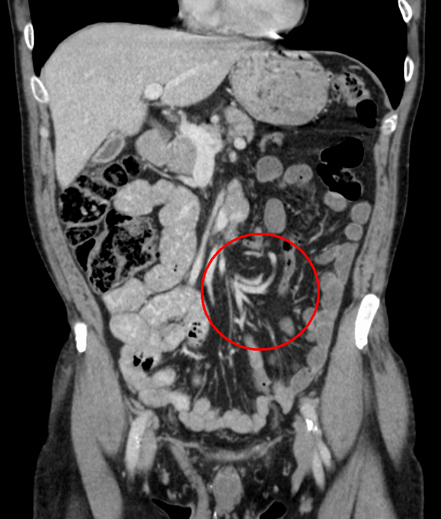
From pubs.rsna.org
J Pouch Imaging Findings, Surgical Variations, Natural History, and J Pouch Blockage Learn about the candidates, risks, benefits, and recovery of this alternative to ileostomy. This procedure completely removes the diseased colon while retaining transanal defecation. It involves removing the colon. J Pouch Blockage.
From www.webmd.com
How a JPouch for Ulcerative Colitis Works J Pouch Blockage Learn about the candidates, risks, benefits, and recovery of this alternative to ileostomy. This procedure completely removes the diseased colon while retaining transanal defecation. It involves removing the colon. J Pouch Blockage.
From www.bmj.com
What is the most effective operation for adults with severe and complex J Pouch Blockage It involves removing the colon. This procedure completely removes the diseased colon while retaining transanal defecation. Learn about the candidates, risks, benefits, and recovery of this alternative to ileostomy. J Pouch Blockage.
From pubs.rsna.org
J Pouch Imaging Findings, Surgical Variations, Natural History, and J Pouch Blockage Learn about the candidates, risks, benefits, and recovery of this alternative to ileostomy. This procedure completely removes the diseased colon while retaining transanal defecation. It involves removing the colon. J Pouch Blockage.
From pubs.rsna.org
J Pouch Imaging Findings, Surgical Variations, Natural History, and J Pouch Blockage Learn about the candidates, risks, benefits, and recovery of this alternative to ileostomy. This procedure completely removes the diseased colon while retaining transanal defecation. It involves removing the colon. J Pouch Blockage.
From pubs.rsna.org
J Pouch Imaging Findings, Surgical Variations, Natural History, and J Pouch Blockage It involves removing the colon. Learn about the candidates, risks, benefits, and recovery of this alternative to ileostomy. This procedure completely removes the diseased colon while retaining transanal defecation. J Pouch Blockage.
From pubs.rsna.org
J Pouch Imaging Findings, Surgical Variations, Natural History, and J Pouch Blockage This procedure completely removes the diseased colon while retaining transanal defecation. Learn about the candidates, risks, benefits, and recovery of this alternative to ileostomy. It involves removing the colon. J Pouch Blockage.
From pubs.rsna.org
J Pouch Imaging Findings, Surgical Variations, Natural History, and J Pouch Blockage This procedure completely removes the diseased colon while retaining transanal defecation. It involves removing the colon. Learn about the candidates, risks, benefits, and recovery of this alternative to ileostomy. J Pouch Blockage.
From pubs.rsna.org
J Pouch Imaging Findings, Surgical Variations, Natural History, and J Pouch Blockage This procedure completely removes the diseased colon while retaining transanal defecation. It involves removing the colon. Learn about the candidates, risks, benefits, and recovery of this alternative to ileostomy. J Pouch Blockage.
From journals.lww.com
Leaks From the Tip of the Jpouch Diagnosis, Management, an J Pouch Blockage This procedure completely removes the diseased colon while retaining transanal defecation. It involves removing the colon. Learn about the candidates, risks, benefits, and recovery of this alternative to ileostomy. J Pouch Blockage.
From batepround.blogspot.com
Gastric Outlet Obstruction A Red Flag Potentially Manageable Cleveland J Pouch Blockage This procedure completely removes the diseased colon while retaining transanal defecation. Learn about the candidates, risks, benefits, and recovery of this alternative to ileostomy. It involves removing the colon. J Pouch Blockage.
From www.ajronline.org
Reporting Templates for MRI and WaterSoluble Contrast Enema in J Pouch Blockage Learn about the candidates, risks, benefits, and recovery of this alternative to ileostomy. It involves removing the colon. This procedure completely removes the diseased colon while retaining transanal defecation. J Pouch Blockage.
From greatist.com
What Is JPouch Surgery? Procedure Stages J Pouch Blockage This procedure completely removes the diseased colon while retaining transanal defecation. Learn about the candidates, risks, benefits, and recovery of this alternative to ileostomy. It involves removing the colon. J Pouch Blockage.
From pubs.rsna.org
J Pouch Imaging Findings, Surgical Variations, Natural History, and J Pouch Blockage It involves removing the colon. This procedure completely removes the diseased colon while retaining transanal defecation. Learn about the candidates, risks, benefits, and recovery of this alternative to ileostomy. J Pouch Blockage.
From fordlandhighcounselingcorner.weebly.com
What is JPouch? How Does it Work? Nerdy Health J Pouch Blockage It involves removing the colon. This procedure completely removes the diseased colon while retaining transanal defecation. Learn about the candidates, risks, benefits, and recovery of this alternative to ileostomy. J Pouch Blockage.
From pubs.rsna.org
J Pouch Imaging Findings, Surgical Variations, Natural History, and J Pouch Blockage It involves removing the colon. This procedure completely removes the diseased colon while retaining transanal defecation. Learn about the candidates, risks, benefits, and recovery of this alternative to ileostomy. J Pouch Blockage.
From www.youtube.com
Understanding the Jpouch surgical procedure YouTube J Pouch Blockage It involves removing the colon. This procedure completely removes the diseased colon while retaining transanal defecation. Learn about the candidates, risks, benefits, and recovery of this alternative to ileostomy. J Pouch Blockage.
From pubs.rsna.org
J Pouch Imaging Findings, Surgical Variations, Natural History, and J Pouch Blockage It involves removing the colon. Learn about the candidates, risks, benefits, and recovery of this alternative to ileostomy. This procedure completely removes the diseased colon while retaining transanal defecation. J Pouch Blockage.
From inflammatoryboweldisease.net
5 Tips for Living With a JPouch With Ulcerative Colitis J Pouch Blockage Learn about the candidates, risks, benefits, and recovery of this alternative to ileostomy. It involves removing the colon. This procedure completely removes the diseased colon while retaining transanal defecation. J Pouch Blockage.
From pubs.rsna.org
J Pouch Imaging Findings, Surgical Variations, Natural History, and J Pouch Blockage It involves removing the colon. Learn about the candidates, risks, benefits, and recovery of this alternative to ileostomy. This procedure completely removes the diseased colon while retaining transanal defecation. J Pouch Blockage.
From colitisblog.de
JPouch Erfahrungsbericht 7 Tag 47 nach der Kolektomie colitisblog.de J Pouch Blockage This procedure completely removes the diseased colon while retaining transanal defecation. Learn about the candidates, risks, benefits, and recovery of this alternative to ileostomy. It involves removing the colon. J Pouch Blockage.
From pubs.rsna.org
J Pouch Imaging Findings, Surgical Variations, Natural History, and J Pouch Blockage This procedure completely removes the diseased colon while retaining transanal defecation. Learn about the candidates, risks, benefits, and recovery of this alternative to ileostomy. It involves removing the colon. J Pouch Blockage.
From greatist.com
What Is JPouch Surgery? Procedure Stages J Pouch Blockage Learn about the candidates, risks, benefits, and recovery of this alternative to ileostomy. It involves removing the colon. This procedure completely removes the diseased colon while retaining transanal defecation. J Pouch Blockage.
From www.ajronline.org
Pouchography, CT, and MRI Features of Ileal J PouchAnal Anastomosis AJR J Pouch Blockage This procedure completely removes the diseased colon while retaining transanal defecation. Learn about the candidates, risks, benefits, and recovery of this alternative to ileostomy. It involves removing the colon. J Pouch Blockage.
From www.animalia-life.club
Proctocolectomy With J Pouch J Pouch Blockage This procedure completely removes the diseased colon while retaining transanal defecation. It involves removing the colon. Learn about the candidates, risks, benefits, and recovery of this alternative to ileostomy. J Pouch Blockage.
From www.medicalnewstoday.com
What is Jpouch surgery? J Pouch Blockage This procedure completely removes the diseased colon while retaining transanal defecation. It involves removing the colon. Learn about the candidates, risks, benefits, and recovery of this alternative to ileostomy. J Pouch Blockage.
From pubs.rsna.org
J Pouch Imaging Findings, Surgical Variations, Natural History, and J Pouch Blockage Learn about the candidates, risks, benefits, and recovery of this alternative to ileostomy. This procedure completely removes the diseased colon while retaining transanal defecation. It involves removing the colon. J Pouch Blockage.
From pubs.rsna.org
J Pouch Imaging Findings, Surgical Variations, Natural History, and J Pouch Blockage It involves removing the colon. This procedure completely removes the diseased colon while retaining transanal defecation. Learn about the candidates, risks, benefits, and recovery of this alternative to ileostomy. J Pouch Blockage.
From pubs.rsna.org
J Pouch Imaging Findings, Surgical Variations, Natural History, and J Pouch Blockage It involves removing the colon. This procedure completely removes the diseased colon while retaining transanal defecation. Learn about the candidates, risks, benefits, and recovery of this alternative to ileostomy. J Pouch Blockage.
From www.narodnatribuna.info
J Pouch Diagram J Pouch Blockage It involves removing the colon. This procedure completely removes the diseased colon while retaining transanal defecation. Learn about the candidates, risks, benefits, and recovery of this alternative to ileostomy. J Pouch Blockage.
From www.ajronline.org
Pouchography, CT, and MRI Features of Ileal J PouchAnal Anastomosis AJR J Pouch Blockage This procedure completely removes the diseased colon while retaining transanal defecation. Learn about the candidates, risks, benefits, and recovery of this alternative to ileostomy. It involves removing the colon. J Pouch Blockage.
From www.youtube.com
J Pouch Surgery YouTube J Pouch Blockage It involves removing the colon. This procedure completely removes the diseased colon while retaining transanal defecation. Learn about the candidates, risks, benefits, and recovery of this alternative to ileostomy. J Pouch Blockage.
From www.researchgate.net
(PDF) Acute abdomen due to Jpouch outlet obstruction A case report J Pouch Blockage Learn about the candidates, risks, benefits, and recovery of this alternative to ileostomy. This procedure completely removes the diseased colon while retaining transanal defecation. It involves removing the colon. J Pouch Blockage.
From pubs.rsna.org
J Pouch Imaging Findings, Surgical Variations, Natural History, and J Pouch Blockage This procedure completely removes the diseased colon while retaining transanal defecation. Learn about the candidates, risks, benefits, and recovery of this alternative to ileostomy. It involves removing the colon. J Pouch Blockage.
From www.semanticscholar.org
Figure 1 from Perfusion Visualization during Ileal JPouch Formation—A J Pouch Blockage This procedure completely removes the diseased colon while retaining transanal defecation. Learn about the candidates, risks, benefits, and recovery of this alternative to ileostomy. It involves removing the colon. J Pouch Blockage.