Pin Fixation Of Supracondylar Fractures . While nondisplaced type i supracondylar fractures can be managed nonoperatively with casting, operative fixation. Without such good stability, or with the distal fragment anterior to the shaft (a flexion type supracondylar fracture), the reduction and. Pin size has been shown to affect the stability of the fixation. Supracondylar humerus fractures are treated within 24 h from trauma by 33.2% of respondents. Pins are removed 4 weeks from index procedure by 58.2% of respondents. About 10% to 20% of displaced. 2 mm pins have been found to provide improved biomechanical strength compared to 1.6mm pins. Is lateral pin fixation for displaced supracondylar fractures of the humerus better than crossed pins in children? Fracture type (72.3%), surgeon experience, and (71.2%) are of “crucial importance” for expected outcome of supracondylar humerus fractures treatment. Lateral entry pins provide stable fixation, avoiding the risk of iatrogenic ulnar nerve injury. Pediatric supracondylar fractures are one of the most common traumatic fractures see in children and most commonly occur in.
from www.semanticscholar.org
While nondisplaced type i supracondylar fractures can be managed nonoperatively with casting, operative fixation. Supracondylar humerus fractures are treated within 24 h from trauma by 33.2% of respondents. About 10% to 20% of displaced. Without such good stability, or with the distal fragment anterior to the shaft (a flexion type supracondylar fracture), the reduction and. Pediatric supracondylar fractures are one of the most common traumatic fractures see in children and most commonly occur in. 2 mm pins have been found to provide improved biomechanical strength compared to 1.6mm pins. Is lateral pin fixation for displaced supracondylar fractures of the humerus better than crossed pins in children? Lateral entry pins provide stable fixation, avoiding the risk of iatrogenic ulnar nerve injury. Fracture type (72.3%), surgeon experience, and (71.2%) are of “crucial importance” for expected outcome of supracondylar humerus fractures treatment. Pin size has been shown to affect the stability of the fixation.
Figure 2 from Loss of pin fixation in displaced supracondylar humeral
Pin Fixation Of Supracondylar Fractures Pediatric supracondylar fractures are one of the most common traumatic fractures see in children and most commonly occur in. Pin size has been shown to affect the stability of the fixation. Supracondylar humerus fractures are treated within 24 h from trauma by 33.2% of respondents. Pins are removed 4 weeks from index procedure by 58.2% of respondents. Pediatric supracondylar fractures are one of the most common traumatic fractures see in children and most commonly occur in. 2 mm pins have been found to provide improved biomechanical strength compared to 1.6mm pins. Is lateral pin fixation for displaced supracondylar fractures of the humerus better than crossed pins in children? About 10% to 20% of displaced. Fracture type (72.3%), surgeon experience, and (71.2%) are of “crucial importance” for expected outcome of supracondylar humerus fractures treatment. Without such good stability, or with the distal fragment anterior to the shaft (a flexion type supracondylar fracture), the reduction and. Lateral entry pins provide stable fixation, avoiding the risk of iatrogenic ulnar nerve injury. While nondisplaced type i supracondylar fractures can be managed nonoperatively with casting, operative fixation.
From www.researchgate.net
The lateral pin fixation was impossible in this medial highlong Pin Fixation Of Supracondylar Fractures Lateral entry pins provide stable fixation, avoiding the risk of iatrogenic ulnar nerve injury. Supracondylar humerus fractures are treated within 24 h from trauma by 33.2% of respondents. About 10% to 20% of displaced. Without such good stability, or with the distal fragment anterior to the shaft (a flexion type supracondylar fracture), the reduction and. Pediatric supracondylar fractures are one. Pin Fixation Of Supracondylar Fractures.
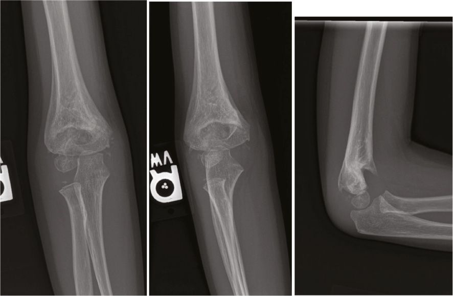
From www.jposna.org
View of Loss of Fixation of a Type IV Supracondylar Humerus Fracture Pin Fixation Of Supracondylar Fractures While nondisplaced type i supracondylar fractures can be managed nonoperatively with casting, operative fixation. Without such good stability, or with the distal fragment anterior to the shaft (a flexion type supracondylar fracture), the reduction and. Supracondylar humerus fractures are treated within 24 h from trauma by 33.2% of respondents. Pins are removed 4 weeks from index procedure by 58.2% of. Pin Fixation Of Supracondylar Fractures.
From www.semanticscholar.org
Figure 5 from Lateral entry compared with medial and lateral entry pin Pin Fixation Of Supracondylar Fractures Pin size has been shown to affect the stability of the fixation. Pediatric supracondylar fractures are one of the most common traumatic fractures see in children and most commonly occur in. While nondisplaced type i supracondylar fractures can be managed nonoperatively with casting, operative fixation. Fracture type (72.3%), surgeon experience, and (71.2%) are of “crucial importance” for expected outcome of. Pin Fixation Of Supracondylar Fractures.
From www.semanticscholar.org
Figure 4 from Lateral entry compared with medial and lateral entry pin Pin Fixation Of Supracondylar Fractures Pin size has been shown to affect the stability of the fixation. Without such good stability, or with the distal fragment anterior to the shaft (a flexion type supracondylar fracture), the reduction and. While nondisplaced type i supracondylar fractures can be managed nonoperatively with casting, operative fixation. Fracture type (72.3%), surgeon experience, and (71.2%) are of “crucial importance” for expected. Pin Fixation Of Supracondylar Fractures.
From www.semanticscholar.org
Figure 6 from Rushpin fixation of supracondylar and intercondylar Pin Fixation Of Supracondylar Fractures 2 mm pins have been found to provide improved biomechanical strength compared to 1.6mm pins. Pediatric supracondylar fractures are one of the most common traumatic fractures see in children and most commonly occur in. Lateral entry pins provide stable fixation, avoiding the risk of iatrogenic ulnar nerve injury. Pins are removed 4 weeks from index procedure by 58.2% of respondents.. Pin Fixation Of Supracondylar Fractures.
From courses.lumenlearning.com
Bone Formation Boundless Anatomy and Physiology Pin Fixation Of Supracondylar Fractures 2 mm pins have been found to provide improved biomechanical strength compared to 1.6mm pins. Fracture type (72.3%), surgeon experience, and (71.2%) are of “crucial importance” for expected outcome of supracondylar humerus fractures treatment. Without such good stability, or with the distal fragment anterior to the shaft (a flexion type supracondylar fracture), the reduction and. Is lateral pin fixation for. Pin Fixation Of Supracondylar Fractures.
From www.semanticscholar.org
Figure 8 from Rushpin fixation of supracondylar and intercondylar Pin Fixation Of Supracondylar Fractures Is lateral pin fixation for displaced supracondylar fractures of the humerus better than crossed pins in children? About 10% to 20% of displaced. Pin size has been shown to affect the stability of the fixation. 2 mm pins have been found to provide improved biomechanical strength compared to 1.6mm pins. Pins are removed 4 weeks from index procedure by 58.2%. Pin Fixation Of Supracondylar Fractures.
From www.semanticscholar.org
Figure 5 from Rushpin fixation of supracondylar and intercondylar Pin Fixation Of Supracondylar Fractures Supracondylar humerus fractures are treated within 24 h from trauma by 33.2% of respondents. While nondisplaced type i supracondylar fractures can be managed nonoperatively with casting, operative fixation. About 10% to 20% of displaced. Pins are removed 4 weeks from index procedure by 58.2% of respondents. Pediatric supracondylar fractures are one of the most common traumatic fractures see in children. Pin Fixation Of Supracondylar Fractures.
From www.semanticscholar.org
Figure 2 from Percutaneous Kwire fixation in paediatric Supracondylar Pin Fixation Of Supracondylar Fractures Pediatric supracondylar fractures are one of the most common traumatic fractures see in children and most commonly occur in. Pins are removed 4 weeks from index procedure by 58.2% of respondents. Is lateral pin fixation for displaced supracondylar fractures of the humerus better than crossed pins in children? Fracture type (72.3%), surgeon experience, and (71.2%) are of “crucial importance” for. Pin Fixation Of Supracondylar Fractures.
From ar.inspiredpencil.com
Supracondylar Humerus Fracture Pin Fixation Of Supracondylar Fractures Pins are removed 4 weeks from index procedure by 58.2% of respondents. While nondisplaced type i supracondylar fractures can be managed nonoperatively with casting, operative fixation. Is lateral pin fixation for displaced supracondylar fractures of the humerus better than crossed pins in children? 2 mm pins have been found to provide improved biomechanical strength compared to 1.6mm pins. Supracondylar humerus. Pin Fixation Of Supracondylar Fractures.
From www.semanticscholar.org
Lateralentry pin fixation in the management of supracondylar fractures Pin Fixation Of Supracondylar Fractures Supracondylar humerus fractures are treated within 24 h from trauma by 33.2% of respondents. While nondisplaced type i supracondylar fractures can be managed nonoperatively with casting, operative fixation. Fracture type (72.3%), surgeon experience, and (71.2%) are of “crucial importance” for expected outcome of supracondylar humerus fractures treatment. About 10% to 20% of displaced. Pins are removed 4 weeks from index. Pin Fixation Of Supracondylar Fractures.
From www.semanticscholar.org
Figure 1 from Lateral entry compared with medial and lateral entry pin Pin Fixation Of Supracondylar Fractures Pin size has been shown to affect the stability of the fixation. While nondisplaced type i supracondylar fractures can be managed nonoperatively with casting, operative fixation. Pediatric supracondylar fractures are one of the most common traumatic fractures see in children and most commonly occur in. About 10% to 20% of displaced. Lateral entry pins provide stable fixation, avoiding the risk. Pin Fixation Of Supracondylar Fractures.
From www.schreibermd.com
Kid's Elbow Fracture Raleigh Hand Surgery — Joseph J. Schreiber, MD Pin Fixation Of Supracondylar Fractures Without such good stability, or with the distal fragment anterior to the shaft (a flexion type supracondylar fracture), the reduction and. Supracondylar humerus fractures are treated within 24 h from trauma by 33.2% of respondents. Is lateral pin fixation for displaced supracondylar fractures of the humerus better than crossed pins in children? Fracture type (72.3%), surgeon experience, and (71.2%) are. Pin Fixation Of Supracondylar Fractures.
From www.semanticscholar.org
Figure 2 from Loss of pin fixation in displaced supracondylar humeral Pin Fixation Of Supracondylar Fractures 2 mm pins have been found to provide improved biomechanical strength compared to 1.6mm pins. Is lateral pin fixation for displaced supracondylar fractures of the humerus better than crossed pins in children? About 10% to 20% of displaced. Without such good stability, or with the distal fragment anterior to the shaft (a flexion type supracondylar fracture), the reduction and. Supracondylar. Pin Fixation Of Supracondylar Fractures.
From www.semanticscholar.org
Figure 2 from Lateralentry pin fixation in the management of Pin Fixation Of Supracondylar Fractures Is lateral pin fixation for displaced supracondylar fractures of the humerus better than crossed pins in children? Without such good stability, or with the distal fragment anterior to the shaft (a flexion type supracondylar fracture), the reduction and. Fracture type (72.3%), surgeon experience, and (71.2%) are of “crucial importance” for expected outcome of supracondylar humerus fractures treatment. 2 mm pins. Pin Fixation Of Supracondylar Fractures.
From www.mdpi.com
Extra Lateral Pin or Less Radiation? A Comparison of Two Different Pin Pin Fixation Of Supracondylar Fractures Lateral entry pins provide stable fixation, avoiding the risk of iatrogenic ulnar nerve injury. Fracture type (72.3%), surgeon experience, and (71.2%) are of “crucial importance” for expected outcome of supracondylar humerus fractures treatment. Is lateral pin fixation for displaced supracondylar fractures of the humerus better than crossed pins in children? Supracondylar humerus fractures are treated within 24 h from trauma. Pin Fixation Of Supracondylar Fractures.
From www.cureus.com
Cureus Current Management of Paediatric Supracondylar Fractures of Pin Fixation Of Supracondylar Fractures Pediatric supracondylar fractures are one of the most common traumatic fractures see in children and most commonly occur in. Is lateral pin fixation for displaced supracondylar fractures of the humerus better than crossed pins in children? Pin size has been shown to affect the stability of the fixation. 2 mm pins have been found to provide improved biomechanical strength compared. Pin Fixation Of Supracondylar Fractures.
From www.semanticscholar.org
Figure 3 from Lateralentry pin fixation in the management of Pin Fixation Of Supracondylar Fractures Supracondylar humerus fractures are treated within 24 h from trauma by 33.2% of respondents. While nondisplaced type i supracondylar fractures can be managed nonoperatively with casting, operative fixation. Pediatric supracondylar fractures are one of the most common traumatic fractures see in children and most commonly occur in. Is lateral pin fixation for displaced supracondylar fractures of the humerus better than. Pin Fixation Of Supracondylar Fractures.
From www.semanticscholar.org
Figure 2 from Rushpin fixation of supracondylar and intercondylar Pin Fixation Of Supracondylar Fractures Is lateral pin fixation for displaced supracondylar fractures of the humerus better than crossed pins in children? Pin size has been shown to affect the stability of the fixation. About 10% to 20% of displaced. Without such good stability, or with the distal fragment anterior to the shaft (a flexion type supracondylar fracture), the reduction and. Pediatric supracondylar fractures are. Pin Fixation Of Supracondylar Fractures.
From www.surgeryjournal.co.uk
Paediatric humeral supracondylar fractures Surgery Oxford Pin Fixation Of Supracondylar Fractures Pins are removed 4 weeks from index procedure by 58.2% of respondents. Without such good stability, or with the distal fragment anterior to the shaft (a flexion type supracondylar fracture), the reduction and. Is lateral pin fixation for displaced supracondylar fractures of the humerus better than crossed pins in children? Lateral entry pins provide stable fixation, avoiding the risk of. Pin Fixation Of Supracondylar Fractures.
From www.jposna.org
View of Loss of Fixation of a Type IV Supracondylar Humerus Fracture Pin Fixation Of Supracondylar Fractures About 10% to 20% of displaced. Pins are removed 4 weeks from index procedure by 58.2% of respondents. Pin size has been shown to affect the stability of the fixation. Pediatric supracondylar fractures are one of the most common traumatic fractures see in children and most commonly occur in. Without such good stability, or with the distal fragment anterior to. Pin Fixation Of Supracondylar Fractures.
From www.jposna.org
View of Loss of Fixation of a Type IV Supracondylar Humerus Fracture Pin Fixation Of Supracondylar Fractures Without such good stability, or with the distal fragment anterior to the shaft (a flexion type supracondylar fracture), the reduction and. Is lateral pin fixation for displaced supracondylar fractures of the humerus better than crossed pins in children? Pin size has been shown to affect the stability of the fixation. About 10% to 20% of displaced. While nondisplaced type i. Pin Fixation Of Supracondylar Fractures.
From www.wjgnet.com
Functional and radiological of different pin configuration for Pin Fixation Of Supracondylar Fractures Pediatric supracondylar fractures are one of the most common traumatic fractures see in children and most commonly occur in. Pins are removed 4 weeks from index procedure by 58.2% of respondents. Fracture type (72.3%), surgeon experience, and (71.2%) are of “crucial importance” for expected outcome of supracondylar humerus fractures treatment. While nondisplaced type i supracondylar fractures can be managed nonoperatively. Pin Fixation Of Supracondylar Fractures.
From www.semanticscholar.org
Figure 3 from Rushpin fixation of supracondylar and intercondylar Pin Fixation Of Supracondylar Fractures 2 mm pins have been found to provide improved biomechanical strength compared to 1.6mm pins. While nondisplaced type i supracondylar fractures can be managed nonoperatively with casting, operative fixation. About 10% to 20% of displaced. Fracture type (72.3%), surgeon experience, and (71.2%) are of “crucial importance” for expected outcome of supracondylar humerus fractures treatment. Pins are removed 4 weeks from. Pin Fixation Of Supracondylar Fractures.
From www.semanticscholar.org
Figure 2 from Lateral entry compared with medial and lateral entry pin Pin Fixation Of Supracondylar Fractures Lateral entry pins provide stable fixation, avoiding the risk of iatrogenic ulnar nerve injury. While nondisplaced type i supracondylar fractures can be managed nonoperatively with casting, operative fixation. Pin size has been shown to affect the stability of the fixation. Supracondylar humerus fractures are treated within 24 h from trauma by 33.2% of respondents. Without such good stability, or with. Pin Fixation Of Supracondylar Fractures.
From www.semanticscholar.org
Figure 7 from Rushpin fixation of supracondylar and intercondylar Pin Fixation Of Supracondylar Fractures While nondisplaced type i supracondylar fractures can be managed nonoperatively with casting, operative fixation. Supracondylar humerus fractures are treated within 24 h from trauma by 33.2% of respondents. Pediatric supracondylar fractures are one of the most common traumatic fractures see in children and most commonly occur in. Without such good stability, or with the distal fragment anterior to the shaft. Pin Fixation Of Supracondylar Fractures.
From www.semanticscholar.org
Figure 4 from Humeral Supracondylar Fractures in Children A Novel Pin Fixation Of Supracondylar Fractures Pin size has been shown to affect the stability of the fixation. Pediatric supracondylar fractures are one of the most common traumatic fractures see in children and most commonly occur in. 2 mm pins have been found to provide improved biomechanical strength compared to 1.6mm pins. Lateral entry pins provide stable fixation, avoiding the risk of iatrogenic ulnar nerve injury.. Pin Fixation Of Supracondylar Fractures.
From www.semanticscholar.org
Figure 1 from Rushpin fixation of supracondylar and intercondylar Pin Fixation Of Supracondylar Fractures Supracondylar humerus fractures are treated within 24 h from trauma by 33.2% of respondents. Pediatric supracondylar fractures are one of the most common traumatic fractures see in children and most commonly occur in. Pins are removed 4 weeks from index procedure by 58.2% of respondents. While nondisplaced type i supracondylar fractures can be managed nonoperatively with casting, operative fixation. Without. Pin Fixation Of Supracondylar Fractures.
From teachmeorthopedics.info
Closed Reduction and Percutaneous Pinning of Supracondylar Fractures of Pin Fixation Of Supracondylar Fractures While nondisplaced type i supracondylar fractures can be managed nonoperatively with casting, operative fixation. Supracondylar humerus fractures are treated within 24 h from trauma by 33.2% of respondents. Without such good stability, or with the distal fragment anterior to the shaft (a flexion type supracondylar fracture), the reduction and. 2 mm pins have been found to provide improved biomechanical strength. Pin Fixation Of Supracondylar Fractures.
From www.semanticscholar.org
Figure 1 from Displaced supracondylar fractures of the humerus treated Pin Fixation Of Supracondylar Fractures Lateral entry pins provide stable fixation, avoiding the risk of iatrogenic ulnar nerve injury. Pins are removed 4 weeks from index procedure by 58.2% of respondents. Pediatric supracondylar fractures are one of the most common traumatic fractures see in children and most commonly occur in. While nondisplaced type i supracondylar fractures can be managed nonoperatively with casting, operative fixation. About. Pin Fixation Of Supracondylar Fractures.
From www.researchgate.net
Photographs showing the fixation of supracondylar humeral fracture Pin Fixation Of Supracondylar Fractures Pediatric supracondylar fractures are one of the most common traumatic fractures see in children and most commonly occur in. 2 mm pins have been found to provide improved biomechanical strength compared to 1.6mm pins. About 10% to 20% of displaced. Without such good stability, or with the distal fragment anterior to the shaft (a flexion type supracondylar fracture), the reduction. Pin Fixation Of Supracondylar Fractures.
From www.semanticscholar.org
Figure 4 from Rushpin fixation of supracondylar and intercondylar Pin Fixation Of Supracondylar Fractures Without such good stability, or with the distal fragment anterior to the shaft (a flexion type supracondylar fracture), the reduction and. 2 mm pins have been found to provide improved biomechanical strength compared to 1.6mm pins. Pediatric supracondylar fractures are one of the most common traumatic fractures see in children and most commonly occur in. Pin size has been shown. Pin Fixation Of Supracondylar Fractures.
From www.semanticscholar.org
Figure 1 from Results of cross pinning fixation for supracondylar Pin Fixation Of Supracondylar Fractures While nondisplaced type i supracondylar fractures can be managed nonoperatively with casting, operative fixation. Fracture type (72.3%), surgeon experience, and (71.2%) are of “crucial importance” for expected outcome of supracondylar humerus fractures treatment. Without such good stability, or with the distal fragment anterior to the shaft (a flexion type supracondylar fracture), the reduction and. About 10% to 20% of displaced.. Pin Fixation Of Supracondylar Fractures.
From www.youtube.com
Supracondylar humerus fracture closed reduction, percutaneous pinning Pin Fixation Of Supracondylar Fractures Fracture type (72.3%), surgeon experience, and (71.2%) are of “crucial importance” for expected outcome of supracondylar humerus fractures treatment. While nondisplaced type i supracondylar fractures can be managed nonoperatively with casting, operative fixation. Is lateral pin fixation for displaced supracondylar fractures of the humerus better than crossed pins in children? 2 mm pins have been found to provide improved biomechanical. Pin Fixation Of Supracondylar Fractures.
From www.semanticscholar.org
Figure 3 from Loss of pin fixation in displaced supracondylar humeral Pin Fixation Of Supracondylar Fractures Supracondylar humerus fractures are treated within 24 h from trauma by 33.2% of respondents. Without such good stability, or with the distal fragment anterior to the shaft (a flexion type supracondylar fracture), the reduction and. Pin size has been shown to affect the stability of the fixation. About 10% to 20% of displaced. Pins are removed 4 weeks from index. Pin Fixation Of Supracondylar Fractures.