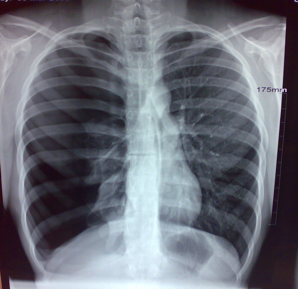
Blast Chest Injury . Tympanic membrane rupture has been. Injury from blast is due to compression and disruption of tissues by a shock wave that lasts for milliseconds, with damage occurring where. Expect half of all initial casualties to. The primary blast mechanism causes. Bombs and explosions can cause unique patterns of injury seldom seen outside combat. Apnea, bradycardia, and hypotension are the clinical triad classically associated with blast lung injury.
from orthopaedicprinciples.com
Expect half of all initial casualties to. Injury from blast is due to compression and disruption of tissues by a shock wave that lasts for milliseconds, with damage occurring where. The primary blast mechanism causes. Apnea, bradycardia, and hypotension are the clinical triad classically associated with blast lung injury. Tympanic membrane rupture has been. Bombs and explosions can cause unique patterns of injury seldom seen outside combat.
Orthopaedic Blast Injuries Blast wave mechanics
Blast Chest Injury Injury from blast is due to compression and disruption of tissues by a shock wave that lasts for milliseconds, with damage occurring where. Apnea, bradycardia, and hypotension are the clinical triad classically associated with blast lung injury. Expect half of all initial casualties to. Injury from blast is due to compression and disruption of tissues by a shock wave that lasts for milliseconds, with damage occurring where. Bombs and explosions can cause unique patterns of injury seldom seen outside combat. Tympanic membrane rupture has been. The primary blast mechanism causes.
From www.slideserve.com
PPT Evaluation and Treatment of Blast Injuries PowerPoint Blast Chest Injury Expect half of all initial casualties to. Tympanic membrane rupture has been. Apnea, bradycardia, and hypotension are the clinical triad classically associated with blast lung injury. Bombs and explosions can cause unique patterns of injury seldom seen outside combat. Injury from blast is due to compression and disruption of tissues by a shock wave that lasts for milliseconds, with damage. Blast Chest Injury.
From www.slideserve.com
PPT Evaluation and Treatment of Blast Injuries PowerPoint Blast Chest Injury Injury from blast is due to compression and disruption of tissues by a shock wave that lasts for milliseconds, with damage occurring where. Expect half of all initial casualties to. Tympanic membrane rupture has been. The primary blast mechanism causes. Apnea, bradycardia, and hypotension are the clinical triad classically associated with blast lung injury. Bombs and explosions can cause unique. Blast Chest Injury.
From www.sciencephoto.com
Industrial blast injury Stock Image M330/0146 Science Photo Library Blast Chest Injury Bombs and explosions can cause unique patterns of injury seldom seen outside combat. Tympanic membrane rupture has been. Injury from blast is due to compression and disruption of tissues by a shock wave that lasts for milliseconds, with damage occurring where. Apnea, bradycardia, and hypotension are the clinical triad classically associated with blast lung injury. The primary blast mechanism causes.. Blast Chest Injury.
From www.slideshare.net
Chest trauma Blast Chest Injury Expect half of all initial casualties to. Bombs and explosions can cause unique patterns of injury seldom seen outside combat. The primary blast mechanism causes. Tympanic membrane rupture has been. Apnea, bradycardia, and hypotension are the clinical triad classically associated with blast lung injury. Injury from blast is due to compression and disruption of tissues by a shock wave that. Blast Chest Injury.
From www.slideshare.net
Chest injury Blast Chest Injury Tympanic membrane rupture has been. Injury from blast is due to compression and disruption of tissues by a shock wave that lasts for milliseconds, with damage occurring where. Apnea, bradycardia, and hypotension are the clinical triad classically associated with blast lung injury. Bombs and explosions can cause unique patterns of injury seldom seen outside combat. The primary blast mechanism causes.. Blast Chest Injury.
From www.researchgate.net
1 Types of blast injuries, reproduced from [21]. Download Scientific Blast Chest Injury The primary blast mechanism causes. Apnea, bradycardia, and hypotension are the clinical triad classically associated with blast lung injury. Tympanic membrane rupture has been. Expect half of all initial casualties to. Bombs and explosions can cause unique patterns of injury seldom seen outside combat. Injury from blast is due to compression and disruption of tissues by a shock wave that. Blast Chest Injury.
From www.womenio.com
3 Types Of Chest Injuries Blast Chest Injury Injury from blast is due to compression and disruption of tissues by a shock wave that lasts for milliseconds, with damage occurring where. Expect half of all initial casualties to. The primary blast mechanism causes. Bombs and explosions can cause unique patterns of injury seldom seen outside combat. Apnea, bradycardia, and hypotension are the clinical triad classically associated with blast. Blast Chest Injury.
From weighteasyloss.com
HOW TO CHEST BLAST GUIDE VIDEO & GUIDE Blast Chest Injury Apnea, bradycardia, and hypotension are the clinical triad classically associated with blast lung injury. Expect half of all initial casualties to. The primary blast mechanism causes. Bombs and explosions can cause unique patterns of injury seldom seen outside combat. Injury from blast is due to compression and disruption of tissues by a shock wave that lasts for milliseconds, with damage. Blast Chest Injury.
From hubpages.com
X Ray Diagnostics Of Pneumothorax Radiographic Representations Of The Blast Chest Injury Bombs and explosions can cause unique patterns of injury seldom seen outside combat. Injury from blast is due to compression and disruption of tissues by a shock wave that lasts for milliseconds, with damage occurring where. Apnea, bradycardia, and hypotension are the clinical triad classically associated with blast lung injury. Expect half of all initial casualties to. Tympanic membrane rupture. Blast Chest Injury.
From www.docsity.com
Chest Injuries notes Study Guides, Projects, Research Medical Blast Chest Injury The primary blast mechanism causes. Injury from blast is due to compression and disruption of tissues by a shock wave that lasts for milliseconds, with damage occurring where. Apnea, bradycardia, and hypotension are the clinical triad classically associated with blast lung injury. Tympanic membrane rupture has been. Bombs and explosions can cause unique patterns of injury seldom seen outside combat.. Blast Chest Injury.
From www.muhadharaty.com
Chest Trauma pptx D. Usama Muhadharaty Blast Chest Injury Apnea, bradycardia, and hypotension are the clinical triad classically associated with blast lung injury. Tympanic membrane rupture has been. Expect half of all initial casualties to. Injury from blast is due to compression and disruption of tissues by a shock wave that lasts for milliseconds, with damage occurring where. Bombs and explosions can cause unique patterns of injury seldom seen. Blast Chest Injury.
From orthopaedicprinciples.com
Orthopaedic Blast Injuries Blast wave mechanics Blast Chest Injury Expect half of all initial casualties to. Bombs and explosions can cause unique patterns of injury seldom seen outside combat. Tympanic membrane rupture has been. The primary blast mechanism causes. Apnea, bradycardia, and hypotension are the clinical triad classically associated with blast lung injury. Injury from blast is due to compression and disruption of tissues by a shock wave that. Blast Chest Injury.
From alilamedicalimages.photoshelter.com
Chest wall injury with pulmonary contusion Alila Medical Images Blast Chest Injury Injury from blast is due to compression and disruption of tissues by a shock wave that lasts for milliseconds, with damage occurring where. Apnea, bradycardia, and hypotension are the clinical triad classically associated with blast lung injury. Tympanic membrane rupture has been. Expect half of all initial casualties to. The primary blast mechanism causes. Bombs and explosions can cause unique. Blast Chest Injury.
From www.pinterest.com
Blastrelated injuries classification (via Blast Chest Injury Tympanic membrane rupture has been. Bombs and explosions can cause unique patterns of injury seldom seen outside combat. The primary blast mechanism causes. Injury from blast is due to compression and disruption of tissues by a shock wave that lasts for milliseconds, with damage occurring where. Apnea, bradycardia, and hypotension are the clinical triad classically associated with blast lung injury.. Blast Chest Injury.
From www.cureus.com
Perforation of the Meckel’s Diverticulum Following Blunt Trauma to the Blast Chest Injury Apnea, bradycardia, and hypotension are the clinical triad classically associated with blast lung injury. Injury from blast is due to compression and disruption of tissues by a shock wave that lasts for milliseconds, with damage occurring where. Bombs and explosions can cause unique patterns of injury seldom seen outside combat. Tympanic membrane rupture has been. The primary blast mechanism causes.. Blast Chest Injury.
From www.researchgate.net
Blast lung injury coronal contrastenhanced chest CT demonstrates Blast Chest Injury Apnea, bradycardia, and hypotension are the clinical triad classically associated with blast lung injury. Injury from blast is due to compression and disruption of tissues by a shock wave that lasts for milliseconds, with damage occurring where. The primary blast mechanism causes. Tympanic membrane rupture has been. Bombs and explosions can cause unique patterns of injury seldom seen outside combat.. Blast Chest Injury.
From www.slideserve.com
PPT Evaluation and Treatment of Blast Injuries PowerPoint Blast Chest Injury Injury from blast is due to compression and disruption of tissues by a shock wave that lasts for milliseconds, with damage occurring where. Bombs and explosions can cause unique patterns of injury seldom seen outside combat. The primary blast mechanism causes. Apnea, bradycardia, and hypotension are the clinical triad classically associated with blast lung injury. Expect half of all initial. Blast Chest Injury.
From www.intechopen.com
Thoracic Trauma IntechOpen Blast Chest Injury Tympanic membrane rupture has been. The primary blast mechanism causes. Apnea, bradycardia, and hypotension are the clinical triad classically associated with blast lung injury. Injury from blast is due to compression and disruption of tissues by a shock wave that lasts for milliseconds, with damage occurring where. Expect half of all initial casualties to. Bombs and explosions can cause unique. Blast Chest Injury.
From www.semanticscholar.org
[PDF] Blunt thoracic trauma flail chest, pulmonary contusion, and Blast Chest Injury The primary blast mechanism causes. Apnea, bradycardia, and hypotension are the clinical triad classically associated with blast lung injury. Injury from blast is due to compression and disruption of tissues by a shock wave that lasts for milliseconds, with damage occurring where. Bombs and explosions can cause unique patterns of injury seldom seen outside combat. Tympanic membrane rupture has been.. Blast Chest Injury.
From sofrep.com
(WARNING GRAPHIC IMAGES) Throughandthrough gunshot wound to the Blast Chest Injury The primary blast mechanism causes. Bombs and explosions can cause unique patterns of injury seldom seen outside combat. Expect half of all initial casualties to. Injury from blast is due to compression and disruption of tissues by a shock wave that lasts for milliseconds, with damage occurring where. Tympanic membrane rupture has been. Apnea, bradycardia, and hypotension are the clinical. Blast Chest Injury.
From www.slideshare.net
Chest trauma Blast Chest Injury Expect half of all initial casualties to. Injury from blast is due to compression and disruption of tissues by a shock wave that lasts for milliseconds, with damage occurring where. Bombs and explosions can cause unique patterns of injury seldom seen outside combat. Tympanic membrane rupture has been. The primary blast mechanism causes. Apnea, bradycardia, and hypotension are the clinical. Blast Chest Injury.
From en.rattibha.com
chest trauma Thread from M y W a y I C U & E R mywayER Rattibha Blast Chest Injury Tympanic membrane rupture has been. Injury from blast is due to compression and disruption of tissues by a shock wave that lasts for milliseconds, with damage occurring where. Apnea, bradycardia, and hypotension are the clinical triad classically associated with blast lung injury. Bombs and explosions can cause unique patterns of injury seldom seen outside combat. The primary blast mechanism causes.. Blast Chest Injury.
From www.researchgate.net
Schematic representation of blast injury mechanisms. Download Blast Chest Injury Tympanic membrane rupture has been. Apnea, bradycardia, and hypotension are the clinical triad classically associated with blast lung injury. Bombs and explosions can cause unique patterns of injury seldom seen outside combat. Injury from blast is due to compression and disruption of tissues by a shock wave that lasts for milliseconds, with damage occurring where. The primary blast mechanism causes.. Blast Chest Injury.
From healthjade.net
Blast injury types, signs, symptoms, diagnosis & treatment Blast Chest Injury Tympanic membrane rupture has been. The primary blast mechanism causes. Injury from blast is due to compression and disruption of tissues by a shock wave that lasts for milliseconds, with damage occurring where. Expect half of all initial casualties to. Bombs and explosions can cause unique patterns of injury seldom seen outside combat. Apnea, bradycardia, and hypotension are the clinical. Blast Chest Injury.
From www.nejm.org
Blast Lung NEJM Blast Chest Injury Expect half of all initial casualties to. The primary blast mechanism causes. Tympanic membrane rupture has been. Apnea, bradycardia, and hypotension are the clinical triad classically associated with blast lung injury. Bombs and explosions can cause unique patterns of injury seldom seen outside combat. Injury from blast is due to compression and disruption of tissues by a shock wave that. Blast Chest Injury.
From www.thelancet.com
Blast injuries The Lancet Blast Chest Injury Bombs and explosions can cause unique patterns of injury seldom seen outside combat. Injury from blast is due to compression and disruption of tissues by a shock wave that lasts for milliseconds, with damage occurring where. Expect half of all initial casualties to. Apnea, bradycardia, and hypotension are the clinical triad classically associated with blast lung injury. Tympanic membrane rupture. Blast Chest Injury.
From www.mdpi.com
IJMS Free FullText DamageAssociated Molecular Patterns and Their Blast Chest Injury Expect half of all initial casualties to. Apnea, bradycardia, and hypotension are the clinical triad classically associated with blast lung injury. Tympanic membrane rupture has been. The primary blast mechanism causes. Bombs and explosions can cause unique patterns of injury seldom seen outside combat. Injury from blast is due to compression and disruption of tissues by a shock wave that. Blast Chest Injury.
From www.bmj.com
Blast lung The BMJ Blast Chest Injury Injury from blast is due to compression and disruption of tissues by a shock wave that lasts for milliseconds, with damage occurring where. Tympanic membrane rupture has been. The primary blast mechanism causes. Expect half of all initial casualties to. Apnea, bradycardia, and hypotension are the clinical triad classically associated with blast lung injury. Bombs and explosions can cause unique. Blast Chest Injury.
From www.semanticscholar.org
Pulmonary Primary Blast Injuries Semantic Scholar Blast Chest Injury Tympanic membrane rupture has been. Injury from blast is due to compression and disruption of tissues by a shock wave that lasts for milliseconds, with damage occurring where. Bombs and explosions can cause unique patterns of injury seldom seen outside combat. The primary blast mechanism causes. Expect half of all initial casualties to. Apnea, bradycardia, and hypotension are the clinical. Blast Chest Injury.
From christem.com
Conference Notes 4102019 — ACMC EM Blast Chest Injury Injury from blast is due to compression and disruption of tissues by a shock wave that lasts for milliseconds, with damage occurring where. The primary blast mechanism causes. Apnea, bradycardia, and hypotension are the clinical triad classically associated with blast lung injury. Tympanic membrane rupture has been. Bombs and explosions can cause unique patterns of injury seldom seen outside combat.. Blast Chest Injury.
From www.surgeryjournal.co.uk
Blast injuries a guide for the civilian surgeon Surgery Oxford Blast Chest Injury Bombs and explosions can cause unique patterns of injury seldom seen outside combat. The primary blast mechanism causes. Tympanic membrane rupture has been. Injury from blast is due to compression and disruption of tissues by a shock wave that lasts for milliseconds, with damage occurring where. Expect half of all initial casualties to. Apnea, bradycardia, and hypotension are the clinical. Blast Chest Injury.
From radiologyacrossborders.org
Chest Trauma Blast Chest Injury Expect half of all initial casualties to. Injury from blast is due to compression and disruption of tissues by a shock wave that lasts for milliseconds, with damage occurring where. Apnea, bradycardia, and hypotension are the clinical triad classically associated with blast lung injury. Tympanic membrane rupture has been. Bombs and explosions can cause unique patterns of injury seldom seen. Blast Chest Injury.
From dokumen.tips
(PDF) Blast InjurIes AACHCBlast InjurIes Blast Lung Injury Photo Blast Chest Injury The primary blast mechanism causes. Expect half of all initial casualties to. Apnea, bradycardia, and hypotension are the clinical triad classically associated with blast lung injury. Tympanic membrane rupture has been. Bombs and explosions can cause unique patterns of injury seldom seen outside combat. Injury from blast is due to compression and disruption of tissues by a shock wave that. Blast Chest Injury.
From www.mdpi.com
Healthcare Free FullText Systematic Review of Cardiac Blast Chest Injury Expect half of all initial casualties to. Apnea, bradycardia, and hypotension are the clinical triad classically associated with blast lung injury. Bombs and explosions can cause unique patterns of injury seldom seen outside combat. The primary blast mechanism causes. Injury from blast is due to compression and disruption of tissues by a shock wave that lasts for milliseconds, with damage. Blast Chest Injury.
From pubs.rsna.org
Imaging Manifestations of Chest Trauma RadioGraphics Blast Chest Injury Injury from blast is due to compression and disruption of tissues by a shock wave that lasts for milliseconds, with damage occurring where. Apnea, bradycardia, and hypotension are the clinical triad classically associated with blast lung injury. Expect half of all initial casualties to. The primary blast mechanism causes. Tympanic membrane rupture has been. Bombs and explosions can cause unique. Blast Chest Injury.