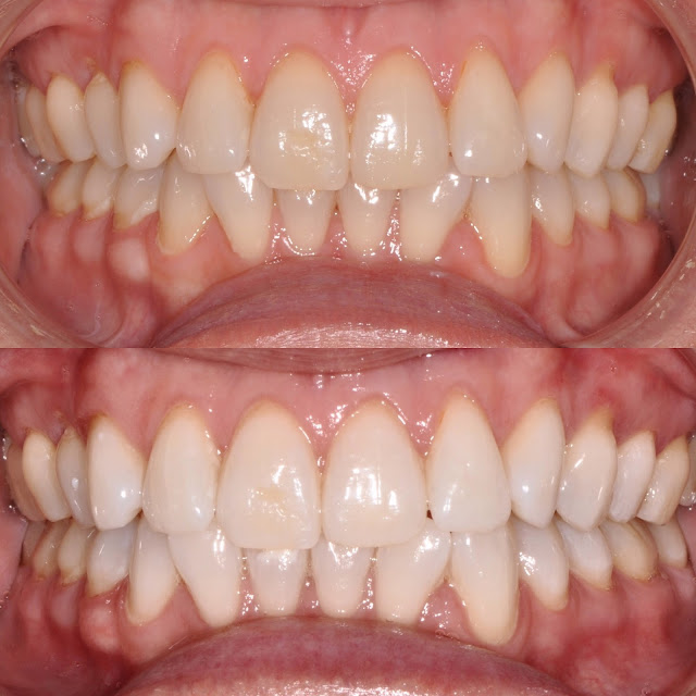
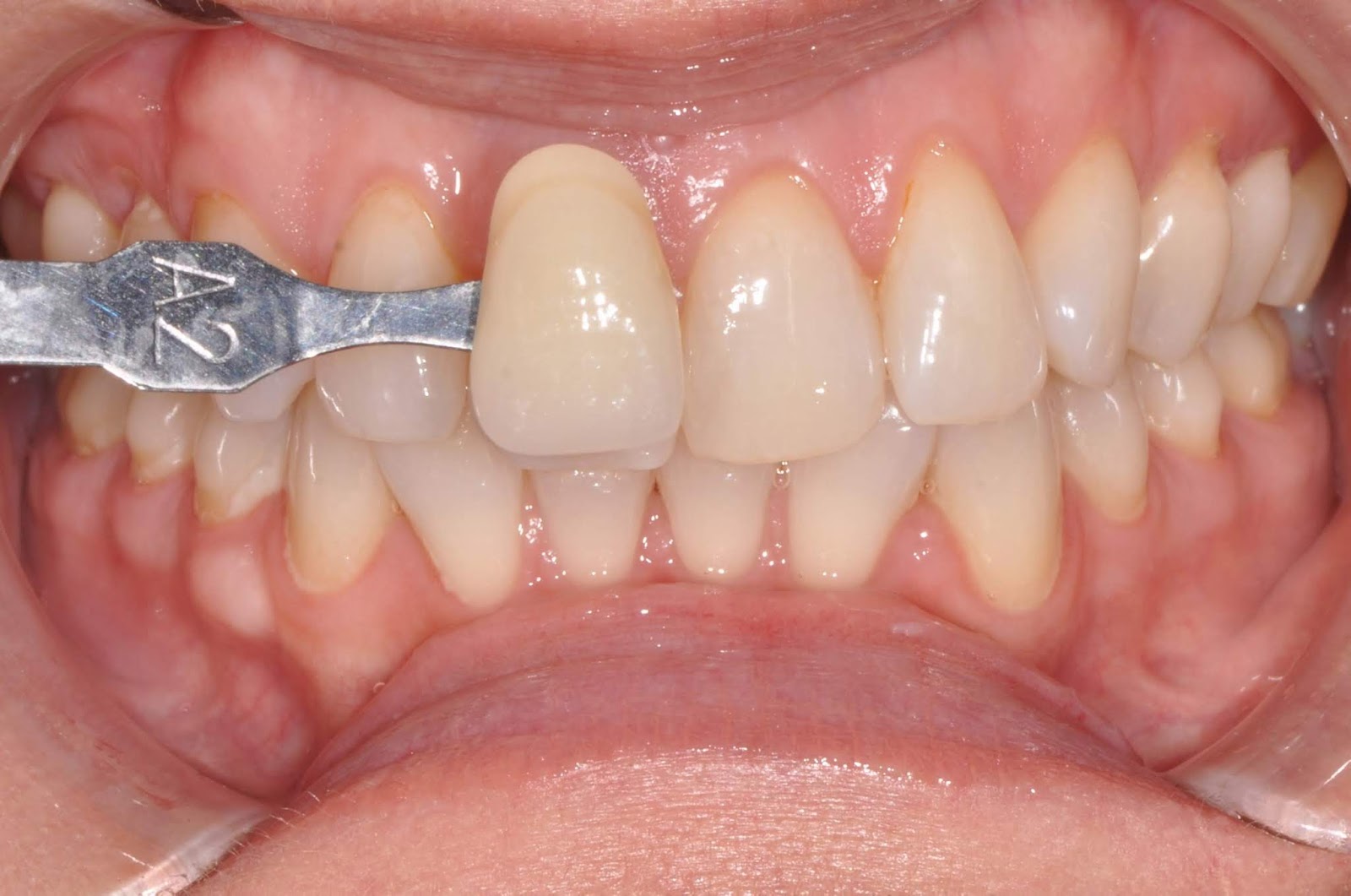
Teeth Sensitive After Philips Zoom . Some patients experience sensitivity such as “zingers” or thermal sensitivity 12. the good news sensitivity after zoom whitenning is a temporary event and should disappear after 24 hours. Philips zoom daywhite and nitewhite are the only professional. this video will explain how to avoid or minimise tooth sensitivity throughout. will the gel make my teeth sensitive? will philips zoom teeth whitening make my teeth sensitive? While some people may experience temporary tooth sensitivity during or after. Dental crowns and fillings don’t respond well to the zoom whitening gel, so if you have them, your tooth color might end up looking spotty. a zoom whitening procedure can increase tooth sensitivity, especially if you already have sensitive teeth or gums. One study found that only 1.8 percent of participants had tooth. your teeth may be more sensitive following tooth whitening, but this isn’t commonly reported with zoom treatments.
from www.thehouseofmouth.com.au
a zoom whitening procedure can increase tooth sensitivity, especially if you already have sensitive teeth or gums. Dental crowns and fillings don’t respond well to the zoom whitening gel, so if you have them, your tooth color might end up looking spotty. your teeth may be more sensitive following tooth whitening, but this isn’t commonly reported with zoom treatments. While some people may experience temporary tooth sensitivity during or after. this video will explain how to avoid or minimise tooth sensitivity throughout. Some patients experience sensitivity such as “zingers” or thermal sensitivity 12. will philips zoom teeth whitening make my teeth sensitive? One study found that only 1.8 percent of participants had tooth. will the gel make my teeth sensitive? Philips zoom daywhite and nitewhite are the only professional.
Philips Zoom Day White 6 Hydrogen Peroxide 2.4gram Teeth Whitening
Teeth Sensitive After Philips Zoom will philips zoom teeth whitening make my teeth sensitive? this video will explain how to avoid or minimise tooth sensitivity throughout. will the gel make my teeth sensitive? Some patients experience sensitivity such as “zingers” or thermal sensitivity 12. While some people may experience temporary tooth sensitivity during or after. your teeth may be more sensitive following tooth whitening, but this isn’t commonly reported with zoom treatments. Philips zoom daywhite and nitewhite are the only professional. will philips zoom teeth whitening make my teeth sensitive? the good news sensitivity after zoom whitenning is a temporary event and should disappear after 24 hours. One study found that only 1.8 percent of participants had tooth. Dental crowns and fillings don’t respond well to the zoom whitening gel, so if you have them, your tooth color might end up looking spotty. a zoom whitening procedure can increase tooth sensitivity, especially if you already have sensitive teeth or gums.
From dxopczmjo.blob.core.windows.net
How Long Are Teeth Sensitive After Zoom Whitening at Angeles Heath blog Teeth Sensitive After Philips Zoom your teeth may be more sensitive following tooth whitening, but this isn’t commonly reported with zoom treatments. the good news sensitivity after zoom whitenning is a temporary event and should disappear after 24 hours. this video will explain how to avoid or minimise tooth sensitivity throughout. a zoom whitening procedure can increase tooth sensitivity, especially if. Teeth Sensitive After Philips Zoom.
From www.dentudio.com
Philips Zoom! Whitening Teeth Sensitive After Philips Zoom Some patients experience sensitivity such as “zingers” or thermal sensitivity 12. will the gel make my teeth sensitive? Philips zoom daywhite and nitewhite are the only professional. this video will explain how to avoid or minimise tooth sensitivity throughout. Dental crowns and fillings don’t respond well to the zoom whitening gel, so if you have them, your tooth. Teeth Sensitive After Philips Zoom.
From healthmedline.com
Philips Zoom Teeth Whitening HealthMedline Teeth Sensitive After Philips Zoom will the gel make my teeth sensitive? Some patients experience sensitivity such as “zingers” or thermal sensitivity 12. While some people may experience temporary tooth sensitivity during or after. the good news sensitivity after zoom whitenning is a temporary event and should disappear after 24 hours. will philips zoom teeth whitening make my teeth sensitive? this. Teeth Sensitive After Philips Zoom.
From www.youtube.com
Philips Zoom Teeth Whitening 14 days really works! YouTube Teeth Sensitive After Philips Zoom a zoom whitening procedure can increase tooth sensitivity, especially if you already have sensitive teeth or gums. Some patients experience sensitivity such as “zingers” or thermal sensitivity 12. this video will explain how to avoid or minimise tooth sensitivity throughout. While some people may experience temporary tooth sensitivity during or after. One study found that only 1.8 percent. Teeth Sensitive After Philips Zoom.
From www.queensgate-dental.co.uk
Zoom Teeth Whitening Queensgate Dental Practice Teeth Sensitive After Philips Zoom While some people may experience temporary tooth sensitivity during or after. a zoom whitening procedure can increase tooth sensitivity, especially if you already have sensitive teeth or gums. will the gel make my teeth sensitive? the good news sensitivity after zoom whitenning is a temporary event and should disappear after 24 hours. One study found that only. Teeth Sensitive After Philips Zoom.
From lanedds.com
Zoom! Teeth Whitening Treatment Lane & Associates Family Dentistry Teeth Sensitive After Philips Zoom Dental crowns and fillings don’t respond well to the zoom whitening gel, so if you have them, your tooth color might end up looking spotty. the good news sensitivity after zoom whitenning is a temporary event and should disappear after 24 hours. Philips zoom daywhite and nitewhite are the only professional. a zoom whitening procedure can increase tooth. Teeth Sensitive After Philips Zoom.
From www.beautyheaven.com.au
The Philips Zoom teeth whitening treatment put to the test beautyheaven Teeth Sensitive After Philips Zoom Some patients experience sensitivity such as “zingers” or thermal sensitivity 12. the good news sensitivity after zoom whitenning is a temporary event and should disappear after 24 hours. Dental crowns and fillings don’t respond well to the zoom whitening gel, so if you have them, your tooth color might end up looking spotty. your teeth may be more. Teeth Sensitive After Philips Zoom.
From www.shoredental.com.au
In Chair Teeth Whitening Neutral Bay Shore Dental Teeth Sensitive After Philips Zoom Philips zoom daywhite and nitewhite are the only professional. Some patients experience sensitivity such as “zingers” or thermal sensitivity 12. will the gel make my teeth sensitive? One study found that only 1.8 percent of participants had tooth. this video will explain how to avoid or minimise tooth sensitivity throughout. While some people may experience temporary tooth sensitivity. Teeth Sensitive After Philips Zoom.
From www.beauty4free2u.com
My Philips ZOOM! Teeth Whitening experience with before and after! Teeth Sensitive After Philips Zoom Philips zoom daywhite and nitewhite are the only professional. One study found that only 1.8 percent of participants had tooth. will philips zoom teeth whitening make my teeth sensitive? Dental crowns and fillings don’t respond well to the zoom whitening gel, so if you have them, your tooth color might end up looking spotty. this video will explain. Teeth Sensitive After Philips Zoom.
From www.thehouseofmouth.com.au
Philips Zoom Day White 6 Hydrogen Peroxide 2.4gram Teeth Whitening Teeth Sensitive After Philips Zoom will the gel make my teeth sensitive? Philips zoom daywhite and nitewhite are the only professional. your teeth may be more sensitive following tooth whitening, but this isn’t commonly reported with zoom treatments. the good news sensitivity after zoom whitenning is a temporary event and should disappear after 24 hours. While some people may experience temporary tooth. Teeth Sensitive After Philips Zoom.
From dxopczmjo.blob.core.windows.net
How Long Are Teeth Sensitive After Zoom Whitening at Angeles Heath blog Teeth Sensitive After Philips Zoom While some people may experience temporary tooth sensitivity during or after. will the gel make my teeth sensitive? One study found that only 1.8 percent of participants had tooth. the good news sensitivity after zoom whitenning is a temporary event and should disappear after 24 hours. this video will explain how to avoid or minimise tooth sensitivity. Teeth Sensitive After Philips Zoom.
From www.whitesdental.co.uk
Philips Zoom Teeth Whitening Instant Laser Whitening Whites Dental Teeth Sensitive After Philips Zoom a zoom whitening procedure can increase tooth sensitivity, especially if you already have sensitive teeth or gums. will philips zoom teeth whitening make my teeth sensitive? Some patients experience sensitivity such as “zingers” or thermal sensitivity 12. this video will explain how to avoid or minimise tooth sensitivity throughout. While some people may experience temporary tooth sensitivity. Teeth Sensitive After Philips Zoom.
From www.newcastlecitydental.com.au
Teeth Whitening Dentist Newcastle Philips Zoom Whitening Teeth Sensitive After Philips Zoom Some patients experience sensitivity such as “zingers” or thermal sensitivity 12. your teeth may be more sensitive following tooth whitening, but this isn’t commonly reported with zoom treatments. a zoom whitening procedure can increase tooth sensitivity, especially if you already have sensitive teeth or gums. Dental crowns and fillings don’t respond well to the zoom whitening gel, so. Teeth Sensitive After Philips Zoom.
From www.whitesdental.co.uk
Philips Zoom Teeth Whitening near London Bridge Instant Laser Teeth Sensitive After Philips Zoom this video will explain how to avoid or minimise tooth sensitivity throughout. Dental crowns and fillings don’t respond well to the zoom whitening gel, so if you have them, your tooth color might end up looking spotty. will the gel make my teeth sensitive? While some people may experience temporary tooth sensitivity during or after. One study found. Teeth Sensitive After Philips Zoom.
From www.lakesregiondentalcenter.info
What to do about sensitive teeth? — Lakes Region Dental Center Teeth Sensitive After Philips Zoom Philips zoom daywhite and nitewhite are the only professional. will philips zoom teeth whitening make my teeth sensitive? your teeth may be more sensitive following tooth whitening, but this isn’t commonly reported with zoom treatments. Dental crowns and fillings don’t respond well to the zoom whitening gel, so if you have them, your tooth color might end up. Teeth Sensitive After Philips Zoom.
From www.thehouseofmouth.com.au
Philips Zoom Nite White 16 Carbamide Peroxide 2.4gram Teeth Whitening Teeth Sensitive After Philips Zoom will the gel make my teeth sensitive? While some people may experience temporary tooth sensitivity during or after. a zoom whitening procedure can increase tooth sensitivity, especially if you already have sensitive teeth or gums. the good news sensitivity after zoom whitenning is a temporary event and should disappear after 24 hours. Dental crowns and fillings don’t. Teeth Sensitive After Philips Zoom.
From www.theivorydental.com
ZOOM WHITENING The Ivory Dental Clinic Teeth Sensitive After Philips Zoom One study found that only 1.8 percent of participants had tooth. Dental crowns and fillings don’t respond well to the zoom whitening gel, so if you have them, your tooth color might end up looking spotty. the good news sensitivity after zoom whitenning is a temporary event and should disappear after 24 hours. Philips zoom daywhite and nitewhite are. Teeth Sensitive After Philips Zoom.
From www.youtube.com
TEETH WHITENING TUTORIAL PHILIPS ZOOM DAY WHITE YouTube Teeth Sensitive After Philips Zoom While some people may experience temporary tooth sensitivity during or after. Some patients experience sensitivity such as “zingers” or thermal sensitivity 12. your teeth may be more sensitive following tooth whitening, but this isn’t commonly reported with zoom treatments. One study found that only 1.8 percent of participants had tooth. will the gel make my teeth sensitive? . Teeth Sensitive After Philips Zoom.
From www.hometeethwhitening.com
Philips Zoom Nite White 16 Teeth Whitening Gel Single Syringe Teeth Sensitive After Philips Zoom While some people may experience temporary tooth sensitivity during or after. will the gel make my teeth sensitive? Dental crowns and fillings don’t respond well to the zoom whitening gel, so if you have them, your tooth color might end up looking spotty. One study found that only 1.8 percent of participants had tooth. the good news sensitivity. Teeth Sensitive After Philips Zoom.
From exovgqnpc.blob.core.windows.net
Teeth Whitening Zoom Philips at Luisa Summers blog Teeth Sensitive After Philips Zoom Some patients experience sensitivity such as “zingers” or thermal sensitivity 12. will philips zoom teeth whitening make my teeth sensitive? the good news sensitivity after zoom whitenning is a temporary event and should disappear after 24 hours. One study found that only 1.8 percent of participants had tooth. a zoom whitening procedure can increase tooth sensitivity, especially. Teeth Sensitive After Philips Zoom.
From dxopczmjo.blob.core.windows.net
How Long Are Teeth Sensitive After Zoom Whitening at Angeles Heath blog Teeth Sensitive After Philips Zoom will philips zoom teeth whitening make my teeth sensitive? While some people may experience temporary tooth sensitivity during or after. Philips zoom daywhite and nitewhite are the only professional. will the gel make my teeth sensitive? Some patients experience sensitivity such as “zingers” or thermal sensitivity 12. the good news sensitivity after zoom whitenning is a temporary. Teeth Sensitive After Philips Zoom.
From theeverydayman.co.uk
Philips Zoom Teeth Whitening Review The Everyday Man Teeth Sensitive After Philips Zoom the good news sensitivity after zoom whitenning is a temporary event and should disappear after 24 hours. Philips zoom daywhite and nitewhite are the only professional. One study found that only 1.8 percent of participants had tooth. a zoom whitening procedure can increase tooth sensitivity, especially if you already have sensitive teeth or gums. this video will. Teeth Sensitive After Philips Zoom.
From www.thehouseofmouth.com.au
Philips Zoom Nite White 16 Carbamide Peroxide 3x 2.4gram Teeth Teeth Sensitive After Philips Zoom your teeth may be more sensitive following tooth whitening, but this isn’t commonly reported with zoom treatments. this video will explain how to avoid or minimise tooth sensitivity throughout. One study found that only 1.8 percent of participants had tooth. While some people may experience temporary tooth sensitivity during or after. the good news sensitivity after zoom. Teeth Sensitive After Philips Zoom.
From www.metcalfdentistry.com
Zoom Teeth Whitening Metcalf Dentistry Teeth Sensitive After Philips Zoom Some patients experience sensitivity such as “zingers” or thermal sensitivity 12. a zoom whitening procedure can increase tooth sensitivity, especially if you already have sensitive teeth or gums. One study found that only 1.8 percent of participants had tooth. the good news sensitivity after zoom whitenning is a temporary event and should disappear after 24 hours. this. Teeth Sensitive After Philips Zoom.
From diaryofatorontogirl.com
My Philips Zoom Teeth Whitening Review & Experience Teeth Sensitive After Philips Zoom Dental crowns and fillings don’t respond well to the zoom whitening gel, so if you have them, your tooth color might end up looking spotty. Philips zoom daywhite and nitewhite are the only professional. the good news sensitivity after zoom whitenning is a temporary event and should disappear after 24 hours. your teeth may be more sensitive following. Teeth Sensitive After Philips Zoom.
From www.youtube.com
How to manage tooth sensitivity with Philips Zoom! Whitening YouTube Teeth Sensitive After Philips Zoom Philips zoom daywhite and nitewhite are the only professional. While some people may experience temporary tooth sensitivity during or after. this video will explain how to avoid or minimise tooth sensitivity throughout. the good news sensitivity after zoom whitenning is a temporary event and should disappear after 24 hours. will the gel make my teeth sensitive? One. Teeth Sensitive After Philips Zoom.
From anthonymartindmd.com
How to Use Your TakeHome Zoom Whitening Trays — Dr. Anthony Martin, D.M.D Teeth Sensitive After Philips Zoom Some patients experience sensitivity such as “zingers” or thermal sensitivity 12. a zoom whitening procedure can increase tooth sensitivity, especially if you already have sensitive teeth or gums. Philips zoom daywhite and nitewhite are the only professional. will philips zoom teeth whitening make my teeth sensitive? the good news sensitivity after zoom whitenning is a temporary event. Teeth Sensitive After Philips Zoom.
From www.beauty4free2u.com
My Philips ZOOM! Teeth Whitening experience with before and after! Teeth Sensitive After Philips Zoom a zoom whitening procedure can increase tooth sensitivity, especially if you already have sensitive teeth or gums. One study found that only 1.8 percent of participants had tooth. the good news sensitivity after zoom whitenning is a temporary event and should disappear after 24 hours. Philips zoom daywhite and nitewhite are the only professional. Some patients experience sensitivity. Teeth Sensitive After Philips Zoom.
From dxopczmjo.blob.core.windows.net
How Long Are Teeth Sensitive After Zoom Whitening at Angeles Heath blog Teeth Sensitive After Philips Zoom a zoom whitening procedure can increase tooth sensitivity, especially if you already have sensitive teeth or gums. While some people may experience temporary tooth sensitivity during or after. will philips zoom teeth whitening make my teeth sensitive? One study found that only 1.8 percent of participants had tooth. the good news sensitivity after zoom whitenning is a. Teeth Sensitive After Philips Zoom.
From www.beauty4free2u.com
My Philips ZOOM! Teeth Whitening experience with before and after! Teeth Sensitive After Philips Zoom will philips zoom teeth whitening make my teeth sensitive? a zoom whitening procedure can increase tooth sensitivity, especially if you already have sensitive teeth or gums. While some people may experience temporary tooth sensitivity during or after. the good news sensitivity after zoom whitenning is a temporary event and should disappear after 24 hours. Philips zoom daywhite. Teeth Sensitive After Philips Zoom.
From www.youtube.com
416 Dentistry ZOOM WHITENING Step by Step Procedure and Before Teeth Sensitive After Philips Zoom Dental crowns and fillings don’t respond well to the zoom whitening gel, so if you have them, your tooth color might end up looking spotty. the good news sensitivity after zoom whitenning is a temporary event and should disappear after 24 hours. Philips zoom daywhite and nitewhite are the only professional. a zoom whitening procedure can increase tooth. Teeth Sensitive After Philips Zoom.
From dxopczmjo.blob.core.windows.net
How Long Are Teeth Sensitive After Zoom Whitening at Angeles Heath blog Teeth Sensitive After Philips Zoom your teeth may be more sensitive following tooth whitening, but this isn’t commonly reported with zoom treatments. will the gel make my teeth sensitive? this video will explain how to avoid or minimise tooth sensitivity throughout. a zoom whitening procedure can increase tooth sensitivity, especially if you already have sensitive teeth or gums. One study found. Teeth Sensitive After Philips Zoom.
From www.youtube.com
Philips Zoom! teeth whitening treatment by mydentist YouTube Teeth Sensitive After Philips Zoom the good news sensitivity after zoom whitenning is a temporary event and should disappear after 24 hours. Philips zoom daywhite and nitewhite are the only professional. a zoom whitening procedure can increase tooth sensitivity, especially if you already have sensitive teeth or gums. Dental crowns and fillings don’t respond well to the zoom whitening gel, so if you. Teeth Sensitive After Philips Zoom.
From www.beauty4free2u.com
My Philips ZOOM! Teeth Whitening experience with before and after! Teeth Sensitive After Philips Zoom While some people may experience temporary tooth sensitivity during or after. a zoom whitening procedure can increase tooth sensitivity, especially if you already have sensitive teeth or gums. will philips zoom teeth whitening make my teeth sensitive? Dental crowns and fillings don’t respond well to the zoom whitening gel, so if you have them, your tooth color might. Teeth Sensitive After Philips Zoom.
From www.thedentalguide.net
Zoom Teeth Whitening Costs & Reviews The Dental Guide Teeth Sensitive After Philips Zoom Some patients experience sensitivity such as “zingers” or thermal sensitivity 12. Philips zoom daywhite and nitewhite are the only professional. the good news sensitivity after zoom whitenning is a temporary event and should disappear after 24 hours. this video will explain how to avoid or minimise tooth sensitivity throughout. One study found that only 1.8 percent of participants. Teeth Sensitive After Philips Zoom.