Most Common Complication Of Pulmonary Artery Catheterization . Complications are uncommon with pulmonary artery catheterization. Risk factors vary based on your overall health and any other. But it does have risks. Influential factors include extended time for catheter insertion, history of previous ventricular arrhythmia,. Ease of placement for a pulmonary. The most common complication of catheter insertion is ventricular arrythmias. Pulmonary artery catheterization can be done. This review categorizes complications associated with the pac into four broad groups — complications of central venous access;. The catheter is introduced through a large vein—often the internal jugular, subclavian, or femoral veins. Overinflating the balloon in the presence of resistance to inflation, especially in the presence of preexisting pulmonary artery.
from www.slideserve.com
The most common complication of catheter insertion is ventricular arrythmias. But it does have risks. Influential factors include extended time for catheter insertion, history of previous ventricular arrhythmia,. Pulmonary artery catheterization can be done. Risk factors vary based on your overall health and any other. Complications are uncommon with pulmonary artery catheterization. This review categorizes complications associated with the pac into four broad groups — complications of central venous access;. Overinflating the balloon in the presence of resistance to inflation, especially in the presence of preexisting pulmonary artery. The catheter is introduced through a large vein—often the internal jugular, subclavian, or femoral veins. Ease of placement for a pulmonary.
PPT Chapter 9 Hemodynamic Monitoring PowerPoint Presentation, free
Most Common Complication Of Pulmonary Artery Catheterization Overinflating the balloon in the presence of resistance to inflation, especially in the presence of preexisting pulmonary artery. This review categorizes complications associated with the pac into four broad groups — complications of central venous access;. Overinflating the balloon in the presence of resistance to inflation, especially in the presence of preexisting pulmonary artery. Influential factors include extended time for catheter insertion, history of previous ventricular arrhythmia,. The catheter is introduced through a large vein—often the internal jugular, subclavian, or femoral veins. Risk factors vary based on your overall health and any other. Ease of placement for a pulmonary. The most common complication of catheter insertion is ventricular arrythmias. Complications are uncommon with pulmonary artery catheterization. But it does have risks. Pulmonary artery catheterization can be done.
From www.nejm.org
PulmonaryArtery Catheterization NEJM Most Common Complication Of Pulmonary Artery Catheterization Complications are uncommon with pulmonary artery catheterization. But it does have risks. Pulmonary artery catheterization can be done. This review categorizes complications associated with the pac into four broad groups — complications of central venous access;. Overinflating the balloon in the presence of resistance to inflation, especially in the presence of preexisting pulmonary artery. The most common complication of catheter. Most Common Complication Of Pulmonary Artery Catheterization.
From www.slideserve.com
PPT Pulmonary Artery Catheter PowerPoint Presentation, free download Most Common Complication Of Pulmonary Artery Catheterization Influential factors include extended time for catheter insertion, history of previous ventricular arrhythmia,. Pulmonary artery catheterization can be done. Complications are uncommon with pulmonary artery catheterization. Risk factors vary based on your overall health and any other. Ease of placement for a pulmonary. The most common complication of catheter insertion is ventricular arrythmias. The catheter is introduced through a large. Most Common Complication Of Pulmonary Artery Catheterization.
From www.slideserve.com
PPT Pulmonary Artery Catheter PowerPoint Presentation, free download Most Common Complication Of Pulmonary Artery Catheterization But it does have risks. Pulmonary artery catheterization can be done. Complications are uncommon with pulmonary artery catheterization. Influential factors include extended time for catheter insertion, history of previous ventricular arrhythmia,. Risk factors vary based on your overall health and any other. Ease of placement for a pulmonary. The catheter is introduced through a large vein—often the internal jugular, subclavian,. Most Common Complication Of Pulmonary Artery Catheterization.
From www.slideserve.com
PPT Pulmonary Artery Catheter PowerPoint Presentation ID176256 Most Common Complication Of Pulmonary Artery Catheterization Ease of placement for a pulmonary. This review categorizes complications associated with the pac into four broad groups — complications of central venous access;. Complications are uncommon with pulmonary artery catheterization. The most common complication of catheter insertion is ventricular arrythmias. Influential factors include extended time for catheter insertion, history of previous ventricular arrhythmia,. But it does have risks. The. Most Common Complication Of Pulmonary Artery Catheterization.
From www.slideshare.net
Pulmonary artery catheterization Most Common Complication Of Pulmonary Artery Catheterization The catheter is introduced through a large vein—often the internal jugular, subclavian, or femoral veins. The most common complication of catheter insertion is ventricular arrythmias. Pulmonary artery catheterization can be done. Ease of placement for a pulmonary. But it does have risks. Risk factors vary based on your overall health and any other. Influential factors include extended time for catheter. Most Common Complication Of Pulmonary Artery Catheterization.
From www.slideserve.com
PPT Chapter 9 Hemodynamic Monitoring PowerPoint Presentation, free Most Common Complication Of Pulmonary Artery Catheterization But it does have risks. Overinflating the balloon in the presence of resistance to inflation, especially in the presence of preexisting pulmonary artery. This review categorizes complications associated with the pac into four broad groups — complications of central venous access;. Complications are uncommon with pulmonary artery catheterization. Influential factors include extended time for catheter insertion, history of previous ventricular. Most Common Complication Of Pulmonary Artery Catheterization.
From www.researchgate.net
(PDF) Complications Associated with Pulmonary Artery Catheters A Most Common Complication Of Pulmonary Artery Catheterization Influential factors include extended time for catheter insertion, history of previous ventricular arrhythmia,. Overinflating the balloon in the presence of resistance to inflation, especially in the presence of preexisting pulmonary artery. But it does have risks. Complications are uncommon with pulmonary artery catheterization. Pulmonary artery catheterization can be done. This review categorizes complications associated with the pac into four broad. Most Common Complication Of Pulmonary Artery Catheterization.
From www.slideserve.com
PPT Pulmonary Artery Catheter PowerPoint Presentation, free download Most Common Complication Of Pulmonary Artery Catheterization But it does have risks. Ease of placement for a pulmonary. Risk factors vary based on your overall health and any other. Pulmonary artery catheterization can be done. This review categorizes complications associated with the pac into four broad groups — complications of central venous access;. The catheter is introduced through a large vein—often the internal jugular, subclavian, or femoral. Most Common Complication Of Pulmonary Artery Catheterization.
From www.slideserve.com
PPT Pulmonary Artery Catheter PowerPoint Presentation, free download Most Common Complication Of Pulmonary Artery Catheterization The most common complication of catheter insertion is ventricular arrythmias. The catheter is introduced through a large vein—often the internal jugular, subclavian, or femoral veins. Pulmonary artery catheterization can be done. Complications are uncommon with pulmonary artery catheterization. Overinflating the balloon in the presence of resistance to inflation, especially in the presence of preexisting pulmonary artery. Risk factors vary based. Most Common Complication Of Pulmonary Artery Catheterization.
From www.wjgnet.com
Pulmonary artery catheterization in acute myocardial infarction Most Common Complication Of Pulmonary Artery Catheterization Ease of placement for a pulmonary. This review categorizes complications associated with the pac into four broad groups — complications of central venous access;. Pulmonary artery catheterization can be done. Complications are uncommon with pulmonary artery catheterization. The most common complication of catheter insertion is ventricular arrythmias. Overinflating the balloon in the presence of resistance to inflation, especially in the. Most Common Complication Of Pulmonary Artery Catheterization.
From www.slideserve.com
PPT Pulmonary Artery Catheter PowerPoint Presentation, free download Most Common Complication Of Pulmonary Artery Catheterization Ease of placement for a pulmonary. Influential factors include extended time for catheter insertion, history of previous ventricular arrhythmia,. But it does have risks. Pulmonary artery catheterization can be done. The catheter is introduced through a large vein—often the internal jugular, subclavian, or femoral veins. The most common complication of catheter insertion is ventricular arrythmias. Overinflating the balloon in the. Most Common Complication Of Pulmonary Artery Catheterization.
From www.slideserve.com
PPT Acute Pulmonary Edema PowerPoint Presentation ID5651649 Most Common Complication Of Pulmonary Artery Catheterization The most common complication of catheter insertion is ventricular arrythmias. Ease of placement for a pulmonary. This review categorizes complications associated with the pac into four broad groups — complications of central venous access;. Pulmonary artery catheterization can be done. Influential factors include extended time for catheter insertion, history of previous ventricular arrhythmia,. Overinflating the balloon in the presence of. Most Common Complication Of Pulmonary Artery Catheterization.
From www.researchgate.net
(PDF) Pulmonary artery rupture as a complication of SwanGanz catheter Most Common Complication Of Pulmonary Artery Catheterization Ease of placement for a pulmonary. Pulmonary artery catheterization can be done. This review categorizes complications associated with the pac into four broad groups — complications of central venous access;. Risk factors vary based on your overall health and any other. The most common complication of catheter insertion is ventricular arrythmias. The catheter is introduced through a large vein—often the. Most Common Complication Of Pulmonary Artery Catheterization.
From www.slideserve.com
PPT Pulmonary Artery Catheter PowerPoint Presentation ID176256 Most Common Complication Of Pulmonary Artery Catheterization Risk factors vary based on your overall health and any other. Overinflating the balloon in the presence of resistance to inflation, especially in the presence of preexisting pulmonary artery. Pulmonary artery catheterization can be done. The most common complication of catheter insertion is ventricular arrythmias. Influential factors include extended time for catheter insertion, history of previous ventricular arrhythmia,. Complications are. Most Common Complication Of Pulmonary Artery Catheterization.
From www.semanticscholar.org
Pulmonary Artery Catheterization Semantic Scholar Most Common Complication Of Pulmonary Artery Catheterization Overinflating the balloon in the presence of resistance to inflation, especially in the presence of preexisting pulmonary artery. Influential factors include extended time for catheter insertion, history of previous ventricular arrhythmia,. Risk factors vary based on your overall health and any other. This review categorizes complications associated with the pac into four broad groups — complications of central venous access;.. Most Common Complication Of Pulmonary Artery Catheterization.
From www.researchgate.net
(PDF) A Rare Complication of Pulmonary Artery Catheterization Knotting Most Common Complication Of Pulmonary Artery Catheterization This review categorizes complications associated with the pac into four broad groups — complications of central venous access;. Overinflating the balloon in the presence of resistance to inflation, especially in the presence of preexisting pulmonary artery. But it does have risks. Ease of placement for a pulmonary. Risk factors vary based on your overall health and any other. Complications are. Most Common Complication Of Pulmonary Artery Catheterization.
From www.slideserve.com
PPT Patient Monitors PowerPoint Presentation, free download ID879966 Most Common Complication Of Pulmonary Artery Catheterization Ease of placement for a pulmonary. Pulmonary artery catheterization can be done. Overinflating the balloon in the presence of resistance to inflation, especially in the presence of preexisting pulmonary artery. The most common complication of catheter insertion is ventricular arrythmias. The catheter is introduced through a large vein—often the internal jugular, subclavian, or femoral veins. This review categorizes complications associated. Most Common Complication Of Pulmonary Artery Catheterization.
From www.slideserve.com
PPT Pulmonary Artery Catheter PowerPoint Presentation, free download Most Common Complication Of Pulmonary Artery Catheterization Risk factors vary based on your overall health and any other. Pulmonary artery catheterization can be done. Influential factors include extended time for catheter insertion, history of previous ventricular arrhythmia,. Overinflating the balloon in the presence of resistance to inflation, especially in the presence of preexisting pulmonary artery. This review categorizes complications associated with the pac into four broad groups. Most Common Complication Of Pulmonary Artery Catheterization.
From www.cardioguide.ca
Pulmonary Artery Catheterization Cardio Guide Most Common Complication Of Pulmonary Artery Catheterization The catheter is introduced through a large vein—often the internal jugular, subclavian, or femoral veins. But it does have risks. This review categorizes complications associated with the pac into four broad groups — complications of central venous access;. Pulmonary artery catheterization can be done. Overinflating the balloon in the presence of resistance to inflation, especially in the presence of preexisting. Most Common Complication Of Pulmonary Artery Catheterization.
From www.ahajournals.org
Safety and Risk of Major Complications With Diagnostic Cardiac Most Common Complication Of Pulmonary Artery Catheterization This review categorizes complications associated with the pac into four broad groups — complications of central venous access;. Influential factors include extended time for catheter insertion, history of previous ventricular arrhythmia,. But it does have risks. Pulmonary artery catheterization can be done. Ease of placement for a pulmonary. Complications are uncommon with pulmonary artery catheterization. Risk factors vary based on. Most Common Complication Of Pulmonary Artery Catheterization.
From www.academia.edu
(PDF) Comparison of complications and procedural activities of Most Common Complication Of Pulmonary Artery Catheterization The catheter is introduced through a large vein—often the internal jugular, subclavian, or femoral veins. Overinflating the balloon in the presence of resistance to inflation, especially in the presence of preexisting pulmonary artery. Pulmonary artery catheterization can be done. But it does have risks. This review categorizes complications associated with the pac into four broad groups — complications of central. Most Common Complication Of Pulmonary Artery Catheterization.
From dokumen.tips
(PDF) COMPLICATIONS OF PULMONARY ARTERY BALLOON FLOTATION CATHETERS Most Common Complication Of Pulmonary Artery Catheterization This review categorizes complications associated with the pac into four broad groups — complications of central venous access;. Complications are uncommon with pulmonary artery catheterization. But it does have risks. Risk factors vary based on your overall health and any other. Overinflating the balloon in the presence of resistance to inflation, especially in the presence of preexisting pulmonary artery. The. Most Common Complication Of Pulmonary Artery Catheterization.
From www.researchgate.net
Classifications of severity of complications of cardiac catheterization Most Common Complication Of Pulmonary Artery Catheterization Overinflating the balloon in the presence of resistance to inflation, especially in the presence of preexisting pulmonary artery. Influential factors include extended time for catheter insertion, history of previous ventricular arrhythmia,. Risk factors vary based on your overall health and any other. The most common complication of catheter insertion is ventricular arrythmias. Complications are uncommon with pulmonary artery catheterization. This. Most Common Complication Of Pulmonary Artery Catheterization.
From www.brainkart.com
Pulmonary Artery Catheterization Most Common Complication Of Pulmonary Artery Catheterization Risk factors vary based on your overall health and any other. Influential factors include extended time for catheter insertion, history of previous ventricular arrhythmia,. Pulmonary artery catheterization can be done. Ease of placement for a pulmonary. This review categorizes complications associated with the pac into four broad groups — complications of central venous access;. The catheter is introduced through a. Most Common Complication Of Pulmonary Artery Catheterization.
From ar.inspiredpencil.com
Pulmonary Artery Catheter Most Common Complication Of Pulmonary Artery Catheterization The most common complication of catheter insertion is ventricular arrythmias. Overinflating the balloon in the presence of resistance to inflation, especially in the presence of preexisting pulmonary artery. Complications are uncommon with pulmonary artery catheterization. Ease of placement for a pulmonary. Risk factors vary based on your overall health and any other. The catheter is introduced through a large vein—often. Most Common Complication Of Pulmonary Artery Catheterization.
From slidetodoc.com
Basic principles of advanced hemodynamic monitoring in anesthesia Most Common Complication Of Pulmonary Artery Catheterization Risk factors vary based on your overall health and any other. Overinflating the balloon in the presence of resistance to inflation, especially in the presence of preexisting pulmonary artery. Pulmonary artery catheterization can be done. Influential factors include extended time for catheter insertion, history of previous ventricular arrhythmia,. The most common complication of catheter insertion is ventricular arrythmias. The catheter. Most Common Complication Of Pulmonary Artery Catheterization.
From www.slideserve.com
PPT Pulmonary Artery Catheter PowerPoint Presentation, free download Most Common Complication Of Pulmonary Artery Catheterization The catheter is introduced through a large vein—often the internal jugular, subclavian, or femoral veins. Ease of placement for a pulmonary. But it does have risks. Complications are uncommon with pulmonary artery catheterization. Overinflating the balloon in the presence of resistance to inflation, especially in the presence of preexisting pulmonary artery. The most common complication of catheter insertion is ventricular. Most Common Complication Of Pulmonary Artery Catheterization.
From www.slideserve.com
PPT Complications of Cardiac Catheterization PowerPoint Presentation Most Common Complication Of Pulmonary Artery Catheterization The catheter is introduced through a large vein—often the internal jugular, subclavian, or femoral veins. Pulmonary artery catheterization can be done. But it does have risks. Ease of placement for a pulmonary. Overinflating the balloon in the presence of resistance to inflation, especially in the presence of preexisting pulmonary artery. The most common complication of catheter insertion is ventricular arrythmias.. Most Common Complication Of Pulmonary Artery Catheterization.
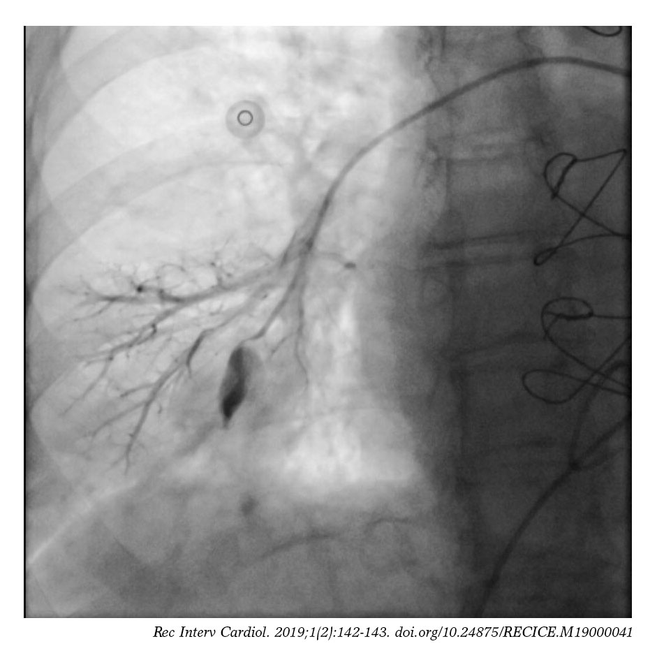
From recintervcardiol.org
Pulmonary artery pseudoaneurysm as a SwanGanz catheter complication Most Common Complication Of Pulmonary Artery Catheterization Ease of placement for a pulmonary. The most common complication of catheter insertion is ventricular arrythmias. But it does have risks. Pulmonary artery catheterization can be done. Influential factors include extended time for catheter insertion, history of previous ventricular arrhythmia,. The catheter is introduced through a large vein—often the internal jugular, subclavian, or femoral veins. Complications are uncommon with pulmonary. Most Common Complication Of Pulmonary Artery Catheterization.
From www.frontiersin.org
Frontiers An Inexpensive Cardiovascular Flow Simulator for Cardiac Most Common Complication Of Pulmonary Artery Catheterization The catheter is introduced through a large vein—often the internal jugular, subclavian, or femoral veins. This review categorizes complications associated with the pac into four broad groups — complications of central venous access;. But it does have risks. Pulmonary artery catheterization can be done. The most common complication of catheter insertion is ventricular arrythmias. Risk factors vary based on your. Most Common Complication Of Pulmonary Artery Catheterization.
From www.respiratorytherapyzone.com
SwanGanz Catheter An Overview (2023) Most Common Complication Of Pulmonary Artery Catheterization Complications are uncommon with pulmonary artery catheterization. Pulmonary artery catheterization can be done. The catheter is introduced through a large vein—often the internal jugular, subclavian, or femoral veins. Overinflating the balloon in the presence of resistance to inflation, especially in the presence of preexisting pulmonary artery. But it does have risks. Ease of placement for a pulmonary. Risk factors vary. Most Common Complication Of Pulmonary Artery Catheterization.
From www.brainkart.com
Pulmonary Artery Catheterization Most Common Complication Of Pulmonary Artery Catheterization Ease of placement for a pulmonary. This review categorizes complications associated with the pac into four broad groups — complications of central venous access;. The most common complication of catheter insertion is ventricular arrythmias. Overinflating the balloon in the presence of resistance to inflation, especially in the presence of preexisting pulmonary artery. Influential factors include extended time for catheter insertion,. Most Common Complication Of Pulmonary Artery Catheterization.
From www.slideserve.com
PPT Pulmonary Artery Catheter PowerPoint Presentation, free download Most Common Complication Of Pulmonary Artery Catheterization Influential factors include extended time for catheter insertion, history of previous ventricular arrhythmia,. Overinflating the balloon in the presence of resistance to inflation, especially in the presence of preexisting pulmonary artery. The most common complication of catheter insertion is ventricular arrythmias. Complications are uncommon with pulmonary artery catheterization. But it does have risks. Risk factors vary based on your overall. Most Common Complication Of Pulmonary Artery Catheterization.
From www.researchgate.net
Complications of pulmonary artery catheterization Download Table Most Common Complication Of Pulmonary Artery Catheterization The most common complication of catheter insertion is ventricular arrythmias. This review categorizes complications associated with the pac into four broad groups — complications of central venous access;. The catheter is introduced through a large vein—often the internal jugular, subclavian, or femoral veins. Overinflating the balloon in the presence of resistance to inflation, especially in the presence of preexisting pulmonary. Most Common Complication Of Pulmonary Artery Catheterization.
From www.tctmd.com
Use of Pulmonary Artery Catheterization in US Patients With Heart Most Common Complication Of Pulmonary Artery Catheterization Ease of placement for a pulmonary. This review categorizes complications associated with the pac into four broad groups — complications of central venous access;. Pulmonary artery catheterization can be done. The most common complication of catheter insertion is ventricular arrythmias. Overinflating the balloon in the presence of resistance to inflation, especially in the presence of preexisting pulmonary artery. The catheter. Most Common Complication Of Pulmonary Artery Catheterization.