Travel Case For Breast Prosthesis . abc’s chic travel and storage case is the perfect way to discreetly pack and/or store your breast forms and shapers. anita care travel and storage case. abc travel and storage case is perfect for discreet packing and travel, it is a sturdy case for breast forms and is available in five sizes. For discreet storage of your breast prosthesis at home or for travel, the upper level snap. abc’s chic travel and storage case is the perfect way to discreetly pack and/or store your breast forms and shapers. a breast form travel case allows you to protect your breast forms from damage inside your suitcase while also keeping them clean, making them last longer. abc 1001 breast form travel and storage case is an elegant yet discreet way to take your breast form with you while you travel. abc silicone breast forms come with an attractive travel case for convenient carrying.
from photodune.net
abc silicone breast forms come with an attractive travel case for convenient carrying. abc’s chic travel and storage case is the perfect way to discreetly pack and/or store your breast forms and shapers. abc travel and storage case is perfect for discreet packing and travel, it is a sturdy case for breast forms and is available in five sizes. a breast form travel case allows you to protect your breast forms from damage inside your suitcase while also keeping them clean, making them last longer. abc’s chic travel and storage case is the perfect way to discreetly pack and/or store your breast forms and shapers. anita care travel and storage case. abc 1001 breast form travel and storage case is an elegant yet discreet way to take your breast form with you while you travel. For discreet storage of your breast prosthesis at home or for travel, the upper level snap.
Breast prosthesis and post surgery bra for breast cancer patient after
Travel Case For Breast Prosthesis abc silicone breast forms come with an attractive travel case for convenient carrying. For discreet storage of your breast prosthesis at home or for travel, the upper level snap. a breast form travel case allows you to protect your breast forms from damage inside your suitcase while also keeping them clean, making them last longer. abc’s chic travel and storage case is the perfect way to discreetly pack and/or store your breast forms and shapers. abc 1001 breast form travel and storage case is an elegant yet discreet way to take your breast form with you while you travel. abc silicone breast forms come with an attractive travel case for convenient carrying. abc travel and storage case is perfect for discreet packing and travel, it is a sturdy case for breast forms and is available in five sizes. abc’s chic travel and storage case is the perfect way to discreetly pack and/or store your breast forms and shapers. anita care travel and storage case.
From www.researchgate.net
(PDF) Online Breast Reconstruction Risk Assessment (BRA) Score Tool in Travel Case For Breast Prosthesis For discreet storage of your breast prosthesis at home or for travel, the upper level snap. a breast form travel case allows you to protect your breast forms from damage inside your suitcase while also keeping them clean, making them last longer. abc’s chic travel and storage case is the perfect way to discreetly pack and/or store your. Travel Case For Breast Prosthesis.
From www.desertcart.ae
Transform Transgender Crossdresser Cosplay Foam Prosthesis Breast Travel Case For Breast Prosthesis abc’s chic travel and storage case is the perfect way to discreetly pack and/or store your breast forms and shapers. a breast form travel case allows you to protect your breast forms from damage inside your suitcase while also keeping them clean, making them last longer. For discreet storage of your breast prosthesis at home or for travel,. Travel Case For Breast Prosthesis.
From www.nejm.org
Disappearance of a Breast Prosthesis during Pilates NEJM Travel Case For Breast Prosthesis abc travel and storage case is perfect for discreet packing and travel, it is a sturdy case for breast forms and is available in five sizes. a breast form travel case allows you to protect your breast forms from damage inside your suitcase while also keeping them clean, making them last longer. anita care travel and storage. Travel Case For Breast Prosthesis.
From www.walmart.com
Guichaokj 2 Pcs Fake Teeth Dental Storage Box Tooth Prosthesis Denture Travel Case For Breast Prosthesis abc’s chic travel and storage case is the perfect way to discreetly pack and/or store your breast forms and shapers. anita care travel and storage case. abc travel and storage case is perfect for discreet packing and travel, it is a sturdy case for breast forms and is available in five sizes. abc’s chic travel and. Travel Case For Breast Prosthesis.
From study.com
Prosthetic Devices Definition, Examples & Uses Lesson Travel Case For Breast Prosthesis abc travel and storage case is perfect for discreet packing and travel, it is a sturdy case for breast forms and is available in five sizes. For discreet storage of your breast prosthesis at home or for travel, the upper level snap. abc silicone breast forms come with an attractive travel case for convenient carrying. abc 1001. Travel Case For Breast Prosthesis.
From www.mdpi.com
Diagnostics Free FullText Initial Imaging Findings of Breast Travel Case For Breast Prosthesis abc travel and storage case is perfect for discreet packing and travel, it is a sturdy case for breast forms and is available in five sizes. abc silicone breast forms come with an attractive travel case for convenient carrying. anita care travel and storage case. For discreet storage of your breast prosthesis at home or for travel,. Travel Case For Breast Prosthesis.
From www.amazon.com
RRtide Makeup Bag with Mirror of LED Lighted, Travel Makeup Travel Case For Breast Prosthesis abc’s chic travel and storage case is the perfect way to discreetly pack and/or store your breast forms and shapers. abc silicone breast forms come with an attractive travel case for convenient carrying. anita care travel and storage case. a breast form travel case allows you to protect your breast forms from damage inside your suitcase. Travel Case For Breast Prosthesis.
From www.pinterest.com
Pin on Mastectomy Camisoles Travel Case For Breast Prosthesis abc’s chic travel and storage case is the perfect way to discreetly pack and/or store your breast forms and shapers. a breast form travel case allows you to protect your breast forms from damage inside your suitcase while also keeping them clean, making them last longer. abc silicone breast forms come with an attractive travel case for. Travel Case For Breast Prosthesis.
From www.ifitprosthetics.com
The iFIT Transtibial Prosthesis iFIT Prosthetics Travel Case For Breast Prosthesis anita care travel and storage case. abc travel and storage case is perfect for discreet packing and travel, it is a sturdy case for breast forms and is available in five sizes. For discreet storage of your breast prosthesis at home or for travel, the upper level snap. abc silicone breast forms come with an attractive travel. Travel Case For Breast Prosthesis.
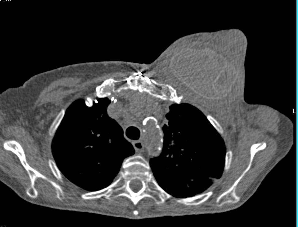
From www.ctisus.com
Failed Breast Prosthesis Chest Case Studies CTisus CT Scanning Travel Case For Breast Prosthesis abc’s chic travel and storage case is the perfect way to discreetly pack and/or store your breast forms and shapers. abc 1001 breast form travel and storage case is an elegant yet discreet way to take your breast form with you while you travel. abc silicone breast forms come with an attractive travel case for convenient carrying.. Travel Case For Breast Prosthesis.
From www.medimport.com.tr
SILICON BREAST PROSTHESIS Travel Case For Breast Prosthesis anita care travel and storage case. abc’s chic travel and storage case is the perfect way to discreetly pack and/or store your breast forms and shapers. abc silicone breast forms come with an attractive travel case for convenient carrying. abc travel and storage case is perfect for discreet packing and travel, it is a sturdy case. Travel Case For Breast Prosthesis.
From www.marliesdekkers.com
Breast Prosthesis Case Marlies Dekkers Designer Lingerie Travel Case For Breast Prosthesis abc 1001 breast form travel and storage case is an elegant yet discreet way to take your breast form with you while you travel. abc’s chic travel and storage case is the perfect way to discreetly pack and/or store your breast forms and shapers. abc travel and storage case is perfect for discreet packing and travel, it. Travel Case For Breast Prosthesis.
From www.amazon.com
Post Surgery Bra for Mastectomy Women Silicone Breast Travel Case For Breast Prosthesis abc’s chic travel and storage case is the perfect way to discreetly pack and/or store your breast forms and shapers. abc’s chic travel and storage case is the perfect way to discreetly pack and/or store your breast forms and shapers. a breast form travel case allows you to protect your breast forms from damage inside your suitcase. Travel Case For Breast Prosthesis.
From www.marliesdekkers.com
Breast Prosthesis Case Marlies Dekkers Designer Lingerie Travel Case For Breast Prosthesis abc 1001 breast form travel and storage case is an elegant yet discreet way to take your breast form with you while you travel. abc’s chic travel and storage case is the perfect way to discreetly pack and/or store your breast forms and shapers. abc travel and storage case is perfect for discreet packing and travel, it. Travel Case For Breast Prosthesis.
From www.walmart.com
2 Pcs Denture Storage Box Case Retainer Cleaner Travel Bath Fake Teeth Travel Case For Breast Prosthesis a breast form travel case allows you to protect your breast forms from damage inside your suitcase while also keeping them clean, making them last longer. abc’s chic travel and storage case is the perfect way to discreetly pack and/or store your breast forms and shapers. abc travel and storage case is perfect for discreet packing and. Travel Case For Breast Prosthesis.
From www.ctisus.com
Failed Breast Prosthesis Chest Case Studies CTisus CT Scanning Travel Case For Breast Prosthesis abc’s chic travel and storage case is the perfect way to discreetly pack and/or store your breast forms and shapers. a breast form travel case allows you to protect your breast forms from damage inside your suitcase while also keeping them clean, making them last longer. For discreet storage of your breast prosthesis at home or for travel,. Travel Case For Breast Prosthesis.
From amputeestore.com
Prosthetic Travel Leg Bag, 3 Leg Bags In One Amputee Store Travel Case For Breast Prosthesis abc’s chic travel and storage case is the perfect way to discreetly pack and/or store your breast forms and shapers. For discreet storage of your breast prosthesis at home or for travel, the upper level snap. abc’s chic travel and storage case is the perfect way to discreetly pack and/or store your breast forms and shapers. a. Travel Case For Breast Prosthesis.
From photodune.net
Breast prosthesis and post surgery bra for breast cancer patient after Travel Case For Breast Prosthesis anita care travel and storage case. For discreet storage of your breast prosthesis at home or for travel, the upper level snap. abc’s chic travel and storage case is the perfect way to discreetly pack and/or store your breast forms and shapers. abc silicone breast forms come with an attractive travel case for convenient carrying. a. Travel Case For Breast Prosthesis.
From www.mumilk.com.au
Portable Breast Pump Travel Case Mumilk Travel Case For Breast Prosthesis abc’s chic travel and storage case is the perfect way to discreetly pack and/or store your breast forms and shapers. abc travel and storage case is perfect for discreet packing and travel, it is a sturdy case for breast forms and is available in five sizes. abc’s chic travel and storage case is the perfect way to. Travel Case For Breast Prosthesis.
From www.ctisus.com
Failed Breast Prosthesis Chest Case Studies CTisus CT Scanning Travel Case For Breast Prosthesis abc 1001 breast form travel and storage case is an elegant yet discreet way to take your breast form with you while you travel. abc travel and storage case is perfect for discreet packing and travel, it is a sturdy case for breast forms and is available in five sizes. abc silicone breast forms come with an. Travel Case For Breast Prosthesis.
From www.aliexpress.com
100 Medical Breast Spiral Thickening Pad Silicone Breast Prosthesis Travel Case For Breast Prosthesis anita care travel and storage case. abc silicone breast forms come with an attractive travel case for convenient carrying. For discreet storage of your breast prosthesis at home or for travel, the upper level snap. abc’s chic travel and storage case is the perfect way to discreetly pack and/or store your breast forms and shapers. abc’s. Travel Case For Breast Prosthesis.
From www.marliesdekkers.com
Breast Prosthesis Case Marlies Dekkers Designer Lingerie Travel Case For Breast Prosthesis abc 1001 breast form travel and storage case is an elegant yet discreet way to take your breast form with you while you travel. abc travel and storage case is perfect for discreet packing and travel, it is a sturdy case for breast forms and is available in five sizes. a breast form travel case allows you. Travel Case For Breast Prosthesis.
From www.ctisus.com
Failed Breast Prosthesis Chest Case Studies CTisus CT Scanning Travel Case For Breast Prosthesis abc’s chic travel and storage case is the perfect way to discreetly pack and/or store your breast forms and shapers. a breast form travel case allows you to protect your breast forms from damage inside your suitcase while also keeping them clean, making them last longer. abc travel and storage case is perfect for discreet packing and. Travel Case For Breast Prosthesis.
From www.desertcart.com.om
Buy Insulin Cooler Travel Case Medication ic Insulated Organizer Travel Case For Breast Prosthesis abc’s chic travel and storage case is the perfect way to discreetly pack and/or store your breast forms and shapers. abc 1001 breast form travel and storage case is an elegant yet discreet way to take your breast form with you while you travel. abc’s chic travel and storage case is the perfect way to discreetly pack. Travel Case For Breast Prosthesis.
From www.dreamstime.com
Silicone Breast Implant. Doctor Hold Silicone Breast Prosthesis Stock Travel Case For Breast Prosthesis abc silicone breast forms come with an attractive travel case for convenient carrying. abc’s chic travel and storage case is the perfect way to discreetly pack and/or store your breast forms and shapers. abc travel and storage case is perfect for discreet packing and travel, it is a sturdy case for breast forms and is available in. Travel Case For Breast Prosthesis.
From www.kandjscompletewoman.com
Compression Bra NonSilicone Leisure Breast Forms McMurray Travel Case For Breast Prosthesis abc’s chic travel and storage case is the perfect way to discreetly pack and/or store your breast forms and shapers. For discreet storage of your breast prosthesis at home or for travel, the upper level snap. abc silicone breast forms come with an attractive travel case for convenient carrying. abc’s chic travel and storage case is the. Travel Case For Breast Prosthesis.
From www.afittingexperience.com
Traveling with your Silicone Breast Form A Fitting Experience Travel Case For Breast Prosthesis abc’s chic travel and storage case is the perfect way to discreetly pack and/or store your breast forms and shapers. abc’s chic travel and storage case is the perfect way to discreetly pack and/or store your breast forms and shapers. a breast form travel case allows you to protect your breast forms from damage inside your suitcase. Travel Case For Breast Prosthesis.
From www.bbc.co.uk
Plastic surgery 'booming' in the UK BBC News Travel Case For Breast Prosthesis abc’s chic travel and storage case is the perfect way to discreetly pack and/or store your breast forms and shapers. abc silicone breast forms come with an attractive travel case for convenient carrying. a breast form travel case allows you to protect your breast forms from damage inside your suitcase while also keeping them clean, making them. Travel Case For Breast Prosthesis.
From www.womanspersonalhealth.com
American Breast Care Travel and Storage Case WPH Travel Case For Breast Prosthesis abc’s chic travel and storage case is the perfect way to discreetly pack and/or store your breast forms and shapers. a breast form travel case allows you to protect your breast forms from damage inside your suitcase while also keeping them clean, making them last longer. abc travel and storage case is perfect for discreet packing and. Travel Case For Breast Prosthesis.
From www.desertcart.ae
Buy POGA LUX PlayStation 5 Premium Portable Console Travel Case incl Travel Case For Breast Prosthesis For discreet storage of your breast prosthesis at home or for travel, the upper level snap. a breast form travel case allows you to protect your breast forms from damage inside your suitcase while also keeping them clean, making them last longer. abc’s chic travel and storage case is the perfect way to discreetly pack and/or store your. Travel Case For Breast Prosthesis.
From www.clearcreek.net
TRAVEL ROD CASE Travel Case For Breast Prosthesis abc’s chic travel and storage case is the perfect way to discreetly pack and/or store your breast forms and shapers. abc travel and storage case is perfect for discreet packing and travel, it is a sturdy case for breast forms and is available in five sizes. abc’s chic travel and storage case is the perfect way to. Travel Case For Breast Prosthesis.
From www.shopheides.com
Custom Made Breast Prosthesis Heide's Mastectomy Travel Case For Breast Prosthesis anita care travel and storage case. abc 1001 breast form travel and storage case is an elegant yet discreet way to take your breast form with you while you travel. abc’s chic travel and storage case is the perfect way to discreetly pack and/or store your breast forms and shapers. abc travel and storage case is. Travel Case For Breast Prosthesis.
From www.desertcart.ae
Buy Rolling Lockable Makeup Train Case Hairdressing Trolley Stylist Travel Case For Breast Prosthesis For discreet storage of your breast prosthesis at home or for travel, the upper level snap. abc travel and storage case is perfect for discreet packing and travel, it is a sturdy case for breast forms and is available in five sizes. abc’s chic travel and storage case is the perfect way to discreetly pack and/or store your. Travel Case For Breast Prosthesis.
From www.ctisus.com
Failed Breast Prosthesis Chest Case Studies CTisus CT Scanning Travel Case For Breast Prosthesis abc 1001 breast form travel and storage case is an elegant yet discreet way to take your breast form with you while you travel. For discreet storage of your breast prosthesis at home or for travel, the upper level snap. abc’s chic travel and storage case is the perfect way to discreetly pack and/or store your breast forms. Travel Case For Breast Prosthesis.
From www.ctisus.com
Failed Breast Prosthesis Chest Case Studies CTisus CT Scanning Travel Case For Breast Prosthesis abc’s chic travel and storage case is the perfect way to discreetly pack and/or store your breast forms and shapers. abc’s chic travel and storage case is the perfect way to discreetly pack and/or store your breast forms and shapers. a breast form travel case allows you to protect your breast forms from damage inside your suitcase. Travel Case For Breast Prosthesis.