Transmission Electron Microscopy Histology . learn about the ultrastructure of biological specimens using electron microscopy. Explore the atlas of photographs of. the basic subcellular structures of an eukaryotic cell as seen by transmission electron microscopy (tem). transmission electron microscopes use an electron beam instead of light rays and focuses the light rays with electromagnetic coils.
from www.researchgate.net
transmission electron microscopes use an electron beam instead of light rays and focuses the light rays with electromagnetic coils. the basic subcellular structures of an eukaryotic cell as seen by transmission electron microscopy (tem). learn about the ultrastructure of biological specimens using electron microscopy. Explore the atlas of photographs of.
Transmission electron microscopy of the sciatic nerve and... Download
Transmission Electron Microscopy Histology transmission electron microscopes use an electron beam instead of light rays and focuses the light rays with electromagnetic coils. transmission electron microscopes use an electron beam instead of light rays and focuses the light rays with electromagnetic coils. Explore the atlas of photographs of. learn about the ultrastructure of biological specimens using electron microscopy. the basic subcellular structures of an eukaryotic cell as seen by transmission electron microscopy (tem).
From www.researchgate.net
Transmission electron microscopy characterization of the P2NaMNNb Transmission Electron Microscopy Histology Explore the atlas of photographs of. transmission electron microscopes use an electron beam instead of light rays and focuses the light rays with electromagnetic coils. learn about the ultrastructure of biological specimens using electron microscopy. the basic subcellular structures of an eukaryotic cell as seen by transmission electron microscopy (tem). Transmission Electron Microscopy Histology.
From www.researchgate.net
Transmission electron microscopy photographs of thigh muscles. B and D Transmission Electron Microscopy Histology Explore the atlas of photographs of. learn about the ultrastructure of biological specimens using electron microscopy. the basic subcellular structures of an eukaryotic cell as seen by transmission electron microscopy (tem). transmission electron microscopes use an electron beam instead of light rays and focuses the light rays with electromagnetic coils. Transmission Electron Microscopy Histology.
From www.researchgate.net
(A) Transmission electron microscopy images of AgNPs biosynthetized by Transmission Electron Microscopy Histology transmission electron microscopes use an electron beam instead of light rays and focuses the light rays with electromagnetic coils. learn about the ultrastructure of biological specimens using electron microscopy. Explore the atlas of photographs of. the basic subcellular structures of an eukaryotic cell as seen by transmission electron microscopy (tem). Transmission Electron Microscopy Histology.
From exoxilppg.blob.core.windows.net
Transmission Electron Microscopy Magnification at Bill Factor blog Transmission Electron Microscopy Histology transmission electron microscopes use an electron beam instead of light rays and focuses the light rays with electromagnetic coils. learn about the ultrastructure of biological specimens using electron microscopy. the basic subcellular structures of an eukaryotic cell as seen by transmission electron microscopy (tem). Explore the atlas of photographs of. Transmission Electron Microscopy Histology.
From mavink.com
Transmission Electron Microscopy Cell Transmission Electron Microscopy Histology transmission electron microscopes use an electron beam instead of light rays and focuses the light rays with electromagnetic coils. the basic subcellular structures of an eukaryotic cell as seen by transmission electron microscopy (tem). Explore the atlas of photographs of. learn about the ultrastructure of biological specimens using electron microscopy. Transmission Electron Microscopy Histology.
From www.alamy.com
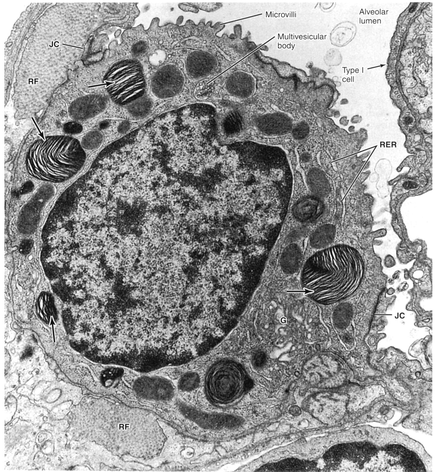
Transmission electron micrograph (TEM) showing the nucleus (with a Transmission Electron Microscopy Histology the basic subcellular structures of an eukaryotic cell as seen by transmission electron microscopy (tem). Explore the atlas of photographs of. learn about the ultrastructure of biological specimens using electron microscopy. transmission electron microscopes use an electron beam instead of light rays and focuses the light rays with electromagnetic coils. Transmission Electron Microscopy Histology.
From www.pinterest.fr
Golgi body Yale Histology Gallery Cell Biology, Teaching Biology, Lab Transmission Electron Microscopy Histology learn about the ultrastructure of biological specimens using electron microscopy. the basic subcellular structures of an eukaryotic cell as seen by transmission electron microscopy (tem). Explore the atlas of photographs of. transmission electron microscopes use an electron beam instead of light rays and focuses the light rays with electromagnetic coils. Transmission Electron Microscopy Histology.
From www.researchgate.net
Highresolution transmission electron microscopy image of PrF 3 Transmission Electron Microscopy Histology learn about the ultrastructure of biological specimens using electron microscopy. Explore the atlas of photographs of. transmission electron microscopes use an electron beam instead of light rays and focuses the light rays with electromagnetic coils. the basic subcellular structures of an eukaryotic cell as seen by transmission electron microscopy (tem). Transmission Electron Microscopy Histology.
From www.va.gov
Examples of Diagnostic Transmission Electron Microscopy (TEM) Cases Transmission Electron Microscopy Histology Explore the atlas of photographs of. learn about the ultrastructure of biological specimens using electron microscopy. the basic subcellular structures of an eukaryotic cell as seen by transmission electron microscopy (tem). transmission electron microscopes use an electron beam instead of light rays and focuses the light rays with electromagnetic coils. Transmission Electron Microscopy Histology.
From www.researchgate.net
Histology, transmission electron microscopy (TEM) analyses, and Transmission Electron Microscopy Histology Explore the atlas of photographs of. transmission electron microscopes use an electron beam instead of light rays and focuses the light rays with electromagnetic coils. the basic subcellular structures of an eukaryotic cell as seen by transmission electron microscopy (tem). learn about the ultrastructure of biological specimens using electron microscopy. Transmission Electron Microscopy Histology.
From www.columbia.edu
Electron Micrograph Transmission Electron Microscopy Histology Explore the atlas of photographs of. learn about the ultrastructure of biological specimens using electron microscopy. transmission electron microscopes use an electron beam instead of light rays and focuses the light rays with electromagnetic coils. the basic subcellular structures of an eukaryotic cell as seen by transmission electron microscopy (tem). Transmission Electron Microscopy Histology.
From mavink.com
Kidney Tubule Electron Microscopy Transmission Electron Microscopy Histology Explore the atlas of photographs of. the basic subcellular structures of an eukaryotic cell as seen by transmission electron microscopy (tem). learn about the ultrastructure of biological specimens using electron microscopy. transmission electron microscopes use an electron beam instead of light rays and focuses the light rays with electromagnetic coils. Transmission Electron Microscopy Histology.
From www.researchgate.net
Transmission electron microscopy of Mycobacterium tuberculosis Lforms Transmission Electron Microscopy Histology the basic subcellular structures of an eukaryotic cell as seen by transmission electron microscopy (tem). learn about the ultrastructure of biological specimens using electron microscopy. transmission electron microscopes use an electron beam instead of light rays and focuses the light rays with electromagnetic coils. Explore the atlas of photographs of. Transmission Electron Microscopy Histology.
From www.researchgate.net
(A) Transmission electron microscopy (TEM), (B) highresolution Transmission Electron Microscopy Histology transmission electron microscopes use an electron beam instead of light rays and focuses the light rays with electromagnetic coils. Explore the atlas of photographs of. the basic subcellular structures of an eukaryotic cell as seen by transmission electron microscopy (tem). learn about the ultrastructure of biological specimens using electron microscopy. Transmission Electron Microscopy Histology.
From www.researchgate.net
Transmission electron microscopy images illustrating some of the main Transmission Electron Microscopy Histology Explore the atlas of photographs of. transmission electron microscopes use an electron beam instead of light rays and focuses the light rays with electromagnetic coils. learn about the ultrastructure of biological specimens using electron microscopy. the basic subcellular structures of an eukaryotic cell as seen by transmission electron microscopy (tem). Transmission Electron Microscopy Histology.
From histologyguide.com
Histology Guide virtual microscopy laboratory Transmission Electron Microscopy Histology Explore the atlas of photographs of. learn about the ultrastructure of biological specimens using electron microscopy. the basic subcellular structures of an eukaryotic cell as seen by transmission electron microscopy (tem). transmission electron microscopes use an electron beam instead of light rays and focuses the light rays with electromagnetic coils. Transmission Electron Microscopy Histology.
From www.researchgate.net
Transmission electron microscopy (TEM) images of sections through the Transmission Electron Microscopy Histology learn about the ultrastructure of biological specimens using electron microscopy. transmission electron microscopes use an electron beam instead of light rays and focuses the light rays with electromagnetic coils. Explore the atlas of photographs of. the basic subcellular structures of an eukaryotic cell as seen by transmission electron microscopy (tem). Transmission Electron Microscopy Histology.
From www.researchgate.net
Histology images stained with methylene blue and transmission electron Transmission Electron Microscopy Histology Explore the atlas of photographs of. the basic subcellular structures of an eukaryotic cell as seen by transmission electron microscopy (tem). learn about the ultrastructure of biological specimens using electron microscopy. transmission electron microscopes use an electron beam instead of light rays and focuses the light rays with electromagnetic coils. Transmission Electron Microscopy Histology.
From www.researchgate.net
Pathological changes of the retina using transmission electron Transmission Electron Microscopy Histology transmission electron microscopes use an electron beam instead of light rays and focuses the light rays with electromagnetic coils. learn about the ultrastructure of biological specimens using electron microscopy. the basic subcellular structures of an eukaryotic cell as seen by transmission electron microscopy (tem). Explore the atlas of photographs of. Transmission Electron Microscopy Histology.
From www.researchgate.net
Histology and transmission electron microscopy of liver. A and B Transmission Electron Microscopy Histology learn about the ultrastructure of biological specimens using electron microscopy. transmission electron microscopes use an electron beam instead of light rays and focuses the light rays with electromagnetic coils. Explore the atlas of photographs of. the basic subcellular structures of an eukaryotic cell as seen by transmission electron microscopy (tem). Transmission Electron Microscopy Histology.
From www.researchgate.net
Representative transmission electron microscopy images of... Download Transmission Electron Microscopy Histology transmission electron microscopes use an electron beam instead of light rays and focuses the light rays with electromagnetic coils. the basic subcellular structures of an eukaryotic cell as seen by transmission electron microscopy (tem). learn about the ultrastructure of biological specimens using electron microscopy. Explore the atlas of photographs of. Transmission Electron Microscopy Histology.
From www.researchgate.net
Renal biopsy (electron microscopy) showing extensive fusion of the Transmission Electron Microscopy Histology the basic subcellular structures of an eukaryotic cell as seen by transmission electron microscopy (tem). transmission electron microscopes use an electron beam instead of light rays and focuses the light rays with electromagnetic coils. Explore the atlas of photographs of. learn about the ultrastructure of biological specimens using electron microscopy. Transmission Electron Microscopy Histology.
From www.researchgate.net
Transmission electron microscope image of a cell with ultrastructural Transmission Electron Microscopy Histology the basic subcellular structures of an eukaryotic cell as seen by transmission electron microscopy (tem). learn about the ultrastructure of biological specimens using electron microscopy. Explore the atlas of photographs of. transmission electron microscopes use an electron beam instead of light rays and focuses the light rays with electromagnetic coils. Transmission Electron Microscopy Histology.
From www.researchgate.net
Transmission Electron Microscopy (TEM) evaluation of cell junction Transmission Electron Microscopy Histology Explore the atlas of photographs of. the basic subcellular structures of an eukaryotic cell as seen by transmission electron microscopy (tem). learn about the ultrastructure of biological specimens using electron microscopy. transmission electron microscopes use an electron beam instead of light rays and focuses the light rays with electromagnetic coils. Transmission Electron Microscopy Histology.
From www.researchgate.net
Transmission electron microscopy of a 1dayold and... Download Transmission Electron Microscopy Histology learn about the ultrastructure of biological specimens using electron microscopy. the basic subcellular structures of an eukaryotic cell as seen by transmission electron microscopy (tem). Explore the atlas of photographs of. transmission electron microscopes use an electron beam instead of light rays and focuses the light rays with electromagnetic coils. Transmission Electron Microscopy Histology.
From www.researchgate.net
(A) Transmission electron microscopy image from the injected Transmission Electron Microscopy Histology the basic subcellular structures of an eukaryotic cell as seen by transmission electron microscopy (tem). Explore the atlas of photographs of. learn about the ultrastructure of biological specimens using electron microscopy. transmission electron microscopes use an electron beam instead of light rays and focuses the light rays with electromagnetic coils. Transmission Electron Microscopy Histology.
From www.mdanderson.org
High Resolution Electron Microscopy Facility MD Anderson Cancer Center Transmission Electron Microscopy Histology transmission electron microscopes use an electron beam instead of light rays and focuses the light rays with electromagnetic coils. Explore the atlas of photographs of. learn about the ultrastructure of biological specimens using electron microscopy. the basic subcellular structures of an eukaryotic cell as seen by transmission electron microscopy (tem). Transmission Electron Microscopy Histology.
From www.alamy.com
Transmission Electron Microscopy Cells High Resolution Stock Transmission Electron Microscopy Histology Explore the atlas of photographs of. the basic subcellular structures of an eukaryotic cell as seen by transmission electron microscopy (tem). learn about the ultrastructure of biological specimens using electron microscopy. transmission electron microscopes use an electron beam instead of light rays and focuses the light rays with electromagnetic coils. Transmission Electron Microscopy Histology.
From www.researchgate.net
(A) Transmission electron microscopy image from patient 10 shows Transmission Electron Microscopy Histology transmission electron microscopes use an electron beam instead of light rays and focuses the light rays with electromagnetic coils. Explore the atlas of photographs of. the basic subcellular structures of an eukaryotic cell as seen by transmission electron microscopy (tem). learn about the ultrastructure of biological specimens using electron microscopy. Transmission Electron Microscopy Histology.
From www.researchgate.net
Transmission electron microscopy (TEM) photographs of pathological Transmission Electron Microscopy Histology learn about the ultrastructure of biological specimens using electron microscopy. transmission electron microscopes use an electron beam instead of light rays and focuses the light rays with electromagnetic coils. Explore the atlas of photographs of. the basic subcellular structures of an eukaryotic cell as seen by transmission electron microscopy (tem). Transmission Electron Microscopy Histology.
From www.researchgate.net
(A,B) HES histology. Renal transmission electron microscopy Besides Transmission Electron Microscopy Histology Explore the atlas of photographs of. transmission electron microscopes use an electron beam instead of light rays and focuses the light rays with electromagnetic coils. the basic subcellular structures of an eukaryotic cell as seen by transmission electron microscopy (tem). learn about the ultrastructure of biological specimens using electron microscopy. Transmission Electron Microscopy Histology.
From www.researchgate.net
Transmission electron microscopy micrographs and particle size Transmission Electron Microscopy Histology learn about the ultrastructure of biological specimens using electron microscopy. transmission electron microscopes use an electron beam instead of light rays and focuses the light rays with electromagnetic coils. the basic subcellular structures of an eukaryotic cell as seen by transmission electron microscopy (tem). Explore the atlas of photographs of. Transmission Electron Microscopy Histology.
From www.researchgate.net
Histology and transmission electron microscopy of kidney biopsy Transmission Electron Microscopy Histology transmission electron microscopes use an electron beam instead of light rays and focuses the light rays with electromagnetic coils. the basic subcellular structures of an eukaryotic cell as seen by transmission electron microscopy (tem). Explore the atlas of photographs of. learn about the ultrastructure of biological specimens using electron microscopy. Transmission Electron Microscopy Histology.
From www.researchgate.net
Transmission electron microscopy of the sciatic nerve and... Download Transmission Electron Microscopy Histology learn about the ultrastructure of biological specimens using electron microscopy. the basic subcellular structures of an eukaryotic cell as seen by transmission electron microscopy (tem). Explore the atlas of photographs of. transmission electron microscopes use an electron beam instead of light rays and focuses the light rays with electromagnetic coils. Transmission Electron Microscopy Histology.
From www.researchgate.net
Transmission electron microscopy (TEM) of podocyte isolation procedure Transmission Electron Microscopy Histology learn about the ultrastructure of biological specimens using electron microscopy. Explore the atlas of photographs of. the basic subcellular structures of an eukaryotic cell as seen by transmission electron microscopy (tem). transmission electron microscopes use an electron beam instead of light rays and focuses the light rays with electromagnetic coils. Transmission Electron Microscopy Histology.