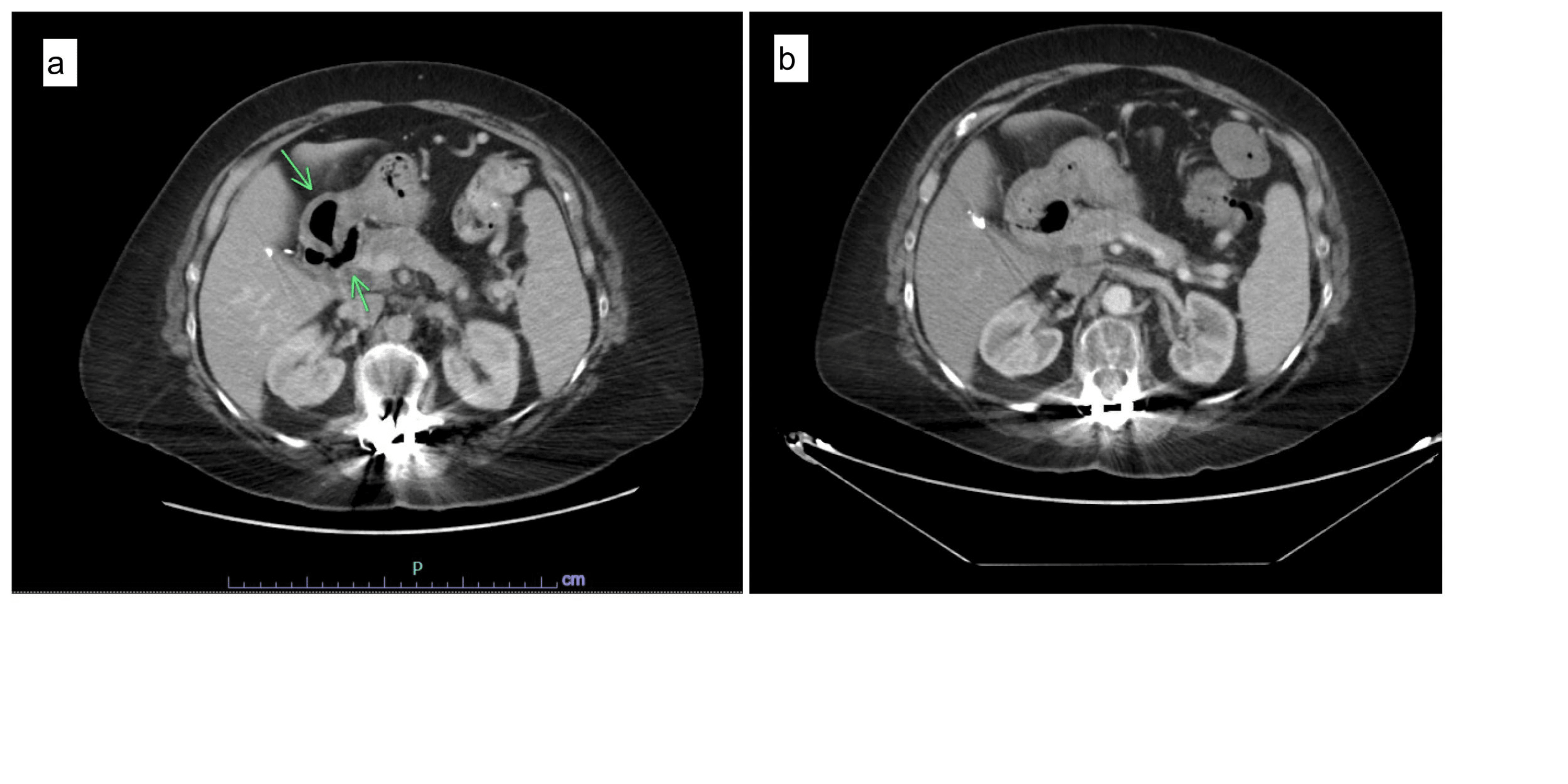
Apple-Core Lesion Colon Cause . we present a case of cic due to extensive atherosclerotic disease of the superior mesenteric artery (sma), which presented. 1 abnormal bowel wall changes on. “apple core lesions” on abdominal imaging are commonly associated with malignancy constricting the colonic lumen. the apple core sign, also known as the napkin ring sign (bowel), is most frequently associated with.
from www.youtube.com
1 abnormal bowel wall changes on. the apple core sign, also known as the napkin ring sign (bowel), is most frequently associated with. “apple core lesions” on abdominal imaging are commonly associated with malignancy constricting the colonic lumen. we present a case of cic due to extensive atherosclerotic disease of the superior mesenteric artery (sma), which presented.
Colon in loop apple core YouTube
Apple-Core Lesion Colon Cause we present a case of cic due to extensive atherosclerotic disease of the superior mesenteric artery (sma), which presented. 1 abnormal bowel wall changes on. we present a case of cic due to extensive atherosclerotic disease of the superior mesenteric artery (sma), which presented. the apple core sign, also known as the napkin ring sign (bowel), is most frequently associated with. “apple core lesions” on abdominal imaging are commonly associated with malignancy constricting the colonic lumen.
From www.ctisus.com
Apple Core Lesion in the Sigmoid Colon Colon Case Studies CTisus CT Scanning Apple-Core Lesion Colon Cause “apple core lesions” on abdominal imaging are commonly associated with malignancy constricting the colonic lumen. 1 abnormal bowel wall changes on. the apple core sign, also known as the napkin ring sign (bowel), is most frequently associated with. we present a case of cic due to extensive atherosclerotic disease of the superior mesenteric artery (sma), which presented. Apple-Core Lesion Colon Cause.
From www.ctisus.com
Apple Core Lesion in the Sigmoid Colon Colon Case Studies CTisus CT Scanning Apple-Core Lesion Colon Cause the apple core sign, also known as the napkin ring sign (bowel), is most frequently associated with. we present a case of cic due to extensive atherosclerotic disease of the superior mesenteric artery (sma), which presented. “apple core lesions” on abdominal imaging are commonly associated with malignancy constricting the colonic lumen. 1 abnormal bowel wall changes on. Apple-Core Lesion Colon Cause.
From www.researchgate.net
"Apple core" lesion of colon carcinoma with narrowing of distal... Download Scientific Diagram Apple-Core Lesion Colon Cause we present a case of cic due to extensive atherosclerotic disease of the superior mesenteric artery (sma), which presented. 1 abnormal bowel wall changes on. the apple core sign, also known as the napkin ring sign (bowel), is most frequently associated with. “apple core lesions” on abdominal imaging are commonly associated with malignancy constricting the colonic lumen. Apple-Core Lesion Colon Cause.
From pacs.de
Apfelbutzenzeichen Kolon pacs Apple-Core Lesion Colon Cause the apple core sign, also known as the napkin ring sign (bowel), is most frequently associated with. “apple core lesions” on abdominal imaging are commonly associated with malignancy constricting the colonic lumen. we present a case of cic due to extensive atherosclerotic disease of the superior mesenteric artery (sma), which presented. 1 abnormal bowel wall changes on. Apple-Core Lesion Colon Cause.
From imaging.thecommonvein.net
Apple Core Lesion Imaging Apple-Core Lesion Colon Cause we present a case of cic due to extensive atherosclerotic disease of the superior mesenteric artery (sma), which presented. the apple core sign, also known as the napkin ring sign (bowel), is most frequently associated with. “apple core lesions” on abdominal imaging are commonly associated with malignancy constricting the colonic lumen. 1 abnormal bowel wall changes on. Apple-Core Lesion Colon Cause.
From www.researchgate.net
Apple core lesion in small bowel, see circle tomography). Download Scientific Diagram Apple-Core Lesion Colon Cause 1 abnormal bowel wall changes on. the apple core sign, also known as the napkin ring sign (bowel), is most frequently associated with. “apple core lesions” on abdominal imaging are commonly associated with malignancy constricting the colonic lumen. we present a case of cic due to extensive atherosclerotic disease of the superior mesenteric artery (sma), which presented. Apple-Core Lesion Colon Cause.
From www.ctisus.com
Antral Carcinoma Stomach Case Studies CTisus CT Scanning Apple-Core Lesion Colon Cause the apple core sign, also known as the napkin ring sign (bowel), is most frequently associated with. 1 abnormal bowel wall changes on. “apple core lesions” on abdominal imaging are commonly associated with malignancy constricting the colonic lumen. we present a case of cic due to extensive atherosclerotic disease of the superior mesenteric artery (sma), which presented. Apple-Core Lesion Colon Cause.
From www.ctisus.com
Apple Core Lesion in the Sigmoid Colon Colon Case Studies CTisus CT Scanning Apple-Core Lesion Colon Cause we present a case of cic due to extensive atherosclerotic disease of the superior mesenteric artery (sma), which presented. 1 abnormal bowel wall changes on. “apple core lesions” on abdominal imaging are commonly associated with malignancy constricting the colonic lumen. the apple core sign, also known as the napkin ring sign (bowel), is most frequently associated with. Apple-Core Lesion Colon Cause.
From www.cureus.com
Cureus Successful Treatment of Synchronous Double Lung Primary Malignancies and Colon Cancer Apple-Core Lesion Colon Cause 1 abnormal bowel wall changes on. we present a case of cic due to extensive atherosclerotic disease of the superior mesenteric artery (sma), which presented. the apple core sign, also known as the napkin ring sign (bowel), is most frequently associated with. “apple core lesions” on abdominal imaging are commonly associated with malignancy constricting the colonic lumen. Apple-Core Lesion Colon Cause.
From www.researchgate.net
CT scan of abdomen with contrast with applecore lesion in ascending... Download Scientific Apple-Core Lesion Colon Cause “apple core lesions” on abdominal imaging are commonly associated with malignancy constricting the colonic lumen. we present a case of cic due to extensive atherosclerotic disease of the superior mesenteric artery (sma), which presented. the apple core sign, also known as the napkin ring sign (bowel), is most frequently associated with. 1 abnormal bowel wall changes on. Apple-Core Lesion Colon Cause.
From radiopaedia.org
Apple core sign (colon) Image Apple-Core Lesion Colon Cause we present a case of cic due to extensive atherosclerotic disease of the superior mesenteric artery (sma), which presented. “apple core lesions” on abdominal imaging are commonly associated with malignancy constricting the colonic lumen. the apple core sign, also known as the napkin ring sign (bowel), is most frequently associated with. 1 abnormal bowel wall changes on. Apple-Core Lesion Colon Cause.
From www.researchgate.net
CT scan of abdomen with contrast with applecore lesion in ascending... Download Scientific Apple-Core Lesion Colon Cause the apple core sign, also known as the napkin ring sign (bowel), is most frequently associated with. we present a case of cic due to extensive atherosclerotic disease of the superior mesenteric artery (sma), which presented. 1 abnormal bowel wall changes on. “apple core lesions” on abdominal imaging are commonly associated with malignancy constricting the colonic lumen. Apple-Core Lesion Colon Cause.
From jeopardylabs.com
SSUH Surgical Jeopardy Jeopardy Template Apple-Core Lesion Colon Cause “apple core lesions” on abdominal imaging are commonly associated with malignancy constricting the colonic lumen. we present a case of cic due to extensive atherosclerotic disease of the superior mesenteric artery (sma), which presented. 1 abnormal bowel wall changes on. the apple core sign, also known as the napkin ring sign (bowel), is most frequently associated with. Apple-Core Lesion Colon Cause.
From www.ctisus.com
Incidental Cecal Carcinoma with Apple Core Like Lesion Colon Case Studies CTisus CT Scanning Apple-Core Lesion Colon Cause “apple core lesions” on abdominal imaging are commonly associated with malignancy constricting the colonic lumen. 1 abnormal bowel wall changes on. the apple core sign, also known as the napkin ring sign (bowel), is most frequently associated with. we present a case of cic due to extensive atherosclerotic disease of the superior mesenteric artery (sma), which presented. Apple-Core Lesion Colon Cause.
From www.flickriver.com
Apple core stricture of colon, barium enema a photo on Flickriver Apple-Core Lesion Colon Cause the apple core sign, also known as the napkin ring sign (bowel), is most frequently associated with. we present a case of cic due to extensive atherosclerotic disease of the superior mesenteric artery (sma), which presented. 1 abnormal bowel wall changes on. “apple core lesions” on abdominal imaging are commonly associated with malignancy constricting the colonic lumen. Apple-Core Lesion Colon Cause.
From medizzy.com
Apple core sign MEDizzy Apple-Core Lesion Colon Cause the apple core sign, also known as the napkin ring sign (bowel), is most frequently associated with. 1 abnormal bowel wall changes on. “apple core lesions” on abdominal imaging are commonly associated with malignancy constricting the colonic lumen. we present a case of cic due to extensive atherosclerotic disease of the superior mesenteric artery (sma), which presented. Apple-Core Lesion Colon Cause.
From www.slideshare.net
Colorectal Cancer Apple-Core Lesion Colon Cause 1 abnormal bowel wall changes on. “apple core lesions” on abdominal imaging are commonly associated with malignancy constricting the colonic lumen. we present a case of cic due to extensive atherosclerotic disease of the superior mesenteric artery (sma), which presented. the apple core sign, also known as the napkin ring sign (bowel), is most frequently associated with. Apple-Core Lesion Colon Cause.
From www.ctisus.com
Apple Core Lesion in the Sigmoid Colon Colon Case Studies CTisus CT Scanning Apple-Core Lesion Colon Cause we present a case of cic due to extensive atherosclerotic disease of the superior mesenteric artery (sma), which presented. the apple core sign, also known as the napkin ring sign (bowel), is most frequently associated with. “apple core lesions” on abdominal imaging are commonly associated with malignancy constricting the colonic lumen. 1 abnormal bowel wall changes on. Apple-Core Lesion Colon Cause.
From www.medicaltalk.net
Liver consumed with mets and classic apple core lesion at distal transverse colon Surgery Apple-Core Lesion Colon Cause “apple core lesions” on abdominal imaging are commonly associated with malignancy constricting the colonic lumen. the apple core sign, also known as the napkin ring sign (bowel), is most frequently associated with. 1 abnormal bowel wall changes on. we present a case of cic due to extensive atherosclerotic disease of the superior mesenteric artery (sma), which presented. Apple-Core Lesion Colon Cause.
From www.cureus.com
Cureus Dropped Gallstone Mimicking Retroperitoneal Tumor 5 Years After Laparoscopic Apple-Core Lesion Colon Cause we present a case of cic due to extensive atherosclerotic disease of the superior mesenteric artery (sma), which presented. 1 abnormal bowel wall changes on. the apple core sign, also known as the napkin ring sign (bowel), is most frequently associated with. “apple core lesions” on abdominal imaging are commonly associated with malignancy constricting the colonic lumen. Apple-Core Lesion Colon Cause.
From www.researchgate.net
(PDF) Applecore lesion of the colon A case report Apple-Core Lesion Colon Cause “apple core lesions” on abdominal imaging are commonly associated with malignancy constricting the colonic lumen. the apple core sign, also known as the napkin ring sign (bowel), is most frequently associated with. 1 abnormal bowel wall changes on. we present a case of cic due to extensive atherosclerotic disease of the superior mesenteric artery (sma), which presented. Apple-Core Lesion Colon Cause.
From www.semanticscholar.org
Figure 1 from Applecore Lesion of Colon Adenocarcinoma by Barium Double Contrast Enema Apple-Core Lesion Colon Cause the apple core sign, also known as the napkin ring sign (bowel), is most frequently associated with. “apple core lesions” on abdominal imaging are commonly associated with malignancy constricting the colonic lumen. we present a case of cic due to extensive atherosclerotic disease of the superior mesenteric artery (sma), which presented. 1 abnormal bowel wall changes on. Apple-Core Lesion Colon Cause.
From learningradiology.com
Learning Radiology Colon Carcinoma Apple-Core Lesion Colon Cause “apple core lesions” on abdominal imaging are commonly associated with malignancy constricting the colonic lumen. the apple core sign, also known as the napkin ring sign (bowel), is most frequently associated with. 1 abnormal bowel wall changes on. we present a case of cic due to extensive atherosclerotic disease of the superior mesenteric artery (sma), which presented. Apple-Core Lesion Colon Cause.
From www.thepermanentejournal.org
Pyomyositis as an Unusual Presentation of Colonic Adenocarcinoma The Permanente Journal Apple-Core Lesion Colon Cause “apple core lesions” on abdominal imaging are commonly associated with malignancy constricting the colonic lumen. the apple core sign, also known as the napkin ring sign (bowel), is most frequently associated with. 1 abnormal bowel wall changes on. we present a case of cic due to extensive atherosclerotic disease of the superior mesenteric artery (sma), which presented. Apple-Core Lesion Colon Cause.
From www.vrogue.co
Classification Of Rectal Submucosal Lesions That Pres vrogue.co Apple-Core Lesion Colon Cause the apple core sign, also known as the napkin ring sign (bowel), is most frequently associated with. we present a case of cic due to extensive atherosclerotic disease of the superior mesenteric artery (sma), which presented. “apple core lesions” on abdominal imaging are commonly associated with malignancy constricting the colonic lumen. 1 abnormal bowel wall changes on. Apple-Core Lesion Colon Cause.
From www.researchgate.net
(PDF) An Applecore Lesion in the Colon An Infectious Etiology Apple-Core Lesion Colon Cause we present a case of cic due to extensive atherosclerotic disease of the superior mesenteric artery (sma), which presented. 1 abnormal bowel wall changes on. the apple core sign, also known as the napkin ring sign (bowel), is most frequently associated with. “apple core lesions” on abdominal imaging are commonly associated with malignancy constricting the colonic lumen. Apple-Core Lesion Colon Cause.
From www.ohsu.edu
Understanding Colorectal Cancer Knight Cancer Institute OHSU Apple-Core Lesion Colon Cause the apple core sign, also known as the napkin ring sign (bowel), is most frequently associated with. “apple core lesions” on abdominal imaging are commonly associated with malignancy constricting the colonic lumen. 1 abnormal bowel wall changes on. we present a case of cic due to extensive atherosclerotic disease of the superior mesenteric artery (sma), which presented. Apple-Core Lesion Colon Cause.
From radiologykey.com
III Radiology Radiology Key Apple-Core Lesion Colon Cause 1 abnormal bowel wall changes on. the apple core sign, also known as the napkin ring sign (bowel), is most frequently associated with. we present a case of cic due to extensive atherosclerotic disease of the superior mesenteric artery (sma), which presented. “apple core lesions” on abdominal imaging are commonly associated with malignancy constricting the colonic lumen. Apple-Core Lesion Colon Cause.
From www.researchgate.net
Colonoscopy showing tubulovillous appearance of rectal mucosa (arrow). Download Scientific Diagram Apple-Core Lesion Colon Cause “apple core lesions” on abdominal imaging are commonly associated with malignancy constricting the colonic lumen. the apple core sign, also known as the napkin ring sign (bowel), is most frequently associated with. 1 abnormal bowel wall changes on. we present a case of cic due to extensive atherosclerotic disease of the superior mesenteric artery (sma), which presented. Apple-Core Lesion Colon Cause.
From www.youtube.com
Colon in loop apple core YouTube Apple-Core Lesion Colon Cause the apple core sign, also known as the napkin ring sign (bowel), is most frequently associated with. 1 abnormal bowel wall changes on. “apple core lesions” on abdominal imaging are commonly associated with malignancy constricting the colonic lumen. we present a case of cic due to extensive atherosclerotic disease of the superior mesenteric artery (sma), which presented. Apple-Core Lesion Colon Cause.
From www.youtube.com
Colon neoplasm Malignant Stricture Apple Core YouTube Apple-Core Lesion Colon Cause 1 abnormal bowel wall changes on. “apple core lesions” on abdominal imaging are commonly associated with malignancy constricting the colonic lumen. we present a case of cic due to extensive atherosclerotic disease of the superior mesenteric artery (sma), which presented. the apple core sign, also known as the napkin ring sign (bowel), is most frequently associated with. Apple-Core Lesion Colon Cause.
From www.ajronline.org
Imaging in the Diagnosis, Staging, and FollowUp of Colorectal Cancer AJR Apple-Core Lesion Colon Cause the apple core sign, also known as the napkin ring sign (bowel), is most frequently associated with. we present a case of cic due to extensive atherosclerotic disease of the superior mesenteric artery (sma), which presented. “apple core lesions” on abdominal imaging are commonly associated with malignancy constricting the colonic lumen. 1 abnormal bowel wall changes on. Apple-Core Lesion Colon Cause.
From medizzy.com
Colon cancer apple core lesion MEDizzy Apple-Core Lesion Colon Cause the apple core sign, also known as the napkin ring sign (bowel), is most frequently associated with. we present a case of cic due to extensive atherosclerotic disease of the superior mesenteric artery (sma), which presented. 1 abnormal bowel wall changes on. “apple core lesions” on abdominal imaging are commonly associated with malignancy constricting the colonic lumen. Apple-Core Lesion Colon Cause.
From www.ctisus.com
Apple Core Lesion in the Sigmoid Colon Colon Case Studies CTisus CT Scanning Apple-Core Lesion Colon Cause we present a case of cic due to extensive atherosclerotic disease of the superior mesenteric artery (sma), which presented. 1 abnormal bowel wall changes on. the apple core sign, also known as the napkin ring sign (bowel), is most frequently associated with. “apple core lesions” on abdominal imaging are commonly associated with malignancy constricting the colonic lumen. Apple-Core Lesion Colon Cause.
From www.researchgate.net
Abdominal Ct showing an applecore lesion of the transverse colon... Download Scientific Diagram Apple-Core Lesion Colon Cause “apple core lesions” on abdominal imaging are commonly associated with malignancy constricting the colonic lumen. 1 abnormal bowel wall changes on. we present a case of cic due to extensive atherosclerotic disease of the superior mesenteric artery (sma), which presented. the apple core sign, also known as the napkin ring sign (bowel), is most frequently associated with. Apple-Core Lesion Colon Cause.