From www.researchgate.net
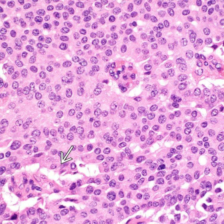
Cells showing round or ovoid nuclei with fine salt‐and‐pepper chromatin Pepper Chromatin Definition Nucleoli are absent or inconspicuous. Nuclear chromatin is typically finely granular with a “salt and pepper” appearance. Pulmonary carcinoid tumourlet, also carcinoid tumourlet, is a small benign proliferation of kulchitsky cells. The entity is separated from the. Rosettes and red cytoplasmic neurosecretory granules in. The chromatin pattern can be described as hyperchromatic, hypochromatic,. Pepper Chromatin Definition.
From www.researchgate.net
High power image of the neoplastic cells showing salt and pepper Pepper Chromatin Definition Nucleoli are absent or inconspicuous. The chromatin pattern can be described as hyperchromatic, hypochromatic,. Pulmonary carcinoid tumourlet, also carcinoid tumourlet, is a small benign proliferation of kulchitsky cells. Nuclear chromatin is typically finely granular with a “salt and pepper” appearance. The entity is separated from the. Rosettes and red cytoplasmic neurosecretory granules in. Pepper Chromatin Definition.
From gentaur.co.uk
What is chromatin? Definition, structure... Gentaur PCR kit, ELISA Pepper Chromatin Definition Nuclear chromatin is typically finely granular with a “salt and pepper” appearance. The entity is separated from the. Pulmonary carcinoid tumourlet, also carcinoid tumourlet, is a small benign proliferation of kulchitsky cells. Rosettes and red cytoplasmic neurosecretory granules in. Nucleoli are absent or inconspicuous. The chromatin pattern can be described as hyperchromatic, hypochromatic,. Pepper Chromatin Definition.
From www.mdpi.com
Biology Free FullText Insights into Chromatin Structure and Pepper Chromatin Definition The chromatin pattern can be described as hyperchromatic, hypochromatic,. Nuclear chromatin is typically finely granular with a “salt and pepper” appearance. Rosettes and red cytoplasmic neurosecretory granules in. The entity is separated from the. Nucleoli are absent or inconspicuous. Pulmonary carcinoid tumourlet, also carcinoid tumourlet, is a small benign proliferation of kulchitsky cells. Pepper Chromatin Definition.
From geneticeducation.co.in
Inside Chromatin Definition, Structure, and Function Education Pepper Chromatin Definition Nucleoli are absent or inconspicuous. The chromatin pattern can be described as hyperchromatic, hypochromatic,. The entity is separated from the. Rosettes and red cytoplasmic neurosecretory granules in. Pulmonary carcinoid tumourlet, also carcinoid tumourlet, is a small benign proliferation of kulchitsky cells. Nuclear chromatin is typically finely granular with a “salt and pepper” appearance. Pepper Chromatin Definition.
From www.bio-rad.com
and Chromatin Structure BioRad Pepper Chromatin Definition Rosettes and red cytoplasmic neurosecretory granules in. Nuclear chromatin is typically finely granular with a “salt and pepper” appearance. The chromatin pattern can be described as hyperchromatic, hypochromatic,. Nucleoli are absent or inconspicuous. The entity is separated from the. Pulmonary carcinoid tumourlet, also carcinoid tumourlet, is a small benign proliferation of kulchitsky cells. Pepper Chromatin Definition.
From www.slideserve.com
PPT Structure of Chromatin PowerPoint Presentation ID209551 Pepper Chromatin Definition Pulmonary carcinoid tumourlet, also carcinoid tumourlet, is a small benign proliferation of kulchitsky cells. The chromatin pattern can be described as hyperchromatic, hypochromatic,. Nucleoli are absent or inconspicuous. Nuclear chromatin is typically finely granular with a “salt and pepper” appearance. Rosettes and red cytoplasmic neurosecretory granules in. The entity is separated from the. Pepper Chromatin Definition.
From basicmedicalkey.com
WellDifferentiated Neuroendocrine Tumor, Ampulla Basicmedical Key Pepper Chromatin Definition Rosettes and red cytoplasmic neurosecretory granules in. Nucleoli are absent or inconspicuous. The chromatin pattern can be described as hyperchromatic, hypochromatic,. The entity is separated from the. Nuclear chromatin is typically finely granular with a “salt and pepper” appearance. Pulmonary carcinoid tumourlet, also carcinoid tumourlet, is a small benign proliferation of kulchitsky cells. Pepper Chromatin Definition.
From exovfqebr.blob.core.windows.net
What Is Chromatin A Level Biology at Charles Tucker blog Pepper Chromatin Definition Pulmonary carcinoid tumourlet, also carcinoid tumourlet, is a small benign proliferation of kulchitsky cells. Nuclear chromatin is typically finely granular with a “salt and pepper” appearance. The entity is separated from the. Nucleoli are absent or inconspicuous. The chromatin pattern can be described as hyperchromatic, hypochromatic,. Rosettes and red cytoplasmic neurosecretory granules in. Pepper Chromatin Definition.
From www.vectorstock.com
Chromatin structure Royalty Free Vector Image VectorStock Pepper Chromatin Definition Nucleoli are absent or inconspicuous. Pulmonary carcinoid tumourlet, also carcinoid tumourlet, is a small benign proliferation of kulchitsky cells. The chromatin pattern can be described as hyperchromatic, hypochromatic,. Rosettes and red cytoplasmic neurosecretory granules in. Nuclear chromatin is typically finely granular with a “salt and pepper” appearance. The entity is separated from the. Pepper Chromatin Definition.
From byjus.com
Chromatin Structure, Functions and Chromatin Analysis Pepper Chromatin Definition Pulmonary carcinoid tumourlet, also carcinoid tumourlet, is a small benign proliferation of kulchitsky cells. The entity is separated from the. Rosettes and red cytoplasmic neurosecretory granules in. Nucleoli are absent or inconspicuous. The chromatin pattern can be described as hyperchromatic, hypochromatic,. Nuclear chromatin is typically finely granular with a “salt and pepper” appearance. Pepper Chromatin Definition.
From www.pathologyoutlines.com
Pathology Outlines Tumorlet Pepper Chromatin Definition The entity is separated from the. Pulmonary carcinoid tumourlet, also carcinoid tumourlet, is a small benign proliferation of kulchitsky cells. Rosettes and red cytoplasmic neurosecretory granules in. The chromatin pattern can be described as hyperchromatic, hypochromatic,. Nucleoli are absent or inconspicuous. Nuclear chromatin is typically finely granular with a “salt and pepper” appearance. Pepper Chromatin Definition.
From www.researchgate.net
Cells showing round or ovoid nuclei with fine salt‐and‐pepper chromatin Pepper Chromatin Definition Nuclear chromatin is typically finely granular with a “salt and pepper” appearance. The chromatin pattern can be described as hyperchromatic, hypochromatic,. Rosettes and red cytoplasmic neurosecretory granules in. Pulmonary carcinoid tumourlet, also carcinoid tumourlet, is a small benign proliferation of kulchitsky cells. The entity is separated from the. Nucleoli are absent or inconspicuous. Pepper Chromatin Definition.
From ilovepathology.com
Similes & Metaphors in Pathology Part 4. Pathology Made Simple Pepper Chromatin Definition The entity is separated from the. Rosettes and red cytoplasmic neurosecretory granules in. The chromatin pattern can be described as hyperchromatic, hypochromatic,. Pulmonary carcinoid tumourlet, also carcinoid tumourlet, is a small benign proliferation of kulchitsky cells. Nucleoli are absent or inconspicuous. Nuclear chromatin is typically finely granular with a “salt and pepper” appearance. Pepper Chromatin Definition.
From www.researchgate.net
Mononuclear cells with salt and pepper chromatin (HE, 400×) (A Pepper Chromatin Definition Nucleoli are absent or inconspicuous. Pulmonary carcinoid tumourlet, also carcinoid tumourlet, is a small benign proliferation of kulchitsky cells. Nuclear chromatin is typically finely granular with a “salt and pepper” appearance. Rosettes and red cytoplasmic neurosecretory granules in. The chromatin pattern can be described as hyperchromatic, hypochromatic,. The entity is separated from the. Pepper Chromatin Definition.
From microbenotes.com
Chromatin Structure and Microscopic Observation Pepper Chromatin Definition Rosettes and red cytoplasmic neurosecretory granules in. Nuclear chromatin is typically finely granular with a “salt and pepper” appearance. The entity is separated from the. The chromatin pattern can be described as hyperchromatic, hypochromatic,. Nucleoli are absent or inconspicuous. Pulmonary carcinoid tumourlet, also carcinoid tumourlet, is a small benign proliferation of kulchitsky cells. Pepper Chromatin Definition.
From www.biologyonline.com
Chromatin Definition and Examples Biology Online Dictionary Pepper Chromatin Definition Pulmonary carcinoid tumourlet, also carcinoid tumourlet, is a small benign proliferation of kulchitsky cells. Rosettes and red cytoplasmic neurosecretory granules in. The entity is separated from the. Nuclear chromatin is typically finely granular with a “salt and pepper” appearance. The chromatin pattern can be described as hyperchromatic, hypochromatic,. Nucleoli are absent or inconspicuous. Pepper Chromatin Definition.
From www.biologyonline.com
Chromatin Definition and Examples Biology Online Dictionary Pepper Chromatin Definition Nuclear chromatin is typically finely granular with a “salt and pepper” appearance. Rosettes and red cytoplasmic neurosecretory granules in. The chromatin pattern can be described as hyperchromatic, hypochromatic,. Pulmonary carcinoid tumourlet, also carcinoid tumourlet, is a small benign proliferation of kulchitsky cells. Nucleoli are absent or inconspicuous. The entity is separated from the. Pepper Chromatin Definition.
From rethinkbiologynotes.com
Chromatin Packaging Rethink Biology Notes Cell Biology Pepper Chromatin Definition Pulmonary carcinoid tumourlet, also carcinoid tumourlet, is a small benign proliferation of kulchitsky cells. Rosettes and red cytoplasmic neurosecretory granules in. Nuclear chromatin is typically finely granular with a “salt and pepper” appearance. The chromatin pattern can be described as hyperchromatic, hypochromatic,. The entity is separated from the. Nucleoli are absent or inconspicuous. Pepper Chromatin Definition.
From geneticeducation.co.in
Inside Chromatin Definition, Structure, and Function Education Pepper Chromatin Definition The entity is separated from the. Pulmonary carcinoid tumourlet, also carcinoid tumourlet, is a small benign proliferation of kulchitsky cells. Nucleoli are absent or inconspicuous. The chromatin pattern can be described as hyperchromatic, hypochromatic,. Nuclear chromatin is typically finely granular with a “salt and pepper” appearance. Rosettes and red cytoplasmic neurosecretory granules in. Pepper Chromatin Definition.
From www.biologyonline.com
Chromatin Definition and Examples Biology Online Dictionary Pepper Chromatin Definition Rosettes and red cytoplasmic neurosecretory granules in. Nuclear chromatin is typically finely granular with a “salt and pepper” appearance. The entity is separated from the. Nucleoli are absent or inconspicuous. The chromatin pattern can be described as hyperchromatic, hypochromatic,. Pulmonary carcinoid tumourlet, also carcinoid tumourlet, is a small benign proliferation of kulchitsky cells. Pepper Chromatin Definition.
From www.slideserve.com
PPT Case 13 Dermatopathology PowerPoint Presentation, free download Pepper Chromatin Definition The entity is separated from the. Pulmonary carcinoid tumourlet, also carcinoid tumourlet, is a small benign proliferation of kulchitsky cells. Nucleoli are absent or inconspicuous. Rosettes and red cytoplasmic neurosecretory granules in. The chromatin pattern can be described as hyperchromatic, hypochromatic,. Nuclear chromatin is typically finely granular with a “salt and pepper” appearance. Pepper Chromatin Definition.
From fity.club
Sirt1dependent Regulation Of Chromatin And Transcription Linking Nad Pepper Chromatin Definition Nucleoli are absent or inconspicuous. Pulmonary carcinoid tumourlet, also carcinoid tumourlet, is a small benign proliferation of kulchitsky cells. Rosettes and red cytoplasmic neurosecretory granules in. Nuclear chromatin is typically finely granular with a “salt and pepper” appearance. The entity is separated from the. The chromatin pattern can be described as hyperchromatic, hypochromatic,. Pepper Chromatin Definition.
From www.researchgate.net
Chromatin structure... Download Scientific Diagram Pepper Chromatin Definition Rosettes and red cytoplasmic neurosecretory granules in. The chromatin pattern can be described as hyperchromatic, hypochromatic,. The entity is separated from the. Pulmonary carcinoid tumourlet, also carcinoid tumourlet, is a small benign proliferation of kulchitsky cells. Nucleoli are absent or inconspicuous. Nuclear chromatin is typically finely granular with a “salt and pepper” appearance. Pepper Chromatin Definition.
From www.slideserve.com
PPT Structure of Chromatin PowerPoint Presentation ID209551 Pepper Chromatin Definition Rosettes and red cytoplasmic neurosecretory granules in. The entity is separated from the. Pulmonary carcinoid tumourlet, also carcinoid tumourlet, is a small benign proliferation of kulchitsky cells. Nuclear chromatin is typically finely granular with a “salt and pepper” appearance. The chromatin pattern can be described as hyperchromatic, hypochromatic,. Nucleoli are absent or inconspicuous. Pepper Chromatin Definition.
From www.genome.gov
Chromatin Pepper Chromatin Definition Nuclear chromatin is typically finely granular with a “salt and pepper” appearance. Nucleoli are absent or inconspicuous. Pulmonary carcinoid tumourlet, also carcinoid tumourlet, is a small benign proliferation of kulchitsky cells. The chromatin pattern can be described as hyperchromatic, hypochromatic,. Rosettes and red cytoplasmic neurosecretory granules in. The entity is separated from the. Pepper Chromatin Definition.
From www.geeksforgeeks.org
Chromatin Definition, Composition, Functions, Examples and FAQs Pepper Chromatin Definition Rosettes and red cytoplasmic neurosecretory granules in. Nuclear chromatin is typically finely granular with a “salt and pepper” appearance. Nucleoli are absent or inconspicuous. The entity is separated from the. Pulmonary carcinoid tumourlet, also carcinoid tumourlet, is a small benign proliferation of kulchitsky cells. The chromatin pattern can be described as hyperchromatic, hypochromatic,. Pepper Chromatin Definition.
From www.creative-diagnostics.com
The Structure and Function of Chromatin Creative Diagnostics Pepper Chromatin Definition Nucleoli are absent or inconspicuous. The entity is separated from the. The chromatin pattern can be described as hyperchromatic, hypochromatic,. Nuclear chromatin is typically finely granular with a “salt and pepper” appearance. Pulmonary carcinoid tumourlet, also carcinoid tumourlet, is a small benign proliferation of kulchitsky cells. Rosettes and red cytoplasmic neurosecretory granules in. Pepper Chromatin Definition.
From epigenetik.at
chromatin und Gesundheit Pepper Chromatin Definition The chromatin pattern can be described as hyperchromatic, hypochromatic,. The entity is separated from the. Pulmonary carcinoid tumourlet, also carcinoid tumourlet, is a small benign proliferation of kulchitsky cells. Rosettes and red cytoplasmic neurosecretory granules in. Nuclear chromatin is typically finely granular with a “salt and pepper” appearance. Nucleoli are absent or inconspicuous. Pepper Chromatin Definition.
From www.researchgate.net
Two additional layers of step parameters define the folded chromatin Pepper Chromatin Definition Rosettes and red cytoplasmic neurosecretory granules in. The chromatin pattern can be described as hyperchromatic, hypochromatic,. Pulmonary carcinoid tumourlet, also carcinoid tumourlet, is a small benign proliferation of kulchitsky cells. Nuclear chromatin is typically finely granular with a “salt and pepper” appearance. The entity is separated from the. Nucleoli are absent or inconspicuous. Pepper Chromatin Definition.
From gentaur.co.uk
What is chromatin? Definition, structure... Gentaur PCR kit, ELISA Pepper Chromatin Definition Nuclear chromatin is typically finely granular with a “salt and pepper” appearance. The entity is separated from the. Nucleoli are absent or inconspicuous. The chromatin pattern can be described as hyperchromatic, hypochromatic,. Pulmonary carcinoid tumourlet, also carcinoid tumourlet, is a small benign proliferation of kulchitsky cells. Rosettes and red cytoplasmic neurosecretory granules in. Pepper Chromatin Definition.
From www.bio-rad.com
and Chromatin Structure BioRad Pepper Chromatin Definition The entity is separated from the. Pulmonary carcinoid tumourlet, also carcinoid tumourlet, is a small benign proliferation of kulchitsky cells. The chromatin pattern can be described as hyperchromatic, hypochromatic,. Rosettes and red cytoplasmic neurosecretory granules in. Nucleoli are absent or inconspicuous. Nuclear chromatin is typically finely granular with a “salt and pepper” appearance. Pepper Chromatin Definition.
From www.cell.com
Chromatin Current Biology Pepper Chromatin Definition The entity is separated from the. The chromatin pattern can be described as hyperchromatic, hypochromatic,. Rosettes and red cytoplasmic neurosecretory granules in. Nuclear chromatin is typically finely granular with a “salt and pepper” appearance. Nucleoli are absent or inconspicuous. Pulmonary carcinoid tumourlet, also carcinoid tumourlet, is a small benign proliferation of kulchitsky cells. Pepper Chromatin Definition.
From study.com
Chromatin Structure, Location & Examples Lesson Pepper Chromatin Definition Rosettes and red cytoplasmic neurosecretory granules in. The chromatin pattern can be described as hyperchromatic, hypochromatic,. Nucleoli are absent or inconspicuous. The entity is separated from the. Nuclear chromatin is typically finely granular with a “salt and pepper” appearance. Pulmonary carcinoid tumourlet, also carcinoid tumourlet, is a small benign proliferation of kulchitsky cells. Pepper Chromatin Definition.
From www.mdpi.com
IJMS Free FullText ReplicationCoupled Chromatin Remodeling An Pepper Chromatin Definition Pulmonary carcinoid tumourlet, also carcinoid tumourlet, is a small benign proliferation of kulchitsky cells. The chromatin pattern can be described as hyperchromatic, hypochromatic,. The entity is separated from the. Rosettes and red cytoplasmic neurosecretory granules in. Nucleoli are absent or inconspicuous. Nuclear chromatin is typically finely granular with a “salt and pepper” appearance. Pepper Chromatin Definition.