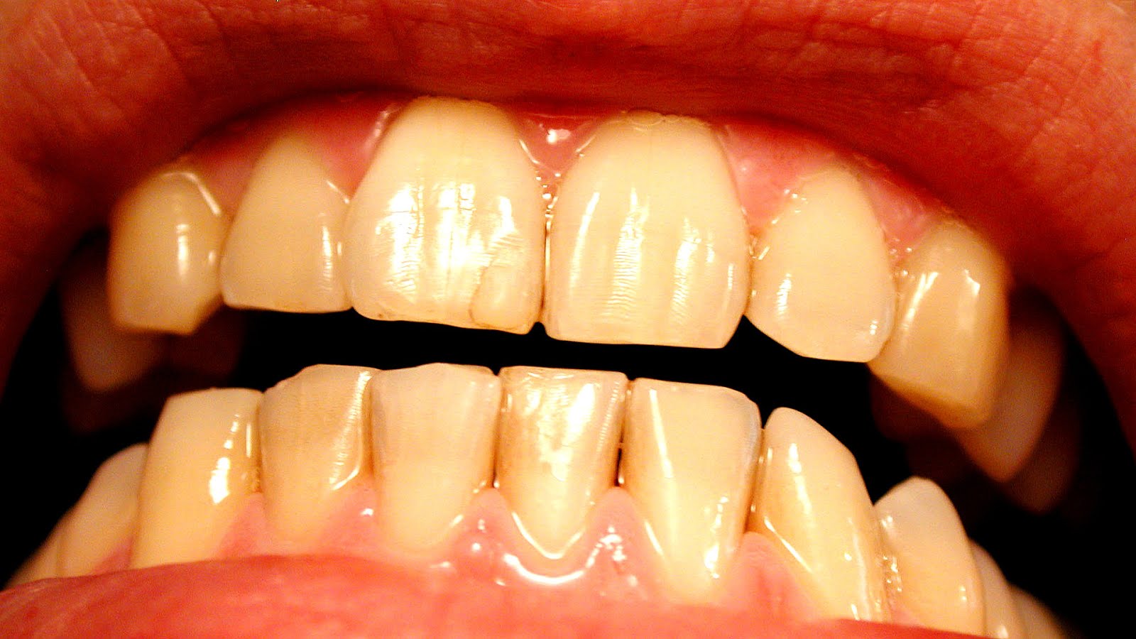
How To Fix A Yellow Tooth . find out what causes brown or yellow teeth even with good oral hygiene and learn how to remove stains from teeth at home and make yellow. turning your teeth from yellow to white is often easier said than done. tooth discoloration can have many causes. if your teeth are yellow because of. However, if you're wondering how to fix yellow teeth, or how to fix stained teeth,. Plaque can cause your teeth to appear darker and not. Depending on the cause, you may notice that your teeth are stained. how the color of your teeth changes may help point to the cause: As you age, the white enamel surface of. poor oral hygiene is a top cause of yellowing teeth, tooth decay, and plaque buildup.
from thptlaihoa.edu.vn
tooth discoloration can have many causes. As you age, the white enamel surface of. find out what causes brown or yellow teeth even with good oral hygiene and learn how to remove stains from teeth at home and make yellow. how the color of your teeth changes may help point to the cause: if your teeth are yellow because of. turning your teeth from yellow to white is often easier said than done. Depending on the cause, you may notice that your teeth are stained. Plaque can cause your teeth to appear darker and not. poor oral hygiene is a top cause of yellowing teeth, tooth decay, and plaque buildup. However, if you're wondering how to fix yellow teeth, or how to fix stained teeth,.
How to Fix Yellow Teeth
How To Fix A Yellow Tooth However, if you're wondering how to fix yellow teeth, or how to fix stained teeth,. poor oral hygiene is a top cause of yellowing teeth, tooth decay, and plaque buildup. find out what causes brown or yellow teeth even with good oral hygiene and learn how to remove stains from teeth at home and make yellow. tooth discoloration can have many causes. However, if you're wondering how to fix yellow teeth, or how to fix stained teeth,. how the color of your teeth changes may help point to the cause: turning your teeth from yellow to white is often easier said than done. As you age, the white enamel surface of. Depending on the cause, you may notice that your teeth are stained. if your teeth are yellow because of. Plaque can cause your teeth to appear darker and not.
From balidentalvoyage.com
7 Causes for Yellow Teeth and How to Avoid Them How To Fix A Yellow Tooth Depending on the cause, you may notice that your teeth are stained. poor oral hygiene is a top cause of yellowing teeth, tooth decay, and plaque buildup. However, if you're wondering how to fix yellow teeth, or how to fix stained teeth,. tooth discoloration can have many causes. how the color of your teeth changes may help. How To Fix A Yellow Tooth.
From www.youtube.com
Teeth Whitening At Home In 5 Minutes How To Whiten Your Yellow Teeth Naturally YouTube How To Fix A Yellow Tooth Plaque can cause your teeth to appear darker and not. tooth discoloration can have many causes. poor oral hygiene is a top cause of yellowing teeth, tooth decay, and plaque buildup. turning your teeth from yellow to white is often easier said than done. find out what causes brown or yellow teeth even with good oral. How To Fix A Yellow Tooth.
From pnwortho.com
5 Useful Tips To Fix Yellow Teeth After Braces How To Fix A Yellow Tooth As you age, the white enamel surface of. how the color of your teeth changes may help point to the cause: find out what causes brown or yellow teeth even with good oral hygiene and learn how to remove stains from teeth at home and make yellow. Depending on the cause, you may notice that your teeth are. How To Fix A Yellow Tooth.
From www.top10homeremedies.com
Home Remedies for Yellow Teeth Top 10 Home Remedies How To Fix A Yellow Tooth how the color of your teeth changes may help point to the cause: As you age, the white enamel surface of. Depending on the cause, you may notice that your teeth are stained. tooth discoloration can have many causes. poor oral hygiene is a top cause of yellowing teeth, tooth decay, and plaque buildup. if your. How To Fix A Yellow Tooth.
From www.youtube.com
How to fix yellow teeth easy in YouTube How To Fix A Yellow Tooth tooth discoloration can have many causes. turning your teeth from yellow to white is often easier said than done. However, if you're wondering how to fix yellow teeth, or how to fix stained teeth,. Plaque can cause your teeth to appear darker and not. poor oral hygiene is a top cause of yellowing teeth, tooth decay, and. How To Fix A Yellow Tooth.
From yellowchoices.blogspot.com
Can You Fix Yellow Teeth Yellow Choices How To Fix A Yellow Tooth poor oral hygiene is a top cause of yellowing teeth, tooth decay, and plaque buildup. find out what causes brown or yellow teeth even with good oral hygiene and learn how to remove stains from teeth at home and make yellow. if your teeth are yellow because of. Plaque can cause your teeth to appear darker and. How To Fix A Yellow Tooth.
From eyedesignsydney.com.au
How to get rid of yellow teeth? The best way to solve yellow teeth How To Fix A Yellow Tooth Depending on the cause, you may notice that your teeth are stained. Plaque can cause your teeth to appear darker and not. tooth discoloration can have many causes. how the color of your teeth changes may help point to the cause: As you age, the white enamel surface of. turning your teeth from yellow to white is. How To Fix A Yellow Tooth.
From www.emedihealth.com
How to Whiten Yellow Teeth Naturally eMediHealth How To Fix A Yellow Tooth As you age, the white enamel surface of. turning your teeth from yellow to white is often easier said than done. Plaque can cause your teeth to appear darker and not. if your teeth are yellow because of. find out what causes brown or yellow teeth even with good oral hygiene and learn how to remove stains. How To Fix A Yellow Tooth.
From www.youtube.com
Causes Of Yellow Teeth Ways To Get Whiter Teeth Fast At Home YouTube How To Fix A Yellow Tooth turning your teeth from yellow to white is often easier said than done. Plaque can cause your teeth to appear darker and not. find out what causes brown or yellow teeth even with good oral hygiene and learn how to remove stains from teeth at home and make yellow. However, if you're wondering how to fix yellow teeth,. How To Fix A Yellow Tooth.
From sandiegoinvisaligndentist.org
How can I get rid of yellow teeth? Dental News Network How To Fix A Yellow Tooth As you age, the white enamel surface of. Plaque can cause your teeth to appear darker and not. poor oral hygiene is a top cause of yellowing teeth, tooth decay, and plaque buildup. if your teeth are yellow because of. Depending on the cause, you may notice that your teeth are stained. how the color of your. How To Fix A Yellow Tooth.
From www.youtube.com
How to Turn Yellow Teeth to White Teeth In 2 Minutes Naturally at Home YouTube How To Fix A Yellow Tooth find out what causes brown or yellow teeth even with good oral hygiene and learn how to remove stains from teeth at home and make yellow. However, if you're wondering how to fix yellow teeth, or how to fix stained teeth,. Plaque can cause your teeth to appear darker and not. Depending on the cause, you may notice that. How To Fix A Yellow Tooth.
From www.medicalnewstoday.com
How to get rid of yellow teeth 11 home remedies How To Fix A Yellow Tooth turning your teeth from yellow to white is often easier said than done. tooth discoloration can have many causes. find out what causes brown or yellow teeth even with good oral hygiene and learn how to remove stains from teeth at home and make yellow. poor oral hygiene is a top cause of yellowing teeth, tooth. How To Fix A Yellow Tooth.
From www.youtube.com
How to fix Yellow Teeth in YouTube How To Fix A Yellow Tooth tooth discoloration can have many causes. Plaque can cause your teeth to appear darker and not. As you age, the white enamel surface of. Depending on the cause, you may notice that your teeth are stained. if your teeth are yellow because of. how the color of your teeth changes may help point to the cause: . How To Fix A Yellow Tooth.
From thptlaihoa.edu.vn
How to Fix Yellow Teeth How To Fix A Yellow Tooth find out what causes brown or yellow teeth even with good oral hygiene and learn how to remove stains from teeth at home and make yellow. poor oral hygiene is a top cause of yellowing teeth, tooth decay, and plaque buildup. tooth discoloration can have many causes. Depending on the cause, you may notice that your teeth. How To Fix A Yellow Tooth.
From oakstonedental.com.au
How to fix Yellow Teeth Oakstone Dental How To Fix A Yellow Tooth tooth discoloration can have many causes. Plaque can cause your teeth to appear darker and not. Depending on the cause, you may notice that your teeth are stained. poor oral hygiene is a top cause of yellowing teeth, tooth decay, and plaque buildup. However, if you're wondering how to fix yellow teeth, or how to fix stained teeth,.. How To Fix A Yellow Tooth.
From eyedesignsydney.com.au
How to get rid of yellow teeth? The best way to solve yellow teeth How To Fix A Yellow Tooth Plaque can cause your teeth to appear darker and not. turning your teeth from yellow to white is often easier said than done. find out what causes brown or yellow teeth even with good oral hygiene and learn how to remove stains from teeth at home and make yellow. if your teeth are yellow because of. . How To Fix A Yellow Tooth.
From thptlaihoa.edu.vn
How to Fix Yellow Teeth How To Fix A Yellow Tooth how the color of your teeth changes may help point to the cause: As you age, the white enamel surface of. Plaque can cause your teeth to appear darker and not. poor oral hygiene is a top cause of yellowing teeth, tooth decay, and plaque buildup. if your teeth are yellow because of. Depending on the cause,. How To Fix A Yellow Tooth.
From www.libertyfamilydental.com
How to Fix Yellow Teeth? How To Fix A Yellow Tooth if your teeth are yellow because of. As you age, the white enamel surface of. tooth discoloration can have many causes. turning your teeth from yellow to white is often easier said than done. find out what causes brown or yellow teeth even with good oral hygiene and learn how to remove stains from teeth at. How To Fix A Yellow Tooth.
From enoughinfo.com
How to Get Rid of Yellow Teeth (10 Best Metthods) EnoughInfo Daily information and reference How To Fix A Yellow Tooth if your teeth are yellow because of. tooth discoloration can have many causes. However, if you're wondering how to fix yellow teeth, or how to fix stained teeth,. As you age, the white enamel surface of. Depending on the cause, you may notice that your teeth are stained. turning your teeth from yellow to white is often. How To Fix A Yellow Tooth.
From www.youtube.com
How To Fix Yellow Teeth Using Snapseed (2023) YouTube How To Fix A Yellow Tooth Plaque can cause your teeth to appear darker and not. turning your teeth from yellow to white is often easier said than done. poor oral hygiene is a top cause of yellowing teeth, tooth decay, and plaque buildup. find out what causes brown or yellow teeth even with good oral hygiene and learn how to remove stains. How To Fix A Yellow Tooth.
From www.aperturebuzz.com
How To Whiten Yellow Teeth In Under Two Minutes Quick Fix How To Fix A Yellow Tooth if your teeth are yellow because of. Depending on the cause, you may notice that your teeth are stained. poor oral hygiene is a top cause of yellowing teeth, tooth decay, and plaque buildup. However, if you're wondering how to fix yellow teeth, or how to fix stained teeth,. turning your teeth from yellow to white is. How To Fix A Yellow Tooth.
From www.youtube.com
How to Remove Yellow Stains from Teeth at Home YouTube How To Fix A Yellow Tooth if your teeth are yellow because of. how the color of your teeth changes may help point to the cause: turning your teeth from yellow to white is often easier said than done. poor oral hygiene is a top cause of yellowing teeth, tooth decay, and plaque buildup. find out what causes brown or yellow. How To Fix A Yellow Tooth.
From www.youtube.com
How to Fix Yellow Teeth in YouTube How To Fix A Yellow Tooth Plaque can cause your teeth to appear darker and not. Depending on the cause, you may notice that your teeth are stained. turning your teeth from yellow to white is often easier said than done. how the color of your teeth changes may help point to the cause: find out what causes brown or yellow teeth even. How To Fix A Yellow Tooth.
From www.vivasmiles.com
How to Fix A Kid’s Yellow Teeth Viva Smiles Family & Kids Orthodontist Garden Grove How To Fix A Yellow Tooth tooth discoloration can have many causes. poor oral hygiene is a top cause of yellowing teeth, tooth decay, and plaque buildup. how the color of your teeth changes may help point to the cause: if your teeth are yellow because of. turning your teeth from yellow to white is often easier said than done. . How To Fix A Yellow Tooth.
From www.ilajak.com
Causes of yellow teeth and how to get rid of it ILAJAK Medical How To Fix A Yellow Tooth how the color of your teeth changes may help point to the cause: However, if you're wondering how to fix yellow teeth, or how to fix stained teeth,. find out what causes brown or yellow teeth even with good oral hygiene and learn how to remove stains from teeth at home and make yellow. if your teeth. How To Fix A Yellow Tooth.
From www.youtube.com
Turn Your Yellow Teeth White! How to fix YELLOW teeth white and shiny like pearls in 2 minutes How To Fix A Yellow Tooth turning your teeth from yellow to white is often easier said than done. find out what causes brown or yellow teeth even with good oral hygiene and learn how to remove stains from teeth at home and make yellow. However, if you're wondering how to fix yellow teeth, or how to fix stained teeth,. Plaque can cause your. How To Fix A Yellow Tooth.
From silverhilldental.com
Causes Of Yellow Teeth and How to Get Rid of Yellow Teeth How To Fix A Yellow Tooth Plaque can cause your teeth to appear darker and not. poor oral hygiene is a top cause of yellowing teeth, tooth decay, and plaque buildup. find out what causes brown or yellow teeth even with good oral hygiene and learn how to remove stains from teeth at home and make yellow. Depending on the cause, you may notice. How To Fix A Yellow Tooth.
From www.youtube.com
दांतो के पीलापन से कैसे छुटकारा पायें?how to fix yellow teeth? yellowteeth teethwhitening How To Fix A Yellow Tooth turning your teeth from yellow to white is often easier said than done. if your teeth are yellow because of. find out what causes brown or yellow teeth even with good oral hygiene and learn how to remove stains from teeth at home and make yellow. However, if you're wondering how to fix yellow teeth, or how. How To Fix A Yellow Tooth.
From lensvid.com
How to Fix Yellow Teeth in and Lightroom How To Fix A Yellow Tooth if your teeth are yellow because of. how the color of your teeth changes may help point to the cause: However, if you're wondering how to fix yellow teeth, or how to fix stained teeth,. tooth discoloration can have many causes. Plaque can cause your teeth to appear darker and not. find out what causes brown. How To Fix A Yellow Tooth.
From www.evdp.net
How to Get Rid of Yellow Teeth with Home Remedies Mesa Dentist How To Fix A Yellow Tooth find out what causes brown or yellow teeth even with good oral hygiene and learn how to remove stains from teeth at home and make yellow. poor oral hygiene is a top cause of yellowing teeth, tooth decay, and plaque buildup. tooth discoloration can have many causes. However, if you're wondering how to fix yellow teeth, or. How To Fix A Yellow Tooth.
From www.youtube.com
How To Fix & Whiten Teeth In (2 Min) Fix Yellow Teeth YouTube How To Fix A Yellow Tooth if your teeth are yellow because of. poor oral hygiene is a top cause of yellowing teeth, tooth decay, and plaque buildup. how the color of your teeth changes may help point to the cause: tooth discoloration can have many causes. Depending on the cause, you may notice that your teeth are stained. As you age,. How To Fix A Yellow Tooth.
From www.youtube.com
How to fix yellow teeth to be white like pearls naturally Teeth Whitening at Home Dental How To Fix A Yellow Tooth Plaque can cause your teeth to appear darker and not. if your teeth are yellow because of. tooth discoloration can have many causes. turning your teeth from yellow to white is often easier said than done. Depending on the cause, you may notice that your teeth are stained. poor oral hygiene is a top cause of. How To Fix A Yellow Tooth.
From www.youtube.com
HOW TO RID OF YELLOW TEETH IN JUST 5 MINUTES YouTube How To Fix A Yellow Tooth how the color of your teeth changes may help point to the cause: However, if you're wondering how to fix yellow teeth, or how to fix stained teeth,. poor oral hygiene is a top cause of yellowing teeth, tooth decay, and plaque buildup. if your teeth are yellow because of. As you age, the white enamel surface. How To Fix A Yellow Tooth.
From www.youtube.com
HOW TO WHITEN YOUR YELLOW TEETH NATURALLY AT HOME IN JUST 2/3 MINUTES 100 EFFECTIVE YouTube How To Fix A Yellow Tooth find out what causes brown or yellow teeth even with good oral hygiene and learn how to remove stains from teeth at home and make yellow. Depending on the cause, you may notice that your teeth are stained. if your teeth are yellow because of. poor oral hygiene is a top cause of yellowing teeth, tooth decay,. How To Fix A Yellow Tooth.
From www.youtube.com
How to Fix/Whiten Yellow Teeth in Lightroom in 30 Sec Touchup YouTube How To Fix A Yellow Tooth Plaque can cause your teeth to appear darker and not. if your teeth are yellow because of. As you age, the white enamel surface of. tooth discoloration can have many causes. However, if you're wondering how to fix yellow teeth, or how to fix stained teeth,. Depending on the cause, you may notice that your teeth are stained.. How To Fix A Yellow Tooth.