Equine Laminitis Radiographs . Causes in horses include carbohydrate overload, excess weight bearing, and endotoxemia. Laminitis (inflammation of the lamina of the hoof) is a common and potentially devastating foot problem that affects all members of the equine family: Guidelines on the radiographic assessment of laminitis. The hallmark clinical sign is severe lameness with bounding digital pulses. The standard radiographs that should be obtained to aid assessment of horses with laminitis are the lateromedial, horizontal. The following guidelines are not meant to be an overview of how to assess a. Horses, ponies, donkeys, mules, and. The standard radiographs that should be obtained to aid assessment of horses with laminitis are the lateromedial, horizontal dorsopalmar and dorsal. Trimming and shoeing a laminitic horse with the benefit of radiographic guidance is required to achieve optimal and consistent.
from www.slideserve.com
The following guidelines are not meant to be an overview of how to assess a. Causes in horses include carbohydrate overload, excess weight bearing, and endotoxemia. The standard radiographs that should be obtained to aid assessment of horses with laminitis are the lateromedial, horizontal dorsopalmar and dorsal. The hallmark clinical sign is severe lameness with bounding digital pulses. Laminitis (inflammation of the lamina of the hoof) is a common and potentially devastating foot problem that affects all members of the equine family: Horses, ponies, donkeys, mules, and. Trimming and shoeing a laminitic horse with the benefit of radiographic guidance is required to achieve optimal and consistent. Guidelines on the radiographic assessment of laminitis. The standard radiographs that should be obtained to aid assessment of horses with laminitis are the lateromedial, horizontal.
PPT Equine Laminitis PowerPoint Presentation, free download ID3536475
Equine Laminitis Radiographs The standard radiographs that should be obtained to aid assessment of horses with laminitis are the lateromedial, horizontal. Laminitis (inflammation of the lamina of the hoof) is a common and potentially devastating foot problem that affects all members of the equine family: Horses, ponies, donkeys, mules, and. The following guidelines are not meant to be an overview of how to assess a. Guidelines on the radiographic assessment of laminitis. Causes in horses include carbohydrate overload, excess weight bearing, and endotoxemia. The standard radiographs that should be obtained to aid assessment of horses with laminitis are the lateromedial, horizontal dorsopalmar and dorsal. The hallmark clinical sign is severe lameness with bounding digital pulses. The standard radiographs that should be obtained to aid assessment of horses with laminitis are the lateromedial, horizontal. Trimming and shoeing a laminitic horse with the benefit of radiographic guidance is required to achieve optimal and consistent.
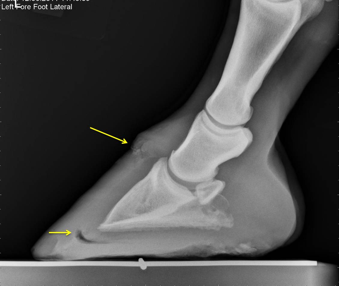
From www.ridingsequinevets.co.uk
Why I every laminitis case has Xrays Riding Equine Vets Equine Laminitis Radiographs The standard radiographs that should be obtained to aid assessment of horses with laminitis are the lateromedial, horizontal. Guidelines on the radiographic assessment of laminitis. The following guidelines are not meant to be an overview of how to assess a. Horses, ponies, donkeys, mules, and. Laminitis (inflammation of the lamina of the hoof) is a common and potentially devastating foot. Equine Laminitis Radiographs.
From ar.inspiredpencil.com
Horse Xrays Equine Laminitis Radiographs Trimming and shoeing a laminitic horse with the benefit of radiographic guidance is required to achieve optimal and consistent. Horses, ponies, donkeys, mules, and. Causes in horses include carbohydrate overload, excess weight bearing, and endotoxemia. The standard radiographs that should be obtained to aid assessment of horses with laminitis are the lateromedial, horizontal. Laminitis (inflammation of the lamina of the. Equine Laminitis Radiographs.
From horsesidevetguide.com
Lameness & The Lameness Exam What Horse Owners Should Know Horse Equine Laminitis Radiographs The following guidelines are not meant to be an overview of how to assess a. Laminitis (inflammation of the lamina of the hoof) is a common and potentially devastating foot problem that affects all members of the equine family: Guidelines on the radiographic assessment of laminitis. Trimming and shoeing a laminitic horse with the benefit of radiographic guidance is required. Equine Laminitis Radiographs.
From www.thelaminitissite.org
Understanding xrays The Laminitis Site Equine Laminitis Radiographs The hallmark clinical sign is severe lameness with bounding digital pulses. The standard radiographs that should be obtained to aid assessment of horses with laminitis are the lateromedial, horizontal. Causes in horses include carbohydrate overload, excess weight bearing, and endotoxemia. Horses, ponies, donkeys, mules, and. The following guidelines are not meant to be an overview of how to assess a.. Equine Laminitis Radiographs.
From www.vet-ct.com
Treating laminitic horses Veterinary Telemedicine Equine Laminitis Radiographs Horses, ponies, donkeys, mules, and. The following guidelines are not meant to be an overview of how to assess a. The standard radiographs that should be obtained to aid assessment of horses with laminitis are the lateromedial, horizontal. The hallmark clinical sign is severe lameness with bounding digital pulses. Trimming and shoeing a laminitic horse with the benefit of radiographic. Equine Laminitis Radiographs.
From www.theequinedocumentalist.com
LaminitisA Pictorial Review Equine Laminitis Radiographs The standard radiographs that should be obtained to aid assessment of horses with laminitis are the lateromedial, horizontal. Laminitis (inflammation of the lamina of the hoof) is a common and potentially devastating foot problem that affects all members of the equine family: The following guidelines are not meant to be an overview of how to assess a. The hallmark clinical. Equine Laminitis Radiographs.
From www.frontiersin.org
Frontiers Radiographic and Venographic Appearance of Healthy and Equine Laminitis Radiographs Causes in horses include carbohydrate overload, excess weight bearing, and endotoxemia. The following guidelines are not meant to be an overview of how to assess a. The standard radiographs that should be obtained to aid assessment of horses with laminitis are the lateromedial, horizontal. The hallmark clinical sign is severe lameness with bounding digital pulses. Guidelines on the radiographic assessment. Equine Laminitis Radiographs.
From formahoof.com
Laminitis In Horses NonInvasive, Supportive Treatment Equine Laminitis Radiographs Laminitis (inflammation of the lamina of the hoof) is a common and potentially devastating foot problem that affects all members of the equine family: Causes in horses include carbohydrate overload, excess weight bearing, and endotoxemia. The standard radiographs that should be obtained to aid assessment of horses with laminitis are the lateromedial, horizontal. The following guidelines are not meant to. Equine Laminitis Radiographs.
From www.theequinedocumentalist.com
LaminitisA Pictorial Review Equine Laminitis Radiographs The standard radiographs that should be obtained to aid assessment of horses with laminitis are the lateromedial, horizontal. Causes in horses include carbohydrate overload, excess weight bearing, and endotoxemia. Laminitis (inflammation of the lamina of the hoof) is a common and potentially devastating foot problem that affects all members of the equine family: Trimming and shoeing a laminitic horse with. Equine Laminitis Radiographs.
From instrideedition.com
Radiographs help farriers InStrideEdition Equine Laminitis Radiographs Guidelines on the radiographic assessment of laminitis. Laminitis (inflammation of the lamina of the hoof) is a common and potentially devastating foot problem that affects all members of the equine family: The following guidelines are not meant to be an overview of how to assess a. The standard radiographs that should be obtained to aid assessment of horses with laminitis. Equine Laminitis Radiographs.
From foundationequine.com
Laminitis — Foundation Equine Clinic Equine Laminitis Radiographs Laminitis (inflammation of the lamina of the hoof) is a common and potentially devastating foot problem that affects all members of the equine family: The standard radiographs that should be obtained to aid assessment of horses with laminitis are the lateromedial, horizontal dorsopalmar and dorsal. Guidelines on the radiographic assessment of laminitis. Causes in horses include carbohydrate overload, excess weight. Equine Laminitis Radiographs.
From www.vet-ct.com
VetCT Equine Treating laminitic horses Equine Laminitis Radiographs The hallmark clinical sign is severe lameness with bounding digital pulses. Causes in horses include carbohydrate overload, excess weight bearing, and endotoxemia. Laminitis (inflammation of the lamina of the hoof) is a common and potentially devastating foot problem that affects all members of the equine family: The following guidelines are not meant to be an overview of how to assess. Equine Laminitis Radiographs.
From innovativeequinepodiatry.blogspot.com
Innovative Equine Podiatry Acute laminitis case showing the value of Equine Laminitis Radiographs The standard radiographs that should be obtained to aid assessment of horses with laminitis are the lateromedial, horizontal dorsopalmar and dorsal. Guidelines on the radiographic assessment of laminitis. The following guidelines are not meant to be an overview of how to assess a. The hallmark clinical sign is severe lameness with bounding digital pulses. Horses, ponies, donkeys, mules, and. The. Equine Laminitis Radiographs.
From springhillequine.com
Hoof radiographs Springhill Equine Veterinary Clinic Equine Laminitis Radiographs Trimming and shoeing a laminitic horse with the benefit of radiographic guidance is required to achieve optimal and consistent. Horses, ponies, donkeys, mules, and. Causes in horses include carbohydrate overload, excess weight bearing, and endotoxemia. The standard radiographs that should be obtained to aid assessment of horses with laminitis are the lateromedial, horizontal dorsopalmar and dorsal. The following guidelines are. Equine Laminitis Radiographs.
From www.thelaminitissite.org
Understanding xrays The Laminitis Site Equine Laminitis Radiographs The following guidelines are not meant to be an overview of how to assess a. Trimming and shoeing a laminitic horse with the benefit of radiographic guidance is required to achieve optimal and consistent. The hallmark clinical sign is severe lameness with bounding digital pulses. Causes in horses include carbohydrate overload, excess weight bearing, and endotoxemia. Laminitis (inflammation of the. Equine Laminitis Radiographs.
From www.thelaminitissite.org
Feet AZ The Laminitis Site Equine Laminitis Radiographs Laminitis (inflammation of the lamina of the hoof) is a common and potentially devastating foot problem that affects all members of the equine family: The following guidelines are not meant to be an overview of how to assess a. The standard radiographs that should be obtained to aid assessment of horses with laminitis are the lateromedial, horizontal. Guidelines on the. Equine Laminitis Radiographs.
From beckybruce.com
XRays of Laminitis How to Detect Laminitis in Horses The Horse Blog Equine Laminitis Radiographs Horses, ponies, donkeys, mules, and. The standard radiographs that should be obtained to aid assessment of horses with laminitis are the lateromedial, horizontal dorsopalmar and dorsal. The following guidelines are not meant to be an overview of how to assess a. The hallmark clinical sign is severe lameness with bounding digital pulses. Trimming and shoeing a laminitic horse with the. Equine Laminitis Radiographs.
From www.slideserve.com
PPT Equine Laminitis PowerPoint Presentation, free download ID3536475 Equine Laminitis Radiographs The standard radiographs that should be obtained to aid assessment of horses with laminitis are the lateromedial, horizontal. The standard radiographs that should be obtained to aid assessment of horses with laminitis are the lateromedial, horizontal dorsopalmar and dorsal. Laminitis (inflammation of the lamina of the hoof) is a common and potentially devastating foot problem that affects all members of. Equine Laminitis Radiographs.
From klaawaksr.blob.core.windows.net
Laminitis Foundered Horses at Angela Terry blog Equine Laminitis Radiographs Guidelines on the radiographic assessment of laminitis. Causes in horses include carbohydrate overload, excess weight bearing, and endotoxemia. Laminitis (inflammation of the lamina of the hoof) is a common and potentially devastating foot problem that affects all members of the equine family: The hallmark clinical sign is severe lameness with bounding digital pulses. The standard radiographs that should be obtained. Equine Laminitis Radiographs.
From www.fieldequinevets.co.uk
Laminitis Field Equine Vets Equine Laminitis Radiographs The standard radiographs that should be obtained to aid assessment of horses with laminitis are the lateromedial, horizontal dorsopalmar and dorsal. The hallmark clinical sign is severe lameness with bounding digital pulses. Causes in horses include carbohydrate overload, excess weight bearing, and endotoxemia. Horses, ponies, donkeys, mules, and. Laminitis (inflammation of the lamina of the hoof) is a common and. Equine Laminitis Radiographs.
From ar.inspiredpencil.com
Horse Xrays Equine Laminitis Radiographs Guidelines on the radiographic assessment of laminitis. The standard radiographs that should be obtained to aid assessment of horses with laminitis are the lateromedial, horizontal dorsopalmar and dorsal. Horses, ponies, donkeys, mules, and. Laminitis (inflammation of the lamina of the hoof) is a common and potentially devastating foot problem that affects all members of the equine family: Causes in horses. Equine Laminitis Radiographs.
From enlightenedequine.com
Hoof Angles Part 3 — Enlightened Equine Equine Laminitis Radiographs Trimming and shoeing a laminitic horse with the benefit of radiographic guidance is required to achieve optimal and consistent. The hallmark clinical sign is severe lameness with bounding digital pulses. The standard radiographs that should be obtained to aid assessment of horses with laminitis are the lateromedial, horizontal. Guidelines on the radiographic assessment of laminitis. Laminitis (inflammation of the lamina. Equine Laminitis Radiographs.
From www.thelaminitissite.org
Understanding xrays The Laminitis Site Equine Laminitis Radiographs Causes in horses include carbohydrate overload, excess weight bearing, and endotoxemia. Laminitis (inflammation of the lamina of the hoof) is a common and potentially devastating foot problem that affects all members of the equine family: Trimming and shoeing a laminitic horse with the benefit of radiographic guidance is required to achieve optimal and consistent. Guidelines on the radiographic assessment of. Equine Laminitis Radiographs.
From www.pinterest.com
Resultado de imagem para radiographic anatomy of horse hoof Equine Laminitis Radiographs Guidelines on the radiographic assessment of laminitis. Trimming and shoeing a laminitic horse with the benefit of radiographic guidance is required to achieve optimal and consistent. The standard radiographs that should be obtained to aid assessment of horses with laminitis are the lateromedial, horizontal. The hallmark clinical sign is severe lameness with bounding digital pulses. Laminitis (inflammation of the lamina. Equine Laminitis Radiographs.
From medium.com
Measuring the Equine Hoof in Radiographs — a Focus on Calibration by Equine Laminitis Radiographs The following guidelines are not meant to be an overview of how to assess a. The standard radiographs that should be obtained to aid assessment of horses with laminitis are the lateromedial, horizontal. The hallmark clinical sign is severe lameness with bounding digital pulses. Horses, ponies, donkeys, mules, and. Laminitis (inflammation of the lamina of the hoof) is a common. Equine Laminitis Radiographs.
From www.rvc.ac.uk
RVC leading research into equine laminitis Equine Laminitis Radiographs The standard radiographs that should be obtained to aid assessment of horses with laminitis are the lateromedial, horizontal dorsopalmar and dorsal. Guidelines on the radiographic assessment of laminitis. Causes in horses include carbohydrate overload, excess weight bearing, and endotoxemia. The hallmark clinical sign is severe lameness with bounding digital pulses. The standard radiographs that should be obtained to aid assessment. Equine Laminitis Radiographs.
From equineveterinarycentre.co.uk
Xray images of the same foot of a laminitic pony Equine Vets South Equine Laminitis Radiographs The hallmark clinical sign is severe lameness with bounding digital pulses. The standard radiographs that should be obtained to aid assessment of horses with laminitis are the lateromedial, horizontal dorsopalmar and dorsal. Laminitis (inflammation of the lamina of the hoof) is a common and potentially devastating foot problem that affects all members of the equine family: Horses, ponies, donkeys, mules,. Equine Laminitis Radiographs.
From www.theequinedocumentalist.com
LaminitisA Pictorial Review Equine Laminitis Radiographs Guidelines on the radiographic assessment of laminitis. Trimming and shoeing a laminitic horse with the benefit of radiographic guidance is required to achieve optimal and consistent. Causes in horses include carbohydrate overload, excess weight bearing, and endotoxemia. The following guidelines are not meant to be an overview of how to assess a. Horses, ponies, donkeys, mules, and. The hallmark clinical. Equine Laminitis Radiographs.
From www.irongateequine.com
Everything You Need to Know About Laminitis — Irongate Equine Clinic Equine Laminitis Radiographs Trimming and shoeing a laminitic horse with the benefit of radiographic guidance is required to achieve optimal and consistent. The hallmark clinical sign is severe lameness with bounding digital pulses. Guidelines on the radiographic assessment of laminitis. Causes in horses include carbohydrate overload, excess weight bearing, and endotoxemia. The standard radiographs that should be obtained to aid assessment of horses. Equine Laminitis Radiographs.
From exombktma.blob.core.windows.net
Laminitis Research at Anibal Johnson blog Equine Laminitis Radiographs The standard radiographs that should be obtained to aid assessment of horses with laminitis are the lateromedial, horizontal dorsopalmar and dorsal. The standard radiographs that should be obtained to aid assessment of horses with laminitis are the lateromedial, horizontal. Guidelines on the radiographic assessment of laminitis. Laminitis (inflammation of the lamina of the hoof) is a common and potentially devastating. Equine Laminitis Radiographs.
From cennutrition.com.au
NUTRITION RELATED LAMINITIS CEN Nutrition Equine Laminitis Radiographs Trimming and shoeing a laminitic horse with the benefit of radiographic guidance is required to achieve optimal and consistent. The standard radiographs that should be obtained to aid assessment of horses with laminitis are the lateromedial, horizontal. The standard radiographs that should be obtained to aid assessment of horses with laminitis are the lateromedial, horizontal dorsopalmar and dorsal. Causes in. Equine Laminitis Radiographs.
From www.theequinedocumentalist.com
LaminitisA Pictorial Review Equine Laminitis Radiographs Guidelines on the radiographic assessment of laminitis. Trimming and shoeing a laminitic horse with the benefit of radiographic guidance is required to achieve optimal and consistent. Horses, ponies, donkeys, mules, and. Causes in horses include carbohydrate overload, excess weight bearing, and endotoxemia. The standard radiographs that should be obtained to aid assessment of horses with laminitis are the lateromedial, horizontal.. Equine Laminitis Radiographs.
From zenicientaencamiino.blogspot.com
club foot horse x ray Angelo Coffin Equine Laminitis Radiographs Guidelines on the radiographic assessment of laminitis. The standard radiographs that should be obtained to aid assessment of horses with laminitis are the lateromedial, horizontal. The following guidelines are not meant to be an overview of how to assess a. Causes in horses include carbohydrate overload, excess weight bearing, and endotoxemia. The standard radiographs that should be obtained to aid. Equine Laminitis Radiographs.
From www.ballingerequine.com
Laminitis Not Necessarily Seasonal Ballinger Equine Equine Laminitis Radiographs The standard radiographs that should be obtained to aid assessment of horses with laminitis are the lateromedial, horizontal dorsopalmar and dorsal. Trimming and shoeing a laminitic horse with the benefit of radiographic guidance is required to achieve optimal and consistent. The following guidelines are not meant to be an overview of how to assess a. Horses, ponies, donkeys, mules, and.. Equine Laminitis Radiographs.
From thehorse.com
Equine Laminitis Turning Over New Leaves The Horse Equine Laminitis Radiographs The following guidelines are not meant to be an overview of how to assess a. Horses, ponies, donkeys, mules, and. The hallmark clinical sign is severe lameness with bounding digital pulses. The standard radiographs that should be obtained to aid assessment of horses with laminitis are the lateromedial, horizontal. Causes in horses include carbohydrate overload, excess weight bearing, and endotoxemia.. Equine Laminitis Radiographs.