Urine Jet Ultrasound . The intravesical ureteral jets, or the bladder jets represent the sonographic appearance of discrete boluses of urine entering the bladder, better detected using color doppler. Routine ultrasonography (usg) usually relies on the morphological change (tapered appearance of lower ureter) for the diagnosis of megaureter. This study was designed to investigate a variety of sonographic features of ureteric jets in order to define patterns of flow.
from www.researchgate.net
Routine ultrasonography (usg) usually relies on the morphological change (tapered appearance of lower ureter) for the diagnosis of megaureter. This study was designed to investigate a variety of sonographic features of ureteric jets in order to define patterns of flow. The intravesical ureteral jets, or the bladder jets represent the sonographic appearance of discrete boluses of urine entering the bladder, better detected using color doppler.
1. Jets of urine expelled by normal peristalsis of the nonobstructed
Urine Jet Ultrasound Routine ultrasonography (usg) usually relies on the morphological change (tapered appearance of lower ureter) for the diagnosis of megaureter. Routine ultrasonography (usg) usually relies on the morphological change (tapered appearance of lower ureter) for the diagnosis of megaureter. The intravesical ureteral jets, or the bladder jets represent the sonographic appearance of discrete boluses of urine entering the bladder, better detected using color doppler. This study was designed to investigate a variety of sonographic features of ureteric jets in order to define patterns of flow.
From litfl.com
Ultrasound Case 072 • LITFL • POCUS SelfAssessment Quiz Urine Jet Ultrasound The intravesical ureteral jets, or the bladder jets represent the sonographic appearance of discrete boluses of urine entering the bladder, better detected using color doppler. This study was designed to investigate a variety of sonographic features of ureteric jets in order to define patterns of flow. Routine ultrasonography (usg) usually relies on the morphological change (tapered appearance of lower ureter). Urine Jet Ultrasound.
From www.youtube.com
Ureteral Jet Ultrasound Unannotated JETem 2021 YouTube Urine Jet Ultrasound This study was designed to investigate a variety of sonographic features of ureteric jets in order to define patterns of flow. Routine ultrasonography (usg) usually relies on the morphological change (tapered appearance of lower ureter) for the diagnosis of megaureter. The intravesical ureteral jets, or the bladder jets represent the sonographic appearance of discrete boluses of urine entering the bladder,. Urine Jet Ultrasound.
From clarius.com
Bilateral Urine Jets Clarius Urine Jet Ultrasound Routine ultrasonography (usg) usually relies on the morphological change (tapered appearance of lower ureter) for the diagnosis of megaureter. This study was designed to investigate a variety of sonographic features of ureteric jets in order to define patterns of flow. The intravesical ureteral jets, or the bladder jets represent the sonographic appearance of discrete boluses of urine entering the bladder,. Urine Jet Ultrasound.
From www.pinterest.com
WK 7 RENAL PATHOLOGY Ureterocele with ureter jet seen Abd 200 Mod 3 Urine Jet Ultrasound The intravesical ureteral jets, or the bladder jets represent the sonographic appearance of discrete boluses of urine entering the bladder, better detected using color doppler. This study was designed to investigate a variety of sonographic features of ureteric jets in order to define patterns of flow. Routine ultrasonography (usg) usually relies on the morphological change (tapered appearance of lower ureter). Urine Jet Ultrasound.
From www.meddean.luc.edu
Identify the bladder and urine jet in this ultrasound. Click the image Urine Jet Ultrasound This study was designed to investigate a variety of sonographic features of ureteric jets in order to define patterns of flow. The intravesical ureteral jets, or the bladder jets represent the sonographic appearance of discrete boluses of urine entering the bladder, better detected using color doppler. Routine ultrasonography (usg) usually relies on the morphological change (tapered appearance of lower ureter). Urine Jet Ultrasound.
From jetem.org
Ureteral Obstruction and Ureteral Jet Identification—A Case Report JETem Urine Jet Ultrasound Routine ultrasonography (usg) usually relies on the morphological change (tapered appearance of lower ureter) for the diagnosis of megaureter. This study was designed to investigate a variety of sonographic features of ureteric jets in order to define patterns of flow. The intravesical ureteral jets, or the bladder jets represent the sonographic appearance of discrete boluses of urine entering the bladder,. Urine Jet Ultrasound.
From www.tamingthesru.com
Ultrasound Basics — Taming the SRU Urine Jet Ultrasound Routine ultrasonography (usg) usually relies on the morphological change (tapered appearance of lower ureter) for the diagnosis of megaureter. The intravesical ureteral jets, or the bladder jets represent the sonographic appearance of discrete boluses of urine entering the bladder, better detected using color doppler. This study was designed to investigate a variety of sonographic features of ureteric jets in order. Urine Jet Ultrasound.
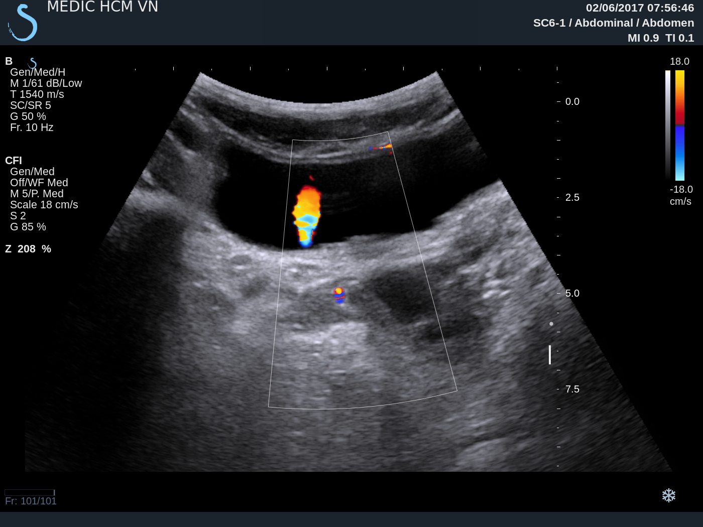
From www.ultrasoundmedicvn.com
VIETNAMESE MEDIC ULTRASOUND CASE 436 SOLITARY KIDNEY, Dr PHAN THANH Urine Jet Ultrasound Routine ultrasonography (usg) usually relies on the morphological change (tapered appearance of lower ureter) for the diagnosis of megaureter. This study was designed to investigate a variety of sonographic features of ureteric jets in order to define patterns of flow. The intravesical ureteral jets, or the bladder jets represent the sonographic appearance of discrete boluses of urine entering the bladder,. Urine Jet Ultrasound.
From www.researchgate.net
Color Doppler ultrasound of bladder in the axial plane demonstrating Urine Jet Ultrasound Routine ultrasonography (usg) usually relies on the morphological change (tapered appearance of lower ureter) for the diagnosis of megaureter. This study was designed to investigate a variety of sonographic features of ureteric jets in order to define patterns of flow. The intravesical ureteral jets, or the bladder jets represent the sonographic appearance of discrete boluses of urine entering the bladder,. Urine Jet Ultrasound.
From radiopaedia.org
Image Urine Jet Ultrasound This study was designed to investigate a variety of sonographic features of ureteric jets in order to define patterns of flow. Routine ultrasonography (usg) usually relies on the morphological change (tapered appearance of lower ureter) for the diagnosis of megaureter. The intravesical ureteral jets, or the bladder jets represent the sonographic appearance of discrete boluses of urine entering the bladder,. Urine Jet Ultrasound.
From www.wjgnet.com
Point of care renal ultrasonography for the busy nephrologist A Urine Jet Ultrasound The intravesical ureteral jets, or the bladder jets represent the sonographic appearance of discrete boluses of urine entering the bladder, better detected using color doppler. Routine ultrasonography (usg) usually relies on the morphological change (tapered appearance of lower ureter) for the diagnosis of megaureter. This study was designed to investigate a variety of sonographic features of ureteric jets in order. Urine Jet Ultrasound.
From www.reddit.com
Just some cute little bilateral urinary jets! Happy Friday! r/Radiology Urine Jet Ultrasound This study was designed to investigate a variety of sonographic features of ureteric jets in order to define patterns of flow. Routine ultrasonography (usg) usually relies on the morphological change (tapered appearance of lower ureter) for the diagnosis of megaureter. The intravesical ureteral jets, or the bladder jets represent the sonographic appearance of discrete boluses of urine entering the bladder,. Urine Jet Ultrasound.
From exocgdtrv.blob.core.windows.net
Urinary Jets Ultrasound at Adam Kern blog Urine Jet Ultrasound This study was designed to investigate a variety of sonographic features of ureteric jets in order to define patterns of flow. The intravesical ureteral jets, or the bladder jets represent the sonographic appearance of discrete boluses of urine entering the bladder, better detected using color doppler. Routine ultrasonography (usg) usually relies on the morphological change (tapered appearance of lower ureter). Urine Jet Ultrasound.
From www.researchgate.net
Preoperative ultrasound demonstrating purulent urine throughout the Urine Jet Ultrasound The intravesical ureteral jets, or the bladder jets represent the sonographic appearance of discrete boluses of urine entering the bladder, better detected using color doppler. This study was designed to investigate a variety of sonographic features of ureteric jets in order to define patterns of flow. Routine ultrasonography (usg) usually relies on the morphological change (tapered appearance of lower ureter). Urine Jet Ultrasound.
From pacs.de
Ureter Jet pacs Urine Jet Ultrasound Routine ultrasonography (usg) usually relies on the morphological change (tapered appearance of lower ureter) for the diagnosis of megaureter. The intravesical ureteral jets, or the bladder jets represent the sonographic appearance of discrete boluses of urine entering the bladder, better detected using color doppler. This study was designed to investigate a variety of sonographic features of ureteric jets in order. Urine Jet Ultrasound.
From www.youtube.com
Ureteral or ureteric jets in bladder, Ultrasound and color Doppler Urine Jet Ultrasound The intravesical ureteral jets, or the bladder jets represent the sonographic appearance of discrete boluses of urine entering the bladder, better detected using color doppler. Routine ultrasonography (usg) usually relies on the morphological change (tapered appearance of lower ureter) for the diagnosis of megaureter. This study was designed to investigate a variety of sonographic features of ureteric jets in order. Urine Jet Ultrasound.
From emergencyultrasoundteaching.com
Renal Images Emergency Ultrasonography Urine Jet Ultrasound Routine ultrasonography (usg) usually relies on the morphological change (tapered appearance of lower ureter) for the diagnosis of megaureter. The intravesical ureteral jets, or the bladder jets represent the sonographic appearance of discrete boluses of urine entering the bladder, better detected using color doppler. This study was designed to investigate a variety of sonographic features of ureteric jets in order. Urine Jet Ultrasound.
From www.researchgate.net
1. Jets of urine expelled by normal peristalsis of the nonobstructed Urine Jet Ultrasound This study was designed to investigate a variety of sonographic features of ureteric jets in order to define patterns of flow. Routine ultrasonography (usg) usually relies on the morphological change (tapered appearance of lower ureter) for the diagnosis of megaureter. The intravesical ureteral jets, or the bladder jets represent the sonographic appearance of discrete boluses of urine entering the bladder,. Urine Jet Ultrasound.
From obgyn.onlinelibrary.wiley.com
Direct lower abdominal ureteral jet as sonographic sign of bladder Urine Jet Ultrasound The intravesical ureteral jets, or the bladder jets represent the sonographic appearance of discrete boluses of urine entering the bladder, better detected using color doppler. This study was designed to investigate a variety of sonographic features of ureteric jets in order to define patterns of flow. Routine ultrasonography (usg) usually relies on the morphological change (tapered appearance of lower ureter). Urine Jet Ultrasound.
From www.georgiadis-urology.com
Chronic Cystitis Diagnosis Urology Urine Jet Ultrasound Routine ultrasonography (usg) usually relies on the morphological change (tapered appearance of lower ureter) for the diagnosis of megaureter. The intravesical ureteral jets, or the bladder jets represent the sonographic appearance of discrete boluses of urine entering the bladder, better detected using color doppler. This study was designed to investigate a variety of sonographic features of ureteric jets in order. Urine Jet Ultrasound.
From jetem.org
Ureteral Jet. Ultrasound Unannotated. JETem 2021 JETem Urine Jet Ultrasound The intravesical ureteral jets, or the bladder jets represent the sonographic appearance of discrete boluses of urine entering the bladder, better detected using color doppler. This study was designed to investigate a variety of sonographic features of ureteric jets in order to define patterns of flow. Routine ultrasonography (usg) usually relies on the morphological change (tapered appearance of lower ureter). Urine Jet Ultrasound.
From www.researchgate.net
Case 2 19yearold female with right hydronephrosis and decreased Urine Jet Ultrasound The intravesical ureteral jets, or the bladder jets represent the sonographic appearance of discrete boluses of urine entering the bladder, better detected using color doppler. This study was designed to investigate a variety of sonographic features of ureteric jets in order to define patterns of flow. Routine ultrasonography (usg) usually relies on the morphological change (tapered appearance of lower ureter). Urine Jet Ultrasound.
From exocgdtrv.blob.core.windows.net
Urinary Jets Ultrasound at Adam Kern blog Urine Jet Ultrasound The intravesical ureteral jets, or the bladder jets represent the sonographic appearance of discrete boluses of urine entering the bladder, better detected using color doppler. This study was designed to investigate a variety of sonographic features of ureteric jets in order to define patterns of flow. Routine ultrasonography (usg) usually relies on the morphological change (tapered appearance of lower ureter). Urine Jet Ultrasound.
From www.youtube.com
Rt ureteric stone and urine jet on ultrasound YouTube Urine Jet Ultrasound Routine ultrasonography (usg) usually relies on the morphological change (tapered appearance of lower ureter) for the diagnosis of megaureter. This study was designed to investigate a variety of sonographic features of ureteric jets in order to define patterns of flow. The intravesical ureteral jets, or the bladder jets represent the sonographic appearance of discrete boluses of urine entering the bladder,. Urine Jet Ultrasound.
From www.pinterest.com
Ureteral Jets Ultrasound [Video] Sonography, Bladder, Photo and video Urine Jet Ultrasound Routine ultrasonography (usg) usually relies on the morphological change (tapered appearance of lower ureter) for the diagnosis of megaureter. This study was designed to investigate a variety of sonographic features of ureteric jets in order to define patterns of flow. The intravesical ureteral jets, or the bladder jets represent the sonographic appearance of discrete boluses of urine entering the bladder,. Urine Jet Ultrasound.
From www.emergencyultrasoundteaching.com
Renal Images Emergency Ultrasonography Urine Jet Ultrasound The intravesical ureteral jets, or the bladder jets represent the sonographic appearance of discrete boluses of urine entering the bladder, better detected using color doppler. Routine ultrasonography (usg) usually relies on the morphological change (tapered appearance of lower ureter) for the diagnosis of megaureter. This study was designed to investigate a variety of sonographic features of ureteric jets in order. Urine Jet Ultrasound.
From doctorlib.info
Obstetrical and Gynecologic Sonography and Transvaginal Sonography Urine Jet Ultrasound Routine ultrasonography (usg) usually relies on the morphological change (tapered appearance of lower ureter) for the diagnosis of megaureter. The intravesical ureteral jets, or the bladder jets represent the sonographic appearance of discrete boluses of urine entering the bladder, better detected using color doppler. This study was designed to investigate a variety of sonographic features of ureteric jets in order. Urine Jet Ultrasound.
From exocgdtrv.blob.core.windows.net
Urinary Jets Ultrasound at Adam Kern blog Urine Jet Ultrasound Routine ultrasonography (usg) usually relies on the morphological change (tapered appearance of lower ureter) for the diagnosis of megaureter. The intravesical ureteral jets, or the bladder jets represent the sonographic appearance of discrete boluses of urine entering the bladder, better detected using color doppler. This study was designed to investigate a variety of sonographic features of ureteric jets in order. Urine Jet Ultrasound.
From www.slideshare.net
Indications of renal doppler ultrasound 3 Urine Jet Ultrasound Routine ultrasonography (usg) usually relies on the morphological change (tapered appearance of lower ureter) for the diagnosis of megaureter. This study was designed to investigate a variety of sonographic features of ureteric jets in order to define patterns of flow. The intravesical ureteral jets, or the bladder jets represent the sonographic appearance of discrete boluses of urine entering the bladder,. Urine Jet Ultrasound.
From obgyn.onlinelibrary.wiley.com
Intraoperative sonographic detection of ureteral jet during Urine Jet Ultrasound Routine ultrasonography (usg) usually relies on the morphological change (tapered appearance of lower ureter) for the diagnosis of megaureter. The intravesical ureteral jets, or the bladder jets represent the sonographic appearance of discrete boluses of urine entering the bladder, better detected using color doppler. This study was designed to investigate a variety of sonographic features of ureteric jets in order. Urine Jet Ultrasound.
From www.researchgate.net
Normal ureteral jets. Bilateral ureteral jets are apparent on this Urine Jet Ultrasound Routine ultrasonography (usg) usually relies on the morphological change (tapered appearance of lower ureter) for the diagnosis of megaureter. The intravesical ureteral jets, or the bladder jets represent the sonographic appearance of discrete boluses of urine entering the bladder, better detected using color doppler. This study was designed to investigate a variety of sonographic features of ureteric jets in order. Urine Jet Ultrasound.
From exocgdtrv.blob.core.windows.net
Urinary Jets Ultrasound at Adam Kern blog Urine Jet Ultrasound Routine ultrasonography (usg) usually relies on the morphological change (tapered appearance of lower ureter) for the diagnosis of megaureter. This study was designed to investigate a variety of sonographic features of ureteric jets in order to define patterns of flow. The intravesical ureteral jets, or the bladder jets represent the sonographic appearance of discrete boluses of urine entering the bladder,. Urine Jet Ultrasound.
From www.ultrasound-images.com
A Gallery of HighResolution, Ultrasound, Color Doppler & 3D Images Urine Jet Ultrasound This study was designed to investigate a variety of sonographic features of ureteric jets in order to define patterns of flow. The intravesical ureteral jets, or the bladder jets represent the sonographic appearance of discrete boluses of urine entering the bladder, better detected using color doppler. Routine ultrasonography (usg) usually relies on the morphological change (tapered appearance of lower ureter). Urine Jet Ultrasound.
From www.youtube.com
Shea's ultrasound urinary bladder (UB) scanning techniques with bladder Urine Jet Ultrasound The intravesical ureteral jets, or the bladder jets represent the sonographic appearance of discrete boluses of urine entering the bladder, better detected using color doppler. Routine ultrasonography (usg) usually relies on the morphological change (tapered appearance of lower ureter) for the diagnosis of megaureter. This study was designed to investigate a variety of sonographic features of ureteric jets in order. Urine Jet Ultrasound.
From www.ultrasound-images.com
A Gallery of HighResolution, Ultrasound, Color Doppler & 3D Images Urine Jet Ultrasound The intravesical ureteral jets, or the bladder jets represent the sonographic appearance of discrete boluses of urine entering the bladder, better detected using color doppler. This study was designed to investigate a variety of sonographic features of ureteric jets in order to define patterns of flow. Routine ultrasonography (usg) usually relies on the morphological change (tapered appearance of lower ureter). Urine Jet Ultrasound.