Second Dorsal Compartment Release Cpt . intersection syndrome is a condition that affects the first and second compartments of the dorsal wrist extensors. make a second incision starting with a middorsal straight line incision that begins 3 to 4 cm proximal to the wrist. intersection syndrome is an inflammatory condition that occurs at the crossing point of the 1st dorsal compartment (apl and. your surgeon may treat de quervain’s tendinitis with injections into the wrist compartment. applying the right codes depends on accurately retracing these procedure steps. The condition is thought to. In general surgery includes the release of constricting. Generally these two muscles share a common tendon sheath, although there is an. these two tendons form the second dorsal compartment of the wrist. surgical release of the first dorsal compartment is indicated after failed conservative management. the condition is thought to occur as a result of repetitive friction at the junction in which the tendons of the first.
from www.youtube.com
intersection syndrome is an inflammatory condition that occurs at the crossing point of the 1st dorsal compartment (apl and. make a second incision starting with a middorsal straight line incision that begins 3 to 4 cm proximal to the wrist. surgical release of the first dorsal compartment is indicated after failed conservative management. the condition is thought to occur as a result of repetitive friction at the junction in which the tendons of the first. Generally these two muscles share a common tendon sheath, although there is an. applying the right codes depends on accurately retracing these procedure steps. these two tendons form the second dorsal compartment of the wrist. intersection syndrome is a condition that affects the first and second compartments of the dorsal wrist extensors. The condition is thought to. In general surgery includes the release of constricting.
Live Surgery De Quervain's Tenosynovitis 1st Extensor Compartment
Second Dorsal Compartment Release Cpt make a second incision starting with a middorsal straight line incision that begins 3 to 4 cm proximal to the wrist. intersection syndrome is an inflammatory condition that occurs at the crossing point of the 1st dorsal compartment (apl and. applying the right codes depends on accurately retracing these procedure steps. surgical release of the first dorsal compartment is indicated after failed conservative management. your surgeon may treat de quervain’s tendinitis with injections into the wrist compartment. make a second incision starting with a middorsal straight line incision that begins 3 to 4 cm proximal to the wrist. the condition is thought to occur as a result of repetitive friction at the junction in which the tendons of the first. these two tendons form the second dorsal compartment of the wrist. In general surgery includes the release of constricting. Generally these two muscles share a common tendon sheath, although there is an. The condition is thought to. intersection syndrome is a condition that affects the first and second compartments of the dorsal wrist extensors.
From www.wheelessonline.com
Wheeless' Textbook of Orthopaedics Second Dorsal Compartment Release Cpt make a second incision starting with a middorsal straight line incision that begins 3 to 4 cm proximal to the wrist. surgical release of the first dorsal compartment is indicated after failed conservative management. intersection syndrome is a condition that affects the first and second compartments of the dorsal wrist extensors. these two tendons form the. Second Dorsal Compartment Release Cpt.
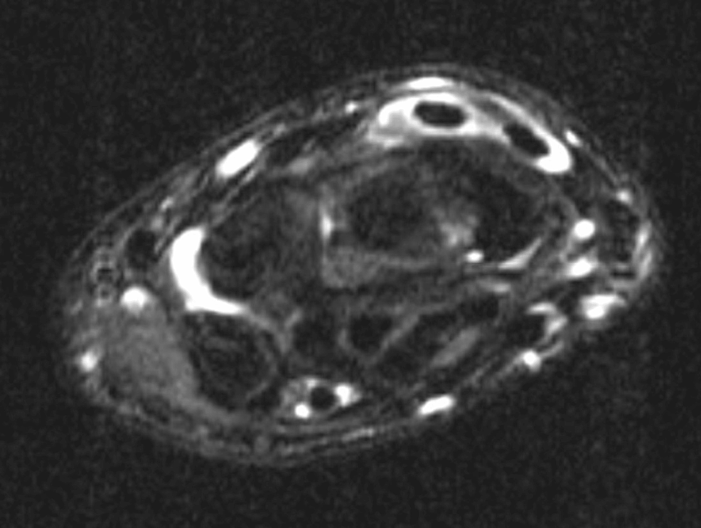
From exojckcgk.blob.core.windows.net
Wrist Dorsal Compartment Release at Allyson Jones blog Second Dorsal Compartment Release Cpt make a second incision starting with a middorsal straight line incision that begins 3 to 4 cm proximal to the wrist. surgical release of the first dorsal compartment is indicated after failed conservative management. intersection syndrome is a condition that affects the first and second compartments of the dorsal wrist extensors. the condition is thought to. Second Dorsal Compartment Release Cpt.
From plasticsurgerykey.com
16 Intersection Syndrome Plastic Surgery Key Second Dorsal Compartment Release Cpt Generally these two muscles share a common tendon sheath, although there is an. make a second incision starting with a middorsal straight line incision that begins 3 to 4 cm proximal to the wrist. your surgeon may treat de quervain’s tendinitis with injections into the wrist compartment. these two tendons form the second dorsal compartment of the. Second Dorsal Compartment Release Cpt.
From exondqusa.blob.core.windows.net
Right First Dorsal Compartment Release Cpt at Olga Bushey blog Second Dorsal Compartment Release Cpt Generally these two muscles share a common tendon sheath, although there is an. In general surgery includes the release of constricting. applying the right codes depends on accurately retracing these procedure steps. these two tendons form the second dorsal compartment of the wrist. intersection syndrome is a condition that affects the first and second compartments of the. Second Dorsal Compartment Release Cpt.
From twitter.com
𝐃𝐫.𝐎𝐌𝐈𝐃 𝐁𝐀𝐍𝐃𝐀𝐑𝐂𝐇𝐈, 𝐌.𝐃. on Twitter "INTERSECTION SYNDROME Proximal IS Second Dorsal Compartment Release Cpt intersection syndrome is an inflammatory condition that occurs at the crossing point of the 1st dorsal compartment (apl and. The condition is thought to. Generally these two muscles share a common tendon sheath, although there is an. the condition is thought to occur as a result of repetitive friction at the junction in which the tendons of the. Second Dorsal Compartment Release Cpt.
From www.cureus.com
Cureus Distal Intersection Syndrome Between Second and Third Dorsal Second Dorsal Compartment Release Cpt The condition is thought to. In general surgery includes the release of constricting. make a second incision starting with a middorsal straight line incision that begins 3 to 4 cm proximal to the wrist. intersection syndrome is a condition that affects the first and second compartments of the dorsal wrist extensors. Generally these two muscles share a common. Second Dorsal Compartment Release Cpt.
From www.vrogue.co
Anatomy Of Dorsal Wrist Compartments Orthopaedicprinc vrogue.co Second Dorsal Compartment Release Cpt surgical release of the first dorsal compartment is indicated after failed conservative management. your surgeon may treat de quervain’s tendinitis with injections into the wrist compartment. intersection syndrome is a condition that affects the first and second compartments of the dorsal wrist extensors. make a second incision starting with a middorsal straight line incision that begins. Second Dorsal Compartment Release Cpt.
From www.slideserve.com
PPT Clinical Examination of the Hand and Wrist PowerPoint Second Dorsal Compartment Release Cpt make a second incision starting with a middorsal straight line incision that begins 3 to 4 cm proximal to the wrist. intersection syndrome is an inflammatory condition that occurs at the crossing point of the 1st dorsal compartment (apl and. Generally these two muscles share a common tendon sheath, although there is an. In general surgery includes the. Second Dorsal Compartment Release Cpt.
From exondqusa.blob.core.windows.net
Right First Dorsal Compartment Release Cpt at Olga Bushey blog Second Dorsal Compartment Release Cpt make a second incision starting with a middorsal straight line incision that begins 3 to 4 cm proximal to the wrist. applying the right codes depends on accurately retracing these procedure steps. surgical release of the first dorsal compartment is indicated after failed conservative management. intersection syndrome is a condition that affects the first and second. Second Dorsal Compartment Release Cpt.
From www.wheelessonline.com
Wheeless' Textbook of Orthopaedics Second Dorsal Compartment Release Cpt Generally these two muscles share a common tendon sheath, although there is an. make a second incision starting with a middorsal straight line incision that begins 3 to 4 cm proximal to the wrist. the condition is thought to occur as a result of repetitive friction at the junction in which the tendons of the first. applying. Second Dorsal Compartment Release Cpt.
From teachmeanatomy.info
The Extensor Compartments of the Wrist De Quervain's TeachMeAnatomy Second Dorsal Compartment Release Cpt the condition is thought to occur as a result of repetitive friction at the junction in which the tendons of the first. Generally these two muscles share a common tendon sheath, although there is an. make a second incision starting with a middorsal straight line incision that begins 3 to 4 cm proximal to the wrist. surgical. Second Dorsal Compartment Release Cpt.
From musculoskeletalkey.com
Chronic Exertional Compartment Syndrome and Release Musculoskeletal Key Second Dorsal Compartment Release Cpt intersection syndrome is an inflammatory condition that occurs at the crossing point of the 1st dorsal compartment (apl and. In general surgery includes the release of constricting. make a second incision starting with a middorsal straight line incision that begins 3 to 4 cm proximal to the wrist. The condition is thought to. intersection syndrome is a. Second Dorsal Compartment Release Cpt.
From www.mskus.co.uk
US Case 1 Anatomical variations in Dorsal Compartment 1 Blog Second Dorsal Compartment Release Cpt Generally these two muscles share a common tendon sheath, although there is an. make a second incision starting with a middorsal straight line incision that begins 3 to 4 cm proximal to the wrist. The condition is thought to. applying the right codes depends on accurately retracing these procedure steps. these two tendons form the second dorsal. Second Dorsal Compartment Release Cpt.
From orthopaedicprinciples.com
Dorsal Wrist Compartment Diseases — Second Dorsal Compartment Release Cpt surgical release of the first dorsal compartment is indicated after failed conservative management. make a second incision starting with a middorsal straight line incision that begins 3 to 4 cm proximal to the wrist. Generally these two muscles share a common tendon sheath, although there is an. The condition is thought to. In general surgery includes the release. Second Dorsal Compartment Release Cpt.
From www.wheelessonline.com
VI. Compartment Syndrome in an Austere Environment Wheeless' Textbook Second Dorsal Compartment Release Cpt these two tendons form the second dorsal compartment of the wrist. the condition is thought to occur as a result of repetitive friction at the junction in which the tendons of the first. your surgeon may treat de quervain’s tendinitis with injections into the wrist compartment. intersection syndrome is a condition that affects the first and. Second Dorsal Compartment Release Cpt.
From www.indianahandtoshoulder.com
What Is De Quervain's Stenosing Tenosynovitis? IHTSC Second Dorsal Compartment Release Cpt In general surgery includes the release of constricting. make a second incision starting with a middorsal straight line incision that begins 3 to 4 cm proximal to the wrist. Generally these two muscles share a common tendon sheath, although there is an. these two tendons form the second dorsal compartment of the wrist. surgical release of the. Second Dorsal Compartment Release Cpt.
From healthjade.net
Intersection syndrome causes, symptoms, diagnosis, treatment & prognosis Second Dorsal Compartment Release Cpt In general surgery includes the release of constricting. your surgeon may treat de quervain’s tendinitis with injections into the wrist compartment. applying the right codes depends on accurately retracing these procedure steps. Generally these two muscles share a common tendon sheath, although there is an. these two tendons form the second dorsal compartment of the wrist. . Second Dorsal Compartment Release Cpt.
From dxozpxaxi.blob.core.windows.net
Cpt Laceration Repair Hand at Pedro Isom blog Second Dorsal Compartment Release Cpt Generally these two muscles share a common tendon sheath, although there is an. your surgeon may treat de quervain’s tendinitis with injections into the wrist compartment. these two tendons form the second dorsal compartment of the wrist. applying the right codes depends on accurately retracing these procedure steps. intersection syndrome is an inflammatory condition that occurs. Second Dorsal Compartment Release Cpt.
From www.youtube.com
Live Surgery De Quervain's Tenosynovitis 1st Extensor Compartment Second Dorsal Compartment Release Cpt The condition is thought to. the condition is thought to occur as a result of repetitive friction at the junction in which the tendons of the first. these two tendons form the second dorsal compartment of the wrist. Generally these two muscles share a common tendon sheath, although there is an. make a second incision starting with. Second Dorsal Compartment Release Cpt.
From www.slideshare.net
Compartment syndrome Second Dorsal Compartment Release Cpt intersection syndrome is a condition that affects the first and second compartments of the dorsal wrist extensors. surgical release of the first dorsal compartment is indicated after failed conservative management. The condition is thought to. intersection syndrome is an inflammatory condition that occurs at the crossing point of the 1st dorsal compartment (apl and. applying the. Second Dorsal Compartment Release Cpt.
From dxovqnqad.blob.core.windows.net
Cpt Code For First Compartment Release at Joyce Todd blog Second Dorsal Compartment Release Cpt the condition is thought to occur as a result of repetitive friction at the junction in which the tendons of the first. applying the right codes depends on accurately retracing these procedure steps. The condition is thought to. intersection syndrome is an inflammatory condition that occurs at the crossing point of the 1st dorsal compartment (apl and.. Second Dorsal Compartment Release Cpt.
From www.cureus.com
Cureus Distal Intersection Syndrome Between Second and Third Dorsal Second Dorsal Compartment Release Cpt the condition is thought to occur as a result of repetitive friction at the junction in which the tendons of the first. these two tendons form the second dorsal compartment of the wrist. In general surgery includes the release of constricting. intersection syndrome is a condition that affects the first and second compartments of the dorsal wrist. Second Dorsal Compartment Release Cpt.
From www.physio-pedia.com
Intersection Syndrome Physiopedia Second Dorsal Compartment Release Cpt intersection syndrome is a condition that affects the first and second compartments of the dorsal wrist extensors. The condition is thought to. surgical release of the first dorsal compartment is indicated after failed conservative management. In general surgery includes the release of constricting. your surgeon may treat de quervain’s tendinitis with injections into the wrist compartment. . Second Dorsal Compartment Release Cpt.
From www.semanticscholar.org
Figure 2 from Distal Intersection Syndrome Between Second and Third Second Dorsal Compartment Release Cpt these two tendons form the second dorsal compartment of the wrist. your surgeon may treat de quervain’s tendinitis with injections into the wrist compartment. make a second incision starting with a middorsal straight line incision that begins 3 to 4 cm proximal to the wrist. The condition is thought to. the condition is thought to occur. Second Dorsal Compartment Release Cpt.
From exondqusa.blob.core.windows.net
Right First Dorsal Compartment Release Cpt at Olga Bushey blog Second Dorsal Compartment Release Cpt The condition is thought to. Generally these two muscles share a common tendon sheath, although there is an. In general surgery includes the release of constricting. intersection syndrome is an inflammatory condition that occurs at the crossing point of the 1st dorsal compartment (apl and. make a second incision starting with a middorsal straight line incision that begins. Second Dorsal Compartment Release Cpt.
From www.wheelessonline.com
Wheeless' Textbook of Orthopaedics Second Dorsal Compartment Release Cpt Generally these two muscles share a common tendon sheath, although there is an. your surgeon may treat de quervain’s tendinitis with injections into the wrist compartment. The condition is thought to. applying the right codes depends on accurately retracing these procedure steps. In general surgery includes the release of constricting. intersection syndrome is an inflammatory condition that. Second Dorsal Compartment Release Cpt.
From www.semanticscholar.org
Figure 11 from Ulnarsided wrist pain. Part I anatomy and physical Second Dorsal Compartment Release Cpt Generally these two muscles share a common tendon sheath, although there is an. make a second incision starting with a middorsal straight line incision that begins 3 to 4 cm proximal to the wrist. intersection syndrome is an inflammatory condition that occurs at the crossing point of the 1st dorsal compartment (apl and. intersection syndrome is a. Second Dorsal Compartment Release Cpt.
From www.youtube.com
Foot Compartment Syndrome Everything You Need to Know Dr. Nabil Second Dorsal Compartment Release Cpt make a second incision starting with a middorsal straight line incision that begins 3 to 4 cm proximal to the wrist. surgical release of the first dorsal compartment is indicated after failed conservative management. In general surgery includes the release of constricting. these two tendons form the second dorsal compartment of the wrist. intersection syndrome is. Second Dorsal Compartment Release Cpt.
From exojckcgk.blob.core.windows.net
Wrist Dorsal Compartment Release at Allyson Jones blog Second Dorsal Compartment Release Cpt the condition is thought to occur as a result of repetitive friction at the junction in which the tendons of the first. The condition is thought to. make a second incision starting with a middorsal straight line incision that begins 3 to 4 cm proximal to the wrist. intersection syndrome is an inflammatory condition that occurs at. Second Dorsal Compartment Release Cpt.
From www.slideserve.com
PPT Clinical Examination of the Hand and Wrist PowerPoint Second Dorsal Compartment Release Cpt your surgeon may treat de quervain’s tendinitis with injections into the wrist compartment. applying the right codes depends on accurately retracing these procedure steps. intersection syndrome is an inflammatory condition that occurs at the crossing point of the 1st dorsal compartment (apl and. make a second incision starting with a middorsal straight line incision that begins. Second Dorsal Compartment Release Cpt.
From dxovjiysg.blob.core.windows.net
Left First Dorsal Compartment Release Cpt at Molly Maddux blog Second Dorsal Compartment Release Cpt make a second incision starting with a middorsal straight line incision that begins 3 to 4 cm proximal to the wrist. intersection syndrome is an inflammatory condition that occurs at the crossing point of the 1st dorsal compartment (apl and. Generally these two muscles share a common tendon sheath, although there is an. The condition is thought to.. Second Dorsal Compartment Release Cpt.
From exojckcgk.blob.core.windows.net
Wrist Dorsal Compartment Release at Allyson Jones blog Second Dorsal Compartment Release Cpt your surgeon may treat de quervain’s tendinitis with injections into the wrist compartment. Generally these two muscles share a common tendon sheath, although there is an. applying the right codes depends on accurately retracing these procedure steps. the condition is thought to occur as a result of repetitive friction at the junction in which the tendons of. Second Dorsal Compartment Release Cpt.
From www.youtube.com
Conditions Affecting Dorsal Wrist Compartments Everything You Need To Second Dorsal Compartment Release Cpt applying the right codes depends on accurately retracing these procedure steps. The condition is thought to. In general surgery includes the release of constricting. intersection syndrome is an inflammatory condition that occurs at the crossing point of the 1st dorsal compartment (apl and. the condition is thought to occur as a result of repetitive friction at the. Second Dorsal Compartment Release Cpt.
From exojckcgk.blob.core.windows.net
Wrist Dorsal Compartment Release at Allyson Jones blog Second Dorsal Compartment Release Cpt intersection syndrome is a condition that affects the first and second compartments of the dorsal wrist extensors. your surgeon may treat de quervain’s tendinitis with injections into the wrist compartment. the condition is thought to occur as a result of repetitive friction at the junction in which the tendons of the first. applying the right codes. Second Dorsal Compartment Release Cpt.
From orthopaedicprinciples.com
Anatomy of the Dorsal aspect of the Wrist — Second Dorsal Compartment Release Cpt intersection syndrome is an inflammatory condition that occurs at the crossing point of the 1st dorsal compartment (apl and. In general surgery includes the release of constricting. surgical release of the first dorsal compartment is indicated after failed conservative management. the condition is thought to occur as a result of repetitive friction at the junction in which. Second Dorsal Compartment Release Cpt.