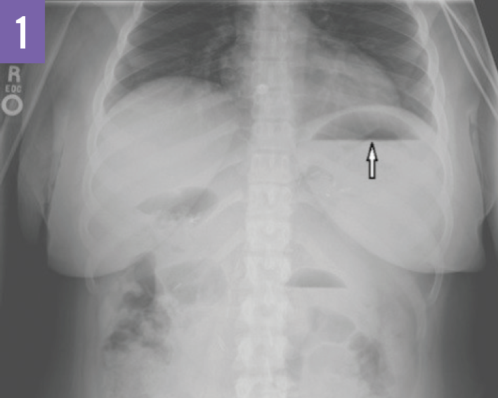
Gastric Sleeve On X Ray . Understanding of the surgical technique of laparoscopic sleeve gastrectomy and of the normal postsurgical anatomy allows accurate. It has recently gained in popularity. The connecting tubing has also migrated into a more rightward position than expected. (left) radiograph shows an abnormal position of the gastric band , which has slipped inferiorly and rotated clockwise. The gastric sleeve works in two ways. Sleeve gastrectomy is a bariatric surgical procedure involving resection of the greater curvature of the stomach to create functional restriction. Laparoscopic sleeve gastrectomy is one of the most common bariatric procedures worldwide. Firstly, it is a restrictive procedure, meaning that it achieves weight loss by restricting.
from www.dssurgery.com
Sleeve gastrectomy is a bariatric surgical procedure involving resection of the greater curvature of the stomach to create functional restriction. (left) radiograph shows an abnormal position of the gastric band , which has slipped inferiorly and rotated clockwise. It has recently gained in popularity. Understanding of the surgical technique of laparoscopic sleeve gastrectomy and of the normal postsurgical anatomy allows accurate. Firstly, it is a restrictive procedure, meaning that it achieves weight loss by restricting. Laparoscopic sleeve gastrectomy is one of the most common bariatric procedures worldwide. The gastric sleeve works in two ways. The connecting tubing has also migrated into a more rightward position than expected.
Revision of a Sleeve Gastrectomy or RNY DSSurgery
Gastric Sleeve On X Ray Firstly, it is a restrictive procedure, meaning that it achieves weight loss by restricting. Sleeve gastrectomy is a bariatric surgical procedure involving resection of the greater curvature of the stomach to create functional restriction. It has recently gained in popularity. The connecting tubing has also migrated into a more rightward position than expected. Firstly, it is a restrictive procedure, meaning that it achieves weight loss by restricting. The gastric sleeve works in two ways. Understanding of the surgical technique of laparoscopic sleeve gastrectomy and of the normal postsurgical anatomy allows accurate. (left) radiograph shows an abnormal position of the gastric band , which has slipped inferiorly and rotated clockwise. Laparoscopic sleeve gastrectomy is one of the most common bariatric procedures worldwide.
From pubs.rsna.org
Radiology of the Laparoscopic RouxenY Gastric Bypass Procedure Gastric Sleeve On X Ray The connecting tubing has also migrated into a more rightward position than expected. (left) radiograph shows an abnormal position of the gastric band , which has slipped inferiorly and rotated clockwise. It has recently gained in popularity. Sleeve gastrectomy is a bariatric surgical procedure involving resection of the greater curvature of the stomach to create functional restriction. The gastric sleeve. Gastric Sleeve On X Ray.
From www.sciencephoto.com
Gastric bypass surgery, Xray Stock Image C010/4919 Science Photo Gastric Sleeve On X Ray Laparoscopic sleeve gastrectomy is one of the most common bariatric procedures worldwide. The connecting tubing has also migrated into a more rightward position than expected. Understanding of the surgical technique of laparoscopic sleeve gastrectomy and of the normal postsurgical anatomy allows accurate. The gastric sleeve works in two ways. It has recently gained in popularity. Sleeve gastrectomy is a bariatric. Gastric Sleeve On X Ray.
From www.ahajournals.org
A Case of Pneumopericardium as a Late Complication of Gastric Bypass Gastric Sleeve On X Ray Laparoscopic sleeve gastrectomy is one of the most common bariatric procedures worldwide. It has recently gained in popularity. (left) radiograph shows an abnormal position of the gastric band , which has slipped inferiorly and rotated clockwise. Firstly, it is a restrictive procedure, meaning that it achieves weight loss by restricting. Sleeve gastrectomy is a bariatric surgical procedure involving resection of. Gastric Sleeve On X Ray.
From www.stepwards.com
Radiological Anatomy Stomach Stepwards Gastric Sleeve On X Ray (left) radiograph shows an abnormal position of the gastric band , which has slipped inferiorly and rotated clockwise. The connecting tubing has also migrated into a more rightward position than expected. It has recently gained in popularity. Firstly, it is a restrictive procedure, meaning that it achieves weight loss by restricting. Sleeve gastrectomy is a bariatric surgical procedure involving resection. Gastric Sleeve On X Ray.
From www.researchgate.net
Laparoscopic gastric bypass LGBP internal hernia, plain Xray Gastric Sleeve On X Ray (left) radiograph shows an abnormal position of the gastric band , which has slipped inferiorly and rotated clockwise. Firstly, it is a restrictive procedure, meaning that it achieves weight loss by restricting. Laparoscopic sleeve gastrectomy is one of the most common bariatric procedures worldwide. The connecting tubing has also migrated into a more rightward position than expected. Sleeve gastrectomy is. Gastric Sleeve On X Ray.
From www.dssurgery.com
Revision of a Sleeve Gastrectomy or RNY DSSurgery Gastric Sleeve On X Ray Sleeve gastrectomy is a bariatric surgical procedure involving resection of the greater curvature of the stomach to create functional restriction. Laparoscopic sleeve gastrectomy is one of the most common bariatric procedures worldwide. The gastric sleeve works in two ways. It has recently gained in popularity. (left) radiograph shows an abnormal position of the gastric band , which has slipped inferiorly. Gastric Sleeve On X Ray.
From www.bmj.com
Odynophagia and vomiting eight years after laparoscopic adjustable Gastric Sleeve On X Ray Laparoscopic sleeve gastrectomy is one of the most common bariatric procedures worldwide. The connecting tubing has also migrated into a more rightward position than expected. Understanding of the surgical technique of laparoscopic sleeve gastrectomy and of the normal postsurgical anatomy allows accurate. Sleeve gastrectomy is a bariatric surgical procedure involving resection of the greater curvature of the stomach to create. Gastric Sleeve On X Ray.
From www.clinicalimaging.org
A review of commonly performed bariatric surgeries Imaging features Gastric Sleeve On X Ray (left) radiograph shows an abnormal position of the gastric band , which has slipped inferiorly and rotated clockwise. Laparoscopic sleeve gastrectomy is one of the most common bariatric procedures worldwide. The gastric sleeve works in two ways. Firstly, it is a restrictive procedure, meaning that it achieves weight loss by restricting. Understanding of the surgical technique of laparoscopic sleeve gastrectomy. Gastric Sleeve On X Ray.
From www.consultant360.com
Internal Hernia and Gastric Remnant Perforation After Gastric Bypass Gastric Sleeve On X Ray (left) radiograph shows an abnormal position of the gastric band , which has slipped inferiorly and rotated clockwise. The gastric sleeve works in two ways. The connecting tubing has also migrated into a more rightward position than expected. Sleeve gastrectomy is a bariatric surgical procedure involving resection of the greater curvature of the stomach to create functional restriction. It has. Gastric Sleeve On X Ray.
From geekymedics.com
Abdominal Xray Interpretation (AXR) Radiology OSCE Geeky Medics Gastric Sleeve On X Ray Laparoscopic sleeve gastrectomy is one of the most common bariatric procedures worldwide. Firstly, it is a restrictive procedure, meaning that it achieves weight loss by restricting. It has recently gained in popularity. (left) radiograph shows an abnormal position of the gastric band , which has slipped inferiorly and rotated clockwise. The connecting tubing has also migrated into a more rightward. Gastric Sleeve On X Ray.
From www.sciencephoto.com
Gastric bypass, Xray Stock Image C038/9364 Science Photo Library Gastric Sleeve On X Ray Understanding of the surgical technique of laparoscopic sleeve gastrectomy and of the normal postsurgical anatomy allows accurate. Sleeve gastrectomy is a bariatric surgical procedure involving resection of the greater curvature of the stomach to create functional restriction. The gastric sleeve works in two ways. Laparoscopic sleeve gastrectomy is one of the most common bariatric procedures worldwide. It has recently gained. Gastric Sleeve On X Ray.
From fineartamerica.com
Gastric Bypass Surgery, Xray 3 Photograph by Zephyr Fine Art America Gastric Sleeve On X Ray The connecting tubing has also migrated into a more rightward position than expected. Firstly, it is a restrictive procedure, meaning that it achieves weight loss by restricting. The gastric sleeve works in two ways. (left) radiograph shows an abnormal position of the gastric band , which has slipped inferiorly and rotated clockwise. It has recently gained in popularity. Understanding of. Gastric Sleeve On X Ray.
From www.cureus.com
Cureus Laparoscopic Adjustable Gastric Band Slippage Presenting as Gastric Sleeve On X Ray Sleeve gastrectomy is a bariatric surgical procedure involving resection of the greater curvature of the stomach to create functional restriction. Firstly, it is a restrictive procedure, meaning that it achieves weight loss by restricting. Understanding of the surgical technique of laparoscopic sleeve gastrectomy and of the normal postsurgical anatomy allows accurate. The gastric sleeve works in two ways. It has. Gastric Sleeve On X Ray.
From radiologykey.com
Imaging of Bariatric Surgery Radiology Key Gastric Sleeve On X Ray Understanding of the surgical technique of laparoscopic sleeve gastrectomy and of the normal postsurgical anatomy allows accurate. The connecting tubing has also migrated into a more rightward position than expected. The gastric sleeve works in two ways. (left) radiograph shows an abnormal position of the gastric band , which has slipped inferiorly and rotated clockwise. Laparoscopic sleeve gastrectomy is one. Gastric Sleeve On X Ray.
From www.muhealth.org
Gastric Sleeve Surgery MU Health Care Columbia, MO Gastric Sleeve On X Ray Laparoscopic sleeve gastrectomy is one of the most common bariatric procedures worldwide. It has recently gained in popularity. The gastric sleeve works in two ways. Understanding of the surgical technique of laparoscopic sleeve gastrectomy and of the normal postsurgical anatomy allows accurate. The connecting tubing has also migrated into a more rightward position than expected. Firstly, it is a restrictive. Gastric Sleeve On X Ray.
From www.researchgate.net
(a) Gastric prolapse following gastric plication; (b) postoperative Gastric Sleeve On X Ray The gastric sleeve works in two ways. It has recently gained in popularity. Laparoscopic sleeve gastrectomy is one of the most common bariatric procedures worldwide. (left) radiograph shows an abnormal position of the gastric band , which has slipped inferiorly and rotated clockwise. The connecting tubing has also migrated into a more rightward position than expected. Firstly, it is a. Gastric Sleeve On X Ray.
From pixels.com
Gastric Bypass Surgery, Xray Photograph by Zephyr Gastric Sleeve On X Ray Laparoscopic sleeve gastrectomy is one of the most common bariatric procedures worldwide. Understanding of the surgical technique of laparoscopic sleeve gastrectomy and of the normal postsurgical anatomy allows accurate. (left) radiograph shows an abnormal position of the gastric band , which has slipped inferiorly and rotated clockwise. The gastric sleeve works in two ways. Sleeve gastrectomy is a bariatric surgical. Gastric Sleeve On X Ray.
From mavink.com
Abdomen X Ray Labeled Gastric Sleeve On X Ray Sleeve gastrectomy is a bariatric surgical procedure involving resection of the greater curvature of the stomach to create functional restriction. Firstly, it is a restrictive procedure, meaning that it achieves weight loss by restricting. Laparoscopic sleeve gastrectomy is one of the most common bariatric procedures worldwide. It has recently gained in popularity. Understanding of the surgical technique of laparoscopic sleeve. Gastric Sleeve On X Ray.
From health-fts.blogspot.co.uk
HEALTH FROM TRUSTED SOURCES Bariatric surgery Gastric Sleeve On X Ray Sleeve gastrectomy is a bariatric surgical procedure involving resection of the greater curvature of the stomach to create functional restriction. Laparoscopic sleeve gastrectomy is one of the most common bariatric procedures worldwide. Understanding of the surgical technique of laparoscopic sleeve gastrectomy and of the normal postsurgical anatomy allows accurate. Firstly, it is a restrictive procedure, meaning that it achieves weight. Gastric Sleeve On X Ray.
From www.sciencephoto.com
Gastric bypass, Xray Stock Image C038/9362 Science Photo Library Gastric Sleeve On X Ray The gastric sleeve works in two ways. It has recently gained in popularity. Sleeve gastrectomy is a bariatric surgical procedure involving resection of the greater curvature of the stomach to create functional restriction. Firstly, it is a restrictive procedure, meaning that it achieves weight loss by restricting. The connecting tubing has also migrated into a more rightward position than expected.. Gastric Sleeve On X Ray.
From pubs.rsna.org
Radiology of the Laparoscopic RouxenY Gastric Bypass Procedure Gastric Sleeve On X Ray Firstly, it is a restrictive procedure, meaning that it achieves weight loss by restricting. The connecting tubing has also migrated into a more rightward position than expected. It has recently gained in popularity. The gastric sleeve works in two ways. Laparoscopic sleeve gastrectomy is one of the most common bariatric procedures worldwide. Sleeve gastrectomy is a bariatric surgical procedure involving. Gastric Sleeve On X Ray.
From www.drhasanerdem.com
Gastric Sleeve Surgery Before and After Pictures Dr. HE Obesity Clinic Gastric Sleeve On X Ray Sleeve gastrectomy is a bariatric surgical procedure involving resection of the greater curvature of the stomach to create functional restriction. The gastric sleeve works in two ways. (left) radiograph shows an abnormal position of the gastric band , which has slipped inferiorly and rotated clockwise. Firstly, it is a restrictive procedure, meaning that it achieves weight loss by restricting. It. Gastric Sleeve On X Ray.
From www.researchgate.net
Plain abdominal Xray showing an obstruction and dilated intestinal Gastric Sleeve On X Ray Firstly, it is a restrictive procedure, meaning that it achieves weight loss by restricting. The connecting tubing has also migrated into a more rightward position than expected. (left) radiograph shows an abnormal position of the gastric band , which has slipped inferiorly and rotated clockwise. The gastric sleeve works in two ways. It has recently gained in popularity. Laparoscopic sleeve. Gastric Sleeve On X Ray.
From www.ajronline.org
Imaging in Bariatric Surgery A Guide to Postsurgical Anatomy and Gastric Sleeve On X Ray Understanding of the surgical technique of laparoscopic sleeve gastrectomy and of the normal postsurgical anatomy allows accurate. The connecting tubing has also migrated into a more rightward position than expected. The gastric sleeve works in two ways. Laparoscopic sleeve gastrectomy is one of the most common bariatric procedures worldwide. Sleeve gastrectomy is a bariatric surgical procedure involving resection of the. Gastric Sleeve On X Ray.
From www.laparosurgery.com
Gastric Sleeve NJ New Jersey Gastric Sleeve Surgery Gastric Sleeve On X Ray Sleeve gastrectomy is a bariatric surgical procedure involving resection of the greater curvature of the stomach to create functional restriction. Laparoscopic sleeve gastrectomy is one of the most common bariatric procedures worldwide. Understanding of the surgical technique of laparoscopic sleeve gastrectomy and of the normal postsurgical anatomy allows accurate. The connecting tubing has also migrated into a more rightward position. Gastric Sleeve On X Ray.
From www.kediamd.com
Dallas Gastric Sleeve surgery PreDiet and 4 weeks diet/ ESG Endoscopy Gastric Sleeve On X Ray Sleeve gastrectomy is a bariatric surgical procedure involving resection of the greater curvature of the stomach to create functional restriction. (left) radiograph shows an abnormal position of the gastric band , which has slipped inferiorly and rotated clockwise. Understanding of the surgical technique of laparoscopic sleeve gastrectomy and of the normal postsurgical anatomy allows accurate. The gastric sleeve works in. Gastric Sleeve On X Ray.
From www.sciencephoto.com
Stomach in bariatric surgery, Xray Stock Image C048/0273 Science Gastric Sleeve On X Ray The connecting tubing has also migrated into a more rightward position than expected. Understanding of the surgical technique of laparoscopic sleeve gastrectomy and of the normal postsurgical anatomy allows accurate. Firstly, it is a restrictive procedure, meaning that it achieves weight loss by restricting. The gastric sleeve works in two ways. Sleeve gastrectomy is a bariatric surgical procedure involving resection. Gastric Sleeve On X Ray.
From pubs.rsna.org
Radiology of the Laparoscopic RouxenY Gastric Bypass Procedure Gastric Sleeve On X Ray Understanding of the surgical technique of laparoscopic sleeve gastrectomy and of the normal postsurgical anatomy allows accurate. The gastric sleeve works in two ways. The connecting tubing has also migrated into a more rightward position than expected. Laparoscopic sleeve gastrectomy is one of the most common bariatric procedures worldwide. (left) radiograph shows an abnormal position of the gastric band ,. Gastric Sleeve On X Ray.
From www.sciencephoto.com
Gastric bypass surgery, Xray Stock Image C010/4920 Science Photo Gastric Sleeve On X Ray Understanding of the surgical technique of laparoscopic sleeve gastrectomy and of the normal postsurgical anatomy allows accurate. (left) radiograph shows an abnormal position of the gastric band , which has slipped inferiorly and rotated clockwise. The connecting tubing has also migrated into a more rightward position than expected. The gastric sleeve works in two ways. Sleeve gastrectomy is a bariatric. Gastric Sleeve On X Ray.
From medicalschoolimportant.blogspot.com
XRAYS OF GASTRIC ULCER Gastric Sleeve On X Ray (left) radiograph shows an abnormal position of the gastric band , which has slipped inferiorly and rotated clockwise. Firstly, it is a restrictive procedure, meaning that it achieves weight loss by restricting. Understanding of the surgical technique of laparoscopic sleeve gastrectomy and of the normal postsurgical anatomy allows accurate. The gastric sleeve works in two ways. The connecting tubing has. Gastric Sleeve On X Ray.
From www.drmalladi.com
Sleeve Gastrectomy in Plano & Dallas, Laparoscopic Gastric Sleeve Gastric Sleeve On X Ray Sleeve gastrectomy is a bariatric surgical procedure involving resection of the greater curvature of the stomach to create functional restriction. It has recently gained in popularity. Understanding of the surgical technique of laparoscopic sleeve gastrectomy and of the normal postsurgical anatomy allows accurate. Firstly, it is a restrictive procedure, meaning that it achieves weight loss by restricting. (left) radiograph shows. Gastric Sleeve On X Ray.
From radiologykey.com
Imaging of Bariatric Surgery Radiology Key Gastric Sleeve On X Ray The connecting tubing has also migrated into a more rightward position than expected. Laparoscopic sleeve gastrectomy is one of the most common bariatric procedures worldwide. The gastric sleeve works in two ways. It has recently gained in popularity. Sleeve gastrectomy is a bariatric surgical procedure involving resection of the greater curvature of the stomach to create functional restriction. (left) radiograph. Gastric Sleeve On X Ray.
From www.researchgate.net
Postoperative Xray studies with oral contrast in patient with Gastric Sleeve On X Ray The connecting tubing has also migrated into a more rightward position than expected. Sleeve gastrectomy is a bariatric surgical procedure involving resection of the greater curvature of the stomach to create functional restriction. (left) radiograph shows an abnormal position of the gastric band , which has slipped inferiorly and rotated clockwise. It has recently gained in popularity. The gastric sleeve. Gastric Sleeve On X Ray.
From surgicalweightlosscentre.com.au
Vertical Sleeve Gastrectomy/Gastric Sleeve Surgery Gold Coast Gastric Sleeve On X Ray It has recently gained in popularity. (left) radiograph shows an abnormal position of the gastric band , which has slipped inferiorly and rotated clockwise. Understanding of the surgical technique of laparoscopic sleeve gastrectomy and of the normal postsurgical anatomy allows accurate. Sleeve gastrectomy is a bariatric surgical procedure involving resection of the greater curvature of the stomach to create functional. Gastric Sleeve On X Ray.
From www.sciencephoto.com
Gastric bypass, Xray Stock Image C038/9352 Science Photo Library Gastric Sleeve On X Ray Laparoscopic sleeve gastrectomy is one of the most common bariatric procedures worldwide. It has recently gained in popularity. The connecting tubing has also migrated into a more rightward position than expected. The gastric sleeve works in two ways. Firstly, it is a restrictive procedure, meaning that it achieves weight loss by restricting. Sleeve gastrectomy is a bariatric surgical procedure involving. Gastric Sleeve On X Ray.