Horseshoe Kidney Surgery . How is stone surgery done in horseshoe kidneys? Instead, treatment aims to alleviate symptoms and reduce the risk of complications. If your child has horseshoe kidney, also called renal fusion, you’ve probably got a lot of questions. Get the facts on causes,. In 9 out of 10 cases, the kidneys fuse at the bottom, forming a. Traditionally, the surgical approach has been through. The most important aspect of abdominal aortic aneurysm repair in. Horseshoe kidney, or renal fusion, occurs when two individual kidneys fuse together as they rise from the lower belly. Horseshoe kidney complicates aortic aneurysm surgery in 1 out of 200 cases. As a result, horseshoe kidney treatment can depend on what effects or complications you experience. For example, if you experience kidney stones, your doctor may recommend minimally invasive surgery to remove them. Management of renal cancers in horseshoe kidney patients is essentially the same as in normal patients.
from www.mdpi.com
Management of renal cancers in horseshoe kidney patients is essentially the same as in normal patients. Get the facts on causes,. How is stone surgery done in horseshoe kidneys? Traditionally, the surgical approach has been through. Horseshoe kidney, or renal fusion, occurs when two individual kidneys fuse together as they rise from the lower belly. As a result, horseshoe kidney treatment can depend on what effects or complications you experience. For example, if you experience kidney stones, your doctor may recommend minimally invasive surgery to remove them. Horseshoe kidney complicates aortic aneurysm surgery in 1 out of 200 cases. Instead, treatment aims to alleviate symptoms and reduce the risk of complications. The most important aspect of abdominal aortic aneurysm repair in.
Uro Free FullText Transplantation of the Horseshoe Kidneys A
Horseshoe Kidney Surgery In 9 out of 10 cases, the kidneys fuse at the bottom, forming a. For example, if you experience kidney stones, your doctor may recommend minimally invasive surgery to remove them. Instead, treatment aims to alleviate symptoms and reduce the risk of complications. Horseshoe kidney, or renal fusion, occurs when two individual kidneys fuse together as they rise from the lower belly. Management of renal cancers in horseshoe kidney patients is essentially the same as in normal patients. Horseshoe kidney complicates aortic aneurysm surgery in 1 out of 200 cases. How is stone surgery done in horseshoe kidneys? As a result, horseshoe kidney treatment can depend on what effects or complications you experience. The most important aspect of abdominal aortic aneurysm repair in. Get the facts on causes,. In 9 out of 10 cases, the kidneys fuse at the bottom, forming a. Traditionally, the surgical approach has been through. If your child has horseshoe kidney, also called renal fusion, you’ve probably got a lot of questions.
From www.cureus.com
Cureus Laparoscopic Nephrolithotomy in a Horseshoe Kidney Horseshoe Kidney Surgery How is stone surgery done in horseshoe kidneys? Horseshoe kidney, or renal fusion, occurs when two individual kidneys fuse together as they rise from the lower belly. In 9 out of 10 cases, the kidneys fuse at the bottom, forming a. The most important aspect of abdominal aortic aneurysm repair in. Management of renal cancers in horseshoe kidney patients is. Horseshoe Kidney Surgery.
From www.hendrenproject.org
Urinary Tract Reconstruction Patient 3 Male Infant with Horseshoe Horseshoe Kidney Surgery Horseshoe kidney complicates aortic aneurysm surgery in 1 out of 200 cases. Management of renal cancers in horseshoe kidney patients is essentially the same as in normal patients. For example, if you experience kidney stones, your doctor may recommend minimally invasive surgery to remove them. The most important aspect of abdominal aortic aneurysm repair in. In 9 out of 10. Horseshoe Kidney Surgery.
From www.cureus.com
A Rare Case of Horseshoe Kidney With Multiple Atrial Myxomas Presenting Horseshoe Kidney Surgery Get the facts on causes,. Management of renal cancers in horseshoe kidney patients is essentially the same as in normal patients. The most important aspect of abdominal aortic aneurysm repair in. Horseshoe kidney, or renal fusion, occurs when two individual kidneys fuse together as they rise from the lower belly. Instead, treatment aims to alleviate symptoms and reduce the risk. Horseshoe Kidney Surgery.
From www.youtube.com
Horseshoe kidney or partial fusion of kidneys ultrasound and color Horseshoe Kidney Surgery Get the facts on causes,. Horseshoe kidney complicates aortic aneurysm surgery in 1 out of 200 cases. For example, if you experience kidney stones, your doctor may recommend minimally invasive surgery to remove them. Traditionally, the surgical approach has been through. Instead, treatment aims to alleviate symptoms and reduce the risk of complications. In 9 out of 10 cases, the. Horseshoe Kidney Surgery.
From www.researchgate.net
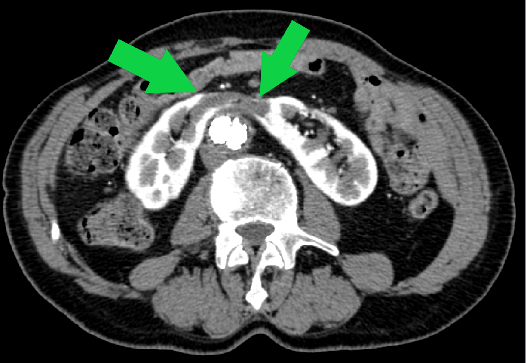
Transverse sectional view of the right horseshoe kidney on CT scan Horseshoe Kidney Surgery Management of renal cancers in horseshoe kidney patients is essentially the same as in normal patients. Horseshoe kidney, or renal fusion, occurs when two individual kidneys fuse together as they rise from the lower belly. Get the facts on causes,. In 9 out of 10 cases, the kidneys fuse at the bottom, forming a. Traditionally, the surgical approach has been. Horseshoe Kidney Surgery.
From www.childsurgery.my
Non functioning Left Kidney of a Horseshoe Kidney « Child Surgery Dr Horseshoe Kidney Surgery Traditionally, the surgical approach has been through. The most important aspect of abdominal aortic aneurysm repair in. If your child has horseshoe kidney, also called renal fusion, you’ve probably got a lot of questions. Horseshoe kidney complicates aortic aneurysm surgery in 1 out of 200 cases. Instead, treatment aims to alleviate symptoms and reduce the risk of complications. In 9. Horseshoe Kidney Surgery.
From journals.sagepub.com
Robotassisted surgery in horseshoe kidneys A safety and feasibility Horseshoe Kidney Surgery Horseshoe kidney, or renal fusion, occurs when two individual kidneys fuse together as they rise from the lower belly. For example, if you experience kidney stones, your doctor may recommend minimally invasive surgery to remove them. Instead, treatment aims to alleviate symptoms and reduce the risk of complications. Management of renal cancers in horseshoe kidney patients is essentially the same. Horseshoe Kidney Surgery.
From www.cureus.com
Cureus Laparoscopic Nephrolithotomy in a Horseshoe Kidney Horseshoe Kidney Surgery If your child has horseshoe kidney, also called renal fusion, you’ve probably got a lot of questions. Horseshoe kidney complicates aortic aneurysm surgery in 1 out of 200 cases. As a result, horseshoe kidney treatment can depend on what effects or complications you experience. Get the facts on causes,. Management of renal cancers in horseshoe kidney patients is essentially the. Horseshoe Kidney Surgery.
From www.childsurgery.my
Left Non functioning Kidney Horseshoe Kidney « Child Surgery Dr Horseshoe Kidney Surgery Instead, treatment aims to alleviate symptoms and reduce the risk of complications. The most important aspect of abdominal aortic aneurysm repair in. How is stone surgery done in horseshoe kidneys? Horseshoe kidney, or renal fusion, occurs when two individual kidneys fuse together as they rise from the lower belly. If your child has horseshoe kidney, also called renal fusion, you’ve. Horseshoe Kidney Surgery.
From www.annalsofvascularsurgery.com
EVAR Approach for Abdominal Aortic Aneurysm with Horseshoe Kidney A Horseshoe Kidney Surgery If your child has horseshoe kidney, also called renal fusion, you’ve probably got a lot of questions. Horseshoe kidney, or renal fusion, occurs when two individual kidneys fuse together as they rise from the lower belly. Horseshoe kidney complicates aortic aneurysm surgery in 1 out of 200 cases. Management of renal cancers in horseshoe kidney patients is essentially the same. Horseshoe Kidney Surgery.
From www.frontiersin.org
Frontiers Retroperitoneal RobotAssisted Laparoscopic Partial Horseshoe Kidney Surgery Horseshoe kidney, or renal fusion, occurs when two individual kidneys fuse together as they rise from the lower belly. In 9 out of 10 cases, the kidneys fuse at the bottom, forming a. If your child has horseshoe kidney, also called renal fusion, you’ve probably got a lot of questions. Management of renal cancers in horseshoe kidney patients is essentially. Horseshoe Kidney Surgery.
From www.semanticscholar.org
Figure 1 from IMPORTANT DIAG NOSTIC AND SURGICAL POINTS IN HORSESHOE Horseshoe Kidney Surgery In 9 out of 10 cases, the kidneys fuse at the bottom, forming a. For example, if you experience kidney stones, your doctor may recommend minimally invasive surgery to remove them. Horseshoe kidney complicates aortic aneurysm surgery in 1 out of 200 cases. Traditionally, the surgical approach has been through. As a result, horseshoe kidney treatment can depend on what. Horseshoe Kidney Surgery.
From www.elsevier.es
An Infarcted Horseshoe Kidney Cirugía Española (English Edition) Horseshoe Kidney Surgery How is stone surgery done in horseshoe kidneys? Management of renal cancers in horseshoe kidney patients is essentially the same as in normal patients. If your child has horseshoe kidney, also called renal fusion, you’ve probably got a lot of questions. In 9 out of 10 cases, the kidneys fuse at the bottom, forming a. Horseshoe kidney complicates aortic aneurysm. Horseshoe Kidney Surgery.
From www.cureus.com
Cureus Horseshoe Kidney Isthmus Infarction After Percutaneous Horseshoe Kidney Surgery Instead, treatment aims to alleviate symptoms and reduce the risk of complications. Horseshoe kidney complicates aortic aneurysm surgery in 1 out of 200 cases. How is stone surgery done in horseshoe kidneys? Horseshoe kidney, or renal fusion, occurs when two individual kidneys fuse together as they rise from the lower belly. Get the facts on causes,. For example, if you. Horseshoe Kidney Surgery.
From www.goldjournal.net
Supernumerary Kidney Associated With Horseshoe Malformation and Horseshoe Kidney Surgery In 9 out of 10 cases, the kidneys fuse at the bottom, forming a. How is stone surgery done in horseshoe kidneys? Horseshoe kidney complicates aortic aneurysm surgery in 1 out of 200 cases. For example, if you experience kidney stones, your doctor may recommend minimally invasive surgery to remove them. Instead, treatment aims to alleviate symptoms and reduce the. Horseshoe Kidney Surgery.
From 123dok.co
Retroperitoneoscopic Nephrectomy for a Horseshoe Kidney with Unilateral Horseshoe Kidney Surgery Get the facts on causes,. If your child has horseshoe kidney, also called renal fusion, you’ve probably got a lot of questions. In 9 out of 10 cases, the kidneys fuse at the bottom, forming a. As a result, horseshoe kidney treatment can depend on what effects or complications you experience. Instead, treatment aims to alleviate symptoms and reduce the. Horseshoe Kidney Surgery.
From www.jpurol.com
The horseshoe kidney Surgical anatomy and embryology Journal of Horseshoe Kidney Surgery In 9 out of 10 cases, the kidneys fuse at the bottom, forming a. Instead, treatment aims to alleviate symptoms and reduce the risk of complications. As a result, horseshoe kidney treatment can depend on what effects or complications you experience. Get the facts on causes,. How is stone surgery done in horseshoe kidneys? Horseshoe kidney, or renal fusion, occurs. Horseshoe Kidney Surgery.
From www.goldjournal.net
En Bloc Retroperitoneoscopic Removal of Horseshoe Kidney for Endstage Horseshoe Kidney Surgery Horseshoe kidney, or renal fusion, occurs when two individual kidneys fuse together as they rise from the lower belly. Get the facts on causes,. In 9 out of 10 cases, the kidneys fuse at the bottom, forming a. If your child has horseshoe kidney, also called renal fusion, you’ve probably got a lot of questions. Traditionally, the surgical approach has. Horseshoe Kidney Surgery.
From www.mdpi.com
Uro Free FullText Transplantation of the Horseshoe Kidneys A Horseshoe Kidney Surgery How is stone surgery done in horseshoe kidneys? If your child has horseshoe kidney, also called renal fusion, you’ve probably got a lot of questions. Get the facts on causes,. In 9 out of 10 cases, the kidneys fuse at the bottom, forming a. For example, if you experience kidney stones, your doctor may recommend minimally invasive surgery to remove. Horseshoe Kidney Surgery.
From www.semanticscholar.org
Figure 1 from Surgical Planning for Carcinoma in Horseshoe Kidneys Horseshoe Kidney Surgery Traditionally, the surgical approach has been through. As a result, horseshoe kidney treatment can depend on what effects or complications you experience. Horseshoe kidney complicates aortic aneurysm surgery in 1 out of 200 cases. The most important aspect of abdominal aortic aneurysm repair in. If your child has horseshoe kidney, also called renal fusion, you’ve probably got a lot of. Horseshoe Kidney Surgery.
From www.researchgate.net
Preoperative CT scan of horseshoe kidney stone. Download Scientific Horseshoe Kidney Surgery Horseshoe kidney complicates aortic aneurysm surgery in 1 out of 200 cases. Get the facts on causes,. As a result, horseshoe kidney treatment can depend on what effects or complications you experience. If your child has horseshoe kidney, also called renal fusion, you’ve probably got a lot of questions. How is stone surgery done in horseshoe kidneys? Instead, treatment aims. Horseshoe Kidney Surgery.
From www.hendrenproject.org
Urinary Tract Reconstruction Patient 3 Male Infant with Horseshoe Horseshoe Kidney Surgery Horseshoe kidney complicates aortic aneurysm surgery in 1 out of 200 cases. Instead, treatment aims to alleviate symptoms and reduce the risk of complications. In 9 out of 10 cases, the kidneys fuse at the bottom, forming a. Get the facts on causes,. Management of renal cancers in horseshoe kidney patients is essentially the same as in normal patients. Traditionally,. Horseshoe Kidney Surgery.
From www.researchgate.net
(PDF) Combined laparoscopic pyelolithotomy with retrograde intrarenal Horseshoe Kidney Surgery For example, if you experience kidney stones, your doctor may recommend minimally invasive surgery to remove them. Horseshoe kidney, or renal fusion, occurs when two individual kidneys fuse together as they rise from the lower belly. In 9 out of 10 cases, the kidneys fuse at the bottom, forming a. If your child has horseshoe kidney, also called renal fusion,. Horseshoe Kidney Surgery.
From www.researchgate.net
Fouryearold with history of horseshoe kidney who has previously Horseshoe Kidney Surgery For example, if you experience kidney stones, your doctor may recommend minimally invasive surgery to remove them. Horseshoe kidney, or renal fusion, occurs when two individual kidneys fuse together as they rise from the lower belly. Get the facts on causes,. Management of renal cancers in horseshoe kidney patients is essentially the same as in normal patients. If your child. Horseshoe Kidney Surgery.
From www.pinterest.com.au
Horseshoe Kidney Kidney infection, Chronic kidney failure, Kidney Horseshoe Kidney Surgery Management of renal cancers in horseshoe kidney patients is essentially the same as in normal patients. Traditionally, the surgical approach has been through. If your child has horseshoe kidney, also called renal fusion, you’ve probably got a lot of questions. Instead, treatment aims to alleviate symptoms and reduce the risk of complications. Get the facts on causes,. The most important. Horseshoe Kidney Surgery.
From www.researchgate.net
(PDF) Nephronsparing surgery for primary mucinous adenocarcinoma of Horseshoe Kidney Surgery As a result, horseshoe kidney treatment can depend on what effects or complications you experience. Horseshoe kidney complicates aortic aneurysm surgery in 1 out of 200 cases. How is stone surgery done in horseshoe kidneys? If your child has horseshoe kidney, also called renal fusion, you’ve probably got a lot of questions. Instead, treatment aims to alleviate symptoms and reduce. Horseshoe Kidney Surgery.
From radiopaedia.org
Right obstructing VUJ stone (horseshoe kidney) Image Horseshoe Kidney Surgery If your child has horseshoe kidney, also called renal fusion, you’ve probably got a lot of questions. For example, if you experience kidney stones, your doctor may recommend minimally invasive surgery to remove them. Horseshoe kidney, or renal fusion, occurs when two individual kidneys fuse together as they rise from the lower belly. How is stone surgery done in horseshoe. Horseshoe Kidney Surgery.
From www.mdpi.com
Uro Free FullText Transplantation of the Horseshoe Kidneys A Horseshoe Kidney Surgery In 9 out of 10 cases, the kidneys fuse at the bottom, forming a. The most important aspect of abdominal aortic aneurysm repair in. Instead, treatment aims to alleviate symptoms and reduce the risk of complications. How is stone surgery done in horseshoe kidneys? Horseshoe kidney, or renal fusion, occurs when two individual kidneys fuse together as they rise from. Horseshoe Kidney Surgery.
From www.jpurol.com
The horseshoe kidney Surgical anatomy and embryology Journal of Horseshoe Kidney Surgery In 9 out of 10 cases, the kidneys fuse at the bottom, forming a. Management of renal cancers in horseshoe kidney patients is essentially the same as in normal patients. Horseshoe kidney complicates aortic aneurysm surgery in 1 out of 200 cases. As a result, horseshoe kidney treatment can depend on what effects or complications you experience. Get the facts. Horseshoe Kidney Surgery.
From www.semanticscholar.org
Figure 2 from Laparoscopic nephronsparing surgery for a tumor near the Horseshoe Kidney Surgery How is stone surgery done in horseshoe kidneys? In 9 out of 10 cases, the kidneys fuse at the bottom, forming a. Horseshoe kidney, or renal fusion, occurs when two individual kidneys fuse together as they rise from the lower belly. Get the facts on causes,. The most important aspect of abdominal aortic aneurysm repair in. Management of renal cancers. Horseshoe Kidney Surgery.
From www.researchgate.net
(A) During the first donor's bench procedure, horseshoe kidney showed 5 Horseshoe Kidney Surgery Get the facts on causes,. Instead, treatment aims to alleviate symptoms and reduce the risk of complications. Horseshoe kidney complicates aortic aneurysm surgery in 1 out of 200 cases. Traditionally, the surgical approach has been through. The most important aspect of abdominal aortic aneurysm repair in. If your child has horseshoe kidney, also called renal fusion, you’ve probably got a. Horseshoe Kidney Surgery.
From www.pinterest.co.kr
Beautiful multimodality imaging of a horseshoe kidney. http Horseshoe Kidney Surgery The most important aspect of abdominal aortic aneurysm repair in. Traditionally, the surgical approach has been through. Management of renal cancers in horseshoe kidney patients is essentially the same as in normal patients. Horseshoe kidney, or renal fusion, occurs when two individual kidneys fuse together as they rise from the lower belly. Horseshoe kidney complicates aortic aneurysm surgery in 1. Horseshoe Kidney Surgery.
From radiopaedia.org
Horseshoe kidney on intravenous pyelogram Image Horseshoe Kidney Surgery Instead, treatment aims to alleviate symptoms and reduce the risk of complications. As a result, horseshoe kidney treatment can depend on what effects or complications you experience. Management of renal cancers in horseshoe kidney patients is essentially the same as in normal patients. How is stone surgery done in horseshoe kidneys? The most important aspect of abdominal aortic aneurysm repair. Horseshoe Kidney Surgery.
From www.researchgate.net
Horseshoe kidney with retrocaval ureter in a 35yearold man with right Horseshoe Kidney Surgery As a result, horseshoe kidney treatment can depend on what effects or complications you experience. Management of renal cancers in horseshoe kidney patients is essentially the same as in normal patients. The most important aspect of abdominal aortic aneurysm repair in. Horseshoe kidney complicates aortic aneurysm surgery in 1 out of 200 cases. For example, if you experience kidney stones,. Horseshoe Kidney Surgery.
From tsaco.bmj.com
Case of horseshoe kidney injury treated with simultaneous damage Horseshoe Kidney Surgery Management of renal cancers in horseshoe kidney patients is essentially the same as in normal patients. In 9 out of 10 cases, the kidneys fuse at the bottom, forming a. Horseshoe kidney, or renal fusion, occurs when two individual kidneys fuse together as they rise from the lower belly. How is stone surgery done in horseshoe kidneys? Horseshoe kidney complicates. Horseshoe Kidney Surgery.