What Causes Air Bubbles In Bladder . There are numerous causes of gas in the urinary bladder. What causes bubbles in urine? Pneumaturia is the term for passing gas in the urine. In the hospital setting, by far the most common is the placement of an. Urine usually comes out with a few bubbles in it purely as a result of air bubbles being formed after it hits the toilet water. Air in the bladder, also known as pneumaturia, is a rare condition that occurs when air accumulates in the bladder. The most common cause of pneumaturia is an enterovesical fistula. This can be caused by a variety of factors, such as urinary tract. Sometimes gas starts in the bladder rather than traveling there from the bowel. The abnormal communication between the bowel. This may appear as gas bubbles in the urine and the passage of gas from the urethra during. “the most common cause of air in the bladder on imaging is from instrumentation [bladder viewing], a recent cystoscopy or foley catheter,” says dana rice, md, a board certified urologist and.
from www.researchgate.net
There are numerous causes of gas in the urinary bladder. Pneumaturia is the term for passing gas in the urine. Sometimes gas starts in the bladder rather than traveling there from the bowel. What causes bubbles in urine? The most common cause of pneumaturia is an enterovesical fistula. “the most common cause of air in the bladder on imaging is from instrumentation [bladder viewing], a recent cystoscopy or foley catheter,” says dana rice, md, a board certified urologist and. This may appear as gas bubbles in the urine and the passage of gas from the urethra during. Air in the bladder, also known as pneumaturia, is a rare condition that occurs when air accumulates in the bladder. The abnormal communication between the bowel. In the hospital setting, by far the most common is the placement of an.
CT shows a hydroaeric level and a pneumo bladder with air bubbles at
What Causes Air Bubbles In Bladder What causes bubbles in urine? Urine usually comes out with a few bubbles in it purely as a result of air bubbles being formed after it hits the toilet water. The abnormal communication between the bowel. Sometimes gas starts in the bladder rather than traveling there from the bowel. This can be caused by a variety of factors, such as urinary tract. The most common cause of pneumaturia is an enterovesical fistula. What causes bubbles in urine? In the hospital setting, by far the most common is the placement of an. “the most common cause of air in the bladder on imaging is from instrumentation [bladder viewing], a recent cystoscopy or foley catheter,” says dana rice, md, a board certified urologist and. Air in the bladder, also known as pneumaturia, is a rare condition that occurs when air accumulates in the bladder. There are numerous causes of gas in the urinary bladder. Pneumaturia is the term for passing gas in the urine. This may appear as gas bubbles in the urine and the passage of gas from the urethra during.
From www.researchgate.net
Axial CT scan shows intramural air in the gall bladder (arrow), with What Causes Air Bubbles In Bladder This may appear as gas bubbles in the urine and the passage of gas from the urethra during. Pneumaturia is the term for passing gas in the urine. What causes bubbles in urine? This can be caused by a variety of factors, such as urinary tract. There are numerous causes of gas in the urinary bladder. Urine usually comes out. What Causes Air Bubbles In Bladder.
From www.cureus.com
Cureus The Effervescent Gallbladder An Emergency Medicine Bedside What Causes Air Bubbles In Bladder The most common cause of pneumaturia is an enterovesical fistula. In the hospital setting, by far the most common is the placement of an. What causes bubbles in urine? Sometimes gas starts in the bladder rather than traveling there from the bowel. Urine usually comes out with a few bubbles in it purely as a result of air bubbles being. What Causes Air Bubbles In Bladder.
From qtelevision.com
What Is Flatulence Causes And Treatment Q Television What Causes Air Bubbles In Bladder In the hospital setting, by far the most common is the placement of an. Air in the bladder, also known as pneumaturia, is a rare condition that occurs when air accumulates in the bladder. There are numerous causes of gas in the urinary bladder. Urine usually comes out with a few bubbles in it purely as a result of air. What Causes Air Bubbles In Bladder.
From journals.physiology.org
Extended lifetimes of bubbles at hyperbaric pressure may contribute to What Causes Air Bubbles In Bladder Pneumaturia is the term for passing gas in the urine. The most common cause of pneumaturia is an enterovesical fistula. There are numerous causes of gas in the urinary bladder. This may appear as gas bubbles in the urine and the passage of gas from the urethra during. The abnormal communication between the bowel. “the most common cause of air. What Causes Air Bubbles In Bladder.
From akhildasmd.com
Overactive Bladder Urologist Dr. Akhil K. Das BPH & Lower What Causes Air Bubbles In Bladder Urine usually comes out with a few bubbles in it purely as a result of air bubbles being formed after it hits the toilet water. This can be caused by a variety of factors, such as urinary tract. Air in the bladder, also known as pneumaturia, is a rare condition that occurs when air accumulates in the bladder. The abnormal. What Causes Air Bubbles In Bladder.
From exobjyukg.blob.core.windows.net
What Causes Large Bubbles at Luis Duhon blog What Causes Air Bubbles In Bladder Pneumaturia is the term for passing gas in the urine. There are numerous causes of gas in the urinary bladder. The abnormal communication between the bowel. What causes bubbles in urine? Urine usually comes out with a few bubbles in it purely as a result of air bubbles being formed after it hits the toilet water. This can be caused. What Causes Air Bubbles In Bladder.
From carcaringhq.com
What Causes Air Bubbles in Engine Oil Understanding the Culprits What Causes Air Bubbles In Bladder Urine usually comes out with a few bubbles in it purely as a result of air bubbles being formed after it hits the toilet water. In the hospital setting, by far the most common is the placement of an. Pneumaturia is the term for passing gas in the urine. This may appear as gas bubbles in the urine and the. What Causes Air Bubbles In Bladder.
From www.researchgate.net
Air bubbles are visible inside the bladder (b), strictly adherent to What Causes Air Bubbles In Bladder Air in the bladder, also known as pneumaturia, is a rare condition that occurs when air accumulates in the bladder. Urine usually comes out with a few bubbles in it purely as a result of air bubbles being formed after it hits the toilet water. In the hospital setting, by far the most common is the placement of an. This. What Causes Air Bubbles In Bladder.
From www.researchgate.net
Shows air bubbles in the bladder wall and in the pelvis. Download What Causes Air Bubbles In Bladder This can be caused by a variety of factors, such as urinary tract. In the hospital setting, by far the most common is the placement of an. The abnormal communication between the bowel. This may appear as gas bubbles in the urine and the passage of gas from the urethra during. What causes bubbles in urine? There are numerous causes. What Causes Air Bubbles In Bladder.
From vivwong.com.au
What is a Cystoscopy? Dr Vivien Wong What Causes Air Bubbles In Bladder There are numerous causes of gas in the urinary bladder. This may appear as gas bubbles in the urine and the passage of gas from the urethra during. Urine usually comes out with a few bubbles in it purely as a result of air bubbles being formed after it hits the toilet water. Air in the bladder, also known as. What Causes Air Bubbles In Bladder.
From medizzy.com
Stages of Bladder cancer MEDizzy What Causes Air Bubbles In Bladder Sometimes gas starts in the bladder rather than traveling there from the bowel. The abnormal communication between the bowel. Air in the bladder, also known as pneumaturia, is a rare condition that occurs when air accumulates in the bladder. This may appear as gas bubbles in the urine and the passage of gas from the urethra during. “the most common. What Causes Air Bubbles In Bladder.
From healthprep.com
What Causes Bladder Spasms? What Causes Air Bubbles In Bladder “the most common cause of air in the bladder on imaging is from instrumentation [bladder viewing], a recent cystoscopy or foley catheter,” says dana rice, md, a board certified urologist and. The most common cause of pneumaturia is an enterovesical fistula. Pneumaturia is the term for passing gas in the urine. This can be caused by a variety of factors,. What Causes Air Bubbles In Bladder.
From www.semanticscholar.org
Figure 1 from A simple way to remove air bubbles in the bladder dome What Causes Air Bubbles In Bladder “the most common cause of air in the bladder on imaging is from instrumentation [bladder viewing], a recent cystoscopy or foley catheter,” says dana rice, md, a board certified urologist and. This may appear as gas bubbles in the urine and the passage of gas from the urethra during. The most common cause of pneumaturia is an enterovesical fistula. Sometimes. What Causes Air Bubbles In Bladder.
From dxogzljcw.blob.core.windows.net
Can Bladder Incontinence Cause Uti at Emma Henson blog What Causes Air Bubbles In Bladder Air in the bladder, also known as pneumaturia, is a rare condition that occurs when air accumulates in the bladder. The most common cause of pneumaturia is an enterovesical fistula. This can be caused by a variety of factors, such as urinary tract. Sometimes gas starts in the bladder rather than traveling there from the bowel. This may appear as. What Causes Air Bubbles In Bladder.
From nephropocus.com
Bladder ultrasound calculation of volume NephroPOCUS What Causes Air Bubbles In Bladder What causes bubbles in urine? Sometimes gas starts in the bladder rather than traveling there from the bowel. Pneumaturia is the term for passing gas in the urine. “the most common cause of air in the bladder on imaging is from instrumentation [bladder viewing], a recent cystoscopy or foley catheter,” says dana rice, md, a board certified urologist and. Air. What Causes Air Bubbles In Bladder.
From www.researchgate.net
CT Scanned image showing air in the urinary bladder wall Download What Causes Air Bubbles In Bladder Urine usually comes out with a few bubbles in it purely as a result of air bubbles being formed after it hits the toilet water. The abnormal communication between the bowel. What causes bubbles in urine? In the hospital setting, by far the most common is the placement of an. This can be caused by a variety of factors, such. What Causes Air Bubbles In Bladder.
From www.cureus.com
Cureus PointofCare Ultrasound Diagnosis of Pneumoperitoneum in the What Causes Air Bubbles In Bladder Urine usually comes out with a few bubbles in it purely as a result of air bubbles being formed after it hits the toilet water. The abnormal communication between the bowel. Sometimes gas starts in the bladder rather than traveling there from the bowel. In the hospital setting, by far the most common is the placement of an. What causes. What Causes Air Bubbles In Bladder.
From emj.bmj.com
An airfilled bladder Emergency Medicine Journal What Causes Air Bubbles In Bladder Sometimes gas starts in the bladder rather than traveling there from the bowel. The most common cause of pneumaturia is an enterovesical fistula. Air in the bladder, also known as pneumaturia, is a rare condition that occurs when air accumulates in the bladder. In the hospital setting, by far the most common is the placement of an. The abnormal communication. What Causes Air Bubbles In Bladder.
From www.researchgate.net
CT Scanned image showing air in the urinary bladder wall Download What Causes Air Bubbles In Bladder The abnormal communication between the bowel. “the most common cause of air in the bladder on imaging is from instrumentation [bladder viewing], a recent cystoscopy or foley catheter,” says dana rice, md, a board certified urologist and. Urine usually comes out with a few bubbles in it purely as a result of air bubbles being formed after it hits the. What Causes Air Bubbles In Bladder.
From www.spfinc.com
Air Bladders 101 Specialty Plastic Fabricators What Causes Air Bubbles In Bladder In the hospital setting, by far the most common is the placement of an. Pneumaturia is the term for passing gas in the urine. Urine usually comes out with a few bubbles in it purely as a result of air bubbles being formed after it hits the toilet water. What causes bubbles in urine? Sometimes gas starts in the bladder. What Causes Air Bubbles In Bladder.
From beaumonteh.com
Bladder Health and Incontinence Beaumont Emergency Hospital What Causes Air Bubbles In Bladder There are numerous causes of gas in the urinary bladder. In the hospital setting, by far the most common is the placement of an. Air in the bladder, also known as pneumaturia, is a rare condition that occurs when air accumulates in the bladder. This may appear as gas bubbles in the urine and the passage of gas from the. What Causes Air Bubbles In Bladder.
From www.youtube.com
Air Bladder Or swim Bladder Of Ruhi fish II HSC zoology II LADDER TIPS What Causes Air Bubbles In Bladder The most common cause of pneumaturia is an enterovesical fistula. “the most common cause of air in the bladder on imaging is from instrumentation [bladder viewing], a recent cystoscopy or foley catheter,” says dana rice, md, a board certified urologist and. Sometimes gas starts in the bladder rather than traveling there from the bowel. In the hospital setting, by far. What Causes Air Bubbles In Bladder.
From klaruollu.blob.core.windows.net
What Causes Air Bubbles In Your Joints at Verna Loney blog What Causes Air Bubbles In Bladder There are numerous causes of gas in the urinary bladder. The most common cause of pneumaturia is an enterovesical fistula. The abnormal communication between the bowel. What causes bubbles in urine? This may appear as gas bubbles in the urine and the passage of gas from the urethra during. Urine usually comes out with a few bubbles in it purely. What Causes Air Bubbles In Bladder.
From www.youtube.com
BUBBLES IN URINE Why you don't need to worry YouTube What Causes Air Bubbles In Bladder “the most common cause of air in the bladder on imaging is from instrumentation [bladder viewing], a recent cystoscopy or foley catheter,” says dana rice, md, a board certified urologist and. Air in the bladder, also known as pneumaturia, is a rare condition that occurs when air accumulates in the bladder. The most common cause of pneumaturia is an enterovesical. What Causes Air Bubbles In Bladder.
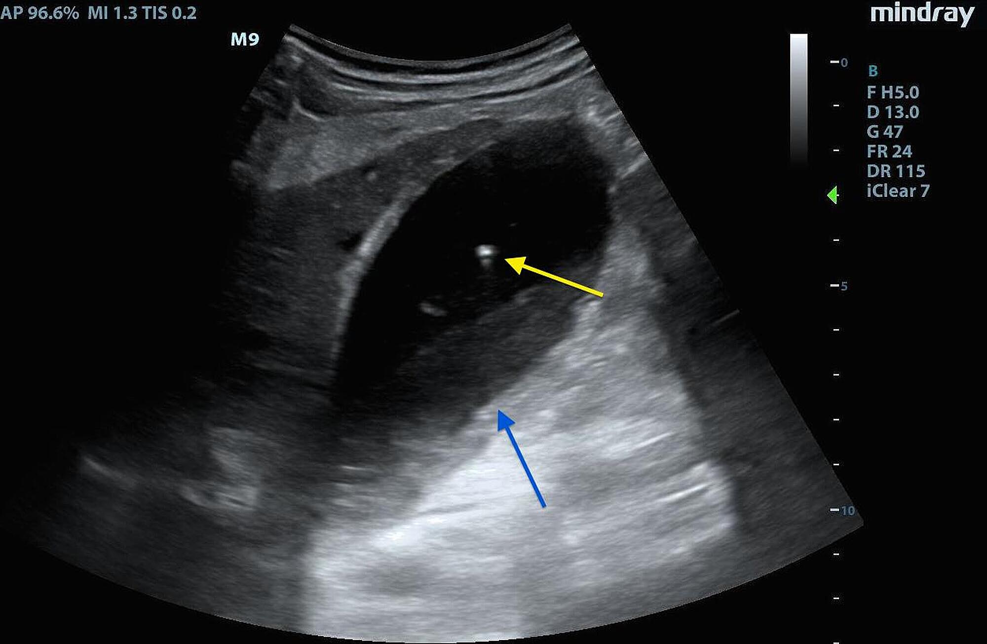
From www.researchgate.net
Air bubble (arrow) in the urinary bladder. Download Scientific Diagram What Causes Air Bubbles In Bladder The abnormal communication between the bowel. The most common cause of pneumaturia is an enterovesical fistula. Air in the bladder, also known as pneumaturia, is a rare condition that occurs when air accumulates in the bladder. “the most common cause of air in the bladder on imaging is from instrumentation [bladder viewing], a recent cystoscopy or foley catheter,” says dana. What Causes Air Bubbles In Bladder.
From www.youtube.com
Foamy Urine Causes of Bubbles in Urine, Symptoms, Diagnosis YouTube What Causes Air Bubbles In Bladder The abnormal communication between the bowel. The most common cause of pneumaturia is an enterovesical fistula. This may appear as gas bubbles in the urine and the passage of gas from the urethra during. This can be caused by a variety of factors, such as urinary tract. In the hospital setting, by far the most common is the placement of. What Causes Air Bubbles In Bladder.
From www.dreamstime.com
Air bubbles stock image. Image of bubble, bladder, natural 38107173 What Causes Air Bubbles In Bladder “the most common cause of air in the bladder on imaging is from instrumentation [bladder viewing], a recent cystoscopy or foley catheter,” says dana rice, md, a board certified urologist and. Air in the bladder, also known as pneumaturia, is a rare condition that occurs when air accumulates in the bladder. There are numerous causes of gas in the urinary. What Causes Air Bubbles In Bladder.
From dogsworldindia.com
Bubbles N Troubles Swim Bladder Control for Fish Health Dogs World What Causes Air Bubbles In Bladder Urine usually comes out with a few bubbles in it purely as a result of air bubbles being formed after it hits the toilet water. Pneumaturia is the term for passing gas in the urine. This may appear as gas bubbles in the urine and the passage of gas from the urethra during. There are numerous causes of gas in. What Causes Air Bubbles In Bladder.
From www.researchgate.net
(PDF) Beware the Large Air Bubble A Case Report of Bladder Explosion What Causes Air Bubbles In Bladder The most common cause of pneumaturia is an enterovesical fistula. In the hospital setting, by far the most common is the placement of an. Urine usually comes out with a few bubbles in it purely as a result of air bubbles being formed after it hits the toilet water. Pneumaturia is the term for passing gas in the urine. Sometimes. What Causes Air Bubbles In Bladder.
From relxtime.com
RELXTIME 46 Portable Inflatable Hot Tub Round Outdoor Spa Blow Up Black What Causes Air Bubbles In Bladder The most common cause of pneumaturia is an enterovesical fistula. Sometimes gas starts in the bladder rather than traveling there from the bowel. “the most common cause of air in the bladder on imaging is from instrumentation [bladder viewing], a recent cystoscopy or foley catheter,” says dana rice, md, a board certified urologist and. There are numerous causes of gas. What Causes Air Bubbles In Bladder.
From www.researchgate.net
CT shows a hydroaeric level and a pneumo bladder with air bubbles at What Causes Air Bubbles In Bladder What causes bubbles in urine? The abnormal communication between the bowel. “the most common cause of air in the bladder on imaging is from instrumentation [bladder viewing], a recent cystoscopy or foley catheter,” says dana rice, md, a board certified urologist and. This can be caused by a variety of factors, such as urinary tract. Sometimes gas starts in the. What Causes Air Bubbles In Bladder.
From www.medicalnewstoday.com
Bladder removal surgery What you need to know What Causes Air Bubbles In Bladder Sometimes gas starts in the bladder rather than traveling there from the bowel. There are numerous causes of gas in the urinary bladder. Urine usually comes out with a few bubbles in it purely as a result of air bubbles being formed after it hits the toilet water. “the most common cause of air in the bladder on imaging is. What Causes Air Bubbles In Bladder.
From www.youtube.com
NBI Cystoscopy Tips & Tricks Air Bubble Effect during Cystoscopy What Causes Air Bubbles In Bladder There are numerous causes of gas in the urinary bladder. Air in the bladder, also known as pneumaturia, is a rare condition that occurs when air accumulates in the bladder. “the most common cause of air in the bladder on imaging is from instrumentation [bladder viewing], a recent cystoscopy or foley catheter,” says dana rice, md, a board certified urologist. What Causes Air Bubbles In Bladder.
From hobby-machinist.com
What is it ? The HobbyMachinist Forum What Causes Air Bubbles In Bladder The most common cause of pneumaturia is an enterovesical fistula. Pneumaturia is the term for passing gas in the urine. Urine usually comes out with a few bubbles in it purely as a result of air bubbles being formed after it hits the toilet water. This may appear as gas bubbles in the urine and the passage of gas from. What Causes Air Bubbles In Bladder.
From focusinnovation.co.uk
Colorfulairbubbleairbladder014 Focus Innovation where concept What Causes Air Bubbles In Bladder “the most common cause of air in the bladder on imaging is from instrumentation [bladder viewing], a recent cystoscopy or foley catheter,” says dana rice, md, a board certified urologist and. Pneumaturia is the term for passing gas in the urine. There are numerous causes of gas in the urinary bladder. The most common cause of pneumaturia is an enterovesical. What Causes Air Bubbles In Bladder.