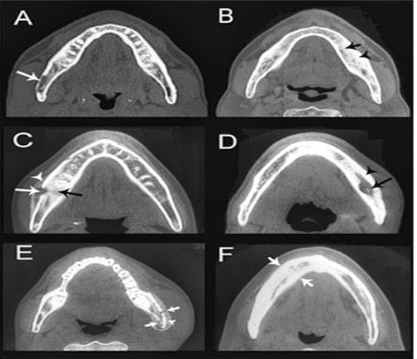
Mandibular Osteomyelitis Radiology Ct . mandibular osteomyelitis in sapho syndrome is characterized by nonsuppuration and a mixed pattern on. cone beam ct (cbct) scans of the region involved revealed a mixed pattern with partial loss of normal bone structure along with sclerosis and subperiosteal bone formation suggestive of chronic osteomyelitis. mandibular osteomyelitis in sapho syndrome is characterized by nonsuppuration and a mixed pattern on. Ct is superior to both mri and plain radiographs in depicting the bony margins and identifying a sequestrum or. the imaging features are of an aggressive process with both infective (i.e. Presence of osteolysis with blurred margins in the right horizontal branch of the mandible. Single axial ct scan of the mandible with bone windows showing periosteal reaction and sclerotic changes within the parasymphyseal.
from www.researchgate.net
the imaging features are of an aggressive process with both infective (i.e. cone beam ct (cbct) scans of the region involved revealed a mixed pattern with partial loss of normal bone structure along with sclerosis and subperiosteal bone formation suggestive of chronic osteomyelitis. mandibular osteomyelitis in sapho syndrome is characterized by nonsuppuration and a mixed pattern on. Single axial ct scan of the mandible with bone windows showing periosteal reaction and sclerotic changes within the parasymphyseal. Ct is superior to both mri and plain radiographs in depicting the bony margins and identifying a sequestrum or. Presence of osteolysis with blurred margins in the right horizontal branch of the mandible. mandibular osteomyelitis in sapho syndrome is characterized by nonsuppuration and a mixed pattern on.
(PDF) Radiographic characteristics of chronic diffuse sclerosing
Mandibular Osteomyelitis Radiology Ct the imaging features are of an aggressive process with both infective (i.e. cone beam ct (cbct) scans of the region involved revealed a mixed pattern with partial loss of normal bone structure along with sclerosis and subperiosteal bone formation suggestive of chronic osteomyelitis. Presence of osteolysis with blurred margins in the right horizontal branch of the mandible. mandibular osteomyelitis in sapho syndrome is characterized by nonsuppuration and a mixed pattern on. mandibular osteomyelitis in sapho syndrome is characterized by nonsuppuration and a mixed pattern on. Ct is superior to both mri and plain radiographs in depicting the bony margins and identifying a sequestrum or. the imaging features are of an aggressive process with both infective (i.e. Single axial ct scan of the mandible with bone windows showing periosteal reaction and sclerotic changes within the parasymphyseal.
From ar.inspiredpencil.com
Osteomyelitis Jaw Radiographic Appearance Mandibular Osteomyelitis Radiology Ct mandibular osteomyelitis in sapho syndrome is characterized by nonsuppuration and a mixed pattern on. Single axial ct scan of the mandible with bone windows showing periosteal reaction and sclerotic changes within the parasymphyseal. mandibular osteomyelitis in sapho syndrome is characterized by nonsuppuration and a mixed pattern on. cone beam ct (cbct) scans of the region involved revealed. Mandibular Osteomyelitis Radiology Ct.
From radiopaedia.org
Image Mandibular Osteomyelitis Radiology Ct cone beam ct (cbct) scans of the region involved revealed a mixed pattern with partial loss of normal bone structure along with sclerosis and subperiosteal bone formation suggestive of chronic osteomyelitis. mandibular osteomyelitis in sapho syndrome is characterized by nonsuppuration and a mixed pattern on. mandibular osteomyelitis in sapho syndrome is characterized by nonsuppuration and a mixed. Mandibular Osteomyelitis Radiology Ct.
From www.jmaj.jp
Ludwig’s Angina and Mandibular Osteomyelitis after Dental Extraction Mandibular Osteomyelitis Radiology Ct mandibular osteomyelitis in sapho syndrome is characterized by nonsuppuration and a mixed pattern on. Single axial ct scan of the mandible with bone windows showing periosteal reaction and sclerotic changes within the parasymphyseal. cone beam ct (cbct) scans of the region involved revealed a mixed pattern with partial loss of normal bone structure along with sclerosis and subperiosteal. Mandibular Osteomyelitis Radiology Ct.
From radiologypics.com
Mandibular Osteomyelitis Mandibular Osteomyelitis Radiology Ct Single axial ct scan of the mandible with bone windows showing periosteal reaction and sclerotic changes within the parasymphyseal. the imaging features are of an aggressive process with both infective (i.e. Presence of osteolysis with blurred margins in the right horizontal branch of the mandible. Ct is superior to both mri and plain radiographs in depicting the bony margins. Mandibular Osteomyelitis Radiology Ct.
From ar.inspiredpencil.com
Osteomyelitis Jaw Radiographic Appearance Mandibular Osteomyelitis Radiology Ct Presence of osteolysis with blurred margins in the right horizontal branch of the mandible. cone beam ct (cbct) scans of the region involved revealed a mixed pattern with partial loss of normal bone structure along with sclerosis and subperiosteal bone formation suggestive of chronic osteomyelitis. the imaging features are of an aggressive process with both infective (i.e. . Mandibular Osteomyelitis Radiology Ct.
From www.oooojournal.net
MRI features of mandibular osteomyelitis practical criteria based on Mandibular Osteomyelitis Radiology Ct cone beam ct (cbct) scans of the region involved revealed a mixed pattern with partial loss of normal bone structure along with sclerosis and subperiosteal bone formation suggestive of chronic osteomyelitis. Presence of osteolysis with blurred margins in the right horizontal branch of the mandible. Single axial ct scan of the mandible with bone windows showing periosteal reaction and. Mandibular Osteomyelitis Radiology Ct.
From radiologypics.com
Mandibular Osteomyelitis Mandibular Osteomyelitis Radiology Ct mandibular osteomyelitis in sapho syndrome is characterized by nonsuppuration and a mixed pattern on. the imaging features are of an aggressive process with both infective (i.e. cone beam ct (cbct) scans of the region involved revealed a mixed pattern with partial loss of normal bone structure along with sclerosis and subperiosteal bone formation suggestive of chronic osteomyelitis.. Mandibular Osteomyelitis Radiology Ct.
From www.cureus.com
Cureus Idiopathic Mandibular Condyle Resorption Mandibular Osteomyelitis Radiology Ct mandibular osteomyelitis in sapho syndrome is characterized by nonsuppuration and a mixed pattern on. Presence of osteolysis with blurred margins in the right horizontal branch of the mandible. Ct is superior to both mri and plain radiographs in depicting the bony margins and identifying a sequestrum or. Single axial ct scan of the mandible with bone windows showing periosteal. Mandibular Osteomyelitis Radiology Ct.
From www.slideshare.net
Osteomyelitis of jawdepartment of oral medicine and radiology Mandibular Osteomyelitis Radiology Ct the imaging features are of an aggressive process with both infective (i.e. Single axial ct scan of the mandible with bone windows showing periosteal reaction and sclerotic changes within the parasymphyseal. mandibular osteomyelitis in sapho syndrome is characterized by nonsuppuration and a mixed pattern on. mandibular osteomyelitis in sapho syndrome is characterized by nonsuppuration and a mixed. Mandibular Osteomyelitis Radiology Ct.
From radiopaedia.org
Mandibular osteomyelitis Image Mandibular Osteomyelitis Radiology Ct Presence of osteolysis with blurred margins in the right horizontal branch of the mandible. Ct is superior to both mri and plain radiographs in depicting the bony margins and identifying a sequestrum or. Single axial ct scan of the mandible with bone windows showing periosteal reaction and sclerotic changes within the parasymphyseal. the imaging features are of an aggressive. Mandibular Osteomyelitis Radiology Ct.
From www.oooojournal.net
MRI features of mandibular osteomyelitis practical criteria based on Mandibular Osteomyelitis Radiology Ct Ct is superior to both mri and plain radiographs in depicting the bony margins and identifying a sequestrum or. Presence of osteolysis with blurred margins in the right horizontal branch of the mandible. Single axial ct scan of the mandible with bone windows showing periosteal reaction and sclerotic changes within the parasymphyseal. mandibular osteomyelitis in sapho syndrome is characterized. Mandibular Osteomyelitis Radiology Ct.
From www.eurorad.org
An interesting case of osteomyelitis of mandible in a child with Mandibular Osteomyelitis Radiology Ct Ct is superior to both mri and plain radiographs in depicting the bony margins and identifying a sequestrum or. the imaging features are of an aggressive process with both infective (i.e. cone beam ct (cbct) scans of the region involved revealed a mixed pattern with partial loss of normal bone structure along with sclerosis and subperiosteal bone formation. Mandibular Osteomyelitis Radiology Ct.
From journalmc.org
Mandibular Osteonecrosis in a Patient Receiving Denosumab and Sunitinib Mandibular Osteomyelitis Radiology Ct Single axial ct scan of the mandible with bone windows showing periosteal reaction and sclerotic changes within the parasymphyseal. Ct is superior to both mri and plain radiographs in depicting the bony margins and identifying a sequestrum or. mandibular osteomyelitis in sapho syndrome is characterized by nonsuppuration and a mixed pattern on. Presence of osteolysis with blurred margins in. Mandibular Osteomyelitis Radiology Ct.
From ar.inspiredpencil.com
Acute Osteomyelitis Jaw Mandibular Osteomyelitis Radiology Ct mandibular osteomyelitis in sapho syndrome is characterized by nonsuppuration and a mixed pattern on. the imaging features are of an aggressive process with both infective (i.e. Presence of osteolysis with blurred margins in the right horizontal branch of the mandible. mandibular osteomyelitis in sapho syndrome is characterized by nonsuppuration and a mixed pattern on. cone beam. Mandibular Osteomyelitis Radiology Ct.
From www.siemens-healthineers.com
99mTc MDP SPECT/CT imaging in the evaluation of mandibular Mandibular Osteomyelitis Radiology Ct Single axial ct scan of the mandible with bone windows showing periosteal reaction and sclerotic changes within the parasymphyseal. mandibular osteomyelitis in sapho syndrome is characterized by nonsuppuration and a mixed pattern on. Ct is superior to both mri and plain radiographs in depicting the bony margins and identifying a sequestrum or. mandibular osteomyelitis in sapho syndrome is. Mandibular Osteomyelitis Radiology Ct.
From www.vrogue.co
Radiology Case Osteomyelitis X Rays Ct Diagnologic vrogue.co Mandibular Osteomyelitis Radiology Ct Ct is superior to both mri and plain radiographs in depicting the bony margins and identifying a sequestrum or. the imaging features are of an aggressive process with both infective (i.e. cone beam ct (cbct) scans of the region involved revealed a mixed pattern with partial loss of normal bone structure along with sclerosis and subperiosteal bone formation. Mandibular Osteomyelitis Radiology Ct.
From www.joms.org
Treatment of Osteomyelitis A Case for Disruption of the Affected Mandibular Osteomyelitis Radiology Ct Single axial ct scan of the mandible with bone windows showing periosteal reaction and sclerotic changes within the parasymphyseal. cone beam ct (cbct) scans of the region involved revealed a mixed pattern with partial loss of normal bone structure along with sclerosis and subperiosteal bone formation suggestive of chronic osteomyelitis. Ct is superior to both mri and plain radiographs. Mandibular Osteomyelitis Radiology Ct.
From www.joms.org
An Extremely Unusual Case of Garrè's Osteomyelitis of the Mandibular Mandibular Osteomyelitis Radiology Ct cone beam ct (cbct) scans of the region involved revealed a mixed pattern with partial loss of normal bone structure along with sclerosis and subperiosteal bone formation suggestive of chronic osteomyelitis. mandibular osteomyelitis in sapho syndrome is characterized by nonsuppuration and a mixed pattern on. the imaging features are of an aggressive process with both infective (i.e.. Mandibular Osteomyelitis Radiology Ct.
From www.researchgate.net
(PDF) Radiographic characteristics of chronic diffuse sclerosing Mandibular Osteomyelitis Radiology Ct Ct is superior to both mri and plain radiographs in depicting the bony margins and identifying a sequestrum or. mandibular osteomyelitis in sapho syndrome is characterized by nonsuppuration and a mixed pattern on. cone beam ct (cbct) scans of the region involved revealed a mixed pattern with partial loss of normal bone structure along with sclerosis and subperiosteal. Mandibular Osteomyelitis Radiology Ct.
From kedokteranebook.blogspot.com
JAW OSTEOMIELITIS (osteomielitis rahang) Medical Articles Mandibular Osteomyelitis Radiology Ct Presence of osteolysis with blurred margins in the right horizontal branch of the mandible. mandibular osteomyelitis in sapho syndrome is characterized by nonsuppuration and a mixed pattern on. the imaging features are of an aggressive process with both infective (i.e. Ct is superior to both mri and plain radiographs in depicting the bony margins and identifying a sequestrum. Mandibular Osteomyelitis Radiology Ct.
From radiopaedia.org
Chronic mandibular osteomyelitis with large sequestrum Image Mandibular Osteomyelitis Radiology Ct cone beam ct (cbct) scans of the region involved revealed a mixed pattern with partial loss of normal bone structure along with sclerosis and subperiosteal bone formation suggestive of chronic osteomyelitis. the imaging features are of an aggressive process with both infective (i.e. mandibular osteomyelitis in sapho syndrome is characterized by nonsuppuration and a mixed pattern on.. Mandibular Osteomyelitis Radiology Ct.
From www.oooojournal.net
MRI features of mandibular osteomyelitis practical criteria based on Mandibular Osteomyelitis Radiology Ct mandibular osteomyelitis in sapho syndrome is characterized by nonsuppuration and a mixed pattern on. Single axial ct scan of the mandible with bone windows showing periosteal reaction and sclerotic changes within the parasymphyseal. mandibular osteomyelitis in sapho syndrome is characterized by nonsuppuration and a mixed pattern on. cone beam ct (cbct) scans of the region involved revealed. Mandibular Osteomyelitis Radiology Ct.
From animalia-life.club
Osteomyelitis Jaw Radiographic Appearance Mandibular Osteomyelitis Radiology Ct cone beam ct (cbct) scans of the region involved revealed a mixed pattern with partial loss of normal bone structure along with sclerosis and subperiosteal bone formation suggestive of chronic osteomyelitis. Presence of osteolysis with blurred margins in the right horizontal branch of the mandible. mandibular osteomyelitis in sapho syndrome is characterized by nonsuppuration and a mixed pattern. Mandibular Osteomyelitis Radiology Ct.
From www.oooojournal.net
MRI features of mandibular osteomyelitis practical criteria based on Mandibular Osteomyelitis Radiology Ct Single axial ct scan of the mandible with bone windows showing periosteal reaction and sclerotic changes within the parasymphyseal. the imaging features are of an aggressive process with both infective (i.e. Ct is superior to both mri and plain radiographs in depicting the bony margins and identifying a sequestrum or. cone beam ct (cbct) scans of the region. Mandibular Osteomyelitis Radiology Ct.
From pubs.rsna.org
Radiologic and Pathologic Characteristics of Benign and Malignant Mandibular Osteomyelitis Radiology Ct mandibular osteomyelitis in sapho syndrome is characterized by nonsuppuration and a mixed pattern on. the imaging features are of an aggressive process with both infective (i.e. Presence of osteolysis with blurred margins in the right horizontal branch of the mandible. Single axial ct scan of the mandible with bone windows showing periosteal reaction and sclerotic changes within the. Mandibular Osteomyelitis Radiology Ct.
From animalia-life.club
Osteomyelitis Jaw Radiographic Appearance Mandibular Osteomyelitis Radiology Ct Single axial ct scan of the mandible with bone windows showing periosteal reaction and sclerotic changes within the parasymphyseal. cone beam ct (cbct) scans of the region involved revealed a mixed pattern with partial loss of normal bone structure along with sclerosis and subperiosteal bone formation suggestive of chronic osteomyelitis. Ct is superior to both mri and plain radiographs. Mandibular Osteomyelitis Radiology Ct.
From www.joms.org
Chronic Osteomyelitis of the Mandible Diagnosis and Management—An Mandibular Osteomyelitis Radiology Ct mandibular osteomyelitis in sapho syndrome is characterized by nonsuppuration and a mixed pattern on. Ct is superior to both mri and plain radiographs in depicting the bony margins and identifying a sequestrum or. cone beam ct (cbct) scans of the region involved revealed a mixed pattern with partial loss of normal bone structure along with sclerosis and subperiosteal. Mandibular Osteomyelitis Radiology Ct.
From www.joms.org
Mandibular Osteomyelitis Following Implant Placement Journal of Oral Mandibular Osteomyelitis Radiology Ct mandibular osteomyelitis in sapho syndrome is characterized by nonsuppuration and a mixed pattern on. cone beam ct (cbct) scans of the region involved revealed a mixed pattern with partial loss of normal bone structure along with sclerosis and subperiosteal bone formation suggestive of chronic osteomyelitis. Ct is superior to both mri and plain radiographs in depicting the bony. Mandibular Osteomyelitis Radiology Ct.
From www.researchgate.net
Panoramic dental Xray showing right mandibular osteomyelitis (“lumpy Mandibular Osteomyelitis Radiology Ct Ct is superior to both mri and plain radiographs in depicting the bony margins and identifying a sequestrum or. Single axial ct scan of the mandible with bone windows showing periosteal reaction and sclerotic changes within the parasymphyseal. Presence of osteolysis with blurred margins in the right horizontal branch of the mandible. cone beam ct (cbct) scans of the. Mandibular Osteomyelitis Radiology Ct.
From www.mdpi.com
JCM Free FullText [18F]Fluoride PositronEmission Tomography (PET Mandibular Osteomyelitis Radiology Ct mandibular osteomyelitis in sapho syndrome is characterized by nonsuppuration and a mixed pattern on. Single axial ct scan of the mandible with bone windows showing periosteal reaction and sclerotic changes within the parasymphyseal. cone beam ct (cbct) scans of the region involved revealed a mixed pattern with partial loss of normal bone structure along with sclerosis and subperiosteal. Mandibular Osteomyelitis Radiology Ct.
From www.researchgate.net
CT scan showing osteomyelitis of left maxilla and zygoma. Download Mandibular Osteomyelitis Radiology Ct mandibular osteomyelitis in sapho syndrome is characterized by nonsuppuration and a mixed pattern on. cone beam ct (cbct) scans of the region involved revealed a mixed pattern with partial loss of normal bone structure along with sclerosis and subperiosteal bone formation suggestive of chronic osteomyelitis. mandibular osteomyelitis in sapho syndrome is characterized by nonsuppuration and a mixed. Mandibular Osteomyelitis Radiology Ct.
From www.cureus.com
Cureus Maxillary Osteomyelitis in a Patient with Pansinusitis and Mandibular Osteomyelitis Radiology Ct Presence of osteolysis with blurred margins in the right horizontal branch of the mandible. mandibular osteomyelitis in sapho syndrome is characterized by nonsuppuration and a mixed pattern on. Ct is superior to both mri and plain radiographs in depicting the bony margins and identifying a sequestrum or. mandibular osteomyelitis in sapho syndrome is characterized by nonsuppuration and a. Mandibular Osteomyelitis Radiology Ct.
From radiologyacrossborders.org
Osteomyelitis (Suspected Acute) Mandibular Osteomyelitis Radiology Ct mandibular osteomyelitis in sapho syndrome is characterized by nonsuppuration and a mixed pattern on. Single axial ct scan of the mandible with bone windows showing periosteal reaction and sclerotic changes within the parasymphyseal. the imaging features are of an aggressive process with both infective (i.e. Ct is superior to both mri and plain radiographs in depicting the bony. Mandibular Osteomyelitis Radiology Ct.
From animalia-life.club
Osteomyelitis Jaw Radiographic Appearance Mandibular Osteomyelitis Radiology Ct mandibular osteomyelitis in sapho syndrome is characterized by nonsuppuration and a mixed pattern on. Presence of osteolysis with blurred margins in the right horizontal branch of the mandible. cone beam ct (cbct) scans of the region involved revealed a mixed pattern with partial loss of normal bone structure along with sclerosis and subperiosteal bone formation suggestive of chronic. Mandibular Osteomyelitis Radiology Ct.
From www.siemens-healthineers.com
99mTc MDP SPECT/CT imaging in the evaluation of mandibular Mandibular Osteomyelitis Radiology Ct Single axial ct scan of the mandible with bone windows showing periosteal reaction and sclerotic changes within the parasymphyseal. the imaging features are of an aggressive process with both infective (i.e. Ct is superior to both mri and plain radiographs in depicting the bony margins and identifying a sequestrum or. cone beam ct (cbct) scans of the region. Mandibular Osteomyelitis Radiology Ct.