Resin Infiltration Near Me . the resin infiltration is a minimally invasive treatment that penetrates demineralized enamel to better match the natural shade of the tooth. providing a white spot lesion treatment chairside can provide the patient with a confident smile. icon resin infiltration is a minimally invasive cosmetic dental treatment designed to treat white spots and carious lesions, or areas. icon resin infiltration is a minimally invasive treatment to improve the appearance of white spots on your child’s teeth. A resin infiltration, known as. icon smooth surface provides a simple treatment solution for discoloration on smooth surfaces. the icon resin infiltration process is a minimally invasive procedure, completed in just one appointment without. Wsls are associated with subsurface enamel porosities caused by a cyclical imbalance between demineralization and remineralization of the enamel, resulting from poor.
from www.priorlakedental.com
providing a white spot lesion treatment chairside can provide the patient with a confident smile. the icon resin infiltration process is a minimally invasive procedure, completed in just one appointment without. Wsls are associated with subsurface enamel porosities caused by a cyclical imbalance between demineralization and remineralization of the enamel, resulting from poor. icon resin infiltration is a minimally invasive cosmetic dental treatment designed to treat white spots and carious lesions, or areas. icon resin infiltration is a minimally invasive treatment to improve the appearance of white spots on your child’s teeth. the resin infiltration is a minimally invasive treatment that penetrates demineralized enamel to better match the natural shade of the tooth. icon smooth surface provides a simple treatment solution for discoloration on smooth surfaces. A resin infiltration, known as.
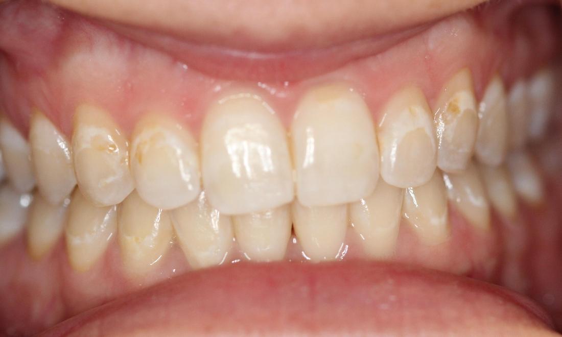
ICON Resin Infiltration Prior Lake MN, Prior Lake Dental
Resin Infiltration Near Me Wsls are associated with subsurface enamel porosities caused by a cyclical imbalance between demineralization and remineralization of the enamel, resulting from poor. providing a white spot lesion treatment chairside can provide the patient with a confident smile. A resin infiltration, known as. Wsls are associated with subsurface enamel porosities caused by a cyclical imbalance between demineralization and remineralization of the enamel, resulting from poor. icon smooth surface provides a simple treatment solution for discoloration on smooth surfaces. icon resin infiltration is a minimally invasive cosmetic dental treatment designed to treat white spots and carious lesions, or areas. the resin infiltration is a minimally invasive treatment that penetrates demineralized enamel to better match the natural shade of the tooth. the icon resin infiltration process is a minimally invasive procedure, completed in just one appointment without. icon resin infiltration is a minimally invasive treatment to improve the appearance of white spots on your child’s teeth.
From www.peakdentalelpaso.com
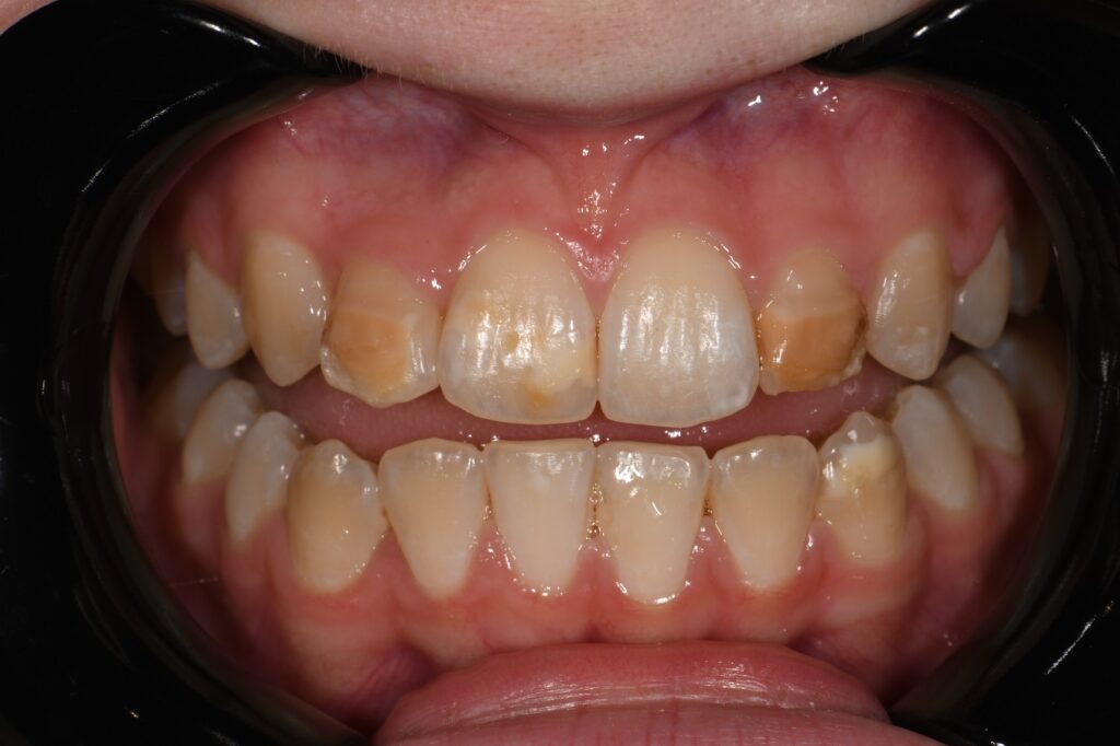
Resin Infiltration for treatment of white spots Before & After Photos Resin Infiltration Near Me A resin infiltration, known as. providing a white spot lesion treatment chairside can provide the patient with a confident smile. the icon resin infiltration process is a minimally invasive procedure, completed in just one appointment without. icon resin infiltration is a minimally invasive treatment to improve the appearance of white spots on your child’s teeth. the. Resin Infiltration Near Me.
From mykidsdentistoakville.com
ICON Resin Infiltration Resin Infiltration Near Me the resin infiltration is a minimally invasive treatment that penetrates demineralized enamel to better match the natural shade of the tooth. icon smooth surface provides a simple treatment solution for discoloration on smooth surfaces. icon resin infiltration is a minimally invasive cosmetic dental treatment designed to treat white spots and carious lesions, or areas. the icon. Resin Infiltration Near Me.
From www.tysonsdentistry.com
Tysons Dentistry's Smile Gallery Resin Infiltration Resin Infiltration Near Me A resin infiltration, known as. icon resin infiltration is a minimally invasive cosmetic dental treatment designed to treat white spots and carious lesions, or areas. Wsls are associated with subsurface enamel porosities caused by a cyclical imbalance between demineralization and remineralization of the enamel, resulting from poor. icon smooth surface provides a simple treatment solution for discoloration on. Resin Infiltration Near Me.
From dmg-connect.com
Clinical Tip Resin Infiltration DMG America Resin Infiltration Near Me Wsls are associated with subsurface enamel porosities caused by a cyclical imbalance between demineralization and remineralization of the enamel, resulting from poor. providing a white spot lesion treatment chairside can provide the patient with a confident smile. the icon resin infiltration process is a minimally invasive procedure, completed in just one appointment without. A resin infiltration, known as.. Resin Infiltration Near Me.
From dmg-connect.com
Resin Infiltration in the Treatment of MIH Lesions in Anterior Teeth in Resin Infiltration Near Me providing a white spot lesion treatment chairside can provide the patient with a confident smile. A resin infiltration, known as. icon resin infiltration is a minimally invasive cosmetic dental treatment designed to treat white spots and carious lesions, or areas. icon smooth surface provides a simple treatment solution for discoloration on smooth surfaces. Wsls are associated with. Resin Infiltration Near Me.
From www.clarencetam.co.nz
Resin Infiltration Minimally Invasive Dentistry Resin Infiltration Near Me the resin infiltration is a minimally invasive treatment that penetrates demineralized enamel to better match the natural shade of the tooth. Wsls are associated with subsurface enamel porosities caused by a cyclical imbalance between demineralization and remineralization of the enamel, resulting from poor. icon resin infiltration is a minimally invasive treatment to improve the appearance of white spots. Resin Infiltration Near Me.
From www.researchgate.net
Resin infiltration for achromatic enamel dysplastic spot lesions. a Resin Infiltration Near Me the resin infiltration is a minimally invasive treatment that penetrates demineralized enamel to better match the natural shade of the tooth. providing a white spot lesion treatment chairside can provide the patient with a confident smile. icon smooth surface provides a simple treatment solution for discoloration on smooth surfaces. icon resin infiltration is a minimally invasive. Resin Infiltration Near Me.
From www.tooth-life.com
Understanding Icon Resin Infiltration A Comprehensive Guide Resin Infiltration Near Me A resin infiltration, known as. the resin infiltration is a minimally invasive treatment that penetrates demineralized enamel to better match the natural shade of the tooth. providing a white spot lesion treatment chairside can provide the patient with a confident smile. icon smooth surface provides a simple treatment solution for discoloration on smooth surfaces. icon resin. Resin Infiltration Near Me.
From 123rpd.com
Riverside Pediatric Dentistry Dentist in Amesbury, MA Resin Infiltration Near Me providing a white spot lesion treatment chairside can provide the patient with a confident smile. icon resin infiltration is a minimally invasive treatment to improve the appearance of white spots on your child’s teeth. icon smooth surface provides a simple treatment solution for discoloration on smooth surfaces. A resin infiltration, known as. Wsls are associated with subsurface. Resin Infiltration Near Me.
From www.majidiandental.com
ICON Resin Infiltration Majidian Dental Fargo, ND Resin Infiltration Near Me the icon resin infiltration process is a minimally invasive procedure, completed in just one appointment without. icon smooth surface provides a simple treatment solution for discoloration on smooth surfaces. icon resin infiltration is a minimally invasive cosmetic dental treatment designed to treat white spots and carious lesions, or areas. Wsls are associated with subsurface enamel porosities caused. Resin Infiltration Near Me.
From alrezfamilydentistry.com
How Does Resin Infiltration Work? l Alrez Family Dentistry Resin Infiltration Near Me the resin infiltration is a minimally invasive treatment that penetrates demineralized enamel to better match the natural shade of the tooth. A resin infiltration, known as. icon resin infiltration is a minimally invasive cosmetic dental treatment designed to treat white spots and carious lesions, or areas. icon resin infiltration is a minimally invasive treatment to improve the. Resin Infiltration Near Me.
From gioqeakim.blob.core.windows.net
Icon Treatment Near Me at Alicia Quigley blog Resin Infiltration Near Me the icon resin infiltration process is a minimally invasive procedure, completed in just one appointment without. the resin infiltration is a minimally invasive treatment that penetrates demineralized enamel to better match the natural shade of the tooth. icon smooth surface provides a simple treatment solution for discoloration on smooth surfaces. icon resin infiltration is a minimally. Resin Infiltration Near Me.
From www.tooth-life.com
Understanding Icon Resin Infiltration A Comprehensive Guide Resin Infiltration Near Me Wsls are associated with subsurface enamel porosities caused by a cyclical imbalance between demineralization and remineralization of the enamel, resulting from poor. A resin infiltration, known as. the resin infiltration is a minimally invasive treatment that penetrates demineralized enamel to better match the natural shade of the tooth. icon resin infiltration is a minimally invasive treatment to improve. Resin Infiltration Near Me.
From www.priorlakedental.com
ICON Resin Infiltration Prior Lake MN, Prior Lake Dental Resin Infiltration Near Me the resin infiltration is a minimally invasive treatment that penetrates demineralized enamel to better match the natural shade of the tooth. icon resin infiltration is a minimally invasive cosmetic dental treatment designed to treat white spots and carious lesions, or areas. the icon resin infiltration process is a minimally invasive procedure, completed in just one appointment without.. Resin Infiltration Near Me.
From www.etxortho.com
ICON Resin Infiltration Mack & Hansen Orthodontics Longview TX Resin Infiltration Near Me the icon resin infiltration process is a minimally invasive procedure, completed in just one appointment without. icon smooth surface provides a simple treatment solution for discoloration on smooth surfaces. Wsls are associated with subsurface enamel porosities caused by a cyclical imbalance between demineralization and remineralization of the enamel, resulting from poor. the resin infiltration is a minimally. Resin Infiltration Near Me.
From beautymedicaldevices.com
Resin Infiltration A Minimally Invasive Treatment for White Spots on Teeth Resin Infiltration Near Me icon resin infiltration is a minimally invasive cosmetic dental treatment designed to treat white spots and carious lesions, or areas. icon smooth surface provides a simple treatment solution for discoloration on smooth surfaces. icon resin infiltration is a minimally invasive treatment to improve the appearance of white spots on your child’s teeth. A resin infiltration, known as.. Resin Infiltration Near Me.
From www.clarencetam.co.nz
Resin infiltration with composite resin direct restoration combination Resin Infiltration Near Me icon resin infiltration is a minimally invasive treatment to improve the appearance of white spots on your child’s teeth. providing a white spot lesion treatment chairside can provide the patient with a confident smile. the resin infiltration is a minimally invasive treatment that penetrates demineralized enamel to better match the natural shade of the tooth. the. Resin Infiltration Near Me.
From kidsteethandbraces.com
Icon Resin Infiltration (ICON) Affiliated Children's Dental Specialists Resin Infiltration Near Me icon resin infiltration is a minimally invasive cosmetic dental treatment designed to treat white spots and carious lesions, or areas. the icon resin infiltration process is a minimally invasive procedure, completed in just one appointment without. icon resin infiltration is a minimally invasive treatment to improve the appearance of white spots on your child’s teeth. icon. Resin Infiltration Near Me.
From www.clarencetam.co.nz
Resin Infiltration and Composite Layering Resin Infiltration Near Me providing a white spot lesion treatment chairside can provide the patient with a confident smile. the resin infiltration is a minimally invasive treatment that penetrates demineralized enamel to better match the natural shade of the tooth. icon smooth surface provides a simple treatment solution for discoloration on smooth surfaces. the icon resin infiltration process is a. Resin Infiltration Near Me.
From www.toothtownpd.com
Woodstock Resin Infiltration Tooth Town Pediatric Dentistry Resin Infiltration Near Me Wsls are associated with subsurface enamel porosities caused by a cyclical imbalance between demineralization and remineralization of the enamel, resulting from poor. icon resin infiltration is a minimally invasive cosmetic dental treatment designed to treat white spots and carious lesions, or areas. icon resin infiltration is a minimally invasive treatment to improve the appearance of white spots on. Resin Infiltration Near Me.
From www.dentiquesandiego.com
Icon Resin Infiltration Dentique San Diego Resin Infiltration Near Me icon resin infiltration is a minimally invasive treatment to improve the appearance of white spots on your child’s teeth. icon resin infiltration is a minimally invasive cosmetic dental treatment designed to treat white spots and carious lesions, or areas. Wsls are associated with subsurface enamel porosities caused by a cyclical imbalance between demineralization and remineralization of the enamel,. Resin Infiltration Near Me.
From www.researchgate.net
Procedure of resin infiltration technique (A) Cleaning the surfaces of Resin Infiltration Near Me Wsls are associated with subsurface enamel porosities caused by a cyclical imbalance between demineralization and remineralization of the enamel, resulting from poor. providing a white spot lesion treatment chairside can provide the patient with a confident smile. the icon resin infiltration process is a minimally invasive procedure, completed in just one appointment without. the resin infiltration is. Resin Infiltration Near Me.
From edu.svet.gob.gt
Icon Resin Infiltration Near Me edu.svet.gob.gt Resin Infiltration Near Me Wsls are associated with subsurface enamel porosities caused by a cyclical imbalance between demineralization and remineralization of the enamel, resulting from poor. A resin infiltration, known as. icon resin infiltration is a minimally invasive cosmetic dental treatment designed to treat white spots and carious lesions, or areas. icon resin infiltration is a minimally invasive treatment to improve the. Resin Infiltration Near Me.
From www.priorlakedental.com
ICON Resin Infiltration Prior Lake MN, Prior Lake Dental Resin Infiltration Near Me providing a white spot lesion treatment chairside can provide the patient with a confident smile. icon smooth surface provides a simple treatment solution for discoloration on smooth surfaces. Wsls are associated with subsurface enamel porosities caused by a cyclical imbalance between demineralization and remineralization of the enamel, resulting from poor. the resin infiltration is a minimally invasive. Resin Infiltration Near Me.
From smiledentallounge.com
ICON Resin Infiltration The Smile Dental Lounge Dental Clinic Johor Resin Infiltration Near Me Wsls are associated with subsurface enamel porosities caused by a cyclical imbalance between demineralization and remineralization of the enamel, resulting from poor. the resin infiltration is a minimally invasive treatment that penetrates demineralized enamel to better match the natural shade of the tooth. providing a white spot lesion treatment chairside can provide the patient with a confident smile.. Resin Infiltration Near Me.
From www.santarosapediatricdentistry.com
Icon Resin Infiltration Santa Rosa CA, Santa Rosa Pediatric Dentistry Resin Infiltration Near Me icon resin infiltration is a minimally invasive cosmetic dental treatment designed to treat white spots and carious lesions, or areas. A resin infiltration, known as. icon smooth surface provides a simple treatment solution for discoloration on smooth surfaces. the icon resin infiltration process is a minimally invasive procedure, completed in just one appointment without. icon resin. Resin Infiltration Near Me.
From www.researchgate.net
Procedure of resin infiltration technique (A) Cleaning the surfaces of Resin Infiltration Near Me icon smooth surface provides a simple treatment solution for discoloration on smooth surfaces. A resin infiltration, known as. icon resin infiltration is a minimally invasive cosmetic dental treatment designed to treat white spots and carious lesions, or areas. the icon resin infiltration process is a minimally invasive procedure, completed in just one appointment without. Wsls are associated. Resin Infiltration Near Me.
From www.smiles-for-kids.com
New dental technology Icon resin infiltration — Smiles for Kids Resin Infiltration Near Me the icon resin infiltration process is a minimally invasive procedure, completed in just one appointment without. icon resin infiltration is a minimally invasive treatment to improve the appearance of white spots on your child’s teeth. icon smooth surface provides a simple treatment solution for discoloration on smooth surfaces. icon resin infiltration is a minimally invasive cosmetic. Resin Infiltration Near Me.
From www.tysonsdentistry.com
Resin Infiltration Vienna VA Remove White Spots on Your Teeth Resin Infiltration Near Me icon smooth surface provides a simple treatment solution for discoloration on smooth surfaces. providing a white spot lesion treatment chairside can provide the patient with a confident smile. Wsls are associated with subsurface enamel porosities caused by a cyclical imbalance between demineralization and remineralization of the enamel, resulting from poor. the icon resin infiltration process is a. Resin Infiltration Near Me.
From www.youtube.com
ICON Resin Infiltration for White Spots Step by Step FULL PROTOCOL Resin Infiltration Near Me icon resin infiltration is a minimally invasive treatment to improve the appearance of white spots on your child’s teeth. the resin infiltration is a minimally invasive treatment that penetrates demineralized enamel to better match the natural shade of the tooth. icon smooth surface provides a simple treatment solution for discoloration on smooth surfaces. A resin infiltration, known. Resin Infiltration Near Me.
From www.balmoraldental.com.au
Infiltration Resin Best White Spot Lesion Treatment Resin Infiltration Near Me icon smooth surface provides a simple treatment solution for discoloration on smooth surfaces. the icon resin infiltration process is a minimally invasive procedure, completed in just one appointment without. providing a white spot lesion treatment chairside can provide the patient with a confident smile. icon resin infiltration is a minimally invasive cosmetic dental treatment designed to. Resin Infiltration Near Me.
From www.toothtownpd.com
Woodstock Resin Infiltration Tooth Town Pediatric Dentistry Resin Infiltration Near Me providing a white spot lesion treatment chairside can provide the patient with a confident smile. icon smooth surface provides a simple treatment solution for discoloration on smooth surfaces. the resin infiltration is a minimally invasive treatment that penetrates demineralized enamel to better match the natural shade of the tooth. icon resin infiltration is a minimally invasive. Resin Infiltration Near Me.
From www.youtube.com
ICON Resin Infiltration step by step Microscopic Dentistry YouTube Resin Infiltration Near Me the icon resin infiltration process is a minimally invasive procedure, completed in just one appointment without. providing a white spot lesion treatment chairside can provide the patient with a confident smile. Wsls are associated with subsurface enamel porosities caused by a cyclical imbalance between demineralization and remineralization of the enamel, resulting from poor. icon smooth surface provides. Resin Infiltration Near Me.
From drfotinos.com
Clear Resin Infiltration Dr Christoper J Fotinos Resin Infiltration Near Me providing a white spot lesion treatment chairside can provide the patient with a confident smile. icon resin infiltration is a minimally invasive cosmetic dental treatment designed to treat white spots and carious lesions, or areas. the resin infiltration is a minimally invasive treatment that penetrates demineralized enamel to better match the natural shade of the tooth. A. Resin Infiltration Near Me.
From protrusive.co.uk
ICON Resin Infiltration Step by Step FULL PROTOCOL PDP140 Resin Infiltration Near Me A resin infiltration, known as. providing a white spot lesion treatment chairside can provide the patient with a confident smile. icon smooth surface provides a simple treatment solution for discoloration on smooth surfaces. Wsls are associated with subsurface enamel porosities caused by a cyclical imbalance between demineralization and remineralization of the enamel, resulting from poor. the icon. Resin Infiltration Near Me.