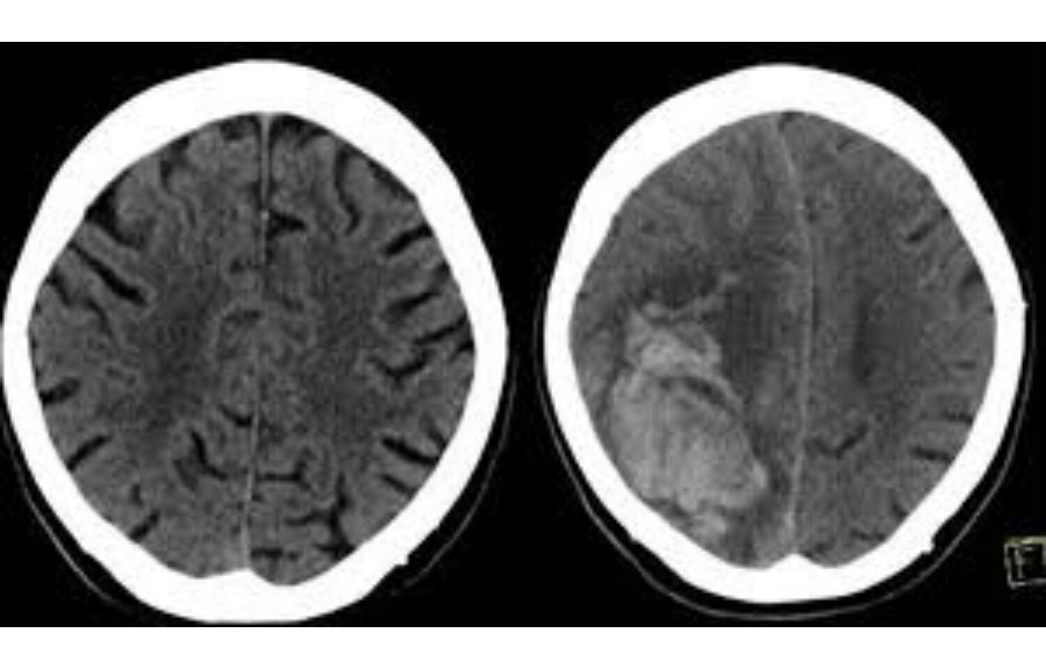
Blood Thinners Brain Bleeding . By radiological society of north america. 1 anticoagulation therapy has been proven to be efficacious in. In a delayed traumatic intracranial hemorrhage, bleeding in the brain occurs after the initial trauma, usually within 48 hours, after an initial negative head ct. The left image shows the initial ct scan of the brain. Be watchful for any warning signs of complications while taking any anticoagulants. Popular blood thinners may lead to brain bleeding after head injury. Use of blood thinners or anticoagulants: Now, new research finds that faster treatment for these patients is associated with a greater likelihood of survival. Intracranial hemorrhage is the most serious and lethal complication of oral anticoagulants (oacs). Urine that’s red or dark brown. Studies suggest that patients on blood thinners have a roughly 1% annual risk of experiencing a brain bleed. If you’re taking medications that affect blood clotting, your risk of a brain bleed.
from scitechdaily.com
Popular blood thinners may lead to brain bleeding after head injury. If you’re taking medications that affect blood clotting, your risk of a brain bleed. By radiological society of north america. Be watchful for any warning signs of complications while taking any anticoagulants. Urine that’s red or dark brown. Use of blood thinners or anticoagulants: 1 anticoagulation therapy has been proven to be efficacious in. In a delayed traumatic intracranial hemorrhage, bleeding in the brain occurs after the initial trauma, usually within 48 hours, after an initial negative head ct. Now, new research finds that faster treatment for these patients is associated with a greater likelihood of survival. Intracranial hemorrhage is the most serious and lethal complication of oral anticoagulants (oacs).
Popular Blood Thinners May Lead to Brain Bleeding and Death After Head
Blood Thinners Brain Bleeding 1 anticoagulation therapy has been proven to be efficacious in. Be watchful for any warning signs of complications while taking any anticoagulants. Popular blood thinners may lead to brain bleeding after head injury. Studies suggest that patients on blood thinners have a roughly 1% annual risk of experiencing a brain bleed. In a delayed traumatic intracranial hemorrhage, bleeding in the brain occurs after the initial trauma, usually within 48 hours, after an initial negative head ct. The left image shows the initial ct scan of the brain. 1 anticoagulation therapy has been proven to be efficacious in. Use of blood thinners or anticoagulants: Now, new research finds that faster treatment for these patients is associated with a greater likelihood of survival. By radiological society of north america. If you’re taking medications that affect blood clotting, your risk of a brain bleed. Urine that’s red or dark brown. Intracranial hemorrhage is the most serious and lethal complication of oral anticoagulants (oacs).
From www.youtube.com
Blood Thinners, Everything You Need to Know YouTube Blood Thinners Brain Bleeding Popular blood thinners may lead to brain bleeding after head injury. By radiological society of north america. If you’re taking medications that affect blood clotting, your risk of a brain bleed. Urine that’s red or dark brown. The left image shows the initial ct scan of the brain. 1 anticoagulation therapy has been proven to be efficacious in. In a. Blood Thinners Brain Bleeding.
From www.sdpuo.com
Symptoms of Internal Bleeding from Blood Thinners A Comprehensive Blood Thinners Brain Bleeding By radiological society of north america. Intracranial hemorrhage is the most serious and lethal complication of oral anticoagulants (oacs). Now, new research finds that faster treatment for these patients is associated with a greater likelihood of survival. Use of blood thinners or anticoagulants: Studies suggest that patients on blood thinners have a roughly 1% annual risk of experiencing a brain. Blood Thinners Brain Bleeding.
From www.supsalv.org
The Hidden Danger of Blood Thinners Recognizing Internal Bleeding Blood Thinners Brain Bleeding Intracranial hemorrhage is the most serious and lethal complication of oral anticoagulants (oacs). If you’re taking medications that affect blood clotting, your risk of a brain bleed. Now, new research finds that faster treatment for these patients is associated with a greater likelihood of survival. Be watchful for any warning signs of complications while taking any anticoagulants. Use of blood. Blood Thinners Brain Bleeding.
From www.researchgate.net
Association between blood thinners usage and intracranial bleeding in Blood Thinners Brain Bleeding Intracranial hemorrhage is the most serious and lethal complication of oral anticoagulants (oacs). The left image shows the initial ct scan of the brain. Studies suggest that patients on blood thinners have a roughly 1% annual risk of experiencing a brain bleed. Now, new research finds that faster treatment for these patients is associated with a greater likelihood of survival.. Blood Thinners Brain Bleeding.
From www.health.harvard.edu
Understanding "blood thinners" Harvard Health Blood Thinners Brain Bleeding Popular blood thinners may lead to brain bleeding after head injury. If you’re taking medications that affect blood clotting, your risk of a brain bleed. 1 anticoagulation therapy has been proven to be efficacious in. The left image shows the initial ct scan of the brain. Be watchful for any warning signs of complications while taking any anticoagulants. Studies suggest. Blood Thinners Brain Bleeding.
From premierneurologycenter.com
Blood Thinners & Head Injuries What You Need to Know Premier Blood Thinners Brain Bleeding 1 anticoagulation therapy has been proven to be efficacious in. In a delayed traumatic intracranial hemorrhage, bleeding in the brain occurs after the initial trauma, usually within 48 hours, after an initial negative head ct. The left image shows the initial ct scan of the brain. Studies suggest that patients on blood thinners have a roughly 1% annual risk of. Blood Thinners Brain Bleeding.
From www.scientificanimations.com
Understanding Hematomas and Traumatic Brain Injury Scientific Animations Blood Thinners Brain Bleeding If you’re taking medications that affect blood clotting, your risk of a brain bleed. Intracranial hemorrhage is the most serious and lethal complication of oral anticoagulants (oacs). In a delayed traumatic intracranial hemorrhage, bleeding in the brain occurs after the initial trauma, usually within 48 hours, after an initial negative head ct. Now, new research finds that faster treatment for. Blood Thinners Brain Bleeding.
From showardlaw.com
Blood Thinners Are Causing Uncontrollable Bleeding In Patients Blood Thinners Brain Bleeding 1 anticoagulation therapy has been proven to be efficacious in. The left image shows the initial ct scan of the brain. Now, new research finds that faster treatment for these patients is associated with a greater likelihood of survival. Studies suggest that patients on blood thinners have a roughly 1% annual risk of experiencing a brain bleed. In a delayed. Blood Thinners Brain Bleeding.
From medicaldialogues.in
Popular blood thinners may lead to brain bleeding after head injury Blood Thinners Brain Bleeding Use of blood thinners or anticoagulants: The left image shows the initial ct scan of the brain. In a delayed traumatic intracranial hemorrhage, bleeding in the brain occurs after the initial trauma, usually within 48 hours, after an initial negative head ct. Urine that’s red or dark brown. Intracranial hemorrhage is the most serious and lethal complication of oral anticoagulants. Blood Thinners Brain Bleeding.
From medicalxpress.com
Study shows reduced risk of bleeding with modern blood thinners Blood Thinners Brain Bleeding Use of blood thinners or anticoagulants: Now, new research finds that faster treatment for these patients is associated with a greater likelihood of survival. Urine that’s red or dark brown. Be watchful for any warning signs of complications while taking any anticoagulants. Popular blood thinners may lead to brain bleeding after head injury. Intracranial hemorrhage is the most serious and. Blood Thinners Brain Bleeding.
From premierneurologycenter.com
Blood Thinners & Head Injuries What You Need to Know Premier Blood Thinners Brain Bleeding Urine that’s red or dark brown. Popular blood thinners may lead to brain bleeding after head injury. In a delayed traumatic intracranial hemorrhage, bleeding in the brain occurs after the initial trauma, usually within 48 hours, after an initial negative head ct. Intracranial hemorrhage is the most serious and lethal complication of oral anticoagulants (oacs). Be watchful for any warning. Blood Thinners Brain Bleeding.
From internet-prod.nhlbi.nih.gov
Blood thinners and COVID The findings guiding patient care NHLBI, NIH Blood Thinners Brain Bleeding Intracranial hemorrhage is the most serious and lethal complication of oral anticoagulants (oacs). The left image shows the initial ct scan of the brain. By radiological society of north america. Studies suggest that patients on blood thinners have a roughly 1% annual risk of experiencing a brain bleed. Now, new research finds that faster treatment for these patients is associated. Blood Thinners Brain Bleeding.
From www.wtnh.com
Study shows common blood thinners link to brain bleeds Blood Thinners Brain Bleeding Intracranial hemorrhage is the most serious and lethal complication of oral anticoagulants (oacs). The left image shows the initial ct scan of the brain. Studies suggest that patients on blood thinners have a roughly 1% annual risk of experiencing a brain bleed. If you’re taking medications that affect blood clotting, your risk of a brain bleed. Now, new research finds. Blood Thinners Brain Bleeding.
From slideplayer.com
Understanding Atrial Fibrillation and Stroke Risk ppt download Blood Thinners Brain Bleeding If you’re taking medications that affect blood clotting, your risk of a brain bleed. Be watchful for any warning signs of complications while taking any anticoagulants. Urine that’s red or dark brown. In a delayed traumatic intracranial hemorrhage, bleeding in the brain occurs after the initial trauma, usually within 48 hours, after an initial negative head ct. 1 anticoagulation therapy. Blood Thinners Brain Bleeding.
From www.supsalv.org
The Hidden Danger of Blood Thinners Recognizing Internal Bleeding Blood Thinners Brain Bleeding Urine that’s red or dark brown. Intracranial hemorrhage is the most serious and lethal complication of oral anticoagulants (oacs). The left image shows the initial ct scan of the brain. Studies suggest that patients on blood thinners have a roughly 1% annual risk of experiencing a brain bleed. Be watchful for any warning signs of complications while taking any anticoagulants.. Blood Thinners Brain Bleeding.
From www.spinalcord.com
Brain Hemorrhage Recovery Time, Causes, and Symptoms Blood Thinners Brain Bleeding Now, new research finds that faster treatment for these patients is associated with a greater likelihood of survival. If you’re taking medications that affect blood clotting, your risk of a brain bleed. Intracranial hemorrhage is the most serious and lethal complication of oral anticoagulants (oacs). 1 anticoagulation therapy has been proven to be efficacious in. In a delayed traumatic intracranial. Blood Thinners Brain Bleeding.
From www.ahajournals.org
Blood Thinners for Atrial Fibrillation Stroke Prevention Circulation Blood Thinners Brain Bleeding Studies suggest that patients on blood thinners have a roughly 1% annual risk of experiencing a brain bleed. If you’re taking medications that affect blood clotting, your risk of a brain bleed. Popular blood thinners may lead to brain bleeding after head injury. The left image shows the initial ct scan of the brain. In a delayed traumatic intracranial hemorrhage,. Blood Thinners Brain Bleeding.
From www.straightanursingstudent.com
Blood thinners what you need to know Straight A Nursing Blood Thinners Brain Bleeding Use of blood thinners or anticoagulants: In a delayed traumatic intracranial hemorrhage, bleeding in the brain occurs after the initial trauma, usually within 48 hours, after an initial negative head ct. 1 anticoagulation therapy has been proven to be efficacious in. Popular blood thinners may lead to brain bleeding after head injury. Be watchful for any warning signs of complications. Blood Thinners Brain Bleeding.
From womensnewlookandhealthin21stcentury.com
Blood thinners risk of stroke vs risk of bleeding in Atrial Blood Thinners Brain Bleeding Intracranial hemorrhage is the most serious and lethal complication of oral anticoagulants (oacs). 1 anticoagulation therapy has been proven to be efficacious in. Use of blood thinners or anticoagulants: Popular blood thinners may lead to brain bleeding after head injury. Urine that’s red or dark brown. If you’re taking medications that affect blood clotting, your risk of a brain bleed.. Blood Thinners Brain Bleeding.
From wesdance.weebly.com
How to stop bleeding while on blood thinners wesdance Blood Thinners Brain Bleeding If you’re taking medications that affect blood clotting, your risk of a brain bleed. Popular blood thinners may lead to brain bleeding after head injury. 1 anticoagulation therapy has been proven to be efficacious in. Urine that’s red or dark brown. Be watchful for any warning signs of complications while taking any anticoagulants. By radiological society of north america. Studies. Blood Thinners Brain Bleeding.
From www.bozemanhealth.org
How to use blood thinners safely Bozeman Health Blood Thinners Brain Bleeding Use of blood thinners or anticoagulants: In a delayed traumatic intracranial hemorrhage, bleeding in the brain occurs after the initial trauma, usually within 48 hours, after an initial negative head ct. 1 anticoagulation therapy has been proven to be efficacious in. Studies suggest that patients on blood thinners have a roughly 1% annual risk of experiencing a brain bleed. If. Blood Thinners Brain Bleeding.
From www.mediband.com
Understanding Blood Thinners and High Bleeding Risk Mediband Blog Blood Thinners Brain Bleeding 1 anticoagulation therapy has been proven to be efficacious in. By radiological society of north america. Urine that’s red or dark brown. Use of blood thinners or anticoagulants: Studies suggest that patients on blood thinners have a roughly 1% annual risk of experiencing a brain bleed. Popular blood thinners may lead to brain bleeding after head injury. Now, new research. Blood Thinners Brain Bleeding.
From megadoctornews.com
A Safer Blood Thinner? Mega Doctor News Blood Thinners Brain Bleeding Popular blood thinners may lead to brain bleeding after head injury. Intracranial hemorrhage is the most serious and lethal complication of oral anticoagulants (oacs). If you’re taking medications that affect blood clotting, your risk of a brain bleed. Studies suggest that patients on blood thinners have a roughly 1% annual risk of experiencing a brain bleed. 1 anticoagulation therapy has. Blood Thinners Brain Bleeding.
From ricelawmd.com
Can Blood Thinners Cause Brain Bleeds? Rice Law Blood Thinners Brain Bleeding Use of blood thinners or anticoagulants: If you’re taking medications that affect blood clotting, your risk of a brain bleed. Intracranial hemorrhage is the most serious and lethal complication of oral anticoagulants (oacs). By radiological society of north america. Be watchful for any warning signs of complications while taking any anticoagulants. Urine that’s red or dark brown. The left image. Blood Thinners Brain Bleeding.
From www.alamy.com
CT scan of the brain of a 73 year old man show intracranial bleeding Blood Thinners Brain Bleeding Intracranial hemorrhage is the most serious and lethal complication of oral anticoagulants (oacs). Urine that’s red or dark brown. If you’re taking medications that affect blood clotting, your risk of a brain bleed. Now, new research finds that faster treatment for these patients is associated with a greater likelihood of survival. The left image shows the initial ct scan of. Blood Thinners Brain Bleeding.
From www.grantsformedical.com
Popular Names of Blood Thinners and How They Work Blood Thinners Brain Bleeding Use of blood thinners or anticoagulants: Now, new research finds that faster treatment for these patients is associated with a greater likelihood of survival. Intracranial hemorrhage is the most serious and lethal complication of oral anticoagulants (oacs). The left image shows the initial ct scan of the brain. Popular blood thinners may lead to brain bleeding after head injury. Urine. Blood Thinners Brain Bleeding.
From www.okheart.com
What patients need to know about blood thinners Oklahoma Heart Hospital Blood Thinners Brain Bleeding Be watchful for any warning signs of complications while taking any anticoagulants. Studies suggest that patients on blood thinners have a roughly 1% annual risk of experiencing a brain bleed. By radiological society of north america. Use of blood thinners or anticoagulants: In a delayed traumatic intracranial hemorrhage, bleeding in the brain occurs after the initial trauma, usually within 48. Blood Thinners Brain Bleeding.
From press.rsna.org
Popular Blood Thinners May Lead to Brain Bleeding after Head Injury Blood Thinners Brain Bleeding The left image shows the initial ct scan of the brain. In a delayed traumatic intracranial hemorrhage, bleeding in the brain occurs after the initial trauma, usually within 48 hours, after an initial negative head ct. Be watchful for any warning signs of complications while taking any anticoagulants. By radiological society of north america. Use of blood thinners or anticoagulants:. Blood Thinners Brain Bleeding.
From scitechdaily.com
Popular Blood Thinners May Lead to Brain Bleeding and Death After Head Blood Thinners Brain Bleeding If you’re taking medications that affect blood clotting, your risk of a brain bleed. By radiological society of north america. In a delayed traumatic intracranial hemorrhage, bleeding in the brain occurs after the initial trauma, usually within 48 hours, after an initial negative head ct. Use of blood thinners or anticoagulants: Now, new research finds that faster treatment for these. Blood Thinners Brain Bleeding.
From www.winknews.com
Stop the bleed A blood thinner antidote Blood Thinners Brain Bleeding Now, new research finds that faster treatment for these patients is associated with a greater likelihood of survival. Studies suggest that patients on blood thinners have a roughly 1% annual risk of experiencing a brain bleed. Popular blood thinners may lead to brain bleeding after head injury. By radiological society of north america. Use of blood thinners or anticoagulants: Intracranial. Blood Thinners Brain Bleeding.
From klaerwbww.blob.core.windows.net
How Do Blood Thinners Remove Clots at Otis Caraballo blog Blood Thinners Brain Bleeding Urine that’s red or dark brown. Studies suggest that patients on blood thinners have a roughly 1% annual risk of experiencing a brain bleed. Now, new research finds that faster treatment for these patients is associated with a greater likelihood of survival. In a delayed traumatic intracranial hemorrhage, bleeding in the brain occurs after the initial trauma, usually within 48. Blood Thinners Brain Bleeding.
From www.health.harvard.edu
More antidotes for newer blood thinners Harvard Health Blood Thinners Brain Bleeding Now, new research finds that faster treatment for these patients is associated with a greater likelihood of survival. Use of blood thinners or anticoagulants: Be watchful for any warning signs of complications while taking any anticoagulants. Intracranial hemorrhage is the most serious and lethal complication of oral anticoagulants (oacs). Studies suggest that patients on blood thinners have a roughly 1%. Blood Thinners Brain Bleeding.
From www.youtube.com
Brain Bleeding After Hitting Head YouTube Blood Thinners Brain Bleeding 1 anticoagulation therapy has been proven to be efficacious in. Be watchful for any warning signs of complications while taking any anticoagulants. Popular blood thinners may lead to brain bleeding after head injury. Studies suggest that patients on blood thinners have a roughly 1% annual risk of experiencing a brain bleed. Intracranial hemorrhage is the most serious and lethal complication. Blood Thinners Brain Bleeding.
From knowridge.com
Study shows differences in bleeding risk among common blood thinners Blood Thinners Brain Bleeding Urine that’s red or dark brown. If you’re taking medications that affect blood clotting, your risk of a brain bleed. Be watchful for any warning signs of complications while taking any anticoagulants. Intracranial hemorrhage is the most serious and lethal complication of oral anticoagulants (oacs). Popular blood thinners may lead to brain bleeding after head injury. By radiological society of. Blood Thinners Brain Bleeding.
From medizzy.com
Types of intracranial bleeding MEDizzy Blood Thinners Brain Bleeding Urine that’s red or dark brown. Use of blood thinners or anticoagulants: By radiological society of north america. Be watchful for any warning signs of complications while taking any anticoagulants. Now, new research finds that faster treatment for these patients is associated with a greater likelihood of survival. In a delayed traumatic intracranial hemorrhage, bleeding in the brain occurs after. Blood Thinners Brain Bleeding.