Betta Fish Eggs Fertilized . How to tell if betta eggs are fertilized? Two black dots appear, resembling the fry’s eyes. The primary purpose of the male betta is to fertilize the eggs, but only after the female has generated them internally. A key sign that a betta fish egg is fertile is the presence of significant grey spots in the middle of the egg. After the female finishes producing her eggs, the male. One of the first signs that betta eggs are fertilized is the appearance of tiny black dots within the eggs. Female bettas with eggs will manifest certain signs, for. The eggs develop yellowish or brownish shades. Fertilized eggs have a gray spot. Betta fish eggs typically hatch within. Ultimately, the best way to tell if your betta eggs are fertilized is to observe them closely and look for signs of development and fry presence. Once the female betta lays her eggs in the nest, the male betta will fertilize them by releasing his sperm over the eggs. These dots are the developing embryos,. Hatching time of betta fish eggs. Do betta fish lay unfertilized eggs?
from www.berrypatchfarms.net
Female bettas with eggs will manifest certain signs, for. How do betta fish eggs get fertilized? Betta fish eggs typically hatch within. Two black dots appear, resembling the fry’s eyes. Do betta fish lay unfertilized eggs? Fertilized eggs have a gray spot. Ultimately, the best way to tell if your betta eggs are fertilized is to observe them closely and look for signs of development and fry presence. After the female finishes producing her eggs, the male. A key sign that a betta fish egg is fertile is the presence of significant grey spots in the middle of the egg. The primary purpose of the male betta is to fertilize the eggs, but only after the female has generated them internally.
How To Tell If Your Betta Fish Eggs Are Fertilized Berry Patch Farms
Betta Fish Eggs Fertilized Hatching time of betta fish eggs. How to tell if betta eggs are fertilized? How do betta fish eggs get fertilized? A key sign that a betta fish egg is fertile is the presence of significant grey spots in the middle of the egg. Ultimately, the best way to tell if your betta eggs are fertilized is to observe them closely and look for signs of development and fry presence. Two black dots appear, resembling the fry’s eyes. Betta fish eggs typically hatch within. These signs indicate that your betta fish’s eggs are fertilized: The eggs develop yellowish or brownish shades. The primary purpose of the male betta is to fertilize the eggs, but only after the female has generated them internally. Fertilized eggs have a gray spot. After the female finishes producing her eggs, the male. Female bettas with eggs will manifest certain signs, for. Do betta fish lay unfertilized eggs? Hatching time of betta fish eggs. One of the first signs that betta eggs are fertilized is the appearance of tiny black dots within the eggs.
From www.animalshq.com
How Betta Fish Lay Eggs (All You Need to Know!) Animals HQ Betta Fish Eggs Fertilized These dots are the developing embryos,. Betta fish eggs typically hatch within. The primary purpose of the male betta is to fertilize the eggs, but only after the female has generated them internally. After the female finishes producing her eggs, the male. Once the female betta lays her eggs in the nest, the male betta will fertilize them by releasing. Betta Fish Eggs Fertilized.
From animalia-life.club
Betta Fish Eggs Hatch Betta Fish Eggs Fertilized A key sign that a betta fish egg is fertile is the presence of significant grey spots in the middle of the egg. Do betta fish lay unfertilized eggs? How to tell if betta eggs are fertilized? Fertilized eggs have a gray spot. These dots are the developing embryos,. The eggs develop yellowish or brownish shades. The primary purpose of. Betta Fish Eggs Fertilized.
From www.berrypatchfarms.net
How To Tell If Your Betta Fish Eggs Are Fertilized Berry Patch Farms Betta Fish Eggs Fertilized Female bettas with eggs will manifest certain signs, for. Hatching time of betta fish eggs. Two black dots appear, resembling the fry’s eyes. Fertilized eggs have a gray spot. Ultimately, the best way to tell if your betta eggs are fertilized is to observe them closely and look for signs of development and fry presence. Do betta fish lay unfertilized. Betta Fish Eggs Fertilized.
From www.bettacarefishguide.com
Betta Fish Eggs Everything You Need to Know Betta Fish Eggs Fertilized Two black dots appear, resembling the fry’s eyes. Fertilized eggs have a gray spot. Hatching time of betta fish eggs. A key sign that a betta fish egg is fertile is the presence of significant grey spots in the middle of the egg. Once the female betta lays her eggs in the nest, the male betta will fertilize them by. Betta Fish Eggs Fertilized.
From petfishonline.com
What Do Betta Fish Eggs Look Like? (With Detailed Pictures) Pet Fish Betta Fish Eggs Fertilized One of the first signs that betta eggs are fertilized is the appearance of tiny black dots within the eggs. Fertilized eggs have a gray spot. The primary purpose of the male betta is to fertilize the eggs, but only after the female has generated them internally. Hatching time of betta fish eggs. Betta fish eggs typically hatch within. After. Betta Fish Eggs Fertilized.
From www.youtube.com
BETTAFISH BREEDING [PART 4 ] HATCHING OF EGGS,BETTA FIRST FOOD Betta Fish Eggs Fertilized One of the first signs that betta eggs are fertilized is the appearance of tiny black dots within the eggs. How do betta fish eggs get fertilized? The primary purpose of the male betta is to fertilize the eggs, but only after the female has generated them internally. The eggs develop yellowish or brownish shades. After the female finishes producing. Betta Fish Eggs Fertilized.
From petfishpursuits.com
How To Tell If Betta Eggs Are Fertilized? (A Guide For Beginners Betta Fish Eggs Fertilized These dots are the developing embryos,. The primary purpose of the male betta is to fertilize the eggs, but only after the female has generated them internally. A key sign that a betta fish egg is fertile is the presence of significant grey spots in the middle of the egg. These signs indicate that your betta fish’s eggs are fertilized:. Betta Fish Eggs Fertilized.
From petfishonline.com
What Do Betta Fish Eggs Look Like? (With Detailed Pictures) Pet Fish Betta Fish Eggs Fertilized How do betta fish eggs get fertilized? These dots are the developing embryos,. These signs indicate that your betta fish’s eggs are fertilized: Do betta fish lay unfertilized eggs? Two black dots appear, resembling the fry’s eyes. The eggs develop yellowish or brownish shades. Betta fish eggs typically hatch within. Hatching time of betta fish eggs. After the female finishes. Betta Fish Eggs Fertilized.
From bettafishbay.com
Breeding Process Betta Fish Bay Betta Fish Eggs Fertilized After the female finishes producing her eggs, the male. Ultimately, the best way to tell if your betta eggs are fertilized is to observe them closely and look for signs of development and fry presence. Fertilized eggs have a gray spot. Female bettas with eggs will manifest certain signs, for. Do betta fish lay unfertilized eggs? A key sign that. Betta Fish Eggs Fertilized.
From lifeoffish.com
How To Tell If Betta Eggs Are Fertilized? 12 Unheard Facts Betta Fish Eggs Fertilized Hatching time of betta fish eggs. How to tell if betta eggs are fertilized? After the female finishes producing her eggs, the male. How do betta fish eggs get fertilized? A key sign that a betta fish egg is fertile is the presence of significant grey spots in the middle of the egg. Do betta fish lay unfertilized eggs? These. Betta Fish Eggs Fertilized.
From www.youtube.com
How To Breed Betta Fish Part 3 The Eggs Hatch Until The Fry Are 4 Days Betta Fish Eggs Fertilized One of the first signs that betta eggs are fertilized is the appearance of tiny black dots within the eggs. Female bettas with eggs will manifest certain signs, for. The primary purpose of the male betta is to fertilize the eggs, but only after the female has generated them internally. How do betta fish eggs get fertilized? Ultimately, the best. Betta Fish Eggs Fertilized.
From badmanstropicalfish.com
How To Tell If Betta Eggs Are Fertilized Identifying Them Properly Betta Fish Eggs Fertilized Once the female betta lays her eggs in the nest, the male betta will fertilize them by releasing his sperm over the eggs. Ultimately, the best way to tell if your betta eggs are fertilized is to observe them closely and look for signs of development and fry presence. These signs indicate that your betta fish’s eggs are fertilized: The. Betta Fish Eggs Fertilized.
From simplyaquarium.com
What Do Betta Fish Eggs Look Like? Latest Images For 2023! Betta Fish Eggs Fertilized After the female finishes producing her eggs, the male. The eggs develop yellowish or brownish shades. These signs indicate that your betta fish’s eggs are fertilized: Betta fish eggs typically hatch within. Two black dots appear, resembling the fry’s eyes. Female bettas with eggs will manifest certain signs, for. A key sign that a betta fish egg is fertile is. Betta Fish Eggs Fertilized.
From www.fishkeepingacademy.com
How To Tell If A Betta Bubble Nest Has Fertilized Eggs Fish Keeping Betta Fish Eggs Fertilized These dots are the developing embryos,. Two black dots appear, resembling the fry’s eyes. Hatching time of betta fish eggs. Female bettas with eggs will manifest certain signs, for. How do betta fish eggs get fertilized? Betta fish eggs typically hatch within. These signs indicate that your betta fish’s eggs are fertilized: The primary purpose of the male betta is. Betta Fish Eggs Fertilized.
From www.youtube.com
My BETTA FISH LAID EGGS! *Betta Breeding* YouTube Betta Fish Eggs Fertilized These signs indicate that your betta fish’s eggs are fertilized: After the female finishes producing her eggs, the male. Fertilized eggs have a gray spot. How do betta fish eggs get fertilized? Betta fish eggs typically hatch within. The eggs develop yellowish or brownish shades. How to tell if betta eggs are fertilized? Do betta fish lay unfertilized eggs? Hatching. Betta Fish Eggs Fertilized.
From petfishonline.com
Betta Fish Eggs 101 Care, Hatching Time, Appearance & More Pet Fish Betta Fish Eggs Fertilized Once the female betta lays her eggs in the nest, the male betta will fertilize them by releasing his sperm over the eggs. Two black dots appear, resembling the fry’s eyes. A key sign that a betta fish egg is fertile is the presence of significant grey spots in the middle of the egg. One of the first signs that. Betta Fish Eggs Fertilized.
From bettasource.com
The Promise of New Life Recognizing Fertilized Betta Eggs Betta Fish Eggs Fertilized Once the female betta lays her eggs in the nest, the male betta will fertilize them by releasing his sperm over the eggs. These dots are the developing embryos,. One of the first signs that betta eggs are fertilized is the appearance of tiny black dots within the eggs. Ultimately, the best way to tell if your betta eggs are. Betta Fish Eggs Fertilized.
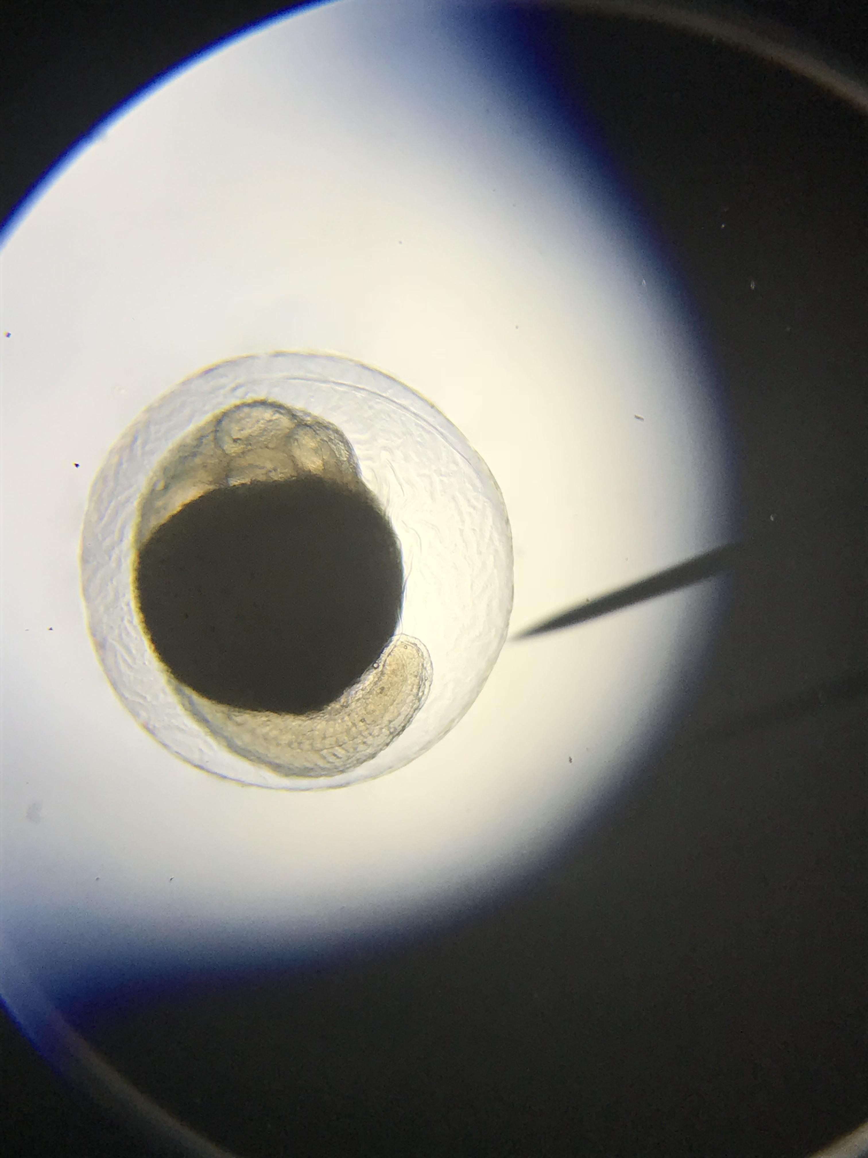
From www.reddit.com
Fertilized betta egg under microscope. r/bettafish Betta Fish Eggs Fertilized Female bettas with eggs will manifest certain signs, for. Two black dots appear, resembling the fry’s eyes. After the female finishes producing her eggs, the male. How do betta fish eggs get fertilized? Do betta fish lay unfertilized eggs? The primary purpose of the male betta is to fertilize the eggs, but only after the female has generated them internally.. Betta Fish Eggs Fertilized.
From fishiom.com
How to Tell If Betta Eggs are Fertilized Fishiom Betta Fish Eggs Fertilized Once the female betta lays her eggs in the nest, the male betta will fertilize them by releasing his sperm over the eggs. How do betta fish eggs get fertilized? Ultimately, the best way to tell if your betta eggs are fertilized is to observe them closely and look for signs of development and fry presence. These signs indicate that. Betta Fish Eggs Fertilized.
From www.fishkeepingadventure.com
How To Tell If Betta Eggs Are Fertilized? Betta Fish Eggs Fertilized The eggs develop yellowish or brownish shades. Two black dots appear, resembling the fry’s eyes. One of the first signs that betta eggs are fertilized is the appearance of tiny black dots within the eggs. Hatching time of betta fish eggs. Fertilized eggs have a gray spot. How do betta fish eggs get fertilized? Once the female betta lays her. Betta Fish Eggs Fertilized.
From petfishpursuits.com
How To Tell If Betta Eggs Are Fertilized? (A Guide For Beginners Betta Fish Eggs Fertilized Female bettas with eggs will manifest certain signs, for. How do betta fish eggs get fertilized? After the female finishes producing her eggs, the male. A key sign that a betta fish egg is fertile is the presence of significant grey spots in the middle of the egg. How to tell if betta eggs are fertilized? The eggs develop yellowish. Betta Fish Eggs Fertilized.
From petfishonline.com
How To Tell If Betta Eggs Are Fertilized? (With Pictures) Pet Fish Online Betta Fish Eggs Fertilized How to tell if betta eggs are fertilized? Fertilized eggs have a gray spot. These signs indicate that your betta fish’s eggs are fertilized: The primary purpose of the male betta is to fertilize the eggs, but only after the female has generated them internally. Once the female betta lays her eggs in the nest, the male betta will fertilize. Betta Fish Eggs Fertilized.
From helpfuladviceandtips.com
How To Tell If Betta Fish Eggs Are Fertilized Helpful Advice & Tips Betta Fish Eggs Fertilized The primary purpose of the male betta is to fertilize the eggs, but only after the female has generated them internally. These signs indicate that your betta fish’s eggs are fertilized: These dots are the developing embryos,. How do betta fish eggs get fertilized? Do betta fish lay unfertilized eggs? Two black dots appear, resembling the fry’s eyes. A key. Betta Fish Eggs Fertilized.
From www.youtube.com
Betta fish egg fertilizing Betta fish YouTube Betta Fish Eggs Fertilized The primary purpose of the male betta is to fertilize the eggs, but only after the female has generated them internally. Two black dots appear, resembling the fry’s eyes. How to tell if betta eggs are fertilized? These dots are the developing embryos,. Hatching time of betta fish eggs. Fertilized eggs have a gray spot. A key sign that a. Betta Fish Eggs Fertilized.
From nippyfish.net
Betta Growth From Birth Fish Care Betta Fish Eggs Fertilized Do betta fish lay unfertilized eggs? These dots are the developing embryos,. The primary purpose of the male betta is to fertilize the eggs, but only after the female has generated them internally. Hatching time of betta fish eggs. Ultimately, the best way to tell if your betta eggs are fertilized is to observe them closely and look for signs. Betta Fish Eggs Fertilized.
From animalia-life.club
Betta Fish Eggs Hatch Betta Fish Eggs Fertilized These signs indicate that your betta fish’s eggs are fertilized: Ultimately, the best way to tell if your betta eggs are fertilized is to observe them closely and look for signs of development and fry presence. The primary purpose of the male betta is to fertilize the eggs, but only after the female has generated them internally. Female bettas with. Betta Fish Eggs Fertilized.
From petfishonline.com
How Do Betta Fish Eggs Get Fertilized? Pet Fish Online Betta Fish Eggs Fertilized Female bettas with eggs will manifest certain signs, for. Hatching time of betta fish eggs. One of the first signs that betta eggs are fertilized is the appearance of tiny black dots within the eggs. Once the female betta lays her eggs in the nest, the male betta will fertilize them by releasing his sperm over the eggs. Ultimately, the. Betta Fish Eggs Fertilized.
From petfishonline.com
How Do Betta Fish Eggs Get Fertilized? Pet Fish Online Betta Fish Eggs Fertilized These signs indicate that your betta fish’s eggs are fertilized: After the female finishes producing her eggs, the male. Once the female betta lays her eggs in the nest, the male betta will fertilize them by releasing his sperm over the eggs. Two black dots appear, resembling the fry’s eyes. How do betta fish eggs get fertilized? Female bettas with. Betta Fish Eggs Fertilized.
From wildbettablog.com
Betta Fish Eggs 101 Size, Appearance, Hatching Time & More Wild Betta Fish Eggs Fertilized A key sign that a betta fish egg is fertile is the presence of significant grey spots in the middle of the egg. Female bettas with eggs will manifest certain signs, for. These signs indicate that your betta fish’s eggs are fertilized: The eggs develop yellowish or brownish shades. Ultimately, the best way to tell if your betta eggs are. Betta Fish Eggs Fertilized.
From tropicalfish.org.uk
How to Tell if Betta Eggs Are Fertilized Identifying Them Properly Betta Fish Eggs Fertilized Two black dots appear, resembling the fry’s eyes. How do betta fish eggs get fertilized? Once the female betta lays her eggs in the nest, the male betta will fertilize them by releasing his sperm over the eggs. One of the first signs that betta eggs are fertilized is the appearance of tiny black dots within the eggs. How to. Betta Fish Eggs Fertilized.
From lifeoffish.com
How To Tell If Betta Eggs Are Fertilized? 12 Unheard Facts Betta Fish Eggs Fertilized Fertilized eggs have a gray spot. How do betta fish eggs get fertilized? A key sign that a betta fish egg is fertile is the presence of significant grey spots in the middle of the egg. Hatching time of betta fish eggs. Do betta fish lay unfertilized eggs? Once the female betta lays her eggs in the nest, the male. Betta Fish Eggs Fertilized.
From animalia-life.club
Betta Fish Eggs Hatch Betta Fish Eggs Fertilized Hatching time of betta fish eggs. These signs indicate that your betta fish’s eggs are fertilized: The eggs develop yellowish or brownish shades. Two black dots appear, resembling the fry’s eyes. A key sign that a betta fish egg is fertile is the presence of significant grey spots in the middle of the egg. Ultimately, the best way to tell. Betta Fish Eggs Fertilized.
From www.aquariadise.com
How To Tell if Betta Eggs Are Fertilized Questions Answered Betta Fish Eggs Fertilized Female bettas with eggs will manifest certain signs, for. Two black dots appear, resembling the fry’s eyes. Hatching time of betta fish eggs. After the female finishes producing her eggs, the male. These signs indicate that your betta fish’s eggs are fertilized: The primary purpose of the male betta is to fertilize the eggs, but only after the female has. Betta Fish Eggs Fertilized.
From petfishonline.com
How To Tell If Betta Eggs Are Fertilized? (With Pictures) Pet Fish Online Betta Fish Eggs Fertilized These signs indicate that your betta fish’s eggs are fertilized: Fertilized eggs have a gray spot. One of the first signs that betta eggs are fertilized is the appearance of tiny black dots within the eggs. After the female finishes producing her eggs, the male. Do betta fish lay unfertilized eggs? Once the female betta lays her eggs in the. Betta Fish Eggs Fertilized.
From fishiom.com
How to Tell If Betta Eggs are Fertilized Fishiom Betta Fish Eggs Fertilized These dots are the developing embryos,. The primary purpose of the male betta is to fertilize the eggs, but only after the female has generated them internally. How do betta fish eggs get fertilized? The eggs develop yellowish or brownish shades. Betta fish eggs typically hatch within. Do betta fish lay unfertilized eggs? After the female finishes producing her eggs,. Betta Fish Eggs Fertilized.