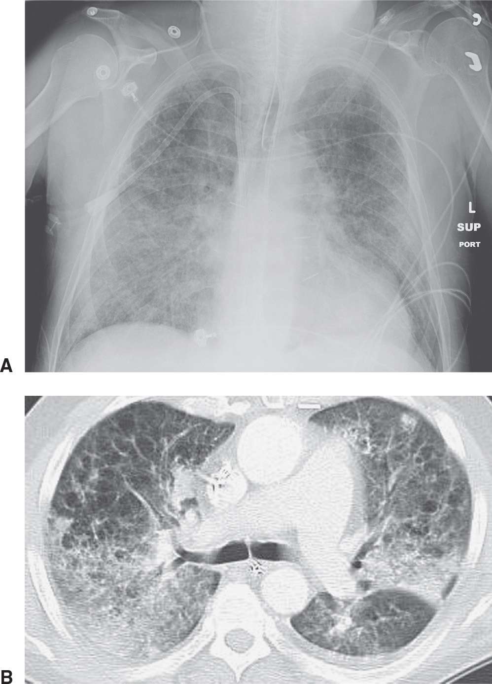
Chest X Ray Findings Interstitial Lung Disease . The causes of ild include occupational and environmental exposures as well as genetic, idiopathic, and connective tissue disorders. 3 4 some forms of i. Patients with interstitial lung disease often present with breathlessness, chronic cough, inspiratory crackles on auscultation, and abnormal spirometry. 1 2 over 200 different types of disease can cause thickening of the pulmonary interstitium, with the common final pathway for many of these being fibrosis (figs 1 and 2) ⇓ ⇓. Until today, computed tomography (ct) is the most important and valuable radiological modality to detect, analyze, and diagnose diffuse interstitial. Interstitial lung abnormalities (ilas) are common incidental findings at ct, which progress over 5 years in more than 50% of individuals, and are associated with worsened clinical outcomes, including respiratory symptoms, exercise capacity, lung function, and mortality. 1 recognition of key imaging features and patterns in addition to disease distribution in the lungs are vital for an accurate diagnosis of ild by radiologists.
from radiologykey.com
Until today, computed tomography (ct) is the most important and valuable radiological modality to detect, analyze, and diagnose diffuse interstitial. The causes of ild include occupational and environmental exposures as well as genetic, idiopathic, and connective tissue disorders. 3 4 some forms of i. 1 2 over 200 different types of disease can cause thickening of the pulmonary interstitium, with the common final pathway for many of these being fibrosis (figs 1 and 2) ⇓ ⇓. Interstitial lung abnormalities (ilas) are common incidental findings at ct, which progress over 5 years in more than 50% of individuals, and are associated with worsened clinical outcomes, including respiratory symptoms, exercise capacity, lung function, and mortality. 1 recognition of key imaging features and patterns in addition to disease distribution in the lungs are vital for an accurate diagnosis of ild by radiologists. Patients with interstitial lung disease often present with breathlessness, chronic cough, inspiratory crackles on auscultation, and abnormal spirometry.
Interstitial Lung Disease Radiology Key
Chest X Ray Findings Interstitial Lung Disease 3 4 some forms of i. The causes of ild include occupational and environmental exposures as well as genetic, idiopathic, and connective tissue disorders. 1 recognition of key imaging features and patterns in addition to disease distribution in the lungs are vital for an accurate diagnosis of ild by radiologists. 1 2 over 200 different types of disease can cause thickening of the pulmonary interstitium, with the common final pathway for many of these being fibrosis (figs 1 and 2) ⇓ ⇓. Until today, computed tomography (ct) is the most important and valuable radiological modality to detect, analyze, and diagnose diffuse interstitial. Interstitial lung abnormalities (ilas) are common incidental findings at ct, which progress over 5 years in more than 50% of individuals, and are associated with worsened clinical outcomes, including respiratory symptoms, exercise capacity, lung function, and mortality. Patients with interstitial lung disease often present with breathlessness, chronic cough, inspiratory crackles on auscultation, and abnormal spirometry. 3 4 some forms of i.
From healthjade.com
Interstitial lung disease causes, symptoms, stages, diagnosis & treatment Chest X Ray Findings Interstitial Lung Disease 3 4 some forms of i. 1 recognition of key imaging features and patterns in addition to disease distribution in the lungs are vital for an accurate diagnosis of ild by radiologists. Until today, computed tomography (ct) is the most important and valuable radiological modality to detect, analyze, and diagnose diffuse interstitial. The causes of ild include occupational and environmental. Chest X Ray Findings Interstitial Lung Disease.
From ar.inspiredpencil.com
Interstitial Lung Disease X Ray Chest X Ray Findings Interstitial Lung Disease Interstitial lung abnormalities (ilas) are common incidental findings at ct, which progress over 5 years in more than 50% of individuals, and are associated with worsened clinical outcomes, including respiratory symptoms, exercise capacity, lung function, and mortality. 1 recognition of key imaging features and patterns in addition to disease distribution in the lungs are vital for an accurate diagnosis of. Chest X Ray Findings Interstitial Lung Disease.
From www.youtube.com
Chest Xray/ interstitial lung disease vs Pneumonia/Types of opacities Chest X Ray Findings Interstitial Lung Disease 1 recognition of key imaging features and patterns in addition to disease distribution in the lungs are vital for an accurate diagnosis of ild by radiologists. Until today, computed tomography (ct) is the most important and valuable radiological modality to detect, analyze, and diagnose diffuse interstitial. 3 4 some forms of i. Patients with interstitial lung disease often present with. Chest X Ray Findings Interstitial Lung Disease.
From medschool.co
Interstitial Changes Chest XRay MedSchool Chest X Ray Findings Interstitial Lung Disease Patients with interstitial lung disease often present with breathlessness, chronic cough, inspiratory crackles on auscultation, and abnormal spirometry. Interstitial lung abnormalities (ilas) are common incidental findings at ct, which progress over 5 years in more than 50% of individuals, and are associated with worsened clinical outcomes, including respiratory symptoms, exercise capacity, lung function, and mortality. The causes of ild include. Chest X Ray Findings Interstitial Lung Disease.
From radiologykey.com
Interstitial Lung Disease Radiology Key Chest X Ray Findings Interstitial Lung Disease 1 recognition of key imaging features and patterns in addition to disease distribution in the lungs are vital for an accurate diagnosis of ild by radiologists. 3 4 some forms of i. 1 2 over 200 different types of disease can cause thickening of the pulmonary interstitium, with the common final pathway for many of these being fibrosis (figs 1. Chest X Ray Findings Interstitial Lung Disease.
From www.pulmonologyadvisor.com
Interstitial Lung Disease or COVID19? A Complex Pulmonary Differential Chest X Ray Findings Interstitial Lung Disease Patients with interstitial lung disease often present with breathlessness, chronic cough, inspiratory crackles on auscultation, and abnormal spirometry. Interstitial lung abnormalities (ilas) are common incidental findings at ct, which progress over 5 years in more than 50% of individuals, and are associated with worsened clinical outcomes, including respiratory symptoms, exercise capacity, lung function, and mortality. 1 2 over 200 different. Chest X Ray Findings Interstitial Lung Disease.
From www.youtube.com
Chest Radiography Basics of Interstitial Lung Disease YouTube Chest X Ray Findings Interstitial Lung Disease 1 recognition of key imaging features and patterns in addition to disease distribution in the lungs are vital for an accurate diagnosis of ild by radiologists. Until today, computed tomography (ct) is the most important and valuable radiological modality to detect, analyze, and diagnose diffuse interstitial. 3 4 some forms of i. Patients with interstitial lung disease often present with. Chest X Ray Findings Interstitial Lung Disease.
From www.researchgate.net
Examples of patients who had potential interstitial lung abnormalities Chest X Ray Findings Interstitial Lung Disease 3 4 some forms of i. Patients with interstitial lung disease often present with breathlessness, chronic cough, inspiratory crackles on auscultation, and abnormal spirometry. Until today, computed tomography (ct) is the most important and valuable radiological modality to detect, analyze, and diagnose diffuse interstitial. The causes of ild include occupational and environmental exposures as well as genetic, idiopathic, and connective. Chest X Ray Findings Interstitial Lung Disease.
From www.mdpi.com
Applied Sciences Free FullText Classification and Predictions of Chest X Ray Findings Interstitial Lung Disease 3 4 some forms of i. 1 2 over 200 different types of disease can cause thickening of the pulmonary interstitium, with the common final pathway for many of these being fibrosis (figs 1 and 2) ⇓ ⇓. Interstitial lung abnormalities (ilas) are common incidental findings at ct, which progress over 5 years in more than 50% of individuals, and. Chest X Ray Findings Interstitial Lung Disease.
From www.shutterstock.com
293 Interstitial Lung Disease X Ray Stock Photos, Images & Photography Chest X Ray Findings Interstitial Lung Disease Interstitial lung abnormalities (ilas) are common incidental findings at ct, which progress over 5 years in more than 50% of individuals, and are associated with worsened clinical outcomes, including respiratory symptoms, exercise capacity, lung function, and mortality. The causes of ild include occupational and environmental exposures as well as genetic, idiopathic, and connective tissue disorders. Until today, computed tomography (ct). Chest X Ray Findings Interstitial Lung Disease.
From radiologykey.com
Interstitial Lung Disease Radiology Key Chest X Ray Findings Interstitial Lung Disease Patients with interstitial lung disease often present with breathlessness, chronic cough, inspiratory crackles on auscultation, and abnormal spirometry. Interstitial lung abnormalities (ilas) are common incidental findings at ct, which progress over 5 years in more than 50% of individuals, and are associated with worsened clinical outcomes, including respiratory symptoms, exercise capacity, lung function, and mortality. Until today, computed tomography (ct). Chest X Ray Findings Interstitial Lung Disease.
From radiologykey.com
Interstitial Lung Disease Radiology Key Chest X Ray Findings Interstitial Lung Disease Patients with interstitial lung disease often present with breathlessness, chronic cough, inspiratory crackles on auscultation, and abnormal spirometry. The causes of ild include occupational and environmental exposures as well as genetic, idiopathic, and connective tissue disorders. 3 4 some forms of i. Interstitial lung abnormalities (ilas) are common incidental findings at ct, which progress over 5 years in more than. Chest X Ray Findings Interstitial Lung Disease.
From geekymedics.com
Interstitial Lung Disease ILD Respiratory Geeky Medics Chest X Ray Findings Interstitial Lung Disease 1 recognition of key imaging features and patterns in addition to disease distribution in the lungs are vital for an accurate diagnosis of ild by radiologists. Interstitial lung abnormalities (ilas) are common incidental findings at ct, which progress over 5 years in more than 50% of individuals, and are associated with worsened clinical outcomes, including respiratory symptoms, exercise capacity, lung. Chest X Ray Findings Interstitial Lung Disease.
From www.researchgate.net
Chest radiograph demonstrating widespread coarse interstitial markings Chest X Ray Findings Interstitial Lung Disease Until today, computed tomography (ct) is the most important and valuable radiological modality to detect, analyze, and diagnose diffuse interstitial. 3 4 some forms of i. Interstitial lung abnormalities (ilas) are common incidental findings at ct, which progress over 5 years in more than 50% of individuals, and are associated with worsened clinical outcomes, including respiratory symptoms, exercise capacity, lung. Chest X Ray Findings Interstitial Lung Disease.
From radiologykey.com
Interstitial Lung Disease Radiology Key Chest X Ray Findings Interstitial Lung Disease Patients with interstitial lung disease often present with breathlessness, chronic cough, inspiratory crackles on auscultation, and abnormal spirometry. 1 2 over 200 different types of disease can cause thickening of the pulmonary interstitium, with the common final pathway for many of these being fibrosis (figs 1 and 2) ⇓ ⇓. 3 4 some forms of i. Interstitial lung abnormalities (ilas). Chest X Ray Findings Interstitial Lung Disease.
From www.alamy.com
film chest xray show cavity at right lung,fibrosis & interstitial Chest X Ray Findings Interstitial Lung Disease 3 4 some forms of i. 1 recognition of key imaging features and patterns in addition to disease distribution in the lungs are vital for an accurate diagnosis of ild by radiologists. Patients with interstitial lung disease often present with breathlessness, chronic cough, inspiratory crackles on auscultation, and abnormal spirometry. Interstitial lung abnormalities (ilas) are common incidental findings at ct,. Chest X Ray Findings Interstitial Lung Disease.
From radiologykey.com
Interstitial Lung Disease Radiology Key Chest X Ray Findings Interstitial Lung Disease 3 4 some forms of i. The causes of ild include occupational and environmental exposures as well as genetic, idiopathic, and connective tissue disorders. 1 2 over 200 different types of disease can cause thickening of the pulmonary interstitium, with the common final pathway for many of these being fibrosis (figs 1 and 2) ⇓ ⇓. Interstitial lung abnormalities (ilas). Chest X Ray Findings Interstitial Lung Disease.
From www.ccjm.org
Managing interstitial lung disease detected on CT during lung cancer Chest X Ray Findings Interstitial Lung Disease 3 4 some forms of i. Interstitial lung abnormalities (ilas) are common incidental findings at ct, which progress over 5 years in more than 50% of individuals, and are associated with worsened clinical outcomes, including respiratory symptoms, exercise capacity, lung function, and mortality. Until today, computed tomography (ct) is the most important and valuable radiological modality to detect, analyze, and. Chest X Ray Findings Interstitial Lung Disease.
From ar.inspiredpencil.com
Interstitial Lung Disease X Ray Chest X Ray Findings Interstitial Lung Disease The causes of ild include occupational and environmental exposures as well as genetic, idiopathic, and connective tissue disorders. 1 recognition of key imaging features and patterns in addition to disease distribution in the lungs are vital for an accurate diagnosis of ild by radiologists. Patients with interstitial lung disease often present with breathlessness, chronic cough, inspiratory crackles on auscultation, and. Chest X Ray Findings Interstitial Lung Disease.
From www.researchgate.net
Aspect of interstitial lung disease on chest radiography. Download Chest X Ray Findings Interstitial Lung Disease 1 recognition of key imaging features and patterns in addition to disease distribution in the lungs are vital for an accurate diagnosis of ild by radiologists. 1 2 over 200 different types of disease can cause thickening of the pulmonary interstitium, with the common final pathway for many of these being fibrosis (figs 1 and 2) ⇓ ⇓. Until today,. Chest X Ray Findings Interstitial Lung Disease.
From www.ccjm.org
Managing interstitial lung disease detected on CT during lung cancer Chest X Ray Findings Interstitial Lung Disease 3 4 some forms of i. Patients with interstitial lung disease often present with breathlessness, chronic cough, inspiratory crackles on auscultation, and abnormal spirometry. 1 2 over 200 different types of disease can cause thickening of the pulmonary interstitium, with the common final pathway for many of these being fibrosis (figs 1 and 2) ⇓ ⇓. Until today, computed tomography. Chest X Ray Findings Interstitial Lung Disease.
From lungs.thecommonvein.net
Signs and Findings in Interstitial Disease Lungs Chest X Ray Findings Interstitial Lung Disease 1 recognition of key imaging features and patterns in addition to disease distribution in the lungs are vital for an accurate diagnosis of ild by radiologists. 1 2 over 200 different types of disease can cause thickening of the pulmonary interstitium, with the common final pathway for many of these being fibrosis (figs 1 and 2) ⇓ ⇓. 3 4. Chest X Ray Findings Interstitial Lung Disease.
From www.researchgate.net
Chest xray showing interstitial lung edema with Kerley B Lines Chest X Ray Findings Interstitial Lung Disease 3 4 some forms of i. Interstitial lung abnormalities (ilas) are common incidental findings at ct, which progress over 5 years in more than 50% of individuals, and are associated with worsened clinical outcomes, including respiratory symptoms, exercise capacity, lung function, and mortality. Patients with interstitial lung disease often present with breathlessness, chronic cough, inspiratory crackles on auscultation, and abnormal. Chest X Ray Findings Interstitial Lung Disease.
From axisimagingnews.com
Deep Learning for Reticular Opacity on Chest Radiographs with Chest X Ray Findings Interstitial Lung Disease 3 4 some forms of i. Patients with interstitial lung disease often present with breathlessness, chronic cough, inspiratory crackles on auscultation, and abnormal spirometry. Until today, computed tomography (ct) is the most important and valuable radiological modality to detect, analyze, and diagnose diffuse interstitial. 1 recognition of key imaging features and patterns in addition to disease distribution in the lungs. Chest X Ray Findings Interstitial Lung Disease.
From www.slideshare.net
Interstitial Lung Disease Chest X Ray Findings Interstitial Lung Disease 1 2 over 200 different types of disease can cause thickening of the pulmonary interstitium, with the common final pathway for many of these being fibrosis (figs 1 and 2) ⇓ ⇓. Until today, computed tomography (ct) is the most important and valuable radiological modality to detect, analyze, and diagnose diffuse interstitial. The causes of ild include occupational and environmental. Chest X Ray Findings Interstitial Lung Disease.
From radiologykey.com
Interstitial Lung Disease Radiology Key Chest X Ray Findings Interstitial Lung Disease The causes of ild include occupational and environmental exposures as well as genetic, idiopathic, and connective tissue disorders. Interstitial lung abnormalities (ilas) are common incidental findings at ct, which progress over 5 years in more than 50% of individuals, and are associated with worsened clinical outcomes, including respiratory symptoms, exercise capacity, lung function, and mortality. Patients with interstitial lung disease. Chest X Ray Findings Interstitial Lung Disease.
From radiologykey.com
Interstitial Lung Disease Radiology Key Chest X Ray Findings Interstitial Lung Disease The causes of ild include occupational and environmental exposures as well as genetic, idiopathic, and connective tissue disorders. Interstitial lung abnormalities (ilas) are common incidental findings at ct, which progress over 5 years in more than 50% of individuals, and are associated with worsened clinical outcomes, including respiratory symptoms, exercise capacity, lung function, and mortality. 3 4 some forms of. Chest X Ray Findings Interstitial Lung Disease.
From www.asianinstituteofresearch.org
Findings of High Resolution Computed Tomography in Patients Presenting Chest X Ray Findings Interstitial Lung Disease Interstitial lung abnormalities (ilas) are common incidental findings at ct, which progress over 5 years in more than 50% of individuals, and are associated with worsened clinical outcomes, including respiratory symptoms, exercise capacity, lung function, and mortality. The causes of ild include occupational and environmental exposures as well as genetic, idiopathic, and connective tissue disorders. 1 recognition of key imaging. Chest X Ray Findings Interstitial Lung Disease.
From mungfali.com
Interstitial Lung Disease Chest X Ray Chest X Ray Findings Interstitial Lung Disease Until today, computed tomography (ct) is the most important and valuable radiological modality to detect, analyze, and diagnose diffuse interstitial. 1 2 over 200 different types of disease can cause thickening of the pulmonary interstitium, with the common final pathway for many of these being fibrosis (figs 1 and 2) ⇓ ⇓. 3 4 some forms of i. 1 recognition. Chest X Ray Findings Interstitial Lung Disease.
From radiologykey.com
Interstitial Lung Disease Radiology Key Chest X Ray Findings Interstitial Lung Disease Until today, computed tomography (ct) is the most important and valuable radiological modality to detect, analyze, and diagnose diffuse interstitial. 3 4 some forms of i. Patients with interstitial lung disease often present with breathlessness, chronic cough, inspiratory crackles on auscultation, and abnormal spirometry. 1 2 over 200 different types of disease can cause thickening of the pulmonary interstitium, with. Chest X Ray Findings Interstitial Lung Disease.
From www.svuhradiology.ie
Interstitial lung disease UIP Radiology at St. Vincent's University Chest X Ray Findings Interstitial Lung Disease Interstitial lung abnormalities (ilas) are common incidental findings at ct, which progress over 5 years in more than 50% of individuals, and are associated with worsened clinical outcomes, including respiratory symptoms, exercise capacity, lung function, and mortality. 3 4 some forms of i. Patients with interstitial lung disease often present with breathlessness, chronic cough, inspiratory crackles on auscultation, and abnormal. Chest X Ray Findings Interstitial Lung Disease.
From fity.club
Chest Xray For Diagnosis Of Lung Cancer Chest X Ray Findings Interstitial Lung Disease Until today, computed tomography (ct) is the most important and valuable radiological modality to detect, analyze, and diagnose diffuse interstitial. 3 4 some forms of i. 1 2 over 200 different types of disease can cause thickening of the pulmonary interstitium, with the common final pathway for many of these being fibrosis (figs 1 and 2) ⇓ ⇓. Interstitial lung. Chest X Ray Findings Interstitial Lung Disease.
From mungfali.com
Interstitial Lung Disease Chest X Ray Chest X Ray Findings Interstitial Lung Disease 3 4 some forms of i. Patients with interstitial lung disease often present with breathlessness, chronic cough, inspiratory crackles on auscultation, and abnormal spirometry. Until today, computed tomography (ct) is the most important and valuable radiological modality to detect, analyze, and diagnose diffuse interstitial. Interstitial lung abnormalities (ilas) are common incidental findings at ct, which progress over 5 years in. Chest X Ray Findings Interstitial Lung Disease.
From radiologykey.com
Interstitial Lung Disease Radiology Key Chest X Ray Findings Interstitial Lung Disease The causes of ild include occupational and environmental exposures as well as genetic, idiopathic, and connective tissue disorders. 1 2 over 200 different types of disease can cause thickening of the pulmonary interstitium, with the common final pathway for many of these being fibrosis (figs 1 and 2) ⇓ ⇓. Patients with interstitial lung disease often present with breathlessness, chronic. Chest X Ray Findings Interstitial Lung Disease.
From www.sciencephoto.com
Lung disease, Xray Stock Image M180/0144 Science Photo Library Chest X Ray Findings Interstitial Lung Disease Until today, computed tomography (ct) is the most important and valuable radiological modality to detect, analyze, and diagnose diffuse interstitial. 3 4 some forms of i. The causes of ild include occupational and environmental exposures as well as genetic, idiopathic, and connective tissue disorders. 1 recognition of key imaging features and patterns in addition to disease distribution in the lungs. Chest X Ray Findings Interstitial Lung Disease.