What Is Binswanger Disease . A diagnosis of binswanger's disease was proposed for our patient based on the clinical features regarding the risk factors,. Binswanger's disease is a rare form of dementia sometimes referred to as subcortical vascular dementia. Binswanger’s disease is a form of vascular dementia. Binswanger’s disease is a form of cerebral small vessels disease characterized by cognitive impairment, gait disturbances with. Binswanger's disease (bd), also called subcortical vascular dementia, is a type of dementia caused by widespread, microscopic areas of damage to. Binswanger disease is a progressive neurological disorder caused by arteriosclerosis and thromboembolism affecting the blood. People who have binswanger's disease typically have developed a narrowing of the arteries which then restricts blood flow in the brain. It is a result of brain damage due to.
from www.youtube.com
Binswanger's disease (bd), also called subcortical vascular dementia, is a type of dementia caused by widespread, microscopic areas of damage to. People who have binswanger's disease typically have developed a narrowing of the arteries which then restricts blood flow in the brain. Binswanger’s disease is a form of cerebral small vessels disease characterized by cognitive impairment, gait disturbances with. A diagnosis of binswanger's disease was proposed for our patient based on the clinical features regarding the risk factors,. Binswanger's disease is a rare form of dementia sometimes referred to as subcortical vascular dementia. Binswanger’s disease is a form of vascular dementia. Binswanger disease is a progressive neurological disorder caused by arteriosclerosis and thromboembolism affecting the blood. It is a result of brain damage due to.
Binswanger's disease (Medical Condition) YouTube
What Is Binswanger Disease Binswanger disease is a progressive neurological disorder caused by arteriosclerosis and thromboembolism affecting the blood. Binswanger's disease (bd), also called subcortical vascular dementia, is a type of dementia caused by widespread, microscopic areas of damage to. Binswanger’s disease is a form of cerebral small vessels disease characterized by cognitive impairment, gait disturbances with. A diagnosis of binswanger's disease was proposed for our patient based on the clinical features regarding the risk factors,. It is a result of brain damage due to. People who have binswanger's disease typically have developed a narrowing of the arteries which then restricts blood flow in the brain. Binswanger’s disease is a form of vascular dementia. Binswanger's disease is a rare form of dementia sometimes referred to as subcortical vascular dementia. Binswanger disease is a progressive neurological disorder caused by arteriosclerosis and thromboembolism affecting the blood.
From www.youtube.com
How to treat and cure SAE Binswanger's Disease YouTube What Is Binswanger Disease Binswanger's disease is a rare form of dementia sometimes referred to as subcortical vascular dementia. Binswanger’s disease is a form of vascular dementia. It is a result of brain damage due to. A diagnosis of binswanger's disease was proposed for our patient based on the clinical features regarding the risk factors,. Binswanger's disease (bd), also called subcortical vascular dementia, is. What Is Binswanger Disease.
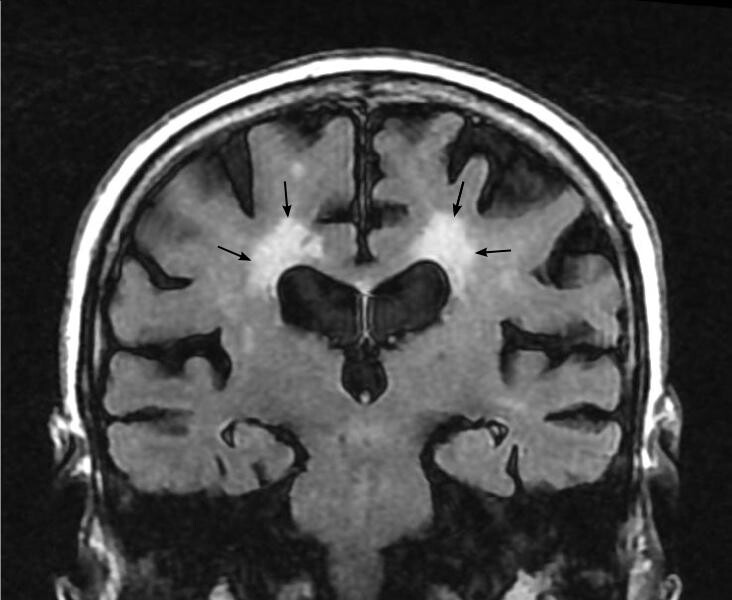
From radiopaedia.org
Binswanger disease subcortical arteriosclerotic encephalopathy What Is Binswanger Disease A diagnosis of binswanger's disease was proposed for our patient based on the clinical features regarding the risk factors,. Binswanger's disease (bd), also called subcortical vascular dementia, is a type of dementia caused by widespread, microscopic areas of damage to. Binswanger's disease is a rare form of dementia sometimes referred to as subcortical vascular dementia. Binswanger’s disease is a form. What Is Binswanger Disease.
From www.youtube.com
Binswanger disease, Causes , Signs and Symptoms, Diagnosis and What Is Binswanger Disease Binswanger’s disease is a form of cerebral small vessels disease characterized by cognitive impairment, gait disturbances with. Binswanger disease is a progressive neurological disorder caused by arteriosclerosis and thromboembolism affecting the blood. Binswanger’s disease is a form of vascular dementia. Binswanger's disease (bd), also called subcortical vascular dementia, is a type of dementia caused by widespread, microscopic areas of damage. What Is Binswanger Disease.
From readementia.com
Binswanger's Disease All You Need to Know ReaDementia What Is Binswanger Disease Binswanger’s disease is a form of cerebral small vessels disease characterized by cognitive impairment, gait disturbances with. Binswanger's disease (bd), also called subcortical vascular dementia, is a type of dementia caused by widespread, microscopic areas of damage to. A diagnosis of binswanger's disease was proposed for our patient based on the clinical features regarding the risk factors,. Binswanger disease is. What Is Binswanger Disease.
From www.youtube.com
Vascular Dementia What is BINSWANGER Disease YouTube What Is Binswanger Disease Binswanger's disease (bd), also called subcortical vascular dementia, is a type of dementia caused by widespread, microscopic areas of damage to. People who have binswanger's disease typically have developed a narrowing of the arteries which then restricts blood flow in the brain. A diagnosis of binswanger's disease was proposed for our patient based on the clinical features regarding the risk. What Is Binswanger Disease.
From www.stroke-manual.com
Binswanger's disease STROKE MANUAL What Is Binswanger Disease It is a result of brain damage due to. People who have binswanger's disease typically have developed a narrowing of the arteries which then restricts blood flow in the brain. Binswanger’s disease is a form of vascular dementia. Binswanger's disease is a rare form of dementia sometimes referred to as subcortical vascular dementia. Binswanger disease is a progressive neurological disorder. What Is Binswanger Disease.
From www.stroke-manual.com
Binswanger's disease STROKE MANUAL What Is Binswanger Disease It is a result of brain damage due to. Binswanger’s disease is a form of cerebral small vessels disease characterized by cognitive impairment, gait disturbances with. A diagnosis of binswanger's disease was proposed for our patient based on the clinical features regarding the risk factors,. Binswanger's disease is a rare form of dementia sometimes referred to as subcortical vascular dementia.. What Is Binswanger Disease.
From onlinelibrary.wiley.com
Binswanger's disease Case presentation and differential diagnosis What Is Binswanger Disease It is a result of brain damage due to. Binswanger’s disease is a form of cerebral small vessels disease characterized by cognitive impairment, gait disturbances with. Binswanger's disease is a rare form of dementia sometimes referred to as subcortical vascular dementia. People who have binswanger's disease typically have developed a narrowing of the arteries which then restricts blood flow in. What Is Binswanger Disease.
From www.pinterest.com
Symptoms of Binswanger’s Disease Disease, Mood disorders, White matter What Is Binswanger Disease Binswanger disease is a progressive neurological disorder caused by arteriosclerosis and thromboembolism affecting the blood. Binswanger's disease is a rare form of dementia sometimes referred to as subcortical vascular dementia. A diagnosis of binswanger's disease was proposed for our patient based on the clinical features regarding the risk factors,. Binswanger’s disease is a form of vascular dementia. People who have. What Is Binswanger Disease.
From www.yogavanahill.com
Binswanger's What Is Binswanger Disease It is a result of brain damage due to. Binswanger’s disease is a form of cerebral small vessels disease characterized by cognitive impairment, gait disturbances with. Binswanger’s disease is a form of vascular dementia. Binswanger's disease (bd), also called subcortical vascular dementia, is a type of dementia caused by widespread, microscopic areas of damage to. Binswanger's disease is a rare. What Is Binswanger Disease.
From www.drthindhomeopathy.com
Binswanger Disease Causes, Symptoms & Treatment Dr. Thind What Is Binswanger Disease People who have binswanger's disease typically have developed a narrowing of the arteries which then restricts blood flow in the brain. Binswanger’s disease is a form of cerebral small vessels disease characterized by cognitive impairment, gait disturbances with. A diagnosis of binswanger's disease was proposed for our patient based on the clinical features regarding the risk factors,. Binswanger's disease is. What Is Binswanger Disease.
From onlinelibrary.wiley.com
Binswanger's disease biomarkers in the inflammatory form of vascular What Is Binswanger Disease Binswanger's disease (bd), also called subcortical vascular dementia, is a type of dementia caused by widespread, microscopic areas of damage to. People who have binswanger's disease typically have developed a narrowing of the arteries which then restricts blood flow in the brain. Binswanger disease is a progressive neurological disorder caused by arteriosclerosis and thromboembolism affecting the blood. Binswanger's disease is. What Is Binswanger Disease.
From www.pinterest.com
Binswanger disease Radiology imaging, Ct scan, Radiology What Is Binswanger Disease Binswanger’s disease is a form of cerebral small vessels disease characterized by cognitive impairment, gait disturbances with. Binswanger’s disease is a form of vascular dementia. Binswanger disease is a progressive neurological disorder caused by arteriosclerosis and thromboembolism affecting the blood. Binswanger's disease is a rare form of dementia sometimes referred to as subcortical vascular dementia. People who have binswanger's disease. What Is Binswanger Disease.
From familymednews.com
What is Binswanger Disease? Family Medicine News What Is Binswanger Disease Binswanger's disease is a rare form of dementia sometimes referred to as subcortical vascular dementia. Binswanger disease is a progressive neurological disorder caused by arteriosclerosis and thromboembolism affecting the blood. People who have binswanger's disease typically have developed a narrowing of the arteries which then restricts blood flow in the brain. Binswanger's disease (bd), also called subcortical vascular dementia, is. What Is Binswanger Disease.
From www.alamy.com
Binswanger's disease. Coloured axial computed tomography (CT) scan of What Is Binswanger Disease It is a result of brain damage due to. Binswanger disease is a progressive neurological disorder caused by arteriosclerosis and thromboembolism affecting the blood. Binswanger's disease is a rare form of dementia sometimes referred to as subcortical vascular dementia. Binswanger's disease (bd), also called subcortical vascular dementia, is a type of dementia caused by widespread, microscopic areas of damage to.. What Is Binswanger Disease.
From www.stroke-manual.com
Binswanger's disease STROKE MANUAL What Is Binswanger Disease A diagnosis of binswanger's disease was proposed for our patient based on the clinical features regarding the risk factors,. Binswanger’s disease is a form of vascular dementia. Binswanger disease is a progressive neurological disorder caused by arteriosclerosis and thromboembolism affecting the blood. People who have binswanger's disease typically have developed a narrowing of the arteries which then restricts blood flow. What Is Binswanger Disease.
From www.annsaudimed.net
Binswanger Disease The King Khalid University Hospital Experience What Is Binswanger Disease Binswanger’s disease is a form of vascular dementia. Binswanger's disease is a rare form of dementia sometimes referred to as subcortical vascular dementia. Binswanger’s disease is a form of cerebral small vessels disease characterized by cognitive impairment, gait disturbances with. Binswanger's disease (bd), also called subcortical vascular dementia, is a type of dementia caused by widespread, microscopic areas of damage. What Is Binswanger Disease.
From www.sciencephoto.com
Binswanger's disease, CT scan Stock Image C001/7913 Science Photo What Is Binswanger Disease Binswanger's disease is a rare form of dementia sometimes referred to as subcortical vascular dementia. Binswanger’s disease is a form of cerebral small vessels disease characterized by cognitive impairment, gait disturbances with. Binswanger’s disease is a form of vascular dementia. It is a result of brain damage due to. People who have binswanger's disease typically have developed a narrowing of. What Is Binswanger Disease.
From www.youtube.com
Binswanger's Disease What is it? Short Documentary YouTube What Is Binswanger Disease Binswanger disease is a progressive neurological disorder caused by arteriosclerosis and thromboembolism affecting the blood. It is a result of brain damage due to. Binswanger's disease (bd), also called subcortical vascular dementia, is a type of dementia caused by widespread, microscopic areas of damage to. People who have binswanger's disease typically have developed a narrowing of the arteries which then. What Is Binswanger Disease.
From www.semanticscholar.org
Figure 2 from 197 Binswanger’s Disease Semantic Scholar What Is Binswanger Disease It is a result of brain damage due to. Binswanger’s disease is a form of vascular dementia. People who have binswanger's disease typically have developed a narrowing of the arteries which then restricts blood flow in the brain. Binswanger’s disease is a form of cerebral small vessels disease characterized by cognitive impairment, gait disturbances with. Binswanger's disease (bd), also called. What Is Binswanger Disease.
From www.researchgate.net
(PDF) Binswanger's disease What Is Binswanger Disease Binswanger disease is a progressive neurological disorder caused by arteriosclerosis and thromboembolism affecting the blood. Binswanger's disease is a rare form of dementia sometimes referred to as subcortical vascular dementia. People who have binswanger's disease typically have developed a narrowing of the arteries which then restricts blood flow in the brain. A diagnosis of binswanger's disease was proposed for our. What Is Binswanger Disease.
From www.youtube.com
BINSWANGER'S DISEASE YouTube What Is Binswanger Disease Binswanger’s disease is a form of cerebral small vessels disease characterized by cognitive impairment, gait disturbances with. People who have binswanger's disease typically have developed a narrowing of the arteries which then restricts blood flow in the brain. Binswanger's disease (bd), also called subcortical vascular dementia, is a type of dementia caused by widespread, microscopic areas of damage to. Binswanger’s. What Is Binswanger Disease.
From storymd.com
How Is Binswanger's Disease Diagnosed? StoryMD What Is Binswanger Disease Binswanger’s disease is a form of vascular dementia. Binswanger’s disease is a form of cerebral small vessels disease characterized by cognitive impairment, gait disturbances with. Binswanger's disease is a rare form of dementia sometimes referred to as subcortical vascular dementia. Binswanger's disease (bd), also called subcortical vascular dementia, is a type of dementia caused by widespread, microscopic areas of damage. What Is Binswanger Disease.
From case.edu
Binswanger What Is Binswanger Disease Binswanger disease is a progressive neurological disorder caused by arteriosclerosis and thromboembolism affecting the blood. A diagnosis of binswanger's disease was proposed for our patient based on the clinical features regarding the risk factors,. Binswanger’s disease is a form of vascular dementia. It is a result of brain damage due to. Binswanger's disease (bd), also called subcortical vascular dementia, is. What Is Binswanger Disease.
From www.verywellhealth.com
Binswanger's Disease Symptoms, Treatment, and Prognosis What Is Binswanger Disease It is a result of brain damage due to. Binswanger’s disease is a form of vascular dementia. A diagnosis of binswanger's disease was proposed for our patient based on the clinical features regarding the risk factors,. Binswanger’s disease is a form of cerebral small vessels disease characterized by cognitive impairment, gait disturbances with. Binswanger's disease is a rare form of. What Is Binswanger Disease.
From www.alamy.com
Binswanger's disease. Coloured axial computed tomography (CT) scan of What Is Binswanger Disease Binswanger's disease (bd), also called subcortical vascular dementia, is a type of dementia caused by widespread, microscopic areas of damage to. People who have binswanger's disease typically have developed a narrowing of the arteries which then restricts blood flow in the brain. Binswanger’s disease is a form of vascular dementia. Binswanger disease is a progressive neurological disorder caused by arteriosclerosis. What Is Binswanger Disease.
From www.youtube.com
Binswanger's disease (Medical Condition) YouTube What Is Binswanger Disease People who have binswanger's disease typically have developed a narrowing of the arteries which then restricts blood flow in the brain. Binswanger’s disease is a form of cerebral small vessels disease characterized by cognitive impairment, gait disturbances with. Binswanger's disease (bd), also called subcortical vascular dementia, is a type of dementia caused by widespread, microscopic areas of damage to. A. What Is Binswanger Disease.
From www.scribd.com
Binswanger Disease Resonance Imaging Medical Imaging What Is Binswanger Disease Binswanger disease is a progressive neurological disorder caused by arteriosclerosis and thromboembolism affecting the blood. Binswanger's disease (bd), also called subcortical vascular dementia, is a type of dementia caused by widespread, microscopic areas of damage to. Binswanger’s disease is a form of cerebral small vessels disease characterized by cognitive impairment, gait disturbances with. It is a result of brain damage. What Is Binswanger Disease.
From www.yogavanahill.com
Binswanger's What Is Binswanger Disease Binswanger’s disease is a form of cerebral small vessels disease characterized by cognitive impairment, gait disturbances with. Binswanger's disease (bd), also called subcortical vascular dementia, is a type of dementia caused by widespread, microscopic areas of damage to. A diagnosis of binswanger's disease was proposed for our patient based on the clinical features regarding the risk factors,. Binswanger’s disease is. What Is Binswanger Disease.
From onlinelibrary.wiley.com
Binswanger's disease Case presentation and differential diagnosis What Is Binswanger Disease Binswanger disease is a progressive neurological disorder caused by arteriosclerosis and thromboembolism affecting the blood. It is a result of brain damage due to. Binswanger’s disease is a form of vascular dementia. Binswanger's disease (bd), also called subcortical vascular dementia, is a type of dementia caused by widespread, microscopic areas of damage to. Binswanger’s disease is a form of cerebral. What Is Binswanger Disease.
From www.researchgate.net
(PDF) Binswanger's disease Case presentation and differential diagnosis What Is Binswanger Disease Binswanger disease is a progressive neurological disorder caused by arteriosclerosis and thromboembolism affecting the blood. It is a result of brain damage due to. Binswanger’s disease is a form of cerebral small vessels disease characterized by cognitive impairment, gait disturbances with. Binswanger’s disease is a form of vascular dementia. A diagnosis of binswanger's disease was proposed for our patient based. What Is Binswanger Disease.
From biology.openlcc.net
Binswanger’s Disease Exploring Biology What Is Binswanger Disease A diagnosis of binswanger's disease was proposed for our patient based on the clinical features regarding the risk factors,. It is a result of brain damage due to. Binswanger’s disease is a form of vascular dementia. Binswanger's disease (bd), also called subcortical vascular dementia, is a type of dementia caused by widespread, microscopic areas of damage to. Binswanger disease is. What Is Binswanger Disease.
From radiopaedia.org
Binswanger disease subcortical arteriosclerotic encephalopathy What Is Binswanger Disease Binswanger's disease is a rare form of dementia sometimes referred to as subcortical vascular dementia. Binswanger’s disease is a form of cerebral small vessels disease characterized by cognitive impairment, gait disturbances with. Binswanger's disease (bd), also called subcortical vascular dementia, is a type of dementia caused by widespread, microscopic areas of damage to. Binswanger disease is a progressive neurological disorder. What Is Binswanger Disease.
From www.pinterest.com
Binswanger's disease is a type of dementia caused by widespread What Is Binswanger Disease It is a result of brain damage due to. Binswanger's disease (bd), also called subcortical vascular dementia, is a type of dementia caused by widespread, microscopic areas of damage to. A diagnosis of binswanger's disease was proposed for our patient based on the clinical features regarding the risk factors,. Binswanger's disease is a rare form of dementia sometimes referred to. What Is Binswanger Disease.
From www.yogavanahill.com
Binswanger Disease What Is Binswanger Disease Binswanger’s disease is a form of vascular dementia. Binswanger's disease is a rare form of dementia sometimes referred to as subcortical vascular dementia. Binswanger’s disease is a form of cerebral small vessels disease characterized by cognitive impairment, gait disturbances with. It is a result of brain damage due to. Binswanger disease is a progressive neurological disorder caused by arteriosclerosis and. What Is Binswanger Disease.