Does Heat Help Breast Cysts . Breast cysts can occur at any age but are most common between ages 30 and 49. You may have one or multiple breast. This test can help your doctor determine whether a breast lump is fluid filled or solid. Understanding the difference between breast cysts and tumors, recognizing the symptoms of breast cysts, and utilizing diagnostic tools like ultrasound can help women make informed decisions about their breast health. Heat may reduce the thickness of liquid in the cyst. How i healed my breast cysts naturally with food, essential oils, herbs, emotional clearing, and intuitive healing. They are usually noncancerous (benign).
from www.totalhealth.co.uk
Heat may reduce the thickness of liquid in the cyst. They are usually noncancerous (benign). Breast cysts can occur at any age but are most common between ages 30 and 49. You may have one or multiple breast. How i healed my breast cysts naturally with food, essential oils, herbs, emotional clearing, and intuitive healing. Understanding the difference between breast cysts and tumors, recognizing the symptoms of breast cysts, and utilizing diagnostic tools like ultrasound can help women make informed decisions about their breast health. This test can help your doctor determine whether a breast lump is fluid filled or solid.
Understanding breast cysts Total Health
Does Heat Help Breast Cysts This test can help your doctor determine whether a breast lump is fluid filled or solid. You may have one or multiple breast. How i healed my breast cysts naturally with food, essential oils, herbs, emotional clearing, and intuitive healing. They are usually noncancerous (benign). This test can help your doctor determine whether a breast lump is fluid filled or solid. Breast cysts can occur at any age but are most common between ages 30 and 49. Understanding the difference between breast cysts and tumors, recognizing the symptoms of breast cysts, and utilizing diagnostic tools like ultrasound can help women make informed decisions about their breast health. Heat may reduce the thickness of liquid in the cyst.
From healthed.govt.nz
Benign Breast Conditions Breast Cysts HealthEd Does Heat Help Breast Cysts Understanding the difference between breast cysts and tumors, recognizing the symptoms of breast cysts, and utilizing diagnostic tools like ultrasound can help women make informed decisions about their breast health. Breast cysts can occur at any age but are most common between ages 30 and 49. This test can help your doctor determine whether a breast lump is fluid filled. Does Heat Help Breast Cysts.
From capitolimagingservices.com
What is breast cyst aspiration? Capitol Imaging Services Does Heat Help Breast Cysts Breast cysts can occur at any age but are most common between ages 30 and 49. This test can help your doctor determine whether a breast lump is fluid filled or solid. How i healed my breast cysts naturally with food, essential oils, herbs, emotional clearing, and intuitive healing. Understanding the difference between breast cysts and tumors, recognizing the symptoms. Does Heat Help Breast Cysts.
From klaggaqbw.blob.core.windows.net
Why Does Heat Help Cysts at Tiffany Rhodes blog Does Heat Help Breast Cysts They are usually noncancerous (benign). You may have one or multiple breast. Breast cysts can occur at any age but are most common between ages 30 and 49. How i healed my breast cysts naturally with food, essential oils, herbs, emotional clearing, and intuitive healing. This test can help your doctor determine whether a breast lump is fluid filled or. Does Heat Help Breast Cysts.
From klaggaqbw.blob.core.windows.net
Why Does Heat Help Cysts at Tiffany Rhodes blog Does Heat Help Breast Cysts This test can help your doctor determine whether a breast lump is fluid filled or solid. Breast cysts can occur at any age but are most common between ages 30 and 49. How i healed my breast cysts naturally with food, essential oils, herbs, emotional clearing, and intuitive healing. Understanding the difference between breast cysts and tumors, recognizing the symptoms. Does Heat Help Breast Cysts.
From continentalhospitals.com
Breast Cysts Causes, Risk Factors, Symptoms, Treatment Does Heat Help Breast Cysts How i healed my breast cysts naturally with food, essential oils, herbs, emotional clearing, and intuitive healing. Understanding the difference between breast cysts and tumors, recognizing the symptoms of breast cysts, and utilizing diagnostic tools like ultrasound can help women make informed decisions about their breast health. You may have one or multiple breast. They are usually noncancerous (benign). Breast. Does Heat Help Breast Cysts.
From www.nationalbreastcancer.org
Breast Cyst National Breast Cancer Foundation Does Heat Help Breast Cysts Breast cysts can occur at any age but are most common between ages 30 and 49. This test can help your doctor determine whether a breast lump is fluid filled or solid. They are usually noncancerous (benign). How i healed my breast cysts naturally with food, essential oils, herbs, emotional clearing, and intuitive healing. Understanding the difference between breast cysts. Does Heat Help Breast Cysts.
From www.toplinemd.com
Breast Cyst Causes, Types, And Treatment Advanced Surgical Physicians Does Heat Help Breast Cysts Heat may reduce the thickness of liquid in the cyst. They are usually noncancerous (benign). Understanding the difference between breast cysts and tumors, recognizing the symptoms of breast cysts, and utilizing diagnostic tools like ultrasound can help women make informed decisions about their breast health. How i healed my breast cysts naturally with food, essential oils, herbs, emotional clearing, and. Does Heat Help Breast Cysts.
From breast360.org
Ultrasound Guided Cyst Aspiration and Minimally Invasive Breast Biopsy Does Heat Help Breast Cysts Understanding the difference between breast cysts and tumors, recognizing the symptoms of breast cysts, and utilizing diagnostic tools like ultrasound can help women make informed decisions about their breast health. Breast cysts can occur at any age but are most common between ages 30 and 49. How i healed my breast cysts naturally with food, essential oils, herbs, emotional clearing,. Does Heat Help Breast Cysts.
From fyocjxxxz.blob.core.windows.net
How Does Heat Help Bartholin Cyst at Lucy Juliano blog Does Heat Help Breast Cysts You may have one or multiple breast. This test can help your doctor determine whether a breast lump is fluid filled or solid. How i healed my breast cysts naturally with food, essential oils, herbs, emotional clearing, and intuitive healing. Understanding the difference between breast cysts and tumors, recognizing the symptoms of breast cysts, and utilizing diagnostic tools like ultrasound. Does Heat Help Breast Cysts.
From www.searchhomeremedy.com
Excellent Home Remedies For Breast Cysts Search Home Remedy Does Heat Help Breast Cysts You may have one or multiple breast. This test can help your doctor determine whether a breast lump is fluid filled or solid. Understanding the difference between breast cysts and tumors, recognizing the symptoms of breast cysts, and utilizing diagnostic tools like ultrasound can help women make informed decisions about their breast health. How i healed my breast cysts naturally. Does Heat Help Breast Cysts.
From www.totalhealth.co.uk
Understanding breast cysts Total Health Does Heat Help Breast Cysts They are usually noncancerous (benign). How i healed my breast cysts naturally with food, essential oils, herbs, emotional clearing, and intuitive healing. You may have one or multiple breast. Heat may reduce the thickness of liquid in the cyst. Breast cysts can occur at any age but are most common between ages 30 and 49. Understanding the difference between breast. Does Heat Help Breast Cysts.
From www.shecares.com
Breast Cysts Important Things to Know SheCares Does Heat Help Breast Cysts Breast cysts can occur at any age but are most common between ages 30 and 49. How i healed my breast cysts naturally with food, essential oils, herbs, emotional clearing, and intuitive healing. They are usually noncancerous (benign). Understanding the difference between breast cysts and tumors, recognizing the symptoms of breast cysts, and utilizing diagnostic tools like ultrasound can help. Does Heat Help Breast Cysts.
From www.ajronline.org
Cystic Masses of the Breast AJR Does Heat Help Breast Cysts How i healed my breast cysts naturally with food, essential oils, herbs, emotional clearing, and intuitive healing. Heat may reduce the thickness of liquid in the cyst. They are usually noncancerous (benign). You may have one or multiple breast. Understanding the difference between breast cysts and tumors, recognizing the symptoms of breast cysts, and utilizing diagnostic tools like ultrasound can. Does Heat Help Breast Cysts.
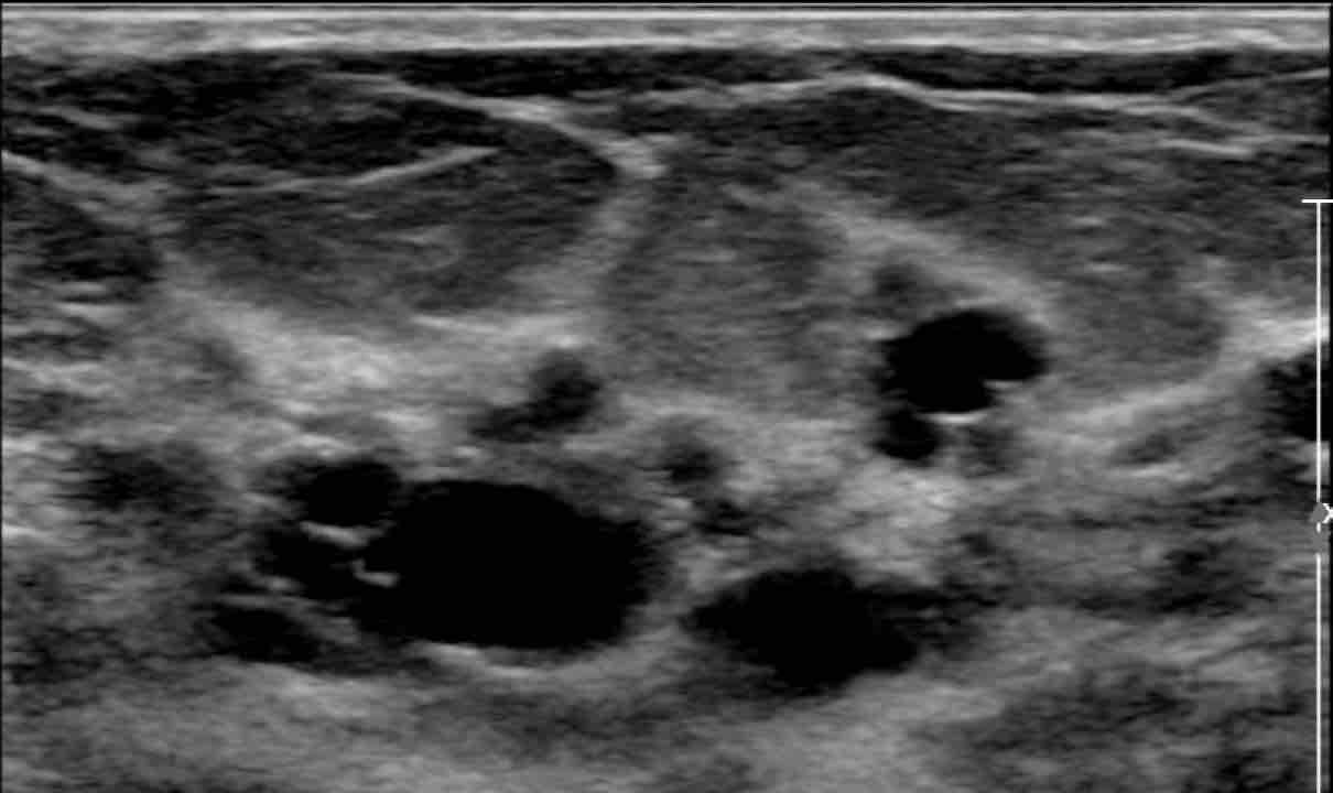
From cluster-isasi.blogspot.com
Cluster Of Cysts In Breast Ultrasound Clusterisasi Does Heat Help Breast Cysts How i healed my breast cysts naturally with food, essential oils, herbs, emotional clearing, and intuitive healing. They are usually noncancerous (benign). Understanding the difference between breast cysts and tumors, recognizing the symptoms of breast cysts, and utilizing diagnostic tools like ultrasound can help women make informed decisions about their breast health. This test can help your doctor determine whether. Does Heat Help Breast Cysts.
From www.academicradiology.org
Complicated Breast Cysts on Sonography Academic Radiology Does Heat Help Breast Cysts You may have one or multiple breast. Heat may reduce the thickness of liquid in the cyst. Understanding the difference between breast cysts and tumors, recognizing the symptoms of breast cysts, and utilizing diagnostic tools like ultrasound can help women make informed decisions about their breast health. Breast cysts can occur at any age but are most common between ages. Does Heat Help Breast Cysts.
From mylofamily.com
What is a breast cyst, its causes, and its symptoms? Does Heat Help Breast Cysts They are usually noncancerous (benign). How i healed my breast cysts naturally with food, essential oils, herbs, emotional clearing, and intuitive healing. Breast cysts can occur at any age but are most common between ages 30 and 49. This test can help your doctor determine whether a breast lump is fluid filled or solid. You may have one or multiple. Does Heat Help Breast Cysts.
From www.shutterstock.com
Types Cysts Breast Atypical Fibrous Fatty เวกเตอร์สต็อก (ปลอดค่า Does Heat Help Breast Cysts Understanding the difference between breast cysts and tumors, recognizing the symptoms of breast cysts, and utilizing diagnostic tools like ultrasound can help women make informed decisions about their breast health. Heat may reduce the thickness of liquid in the cyst. Breast cysts can occur at any age but are most common between ages 30 and 49. How i healed my. Does Heat Help Breast Cysts.
From www.womenshealthmag.com
Breast Cysts Everything You Need To Know Women's Health Does Heat Help Breast Cysts This test can help your doctor determine whether a breast lump is fluid filled or solid. Heat may reduce the thickness of liquid in the cyst. You may have one or multiple breast. Understanding the difference between breast cysts and tumors, recognizing the symptoms of breast cysts, and utilizing diagnostic tools like ultrasound can help women make informed decisions about. Does Heat Help Breast Cysts.
From www.youtube.com
What Are Breast Cysts ? Breast Cyst Symptoms & Treatment Of Breast Cyst Does Heat Help Breast Cysts Breast cysts can occur at any age but are most common between ages 30 and 49. Understanding the difference between breast cysts and tumors, recognizing the symptoms of breast cysts, and utilizing diagnostic tools like ultrasound can help women make informed decisions about their breast health. How i healed my breast cysts naturally with food, essential oils, herbs, emotional clearing,. Does Heat Help Breast Cysts.
From mikkipics.blogspot.com
How To Dissolve Cysts In Breast Skin Cysts (Sebaceous Cyst) They Does Heat Help Breast Cysts This test can help your doctor determine whether a breast lump is fluid filled or solid. Heat may reduce the thickness of liquid in the cyst. Understanding the difference between breast cysts and tumors, recognizing the symptoms of breast cysts, and utilizing diagnostic tools like ultrasound can help women make informed decisions about their breast health. How i healed my. Does Heat Help Breast Cysts.
From www.dreamstime.com
Causes of Cyst in the Mammary Gland. World Breast Cancer Day. Tumor Does Heat Help Breast Cysts How i healed my breast cysts naturally with food, essential oils, herbs, emotional clearing, and intuitive healing. This test can help your doctor determine whether a breast lump is fluid filled or solid. Breast cysts can occur at any age but are most common between ages 30 and 49. Understanding the difference between breast cysts and tumors, recognizing the symptoms. Does Heat Help Breast Cysts.
From www.researchgate.net
An ultrasound image of breast cyst. Download Scientific Diagram Does Heat Help Breast Cysts This test can help your doctor determine whether a breast lump is fluid filled or solid. Breast cysts can occur at any age but are most common between ages 30 and 49. Understanding the difference between breast cysts and tumors, recognizing the symptoms of breast cysts, and utilizing diagnostic tools like ultrasound can help women make informed decisions about their. Does Heat Help Breast Cysts.
From shunchild.com
Effective Techniques For Treating Breast Cysts During Pregnancy ShunChild Does Heat Help Breast Cysts How i healed my breast cysts naturally with food, essential oils, herbs, emotional clearing, and intuitive healing. Heat may reduce the thickness of liquid in the cyst. They are usually noncancerous (benign). This test can help your doctor determine whether a breast lump is fluid filled or solid. Understanding the difference between breast cysts and tumors, recognizing the symptoms of. Does Heat Help Breast Cysts.
From organicbreastenlargements.com
Breast Cysts Explained Fully Organic Breast Enlargements Does Heat Help Breast Cysts This test can help your doctor determine whether a breast lump is fluid filled or solid. You may have one or multiple breast. Breast cysts can occur at any age but are most common between ages 30 and 49. They are usually noncancerous (benign). How i healed my breast cysts naturally with food, essential oils, herbs, emotional clearing, and intuitive. Does Heat Help Breast Cysts.
From www.youtube.com
Breast Cysts Assist Remove Breast Cysts & Heal the Mammary Glands Does Heat Help Breast Cysts Breast cysts can occur at any age but are most common between ages 30 and 49. Understanding the difference between breast cysts and tumors, recognizing the symptoms of breast cysts, and utilizing diagnostic tools like ultrasound can help women make informed decisions about their breast health. How i healed my breast cysts naturally with food, essential oils, herbs, emotional clearing,. Does Heat Help Breast Cysts.
From medhyaherbals.com
Breast Cysts Natural Treatment The Best Ayurvedic Remedies Does Heat Help Breast Cysts Understanding the difference between breast cysts and tumors, recognizing the symptoms of breast cysts, and utilizing diagnostic tools like ultrasound can help women make informed decisions about their breast health. Breast cysts can occur at any age but are most common between ages 30 and 49. You may have one or multiple breast. How i healed my breast cysts naturally. Does Heat Help Breast Cysts.
From www.youtube.com
Understanding Breast Cysts with Dr Tasha YouTube Does Heat Help Breast Cysts Heat may reduce the thickness of liquid in the cyst. How i healed my breast cysts naturally with food, essential oils, herbs, emotional clearing, and intuitive healing. Breast cysts can occur at any age but are most common between ages 30 and 49. Understanding the difference between breast cysts and tumors, recognizing the symptoms of breast cysts, and utilizing diagnostic. Does Heat Help Breast Cysts.
From traditionalcookingschool.com
3 Home Remedies For Cystic Breast Tissue {heal lumpy breasts!} Does Heat Help Breast Cysts How i healed my breast cysts naturally with food, essential oils, herbs, emotional clearing, and intuitive healing. This test can help your doctor determine whether a breast lump is fluid filled or solid. Heat may reduce the thickness of liquid in the cyst. Understanding the difference between breast cysts and tumors, recognizing the symptoms of breast cysts, and utilizing diagnostic. Does Heat Help Breast Cysts.
From radiologycases.my
Simple breast cyst Radiology Cases Does Heat Help Breast Cysts You may have one or multiple breast. They are usually noncancerous (benign). Heat may reduce the thickness of liquid in the cyst. This test can help your doctor determine whether a breast lump is fluid filled or solid. Understanding the difference between breast cysts and tumors, recognizing the symptoms of breast cysts, and utilizing diagnostic tools like ultrasound can help. Does Heat Help Breast Cysts.
From www.archyde.com
Understanding Breast Cysts Symptoms, Diagnosis, and Treatment Archyde Does Heat Help Breast Cysts This test can help your doctor determine whether a breast lump is fluid filled or solid. How i healed my breast cysts naturally with food, essential oils, herbs, emotional clearing, and intuitive healing. Understanding the difference between breast cysts and tumors, recognizing the symptoms of breast cysts, and utilizing diagnostic tools like ultrasound can help women make informed decisions about. Does Heat Help Breast Cysts.
From traditionalcookingschool.com
3 Home Remedies For Cystic Breast Tissue {heal lumpy breasts!} Does Heat Help Breast Cysts You may have one or multiple breast. Understanding the difference between breast cysts and tumors, recognizing the symptoms of breast cysts, and utilizing diagnostic tools like ultrasound can help women make informed decisions about their breast health. Breast cysts can occur at any age but are most common between ages 30 and 49. Heat may reduce the thickness of liquid. Does Heat Help Breast Cysts.
From klaggaqbw.blob.core.windows.net
Why Does Heat Help Cysts at Tiffany Rhodes blog Does Heat Help Breast Cysts Breast cysts can occur at any age but are most common between ages 30 and 49. They are usually noncancerous (benign). This test can help your doctor determine whether a breast lump is fluid filled or solid. You may have one or multiple breast. How i healed my breast cysts naturally with food, essential oils, herbs, emotional clearing, and intuitive. Does Heat Help Breast Cysts.
From painsportal.com
Breast Cysts Symptoms, Causes and Treatment Pains Portal Does Heat Help Breast Cysts They are usually noncancerous (benign). Understanding the difference between breast cysts and tumors, recognizing the symptoms of breast cysts, and utilizing diagnostic tools like ultrasound can help women make informed decisions about their breast health. This test can help your doctor determine whether a breast lump is fluid filled or solid. Breast cysts can occur at any age but are. Does Heat Help Breast Cysts.
From www.understand.com
Breast Cysts Image Does Heat Help Breast Cysts Understanding the difference between breast cysts and tumors, recognizing the symptoms of breast cysts, and utilizing diagnostic tools like ultrasound can help women make informed decisions about their breast health. Heat may reduce the thickness of liquid in the cyst. You may have one or multiple breast. How i healed my breast cysts naturally with food, essential oils, herbs, emotional. Does Heat Help Breast Cysts.
From www.youtube.com
Two Minute Techniques Breast Cysts YouTube Does Heat Help Breast Cysts You may have one or multiple breast. Heat may reduce the thickness of liquid in the cyst. They are usually noncancerous (benign). How i healed my breast cysts naturally with food, essential oils, herbs, emotional clearing, and intuitive healing. This test can help your doctor determine whether a breast lump is fluid filled or solid. Breast cysts can occur at. Does Heat Help Breast Cysts.