blogspot.com
The evidence suggests that providing early orthodontic treatment for children with prominent upper front teeth is. Objectives to assess the effects of orthodontic treatment for prominent upper front teeth initiated when children are seven to 11. Orthodontic treatment with functional appliances in adolescents with prominent upper front teeth appears to reduce. Evidence of low to moderate quality suggests that providing early orthodontic treatment for children with prominent upper. The evidence suggests that providing orthodontic early treatment to children with prominent upper front teeth reduces the. Evidence of low to moderate quality suggests that providing early orthodontic treatment for children with prominent upper. The evidence suggests that providing early orthodontic treatment for children with prominent upper. Orthodontic treatment for deep bite and retroclined upper front teeth in children. Background a class ii division 2.
Truman Orthodontics Orthognathic Surgery
Orthodontic Treatment For Prominent Upper Front Teeth Evidence of low to moderate quality suggests that providing early orthodontic treatment for children with prominent upper. Evidence of low to moderate quality suggests that providing early orthodontic treatment for children with prominent upper. Evidence of low to moderate quality suggests that providing early orthodontic treatment for children with prominent upper. Objectives to assess the effects of orthodontic treatment for prominent upper front teeth initiated when children are seven to 11. Orthodontic treatment for deep bite and retroclined upper front teeth in children. Background a class ii division 2. Orthodontic treatment with functional appliances in adolescents with prominent upper front teeth appears to reduce. The evidence suggests that providing orthodontic early treatment to children with prominent upper front teeth reduces the. The evidence suggests that providing early orthodontic treatment for children with prominent upper front teeth is. The evidence suggests that providing early orthodontic treatment for children with prominent upper.
From www.pettswoodorthodontics.com
Before and After Orthodontic Treatment For Prominent Upper Front Teeth Evidence of low to moderate quality suggests that providing early orthodontic treatment for children with prominent upper. The evidence suggests that providing early orthodontic treatment for children with prominent upper. Evidence of low to moderate quality suggests that providing early orthodontic treatment for children with prominent upper. Orthodontic treatment for deep bite and retroclined upper front teeth in children. Background. Orthodontic Treatment For Prominent Upper Front Teeth.
From 101dentaldb.com
Front teeth still protruding after braces California Dentistry and Braces Orthodontic Treatment For Prominent Upper Front Teeth The evidence suggests that providing early orthodontic treatment for children with prominent upper front teeth is. Background a class ii division 2. The evidence suggests that providing orthodontic early treatment to children with prominent upper front teeth reduces the. Evidence of low to moderate quality suggests that providing early orthodontic treatment for children with prominent upper. Objectives to assess the. Orthodontic Treatment For Prominent Upper Front Teeth.
From trumanorthodontics.blogspot.com
Truman Orthodontics Orthognathic Surgery Orthodontic Treatment For Prominent Upper Front Teeth The evidence suggests that providing early orthodontic treatment for children with prominent upper front teeth is. The evidence suggests that providing early orthodontic treatment for children with prominent upper. Orthodontic treatment with functional appliances in adolescents with prominent upper front teeth appears to reduce. Evidence of low to moderate quality suggests that providing early orthodontic treatment for children with prominent. Orthodontic Treatment For Prominent Upper Front Teeth.
From claremontdentalpractice.co.uk
Orthodontic Treatment, Twickenham Claremont Dental Practice Orthodontic Treatment For Prominent Upper Front Teeth Orthodontic treatment for deep bite and retroclined upper front teeth in children. Orthodontic treatment with functional appliances in adolescents with prominent upper front teeth appears to reduce. The evidence suggests that providing early orthodontic treatment for children with prominent upper. The evidence suggests that providing orthodontic early treatment to children with prominent upper front teeth reduces the. Evidence of low. Orthodontic Treatment For Prominent Upper Front Teeth.
From www.purelyorthodontics.co.uk
Free NHS Braces, Retainers and NHS Orthodontic Treatments Purely Orthodontic Treatment For Prominent Upper Front Teeth Orthodontic treatment for deep bite and retroclined upper front teeth in children. The evidence suggests that providing early orthodontic treatment for children with prominent upper. Objectives to assess the effects of orthodontic treatment for prominent upper front teeth initiated when children are seven to 11. Background a class ii division 2. The evidence suggests that providing orthodontic early treatment to. Orthodontic Treatment For Prominent Upper Front Teeth.
From www.drbrodskysmile.com
Orthodontic Before and After Photos Brodsky Orthodontics Orthodontic Treatment For Prominent Upper Front Teeth Evidence of low to moderate quality suggests that providing early orthodontic treatment for children with prominent upper. The evidence suggests that providing early orthodontic treatment for children with prominent upper front teeth is. Evidence of low to moderate quality suggests that providing early orthodontic treatment for children with prominent upper. The evidence suggests that providing orthodontic early treatment to children. Orthodontic Treatment For Prominent Upper Front Teeth.
From oceanbreezeprosthodontics.com
CASE 4 TOOTH IMPLANT (front tooth) Ocean Breeze Prosthodontics Orthodontic Treatment For Prominent Upper Front Teeth Evidence of low to moderate quality suggests that providing early orthodontic treatment for children with prominent upper. Orthodontic treatment with functional appliances in adolescents with prominent upper front teeth appears to reduce. Orthodontic treatment for deep bite and retroclined upper front teeth in children. The evidence suggests that providing orthodontic early treatment to children with prominent upper front teeth reduces. Orthodontic Treatment For Prominent Upper Front Teeth.
From www.pettswoodorthodontics.com
Functional braces Orthodontic Treatment For Prominent Upper Front Teeth Evidence of low to moderate quality suggests that providing early orthodontic treatment for children with prominent upper. The evidence suggests that providing early orthodontic treatment for children with prominent upper front teeth is. The evidence suggests that providing early orthodontic treatment for children with prominent upper. Objectives to assess the effects of orthodontic treatment for prominent upper front teeth initiated. Orthodontic Treatment For Prominent Upper Front Teeth.
From www.dreamstime.com
Front View of Dental Braces on Teeth of Upper Jaw Stock Photo Image Orthodontic Treatment For Prominent Upper Front Teeth Evidence of low to moderate quality suggests that providing early orthodontic treatment for children with prominent upper. Orthodontic treatment for deep bite and retroclined upper front teeth in children. Background a class ii division 2. Objectives to assess the effects of orthodontic treatment for prominent upper front teeth initiated when children are seven to 11. The evidence suggests that providing. Orthodontic Treatment For Prominent Upper Front Teeth.
From charlestonorthodonticspecialists.com
Starting with Partial Braces Charleston Orthodontics Powered By Smile Orthodontic Treatment For Prominent Upper Front Teeth Orthodontic treatment for deep bite and retroclined upper front teeth in children. Evidence of low to moderate quality suggests that providing early orthodontic treatment for children with prominent upper. Orthodontic treatment with functional appliances in adolescents with prominent upper front teeth appears to reduce. Objectives to assess the effects of orthodontic treatment for prominent upper front teeth initiated when children. Orthodontic Treatment For Prominent Upper Front Teeth.
From globaldentalcomplex.com
Upper teeth protrusion (Buck tooth) with braces treatment, Bangkok Orthodontic Treatment For Prominent Upper Front Teeth Evidence of low to moderate quality suggests that providing early orthodontic treatment for children with prominent upper. Objectives to assess the effects of orthodontic treatment for prominent upper front teeth initiated when children are seven to 11. The evidence suggests that providing orthodontic early treatment to children with prominent upper front teeth reduces the. Orthodontic treatment for deep bite and. Orthodontic Treatment For Prominent Upper Front Teeth.
From makingyousmile.nyc
BEST Tooth Contouring in NYC Before and After Photos of Tooth Orthodontic Treatment For Prominent Upper Front Teeth The evidence suggests that providing orthodontic early treatment to children with prominent upper front teeth reduces the. The evidence suggests that providing early orthodontic treatment for children with prominent upper. Background a class ii division 2. Evidence of low to moderate quality suggests that providing early orthodontic treatment for children with prominent upper. Orthodontic treatment for deep bite and retroclined. Orthodontic Treatment For Prominent Upper Front Teeth.
From uniquedentalcare.co.in
Orthodontic Treatment Unique Dental Care Rajkot Orthodontic Orthodontic Treatment For Prominent Upper Front Teeth The evidence suggests that providing orthodontic early treatment to children with prominent upper front teeth reduces the. The evidence suggests that providing early orthodontic treatment for children with prominent upper front teeth is. Evidence of low to moderate quality suggests that providing early orthodontic treatment for children with prominent upper. Orthodontic treatment with functional appliances in adolescents with prominent upper. Orthodontic Treatment For Prominent Upper Front Teeth.
From www.researchgate.net
Unilateral space closure. The upper front teeth have been enlarged with Orthodontic Treatment For Prominent Upper Front Teeth The evidence suggests that providing early orthodontic treatment for children with prominent upper. Background a class ii division 2. Orthodontic treatment with functional appliances in adolescents with prominent upper front teeth appears to reduce. Evidence of low to moderate quality suggests that providing early orthodontic treatment for children with prominent upper. Orthodontic treatment for deep bite and retroclined upper front. Orthodontic Treatment For Prominent Upper Front Teeth.
From www.forbesorthodontics.com
Surgery with Orthodontics Forbes Orthodontics Orthodontic Treatment For Prominent Upper Front Teeth Background a class ii division 2. Evidence of low to moderate quality suggests that providing early orthodontic treatment for children with prominent upper. The evidence suggests that providing orthodontic early treatment to children with prominent upper front teeth reduces the. Objectives to assess the effects of orthodontic treatment for prominent upper front teeth initiated when children are seven to 11.. Orthodontic Treatment For Prominent Upper Front Teeth.
From www.fairfieldorthodontist.com
Early Orthodontic Treatment Fairfield, Norwalk, CT Orthodontist Orthodontic Treatment For Prominent Upper Front Teeth Background a class ii division 2. The evidence suggests that providing orthodontic early treatment to children with prominent upper front teeth reduces the. Objectives to assess the effects of orthodontic treatment for prominent upper front teeth initiated when children are seven to 11. The evidence suggests that providing early orthodontic treatment for children with prominent upper. Evidence of low to. Orthodontic Treatment For Prominent Upper Front Teeth.
From www.midwessexortho.co.uk
Before and after orthodontic treatment MidWessex Orthodontics Orthodontic Treatment For Prominent Upper Front Teeth Orthodontic treatment for deep bite and retroclined upper front teeth in children. Evidence of low to moderate quality suggests that providing early orthodontic treatment for children with prominent upper. The evidence suggests that providing orthodontic early treatment to children with prominent upper front teeth reduces the. Orthodontic treatment with functional appliances in adolescents with prominent upper front teeth appears to. Orthodontic Treatment For Prominent Upper Front Teeth.
From uniquedentalcare.co.in
Orthodontic Treatment Unique Dental Care Rajkot Orthodontic Orthodontic Treatment For Prominent Upper Front Teeth Evidence of low to moderate quality suggests that providing early orthodontic treatment for children with prominent upper. The evidence suggests that providing early orthodontic treatment for children with prominent upper front teeth is. The evidence suggests that providing orthodontic early treatment to children with prominent upper front teeth reduces the. Evidence of low to moderate quality suggests that providing early. Orthodontic Treatment For Prominent Upper Front Teeth.
From www.pettswoodorthodontics.com
Teeth Before & After Braces Petts Wood Orthodontics Orthodontic Treatment For Prominent Upper Front Teeth The evidence suggests that providing orthodontic early treatment to children with prominent upper front teeth reduces the. The evidence suggests that providing early orthodontic treatment for children with prominent upper. Orthodontic treatment for deep bite and retroclined upper front teeth in children. Objectives to assess the effects of orthodontic treatment for prominent upper front teeth initiated when children are seven. Orthodontic Treatment For Prominent Upper Front Teeth.
From www.teethnbraces.com
Case 25 Protrusive upper front teeth Teeth N Braces Orthodontic Treatment For Prominent Upper Front Teeth Background a class ii division 2. Objectives to assess the effects of orthodontic treatment for prominent upper front teeth initiated when children are seven to 11. The evidence suggests that providing early orthodontic treatment for children with prominent upper. Evidence of low to moderate quality suggests that providing early orthodontic treatment for children with prominent upper. Orthodontic treatment for deep. Orthodontic Treatment For Prominent Upper Front Teeth.
From www.mulberrydental.co.uk
Orthodontic Smile gallery cosmetic dentistry photos images Orthodontic Treatment For Prominent Upper Front Teeth The evidence suggests that providing early orthodontic treatment for children with prominent upper front teeth is. The evidence suggests that providing early orthodontic treatment for children with prominent upper. Orthodontic treatment for deep bite and retroclined upper front teeth in children. Objectives to assess the effects of orthodontic treatment for prominent upper front teeth initiated when children are seven to. Orthodontic Treatment For Prominent Upper Front Teeth.
From www.semanticscholar.org
Figure 1 from Orthodontic treatment for prominent upper front teeth Orthodontic Treatment For Prominent Upper Front Teeth Orthodontic treatment with functional appliances in adolescents with prominent upper front teeth appears to reduce. Evidence of low to moderate quality suggests that providing early orthodontic treatment for children with prominent upper. Objectives to assess the effects of orthodontic treatment for prominent upper front teeth initiated when children are seven to 11. The evidence suggests that providing orthodontic early treatment. Orthodontic Treatment For Prominent Upper Front Teeth.
From pocketdentistry.com
9 Intrusion and Anterior Openbite Treatments Pocket Dentistry Orthodontic Treatment For Prominent Upper Front Teeth The evidence suggests that providing early orthodontic treatment for children with prominent upper front teeth is. The evidence suggests that providing early orthodontic treatment for children with prominent upper. Orthodontic treatment for deep bite and retroclined upper front teeth in children. Evidence of low to moderate quality suggests that providing early orthodontic treatment for children with prominent upper. Objectives to. Orthodontic Treatment For Prominent Upper Front Teeth.
From www.youtube.com
How To Replace Front Tooth With Dental Implants (One way) YouTube Orthodontic Treatment For Prominent Upper Front Teeth Objectives to assess the effects of orthodontic treatment for prominent upper front teeth initiated when children are seven to 11. Orthodontic treatment with functional appliances in adolescents with prominent upper front teeth appears to reduce. Orthodontic treatment for deep bite and retroclined upper front teeth in children. The evidence suggests that providing early orthodontic treatment for children with prominent upper. Orthodontic Treatment For Prominent Upper Front Teeth.
From www.balsallcommondental.com
How to Correct Protruding Front Teeth in Adults Balsall Common Dental Orthodontic Treatment For Prominent Upper Front Teeth The evidence suggests that providing orthodontic early treatment to children with prominent upper front teeth reduces the. Orthodontic treatment with functional appliances in adolescents with prominent upper front teeth appears to reduce. The evidence suggests that providing early orthodontic treatment for children with prominent upper front teeth is. Objectives to assess the effects of orthodontic treatment for prominent upper front. Orthodontic Treatment For Prominent Upper Front Teeth.
From www.sylvainchamberland.com
Bimaxillary protrusion. Spacing of upper front teeth Dr Sylvain Orthodontic Treatment For Prominent Upper Front Teeth Orthodontic treatment with functional appliances in adolescents with prominent upper front teeth appears to reduce. The evidence suggests that providing orthodontic early treatment to children with prominent upper front teeth reduces the. Objectives to assess the effects of orthodontic treatment for prominent upper front teeth initiated when children are seven to 11. Background a class ii division 2. Evidence of. Orthodontic Treatment For Prominent Upper Front Teeth.
From www.pettswoodorthodontics.com
Teeth Before & After Braces Petts Wood Orthodontics Orthodontic Treatment For Prominent Upper Front Teeth Background a class ii division 2. Evidence of low to moderate quality suggests that providing early orthodontic treatment for children with prominent upper. Orthodontic treatment with functional appliances in adolescents with prominent upper front teeth appears to reduce. The evidence suggests that providing early orthodontic treatment for children with prominent upper front teeth is. The evidence suggests that providing orthodontic. Orthodontic Treatment For Prominent Upper Front Teeth.
From www.brijdentalclinic.com
Braces Before & After Pictures Orthodontic Before & After Results Orthodontic Treatment For Prominent Upper Front Teeth The evidence suggests that providing early orthodontic treatment for children with prominent upper. Objectives to assess the effects of orthodontic treatment for prominent upper front teeth initiated when children are seven to 11. Evidence of low to moderate quality suggests that providing early orthodontic treatment for children with prominent upper. Background a class ii division 2. The evidence suggests that. Orthodontic Treatment For Prominent Upper Front Teeth.
From www.sunorthodontics.com
Surgical Orthodontic Treatment Sun Orthodontics San Diego California Orthodontic Treatment For Prominent Upper Front Teeth The evidence suggests that providing early orthodontic treatment for children with prominent upper front teeth is. The evidence suggests that providing orthodontic early treatment to children with prominent upper front teeth reduces the. Evidence of low to moderate quality suggests that providing early orthodontic treatment for children with prominent upper. Objectives to assess the effects of orthodontic treatment for prominent. Orthodontic Treatment For Prominent Upper Front Teeth.
From makingfamiliessmile.com
Common Problems Sigoda Orthodontics Orthodontic Treatment For Prominent Upper Front Teeth Background a class ii division 2. Evidence of low to moderate quality suggests that providing early orthodontic treatment for children with prominent upper. Orthodontic treatment with functional appliances in adolescents with prominent upper front teeth appears to reduce. Orthodontic treatment for deep bite and retroclined upper front teeth in children. Objectives to assess the effects of orthodontic treatment for prominent. Orthodontic Treatment For Prominent Upper Front Teeth.
From www.forbesorthodontics.com
Surgery with Orthodontics Forbes Orthodontics Orthodontic Treatment For Prominent Upper Front Teeth Evidence of low to moderate quality suggests that providing early orthodontic treatment for children with prominent upper. Objectives to assess the effects of orthodontic treatment for prominent upper front teeth initiated when children are seven to 11. The evidence suggests that providing orthodontic early treatment to children with prominent upper front teeth reduces the. Orthodontic treatment with functional appliances in. Orthodontic Treatment For Prominent Upper Front Teeth.
From www.youtube.com
Dental Implant for Upper Front TeethStart to Finish YouTube Orthodontic Treatment For Prominent Upper Front Teeth Evidence of low to moderate quality suggests that providing early orthodontic treatment for children with prominent upper. Background a class ii division 2. Orthodontic treatment for deep bite and retroclined upper front teeth in children. Orthodontic treatment with functional appliances in adolescents with prominent upper front teeth appears to reduce. The evidence suggests that providing early orthodontic treatment for children. Orthodontic Treatment For Prominent Upper Front Teeth.
From www.drbrodskysmile.com
Orthodontic Before and After Photos Brodsky Orthodontics Orthodontic Treatment For Prominent Upper Front Teeth Evidence of low to moderate quality suggests that providing early orthodontic treatment for children with prominent upper. Objectives to assess the effects of orthodontic treatment for prominent upper front teeth initiated when children are seven to 11. Orthodontic treatment with functional appliances in adolescents with prominent upper front teeth appears to reduce. The evidence suggests that providing orthodontic early treatment. Orthodontic Treatment For Prominent Upper Front Teeth.
From www.teethnbraces.com
Case 25 Protrusive upper front teeth Teeth N Braces Orthodontic Treatment For Prominent Upper Front Teeth Evidence of low to moderate quality suggests that providing early orthodontic treatment for children with prominent upper. Orthodontic treatment with functional appliances in adolescents with prominent upper front teeth appears to reduce. Evidence of low to moderate quality suggests that providing early orthodontic treatment for children with prominent upper. The evidence suggests that providing orthodontic early treatment to children with. Orthodontic Treatment For Prominent Upper Front Teeth.
From restorativeprogramme.co.uk
Vertical preparation of upper incisors The Restorative Programme Orthodontic Treatment For Prominent Upper Front Teeth The evidence suggests that providing orthodontic early treatment to children with prominent upper front teeth reduces the. Evidence of low to moderate quality suggests that providing early orthodontic treatment for children with prominent upper. Orthodontic treatment with functional appliances in adolescents with prominent upper front teeth appears to reduce. Orthodontic treatment for deep bite and retroclined upper front teeth in. Orthodontic Treatment For Prominent Upper Front Teeth.