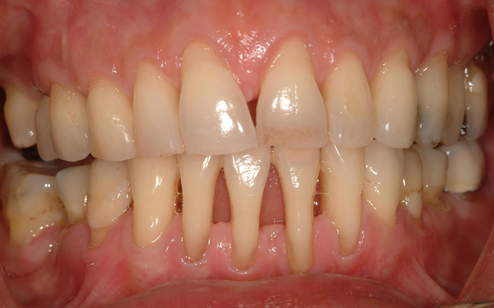
Gum Retraction Causes . gingival recession has direct causes and predisposing factors. learn about the different conditions that can cause receding gums, as well as how to treat and prevent them. there are a number of factors that can cause your gums to recede, including: Orthodontic treatment is able to prevent recession and. receding gums occurs when your gums pull back from the tooth surface, exposing the root surfaces of your teeth. several different factors can cause the gums to recede, including:
from villagedentalmedicine.com
receding gums occurs when your gums pull back from the tooth surface, exposing the root surfaces of your teeth. several different factors can cause the gums to recede, including: there are a number of factors that can cause your gums to recede, including: learn about the different conditions that can cause receding gums, as well as how to treat and prevent them. gingival recession has direct causes and predisposing factors. Orthodontic treatment is able to prevent recession and.
Gingival Retraction in Dentistry When is it Necessary VDM Dental Blog NY, 10014
Gum Retraction Causes there are a number of factors that can cause your gums to recede, including: receding gums occurs when your gums pull back from the tooth surface, exposing the root surfaces of your teeth. learn about the different conditions that can cause receding gums, as well as how to treat and prevent them. gingival recession has direct causes and predisposing factors. several different factors can cause the gums to recede, including: there are a number of factors that can cause your gums to recede, including: Orthodontic treatment is able to prevent recession and.
From www.youtube.com
How to use retraction cords in dentistry / How to Dentist YouTube Gum Retraction Causes several different factors can cause the gums to recede, including: learn about the different conditions that can cause receding gums, as well as how to treat and prevent them. Orthodontic treatment is able to prevent recession and. gingival recession has direct causes and predisposing factors. there are a number of factors that can cause your gums. Gum Retraction Causes.
From community.bulksupplements.com
Receding Gums Symptoms, Causes & Treatment Gum Retraction Causes there are a number of factors that can cause your gums to recede, including: Orthodontic treatment is able to prevent recession and. several different factors can cause the gums to recede, including: learn about the different conditions that can cause receding gums, as well as how to treat and prevent them. receding gums occurs when your. Gum Retraction Causes.
From exyiaufzb.blob.core.windows.net
Gingival Retraction Cord Types at Joshua Pugh blog Gum Retraction Causes there are a number of factors that can cause your gums to recede, including: Orthodontic treatment is able to prevent recession and. gingival recession has direct causes and predisposing factors. learn about the different conditions that can cause receding gums, as well as how to treat and prevent them. several different factors can cause the gums. Gum Retraction Causes.
From fyomsuttq.blob.core.windows.net
Medicine Gingival Retraction at Amanda Meaux blog Gum Retraction Causes there are a number of factors that can cause your gums to recede, including: gingival recession has direct causes and predisposing factors. learn about the different conditions that can cause receding gums, as well as how to treat and prevent them. several different factors can cause the gums to recede, including: receding gums occurs when. Gum Retraction Causes.
From keepteethstrong.com
Is Gum Recession Reversible ? [Causes, Prevention & Symptoms] Gum Retraction Causes gingival recession has direct causes and predisposing factors. Orthodontic treatment is able to prevent recession and. learn about the different conditions that can cause receding gums, as well as how to treat and prevent them. several different factors can cause the gums to recede, including: there are a number of factors that can cause your gums. Gum Retraction Causes.
From clinicapadros.com
Retracted gums new treatment without sutures Pinhole Gum Retraction Causes there are a number of factors that can cause your gums to recede, including: gingival recession has direct causes and predisposing factors. Orthodontic treatment is able to prevent recession and. receding gums occurs when your gums pull back from the tooth surface, exposing the root surfaces of your teeth. several different factors can cause the gums. Gum Retraction Causes.
From studymedicalphotos.blogspot.com
Study Medical Photos Disorders Of The Gum Gum Retraction Causes gingival recession has direct causes and predisposing factors. learn about the different conditions that can cause receding gums, as well as how to treat and prevent them. Orthodontic treatment is able to prevent recession and. there are a number of factors that can cause your gums to recede, including: several different factors can cause the gums. Gum Retraction Causes.
From dentalsurgerychannel.com
Which are the 5 most common reasons for Gingival Recession Gum Retraction Causes receding gums occurs when your gums pull back from the tooth surface, exposing the root surfaces of your teeth. there are a number of factors that can cause your gums to recede, including: gingival recession has direct causes and predisposing factors. Orthodontic treatment is able to prevent recession and. learn about the different conditions that can. Gum Retraction Causes.
From www.youtube.com
Expasyl A perfect process for gingival retraction YouTube Gum Retraction Causes gingival recession has direct causes and predisposing factors. there are a number of factors that can cause your gums to recede, including: learn about the different conditions that can cause receding gums, as well as how to treat and prevent them. several different factors can cause the gums to recede, including: receding gums occurs when. Gum Retraction Causes.
From www.youtube.com
Gum Retraction (Gingival Retraction) /How to pack a retraction Cord / Retraction cord placement Gum Retraction Causes learn about the different conditions that can cause receding gums, as well as how to treat and prevent them. several different factors can cause the gums to recede, including: Orthodontic treatment is able to prevent recession and. there are a number of factors that can cause your gums to recede, including: gingival recession has direct causes. Gum Retraction Causes.
From clinicapadros.com
Retracted gums Clínica Dental Padrós Gum Retraction Causes learn about the different conditions that can cause receding gums, as well as how to treat and prevent them. Orthodontic treatment is able to prevent recession and. there are a number of factors that can cause your gums to recede, including: several different factors can cause the gums to recede, including: gingival recession has direct causes. Gum Retraction Causes.
From www.youtube.com
Gum recession Treatment of gingival retraction © YouTube Gum Retraction Causes several different factors can cause the gums to recede, including: there are a number of factors that can cause your gums to recede, including: gingival recession has direct causes and predisposing factors. learn about the different conditions that can cause receding gums, as well as how to treat and prevent them. Orthodontic treatment is able to. Gum Retraction Causes.
From estudidentalbarcelona.com
¿Cómo solucionar la retracción de las encías o las recesiones gingivales? Estudi Dental Barcelona Gum Retraction Causes learn about the different conditions that can cause receding gums, as well as how to treat and prevent them. gingival recession has direct causes and predisposing factors. several different factors can cause the gums to recede, including: Orthodontic treatment is able to prevent recession and. receding gums occurs when your gums pull back from the tooth. Gum Retraction Causes.
From bdnj.co.uk
Understanding periodontitis and the latest classification system British Dental Nurses' Journal Gum Retraction Causes several different factors can cause the gums to recede, including: there are a number of factors that can cause your gums to recede, including: receding gums occurs when your gums pull back from the tooth surface, exposing the root surfaces of your teeth. gingival recession has direct causes and predisposing factors. Orthodontic treatment is able to. Gum Retraction Causes.
From www.alamy.com
Macro of a female mouth with receding gums. Closeup of a woman's teeth with inflamed red gum Gum Retraction Causes gingival recession has direct causes and predisposing factors. learn about the different conditions that can cause receding gums, as well as how to treat and prevent them. Orthodontic treatment is able to prevent recession and. there are a number of factors that can cause your gums to recede, including: several different factors can cause the gums. Gum Retraction Causes.
From www.oceanproperty.co.th
Expasyl A Perfect Process For Gingival Retraction, 56 OFF Gum Retraction Causes Orthodontic treatment is able to prevent recession and. gingival recession has direct causes and predisposing factors. there are a number of factors that can cause your gums to recede, including: learn about the different conditions that can cause receding gums, as well as how to treat and prevent them. several different factors can cause the gums. Gum Retraction Causes.
From www.slideshare.net
Gingival retraction Gum Retraction Causes several different factors can cause the gums to recede, including: Orthodontic treatment is able to prevent recession and. learn about the different conditions that can cause receding gums, as well as how to treat and prevent them. gingival recession has direct causes and predisposing factors. receding gums occurs when your gums pull back from the tooth. Gum Retraction Causes.
From www.verywellhealth.com
Gingival Retraction Cord and Its Uses Gum Retraction Causes there are a number of factors that can cause your gums to recede, including: learn about the different conditions that can cause receding gums, as well as how to treat and prevent them. several different factors can cause the gums to recede, including: gingival recession has direct causes and predisposing factors. Orthodontic treatment is able to. Gum Retraction Causes.
From giodjmgtx.blob.core.windows.net
Dental Retraction System at Benjamin Whittaker blog Gum Retraction Causes gingival recession has direct causes and predisposing factors. there are a number of factors that can cause your gums to recede, including: several different factors can cause the gums to recede, including: Orthodontic treatment is able to prevent recession and. learn about the different conditions that can cause receding gums, as well as how to treat. Gum Retraction Causes.
From exycrrpcp.blob.core.windows.net
Gingival Retraction Review at Marcus Moroney blog Gum Retraction Causes there are a number of factors that can cause your gums to recede, including: learn about the different conditions that can cause receding gums, as well as how to treat and prevent them. receding gums occurs when your gums pull back from the tooth surface, exposing the root surfaces of your teeth. gingival recession has direct. Gum Retraction Causes.
From www.oceanproperty.co.th
Expasyl A Perfect Process For Gingival Retraction, 56 OFF Gum Retraction Causes receding gums occurs when your gums pull back from the tooth surface, exposing the root surfaces of your teeth. learn about the different conditions that can cause receding gums, as well as how to treat and prevent them. there are a number of factors that can cause your gums to recede, including: several different factors can. Gum Retraction Causes.
From www.youtube.com
Gum Recession Surgical Treatment YouTube Gum Retraction Causes receding gums occurs when your gums pull back from the tooth surface, exposing the root surfaces of your teeth. learn about the different conditions that can cause receding gums, as well as how to treat and prevent them. there are a number of factors that can cause your gums to recede, including: gingival recession has direct. Gum Retraction Causes.
From tesakademya.com
Causes of Gum Retraction Around Implant Teeth Gum Retraction Causes gingival recession has direct causes and predisposing factors. receding gums occurs when your gums pull back from the tooth surface, exposing the root surfaces of your teeth. there are a number of factors that can cause your gums to recede, including: Orthodontic treatment is able to prevent recession and. several different factors can cause the gums. Gum Retraction Causes.
From www.clinicadentalgrossdentistas.com
Retracted gums sympstoms, reasons and treatment Blog Gross Dentists Gum Retraction Causes Orthodontic treatment is able to prevent recession and. there are a number of factors that can cause your gums to recede, including: several different factors can cause the gums to recede, including: learn about the different conditions that can cause receding gums, as well as how to treat and prevent them. gingival recession has direct causes. Gum Retraction Causes.
From molarhouse.com
Teeth Sensitivity Causes and Solutions Gum Retraction Causes there are a number of factors that can cause your gums to recede, including: Orthodontic treatment is able to prevent recession and. receding gums occurs when your gums pull back from the tooth surface, exposing the root surfaces of your teeth. gingival recession has direct causes and predisposing factors. several different factors can cause the gums. Gum Retraction Causes.
From ortodont-clujnapoca.ro
Gingival recession Gum retraction STOMATOLOGIC Gum Retraction Causes learn about the different conditions that can cause receding gums, as well as how to treat and prevent them. there are a number of factors that can cause your gums to recede, including: receding gums occurs when your gums pull back from the tooth surface, exposing the root surfaces of your teeth. Orthodontic treatment is able to. Gum Retraction Causes.
From villagedentalmedicine.com
Gingival Retraction in Dentistry When is it Necessary VDM Dental Blog NY, 10014 Gum Retraction Causes Orthodontic treatment is able to prevent recession and. receding gums occurs when your gums pull back from the tooth surface, exposing the root surfaces of your teeth. there are a number of factors that can cause your gums to recede, including: several different factors can cause the gums to recede, including: gingival recession has direct causes. Gum Retraction Causes.
From tesakademya.com
Causes of Gum Retraction Around Implant Teeth Gum Retraction Causes there are a number of factors that can cause your gums to recede, including: Orthodontic treatment is able to prevent recession and. several different factors can cause the gums to recede, including: receding gums occurs when your gums pull back from the tooth surface, exposing the root surfaces of your teeth. gingival recession has direct causes. Gum Retraction Causes.
From www.youtube.com
Dental basics Gingival Retraction The two cord technique YouTube Gum Retraction Causes receding gums occurs when your gums pull back from the tooth surface, exposing the root surfaces of your teeth. gingival recession has direct causes and predisposing factors. several different factors can cause the gums to recede, including: learn about the different conditions that can cause receding gums, as well as how to treat and prevent them.. Gum Retraction Causes.
From gingi-pak.com
Gingival Retraction GINGIPAK Gum Retraction Causes gingival recession has direct causes and predisposing factors. receding gums occurs when your gums pull back from the tooth surface, exposing the root surfaces of your teeth. several different factors can cause the gums to recede, including: learn about the different conditions that can cause receding gums, as well as how to treat and prevent them.. Gum Retraction Causes.
From www.youtube.com
What causes gum recession & how to stop receding gums? YouTube Gum Retraction Causes Orthodontic treatment is able to prevent recession and. there are a number of factors that can cause your gums to recede, including: gingival recession has direct causes and predisposing factors. several different factors can cause the gums to recede, including: receding gums occurs when your gums pull back from the tooth surface, exposing the root surfaces. Gum Retraction Causes.
From www.drwilliammckenzie.com
The Five Stages of Gum Disease — The McKenzie Center Implants & Periodontics Gum Retraction Causes receding gums occurs when your gums pull back from the tooth surface, exposing the root surfaces of your teeth. several different factors can cause the gums to recede, including: Orthodontic treatment is able to prevent recession and. gingival recession has direct causes and predisposing factors. there are a number of factors that can cause your gums. Gum Retraction Causes.
From www.youtube.com
What Causes RECEDING GUMS How to Reverse RECEDING GUMS Naturally YouTube Gum Retraction Causes several different factors can cause the gums to recede, including: learn about the different conditions that can cause receding gums, as well as how to treat and prevent them. Orthodontic treatment is able to prevent recession and. there are a number of factors that can cause your gums to recede, including: gingival recession has direct causes. Gum Retraction Causes.
From www.youtube.com
Gingival retraction before impression taking YouTube Gum Retraction Causes there are a number of factors that can cause your gums to recede, including: learn about the different conditions that can cause receding gums, as well as how to treat and prevent them. gingival recession has direct causes and predisposing factors. Orthodontic treatment is able to prevent recession and. receding gums occurs when your gums pull. Gum Retraction Causes.
From www.lifedentalspa.ro
Gum recession causes, symptoms and treatment Life Dental Spa Gum Retraction Causes learn about the different conditions that can cause receding gums, as well as how to treat and prevent them. Orthodontic treatment is able to prevent recession and. receding gums occurs when your gums pull back from the tooth surface, exposing the root surfaces of your teeth. gingival recession has direct causes and predisposing factors. several different. Gum Retraction Causes.