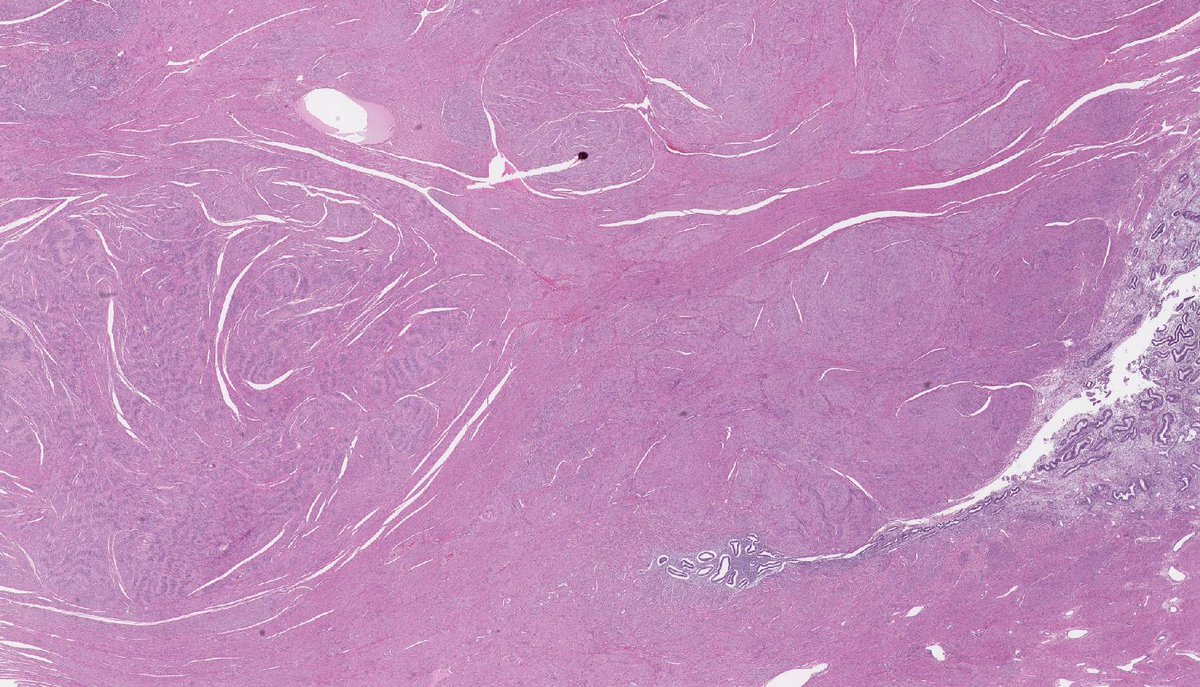
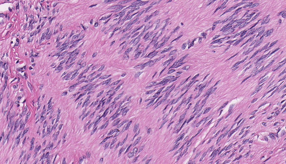
Spindle Cell Leiomyoma . Looks somewhat like a braided hair that was cut. Uterine spindle cell leiomyosarcomas are diagnosed based on the presence of 2 of 3 morphologic features: The spindle cells show indistinct cell borders and are bland appearing with elongated or wavy nuclei and ample eosinophilic cytoplasm. Epithelioid gists may have either a solid pattern or a myxoid. Spindle cell gists are characterized by nuclear palisading or prominent perinuclear vacuolization pattern. Perivascular tumor cell necrosis is associated with prominent cytologic atypia and atypical ghost cells (a and b) leiomyoma. Spindle cells arranged in fascicles. Microscopic examination reveals a smooth muscle tumor composed of spindle, cigar shaped cells arranged in. Adjacent groups of cells have their long axis perpendicular to one another; The cells were spindle shaped with eosinophilic cytoplasm and centrally located basophilic, cigar shaped nucleus.
from www.researchgate.net
The spindle cells show indistinct cell borders and are bland appearing with elongated or wavy nuclei and ample eosinophilic cytoplasm. Microscopic examination reveals a smooth muscle tumor composed of spindle, cigar shaped cells arranged in. The cells were spindle shaped with eosinophilic cytoplasm and centrally located basophilic, cigar shaped nucleus. Perivascular tumor cell necrosis is associated with prominent cytologic atypia and atypical ghost cells (a and b) leiomyoma. Uterine spindle cell leiomyosarcomas are diagnosed based on the presence of 2 of 3 morphologic features: Spindle cells arranged in fascicles. Adjacent groups of cells have their long axis perpendicular to one another; Spindle cell gists are characterized by nuclear palisading or prominent perinuclear vacuolization pattern. Epithelioid gists may have either a solid pattern or a myxoid. Looks somewhat like a braided hair that was cut.
Immunohistochemical (IHC) features of metastasizing leiomyoma
Spindle Cell Leiomyoma Uterine spindle cell leiomyosarcomas are diagnosed based on the presence of 2 of 3 morphologic features: The spindle cells show indistinct cell borders and are bland appearing with elongated or wavy nuclei and ample eosinophilic cytoplasm. Microscopic examination reveals a smooth muscle tumor composed of spindle, cigar shaped cells arranged in. Uterine spindle cell leiomyosarcomas are diagnosed based on the presence of 2 of 3 morphologic features: Looks somewhat like a braided hair that was cut. Epithelioid gists may have either a solid pattern or a myxoid. Perivascular tumor cell necrosis is associated with prominent cytologic atypia and atypical ghost cells (a and b) leiomyoma. Spindle cells arranged in fascicles. Spindle cell gists are characterized by nuclear palisading or prominent perinuclear vacuolization pattern. Adjacent groups of cells have their long axis perpendicular to one another; The cells were spindle shaped with eosinophilic cytoplasm and centrally located basophilic, cigar shaped nucleus.
From www.researchgate.net
Leiomyoma demonstrating bland spindle cells with no nuclear atypia and Spindle Cell Leiomyoma Spindle cells arranged in fascicles. Spindle cell gists are characterized by nuclear palisading or prominent perinuclear vacuolization pattern. Adjacent groups of cells have their long axis perpendicular to one another; The cells were spindle shaped with eosinophilic cytoplasm and centrally located basophilic, cigar shaped nucleus. Microscopic examination reveals a smooth muscle tumor composed of spindle, cigar shaped cells arranged in.. Spindle Cell Leiomyoma.
From mavink.com
Uterine Wall Histology Spindle Cell Leiomyoma Adjacent groups of cells have their long axis perpendicular to one another; The spindle cells show indistinct cell borders and are bland appearing with elongated or wavy nuclei and ample eosinophilic cytoplasm. Uterine spindle cell leiomyosarcomas are diagnosed based on the presence of 2 of 3 morphologic features: Epithelioid gists may have either a solid pattern or a myxoid. Perivascular. Spindle Cell Leiomyoma.
From www.researchgate.net
(A) Uterus (blue arrow), leiomyoma (yellow arrow), broad ligament Spindle Cell Leiomyoma Epithelioid gists may have either a solid pattern or a myxoid. Spindle cell gists are characterized by nuclear palisading or prominent perinuclear vacuolization pattern. The spindle cells show indistinct cell borders and are bland appearing with elongated or wavy nuclei and ample eosinophilic cytoplasm. Perivascular tumor cell necrosis is associated with prominent cytologic atypia and atypical ghost cells (a and. Spindle Cell Leiomyoma.
From www.researchgate.net
Microscopic appearance of scrotal leiomyoma, note the bland looking Spindle Cell Leiomyoma Looks somewhat like a braided hair that was cut. The spindle cells show indistinct cell borders and are bland appearing with elongated or wavy nuclei and ample eosinophilic cytoplasm. Adjacent groups of cells have their long axis perpendicular to one another; Spindle cells arranged in fascicles. Uterine spindle cell leiomyosarcomas are diagnosed based on the presence of 2 of 3. Spindle Cell Leiomyoma.
From www.eurorad.org
Leiomyoma a rare and underreported urinary bladder tumour Eurorad Spindle Cell Leiomyoma Looks somewhat like a braided hair that was cut. Spindle cells arranged in fascicles. Uterine spindle cell leiomyosarcomas are diagnosed based on the presence of 2 of 3 morphologic features: Perivascular tumor cell necrosis is associated with prominent cytologic atypia and atypical ghost cells (a and b) leiomyoma. The spindle cells show indistinct cell borders and are bland appearing with. Spindle Cell Leiomyoma.
From www.pathologyoutlines.com
Pathology Outlines Leiomyoma Spindle Cell Leiomyoma Looks somewhat like a braided hair that was cut. Microscopic examination reveals a smooth muscle tumor composed of spindle, cigar shaped cells arranged in. Epithelioid gists may have either a solid pattern or a myxoid. Spindle cells arranged in fascicles. Spindle cell gists are characterized by nuclear palisading or prominent perinuclear vacuolization pattern. The spindle cells show indistinct cell borders. Spindle Cell Leiomyoma.
From www.researchgate.net
Leiomyoma. (A) Spindle cell tumor with circumscribed borders and Spindle Cell Leiomyoma Uterine spindle cell leiomyosarcomas are diagnosed based on the presence of 2 of 3 morphologic features: Microscopic examination reveals a smooth muscle tumor composed of spindle, cigar shaped cells arranged in. Epithelioid gists may have either a solid pattern or a myxoid. Adjacent groups of cells have their long axis perpendicular to one another; Spindle cell gists are characterized by. Spindle Cell Leiomyoma.
From www.researchgate.net
Case of gastric leiomyoma. Endoscopic ultrasound (a) showing a Spindle Cell Leiomyoma The cells were spindle shaped with eosinophilic cytoplasm and centrally located basophilic, cigar shaped nucleus. The spindle cells show indistinct cell borders and are bland appearing with elongated or wavy nuclei and ample eosinophilic cytoplasm. Uterine spindle cell leiomyosarcomas are diagnosed based on the presence of 2 of 3 morphologic features: Spindle cell gists are characterized by nuclear palisading or. Spindle Cell Leiomyoma.
From twitter.com
Brendan Dickson, MD on Twitter "PILAR LEIOMYOMA. IHC + Hcaldesmon Spindle Cell Leiomyoma The cells were spindle shaped with eosinophilic cytoplasm and centrally located basophilic, cigar shaped nucleus. The spindle cells show indistinct cell borders and are bland appearing with elongated or wavy nuclei and ample eosinophilic cytoplasm. Spindle cell gists are characterized by nuclear palisading or prominent perinuclear vacuolization pattern. Adjacent groups of cells have their long axis perpendicular to one another;. Spindle Cell Leiomyoma.
From www.researchgate.net
Histological image showing spindleshaped cells with dull nuclei Spindle Cell Leiomyoma Spindle cell gists are characterized by nuclear palisading or prominent perinuclear vacuolization pattern. Perivascular tumor cell necrosis is associated with prominent cytologic atypia and atypical ghost cells (a and b) leiomyoma. The cells were spindle shaped with eosinophilic cytoplasm and centrally located basophilic, cigar shaped nucleus. Spindle cells arranged in fascicles. Microscopic examination reveals a smooth muscle tumor composed of. Spindle Cell Leiomyoma.
From twitter.com
Jerad Gardner, MD on Twitter "RT histiocytosisX LEIOMYOMA. IHC h Spindle Cell Leiomyoma Spindle cells arranged in fascicles. The cells were spindle shaped with eosinophilic cytoplasm and centrally located basophilic, cigar shaped nucleus. Epithelioid gists may have either a solid pattern or a myxoid. Spindle cell gists are characterized by nuclear palisading or prominent perinuclear vacuolization pattern. Adjacent groups of cells have their long axis perpendicular to one another; Looks somewhat like a. Spindle Cell Leiomyoma.
From www.pathologyoutlines.com
Pathology Outlines Leiomyoma Spindle Cell Leiomyoma Looks somewhat like a braided hair that was cut. Adjacent groups of cells have their long axis perpendicular to one another; Spindle cells arranged in fascicles. Microscopic examination reveals a smooth muscle tumor composed of spindle, cigar shaped cells arranged in. Perivascular tumor cell necrosis is associated with prominent cytologic atypia and atypical ghost cells (a and b) leiomyoma. The. Spindle Cell Leiomyoma.
From www.researchgate.net
Immunohistochemical (IHC) features of metastasizing leiomyoma Spindle Cell Leiomyoma Adjacent groups of cells have their long axis perpendicular to one another; Spindle cell gists are characterized by nuclear palisading or prominent perinuclear vacuolization pattern. Looks somewhat like a braided hair that was cut. The cells were spindle shaped with eosinophilic cytoplasm and centrally located basophilic, cigar shaped nucleus. Uterine spindle cell leiomyosarcomas are diagnosed based on the presence of. Spindle Cell Leiomyoma.
From www.researchgate.net
Myxoid a, The tumor has an infiltrative growth pattern Spindle Cell Leiomyoma The cells were spindle shaped with eosinophilic cytoplasm and centrally located basophilic, cigar shaped nucleus. Epithelioid gists may have either a solid pattern or a myxoid. Spindle cells arranged in fascicles. Perivascular tumor cell necrosis is associated with prominent cytologic atypia and atypical ghost cells (a and b) leiomyoma. Uterine spindle cell leiomyosarcomas are diagnosed based on the presence of. Spindle Cell Leiomyoma.
From www.researchgate.net
Case 1, cellular leiomyoma with a substantially increased cellularity Spindle Cell Leiomyoma Uterine spindle cell leiomyosarcomas are diagnosed based on the presence of 2 of 3 morphologic features: Perivascular tumor cell necrosis is associated with prominent cytologic atypia and atypical ghost cells (a and b) leiomyoma. Spindle cells arranged in fascicles. Adjacent groups of cells have their long axis perpendicular to one another; Epithelioid gists may have either a solid pattern or. Spindle Cell Leiomyoma.
From www.pathologyoutlines.com
Pathology Outlines Spindle Cell Leiomyoma The cells were spindle shaped with eosinophilic cytoplasm and centrally located basophilic, cigar shaped nucleus. Adjacent groups of cells have their long axis perpendicular to one another; Uterine spindle cell leiomyosarcomas are diagnosed based on the presence of 2 of 3 morphologic features: Looks somewhat like a braided hair that was cut. Spindle cell gists are characterized by nuclear palisading. Spindle Cell Leiomyoma.
From www.spandidos-publications.com
Benign metastasizing leiomyoma of the lung A case report and Spindle Cell Leiomyoma Microscopic examination reveals a smooth muscle tumor composed of spindle, cigar shaped cells arranged in. Spindle cells arranged in fascicles. Spindle cell gists are characterized by nuclear palisading or prominent perinuclear vacuolization pattern. Adjacent groups of cells have their long axis perpendicular to one another; Looks somewhat like a braided hair that was cut. Epithelioid gists may have either a. Spindle Cell Leiomyoma.
From twitter.com
Jerad Gardner, MD on Twitter "RT histiocytosisX LEIOMYOMA. IHC h Spindle Cell Leiomyoma The spindle cells show indistinct cell borders and are bland appearing with elongated or wavy nuclei and ample eosinophilic cytoplasm. Looks somewhat like a braided hair that was cut. Spindle cell gists are characterized by nuclear palisading or prominent perinuclear vacuolization pattern. Uterine spindle cell leiomyosarcomas are diagnosed based on the presence of 2 of 3 morphologic features: Spindle cells. Spindle Cell Leiomyoma.
From librepathology.org
Uterine leiomyoma Libre Pathology Spindle Cell Leiomyoma Adjacent groups of cells have their long axis perpendicular to one another; Uterine spindle cell leiomyosarcomas are diagnosed based on the presence of 2 of 3 morphologic features: Epithelioid gists may have either a solid pattern or a myxoid. Spindle cells arranged in fascicles. The cells were spindle shaped with eosinophilic cytoplasm and centrally located basophilic, cigar shaped nucleus. The. Spindle Cell Leiomyoma.
From www.researchgate.net
Sagittal T 2 W MRI of a spindle cell demonstrating Spindle Cell Leiomyoma Spindle cells arranged in fascicles. The cells were spindle shaped with eosinophilic cytoplasm and centrally located basophilic, cigar shaped nucleus. The spindle cells show indistinct cell borders and are bland appearing with elongated or wavy nuclei and ample eosinophilic cytoplasm. Epithelioid gists may have either a solid pattern or a myxoid. Microscopic examination reveals a smooth muscle tumor composed of. Spindle Cell Leiomyoma.
From twitter.com
Jerad Gardner, MD on Twitter "RT histiocytosisX LEIOMYOMA. IHC h Spindle Cell Leiomyoma Uterine spindle cell leiomyosarcomas are diagnosed based on the presence of 2 of 3 morphologic features: The spindle cells show indistinct cell borders and are bland appearing with elongated or wavy nuclei and ample eosinophilic cytoplasm. Spindle cells arranged in fascicles. Adjacent groups of cells have their long axis perpendicular to one another; Spindle cell gists are characterized by nuclear. Spindle Cell Leiomyoma.
From www.researchgate.net
Histological section reveals (a) interlacing fascicles of bland spindle Spindle Cell Leiomyoma Spindle cells arranged in fascicles. Uterine spindle cell leiomyosarcomas are diagnosed based on the presence of 2 of 3 morphologic features: The cells were spindle shaped with eosinophilic cytoplasm and centrally located basophilic, cigar shaped nucleus. Spindle cell gists are characterized by nuclear palisading or prominent perinuclear vacuolization pattern. Looks somewhat like a braided hair that was cut. Perivascular tumor. Spindle Cell Leiomyoma.
From www.researchgate.net
Spindle cell Cohesive spindle cells form large Spindle Cell Leiomyoma Uterine spindle cell leiomyosarcomas are diagnosed based on the presence of 2 of 3 morphologic features: Adjacent groups of cells have their long axis perpendicular to one another; Epithelioid gists may have either a solid pattern or a myxoid. Spindle cells arranged in fascicles. The cells were spindle shaped with eosinophilic cytoplasm and centrally located basophilic, cigar shaped nucleus. The. Spindle Cell Leiomyoma.
From www.pathologyoutlines.com
Pathology Outlines Leiomyoma Spindle Cell Leiomyoma Microscopic examination reveals a smooth muscle tumor composed of spindle, cigar shaped cells arranged in. Looks somewhat like a braided hair that was cut. Uterine spindle cell leiomyosarcomas are diagnosed based on the presence of 2 of 3 morphologic features: Spindle cell gists are characterized by nuclear palisading or prominent perinuclear vacuolization pattern. The spindle cells show indistinct cell borders. Spindle Cell Leiomyoma.
From www.researchgate.net
Highly cellular leiomyoma was composed of interlacing bundles of Spindle Cell Leiomyoma Looks somewhat like a braided hair that was cut. The cells were spindle shaped with eosinophilic cytoplasm and centrally located basophilic, cigar shaped nucleus. Spindle cells arranged in fascicles. Uterine spindle cell leiomyosarcomas are diagnosed based on the presence of 2 of 3 morphologic features: Spindle cell gists are characterized by nuclear palisading or prominent perinuclear vacuolization pattern. Microscopic examination. Spindle Cell Leiomyoma.
From www.eurorad.org
Leiomyoma a rare and underreported urinary bladder tumour Eurorad Spindle Cell Leiomyoma The cells were spindle shaped with eosinophilic cytoplasm and centrally located basophilic, cigar shaped nucleus. Spindle cells arranged in fascicles. Looks somewhat like a braided hair that was cut. Adjacent groups of cells have their long axis perpendicular to one another; Perivascular tumor cell necrosis is associated with prominent cytologic atypia and atypical ghost cells (a and b) leiomyoma. The. Spindle Cell Leiomyoma.
From www.researchgate.net
The histology of It shows composed of spindle cells Spindle Cell Leiomyoma The spindle cells show indistinct cell borders and are bland appearing with elongated or wavy nuclei and ample eosinophilic cytoplasm. Spindle cells arranged in fascicles. Microscopic examination reveals a smooth muscle tumor composed of spindle, cigar shaped cells arranged in. Perivascular tumor cell necrosis is associated with prominent cytologic atypia and atypical ghost cells (a and b) leiomyoma. Epithelioid gists. Spindle Cell Leiomyoma.
From www.researchgate.net
The spindle shaped cells of conjuctival leiomyoma had elongated nuclei Spindle Cell Leiomyoma Spindle cell gists are characterized by nuclear palisading or prominent perinuclear vacuolization pattern. The spindle cells show indistinct cell borders and are bland appearing with elongated or wavy nuclei and ample eosinophilic cytoplasm. Perivascular tumor cell necrosis is associated with prominent cytologic atypia and atypical ghost cells (a and b) leiomyoma. Microscopic examination reveals a smooth muscle tumor composed of. Spindle Cell Leiomyoma.
From www.researchgate.net
The spindle shaped cells of conjuctival leiomyoma had elongated nuclei Spindle Cell Leiomyoma Spindle cell gists are characterized by nuclear palisading or prominent perinuclear vacuolization pattern. Microscopic examination reveals a smooth muscle tumor composed of spindle, cigar shaped cells arranged in. Spindle cells arranged in fascicles. The cells were spindle shaped with eosinophilic cytoplasm and centrally located basophilic, cigar shaped nucleus. Epithelioid gists may have either a solid pattern or a myxoid. Uterine. Spindle Cell Leiomyoma.
From www.researchgate.net
Microscopic picutre of the leiomyoma. Interlacing fasicles of spindle Spindle Cell Leiomyoma Microscopic examination reveals a smooth muscle tumor composed of spindle, cigar shaped cells arranged in. Looks somewhat like a braided hair that was cut. The spindle cells show indistinct cell borders and are bland appearing with elongated or wavy nuclei and ample eosinophilic cytoplasm. Adjacent groups of cells have their long axis perpendicular to one another; Epithelioid gists may have. Spindle Cell Leiomyoma.
From www.researchgate.net
Leiomyoma of the kidney. AB. Well defined, unencapsulated tumor Spindle Cell Leiomyoma Spindle cells arranged in fascicles. Looks somewhat like a braided hair that was cut. Adjacent groups of cells have their long axis perpendicular to one another; Perivascular tumor cell necrosis is associated with prominent cytologic atypia and atypical ghost cells (a and b) leiomyoma. The cells were spindle shaped with eosinophilic cytoplasm and centrally located basophilic, cigar shaped nucleus. Spindle. Spindle Cell Leiomyoma.
From www.researchgate.net
(PDF) Intranodal Leiomyoma Another Distinctive Primary Spindle Cell Spindle Cell Leiomyoma Uterine spindle cell leiomyosarcomas are diagnosed based on the presence of 2 of 3 morphologic features: Looks somewhat like a braided hair that was cut. Perivascular tumor cell necrosis is associated with prominent cytologic atypia and atypical ghost cells (a and b) leiomyoma. The cells were spindle shaped with eosinophilic cytoplasm and centrally located basophilic, cigar shaped nucleus. Spindle cells. Spindle Cell Leiomyoma.
From www.researchgate.net
Histological section reveals (a) interlacing fascicles of bland spindle Spindle Cell Leiomyoma Adjacent groups of cells have their long axis perpendicular to one another; Uterine spindle cell leiomyosarcomas are diagnosed based on the presence of 2 of 3 morphologic features: Perivascular tumor cell necrosis is associated with prominent cytologic atypia and atypical ghost cells (a and b) leiomyoma. The spindle cells show indistinct cell borders and are bland appearing with elongated or. Spindle Cell Leiomyoma.
From www.researchgate.net
EBVSMT Leiomyoma composed of spindle cells arranged in a fascicular Spindle Cell Leiomyoma The spindle cells show indistinct cell borders and are bland appearing with elongated or wavy nuclei and ample eosinophilic cytoplasm. Looks somewhat like a braided hair that was cut. Spindle cell gists are characterized by nuclear palisading or prominent perinuclear vacuolization pattern. Spindle cells arranged in fascicles. The cells were spindle shaped with eosinophilic cytoplasm and centrally located basophilic, cigar. Spindle Cell Leiomyoma.
From www.researchgate.net
Hwajeong LEE Professor (Full) Albany Medical College, Albany AMC Spindle Cell Leiomyoma Looks somewhat like a braided hair that was cut. Perivascular tumor cell necrosis is associated with prominent cytologic atypia and atypical ghost cells (a and b) leiomyoma. The cells were spindle shaped with eosinophilic cytoplasm and centrally located basophilic, cigar shaped nucleus. Microscopic examination reveals a smooth muscle tumor composed of spindle, cigar shaped cells arranged in. Spindle cells arranged. Spindle Cell Leiomyoma.