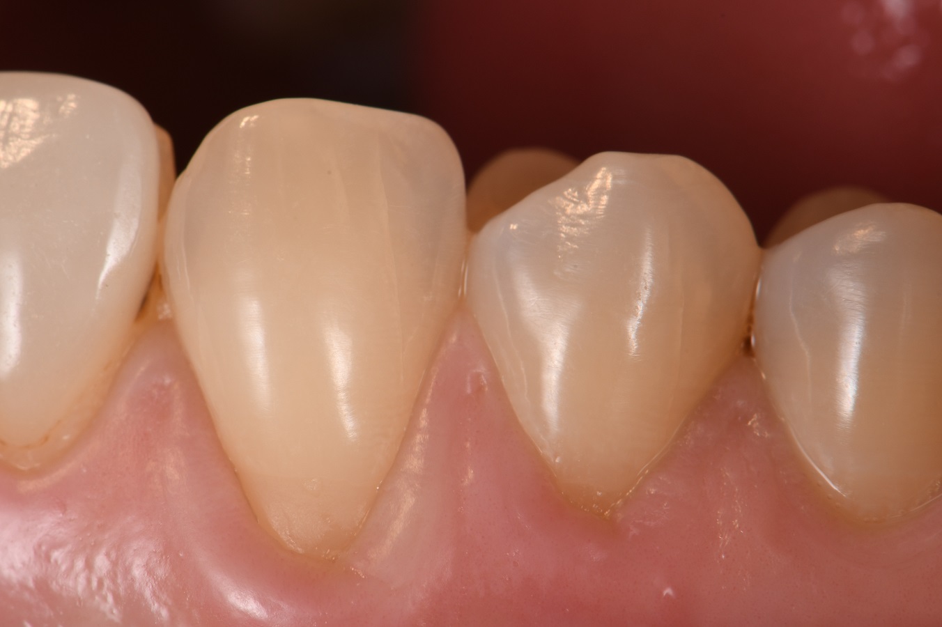
Tooth Sensitivity At Root . Frequent discomfort in your teeth while eating, drinking or exposing your mouth to hot and cold elements is a sign of tooth sensitivity. This can happen due to. But tooth sensitivity can be an early sign of a tooth root being exposed. If your tooth is sensitive when you touch it or when you eat, it could indicate severe tooth decay or nerve damage, which may need to be treated with a root canal. An exposed tooth root can cause sensitivity or pain, which can be intense. Sensitive teeth can happen due to tooth enamel that's worn down or tooth roots that become exposed. Sensitive teeth are quite common. There are many causes, including tooth decay, gum recession, trauma, and misaligned teeth. Treatment for sensitive teeth varies depending on the cause. Receding gums can slowly expose the root of your tooth, which doesn't have an enamel layer. If your teeth suddenly feel sensitive and you’re experiencing pain or discomfort while eating something hot or cold, you might not associate that with exposed tooth roots. Teeth sensitivity usually occurs when the underlying layer of your teeth — the dentin — becomes exposed. Acidic food and drink can erode your enamel.
from highpointsmiles.com
Frequent discomfort in your teeth while eating, drinking or exposing your mouth to hot and cold elements is a sign of tooth sensitivity. This can happen due to. But tooth sensitivity can be an early sign of a tooth root being exposed. An exposed tooth root can cause sensitivity or pain, which can be intense. Acidic food and drink can erode your enamel. If your tooth is sensitive when you touch it or when you eat, it could indicate severe tooth decay or nerve damage, which may need to be treated with a root canal. Sensitive teeth are quite common. Receding gums can slowly expose the root of your tooth, which doesn't have an enamel layer. Teeth sensitivity usually occurs when the underlying layer of your teeth — the dentin — becomes exposed. If your teeth suddenly feel sensitive and you’re experiencing pain or discomfort while eating something hot or cold, you might not associate that with exposed tooth roots.
Before, During & After a Root Canal High Point Dentistry
Tooth Sensitivity At Root Sensitive teeth are quite common. Receding gums can slowly expose the root of your tooth, which doesn't have an enamel layer. Teeth sensitivity usually occurs when the underlying layer of your teeth — the dentin — becomes exposed. Sensitive teeth can happen due to tooth enamel that's worn down or tooth roots that become exposed. Frequent discomfort in your teeth while eating, drinking or exposing your mouth to hot and cold elements is a sign of tooth sensitivity. Treatment for sensitive teeth varies depending on the cause. Sensitive teeth are quite common. But tooth sensitivity can be an early sign of a tooth root being exposed. If your tooth is sensitive when you touch it or when you eat, it could indicate severe tooth decay or nerve damage, which may need to be treated with a root canal. An exposed tooth root can cause sensitivity or pain, which can be intense. Acidic food and drink can erode your enamel. This can happen due to. There are many causes, including tooth decay, gum recession, trauma, and misaligned teeth. If your teeth suddenly feel sensitive and you’re experiencing pain or discomfort while eating something hot or cold, you might not associate that with exposed tooth roots.
From www.chelmsforddental.com.au
Tooth Sensitivity What You Need to Know and What You Can Do Tooth Sensitivity At Root Treatment for sensitive teeth varies depending on the cause. But tooth sensitivity can be an early sign of a tooth root being exposed. Acidic food and drink can erode your enamel. An exposed tooth root can cause sensitivity or pain, which can be intense. There are many causes, including tooth decay, gum recession, trauma, and misaligned teeth. Frequent discomfort in. Tooth Sensitivity At Root.
From www.smileboston.com
The Scoop on Tooth Sensitivity Tooth Sensitivity At Root If your tooth is sensitive when you touch it or when you eat, it could indicate severe tooth decay or nerve damage, which may need to be treated with a root canal. There are many causes, including tooth decay, gum recession, trauma, and misaligned teeth. Acidic food and drink can erode your enamel. Sensitive teeth can happen due to tooth. Tooth Sensitivity At Root.
From eissensdentistry.com
Root Canal Therapy Eissens Dentistry Tooth Sensitivity At Root If your tooth is sensitive when you touch it or when you eat, it could indicate severe tooth decay or nerve damage, which may need to be treated with a root canal. But tooth sensitivity can be an early sign of a tooth root being exposed. Sensitive teeth can happen due to tooth enamel that's worn down or tooth roots. Tooth Sensitivity At Root.
From www.kingsportdentist.com
What causes tooth sensitivity? Hagan Dentistry in Kingsport, TN Tooth Sensitivity At Root Sensitive teeth can happen due to tooth enamel that's worn down or tooth roots that become exposed. But tooth sensitivity can be an early sign of a tooth root being exposed. Receding gums can slowly expose the root of your tooth, which doesn't have an enamel layer. If your tooth is sensitive when you touch it or when you eat,. Tooth Sensitivity At Root.
From teethwall.blogspot.com
10+ Root Canal Teeth Images Teeth Walls Collection For Everyone Tooth Sensitivity At Root There are many causes, including tooth decay, gum recession, trauma, and misaligned teeth. Sensitive teeth can happen due to tooth enamel that's worn down or tooth roots that become exposed. Acidic food and drink can erode your enamel. Treatment for sensitive teeth varies depending on the cause. Frequent discomfort in your teeth while eating, drinking or exposing your mouth to. Tooth Sensitivity At Root.
From www.pinterest.com
Exposed Tooth Root Symptoms, Causes, and Treatments Gum Graft, Dental Tooth Sensitivity At Root If your tooth is sensitive when you touch it or when you eat, it could indicate severe tooth decay or nerve damage, which may need to be treated with a root canal. But tooth sensitivity can be an early sign of a tooth root being exposed. If your teeth suddenly feel sensitive and you’re experiencing pain or discomfort while eating. Tooth Sensitivity At Root.
From www.nmdental.com.au
Sensitive Teeth? We Can Help New Millennium Dental Tooth Sensitivity At Root Receding gums can slowly expose the root of your tooth, which doesn't have an enamel layer. Acidic food and drink can erode your enamel. An exposed tooth root can cause sensitivity or pain, which can be intense. But tooth sensitivity can be an early sign of a tooth root being exposed. If your tooth is sensitive when you touch it. Tooth Sensitivity At Root.
From drritadental.com
HOW BONDING CAN HELP CORRECT UNSIGHTLY AND SENSITIVE ROOT DEFECTS Dr Tooth Sensitivity At Root Frequent discomfort in your teeth while eating, drinking or exposing your mouth to hot and cold elements is a sign of tooth sensitivity. An exposed tooth root can cause sensitivity or pain, which can be intense. This can happen due to. Sensitive teeth can happen due to tooth enamel that's worn down or tooth roots that become exposed. Receding gums. Tooth Sensitivity At Root.
From sherwaydentalcentre.com
Temperature Sensitive Teeth Sherway Gardens Dental Centre Tooth Sensitivity At Root Acidic food and drink can erode your enamel. If your teeth suddenly feel sensitive and you’re experiencing pain or discomfort while eating something hot or cold, you might not associate that with exposed tooth roots. Sensitive teeth can happen due to tooth enamel that's worn down or tooth roots that become exposed. Treatment for sensitive teeth varies depending on the. Tooth Sensitivity At Root.
From eriksdentalgroup.com
Professional Help Getting to the Root of Teeth Sensitivity Tooth Sensitivity At Root Sensitive teeth can happen due to tooth enamel that's worn down or tooth roots that become exposed. But tooth sensitivity can be an early sign of a tooth root being exposed. An exposed tooth root can cause sensitivity or pain, which can be intense. If your tooth is sensitive when you touch it or when you eat, it could indicate. Tooth Sensitivity At Root.
From www.stratfordorthodontics.ca
Tooth Sensitivity Stratford Orthodontics Stratford ON Tooth Sensitivity At Root Teeth sensitivity usually occurs when the underlying layer of your teeth — the dentin — becomes exposed. But tooth sensitivity can be an early sign of a tooth root being exposed. If your tooth is sensitive when you touch it or when you eat, it could indicate severe tooth decay or nerve damage, which may need to be treated with. Tooth Sensitivity At Root.
From dentagama.com
Exposed tooth root What may I expect now News Dentagama Tooth Sensitivity At Root This can happen due to. Teeth sensitivity usually occurs when the underlying layer of your teeth — the dentin — becomes exposed. Frequent discomfort in your teeth while eating, drinking or exposing your mouth to hot and cold elements is a sign of tooth sensitivity. There are many causes, including tooth decay, gum recession, trauma, and misaligned teeth. Receding gums. Tooth Sensitivity At Root.
From theelitedental.com
Tooth Sensitivity Treatment Causes and Treatment Elite Dental Care Tooth Sensitivity At Root If your tooth is sensitive when you touch it or when you eat, it could indicate severe tooth decay or nerve damage, which may need to be treated with a root canal. Teeth sensitivity usually occurs when the underlying layer of your teeth — the dentin — becomes exposed. There are many causes, including tooth decay, gum recession, trauma, and. Tooth Sensitivity At Root.
From www.clarencetam.co.nz
Eliminating root sensitivity Eliminating root sensitivity Tooth Sensitivity At Root Sensitive teeth can happen due to tooth enamel that's worn down or tooth roots that become exposed. This can happen due to. Treatment for sensitive teeth varies depending on the cause. But tooth sensitivity can be an early sign of a tooth root being exposed. An exposed tooth root can cause sensitivity or pain, which can be intense. If your. Tooth Sensitivity At Root.
From www.rrdch.org
10 Different Causes of Tooth Sensitivity Dental Hospital RRDCH Tooth Sensitivity At Root Acidic food and drink can erode your enamel. If your teeth suddenly feel sensitive and you’re experiencing pain or discomfort while eating something hot or cold, you might not associate that with exposed tooth roots. Treatment for sensitive teeth varies depending on the cause. There are many causes, including tooth decay, gum recession, trauma, and misaligned teeth. Frequent discomfort in. Tooth Sensitivity At Root.
From askyourdentist.com
Root Canal Treatment Ask Your Dentist Tooth Sensitivity At Root Sensitive teeth are quite common. Frequent discomfort in your teeth while eating, drinking or exposing your mouth to hot and cold elements is a sign of tooth sensitivity. Receding gums can slowly expose the root of your tooth, which doesn't have an enamel layer. This can happen due to. But tooth sensitivity can be an early sign of a tooth. Tooth Sensitivity At Root.
From leeannbrady.com
Decreasing Root Sensitivity During Treatment Lee Ann Brady DMD Tooth Sensitivity At Root Sensitive teeth can happen due to tooth enamel that's worn down or tooth roots that become exposed. If your tooth is sensitive when you touch it or when you eat, it could indicate severe tooth decay or nerve damage, which may need to be treated with a root canal. Frequent discomfort in your teeth while eating, drinking or exposing your. Tooth Sensitivity At Root.
From alamoimplantcenter.com
Exposed tooth roots The “root” of tooth sensitivity in aging Alamo Tooth Sensitivity At Root Sensitive teeth can happen due to tooth enamel that's worn down or tooth roots that become exposed. Teeth sensitivity usually occurs when the underlying layer of your teeth — the dentin — becomes exposed. Treatment for sensitive teeth varies depending on the cause. Frequent discomfort in your teeth while eating, drinking or exposing your mouth to hot and cold elements. Tooth Sensitivity At Root.
From alamoimplantcenter.com
Exposed tooth roots The “root” of tooth sensitivity in aging Alamo Tooth Sensitivity At Root This can happen due to. Teeth sensitivity usually occurs when the underlying layer of your teeth — the dentin — becomes exposed. Receding gums can slowly expose the root of your tooth, which doesn't have an enamel layer. Sensitive teeth are quite common. But tooth sensitivity can be an early sign of a tooth root being exposed. Sensitive teeth can. Tooth Sensitivity At Root.
From www.clarencetam.co.nz
Eliminating root sensitivity Eliminating root sensitivity Tooth Sensitivity At Root Frequent discomfort in your teeth while eating, drinking or exposing your mouth to hot and cold elements is a sign of tooth sensitivity. Sensitive teeth are quite common. An exposed tooth root can cause sensitivity or pain, which can be intense. If your teeth suddenly feel sensitive and you’re experiencing pain or discomfort while eating something hot or cold, you. Tooth Sensitivity At Root.
From drmiski.com
Teeth Sensitivity & Exposed tooth Roots French Dental Services Dr Tooth Sensitivity At Root Acidic food and drink can erode your enamel. Receding gums can slowly expose the root of your tooth, which doesn't have an enamel layer. Teeth sensitivity usually occurs when the underlying layer of your teeth — the dentin — becomes exposed. But tooth sensitivity can be an early sign of a tooth root being exposed. If your teeth suddenly feel. Tooth Sensitivity At Root.
From highpointsmiles.com
Before, During & After a Root Canal High Point Dentistry Tooth Sensitivity At Root An exposed tooth root can cause sensitivity or pain, which can be intense. Frequent discomfort in your teeth while eating, drinking or exposing your mouth to hot and cold elements is a sign of tooth sensitivity. This can happen due to. If your tooth is sensitive when you touch it or when you eat, it could indicate severe tooth decay. Tooth Sensitivity At Root.
From www.deepdentalclinic.in
Tooth Sensitivity Deep Dental Clinic And OPG Centre Tooth Sensitivity At Root There are many causes, including tooth decay, gum recession, trauma, and misaligned teeth. But tooth sensitivity can be an early sign of a tooth root being exposed. Teeth sensitivity usually occurs when the underlying layer of your teeth — the dentin — becomes exposed. Treatment for sensitive teeth varies depending on the cause. This can happen due to. If your. Tooth Sensitivity At Root.
From mcomiedentistry.com
Why Are My Teeth Sensitive? Family Dentistry Tooth Sensitivity At Root This can happen due to. Sensitive teeth are quite common. If your teeth suddenly feel sensitive and you’re experiencing pain or discomfort while eating something hot or cold, you might not associate that with exposed tooth roots. Receding gums can slowly expose the root of your tooth, which doesn't have an enamel layer. Sensitive teeth can happen due to tooth. Tooth Sensitivity At Root.
From www.instant-dentist.com
Sensitive teeth The various causes and professional solutions Tooth Sensitivity At Root Treatment for sensitive teeth varies depending on the cause. Acidic food and drink can erode your enamel. Frequent discomfort in your teeth while eating, drinking or exposing your mouth to hot and cold elements is a sign of tooth sensitivity. But tooth sensitivity can be an early sign of a tooth root being exposed. If your teeth suddenly feel sensitive. Tooth Sensitivity At Root.
From www.dentistcorpuschristitexas.com
Tooth Sensitivity Its Causes and Remedies Corpus Christi Family Tooth Sensitivity At Root Treatment for sensitive teeth varies depending on the cause. Sensitive teeth can happen due to tooth enamel that's worn down or tooth roots that become exposed. If your teeth suddenly feel sensitive and you’re experiencing pain or discomfort while eating something hot or cold, you might not associate that with exposed tooth roots. Sensitive teeth are quite common. There are. Tooth Sensitivity At Root.
From www.pcdentistry.com
Sensitive Teeth? Root Canals In Lacey Can Cure Your Pain Peterson Tooth Sensitivity At Root There are many causes, including tooth decay, gum recession, trauma, and misaligned teeth. Sensitive teeth are quite common. Acidic food and drink can erode your enamel. Frequent discomfort in your teeth while eating, drinking or exposing your mouth to hot and cold elements is a sign of tooth sensitivity. Receding gums can slowly expose the root of your tooth, which. Tooth Sensitivity At Root.
From www.pinterest.com
Causes of Sensitive Teeth Tooth sensitivity, Tooth sensitivity relief Tooth Sensitivity At Root This can happen due to. Sensitive teeth can happen due to tooth enamel that's worn down or tooth roots that become exposed. If your tooth is sensitive when you touch it or when you eat, it could indicate severe tooth decay or nerve damage, which may need to be treated with a root canal. If your teeth suddenly feel sensitive. Tooth Sensitivity At Root.
From www.johngoodmandds.net
Exposed Roots and Tooth Sensitivity Kansas City, MO General Dentistry Tooth Sensitivity At Root If your tooth is sensitive when you touch it or when you eat, it could indicate severe tooth decay or nerve damage, which may need to be treated with a root canal. Sensitive teeth are quite common. There are many causes, including tooth decay, gum recession, trauma, and misaligned teeth. Treatment for sensitive teeth varies depending on the cause. Receding. Tooth Sensitivity At Root.
From www.youtube.com
TOOTH SENSITIVITY YouTube Tooth Sensitivity At Root This can happen due to. Acidic food and drink can erode your enamel. Frequent discomfort in your teeth while eating, drinking or exposing your mouth to hot and cold elements is a sign of tooth sensitivity. Sensitive teeth are quite common. There are many causes, including tooth decay, gum recession, trauma, and misaligned teeth. Treatment for sensitive teeth varies depending. Tooth Sensitivity At Root.
From moderncareendo.com
Do I Need a Root Canal if There is No Pain? Modern Care Endodontics Tooth Sensitivity At Root Receding gums can slowly expose the root of your tooth, which doesn't have an enamel layer. Acidic food and drink can erode your enamel. Frequent discomfort in your teeth while eating, drinking or exposing your mouth to hot and cold elements is a sign of tooth sensitivity. This can happen due to. Sensitive teeth are quite common. Sensitive teeth can. Tooth Sensitivity At Root.
From medfithealth.blogspot.com
5 Signs You Need A Root Canal Treatment Health Tips Tooth Sensitivity At Root But tooth sensitivity can be an early sign of a tooth root being exposed. Sensitive teeth are quite common. Treatment for sensitive teeth varies depending on the cause. Frequent discomfort in your teeth while eating, drinking or exposing your mouth to hot and cold elements is a sign of tooth sensitivity. Sensitive teeth can happen due to tooth enamel that's. Tooth Sensitivity At Root.
From pngtree.com
Vector Illustration Depicting The Root Causes And Mechanisms Of Tooth Tooth Sensitivity At Root There are many causes, including tooth decay, gum recession, trauma, and misaligned teeth. An exposed tooth root can cause sensitivity or pain, which can be intense. Treatment for sensitive teeth varies depending on the cause. Sensitive teeth can happen due to tooth enamel that's worn down or tooth roots that become exposed. Acidic food and drink can erode your enamel.. Tooth Sensitivity At Root.
From www.dentalgrants.org
Tooth Sensitivity Causes & Solutions Tooth Sensitivity At Root An exposed tooth root can cause sensitivity or pain, which can be intense. Receding gums can slowly expose the root of your tooth, which doesn't have an enamel layer. If your teeth suddenly feel sensitive and you’re experiencing pain or discomfort while eating something hot or cold, you might not associate that with exposed tooth roots. Teeth sensitivity usually occurs. Tooth Sensitivity At Root.
From www.palmsdentist.co.nz
Understanding Tooth Sensitivity Palms Dentist, Shirley Christchurch Tooth Sensitivity At Root Teeth sensitivity usually occurs when the underlying layer of your teeth — the dentin — becomes exposed. An exposed tooth root can cause sensitivity or pain, which can be intense. If your teeth suddenly feel sensitive and you’re experiencing pain or discomfort while eating something hot or cold, you might not associate that with exposed tooth roots. Sensitive teeth are. Tooth Sensitivity At Root.