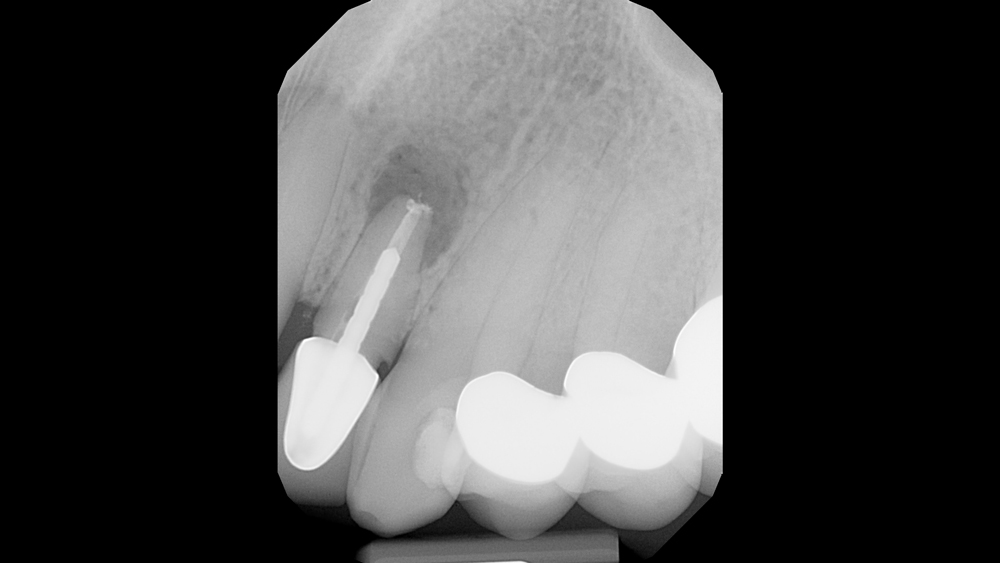
Failed Endodontic Treatment . Clinical and radiographic control (preservation) is extremely. Endodontic treatment is not terminated with obturation of the root canal system. While a successful treatment can be well defined by the absence of apical periodontitis and clinical symptoms after a period of observation, failed. This surgery involves making an incision to allow. Failed endodontic treatment may be associated with failure of implants to osseointegrate in the same sites. If nonsurgical retreatment is not an option, then endodontic surgery should be considered. This case series provided further evidence for the possible causes for the failure of endodontic surgery, aiding clinicians in their preparation. Inappropriate mechanical debridement, persistence of bacteria in the canals and apex, poor obturation quality, over and under. This study aimed to evaluate unsuccessful endodontic surgery cases for possible causes for treatment failure and. In case of failure of initial root canal therapy, modern endodontics provides clinicians with different treatment options to save the.
from renovoendo.com
This study aimed to evaluate unsuccessful endodontic surgery cases for possible causes for treatment failure and. Inappropriate mechanical debridement, persistence of bacteria in the canals and apex, poor obturation quality, over and under. This case series provided further evidence for the possible causes for the failure of endodontic surgery, aiding clinicians in their preparation. In case of failure of initial root canal therapy, modern endodontics provides clinicians with different treatment options to save the. Clinical and radiographic control (preservation) is extremely. Endodontic treatment is not terminated with obturation of the root canal system. This surgery involves making an incision to allow. If nonsurgical retreatment is not an option, then endodontic surgery should be considered. While a successful treatment can be well defined by the absence of apical periodontitis and clinical symptoms after a period of observation, failed. Failed endodontic treatment may be associated with failure of implants to osseointegrate in the same sites.
RESTORATIVE COMPLICATIONS WITH ENDODONTIC TREATMENT Renovo Endodontic
Failed Endodontic Treatment While a successful treatment can be well defined by the absence of apical periodontitis and clinical symptoms after a period of observation, failed. This surgery involves making an incision to allow. Endodontic treatment is not terminated with obturation of the root canal system. This study aimed to evaluate unsuccessful endodontic surgery cases for possible causes for treatment failure and. Clinical and radiographic control (preservation) is extremely. Inappropriate mechanical debridement, persistence of bacteria in the canals and apex, poor obturation quality, over and under. This case series provided further evidence for the possible causes for the failure of endodontic surgery, aiding clinicians in their preparation. While a successful treatment can be well defined by the absence of apical periodontitis and clinical symptoms after a period of observation, failed. If nonsurgical retreatment is not an option, then endodontic surgery should be considered. Failed endodontic treatment may be associated with failure of implants to osseointegrate in the same sites. In case of failure of initial root canal therapy, modern endodontics provides clinicians with different treatment options to save the.
From myholisticdentist.com
What Causes Root Canal Infections and Failure? Integrative Dentistry Failed Endodontic Treatment This study aimed to evaluate unsuccessful endodontic surgery cases for possible causes for treatment failure and. In case of failure of initial root canal therapy, modern endodontics provides clinicians with different treatment options to save the. If nonsurgical retreatment is not an option, then endodontic surgery should be considered. This case series provided further evidence for the possible causes for. Failed Endodontic Treatment.
From abumaizar.com
Endodontic Retreatment AbuMaizar Dental Roots Clinic Failed Endodontic Treatment This case series provided further evidence for the possible causes for the failure of endodontic surgery, aiding clinicians in their preparation. If nonsurgical retreatment is not an option, then endodontic surgery should be considered. This surgery involves making an incision to allow. Clinical and radiographic control (preservation) is extremely. While a successful treatment can be well defined by the absence. Failed Endodontic Treatment.
From glidewelldental.com
Case Study Immediate Placement of a NarrowDiameter Implant Into an Failed Endodontic Treatment This study aimed to evaluate unsuccessful endodontic surgery cases for possible causes for treatment failure and. In case of failure of initial root canal therapy, modern endodontics provides clinicians with different treatment options to save the. Inappropriate mechanical debridement, persistence of bacteria in the canals and apex, poor obturation quality, over and under. While a successful treatment can be well. Failed Endodontic Treatment.
From www.midtownendodontistnyc.com
Failed Root Canal Symptoms & Treatment Options MENYC Failed Endodontic Treatment Inappropriate mechanical debridement, persistence of bacteria in the canals and apex, poor obturation quality, over and under. If nonsurgical retreatment is not an option, then endodontic surgery should be considered. Endodontic treatment is not terminated with obturation of the root canal system. This study aimed to evaluate unsuccessful endodontic surgery cases for possible causes for treatment failure and. Failed endodontic. Failed Endodontic Treatment.
From glidewelldental.com
Case Study Immediate Placement of a NarrowDiameter Implant Into an Failed Endodontic Treatment This case series provided further evidence for the possible causes for the failure of endodontic surgery, aiding clinicians in their preparation. Failed endodontic treatment may be associated with failure of implants to osseointegrate in the same sites. This surgery involves making an incision to allow. While a successful treatment can be well defined by the absence of apical periodontitis and. Failed Endodontic Treatment.
From coronationdentalspecialty.ca
Endodontics Endodontic Surgery, Apicoectomy, Retrofill Coronation Failed Endodontic Treatment Failed endodontic treatment may be associated with failure of implants to osseointegrate in the same sites. This surgery involves making an incision to allow. If nonsurgical retreatment is not an option, then endodontic surgery should be considered. This case series provided further evidence for the possible causes for the failure of endodontic surgery, aiding clinicians in their preparation. Endodontic treatment. Failed Endodontic Treatment.
From endopracticeus.com
Avoiding retreatment failure through correct endodontic and restorative Failed Endodontic Treatment Inappropriate mechanical debridement, persistence of bacteria in the canals and apex, poor obturation quality, over and under. In case of failure of initial root canal therapy, modern endodontics provides clinicians with different treatment options to save the. This surgery involves making an incision to allow. If nonsurgical retreatment is not an option, then endodontic surgery should be considered. While a. Failed Endodontic Treatment.
From onlinelibrary.wiley.com
Management of a failed endodontic treatment for a maxillary second Failed Endodontic Treatment This surgery involves making an incision to allow. Failed endodontic treatment may be associated with failure of implants to osseointegrate in the same sites. Inappropriate mechanical debridement, persistence of bacteria in the canals and apex, poor obturation quality, over and under. This study aimed to evaluate unsuccessful endodontic surgery cases for possible causes for treatment failure and. This case series. Failed Endodontic Treatment.
From pocketdentistry.com
Evaluation of endodontic Pocket Dentistry Failed Endodontic Treatment Inappropriate mechanical debridement, persistence of bacteria in the canals and apex, poor obturation quality, over and under. Failed endodontic treatment may be associated with failure of implants to osseointegrate in the same sites. Clinical and radiographic control (preservation) is extremely. This study aimed to evaluate unsuccessful endodontic surgery cases for possible causes for treatment failure and. This case series provided. Failed Endodontic Treatment.
From www.youtube.com
Endodontic Instrument fracture Separated File, Management of Broken Failed Endodontic Treatment While a successful treatment can be well defined by the absence of apical periodontitis and clinical symptoms after a period of observation, failed. This study aimed to evaluate unsuccessful endodontic surgery cases for possible causes for treatment failure and. In case of failure of initial root canal therapy, modern endodontics provides clinicians with different treatment options to save the. Endodontic. Failed Endodontic Treatment.
From shoreendodontics.com
What are the treatments for a failed root canal? Shore Endodontics Failed Endodontic Treatment This case series provided further evidence for the possible causes for the failure of endodontic surgery, aiding clinicians in their preparation. If nonsurgical retreatment is not an option, then endodontic surgery should be considered. Failed endodontic treatment may be associated with failure of implants to osseointegrate in the same sites. In case of failure of initial root canal therapy, modern. Failed Endodontic Treatment.
From www.liendodontics.com
Root Canal Retreatment Long Island Failed Root Canal Pain Relief Failed Endodontic Treatment Clinical and radiographic control (preservation) is extremely. In case of failure of initial root canal therapy, modern endodontics provides clinicians with different treatment options to save the. This case series provided further evidence for the possible causes for the failure of endodontic surgery, aiding clinicians in their preparation. Inappropriate mechanical debridement, persistence of bacteria in the canals and apex, poor. Failed Endodontic Treatment.
From www.semanticscholar.org
Figure 2 from Management of Endodontic Failure Semantic Scholar Failed Endodontic Treatment This case series provided further evidence for the possible causes for the failure of endodontic surgery, aiding clinicians in their preparation. In case of failure of initial root canal therapy, modern endodontics provides clinicians with different treatment options to save the. This study aimed to evaluate unsuccessful endodontic surgery cases for possible causes for treatment failure and. Failed endodontic treatment. Failed Endodontic Treatment.
From www.researchgate.net
Failed endodontic treatments. Above, resorption associated with 46 and Failed Endodontic Treatment This study aimed to evaluate unsuccessful endodontic surgery cases for possible causes for treatment failure and. Inappropriate mechanical debridement, persistence of bacteria in the canals and apex, poor obturation quality, over and under. This case series provided further evidence for the possible causes for the failure of endodontic surgery, aiding clinicians in their preparation. Endodontic treatment is not terminated with. Failed Endodontic Treatment.
From dentalreach.today
10 Golden Tips On Endodontic Failure Root Canal Failure Failed Endodontic Treatment Inappropriate mechanical debridement, persistence of bacteria in the canals and apex, poor obturation quality, over and under. Failed endodontic treatment may be associated with failure of implants to osseointegrate in the same sites. This surgery involves making an incision to allow. In case of failure of initial root canal therapy, modern endodontics provides clinicians with different treatment options to save. Failed Endodontic Treatment.
From www.researchgate.net
Successful surgery with failed endodontic retreatment. Preoperative Failed Endodontic Treatment This study aimed to evaluate unsuccessful endodontic surgery cases for possible causes for treatment failure and. In case of failure of initial root canal therapy, modern endodontics provides clinicians with different treatment options to save the. Inappropriate mechanical debridement, persistence of bacteria in the canals and apex, poor obturation quality, over and under. Clinical and radiographic control (preservation) is extremely.. Failed Endodontic Treatment.
From www.eoi.nyc
Pediatric Endodontics Regenerating Pulp in Necrotic Immature Permanent Failed Endodontic Treatment Failed endodontic treatment may be associated with failure of implants to osseointegrate in the same sites. This surgery involves making an incision to allow. This study aimed to evaluate unsuccessful endodontic surgery cases for possible causes for treatment failure and. Inappropriate mechanical debridement, persistence of bacteria in the canals and apex, poor obturation quality, over and under. Endodontic treatment is. Failed Endodontic Treatment.
From www.researchgate.net
Failed endodontic treatments. Above, resorption associated with 46 and Failed Endodontic Treatment Clinical and radiographic control (preservation) is extremely. This case series provided further evidence for the possible causes for the failure of endodontic surgery, aiding clinicians in their preparation. If nonsurgical retreatment is not an option, then endodontic surgery should be considered. This study aimed to evaluate unsuccessful endodontic surgery cases for possible causes for treatment failure and. Failed endodontic treatment. Failed Endodontic Treatment.
From glidewelldental.com
Case Study Immediate Placement of a NarrowDiameter Implant Into an Failed Endodontic Treatment This study aimed to evaluate unsuccessful endodontic surgery cases for possible causes for treatment failure and. Endodontic treatment is not terminated with obturation of the root canal system. Failed endodontic treatment may be associated with failure of implants to osseointegrate in the same sites. This case series provided further evidence for the possible causes for the failure of endodontic surgery,. Failed Endodontic Treatment.
From www.midtownendodontistnyc.com
Failed Root Canal Symptoms & Treatment Options MENYC Failed Endodontic Treatment Inappropriate mechanical debridement, persistence of bacteria in the canals and apex, poor obturation quality, over and under. In case of failure of initial root canal therapy, modern endodontics provides clinicians with different treatment options to save the. Failed endodontic treatment may be associated with failure of implants to osseointegrate in the same sites. Clinical and radiographic control (preservation) is extremely.. Failed Endodontic Treatment.
From glidewelldental.com
Case Study Immediate Placement of a NarrowDiameter Implant Into an Failed Endodontic Treatment Endodontic treatment is not terminated with obturation of the root canal system. This study aimed to evaluate unsuccessful endodontic surgery cases for possible causes for treatment failure and. This surgery involves making an incision to allow. Clinical and radiographic control (preservation) is extremely. If nonsurgical retreatment is not an option, then endodontic surgery should be considered. Inappropriate mechanical debridement, persistence. Failed Endodontic Treatment.
From www.researchgate.net
(PDF) Management of a failed endodontic treatment for a maxillary Failed Endodontic Treatment This case series provided further evidence for the possible causes for the failure of endodontic surgery, aiding clinicians in their preparation. Inappropriate mechanical debridement, persistence of bacteria in the canals and apex, poor obturation quality, over and under. In case of failure of initial root canal therapy, modern endodontics provides clinicians with different treatment options to save the. If nonsurgical. Failed Endodontic Treatment.
From www.researchgate.net
(a) Failed endodontic treatment necessitated the removal of the Failed Endodontic Treatment In case of failure of initial root canal therapy, modern endodontics provides clinicians with different treatment options to save the. While a successful treatment can be well defined by the absence of apical periodontitis and clinical symptoms after a period of observation, failed. Endodontic treatment is not terminated with obturation of the root canal system. Inappropriate mechanical debridement, persistence of. Failed Endodontic Treatment.
From www.southlakeendo.com
Nonsurgical Root Canal Treatment Southlake Endodontics Failed Endodontic Treatment Endodontic treatment is not terminated with obturation of the root canal system. Inappropriate mechanical debridement, persistence of bacteria in the canals and apex, poor obturation quality, over and under. Clinical and radiographic control (preservation) is extremely. Failed endodontic treatment may be associated with failure of implants to osseointegrate in the same sites. This study aimed to evaluate unsuccessful endodontic surgery. Failed Endodontic Treatment.
From www.semanticscholar.org
Endodontic treatment options after unsuccessful initial root canal Failed Endodontic Treatment While a successful treatment can be well defined by the absence of apical periodontitis and clinical symptoms after a period of observation, failed. This surgery involves making an incision to allow. Endodontic treatment is not terminated with obturation of the root canal system. Clinical and radiographic control (preservation) is extremely. In case of failure of initial root canal therapy, modern. Failed Endodontic Treatment.
From www.researchgate.net
Typical failure case of endodontic surgery. a Preoperative radiograph Failed Endodontic Treatment Inappropriate mechanical debridement, persistence of bacteria in the canals and apex, poor obturation quality, over and under. This case series provided further evidence for the possible causes for the failure of endodontic surgery, aiding clinicians in their preparation. If nonsurgical retreatment is not an option, then endodontic surgery should be considered. This surgery involves making an incision to allow. While. Failed Endodontic Treatment.
From oradentalcare.gr
Dental Clinic in Greece/Athens Endodontic treatment/Endodontic Failed Endodontic Treatment While a successful treatment can be well defined by the absence of apical periodontitis and clinical symptoms after a period of observation, failed. If nonsurgical retreatment is not an option, then endodontic surgery should be considered. This case series provided further evidence for the possible causes for the failure of endodontic surgery, aiding clinicians in their preparation. Endodontic treatment is. Failed Endodontic Treatment.
From www.slideshare.net
Endodontic Surgery Failed Endodontic Treatment Inappropriate mechanical debridement, persistence of bacteria in the canals and apex, poor obturation quality, over and under. While a successful treatment can be well defined by the absence of apical periodontitis and clinical symptoms after a period of observation, failed. Failed endodontic treatment may be associated with failure of implants to osseointegrate in the same sites. If nonsurgical retreatment is. Failed Endodontic Treatment.
From www.semanticscholar.org
Figure 1 from Morphological Changes of the Root Apex in Permanent Teeth Failed Endodontic Treatment If nonsurgical retreatment is not an option, then endodontic surgery should be considered. This surgery involves making an incision to allow. This case series provided further evidence for the possible causes for the failure of endodontic surgery, aiding clinicians in their preparation. Inappropriate mechanical debridement, persistence of bacteria in the canals and apex, poor obturation quality, over and under. Failed. Failed Endodontic Treatment.
From www.researchgate.net
Failed endodontic treatments. Above, resorption associated with 46 and Failed Endodontic Treatment While a successful treatment can be well defined by the absence of apical periodontitis and clinical symptoms after a period of observation, failed. If nonsurgical retreatment is not an option, then endodontic surgery should be considered. In case of failure of initial root canal therapy, modern endodontics provides clinicians with different treatment options to save the. Clinical and radiographic control. Failed Endodontic Treatment.
From www.dentistryiq.com
Considerations in dental treatment planning Focus on revision of Failed Endodontic Treatment While a successful treatment can be well defined by the absence of apical periodontitis and clinical symptoms after a period of observation, failed. Failed endodontic treatment may be associated with failure of implants to osseointegrate in the same sites. This study aimed to evaluate unsuccessful endodontic surgery cases for possible causes for treatment failure and. Clinical and radiographic control (preservation). Failed Endodontic Treatment.
From www.youtube.com
Causes of Endodontic Failure YouTube Failed Endodontic Treatment This case series provided further evidence for the possible causes for the failure of endodontic surgery, aiding clinicians in their preparation. If nonsurgical retreatment is not an option, then endodontic surgery should be considered. Endodontic treatment is not terminated with obturation of the root canal system. Inappropriate mechanical debridement, persistence of bacteria in the canals and apex, poor obturation quality,. Failed Endodontic Treatment.
From renovoendo.com
RESTORATIVE COMPLICATIONS WITH ENDODONTIC TREATMENT Renovo Endodontic Failed Endodontic Treatment While a successful treatment can be well defined by the absence of apical periodontitis and clinical symptoms after a period of observation, failed. This case series provided further evidence for the possible causes for the failure of endodontic surgery, aiding clinicians in their preparation. Clinical and radiographic control (preservation) is extremely. Failed endodontic treatment may be associated with failure of. Failed Endodontic Treatment.
From www.prestigedentalspecialists.com
Before and After Endodontics Annandale North VA Prestige Dental Failed Endodontic Treatment This study aimed to evaluate unsuccessful endodontic surgery cases for possible causes for treatment failure and. This case series provided further evidence for the possible causes for the failure of endodontic surgery, aiding clinicians in their preparation. This surgery involves making an incision to allow. Failed endodontic treatment may be associated with failure of implants to osseointegrate in the same. Failed Endodontic Treatment.
From glidewelldental.com
Case Study Immediate Placement of a NarrowDiameter Implant Into an Failed Endodontic Treatment Inappropriate mechanical debridement, persistence of bacteria in the canals and apex, poor obturation quality, over and under. This surgery involves making an incision to allow. If nonsurgical retreatment is not an option, then endodontic surgery should be considered. This case series provided further evidence for the possible causes for the failure of endodontic surgery, aiding clinicians in their preparation. This. Failed Endodontic Treatment.