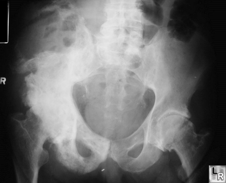
Paget's Disease Iliac Bone Radiology . This article reviews the demographics, basic pathophysiology, natural history, and clinical presentation of. Paget’s disease is a disease of osteoclasts that commonly affects the pelvis in an asymmetric distribution, more frequently on the right. The blade of grass sign, also called the candle flame sign, refers to the lucent leading edge in a long bone seen during the lytic phase. The new bone is weaker, which may lead to deformities. Hillmann j, mesgarzadeh m, tang c, bonakdarpour a, reyes t. In the active phase of the disease, there is brisk. Paget’s disease is a metabolic bone disorder affecting the elderly characterized by bone resorption followed by compensatory bone formation. Paget’s disease of bone is characterized by an excessive and abnormal remodelling of bone. The diagnosis is clinical, supported by biochemical tests and plain radiographs.
from www.msdmanuals.com
This article reviews the demographics, basic pathophysiology, natural history, and clinical presentation of. Hillmann j, mesgarzadeh m, tang c, bonakdarpour a, reyes t. In the active phase of the disease, there is brisk. Paget’s disease is a metabolic bone disorder affecting the elderly characterized by bone resorption followed by compensatory bone formation. The diagnosis is clinical, supported by biochemical tests and plain radiographs. Paget’s disease of bone is characterized by an excessive and abnormal remodelling of bone. Paget’s disease is a disease of osteoclasts that commonly affects the pelvis in an asymmetric distribution, more frequently on the right. The blade of grass sign, also called the candle flame sign, refers to the lucent leading edge in a long bone seen during the lytic phase. The new bone is weaker, which may lead to deformities.
Image XRay of the Pelvis in Paget Disease MSD Manual Professional
Paget's Disease Iliac Bone Radiology The diagnosis is clinical, supported by biochemical tests and plain radiographs. The diagnosis is clinical, supported by biochemical tests and plain radiographs. Hillmann j, mesgarzadeh m, tang c, bonakdarpour a, reyes t. The blade of grass sign, also called the candle flame sign, refers to the lucent leading edge in a long bone seen during the lytic phase. The new bone is weaker, which may lead to deformities. In the active phase of the disease, there is brisk. Paget’s disease of bone is characterized by an excessive and abnormal remodelling of bone. Paget’s disease is a metabolic bone disorder affecting the elderly characterized by bone resorption followed by compensatory bone formation. Paget’s disease is a disease of osteoclasts that commonly affects the pelvis in an asymmetric distribution, more frequently on the right. This article reviews the demographics, basic pathophysiology, natural history, and clinical presentation of.
From www.researchgate.net
Paget’s disease. Osteoblastic activity in the right iliac bone on Paget's Disease Iliac Bone Radiology The blade of grass sign, also called the candle flame sign, refers to the lucent leading edge in a long bone seen during the lytic phase. In the active phase of the disease, there is brisk. This article reviews the demographics, basic pathophysiology, natural history, and clinical presentation of. Paget’s disease is a metabolic bone disorder affecting the elderly characterized. Paget's Disease Iliac Bone Radiology.
From www.ncbi.nlm.nih.gov
[Figure, Paget Disease pelvis Contributed by Katherine Humphreys Paget's Disease Iliac Bone Radiology The blade of grass sign, also called the candle flame sign, refers to the lucent leading edge in a long bone seen during the lytic phase. Hillmann j, mesgarzadeh m, tang c, bonakdarpour a, reyes t. Paget’s disease is a disease of osteoclasts that commonly affects the pelvis in an asymmetric distribution, more frequently on the right. The diagnosis is. Paget's Disease Iliac Bone Radiology.
From www.msdmanuals.com
Image XRay of the Pelvis in Paget Disease MSD Manual Professional Paget's Disease Iliac Bone Radiology This article reviews the demographics, basic pathophysiology, natural history, and clinical presentation of. Paget’s disease of bone is characterized by an excessive and abnormal remodelling of bone. Paget’s disease is a metabolic bone disorder affecting the elderly characterized by bone resorption followed by compensatory bone formation. The diagnosis is clinical, supported by biochemical tests and plain radiographs. The new bone. Paget's Disease Iliac Bone Radiology.
From www.sciencephoto.com
Hips in Paget's disease, CT scan Stock Image C029/9912 Science Paget's Disease Iliac Bone Radiology Paget’s disease of bone is characterized by an excessive and abnormal remodelling of bone. In the active phase of the disease, there is brisk. The new bone is weaker, which may lead to deformities. The blade of grass sign, also called the candle flame sign, refers to the lucent leading edge in a long bone seen during the lytic phase.. Paget's Disease Iliac Bone Radiology.
From www.ajronline.org
Imaging of Paget Disease of Bone and Its Musculoskeletal Complications Paget's Disease Iliac Bone Radiology The diagnosis is clinical, supported by biochemical tests and plain radiographs. Paget’s disease of bone is characterized by an excessive and abnormal remodelling of bone. The blade of grass sign, also called the candle flame sign, refers to the lucent leading edge in a long bone seen during the lytic phase. The new bone is weaker, which may lead to. Paget's Disease Iliac Bone Radiology.
From www.researchgate.net
Paget’s disease. Osteoblastic activity in the right iliac bone on... Paget's Disease Iliac Bone Radiology In the active phase of the disease, there is brisk. The new bone is weaker, which may lead to deformities. Paget’s disease of bone is characterized by an excessive and abnormal remodelling of bone. Paget’s disease is a disease of osteoclasts that commonly affects the pelvis in an asymmetric distribution, more frequently on the right. Paget’s disease is a metabolic. Paget's Disease Iliac Bone Radiology.
From pregnanthealthnl.blogspot.com
Paget's Disease X Ray Pregnant Health Tips Paget's Disease Iliac Bone Radiology The diagnosis is clinical, supported by biochemical tests and plain radiographs. The new bone is weaker, which may lead to deformities. Hillmann j, mesgarzadeh m, tang c, bonakdarpour a, reyes t. Paget’s disease is a metabolic bone disorder affecting the elderly characterized by bone resorption followed by compensatory bone formation. The blade of grass sign, also called the candle flame. Paget's Disease Iliac Bone Radiology.
From www.youtube.com
Paget Disease of Bone radiology doctor bones YouTube Paget's Disease Iliac Bone Radiology This article reviews the demographics, basic pathophysiology, natural history, and clinical presentation of. The diagnosis is clinical, supported by biochemical tests and plain radiographs. Paget’s disease is a disease of osteoclasts that commonly affects the pelvis in an asymmetric distribution, more frequently on the right. The blade of grass sign, also called the candle flame sign, refers to the lucent. Paget's Disease Iliac Bone Radiology.
From www.ncbi.nlm.nih.gov
Paget’s Disease of Bone Endotext NCBI Bookshelf Paget's Disease Iliac Bone Radiology Paget’s disease of bone is characterized by an excessive and abnormal remodelling of bone. Paget’s disease is a disease of osteoclasts that commonly affects the pelvis in an asymmetric distribution, more frequently on the right. The new bone is weaker, which may lead to deformities. Paget’s disease is a metabolic bone disorder affecting the elderly characterized by bone resorption followed. Paget's Disease Iliac Bone Radiology.
From www.learningradiology.com
Learning Radiology in Paget Disease Paget's Disease Iliac Bone Radiology Hillmann j, mesgarzadeh m, tang c, bonakdarpour a, reyes t. The new bone is weaker, which may lead to deformities. Paget’s disease is a metabolic bone disorder affecting the elderly characterized by bone resorption followed by compensatory bone formation. In the active phase of the disease, there is brisk. This article reviews the demographics, basic pathophysiology, natural history, and clinical. Paget's Disease Iliac Bone Radiology.
From www.researchgate.net
An Axial CT of Pagetic Bone Containing a Metastasis An axial Paget's Disease Iliac Bone Radiology The diagnosis is clinical, supported by biochemical tests and plain radiographs. In the active phase of the disease, there is brisk. This article reviews the demographics, basic pathophysiology, natural history, and clinical presentation of. The blade of grass sign, also called the candle flame sign, refers to the lucent leading edge in a long bone seen during the lytic phase.. Paget's Disease Iliac Bone Radiology.
From tl.sifsof.com
Ultrasound Scanning para sa Paget's Disease of the Bone SIFSOF Paget's Disease Iliac Bone Radiology Paget’s disease is a metabolic bone disorder affecting the elderly characterized by bone resorption followed by compensatory bone formation. This article reviews the demographics, basic pathophysiology, natural history, and clinical presentation of. Paget’s disease of bone is characterized by an excessive and abnormal remodelling of bone. The new bone is weaker, which may lead to deformities. The blade of grass. Paget's Disease Iliac Bone Radiology.
From www.ajronline.org
Imaging of Paget Disease of Bone and Its Musculoskeletal Complications Paget's Disease Iliac Bone Radiology In the active phase of the disease, there is brisk. Paget’s disease is a metabolic bone disorder affecting the elderly characterized by bone resorption followed by compensatory bone formation. Paget’s disease is a disease of osteoclasts that commonly affects the pelvis in an asymmetric distribution, more frequently on the right. The new bone is weaker, which may lead to deformities.. Paget's Disease Iliac Bone Radiology.
From www.sciencephoto.com
Paget's disease of bone, Xray Stock Image C021/3140 Science Paget's Disease Iliac Bone Radiology The new bone is weaker, which may lead to deformities. Hillmann j, mesgarzadeh m, tang c, bonakdarpour a, reyes t. In the active phase of the disease, there is brisk. The blade of grass sign, also called the candle flame sign, refers to the lucent leading edge in a long bone seen during the lytic phase. This article reviews the. Paget's Disease Iliac Bone Radiology.
From www.ajronline.org
Imaging of Paget Disease of Bone and Its Musculoskeletal Complications Paget's Disease Iliac Bone Radiology The new bone is weaker, which may lead to deformities. This article reviews the demographics, basic pathophysiology, natural history, and clinical presentation of. Paget’s disease is a disease of osteoclasts that commonly affects the pelvis in an asymmetric distribution, more frequently on the right. In the active phase of the disease, there is brisk. Paget’s disease of bone is characterized. Paget's Disease Iliac Bone Radiology.
From orthoinfo.aaos.org
Paget's Disease of Bone Symptoms and Treatment OrthoInfo AAOS Paget's Disease Iliac Bone Radiology Hillmann j, mesgarzadeh m, tang c, bonakdarpour a, reyes t. In the active phase of the disease, there is brisk. Paget’s disease is a disease of osteoclasts that commonly affects the pelvis in an asymmetric distribution, more frequently on the right. The blade of grass sign, also called the candle flame sign, refers to the lucent leading edge in a. Paget's Disease Iliac Bone Radiology.
From www.wjgnet.com
Paget’s disease of bone Report of 11 cases Paget's Disease Iliac Bone Radiology The diagnosis is clinical, supported by biochemical tests and plain radiographs. This article reviews the demographics, basic pathophysiology, natural history, and clinical presentation of. Hillmann j, mesgarzadeh m, tang c, bonakdarpour a, reyes t. The new bone is weaker, which may lead to deformities. Paget’s disease is a metabolic bone disorder affecting the elderly characterized by bone resorption followed by. Paget's Disease Iliac Bone Radiology.
From www.pinterest.com
Paget disease Radiology Case Pagets disease Paget's Disease Iliac Bone Radiology This article reviews the demographics, basic pathophysiology, natural history, and clinical presentation of. The new bone is weaker, which may lead to deformities. The blade of grass sign, also called the candle flame sign, refers to the lucent leading edge in a long bone seen during the lytic phase. Hillmann j, mesgarzadeh m, tang c, bonakdarpour a, reyes t. Paget’s. Paget's Disease Iliac Bone Radiology.
From br.pinterest.com
Paget disease of the knee Radiology Case Pagets Paget's Disease Iliac Bone Radiology Paget’s disease is a metabolic bone disorder affecting the elderly characterized by bone resorption followed by compensatory bone formation. Paget’s disease of bone is characterized by an excessive and abnormal remodelling of bone. Paget’s disease is a disease of osteoclasts that commonly affects the pelvis in an asymmetric distribution, more frequently on the right. The new bone is weaker, which. Paget's Disease Iliac Bone Radiology.
From www.clinicalradiologyonline.net
Imaging Paget’s disease of bone—from head to toe Clinical Radiology Paget's Disease Iliac Bone Radiology In the active phase of the disease, there is brisk. Hillmann j, mesgarzadeh m, tang c, bonakdarpour a, reyes t. The new bone is weaker, which may lead to deformities. The blade of grass sign, also called the candle flame sign, refers to the lucent leading edge in a long bone seen during the lytic phase. Paget’s disease is a. Paget's Disease Iliac Bone Radiology.
From www.ncbi.nlm.nih.gov
Paget’s Disease of Bone Endotext NCBI Bookshelf Paget's Disease Iliac Bone Radiology Paget’s disease is a disease of osteoclasts that commonly affects the pelvis in an asymmetric distribution, more frequently on the right. This article reviews the demographics, basic pathophysiology, natural history, and clinical presentation of. In the active phase of the disease, there is brisk. The blade of grass sign, also called the candle flame sign, refers to the lucent leading. Paget's Disease Iliac Bone Radiology.
From www.thelancet.com
Pathogenesis and management of Paget's disease of bone The Lancet Paget's Disease Iliac Bone Radiology Paget’s disease is a disease of osteoclasts that commonly affects the pelvis in an asymmetric distribution, more frequently on the right. In the active phase of the disease, there is brisk. The diagnosis is clinical, supported by biochemical tests and plain radiographs. Hillmann j, mesgarzadeh m, tang c, bonakdarpour a, reyes t. The blade of grass sign, also called the. Paget's Disease Iliac Bone Radiology.
From www.researchgate.net
Transport of Paget disease from iliac crest bone graft donor site to Paget's Disease Iliac Bone Radiology Hillmann j, mesgarzadeh m, tang c, bonakdarpour a, reyes t. In the active phase of the disease, there is brisk. The new bone is weaker, which may lead to deformities. This article reviews the demographics, basic pathophysiology, natural history, and clinical presentation of. Paget’s disease is a metabolic bone disorder affecting the elderly characterized by bone resorption followed by compensatory. Paget's Disease Iliac Bone Radiology.
From www.ajronline.org
Imaging of Paget Disease of Bone and Its Musculoskeletal Complications Paget's Disease Iliac Bone Radiology Paget’s disease of bone is characterized by an excessive and abnormal remodelling of bone. In the active phase of the disease, there is brisk. The new bone is weaker, which may lead to deformities. Paget’s disease is a metabolic bone disorder affecting the elderly characterized by bone resorption followed by compensatory bone formation. Hillmann j, mesgarzadeh m, tang c, bonakdarpour. Paget's Disease Iliac Bone Radiology.
From www.pinterest.com
Pagets is a chronic metabolic bone disorder , found mainly in middle Paget's Disease Iliac Bone Radiology In the active phase of the disease, there is brisk. Paget’s disease is a metabolic bone disorder affecting the elderly characterized by bone resorption followed by compensatory bone formation. This article reviews the demographics, basic pathophysiology, natural history, and clinical presentation of. The blade of grass sign, also called the candle flame sign, refers to the lucent leading edge in. Paget's Disease Iliac Bone Radiology.
From www.ajronline.org
Imaging of Paget Disease of Bone and Its Musculoskeletal Complications Paget's Disease Iliac Bone Radiology In the active phase of the disease, there is brisk. The diagnosis is clinical, supported by biochemical tests and plain radiographs. Paget’s disease of bone is characterized by an excessive and abnormal remodelling of bone. The blade of grass sign, also called the candle flame sign, refers to the lucent leading edge in a long bone seen during the lytic. Paget's Disease Iliac Bone Radiology.
From www.ncbi.nlm.nih.gov
Paget’s Disease of Bone Endotext NCBI Bookshelf Paget's Disease Iliac Bone Radiology The new bone is weaker, which may lead to deformities. Hillmann j, mesgarzadeh m, tang c, bonakdarpour a, reyes t. The diagnosis is clinical, supported by biochemical tests and plain radiographs. The blade of grass sign, also called the candle flame sign, refers to the lucent leading edge in a long bone seen during the lytic phase. This article reviews. Paget's Disease Iliac Bone Radiology.
From learningradiology.com
Learning Radiology paget, disease, paget's, pelvis Paget's Disease Iliac Bone Radiology The blade of grass sign, also called the candle flame sign, refers to the lucent leading edge in a long bone seen during the lytic phase. The new bone is weaker, which may lead to deformities. Paget’s disease of bone is characterized by an excessive and abnormal remodelling of bone. In the active phase of the disease, there is brisk.. Paget's Disease Iliac Bone Radiology.
From sumerdoc.blogspot.com
Paget's Disease of Bone Sumer's Radiology Blog Paget's Disease Iliac Bone Radiology The blade of grass sign, also called the candle flame sign, refers to the lucent leading edge in a long bone seen during the lytic phase. In the active phase of the disease, there is brisk. Paget’s disease is a metabolic bone disorder affecting the elderly characterized by bone resorption followed by compensatory bone formation. Hillmann j, mesgarzadeh m, tang. Paget's Disease Iliac Bone Radiology.
From www.researchgate.net
Paget’s disease. Osteoblastic activity in the right iliac bone on Paget's Disease Iliac Bone Radiology Paget’s disease is a metabolic bone disorder affecting the elderly characterized by bone resorption followed by compensatory bone formation. The new bone is weaker, which may lead to deformities. Paget’s disease of bone is characterized by an excessive and abnormal remodelling of bone. The blade of grass sign, also called the candle flame sign, refers to the lucent leading edge. Paget's Disease Iliac Bone Radiology.
From www.youtube.com
Paget's Disease. How to Recognize (Medical Documentary ) YouTube Paget's Disease Iliac Bone Radiology The diagnosis is clinical, supported by biochemical tests and plain radiographs. This article reviews the demographics, basic pathophysiology, natural history, and clinical presentation of. The blade of grass sign, also called the candle flame sign, refers to the lucent leading edge in a long bone seen during the lytic phase. Hillmann j, mesgarzadeh m, tang c, bonakdarpour a, reyes t.. Paget's Disease Iliac Bone Radiology.
From www.accessmedicinenetwork.com
Paget Disease AccessMedicine Network Paget's Disease Iliac Bone Radiology In the active phase of the disease, there is brisk. Paget’s disease is a metabolic bone disorder affecting the elderly characterized by bone resorption followed by compensatory bone formation. Paget’s disease is a disease of osteoclasts that commonly affects the pelvis in an asymmetric distribution, more frequently on the right. The blade of grass sign, also called the candle flame. Paget's Disease Iliac Bone Radiology.
From www.radshare.net
Paget disease bone scan Radiology Case Paget's Disease Iliac Bone Radiology Paget’s disease is a disease of osteoclasts that commonly affects the pelvis in an asymmetric distribution, more frequently on the right. The diagnosis is clinical, supported by biochemical tests and plain radiographs. The blade of grass sign, also called the candle flame sign, refers to the lucent leading edge in a long bone seen during the lytic phase. In the. Paget's Disease Iliac Bone Radiology.
From pubs.rsna.org
Paget Disease of Bone RadioGraphics Paget's Disease Iliac Bone Radiology Hillmann j, mesgarzadeh m, tang c, bonakdarpour a, reyes t. This article reviews the demographics, basic pathophysiology, natural history, and clinical presentation of. The blade of grass sign, also called the candle flame sign, refers to the lucent leading edge in a long bone seen during the lytic phase. The diagnosis is clinical, supported by biochemical tests and plain radiographs.. Paget's Disease Iliac Bone Radiology.
From www.researchgate.net
Axial computed tomography of the pelvis showing left ilium cortical Paget's Disease Iliac Bone Radiology The diagnosis is clinical, supported by biochemical tests and plain radiographs. Paget’s disease is a disease of osteoclasts that commonly affects the pelvis in an asymmetric distribution, more frequently on the right. Paget’s disease is a metabolic bone disorder affecting the elderly characterized by bone resorption followed by compensatory bone formation. Paget’s disease of bone is characterized by an excessive. Paget's Disease Iliac Bone Radiology.